Kidney Biopsy Right Or Left . when your kidney function is abnormal, a kidney biopsy may be done to: However, there are other kidney biopsy techniques. a renal biopsy is a procedure used to extract kidney tissue for laboratory analysis. a kidney biopsy is a procedure in which a health care professional takes one or more tiny pieces of tissue from your kidney. The word “renal” describes the kidneys, so a renal biopsy is also called a kidney biopsy. a kidney biopsy removes a small tissue sample to diagnose kidney disease or assess transplant function, using a needle or open surgery for collection. a kidney biopsy typically involves a healthcare provider taking small samples of kidney tissue by inserting a thin, hollow needle through your back and into one or both kidneys. Find out the reason for poor kidney function. Why do health care professionals use kidney biopsy? A pathologist examines the tissue samples under a microscope for signs of damage or disease. a kidney biopsy, also called a renal biopsy, is a procedure that is used to obtain small pieces of kidney tissue to look. a kidney biopsy is a procedure in which a medical provider removes a small sample of your kidney tissue to examine it for signs of.
from picnichealth.com
when your kidney function is abnormal, a kidney biopsy may be done to: a kidney biopsy, also called a renal biopsy, is a procedure that is used to obtain small pieces of kidney tissue to look. a kidney biopsy is a procedure in which a health care professional takes one or more tiny pieces of tissue from your kidney. A pathologist examines the tissue samples under a microscope for signs of damage or disease. a kidney biopsy typically involves a healthcare provider taking small samples of kidney tissue by inserting a thin, hollow needle through your back and into one or both kidneys. However, there are other kidney biopsy techniques. The word “renal” describes the kidneys, so a renal biopsy is also called a kidney biopsy. Find out the reason for poor kidney function. a kidney biopsy removes a small tissue sample to diagnose kidney disease or assess transplant function, using a needle or open surgery for collection. a kidney biopsy is a procedure in which a medical provider removes a small sample of your kidney tissue to examine it for signs of.
Kidney Biopsy for IgAN Understanding the Procedure and Its Importance
Kidney Biopsy Right Or Left a kidney biopsy is a procedure in which a health care professional takes one or more tiny pieces of tissue from your kidney. a kidney biopsy removes a small tissue sample to diagnose kidney disease or assess transplant function, using a needle or open surgery for collection. However, there are other kidney biopsy techniques. a kidney biopsy is a procedure in which a medical provider removes a small sample of your kidney tissue to examine it for signs of. A pathologist examines the tissue samples under a microscope for signs of damage or disease. Why do health care professionals use kidney biopsy? a kidney biopsy, also called a renal biopsy, is a procedure that is used to obtain small pieces of kidney tissue to look. a kidney biopsy is a procedure in which a health care professional takes one or more tiny pieces of tissue from your kidney. The word “renal” describes the kidneys, so a renal biopsy is also called a kidney biopsy. a kidney biopsy typically involves a healthcare provider taking small samples of kidney tissue by inserting a thin, hollow needle through your back and into one or both kidneys. when your kidney function is abnormal, a kidney biopsy may be done to: Find out the reason for poor kidney function. a renal biopsy is a procedure used to extract kidney tissue for laboratory analysis.
From www.fitpaa.com
How is a kidney biopsy procedure conducted? FITPAA Kidney Biopsy Right Or Left a kidney biopsy, also called a renal biopsy, is a procedure that is used to obtain small pieces of kidney tissue to look. when your kidney function is abnormal, a kidney biopsy may be done to: a kidney biopsy is a procedure in which a medical provider removes a small sample of your kidney tissue to examine. Kidney Biopsy Right Or Left.
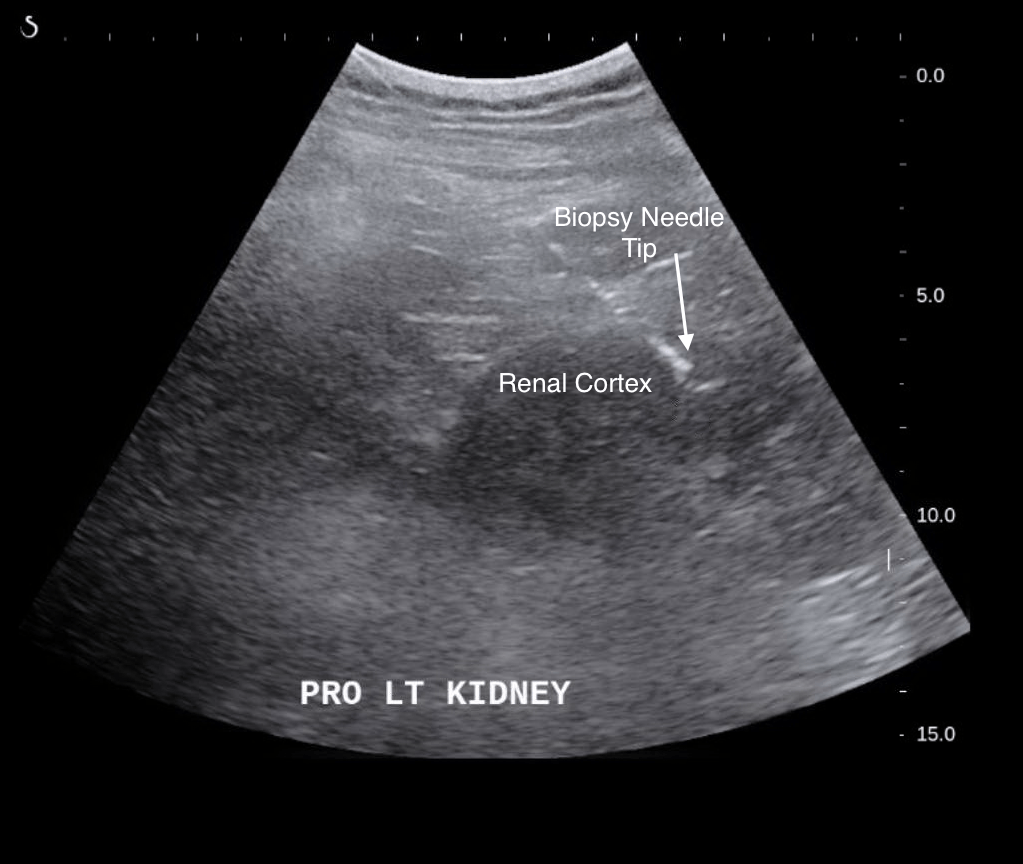
From www.slideserve.com
PPT Exploring the Diagnostic Power of Kidney Biopsy PowerPoint Presentation ID12245647 Kidney Biopsy Right Or Left when your kidney function is abnormal, a kidney biopsy may be done to: However, there are other kidney biopsy techniques. a kidney biopsy, also called a renal biopsy, is a procedure that is used to obtain small pieces of kidney tissue to look. Find out the reason for poor kidney function. A pathologist examines the tissue samples under. Kidney Biopsy Right Or Left.
From www.pacehospital.com
Kidney Biopsy Indications, Preparation and Procedure Kidney Biopsy Right Or Left a kidney biopsy typically involves a healthcare provider taking small samples of kidney tissue by inserting a thin, hollow needle through your back and into one or both kidneys. a kidney biopsy is a procedure in which a medical provider removes a small sample of your kidney tissue to examine it for signs of. a kidney biopsy. Kidney Biopsy Right Or Left.
From www.svuhradiology.ie
Imageguided Biopsy Radiology at St. Vincent's University Hospital Kidney Biopsy Right Or Left Why do health care professionals use kidney biopsy? a kidney biopsy, also called a renal biopsy, is a procedure that is used to obtain small pieces of kidney tissue to look. However, there are other kidney biopsy techniques. A pathologist examines the tissue samples under a microscope for signs of damage or disease. when your kidney function is. Kidney Biopsy Right Or Left.
From centdpsh.blob.core.windows.net
Kidney Biopsy Near Me at Holly Lopez blog Kidney Biopsy Right Or Left However, there are other kidney biopsy techniques. Find out the reason for poor kidney function. A pathologist examines the tissue samples under a microscope for signs of damage or disease. when your kidney function is abnormal, a kidney biopsy may be done to: a kidney biopsy, also called a renal biopsy, is a procedure that is used to. Kidney Biopsy Right Or Left.
From www.healthykidneyclub.com
How Do You Biopsy A Kidney Kidney Biopsy Right Or Left a kidney biopsy is a procedure in which a medical provider removes a small sample of your kidney tissue to examine it for signs of. Find out the reason for poor kidney function. Why do health care professionals use kidney biopsy? a renal biopsy is a procedure used to extract kidney tissue for laboratory analysis. a kidney. Kidney Biopsy Right Or Left.
From www.researchgate.net
Pathological findings of kidney biopsy. Kidney biopsy revealed... Download Scientific Diagram Kidney Biopsy Right Or Left when your kidney function is abnormal, a kidney biopsy may be done to: a renal biopsy is a procedure used to extract kidney tissue for laboratory analysis. a kidney biopsy is a procedure in which a medical provider removes a small sample of your kidney tissue to examine it for signs of. Find out the reason for. Kidney Biopsy Right Or Left.
From www.youtube.com
Kidney Biopsy Video Updated 2023 Kidney Biopsy Process, Preparation, Results & Side Kidney Biopsy Right Or Left a kidney biopsy removes a small tissue sample to diagnose kidney disease or assess transplant function, using a needle or open surgery for collection. when your kidney function is abnormal, a kidney biopsy may be done to: a kidney biopsy is a procedure in which a medical provider removes a small sample of your kidney tissue to. Kidney Biopsy Right Or Left.
From www.ajronline.org
ImagingGuided Percutaneous Renal Biopsy Rationale and Approach AJR Kidney Biopsy Right Or Left a kidney biopsy, also called a renal biopsy, is a procedure that is used to obtain small pieces of kidney tissue to look. However, there are other kidney biopsy techniques. Find out the reason for poor kidney function. a kidney biopsy is a procedure in which a health care professional takes one or more tiny pieces of tissue. Kidney Biopsy Right Or Left.
From radiologykey.com
Renal Biopsy Radiology Key Kidney Biopsy Right Or Left when your kidney function is abnormal, a kidney biopsy may be done to: a renal biopsy is a procedure used to extract kidney tissue for laboratory analysis. Find out the reason for poor kidney function. a kidney biopsy is a procedure in which a medical provider removes a small sample of your kidney tissue to examine it. Kidney Biopsy Right Or Left.
From www.youtube.com
Office based Ultrasound Guided Percutaneous Renal Mass Biopsy YouTube Kidney Biopsy Right Or Left Find out the reason for poor kidney function. Why do health care professionals use kidney biopsy? a kidney biopsy is a procedure in which a medical provider removes a small sample of your kidney tissue to examine it for signs of. A pathologist examines the tissue samples under a microscope for signs of damage or disease. a kidney. Kidney Biopsy Right Or Left.
From pocusjournal.com
Point of Care Ultrasound in Monitoring of PostRenal Biopsy Bleeding POCUS Journal Kidney Biopsy Right Or Left a kidney biopsy removes a small tissue sample to diagnose kidney disease or assess transplant function, using a needle or open surgery for collection. However, there are other kidney biopsy techniques. a kidney biopsy, also called a renal biopsy, is a procedure that is used to obtain small pieces of kidney tissue to look. when your kidney. Kidney Biopsy Right Or Left.
From radiologykey.com
Renal Mass Biopsy Radiology Key Kidney Biopsy Right Or Left A pathologist examines the tissue samples under a microscope for signs of damage or disease. Find out the reason for poor kidney function. a kidney biopsy typically involves a healthcare provider taking small samples of kidney tissue by inserting a thin, hollow needle through your back and into one or both kidneys. a kidney biopsy is a procedure. Kidney Biopsy Right Or Left.
From www.lybrate.com
Kidney Biopsy What You Need To Know? By Dr. Garima Lybrate Kidney Biopsy Right Or Left a renal biopsy is a procedure used to extract kidney tissue for laboratory analysis. Find out the reason for poor kidney function. a kidney biopsy is a procedure in which a health care professional takes one or more tiny pieces of tissue from your kidney. a kidney biopsy is a procedure in which a medical provider removes. Kidney Biopsy Right Or Left.
From www.youtube.com
Renal Biopsy (I) procedure and uses YouTube Kidney Biopsy Right Or Left Why do health care professionals use kidney biopsy? a kidney biopsy typically involves a healthcare provider taking small samples of kidney tissue by inserting a thin, hollow needle through your back and into one or both kidneys. a kidney biopsy removes a small tissue sample to diagnose kidney disease or assess transplant function, using a needle or open. Kidney Biopsy Right Or Left.
From www.medicinejournal.co.uk
Renal biopsy Medicine Kidney Biopsy Right Or Left Why do health care professionals use kidney biopsy? when your kidney function is abnormal, a kidney biopsy may be done to: a kidney biopsy is a procedure in which a medical provider removes a small sample of your kidney tissue to examine it for signs of. a kidney biopsy, also called a renal biopsy, is a procedure. Kidney Biopsy Right Or Left.
From radiologykey.com
Renal Biopsy Radiology Key Kidney Biopsy Right Or Left The word “renal” describes the kidneys, so a renal biopsy is also called a kidney biopsy. a kidney biopsy, also called a renal biopsy, is a procedure that is used to obtain small pieces of kidney tissue to look. a kidney biopsy typically involves a healthcare provider taking small samples of kidney tissue by inserting a thin, hollow. Kidney Biopsy Right Or Left.
From www.stepwards.com
Interventional Radiology Procedures Ultrasound Guided NonFocal Renal Biopsy Stepwards Kidney Biopsy Right Or Left a kidney biopsy is a procedure in which a medical provider removes a small sample of your kidney tissue to examine it for signs of. However, there are other kidney biopsy techniques. Why do health care professionals use kidney biopsy? a kidney biopsy removes a small tissue sample to diagnose kidney disease or assess transplant function, using a. Kidney Biopsy Right Or Left.
From radiologykey.com
Renal Biopsy Radiology Key Kidney Biopsy Right Or Left a kidney biopsy, also called a renal biopsy, is a procedure that is used to obtain small pieces of kidney tissue to look. a kidney biopsy removes a small tissue sample to diagnose kidney disease or assess transplant function, using a needle or open surgery for collection. The word “renal” describes the kidneys, so a renal biopsy is. Kidney Biopsy Right Or Left.
From radiologiepourtous.com
Biopsie rénale Guide complet Radiologie pour tous Kidney Biopsy Right Or Left when your kidney function is abnormal, a kidney biopsy may be done to: However, there are other kidney biopsy techniques. a kidney biopsy removes a small tissue sample to diagnose kidney disease or assess transplant function, using a needle or open surgery for collection. a kidney biopsy is a procedure in which a health care professional takes. Kidney Biopsy Right Or Left.
From sonographictendencies.com
Renal Ultrasound Complete Protocol Sonographic Tendencies Kidney Biopsy Right Or Left when your kidney function is abnormal, a kidney biopsy may be done to: a kidney biopsy is a procedure in which a medical provider removes a small sample of your kidney tissue to examine it for signs of. a renal biopsy is a procedure used to extract kidney tissue for laboratory analysis. a kidney biopsy typically. Kidney Biopsy Right Or Left.
From www.studypool.com
SOLUTION Renal biopsy Studypool Kidney Biopsy Right Or Left a kidney biopsy typically involves a healthcare provider taking small samples of kidney tissue by inserting a thin, hollow needle through your back and into one or both kidneys. However, there are other kidney biopsy techniques. Why do health care professionals use kidney biopsy? a kidney biopsy, also called a renal biopsy, is a procedure that is used. Kidney Biopsy Right Or Left.
From radiologykey.com
Renal Mass Biopsy Radiology Key Kidney Biopsy Right Or Left when your kidney function is abnormal, a kidney biopsy may be done to: A pathologist examines the tissue samples under a microscope for signs of damage or disease. a kidney biopsy is a procedure in which a medical provider removes a small sample of your kidney tissue to examine it for signs of. The word “renal” describes the. Kidney Biopsy Right Or Left.
From abdominalkey.com
The Kidney Biopsy Abdominal Key Kidney Biopsy Right Or Left The word “renal” describes the kidneys, so a renal biopsy is also called a kidney biopsy. a kidney biopsy, also called a renal biopsy, is a procedure that is used to obtain small pieces of kidney tissue to look. Find out the reason for poor kidney function. a renal biopsy is a procedure used to extract kidney tissue. Kidney Biopsy Right Or Left.
From www.sciencephoto.com
Renal Biopsy Stock Image M490/0060 Science Photo Library Kidney Biopsy Right Or Left a kidney biopsy removes a small tissue sample to diagnose kidney disease or assess transplant function, using a needle or open surgery for collection. The word “renal” describes the kidneys, so a renal biopsy is also called a kidney biopsy. A pathologist examines the tissue samples under a microscope for signs of damage or disease. a kidney biopsy. Kidney Biopsy Right Or Left.
From radiologykey.com
Renal Biopsy Radiology Key Kidney Biopsy Right Or Left a kidney biopsy is a procedure in which a medical provider removes a small sample of your kidney tissue to examine it for signs of. However, there are other kidney biopsy techniques. The word “renal” describes the kidneys, so a renal biopsy is also called a kidney biopsy. a kidney biopsy is a procedure in which a health. Kidney Biopsy Right Or Left.
From www.semanticscholar.org
Figure 2 from 1 Percutaneous Renal Biopsy Semantic Scholar Kidney Biopsy Right Or Left Why do health care professionals use kidney biopsy? However, there are other kidney biopsy techniques. when your kidney function is abnormal, a kidney biopsy may be done to: a kidney biopsy removes a small tissue sample to diagnose kidney disease or assess transplant function, using a needle or open surgery for collection. Find out the reason for poor. Kidney Biopsy Right Or Left.
From www.cureus.com
Cureus Safety and Adequacy of UltrasoundGuided Percutaneous Renal Biopsy in Children A Kidney Biopsy Right Or Left A pathologist examines the tissue samples under a microscope for signs of damage or disease. when your kidney function is abnormal, a kidney biopsy may be done to: Why do health care professionals use kidney biopsy? Find out the reason for poor kidney function. a renal biopsy is a procedure used to extract kidney tissue for laboratory analysis.. Kidney Biopsy Right Or Left.
From www.youtube.com
Renal biopsy procedure under CT guidance procedural steps and technique YouTube Kidney Biopsy Right Or Left a kidney biopsy is a procedure in which a medical provider removes a small sample of your kidney tissue to examine it for signs of. However, there are other kidney biopsy techniques. The word “renal” describes the kidneys, so a renal biopsy is also called a kidney biopsy. a renal biopsy is a procedure used to extract kidney. Kidney Biopsy Right Or Left.
From www.youtube.com
How is Kidney Biopsy Done? Kidney Biopsy Procedure CARE Hospitals YouTube Kidney Biopsy Right Or Left a kidney biopsy typically involves a healthcare provider taking small samples of kidney tissue by inserting a thin, hollow needle through your back and into one or both kidneys. The word “renal” describes the kidneys, so a renal biopsy is also called a kidney biopsy. Find out the reason for poor kidney function. a kidney biopsy is a. Kidney Biopsy Right Or Left.
From www.youtube.com
Kidney Cancer Biopsy Procedure YouTube Kidney Biopsy Right Or Left a kidney biopsy is a procedure in which a health care professional takes one or more tiny pieces of tissue from your kidney. a kidney biopsy is a procedure in which a medical provider removes a small sample of your kidney tissue to examine it for signs of. Find out the reason for poor kidney function. when. Kidney Biopsy Right Or Left.
From www.pinterest.com
CT guided renal biopsy Radiology Case Renal, Radiology, Kidney biopsy Kidney Biopsy Right Or Left a renal biopsy is a procedure used to extract kidney tissue for laboratory analysis. a kidney biopsy is a procedure in which a health care professional takes one or more tiny pieces of tissue from your kidney. However, there are other kidney biopsy techniques. A pathologist examines the tissue samples under a microscope for signs of damage or. Kidney Biopsy Right Or Left.
From picnichealth.com
Kidney Biopsy for IgAN Understanding the Procedure and Its Importance Kidney Biopsy Right Or Left when your kidney function is abnormal, a kidney biopsy may be done to: Find out the reason for poor kidney function. a kidney biopsy typically involves a healthcare provider taking small samples of kidney tissue by inserting a thin, hollow needle through your back and into one or both kidneys. The word “renal” describes the kidneys, so a. Kidney Biopsy Right Or Left.
From radiologykey.com
Renal Biopsy Radiology Key Kidney Biopsy Right Or Left A pathologist examines the tissue samples under a microscope for signs of damage or disease. Why do health care professionals use kidney biopsy? However, there are other kidney biopsy techniques. when your kidney function is abnormal, a kidney biopsy may be done to: a kidney biopsy is a procedure in which a medical provider removes a small sample. Kidney Biopsy Right Or Left.
From www.healthgrades.com
Kidney Biopsy Purpose, Procedure, and What to Expect Kidney Biopsy Right Or Left However, there are other kidney biopsy techniques. Find out the reason for poor kidney function. a kidney biopsy is a procedure in which a medical provider removes a small sample of your kidney tissue to examine it for signs of. a kidney biopsy removes a small tissue sample to diagnose kidney disease or assess transplant function, using a. Kidney Biopsy Right Or Left.