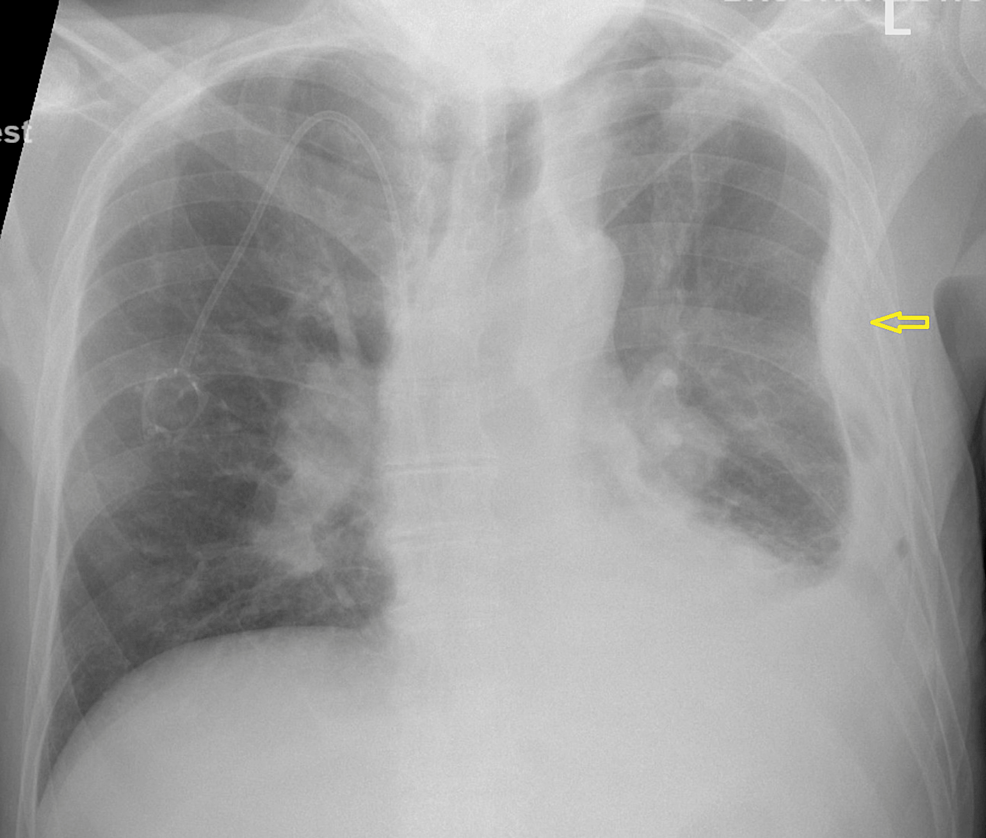
Loculated Effusion Chest X Ray . No other specific radiographic features are seen. On the image, loculated pleural effusion may. Chest radiography can confirm the diagnosis. Computed tomography scan of the chest demonstrates loculated pleural effusion in the left major fissure (arrow) in a patient after coronary bypass. Dullness to percussion on physical examination suggests an effusion; Out of concern for malignancy, exploration of. Obliteration of left costophrenic angle with a wide pleural based dome shaped opacity projecting into the lung. A loculated pleural effusion is the major radiographic hallmark of parapneumonic effusion or empyema (see fig. Patient presented with fever and chest pain since last 7 days.
from carlie-doherty.blogspot.com
On the image, loculated pleural effusion may. Dullness to percussion on physical examination suggests an effusion; Chest radiography can confirm the diagnosis. Out of concern for malignancy, exploration of. Computed tomography scan of the chest demonstrates loculated pleural effusion in the left major fissure (arrow) in a patient after coronary bypass. Obliteration of left costophrenic angle with a wide pleural based dome shaped opacity projecting into the lung. Patient presented with fever and chest pain since last 7 days. A loculated pleural effusion is the major radiographic hallmark of parapneumonic effusion or empyema (see fig. No other specific radiographic features are seen.
Loculated Pleural Effusion Chest X Ray Carlie Doherty
Loculated Effusion Chest X Ray Patient presented with fever and chest pain since last 7 days. Chest radiography can confirm the diagnosis. No other specific radiographic features are seen. Patient presented with fever and chest pain since last 7 days. Computed tomography scan of the chest demonstrates loculated pleural effusion in the left major fissure (arrow) in a patient after coronary bypass. Dullness to percussion on physical examination suggests an effusion; Obliteration of left costophrenic angle with a wide pleural based dome shaped opacity projecting into the lung. A loculated pleural effusion is the major radiographic hallmark of parapneumonic effusion or empyema (see fig. On the image, loculated pleural effusion may. Out of concern for malignancy, exploration of.
From mavink.com
Pleural Effusion On X Ray Loculated Effusion Chest X Ray Obliteration of left costophrenic angle with a wide pleural based dome shaped opacity projecting into the lung. Dullness to percussion on physical examination suggests an effusion; Out of concern for malignancy, exploration of. Chest radiography can confirm the diagnosis. Patient presented with fever and chest pain since last 7 days. Computed tomography scan of the chest demonstrates loculated pleural effusion. Loculated Effusion Chest X Ray.
From mavink.com
Lung Cancer Pleural Effusion Loculated Effusion Chest X Ray Dullness to percussion on physical examination suggests an effusion; Out of concern for malignancy, exploration of. Patient presented with fever and chest pain since last 7 days. Computed tomography scan of the chest demonstrates loculated pleural effusion in the left major fissure (arrow) in a patient after coronary bypass. On the image, loculated pleural effusion may. Chest radiography can confirm. Loculated Effusion Chest X Ray.
From brownemblog.com
Tuberculous Pleural Effusion — BROWN EMERGENCY MEDICINE BLOG Loculated Effusion Chest X Ray Dullness to percussion on physical examination suggests an effusion; Computed tomography scan of the chest demonstrates loculated pleural effusion in the left major fissure (arrow) in a patient after coronary bypass. Patient presented with fever and chest pain since last 7 days. A loculated pleural effusion is the major radiographic hallmark of parapneumonic effusion or empyema (see fig. Obliteration of. Loculated Effusion Chest X Ray.
From www.researchgate.net
Chest radiograph showing right loculated pleural effusion. Download Loculated Effusion Chest X Ray Obliteration of left costophrenic angle with a wide pleural based dome shaped opacity projecting into the lung. No other specific radiographic features are seen. Dullness to percussion on physical examination suggests an effusion; Out of concern for malignancy, exploration of. Computed tomography scan of the chest demonstrates loculated pleural effusion in the left major fissure (arrow) in a patient after. Loculated Effusion Chest X Ray.
From www.sexizpix.com
Chest X Ray Interpretation Pleural Effusion Radiology Imaging Sexiz Pix Loculated Effusion Chest X Ray A loculated pleural effusion is the major radiographic hallmark of parapneumonic effusion or empyema (see fig. Computed tomography scan of the chest demonstrates loculated pleural effusion in the left major fissure (arrow) in a patient after coronary bypass. Patient presented with fever and chest pain since last 7 days. Chest radiography can confirm the diagnosis. Dullness to percussion on physical. Loculated Effusion Chest X Ray.
From ar.inspiredpencil.com
Chest Xray Pleural Effusion Loculated Effusion Chest X Ray Patient presented with fever and chest pain since last 7 days. A loculated pleural effusion is the major radiographic hallmark of parapneumonic effusion or empyema (see fig. Obliteration of left costophrenic angle with a wide pleural based dome shaped opacity projecting into the lung. Computed tomography scan of the chest demonstrates loculated pleural effusion in the left major fissure (arrow). Loculated Effusion Chest X Ray.
From www.researchgate.net
Progression of empyema on chest Xrays (CXRs) from admission to end of Loculated Effusion Chest X Ray Computed tomography scan of the chest demonstrates loculated pleural effusion in the left major fissure (arrow) in a patient after coronary bypass. Obliteration of left costophrenic angle with a wide pleural based dome shaped opacity projecting into the lung. On the image, loculated pleural effusion may. Dullness to percussion on physical examination suggests an effusion; Out of concern for malignancy,. Loculated Effusion Chest X Ray.
From carlie-doherty.blogspot.com
Loculated Pleural Effusion Chest X Ray Carlie Doherty Loculated Effusion Chest X Ray Dullness to percussion on physical examination suggests an effusion; Obliteration of left costophrenic angle with a wide pleural based dome shaped opacity projecting into the lung. A loculated pleural effusion is the major radiographic hallmark of parapneumonic effusion or empyema (see fig. No other specific radiographic features are seen. Out of concern for malignancy, exploration of. On the image, loculated. Loculated Effusion Chest X Ray.
From carlie-doherty.blogspot.com
Loculated Pleural Effusion Chest X Ray Carlie Doherty Loculated Effusion Chest X Ray No other specific radiographic features are seen. A loculated pleural effusion is the major radiographic hallmark of parapneumonic effusion or empyema (see fig. Out of concern for malignancy, exploration of. Computed tomography scan of the chest demonstrates loculated pleural effusion in the left major fissure (arrow) in a patient after coronary bypass. On the image, loculated pleural effusion may. Chest. Loculated Effusion Chest X Ray.
From stock.adobe.com
Film xray chest. Moderate loculated right pleural effusion. Stock Loculated Effusion Chest X Ray Out of concern for malignancy, exploration of. Patient presented with fever and chest pain since last 7 days. Dullness to percussion on physical examination suggests an effusion; A loculated pleural effusion is the major radiographic hallmark of parapneumonic effusion or empyema (see fig. Chest radiography can confirm the diagnosis. Obliteration of left costophrenic angle with a wide pleural based dome. Loculated Effusion Chest X Ray.
From www.researchgate.net
Anterior posterior view of plain chest Xray shows loculated (arrows Loculated Effusion Chest X Ray On the image, loculated pleural effusion may. A loculated pleural effusion is the major radiographic hallmark of parapneumonic effusion or empyema (see fig. Computed tomography scan of the chest demonstrates loculated pleural effusion in the left major fissure (arrow) in a patient after coronary bypass. Chest radiography can confirm the diagnosis. Out of concern for malignancy, exploration of. Dullness to. Loculated Effusion Chest X Ray.
From www.researchgate.net
(A) Xray chest, posteroanterior view, with fissural effusion, and (B Loculated Effusion Chest X Ray Computed tomography scan of the chest demonstrates loculated pleural effusion in the left major fissure (arrow) in a patient after coronary bypass. Out of concern for malignancy, exploration of. Obliteration of left costophrenic angle with a wide pleural based dome shaped opacity projecting into the lung. Patient presented with fever and chest pain since last 7 days. On the image,. Loculated Effusion Chest X Ray.
From www.vrogue.co
Loculated Pleural Effusion Ct Chest Pleural Effusion vrogue.co Loculated Effusion Chest X Ray A loculated pleural effusion is the major radiographic hallmark of parapneumonic effusion or empyema (see fig. Patient presented with fever and chest pain since last 7 days. No other specific radiographic features are seen. Chest radiography can confirm the diagnosis. On the image, loculated pleural effusion may. Out of concern for malignancy, exploration of. Dullness to percussion on physical examination. Loculated Effusion Chest X Ray.
From www.researchgate.net
a Chest Xray with partially encysted leftsided pleural effusion with Loculated Effusion Chest X Ray Chest radiography can confirm the diagnosis. Dullness to percussion on physical examination suggests an effusion; Patient presented with fever and chest pain since last 7 days. No other specific radiographic features are seen. Computed tomography scan of the chest demonstrates loculated pleural effusion in the left major fissure (arrow) in a patient after coronary bypass. A loculated pleural effusion is. Loculated Effusion Chest X Ray.
From malindai-hyena.blogspot.com
Loculated Pleural Effusion X Ray / Loculated pleural effusion Image Loculated Effusion Chest X Ray Chest radiography can confirm the diagnosis. Obliteration of left costophrenic angle with a wide pleural based dome shaped opacity projecting into the lung. Out of concern for malignancy, exploration of. Dullness to percussion on physical examination suggests an effusion; Computed tomography scan of the chest demonstrates loculated pleural effusion in the left major fissure (arrow) in a patient after coronary. Loculated Effusion Chest X Ray.
From www.researchgate.net
Chest Xray (A) and computed tomography (B, C) on admission showed a Loculated Effusion Chest X Ray Dullness to percussion on physical examination suggests an effusion; Patient presented with fever and chest pain since last 7 days. Out of concern for malignancy, exploration of. Chest radiography can confirm the diagnosis. Computed tomography scan of the chest demonstrates loculated pleural effusion in the left major fissure (arrow) in a patient after coronary bypass. A loculated pleural effusion is. Loculated Effusion Chest X Ray.
From www.clinicaladvisor.com
Malignant Pleural Effusion The Clinical Advisor Loculated Effusion Chest X Ray Obliteration of left costophrenic angle with a wide pleural based dome shaped opacity projecting into the lung. On the image, loculated pleural effusion may. Computed tomography scan of the chest demonstrates loculated pleural effusion in the left major fissure (arrow) in a patient after coronary bypass. Out of concern for malignancy, exploration of. No other specific radiographic features are seen.. Loculated Effusion Chest X Ray.
From ar.inspiredpencil.com
Pleural Effusion Chest X Ray Loculated Effusion Chest X Ray Out of concern for malignancy, exploration of. Dullness to percussion on physical examination suggests an effusion; Computed tomography scan of the chest demonstrates loculated pleural effusion in the left major fissure (arrow) in a patient after coronary bypass. Patient presented with fever and chest pain since last 7 days. Chest radiography can confirm the diagnosis. On the image, loculated pleural. Loculated Effusion Chest X Ray.
From www.youtube.com
CHEST Xray Loculated Pleural Effusion YouTube Loculated Effusion Chest X Ray Chest radiography can confirm the diagnosis. Obliteration of left costophrenic angle with a wide pleural based dome shaped opacity projecting into the lung. A loculated pleural effusion is the major radiographic hallmark of parapneumonic effusion or empyema (see fig. Dullness to percussion on physical examination suggests an effusion; Computed tomography scan of the chest demonstrates loculated pleural effusion in the. Loculated Effusion Chest X Ray.
From europeanbreeches.blogspot.com
Loculated Pleural Effusion X Ray Pleural Effusion Treatment Loculated Effusion Chest X Ray Obliteration of left costophrenic angle with a wide pleural based dome shaped opacity projecting into the lung. Out of concern for malignancy, exploration of. No other specific radiographic features are seen. On the image, loculated pleural effusion may. Dullness to percussion on physical examination suggests an effusion; Chest radiography can confirm the diagnosis. A loculated pleural effusion is the major. Loculated Effusion Chest X Ray.
From www.researchgate.net
Chest xray showing bilateral chronic fibrotic changes with loculated Loculated Effusion Chest X Ray No other specific radiographic features are seen. Obliteration of left costophrenic angle with a wide pleural based dome shaped opacity projecting into the lung. Chest radiography can confirm the diagnosis. Dullness to percussion on physical examination suggests an effusion; Out of concern for malignancy, exploration of. On the image, loculated pleural effusion may. Computed tomography scan of the chest demonstrates. Loculated Effusion Chest X Ray.
From www.vrogue.co
Study Medical Photos Pleural Effusion On Chest X Ray vrogue.co Loculated Effusion Chest X Ray Chest radiography can confirm the diagnosis. Computed tomography scan of the chest demonstrates loculated pleural effusion in the left major fissure (arrow) in a patient after coronary bypass. Obliteration of left costophrenic angle with a wide pleural based dome shaped opacity projecting into the lung. No other specific radiographic features are seen. On the image, loculated pleural effusion may. Patient. Loculated Effusion Chest X Ray.
From ar.inspiredpencil.com
Chest X Ray Pleural Effusion Loculated Effusion Chest X Ray Obliteration of left costophrenic angle with a wide pleural based dome shaped opacity projecting into the lung. On the image, loculated pleural effusion may. Out of concern for malignancy, exploration of. Patient presented with fever and chest pain since last 7 days. No other specific radiographic features are seen. Computed tomography scan of the chest demonstrates loculated pleural effusion in. Loculated Effusion Chest X Ray.
From www.dreamstime.com
Chest Xray Shows Cardiomegaly with Infiltration and Loculated Pleural Loculated Effusion Chest X Ray No other specific radiographic features are seen. Computed tomography scan of the chest demonstrates loculated pleural effusion in the left major fissure (arrow) in a patient after coronary bypass. Out of concern for malignancy, exploration of. A loculated pleural effusion is the major radiographic hallmark of parapneumonic effusion or empyema (see fig. Chest radiography can confirm the diagnosis. On the. Loculated Effusion Chest X Ray.
From www.vrogue.co
Loculated Pleural Effusion Ct Chest Pleural Effusion vrogue.co Loculated Effusion Chest X Ray Chest radiography can confirm the diagnosis. Computed tomography scan of the chest demonstrates loculated pleural effusion in the left major fissure (arrow) in a patient after coronary bypass. Patient presented with fever and chest pain since last 7 days. Out of concern for malignancy, exploration of. On the image, loculated pleural effusion may. Dullness to percussion on physical examination suggests. Loculated Effusion Chest X Ray.
From healthjade.net
Pleural effusion causes, types, symptoms, diagnosis and treatment Loculated Effusion Chest X Ray Out of concern for malignancy, exploration of. Chest radiography can confirm the diagnosis. On the image, loculated pleural effusion may. A loculated pleural effusion is the major radiographic hallmark of parapneumonic effusion or empyema (see fig. Dullness to percussion on physical examination suggests an effusion; No other specific radiographic features are seen. Patient presented with fever and chest pain since. Loculated Effusion Chest X Ray.
From www.tpsearchtool.com
Loculated Pleural Effusion Chest X Ray Loculated Pleural Effusion Images Loculated Effusion Chest X Ray Chest radiography can confirm the diagnosis. Patient presented with fever and chest pain since last 7 days. No other specific radiographic features are seen. Obliteration of left costophrenic angle with a wide pleural based dome shaped opacity projecting into the lung. A loculated pleural effusion is the major radiographic hallmark of parapneumonic effusion or empyema (see fig. Computed tomography scan. Loculated Effusion Chest X Ray.
From www.cureus.com
Physical Therapy Rehabilitation for a Chronic Alcoholic Patient With Loculated Effusion Chest X Ray Patient presented with fever and chest pain since last 7 days. No other specific radiographic features are seen. On the image, loculated pleural effusion may. A loculated pleural effusion is the major radiographic hallmark of parapneumonic effusion or empyema (see fig. Obliteration of left costophrenic angle with a wide pleural based dome shaped opacity projecting into the lung. Chest radiography. Loculated Effusion Chest X Ray.
From www.vrogue.co
Initial Chest Radiograph Revealing Large Loculated Pl vrogue.co Loculated Effusion Chest X Ray Obliteration of left costophrenic angle with a wide pleural based dome shaped opacity projecting into the lung. No other specific radiographic features are seen. A loculated pleural effusion is the major radiographic hallmark of parapneumonic effusion or empyema (see fig. Out of concern for malignancy, exploration of. Dullness to percussion on physical examination suggests an effusion; Computed tomography scan of. Loculated Effusion Chest X Ray.
From www.vrogue.co
Chest Radiograph A Showed A Loculated Right Pleural E vrogue.co Loculated Effusion Chest X Ray A loculated pleural effusion is the major radiographic hallmark of parapneumonic effusion or empyema (see fig. Patient presented with fever and chest pain since last 7 days. Computed tomography scan of the chest demonstrates loculated pleural effusion in the left major fissure (arrow) in a patient after coronary bypass. Out of concern for malignancy, exploration of. Dullness to percussion on. Loculated Effusion Chest X Ray.
From ar.inspiredpencil.com
Chest X Ray Pleural Effusion Interpretation Loculated Effusion Chest X Ray Chest radiography can confirm the diagnosis. Patient presented with fever and chest pain since last 7 days. Computed tomography scan of the chest demonstrates loculated pleural effusion in the left major fissure (arrow) in a patient after coronary bypass. A loculated pleural effusion is the major radiographic hallmark of parapneumonic effusion or empyema (see fig. On the image, loculated pleural. Loculated Effusion Chest X Ray.
From www.tpsearchtool.com
Loculated Pleural Effusion Chest X Ray Loculated Pleural Effusion Images Loculated Effusion Chest X Ray Obliteration of left costophrenic angle with a wide pleural based dome shaped opacity projecting into the lung. On the image, loculated pleural effusion may. Patient presented with fever and chest pain since last 7 days. Out of concern for malignancy, exploration of. Chest radiography can confirm the diagnosis. No other specific radiographic features are seen. A loculated pleural effusion is. Loculated Effusion Chest X Ray.
From www.vrogue.co
Loculated Pleural Effusion Ct Chest Pleural Effusion vrogue.co Loculated Effusion Chest X Ray Computed tomography scan of the chest demonstrates loculated pleural effusion in the left major fissure (arrow) in a patient after coronary bypass. No other specific radiographic features are seen. Dullness to percussion on physical examination suggests an effusion; Obliteration of left costophrenic angle with a wide pleural based dome shaped opacity projecting into the lung. On the image, loculated pleural. Loculated Effusion Chest X Ray.
From mungfali.com
Meniscus Sign Pleural Effusion Loculated Effusion Chest X Ray Out of concern for malignancy, exploration of. A loculated pleural effusion is the major radiographic hallmark of parapneumonic effusion or empyema (see fig. Patient presented with fever and chest pain since last 7 days. Obliteration of left costophrenic angle with a wide pleural based dome shaped opacity projecting into the lung. On the image, loculated pleural effusion may. Chest radiography. Loculated Effusion Chest X Ray.
From healthjade.com
Pleural effusion causes, types, symptoms, diagnosis and treatment Loculated Effusion Chest X Ray A loculated pleural effusion is the major radiographic hallmark of parapneumonic effusion or empyema (see fig. Chest radiography can confirm the diagnosis. Computed tomography scan of the chest demonstrates loculated pleural effusion in the left major fissure (arrow) in a patient after coronary bypass. Obliteration of left costophrenic angle with a wide pleural based dome shaped opacity projecting into the. Loculated Effusion Chest X Ray.