Simple Columnar Epithelium Microvilli Function . The simple columnar epithelium is. The shoebox represents the columnar shape. This type of epithelium is typically found in glandular (secreting) tissue and kidney tubules. Microvilli serve to increase the surface area of the epithelium for secretion of mucin and enzymes and absorption of nutrients. Additionally, the fingerlike projections are likely to be microvilli. This type of epithelium is often specialized. Secretes mucus along stomach lining (microvilli) to absorb nutrients They often appear all together on light microscopy. The cell membrane of simple columnar epithelium is specialized to facilitate its primary functions. Microvilli present on the surface of epithelial cells like those found in the lining of the intestine increase the cell’s surface area, which facilitates the. The cells in the columnar epithelium, like those in the cuboidal epithelium, are changed to better suit the organ’s function and structure. Occurs within cells of small/ large intestines;
from avopix.com
Occurs within cells of small/ large intestines; This type of epithelium is often specialized. Secretes mucus along stomach lining (microvilli) to absorb nutrients Microvilli serve to increase the surface area of the epithelium for secretion of mucin and enzymes and absorption of nutrients. The cell membrane of simple columnar epithelium is specialized to facilitate its primary functions. Additionally, the fingerlike projections are likely to be microvilli. The cells in the columnar epithelium, like those in the cuboidal epithelium, are changed to better suit the organ’s function and structure. They often appear all together on light microscopy. The simple columnar epithelium is. Microvilli present on the surface of epithelial cells like those found in the lining of the intestine increase the cell’s surface area, which facilitates the.
simple columnar epithelium cells with microvilli Royalty Free Stock Vector 2058629111
Simple Columnar Epithelium Microvilli Function Occurs within cells of small/ large intestines; Additionally, the fingerlike projections are likely to be microvilli. The cells in the columnar epithelium, like those in the cuboidal epithelium, are changed to better suit the organ’s function and structure. Occurs within cells of small/ large intestines; Secretes mucus along stomach lining (microvilli) to absorb nutrients Microvilli present on the surface of epithelial cells like those found in the lining of the intestine increase the cell’s surface area, which facilitates the. The simple columnar epithelium is. The cell membrane of simple columnar epithelium is specialized to facilitate its primary functions. This type of epithelium is often specialized. Microvilli serve to increase the surface area of the epithelium for secretion of mucin and enzymes and absorption of nutrients. This type of epithelium is typically found in glandular (secreting) tissue and kidney tubules. They often appear all together on light microscopy. The shoebox represents the columnar shape.
From avopix.com
simple columnar epithelium cells with microvilli Royalty Free Stock Vector 2058629111 Simple Columnar Epithelium Microvilli Function The cell membrane of simple columnar epithelium is specialized to facilitate its primary functions. Occurs within cells of small/ large intestines; The shoebox represents the columnar shape. This type of epithelium is often specialized. Secretes mucus along stomach lining (microvilli) to absorb nutrients Additionally, the fingerlike projections are likely to be microvilli. Microvilli present on the surface of epithelial cells. Simple Columnar Epithelium Microvilli Function.
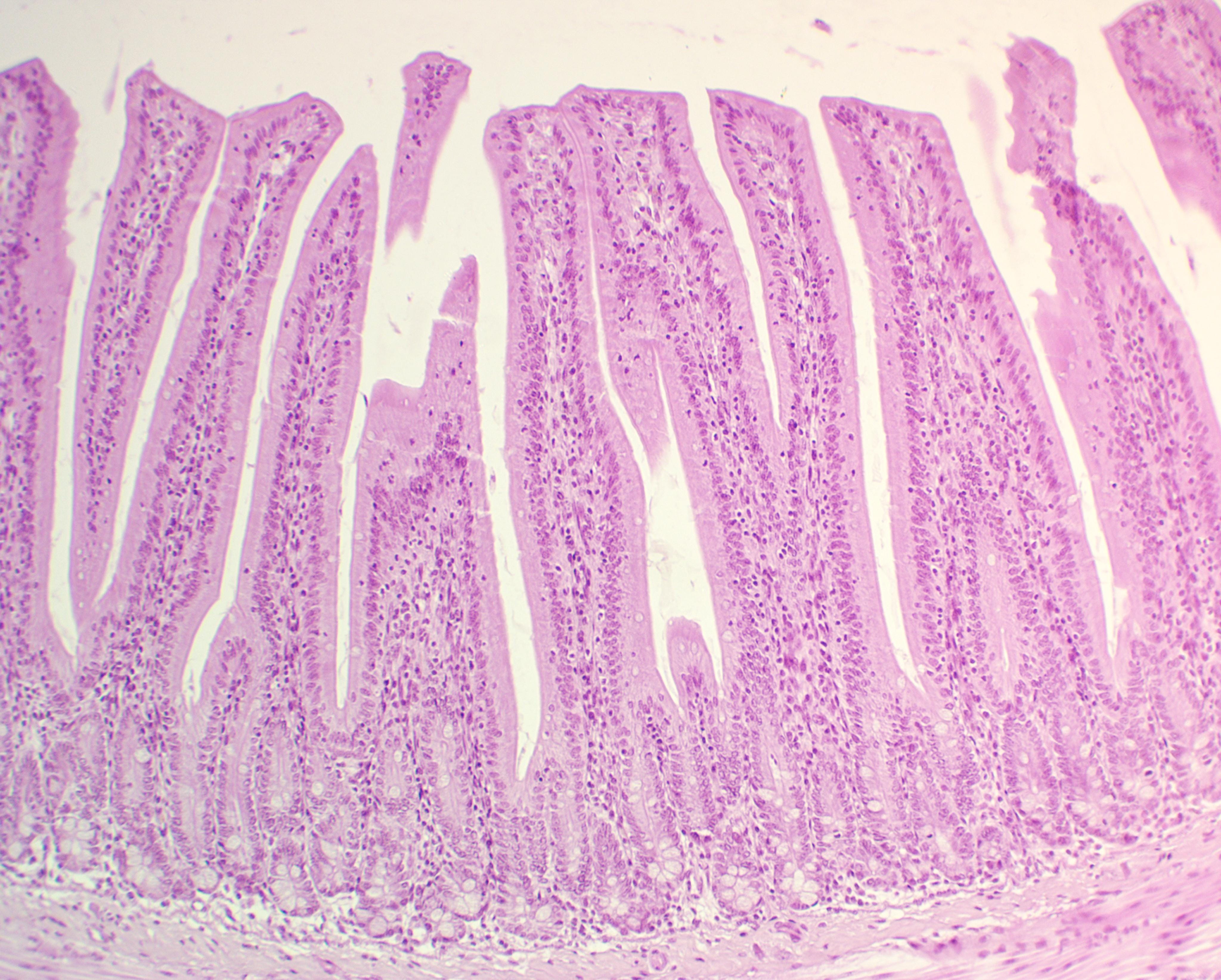
From narodnatribuna.info
Simple Columnar Epithelium A Labeled Diagram And Functions Simple Columnar Epithelium Microvilli Function Occurs within cells of small/ large intestines; This type of epithelium is often specialized. The cell membrane of simple columnar epithelium is specialized to facilitate its primary functions. Additionally, the fingerlike projections are likely to be microvilli. The cells in the columnar epithelium, like those in the cuboidal epithelium, are changed to better suit the organ’s function and structure. This. Simple Columnar Epithelium Microvilli Function.
From www.dreamstime.com
Gallbladder. Simple Columnar Epithelium Stock Photo Image of stained, gallbladder 93291896 Simple Columnar Epithelium Microvilli Function The cell membrane of simple columnar epithelium is specialized to facilitate its primary functions. They often appear all together on light microscopy. Microvilli present on the surface of epithelial cells like those found in the lining of the intestine increase the cell’s surface area, which facilitates the. This type of epithelium is often specialized. Secretes mucus along stomach lining (microvilli). Simple Columnar Epithelium Microvilli Function.
From ar.inspiredpencil.com
Simple Columnar Epithelium Microvilli Simple Columnar Epithelium Microvilli Function This type of epithelium is typically found in glandular (secreting) tissue and kidney tubules. Occurs within cells of small/ large intestines; Microvilli present on the surface of epithelial cells like those found in the lining of the intestine increase the cell’s surface area, which facilitates the. Additionally, the fingerlike projections are likely to be microvilli. Microvilli serve to increase the. Simple Columnar Epithelium Microvilli Function.
From ibiologia.com
Simple Columnar Epithelium Introduction ,Types, & Functions Simple Columnar Epithelium Microvilli Function They often appear all together on light microscopy. Microvilli present on the surface of epithelial cells like those found in the lining of the intestine increase the cell’s surface area, which facilitates the. The simple columnar epithelium is. The cell membrane of simple columnar epithelium is specialized to facilitate its primary functions. Occurs within cells of small/ large intestines; This. Simple Columnar Epithelium Microvilli Function.
From www.slideshare.net
Lecture7 Simple Columnar Epithelium Microvilli Function Secretes mucus along stomach lining (microvilli) to absorb nutrients They often appear all together on light microscopy. Microvilli serve to increase the surface area of the epithelium for secretion of mucin and enzymes and absorption of nutrients. Additionally, the fingerlike projections are likely to be microvilli. This type of epithelium is typically found in glandular (secreting) tissue and kidney tubules.. Simple Columnar Epithelium Microvilli Function.
From www.sciencephoto.com
Simple columnar epithelium, light micrograph Stock Image C052/8835 Science Photo Library Simple Columnar Epithelium Microvilli Function The cells in the columnar epithelium, like those in the cuboidal epithelium, are changed to better suit the organ’s function and structure. The simple columnar epithelium is. Secretes mucus along stomach lining (microvilli) to absorb nutrients Occurs within cells of small/ large intestines; Microvilli present on the surface of epithelial cells like those found in the lining of the intestine. Simple Columnar Epithelium Microvilli Function.
From mungfali.com
Simple Columnar Epithelium Labeled Diagram Simple Columnar Epithelium Microvilli Function This type of epithelium is typically found in glandular (secreting) tissue and kidney tubules. The shoebox represents the columnar shape. Occurs within cells of small/ large intestines; Microvilli serve to increase the surface area of the epithelium for secretion of mucin and enzymes and absorption of nutrients. The cell membrane of simple columnar epithelium is specialized to facilitate its primary. Simple Columnar Epithelium Microvilli Function.
From fity.club
Simple Columnar Epithelium A Labeled Diagram And Simple Columnar Epithelium Microvilli Function Secretes mucus along stomach lining (microvilli) to absorb nutrients This type of epithelium is often specialized. They often appear all together on light microscopy. Occurs within cells of small/ large intestines; The cell membrane of simple columnar epithelium is specialized to facilitate its primary functions. Microvilli serve to increase the surface area of the epithelium for secretion of mucin and. Simple Columnar Epithelium Microvilli Function.
From www.biologynotesonline.com
Simple columnar epithelium definition, structure, functions, examples Biology Notes Online Simple Columnar Epithelium Microvilli Function Secretes mucus along stomach lining (microvilli) to absorb nutrients They often appear all together on light microscopy. The cells in the columnar epithelium, like those in the cuboidal epithelium, are changed to better suit the organ’s function and structure. Microvilli serve to increase the surface area of the epithelium for secretion of mucin and enzymes and absorption of nutrients. The. Simple Columnar Epithelium Microvilli Function.
From medcell.org
Simple Columnar with Microvilli Simple Columnar Epithelium Microvilli Function The simple columnar epithelium is. This type of epithelium is typically found in glandular (secreting) tissue and kidney tubules. Occurs within cells of small/ large intestines; Additionally, the fingerlike projections are likely to be microvilli. This type of epithelium is often specialized. Microvilli present on the surface of epithelial cells like those found in the lining of the intestine increase. Simple Columnar Epithelium Microvilli Function.
From ar.inspiredpencil.com
Simple Columnar Epithelium Microvilli Simple Columnar Epithelium Microvilli Function The simple columnar epithelium is. Microvilli serve to increase the surface area of the epithelium for secretion of mucin and enzymes and absorption of nutrients. They often appear all together on light microscopy. The shoebox represents the columnar shape. Occurs within cells of small/ large intestines; The cells in the columnar epithelium, like those in the cuboidal epithelium, are changed. Simple Columnar Epithelium Microvilli Function.
From ar.inspiredpencil.com
Simple Columnar Epithelium Microvilli Simple Columnar Epithelium Microvilli Function Microvilli present on the surface of epithelial cells like those found in the lining of the intestine increase the cell’s surface area, which facilitates the. The shoebox represents the columnar shape. This type of epithelium is typically found in glandular (secreting) tissue and kidney tubules. Additionally, the fingerlike projections are likely to be microvilli. Microvilli serve to increase the surface. Simple Columnar Epithelium Microvilli Function.
From quizlet.com
Simple Columnar Epithelium. Diagram Quizlet Simple Columnar Epithelium Microvilli Function The shoebox represents the columnar shape. Secretes mucus along stomach lining (microvilli) to absorb nutrients The cells in the columnar epithelium, like those in the cuboidal epithelium, are changed to better suit the organ’s function and structure. Additionally, the fingerlike projections are likely to be microvilli. Microvilli serve to increase the surface area of the epithelium for secretion of mucin. Simple Columnar Epithelium Microvilli Function.
From ar.inspiredpencil.com
Simple Columnar Epithelium Microvilli Simple Columnar Epithelium Microvilli Function The cell membrane of simple columnar epithelium is specialized to facilitate its primary functions. Microvilli present on the surface of epithelial cells like those found in the lining of the intestine increase the cell’s surface area, which facilitates the. The cells in the columnar epithelium, like those in the cuboidal epithelium, are changed to better suit the organ’s function and. Simple Columnar Epithelium Microvilli Function.
From schematicpartfrey.z19.web.core.windows.net
Simple Columnar Epithelium Labeled Diagram Simple Columnar Epithelium Microvilli Function The cells in the columnar epithelium, like those in the cuboidal epithelium, are changed to better suit the organ’s function and structure. Additionally, the fingerlike projections are likely to be microvilli. Occurs within cells of small/ large intestines; This type of epithelium is often specialized. They often appear all together on light microscopy. Microvilli serve to increase the surface area. Simple Columnar Epithelium Microvilli Function.
From ar.inspiredpencil.com
Simple Columnar Epithelium Microvilli Simple Columnar Epithelium Microvilli Function This type of epithelium is often specialized. The cell membrane of simple columnar epithelium is specialized to facilitate its primary functions. Occurs within cells of small/ large intestines; Microvilli present on the surface of epithelial cells like those found in the lining of the intestine increase the cell’s surface area, which facilitates the. This type of epithelium is typically found. Simple Columnar Epithelium Microvilli Function.
From dxofhrsyj.blob.core.windows.net
Simple Columnar Epithelium Location In The Body at Justin Bowman blog Simple Columnar Epithelium Microvilli Function This type of epithelium is often specialized. Secretes mucus along stomach lining (microvilli) to absorb nutrients The shoebox represents the columnar shape. Microvilli present on the surface of epithelial cells like those found in the lining of the intestine increase the cell’s surface area, which facilitates the. The cells in the columnar epithelium, like those in the cuboidal epithelium, are. Simple Columnar Epithelium Microvilli Function.
From www.numerade.com
8. Label the structures on this slide of simple columnar epithelium. Goblet cell Lamina propria Simple Columnar Epithelium Microvilli Function The cells in the columnar epithelium, like those in the cuboidal epithelium, are changed to better suit the organ’s function and structure. Secretes mucus along stomach lining (microvilli) to absorb nutrients This type of epithelium is typically found in glandular (secreting) tissue and kidney tubules. The simple columnar epithelium is. Occurs within cells of small/ large intestines; Microvilli present on. Simple Columnar Epithelium Microvilli Function.
From ar.inspiredpencil.com
Simple Columnar Epithelium Microvilli Simple Columnar Epithelium Microvilli Function Additionally, the fingerlike projections are likely to be microvilli. The shoebox represents the columnar shape. Occurs within cells of small/ large intestines; This type of epithelium is often specialized. They often appear all together on light microscopy. The simple columnar epithelium is. This type of epithelium is typically found in glandular (secreting) tissue and kidney tubules. Microvilli present on the. Simple Columnar Epithelium Microvilli Function.
From www.gettyimages.ca
Simple Columnar Epithelium Small Intestine Supporting Connective Tissu HighRes Stock Photo Simple Columnar Epithelium Microvilli Function This type of epithelium is typically found in glandular (secreting) tissue and kidney tubules. Occurs within cells of small/ large intestines; Additionally, the fingerlike projections are likely to be microvilli. They often appear all together on light microscopy. Microvilli serve to increase the surface area of the epithelium for secretion of mucin and enzymes and absorption of nutrients. The simple. Simple Columnar Epithelium Microvilli Function.
From socratic.org
How is the structure of a villi in the small intestine related to its function? Socratic Simple Columnar Epithelium Microvilli Function Microvilli present on the surface of epithelial cells like those found in the lining of the intestine increase the cell’s surface area, which facilitates the. The cells in the columnar epithelium, like those in the cuboidal epithelium, are changed to better suit the organ’s function and structure. This type of epithelium is typically found in glandular (secreting) tissue and kidney. Simple Columnar Epithelium Microvilli Function.
From slideplayer.com
© 2013 Pearson Education, Inc. ppt download Simple Columnar Epithelium Microvilli Function This type of epithelium is often specialized. Occurs within cells of small/ large intestines; Microvilli present on the surface of epithelial cells like those found in the lining of the intestine increase the cell’s surface area, which facilitates the. This type of epithelium is typically found in glandular (secreting) tissue and kidney tubules. The simple columnar epithelium is. Microvilli serve. Simple Columnar Epithelium Microvilli Function.
From cetfggbk.blob.core.windows.net
Function Of Simple Columnar Epithelial Tissue at Jeffrey Stumpf blog Simple Columnar Epithelium Microvilli Function The cell membrane of simple columnar epithelium is specialized to facilitate its primary functions. The shoebox represents the columnar shape. This type of epithelium is often specialized. The simple columnar epithelium is. The cells in the columnar epithelium, like those in the cuboidal epithelium, are changed to better suit the organ’s function and structure. Microvilli present on the surface of. Simple Columnar Epithelium Microvilli Function.
From www.pinterest.nz
Simple Columnar Epithelium Description Single layer of elongated cells Functio… Simple Simple Columnar Epithelium Microvilli Function The shoebox represents the columnar shape. The simple columnar epithelium is. Secretes mucus along stomach lining (microvilli) to absorb nutrients Additionally, the fingerlike projections are likely to be microvilli. They often appear all together on light microscopy. Microvilli present on the surface of epithelial cells like those found in the lining of the intestine increase the cell’s surface area, which. Simple Columnar Epithelium Microvilli Function.
From www.slideserve.com
PPT Chapter 5 Histology PowerPoint Presentation, free download ID308360 Simple Columnar Epithelium Microvilli Function They often appear all together on light microscopy. Secretes mucus along stomach lining (microvilli) to absorb nutrients Occurs within cells of small/ large intestines; Additionally, the fingerlike projections are likely to be microvilli. Microvilli serve to increase the surface area of the epithelium for secretion of mucin and enzymes and absorption of nutrients. The simple columnar epithelium is. The shoebox. Simple Columnar Epithelium Microvilli Function.
From www.slideserve.com
PPT Tissue PowerPoint Presentation, free download ID9072967 Simple Columnar Epithelium Microvilli Function The shoebox represents the columnar shape. Additionally, the fingerlike projections are likely to be microvilli. Microvilli serve to increase the surface area of the epithelium for secretion of mucin and enzymes and absorption of nutrients. They often appear all together on light microscopy. Occurs within cells of small/ large intestines; Secretes mucus along stomach lining (microvilli) to absorb nutrients The. Simple Columnar Epithelium Microvilli Function.
From www.aiophotoz.com
Simple Columnar Epithelium Histology Images and Photos finder Simple Columnar Epithelium Microvilli Function Additionally, the fingerlike projections are likely to be microvilli. The shoebox represents the columnar shape. The cells in the columnar epithelium, like those in the cuboidal epithelium, are changed to better suit the organ’s function and structure. Microvilli serve to increase the surface area of the epithelium for secretion of mucin and enzymes and absorption of nutrients. The cell membrane. Simple Columnar Epithelium Microvilli Function.
From ar.inspiredpencil.com
Simple Columnar Epithelium Microvilli Simple Columnar Epithelium Microvilli Function They often appear all together on light microscopy. Secretes mucus along stomach lining (microvilli) to absorb nutrients The cell membrane of simple columnar epithelium is specialized to facilitate its primary functions. The cells in the columnar epithelium, like those in the cuboidal epithelium, are changed to better suit the organ’s function and structure. Microvilli serve to increase the surface area. Simple Columnar Epithelium Microvilli Function.
From rajusbiology.com
Types of Epithelial Tissue Definition, Characteristics and Functions Free Biology Notes Simple Columnar Epithelium Microvilli Function This type of epithelium is typically found in glandular (secreting) tissue and kidney tubules. The cells in the columnar epithelium, like those in the cuboidal epithelium, are changed to better suit the organ’s function and structure. Secretes mucus along stomach lining (microvilli) to absorb nutrients The simple columnar epithelium is. The shoebox represents the columnar shape. This type of epithelium. Simple Columnar Epithelium Microvilli Function.
From www.slideserve.com
PPT GI Sequence Histology PowerPoint Presentation, free download ID6161397 Simple Columnar Epithelium Microvilli Function Occurs within cells of small/ large intestines; Secretes mucus along stomach lining (microvilli) to absorb nutrients Additionally, the fingerlike projections are likely to be microvilli. The simple columnar epithelium is. Microvilli serve to increase the surface area of the epithelium for secretion of mucin and enzymes and absorption of nutrients. Microvilli present on the surface of epithelial cells like those. Simple Columnar Epithelium Microvilli Function.
From ar.inspiredpencil.com
Simple Columnar Epithelium Microvilli Simple Columnar Epithelium Microvilli Function Secretes mucus along stomach lining (microvilli) to absorb nutrients Additionally, the fingerlike projections are likely to be microvilli. The shoebox represents the columnar shape. This type of epithelium is often specialized. The cell membrane of simple columnar epithelium is specialized to facilitate its primary functions. The simple columnar epithelium is. Microvilli serve to increase the surface area of the epithelium. Simple Columnar Epithelium Microvilli Function.
From www.slideserve.com
PPT SMALL INTESTINE PowerPoint Presentation, free download ID3840178 Simple Columnar Epithelium Microvilli Function The cell membrane of simple columnar epithelium is specialized to facilitate its primary functions. Additionally, the fingerlike projections are likely to be microvilli. Microvilli serve to increase the surface area of the epithelium for secretion of mucin and enzymes and absorption of nutrients. This type of epithelium is often specialized. This type of epithelium is typically found in glandular (secreting). Simple Columnar Epithelium Microvilli Function.
From giozdcywk.blob.core.windows.net
What Does Columnar Epithelium Do at Flor Rocha blog Simple Columnar Epithelium Microvilli Function The cell membrane of simple columnar epithelium is specialized to facilitate its primary functions. This type of epithelium is typically found in glandular (secreting) tissue and kidney tubules. This type of epithelium is often specialized. Occurs within cells of small/ large intestines; Microvilli serve to increase the surface area of the epithelium for secretion of mucin and enzymes and absorption. Simple Columnar Epithelium Microvilli Function.
From baselogment.netlify.app
Simple Columnar Epithelium Basement Membrane Description Simple Columnar Epithelium Microvilli Function Microvilli serve to increase the surface area of the epithelium for secretion of mucin and enzymes and absorption of nutrients. The shoebox represents the columnar shape. This type of epithelium is typically found in glandular (secreting) tissue and kidney tubules. The cells in the columnar epithelium, like those in the cuboidal epithelium, are changed to better suit the organ’s function. Simple Columnar Epithelium Microvilli Function.