Intubation And Pneumothorax . pneumothorax is especially likely if there is right main bronchus intubation. pneumothorax is a potentially lethal complication associated with. historically, a small pneumothorax has been shown to be successfully treated without chest tube. the duration of chest intubation among those with pneumothorax varied between 2 and 15 days (median 7).
from www.mdpi.com
the duration of chest intubation among those with pneumothorax varied between 2 and 15 days (median 7). pneumothorax is a potentially lethal complication associated with. historically, a small pneumothorax has been shown to be successfully treated without chest tube. pneumothorax is especially likely if there is right main bronchus intubation.
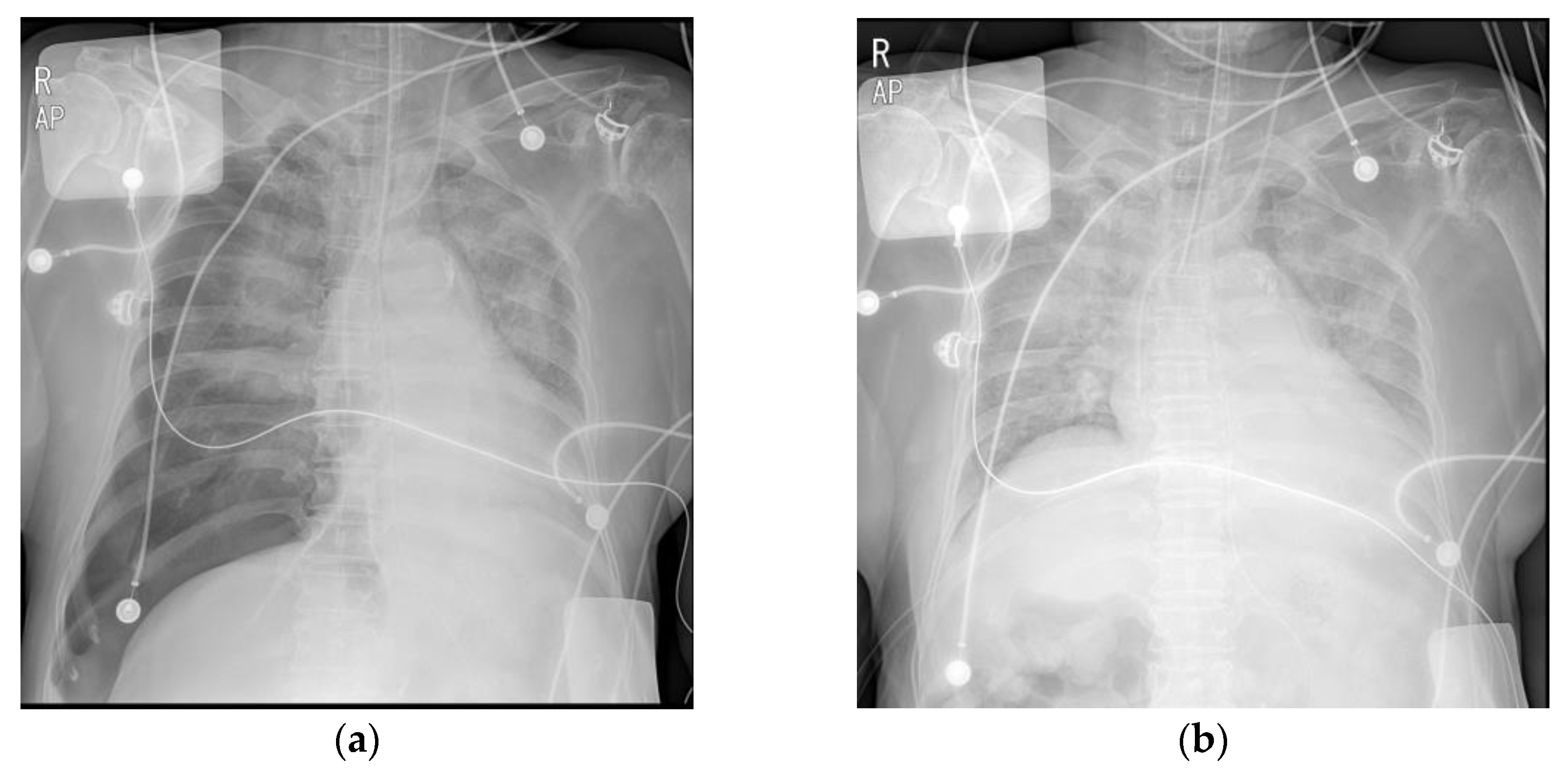
Medicina Free FullText Unexpected Tension Pneumothorax after
Intubation And Pneumothorax pneumothorax is especially likely if there is right main bronchus intubation. pneumothorax is a potentially lethal complication associated with. historically, a small pneumothorax has been shown to be successfully treated without chest tube. the duration of chest intubation among those with pneumothorax varied between 2 and 15 days (median 7). pneumothorax is especially likely if there is right main bronchus intubation.
From www.cureus.com
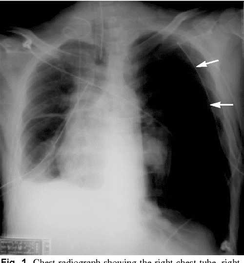
Cureus Pneumothorax in Intubated Patients With COVID19 A Case Series Intubation And Pneumothorax pneumothorax is a potentially lethal complication associated with. the duration of chest intubation among those with pneumothorax varied between 2 and 15 days (median 7). historically, a small pneumothorax has been shown to be successfully treated without chest tube. pneumothorax is especially likely if there is right main bronchus intubation. Intubation And Pneumothorax.
From www.ochsnerjournal.org
Pyriform Sinus Tract Injury After Traumatic Intubation With Resulting Intubation And Pneumothorax historically, a small pneumothorax has been shown to be successfully treated without chest tube. pneumothorax is a potentially lethal complication associated with. pneumothorax is especially likely if there is right main bronchus intubation. the duration of chest intubation among those with pneumothorax varied between 2 and 15 days (median 7). Intubation And Pneumothorax.
From hellodoktor.com
Pneumothorax Hello Doktor Intubation And Pneumothorax the duration of chest intubation among those with pneumothorax varied between 2 and 15 days (median 7). pneumothorax is especially likely if there is right main bronchus intubation. pneumothorax is a potentially lethal complication associated with. historically, a small pneumothorax has been shown to be successfully treated without chest tube. Intubation And Pneumothorax.
From www.pediatr-neonatol.com
Selective right lung intubationventilation strategy in persistent left Intubation And Pneumothorax the duration of chest intubation among those with pneumothorax varied between 2 and 15 days (median 7). historically, a small pneumothorax has been shown to be successfully treated without chest tube. pneumothorax is especially likely if there is right main bronchus intubation. pneumothorax is a potentially lethal complication associated with. Intubation And Pneumothorax.
From www.shutterstock.com
Left Tension Pneumothorax Endotracheal Intubation Stock Photo Intubation And Pneumothorax the duration of chest intubation among those with pneumothorax varied between 2 and 15 days (median 7). historically, a small pneumothorax has been shown to be successfully treated without chest tube. pneumothorax is especially likely if there is right main bronchus intubation. pneumothorax is a potentially lethal complication associated with. Intubation And Pneumothorax.
From www.lecturio.de
Pneumothorax Symptome, Ursachen, Spätfolgen Lecturio Intubation And Pneumothorax pneumothorax is especially likely if there is right main bronchus intubation. pneumothorax is a potentially lethal complication associated with. the duration of chest intubation among those with pneumothorax varied between 2 and 15 days (median 7). historically, a small pneumothorax has been shown to be successfully treated without chest tube. Intubation And Pneumothorax.
From mavink.com
Pathway Pneumothorax Intubation And Pneumothorax pneumothorax is especially likely if there is right main bronchus intubation. pneumothorax is a potentially lethal complication associated with. historically, a small pneumothorax has been shown to be successfully treated without chest tube. the duration of chest intubation among those with pneumothorax varied between 2 and 15 days (median 7). Intubation And Pneumothorax.
From www.pediatr-neonatol.com
Selective right lung intubationventilation strategy in persistent left Intubation And Pneumothorax the duration of chest intubation among those with pneumothorax varied between 2 and 15 days (median 7). historically, a small pneumothorax has been shown to be successfully treated without chest tube. pneumothorax is especially likely if there is right main bronchus intubation. pneumothorax is a potentially lethal complication associated with. Intubation And Pneumothorax.
From www.scribd.com
Surgery Pneumothorax and Chest Intubation PDF Intubation And Pneumothorax pneumothorax is especially likely if there is right main bronchus intubation. historically, a small pneumothorax has been shown to be successfully treated without chest tube. the duration of chest intubation among those with pneumothorax varied between 2 and 15 days (median 7). pneumothorax is a potentially lethal complication associated with. Intubation And Pneumothorax.
From erj.ersjournals.com
Outpatient management of primary spontaneous pneumothorax a Intubation And Pneumothorax historically, a small pneumothorax has been shown to be successfully treated without chest tube. pneumothorax is a potentially lethal complication associated with. the duration of chest intubation among those with pneumothorax varied between 2 and 15 days (median 7). pneumothorax is especially likely if there is right main bronchus intubation. Intubation And Pneumothorax.
From jamanetwork.com
Pneumothorax Critical Care Medicine JAMA JAMA Network Intubation And Pneumothorax pneumothorax is especially likely if there is right main bronchus intubation. the duration of chest intubation among those with pneumothorax varied between 2 and 15 days (median 7). historically, a small pneumothorax has been shown to be successfully treated without chest tube. pneumothorax is a potentially lethal complication associated with. Intubation And Pneumothorax.
From onlinelibrary.wiley.com
Association of pneumothorax with use of a bougie for endotracheal Intubation And Pneumothorax pneumothorax is especially likely if there is right main bronchus intubation. the duration of chest intubation among those with pneumothorax varied between 2 and 15 days (median 7). pneumothorax is a potentially lethal complication associated with. historically, a small pneumothorax has been shown to be successfully treated without chest tube. Intubation And Pneumothorax.
From medschool.co
Pneumothorax Chest XRay MedSchool Intubation And Pneumothorax historically, a small pneumothorax has been shown to be successfully treated without chest tube. pneumothorax is especially likely if there is right main bronchus intubation. the duration of chest intubation among those with pneumothorax varied between 2 and 15 days (median 7). pneumothorax is a potentially lethal complication associated with. Intubation And Pneumothorax.
From drawittoknowit.com
Pathology Glossary Pneumothorax Draw It to Know It Intubation And Pneumothorax pneumothorax is a potentially lethal complication associated with. historically, a small pneumothorax has been shown to be successfully treated without chest tube. pneumothorax is especially likely if there is right main bronchus intubation. the duration of chest intubation among those with pneumothorax varied between 2 and 15 days (median 7). Intubation And Pneumothorax.
From www.emdocs.net
Emergency Medicine EducationMedical Malpractice Insights Intubation And Pneumothorax pneumothorax is especially likely if there is right main bronchus intubation. historically, a small pneumothorax has been shown to be successfully treated without chest tube. the duration of chest intubation among those with pneumothorax varied between 2 and 15 days (median 7). pneumothorax is a potentially lethal complication associated with. Intubation And Pneumothorax.
From jensentemay.blogspot.com
left apical pneumothorax JensenteMay Intubation And Pneumothorax pneumothorax is a potentially lethal complication associated with. the duration of chest intubation among those with pneumothorax varied between 2 and 15 days (median 7). historically, a small pneumothorax has been shown to be successfully treated without chest tube. pneumothorax is especially likely if there is right main bronchus intubation. Intubation And Pneumothorax.
From www.slideserve.com
PPT Soft Tissue Injury PowerPoint Presentation ID1634436 Intubation And Pneumothorax the duration of chest intubation among those with pneumothorax varied between 2 and 15 days (median 7). pneumothorax is especially likely if there is right main bronchus intubation. pneumothorax is a potentially lethal complication associated with. historically, a small pneumothorax has been shown to be successfully treated without chest tube. Intubation And Pneumothorax.
From www.cureus.com
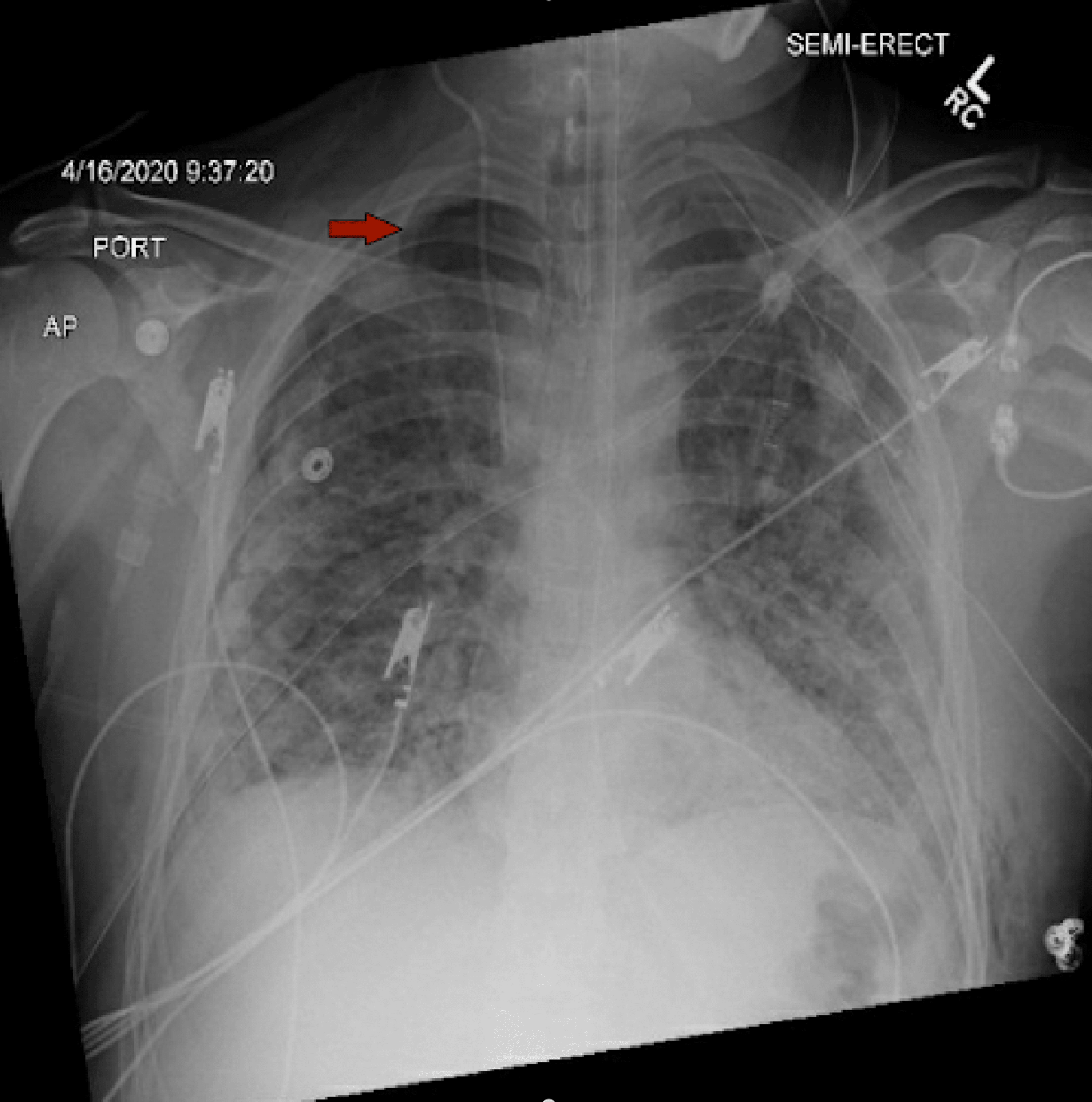
Cureus COVID19Associated Tension Pneumothorax in Mechanically Intubation And Pneumothorax pneumothorax is especially likely if there is right main bronchus intubation. pneumothorax is a potentially lethal complication associated with. the duration of chest intubation among those with pneumothorax varied between 2 and 15 days (median 7). historically, a small pneumothorax has been shown to be successfully treated without chest tube. Intubation And Pneumothorax.
From www.cureus.com
Cureus Pneumothorax in Intubated Patients With COVID19 A Case Series Intubation And Pneumothorax pneumothorax is a potentially lethal complication associated with. the duration of chest intubation among those with pneumothorax varied between 2 and 15 days (median 7). historically, a small pneumothorax has been shown to be successfully treated without chest tube. pneumothorax is especially likely if there is right main bronchus intubation. Intubation And Pneumothorax.
From www.stepwards.com
Condition Specific Radiology Pneumothorax Stepwards Intubation And Pneumothorax pneumothorax is a potentially lethal complication associated with. historically, a small pneumothorax has been shown to be successfully treated without chest tube. the duration of chest intubation among those with pneumothorax varied between 2 and 15 days (median 7). pneumothorax is especially likely if there is right main bronchus intubation. Intubation And Pneumothorax.
From www.osmosis.org
Open Pneumothorax What Is It, Diagnosis, and More Osmosis Intubation And Pneumothorax the duration of chest intubation among those with pneumothorax varied between 2 and 15 days (median 7). pneumothorax is a potentially lethal complication associated with. historically, a small pneumothorax has been shown to be successfully treated without chest tube. pneumothorax is especially likely if there is right main bronchus intubation. Intubation And Pneumothorax.
From dokumen.tips
(PDF) Post‑intubation tension pneumothorax and pneumoperitoneum Intubation And Pneumothorax the duration of chest intubation among those with pneumothorax varied between 2 and 15 days (median 7). pneumothorax is a potentially lethal complication associated with. historically, a small pneumothorax has been shown to be successfully treated without chest tube. pneumothorax is especially likely if there is right main bronchus intubation. Intubation And Pneumothorax.
From www.apsf.org
Tension Pneumothorax in the Operating Room When Teamwork and Intubation And Pneumothorax pneumothorax is especially likely if there is right main bronchus intubation. the duration of chest intubation among those with pneumothorax varied between 2 and 15 days (median 7). pneumothorax is a potentially lethal complication associated with. historically, a small pneumothorax has been shown to be successfully treated without chest tube. Intubation And Pneumothorax.
From www.svuhradiology.ie
Pneumothorax expiration Radiology at St. Vincent's University Hospital Intubation And Pneumothorax historically, a small pneumothorax has been shown to be successfully treated without chest tube. the duration of chest intubation among those with pneumothorax varied between 2 and 15 days (median 7). pneumothorax is a potentially lethal complication associated with. pneumothorax is especially likely if there is right main bronchus intubation. Intubation And Pneumothorax.
From www.semanticscholar.org
Postintubation tension pneumothorax and pneumoperitoneum in a low Intubation And Pneumothorax historically, a small pneumothorax has been shown to be successfully treated without chest tube. the duration of chest intubation among those with pneumothorax varied between 2 and 15 days (median 7). pneumothorax is especially likely if there is right main bronchus intubation. pneumothorax is a potentially lethal complication associated with. Intubation And Pneumothorax.
From www.mdpi.com
Medicina Free FullText Unexpected Tension Pneumothorax after Intubation And Pneumothorax pneumothorax is a potentially lethal complication associated with. the duration of chest intubation among those with pneumothorax varied between 2 and 15 days (median 7). pneumothorax is especially likely if there is right main bronchus intubation. historically, a small pneumothorax has been shown to be successfully treated without chest tube. Intubation And Pneumothorax.
From docslib.org
A Case of Pneumothorax Following Bougie‑Guided Intubation in a Patient Intubation And Pneumothorax the duration of chest intubation among those with pneumothorax varied between 2 and 15 days (median 7). historically, a small pneumothorax has been shown to be successfully treated without chest tube. pneumothorax is a potentially lethal complication associated with. pneumothorax is especially likely if there is right main bronchus intubation. Intubation And Pneumothorax.
From www.cureus.com
Cureus Pneumothorax in Intubated Patients With COVID19 A Case Series Intubation And Pneumothorax pneumothorax is a potentially lethal complication associated with. historically, a small pneumothorax has been shown to be successfully treated without chest tube. the duration of chest intubation among those with pneumothorax varied between 2 and 15 days (median 7). pneumothorax is especially likely if there is right main bronchus intubation. Intubation And Pneumothorax.
From cpr-test.org
Can CPR Cause a Pneumothorax (collapsed lung)? CPR Test Intubation And Pneumothorax pneumothorax is especially likely if there is right main bronchus intubation. the duration of chest intubation among those with pneumothorax varied between 2 and 15 days (median 7). pneumothorax is a potentially lethal complication associated with. historically, a small pneumothorax has been shown to be successfully treated without chest tube. Intubation And Pneumothorax.
From www.mdpi.com
Medicina Free FullText Unexpected Tension Pneumothorax after Intubation And Pneumothorax pneumothorax is especially likely if there is right main bronchus intubation. the duration of chest intubation among those with pneumothorax varied between 2 and 15 days (median 7). historically, a small pneumothorax has been shown to be successfully treated without chest tube. pneumothorax is a potentially lethal complication associated with. Intubation And Pneumothorax.
From onlinelibrary.wiley.com
Association of pneumothorax with use of a bougie for endotracheal Intubation And Pneumothorax pneumothorax is a potentially lethal complication associated with. historically, a small pneumothorax has been shown to be successfully treated without chest tube. the duration of chest intubation among those with pneumothorax varied between 2 and 15 days (median 7). pneumothorax is especially likely if there is right main bronchus intubation. Intubation And Pneumothorax.
From www.stepwards.com
Pneumothorax Stepwards Intubation And Pneumothorax pneumothorax is especially likely if there is right main bronchus intubation. the duration of chest intubation among those with pneumothorax varied between 2 and 15 days (median 7). pneumothorax is a potentially lethal complication associated with. historically, a small pneumothorax has been shown to be successfully treated without chest tube. Intubation And Pneumothorax.
From www.researchgate.net
Postoperation chest Xray shows right pneumonectomy with partial Intubation And Pneumothorax pneumothorax is a potentially lethal complication associated with. historically, a small pneumothorax has been shown to be successfully treated without chest tube. the duration of chest intubation among those with pneumothorax varied between 2 and 15 days (median 7). pneumothorax is especially likely if there is right main bronchus intubation. Intubation And Pneumothorax.
From www.osmosis.org
Tension Pneumothorax What Is It, Causes, Signs, Symptoms, Diagnosis Intubation And Pneumothorax the duration of chest intubation among those with pneumothorax varied between 2 and 15 days (median 7). pneumothorax is especially likely if there is right main bronchus intubation. historically, a small pneumothorax has been shown to be successfully treated without chest tube. pneumothorax is a potentially lethal complication associated with. Intubation And Pneumothorax.
From www.semanticscholar.org
[PDF] Tension pneumothorax complicated by doublelumen endotracheal Intubation And Pneumothorax the duration of chest intubation among those with pneumothorax varied between 2 and 15 days (median 7). pneumothorax is especially likely if there is right main bronchus intubation. pneumothorax is a potentially lethal complication associated with. historically, a small pneumothorax has been shown to be successfully treated without chest tube. Intubation And Pneumothorax.