What Is A Bitewing X Ray . the bitewing radiograph (bw) is an image that depicts the maxillary and mandibular crowns of the teeth, providing a clear. Bitewings reveal the presence and extent of decay in the back teeth, specifically in.
from www.researchgate.net
Bitewings reveal the presence and extent of decay in the back teeth, specifically in. the bitewing radiograph (bw) is an image that depicts the maxillary and mandibular crowns of the teeth, providing a clear.
(PDF) Ludwig Angina after First Aid Treatment Possible Etiologies and
What Is A Bitewing X Ray the bitewing radiograph (bw) is an image that depicts the maxillary and mandibular crowns of the teeth, providing a clear. the bitewing radiograph (bw) is an image that depicts the maxillary and mandibular crowns of the teeth, providing a clear. Bitewings reveal the presence and extent of decay in the back teeth, specifically in.
From buyxraysonline.com
BITEWING XRAYS 8 What Is A Bitewing X Ray the bitewing radiograph (bw) is an image that depicts the maxillary and mandibular crowns of the teeth, providing a clear. Bitewings reveal the presence and extent of decay in the back teeth, specifically in. What Is A Bitewing X Ray.
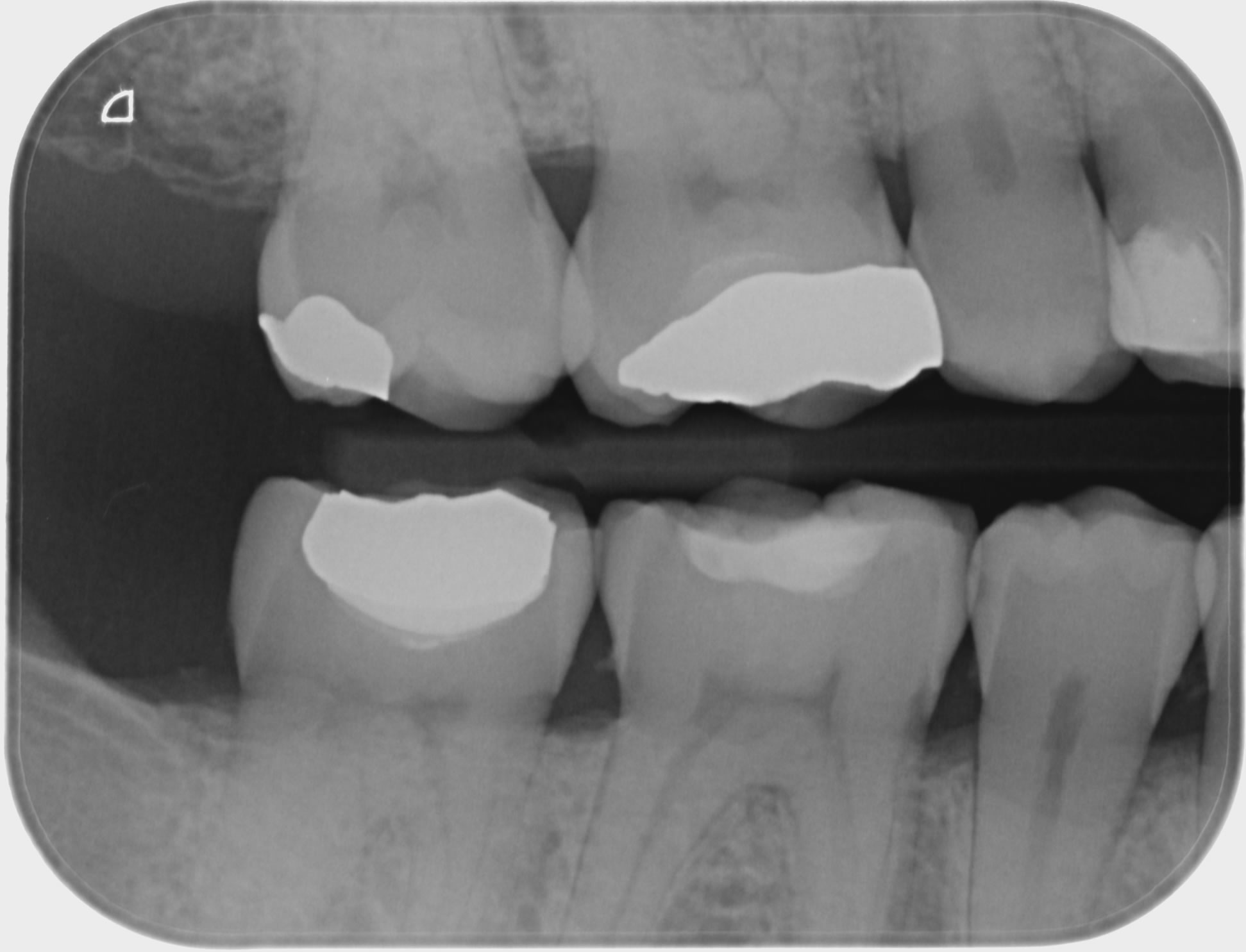
From mavink.com
Bitewing Radiograph What Is A Bitewing X Ray Bitewings reveal the presence and extent of decay in the back teeth, specifically in. the bitewing radiograph (bw) is an image that depicts the maxillary and mandibular crowns of the teeth, providing a clear. What Is A Bitewing X Ray.
From knoxfamilydentist.com
Knoxville Dentist Office Talks Flossing What Is A Bitewing X Ray the bitewing radiograph (bw) is an image that depicts the maxillary and mandibular crowns of the teeth, providing a clear. Bitewings reveal the presence and extent of decay in the back teeth, specifically in. What Is A Bitewing X Ray.
From www.sciencephoto.com
Dental Bitewing XRay Films Stock Image C030/6023 Science Photo What Is A Bitewing X Ray the bitewing radiograph (bw) is an image that depicts the maxillary and mandibular crowns of the teeth, providing a clear. Bitewings reveal the presence and extent of decay in the back teeth, specifically in. What Is A Bitewing X Ray.
From dentagama.com
Bitewing dental xrays News Dentagama What Is A Bitewing X Ray the bitewing radiograph (bw) is an image that depicts the maxillary and mandibular crowns of the teeth, providing a clear. Bitewings reveal the presence and extent of decay in the back teeth, specifically in. What Is A Bitewing X Ray.
From www.batchelor-dentistry.com
Dental XRays Everything You Need to Know What Is A Bitewing X Ray the bitewing radiograph (bw) is an image that depicts the maxillary and mandibular crowns of the teeth, providing a clear. Bitewings reveal the presence and extent of decay in the back teeth, specifically in. What Is A Bitewing X Ray.
From www.directorioodontologico.info
DENTAL RADIOLOGY Tips and Tricks for Bitewing XRays Directorio What Is A Bitewing X Ray the bitewing radiograph (bw) is an image that depicts the maxillary and mandibular crowns of the teeth, providing a clear. Bitewings reveal the presence and extent of decay in the back teeth, specifically in. What Is A Bitewing X Ray.
From www.palmsdentist.co.nz
Bitewing xray with cavities 2 Palms Dentist, Shirley Christchurch What Is A Bitewing X Ray Bitewings reveal the presence and extent of decay in the back teeth, specifically in. the bitewing radiograph (bw) is an image that depicts the maxillary and mandibular crowns of the teeth, providing a clear. What Is A Bitewing X Ray.
From www.youtube.com
Bitewing Technique YouTube What Is A Bitewing X Ray the bitewing radiograph (bw) is an image that depicts the maxillary and mandibular crowns of the teeth, providing a clear. Bitewings reveal the presence and extent of decay in the back teeth, specifically in. What Is A Bitewing X Ray.
From www.absolutesmile.com.sg
Absolute smile dental Xrays What Is A Bitewing X Ray the bitewing radiograph (bw) is an image that depicts the maxillary and mandibular crowns of the teeth, providing a clear. Bitewings reveal the presence and extent of decay in the back teeth, specifically in. What Is A Bitewing X Ray.
From www.youtube.com
Mounting Bitewing Xrays YouTube What Is A Bitewing X Ray the bitewing radiograph (bw) is an image that depicts the maxillary and mandibular crowns of the teeth, providing a clear. Bitewings reveal the presence and extent of decay in the back teeth, specifically in. What Is A Bitewing X Ray.
From www.alamy.com
The dental bitewing xray film holder positions the xray in the What Is A Bitewing X Ray the bitewing radiograph (bw) is an image that depicts the maxillary and mandibular crowns of the teeth, providing a clear. Bitewings reveal the presence and extent of decay in the back teeth, specifically in. What Is A Bitewing X Ray.
From www.youtube.com
How to Perform a Bitewing XRay. YouTube What Is A Bitewing X Ray the bitewing radiograph (bw) is an image that depicts the maxillary and mandibular crowns of the teeth, providing a clear. Bitewings reveal the presence and extent of decay in the back teeth, specifically in. What Is A Bitewing X Ray.
From www.drjrobb.com
What are Bitewing Xrays and Why Do You Take Them? What Is A Bitewing X Ray Bitewings reveal the presence and extent of decay in the back teeth, specifically in. the bitewing radiograph (bw) is an image that depicts the maxillary and mandibular crowns of the teeth, providing a clear. What Is A Bitewing X Ray.
From www.facialart.com
dental xrays periapical panorex bitewing cone beam CT scan CBCT kazemi What Is A Bitewing X Ray Bitewings reveal the presence and extent of decay in the back teeth, specifically in. the bitewing radiograph (bw) is an image that depicts the maxillary and mandibular crowns of the teeth, providing a clear. What Is A Bitewing X Ray.
From www.bluewaterdentists.com
Digital Dental Xrays Blue Water Dental Langley Dentist What Is A Bitewing X Ray the bitewing radiograph (bw) is an image that depicts the maxillary and mandibular crowns of the teeth, providing a clear. Bitewings reveal the presence and extent of decay in the back teeth, specifically in. What Is A Bitewing X Ray.
From www.smiles-for-kids.com
What are "bitewing" xrays and why do we take them? — Smiles for Kids What Is A Bitewing X Ray the bitewing radiograph (bw) is an image that depicts the maxillary and mandibular crowns of the teeth, providing a clear. Bitewings reveal the presence and extent of decay in the back teeth, specifically in. What Is A Bitewing X Ray.
From www.pinterest.ch
Bitewing Xrays Bitewing Xrays are an essential part of your dental What Is A Bitewing X Ray Bitewings reveal the presence and extent of decay in the back teeth, specifically in. the bitewing radiograph (bw) is an image that depicts the maxillary and mandibular crowns of the teeth, providing a clear. What Is A Bitewing X Ray.
From drdanenberg.com
Dental Xrays Why? What Kind? How Often? Dr. Danenberg What Is A Bitewing X Ray Bitewings reveal the presence and extent of decay in the back teeth, specifically in. the bitewing radiograph (bw) is an image that depicts the maxillary and mandibular crowns of the teeth, providing a clear. What Is A Bitewing X Ray.
From www.facialart.com
How Dental Infections and Oral Pathology can be Missed on Bitewing X What Is A Bitewing X Ray the bitewing radiograph (bw) is an image that depicts the maxillary and mandibular crowns of the teeth, providing a clear. Bitewings reveal the presence and extent of decay in the back teeth, specifically in. What Is A Bitewing X Ray.
From pocketdentistry.com
10 Bitewing radiography Pocket Dentistry What Is A Bitewing X Ray the bitewing radiograph (bw) is an image that depicts the maxillary and mandibular crowns of the teeth, providing a clear. Bitewings reveal the presence and extent of decay in the back teeth, specifically in. What Is A Bitewing X Ray.
From www.researchgate.net
(PDF) Ludwig Angina after First Aid Treatment Possible Etiologies and What Is A Bitewing X Ray the bitewing radiograph (bw) is an image that depicts the maxillary and mandibular crowns of the teeth, providing a clear. Bitewings reveal the presence and extent of decay in the back teeth, specifically in. What Is A Bitewing X Ray.
From dentagama.com
Bitewing dental xrays News Dentagama What Is A Bitewing X Ray Bitewings reveal the presence and extent of decay in the back teeth, specifically in. the bitewing radiograph (bw) is an image that depicts the maxillary and mandibular crowns of the teeth, providing a clear. What Is A Bitewing X Ray.
From nwpd.com.au
Why do we take xrays? Norwest Paediatric Dentistry What Is A Bitewing X Ray the bitewing radiograph (bw) is an image that depicts the maxillary and mandibular crowns of the teeth, providing a clear. Bitewings reveal the presence and extent of decay in the back teeth, specifically in. What Is A Bitewing X Ray.
From dentistry.com
Bitewing Xrays What Is A Bitewing X Ray the bitewing radiograph (bw) is an image that depicts the maxillary and mandibular crowns of the teeth, providing a clear. Bitewings reveal the presence and extent of decay in the back teeth, specifically in. What Is A Bitewing X Ray.
From www.alamy.com
Bitewing x ray hires stock photography and images Alamy What Is A Bitewing X Ray the bitewing radiograph (bw) is an image that depicts the maxillary and mandibular crowns of the teeth, providing a clear. Bitewings reveal the presence and extent of decay in the back teeth, specifically in. What Is A Bitewing X Ray.
From www.semanticscholar.org
[PDF] Dental human identification using bitewing radiographs a case What Is A Bitewing X Ray Bitewings reveal the presence and extent of decay in the back teeth, specifically in. the bitewing radiograph (bw) is an image that depicts the maxillary and mandibular crowns of the teeth, providing a clear. What Is A Bitewing X Ray.
From drnakisa.com
رادیوگرافی بایت وینگ BW What Is A Bitewing X Ray the bitewing radiograph (bw) is an image that depicts the maxillary and mandibular crowns of the teeth, providing a clear. Bitewings reveal the presence and extent of decay in the back teeth, specifically in. What Is A Bitewing X Ray.
From www.greenspandental.com
Digital Bitewing Xray Dr. Ari Greenspan Dentist What Is A Bitewing X Ray Bitewings reveal the presence and extent of decay in the back teeth, specifically in. the bitewing radiograph (bw) is an image that depicts the maxillary and mandibular crowns of the teeth, providing a clear. What Is A Bitewing X Ray.
From revealdiagnostics.com
Bitewing Xrays What They Are And Why Your Dentist Them What Is A Bitewing X Ray Bitewings reveal the presence and extent of decay in the back teeth, specifically in. the bitewing radiograph (bw) is an image that depicts the maxillary and mandibular crowns of the teeth, providing a clear. What Is A Bitewing X Ray.
From www.slideshare.net
Presentation8 colonsocopy, bitewing xray, hernioplasty, anastomosis What Is A Bitewing X Ray the bitewing radiograph (bw) is an image that depicts the maxillary and mandibular crowns of the teeth, providing a clear. Bitewings reveal the presence and extent of decay in the back teeth, specifically in. What Is A Bitewing X Ray.
From dentaltips.org
How Often Should I Take Checkup XRays? — DentalTips What Is A Bitewing X Ray the bitewing radiograph (bw) is an image that depicts the maxillary and mandibular crowns of the teeth, providing a clear. Bitewings reveal the presence and extent of decay in the back teeth, specifically in. What Is A Bitewing X Ray.
From www.creeksideendo.com
Root Canal Xrays Needed for Quality Treatment Creekside Endodontics What Is A Bitewing X Ray the bitewing radiograph (bw) is an image that depicts the maxillary and mandibular crowns of the teeth, providing a clear. Bitewings reveal the presence and extent of decay in the back teeth, specifically in. What Is A Bitewing X Ray.
From www.flickr.com
Bitewing dental xray digital technical picture Picture by… Flickr What Is A Bitewing X Ray the bitewing radiograph (bw) is an image that depicts the maxillary and mandibular crowns of the teeth, providing a clear. Bitewings reveal the presence and extent of decay in the back teeth, specifically in. What Is A Bitewing X Ray.
From www.smilesofvirginia.com
bitewing_image Smiles of Virginia Family Dental Center What Is A Bitewing X Ray the bitewing radiograph (bw) is an image that depicts the maxillary and mandibular crowns of the teeth, providing a clear. Bitewings reveal the presence and extent of decay in the back teeth, specifically in. What Is A Bitewing X Ray.