What Do Colors Mean In Echocardiogram . Find out what abnormal color patterns may indicate and when to. This part of the test shows blood flowing in your heart in color. Sensors attached to the chest and. This simplifies the interpretation of the doppler method. By analyzing these colors, doctors can assess the. Learn about the different colors seen on an echocardiogram and their significance. An echocardiogram uses sound waves to show how blood flows through the heart and heart valves. Traditionally, flow towards the transducer is red, flow away from. It helps your doctor more easily spot leaking heart valves as well as any other blood flow changes you. The colors on an echocardiogram represent the direction and velocity of blood flow within the heart. With color doppler, different colors are used to designate the direction and quantity of blood flow. Cfm uses measurements of the velocity and direction of blood flow to superimpose a color pattern onto a section of a 2d image (see figure 4). Review of color doppler in echocardiography, including technique, clinical use, strengths, limitations and comparison to pulsed and continuous doppler.
from www.researchgate.net
Learn about the different colors seen on an echocardiogram and their significance. It helps your doctor more easily spot leaking heart valves as well as any other blood flow changes you. Review of color doppler in echocardiography, including technique, clinical use, strengths, limitations and comparison to pulsed and continuous doppler. With color doppler, different colors are used to designate the direction and quantity of blood flow. Find out what abnormal color patterns may indicate and when to. The colors on an echocardiogram represent the direction and velocity of blood flow within the heart. Traditionally, flow towards the transducer is red, flow away from. This simplifies the interpretation of the doppler method. Cfm uses measurements of the velocity and direction of blood flow to superimpose a color pattern onto a section of a 2d image (see figure 4). By analyzing these colors, doctors can assess the.
Doppler echocardiogram showing elevated peak and mean gradients across
What Do Colors Mean In Echocardiogram It helps your doctor more easily spot leaking heart valves as well as any other blood flow changes you. Find out what abnormal color patterns may indicate and when to. Cfm uses measurements of the velocity and direction of blood flow to superimpose a color pattern onto a section of a 2d image (see figure 4). Learn about the different colors seen on an echocardiogram and their significance. This simplifies the interpretation of the doppler method. An echocardiogram uses sound waves to show how blood flows through the heart and heart valves. Sensors attached to the chest and. This part of the test shows blood flowing in your heart in color. Traditionally, flow towards the transducer is red, flow away from. By analyzing these colors, doctors can assess the. Review of color doppler in echocardiography, including technique, clinical use, strengths, limitations and comparison to pulsed and continuous doppler. With color doppler, different colors are used to designate the direction and quantity of blood flow. It helps your doctor more easily spot leaking heart valves as well as any other blood flow changes you. The colors on an echocardiogram represent the direction and velocity of blood flow within the heart.
From fundlylive.com
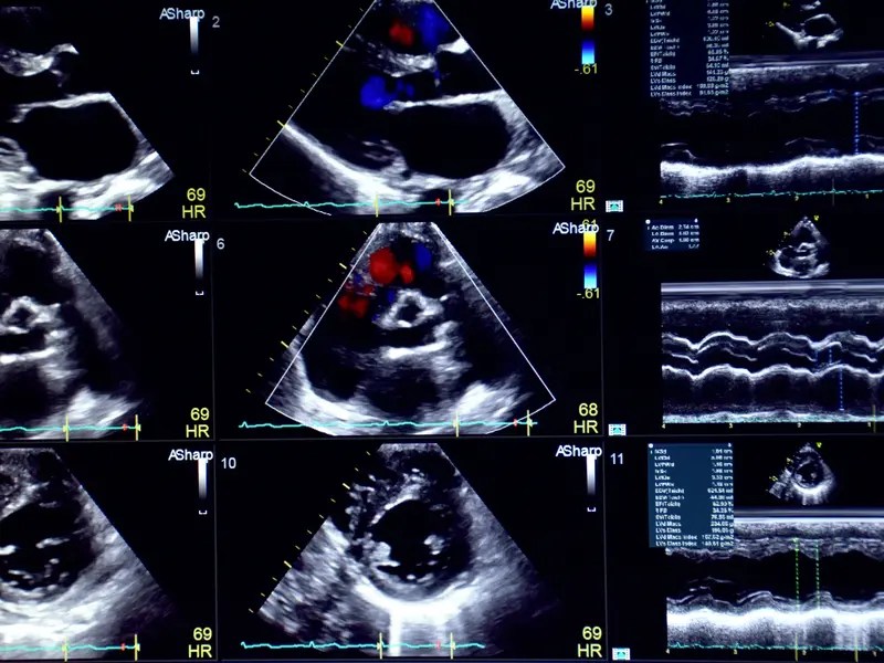
What Colors Are Bad On an Echocardiogram What Do Colors Mean In Echocardiogram Sensors attached to the chest and. This part of the test shows blood flowing in your heart in color. It helps your doctor more easily spot leaking heart valves as well as any other blood flow changes you. An echocardiogram uses sound waves to show how blood flows through the heart and heart valves. Review of color doppler in echocardiography,. What Do Colors Mean In Echocardiogram.
From salud.bswhealth.com
2Ecocardiograma Doppler D con flujo de color Centro cardÃaco Baylor What Do Colors Mean In Echocardiogram Review of color doppler in echocardiography, including technique, clinical use, strengths, limitations and comparison to pulsed and continuous doppler. By analyzing these colors, doctors can assess the. Learn about the different colors seen on an echocardiogram and their significance. This part of the test shows blood flowing in your heart in color. Find out what abnormal color patterns may indicate. What Do Colors Mean In Echocardiogram.
From themeaningofcolor.com
What does the different colors mean echocardiogram The Meaning Of Color What Do Colors Mean In Echocardiogram It helps your doctor more easily spot leaking heart valves as well as any other blood flow changes you. Cfm uses measurements of the velocity and direction of blood flow to superimpose a color pattern onto a section of a 2d image (see figure 4). This simplifies the interpretation of the doppler method. The colors on an echocardiogram represent the. What Do Colors Mean In Echocardiogram.
From www.youtube.com
Normal Color Doppler Echocardiogram YouTube What Do Colors Mean In Echocardiogram It helps your doctor more easily spot leaking heart valves as well as any other blood flow changes you. With color doppler, different colors are used to designate the direction and quantity of blood flow. This simplifies the interpretation of the doppler method. Review of color doppler in echocardiography, including technique, clinical use, strengths, limitations and comparison to pulsed and. What Do Colors Mean In Echocardiogram.
From www.researchgate.net
Color Doppler echocardiograms of a patient who showed a large increase What Do Colors Mean In Echocardiogram This part of the test shows blood flowing in your heart in color. By analyzing these colors, doctors can assess the. Traditionally, flow towards the transducer is red, flow away from. Learn about the different colors seen on an echocardiogram and their significance. Sensors attached to the chest and. Review of color doppler in echocardiography, including technique, clinical use, strengths,. What Do Colors Mean In Echocardiogram.
From themeaningofcolor.com
What do echocardiogram colors mean The Meaning Of Color What Do Colors Mean In Echocardiogram Sensors attached to the chest and. Traditionally, flow towards the transducer is red, flow away from. Review of color doppler in echocardiography, including technique, clinical use, strengths, limitations and comparison to pulsed and continuous doppler. An echocardiogram uses sound waves to show how blood flows through the heart and heart valves. This part of the test shows blood flowing in. What Do Colors Mean In Echocardiogram.
From kymeramedical.com
Echocardiogram / Ultrasound Kymera Independent Physicians What Do Colors Mean In Echocardiogram Learn about the different colors seen on an echocardiogram and their significance. This part of the test shows blood flowing in your heart in color. With color doppler, different colors are used to designate the direction and quantity of blood flow. It helps your doctor more easily spot leaking heart valves as well as any other blood flow changes you.. What Do Colors Mean In Echocardiogram.
From www.slideserve.com
PPT Doppler Echocardiography PowerPoint Presentation, free download What Do Colors Mean In Echocardiogram By analyzing these colors, doctors can assess the. Learn about the different colors seen on an echocardiogram and their significance. Review of color doppler in echocardiography, including technique, clinical use, strengths, limitations and comparison to pulsed and continuous doppler. This simplifies the interpretation of the doppler method. An echocardiogram uses sound waves to show how blood flows through the heart. What Do Colors Mean In Echocardiogram.
From johnsonfrancis.org
AR and MR Colour Doppler echocardiogram All About Cardiovascular What Do Colors Mean In Echocardiogram Sensors attached to the chest and. Cfm uses measurements of the velocity and direction of blood flow to superimpose a color pattern onto a section of a 2d image (see figure 4). Review of color doppler in echocardiography, including technique, clinical use, strengths, limitations and comparison to pulsed and continuous doppler. Traditionally, flow towards the transducer is red, flow away. What Do Colors Mean In Echocardiogram.
From fity.club
Echocardiogram Results What Do Colors Mean In Echocardiogram The colors on an echocardiogram represent the direction and velocity of blood flow within the heart. With color doppler, different colors are used to designate the direction and quantity of blood flow. Learn about the different colors seen on an echocardiogram and their significance. Review of color doppler in echocardiography, including technique, clinical use, strengths, limitations and comparison to pulsed. What Do Colors Mean In Echocardiogram.
From www.youtube.com
Colour Doppler Echocardiography YouTube What Do Colors Mean In Echocardiogram This simplifies the interpretation of the doppler method. The colors on an echocardiogram represent the direction and velocity of blood flow within the heart. Traditionally, flow towards the transducer is red, flow away from. Learn about the different colors seen on an echocardiogram and their significance. By analyzing these colors, doctors can assess the. With color doppler, different colors are. What Do Colors Mean In Echocardiogram.
From colorpaints.co
Echocardiogram Doppler Colors Colorpaints.co What Do Colors Mean In Echocardiogram Traditionally, flow towards the transducer is red, flow away from. Cfm uses measurements of the velocity and direction of blood flow to superimpose a color pattern onto a section of a 2d image (see figure 4). This simplifies the interpretation of the doppler method. Review of color doppler in echocardiography, including technique, clinical use, strengths, limitations and comparison to pulsed. What Do Colors Mean In Echocardiogram.
From themeaningofcolor.com
What do echocardiogram colors mean The Meaning Of Color What Do Colors Mean In Echocardiogram Traditionally, flow towards the transducer is red, flow away from. Review of color doppler in echocardiography, including technique, clinical use, strengths, limitations and comparison to pulsed and continuous doppler. With color doppler, different colors are used to designate the direction and quantity of blood flow. Sensors attached to the chest and. The colors on an echocardiogram represent the direction and. What Do Colors Mean In Echocardiogram.
From www.dreamstime.com
Doppler echocardiography stock image. Image of atrium 52734353 What Do Colors Mean In Echocardiogram The colors on an echocardiogram represent the direction and velocity of blood flow within the heart. An echocardiogram uses sound waves to show how blood flows through the heart and heart valves. Find out what abnormal color patterns may indicate and when to. This simplifies the interpretation of the doppler method. Sensors attached to the chest and. Cfm uses measurements. What Do Colors Mean In Echocardiogram.
From www.researchgate.net
Doppler echocardiogram showing elevated peak and mean gradients across What Do Colors Mean In Echocardiogram With color doppler, different colors are used to designate the direction and quantity of blood flow. By analyzing these colors, doctors can assess the. It helps your doctor more easily spot leaking heart valves as well as any other blood flow changes you. Sensors attached to the chest and. Learn about the different colors seen on an echocardiogram and their. What Do Colors Mean In Echocardiogram.
From www.sangiorgiomedicalservice.it
Ecocardiogramma a Brescia Riabilita Centro San What Do Colors Mean In Echocardiogram It helps your doctor more easily spot leaking heart valves as well as any other blood flow changes you. By analyzing these colors, doctors can assess the. Cfm uses measurements of the velocity and direction of blood flow to superimpose a color pattern onto a section of a 2d image (see figure 4). An echocardiogram uses sound waves to show. What Do Colors Mean In Echocardiogram.
From www.wikihow.com
How to Interpret Echocardiograms 8 Steps (with Pictures) What Do Colors Mean In Echocardiogram The colors on an echocardiogram represent the direction and velocity of blood flow within the heart. This part of the test shows blood flowing in your heart in color. Sensors attached to the chest and. Traditionally, flow towards the transducer is red, flow away from. By analyzing these colors, doctors can assess the. It helps your doctor more easily spot. What Do Colors Mean In Echocardiogram.
From johnsonfrancis.org
Aortic Regurgitation CW and Colour Doppler echocardiograms What Do Colors Mean In Echocardiogram Find out what abnormal color patterns may indicate and when to. The colors on an echocardiogram represent the direction and velocity of blood flow within the heart. Learn about the different colors seen on an echocardiogram and their significance. Cfm uses measurements of the velocity and direction of blood flow to superimpose a color pattern onto a section of a. What Do Colors Mean In Echocardiogram.
From themeaningofcolor.com
What does the different colors mean echocardiogram The Meaning Of Color What Do Colors Mean In Echocardiogram This part of the test shows blood flowing in your heart in color. Traditionally, flow towards the transducer is red, flow away from. This simplifies the interpretation of the doppler method. Cfm uses measurements of the velocity and direction of blood flow to superimpose a color pattern onto a section of a 2d image (see figure 4). Review of color. What Do Colors Mean In Echocardiogram.
From www.researchgate.net
Echocardiogram with color Doppler displaying a ventricular septal What Do Colors Mean In Echocardiogram With color doppler, different colors are used to designate the direction and quantity of blood flow. Cfm uses measurements of the velocity and direction of blood flow to superimpose a color pattern onto a section of a 2d image (see figure 4). Find out what abnormal color patterns may indicate and when to. Sensors attached to the chest and. The. What Do Colors Mean In Echocardiogram.
From themeaningofcolor.com
What do echocardiogram colors mean The Meaning Of Color What Do Colors Mean In Echocardiogram Review of color doppler in echocardiography, including technique, clinical use, strengths, limitations and comparison to pulsed and continuous doppler. It helps your doctor more easily spot leaking heart valves as well as any other blood flow changes you. Find out what abnormal color patterns may indicate and when to. This part of the test shows blood flowing in your heart. What Do Colors Mean In Echocardiogram.
From www.dreamstime.com
Flow Color Mode in Echocardiogram Stock Image Image of cardiology What Do Colors Mean In Echocardiogram An echocardiogram uses sound waves to show how blood flows through the heart and heart valves. Cfm uses measurements of the velocity and direction of blood flow to superimpose a color pattern onto a section of a 2d image (see figure 4). Sensors attached to the chest and. This simplifies the interpretation of the doppler method. Review of color doppler. What Do Colors Mean In Echocardiogram.
From www.verywellhealth.com
Echocardiogram Uses, Side Effects, Procedure, Results What Do Colors Mean In Echocardiogram This simplifies the interpretation of the doppler method. Review of color doppler in echocardiography, including technique, clinical use, strengths, limitations and comparison to pulsed and continuous doppler. Sensors attached to the chest and. With color doppler, different colors are used to designate the direction and quantity of blood flow. Cfm uses measurements of the velocity and direction of blood flow. What Do Colors Mean In Echocardiogram.
From share.upmc.com
Echocardiogram What You Need to Know UPMC HealthBeat What Do Colors Mean In Echocardiogram Traditionally, flow towards the transducer is red, flow away from. Sensors attached to the chest and. Cfm uses measurements of the velocity and direction of blood flow to superimpose a color pattern onto a section of a 2d image (see figure 4). By analyzing these colors, doctors can assess the. This part of the test shows blood flowing in your. What Do Colors Mean In Echocardiogram.
From www.researchgate.net
(a) Color flow Doppler imaging echocardiogram on the suprasternal What Do Colors Mean In Echocardiogram This simplifies the interpretation of the doppler method. By analyzing these colors, doctors can assess the. An echocardiogram uses sound waves to show how blood flows through the heart and heart valves. Review of color doppler in echocardiography, including technique, clinical use, strengths, limitations and comparison to pulsed and continuous doppler. This part of the test shows blood flowing in. What Do Colors Mean In Echocardiogram.
From obgynkey.com
Color Doppler in Fetal Echocardiography Obgyn Key What Do Colors Mean In Echocardiogram Sensors attached to the chest and. With color doppler, different colors are used to designate the direction and quantity of blood flow. The colors on an echocardiogram represent the direction and velocity of blood flow within the heart. This part of the test shows blood flowing in your heart in color. Traditionally, flow towards the transducer is red, flow away. What Do Colors Mean In Echocardiogram.
From www.slideserve.com
PPT Basic Echocardiography PowerPoint Presentation, free download What Do Colors Mean In Echocardiogram The colors on an echocardiogram represent the direction and velocity of blood flow within the heart. Review of color doppler in echocardiography, including technique, clinical use, strengths, limitations and comparison to pulsed and continuous doppler. Find out what abnormal color patterns may indicate and when to. An echocardiogram uses sound waves to show how blood flows through the heart and. What Do Colors Mean In Echocardiogram.
From www.researchgate.net
Twodimensional echocardiogram with Color Flow Doppler in the apical What Do Colors Mean In Echocardiogram Review of color doppler in echocardiography, including technique, clinical use, strengths, limitations and comparison to pulsed and continuous doppler. Sensors attached to the chest and. Cfm uses measurements of the velocity and direction of blood flow to superimpose a color pattern onto a section of a 2d image (see figure 4). An echocardiogram uses sound waves to show how blood. What Do Colors Mean In Echocardiogram.
From www.youtube.com
Normal Complete 2D Echocardiogram with Color Doppler and Spectral What Do Colors Mean In Echocardiogram Review of color doppler in echocardiography, including technique, clinical use, strengths, limitations and comparison to pulsed and continuous doppler. With color doppler, different colors are used to designate the direction and quantity of blood flow. This simplifies the interpretation of the doppler method. Find out what abnormal color patterns may indicate and when to. The colors on an echocardiogram represent. What Do Colors Mean In Echocardiogram.
From www.researchgate.net
Echocardiogram and color Doppler imaging. A, Echocardiogram shows What Do Colors Mean In Echocardiogram It helps your doctor more easily spot leaking heart valves as well as any other blood flow changes you. Traditionally, flow towards the transducer is red, flow away from. This simplifies the interpretation of the doppler method. Review of color doppler in echocardiography, including technique, clinical use, strengths, limitations and comparison to pulsed and continuous doppler. Cfm uses measurements of. What Do Colors Mean In Echocardiogram.
From www.researchgate.net
Twodimensional transthoracic colorflow Doppler echocardiogram shows What Do Colors Mean In Echocardiogram Traditionally, flow towards the transducer is red, flow away from. Learn about the different colors seen on an echocardiogram and their significance. It helps your doctor more easily spot leaking heart valves as well as any other blood flow changes you. This part of the test shows blood flowing in your heart in color. With color doppler, different colors are. What Do Colors Mean In Echocardiogram.
From themeaningofcolor.com
What do red yellow and blue colors mean on echocardiogram The Meaning What Do Colors Mean In Echocardiogram An echocardiogram uses sound waves to show how blood flows through the heart and heart valves. Cfm uses measurements of the velocity and direction of blood flow to superimpose a color pattern onto a section of a 2d image (see figure 4). This part of the test shows blood flowing in your heart in color. Find out what abnormal color. What Do Colors Mean In Echocardiogram.
From www.researchgate.net
A oneday, female 2D echocardiogram and color flow Doppler confirmation What Do Colors Mean In Echocardiogram This simplifies the interpretation of the doppler method. Traditionally, flow towards the transducer is red, flow away from. With color doppler, different colors are used to designate the direction and quantity of blood flow. By analyzing these colors, doctors can assess the. An echocardiogram uses sound waves to show how blood flows through the heart and heart valves. Find out. What Do Colors Mean In Echocardiogram.
From themeaningofcolor.com
What do the colors mean on an echocardiogram The Meaning Of Color What Do Colors Mean In Echocardiogram This simplifies the interpretation of the doppler method. This part of the test shows blood flowing in your heart in color. It helps your doctor more easily spot leaking heart valves as well as any other blood flow changes you. Learn about the different colors seen on an echocardiogram and their significance. Review of color doppler in echocardiography, including technique,. What Do Colors Mean In Echocardiogram.
From johnsonfrancis.org
ASD on colour Doppler echocardiogram All About Cardiovascular System What Do Colors Mean In Echocardiogram By analyzing these colors, doctors can assess the. Traditionally, flow towards the transducer is red, flow away from. Cfm uses measurements of the velocity and direction of blood flow to superimpose a color pattern onto a section of a 2d image (see figure 4). It helps your doctor more easily spot leaking heart valves as well as any other blood. What Do Colors Mean In Echocardiogram.