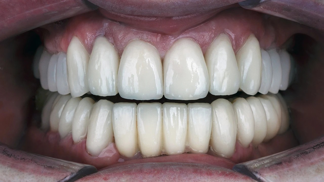
Gum Pain After Veneers . Infections around dental veneers can cause gum irritation and bleeding. The good news is that the pain is temporary and can usually be managed with mild pain medications and other basic. Newly placed veneers may irritate your gums initially, leading to temporary discomfort as the tissues heal. Enamel loss and improper bite. Learn why you may have sensitive teeth after getting veneers and how to minimize your discomfort. Learn causes, relief options, and preventive measures for a smoother recovery. There are two main causes of tooth pain after veneers: You may notice redness, swelling, or. In rare cases, dental decay may develop underneath the veneers, causing pain or sensitivity. Irritation of the gums around the veneers may occur if the margins of the veneers are too close to the gum line or if there is excess bonding material. Discover effective tips to manage major pain after dental veneers. Find out when to contact your dentist.
from howtostoptoothpainfast.com
Enamel loss and improper bite. There are two main causes of tooth pain after veneers: You may notice redness, swelling, or. The good news is that the pain is temporary and can usually be managed with mild pain medications and other basic. Learn why you may have sensitive teeth after getting veneers and how to minimize your discomfort. Discover effective tips to manage major pain after dental veneers. Learn causes, relief options, and preventive measures for a smoother recovery. Irritation of the gums around the veneers may occur if the margins of the veneers are too close to the gum line or if there is excess bonding material. Infections around dental veneers can cause gum irritation and bleeding. Newly placed veneers may irritate your gums initially, leading to temporary discomfort as the tissues heal.
🦷 How to Stop Gum Pain After Flossing? 2024
Gum Pain After Veneers Find out when to contact your dentist. There are two main causes of tooth pain after veneers: Discover effective tips to manage major pain after dental veneers. You may notice redness, swelling, or. Infections around dental veneers can cause gum irritation and bleeding. Learn causes, relief options, and preventive measures for a smoother recovery. The good news is that the pain is temporary and can usually be managed with mild pain medications and other basic. Irritation of the gums around the veneers may occur if the margins of the veneers are too close to the gum line or if there is excess bonding material. Find out when to contact your dentist. Enamel loss and improper bite. Learn why you may have sensitive teeth after getting veneers and how to minimize your discomfort. In rare cases, dental decay may develop underneath the veneers, causing pain or sensitivity. Newly placed veneers may irritate your gums initially, leading to temporary discomfort as the tissues heal.
From www.youtube.com
Veneers after treating gum disease YouTube Gum Pain After Veneers You may notice redness, swelling, or. Newly placed veneers may irritate your gums initially, leading to temporary discomfort as the tissues heal. Infections around dental veneers can cause gum irritation and bleeding. There are two main causes of tooth pain after veneers: Irritation of the gums around the veneers may occur if the margins of the veneers are too close. Gum Pain After Veneers.
From howtostoptoothpainfast.com
🦷 How to Stop Gum Pain After Flossing? 2024 Gum Pain After Veneers Infections around dental veneers can cause gum irritation and bleeding. Irritation of the gums around the veneers may occur if the margins of the veneers are too close to the gum line or if there is excess bonding material. In rare cases, dental decay may develop underneath the veneers, causing pain or sensitivity. Enamel loss and improper bite. Learn why. Gum Pain After Veneers.
From dentistspreston.com
Porcelain Veneers or Braces? Make the Right Choice Gum Pain After Veneers In rare cases, dental decay may develop underneath the veneers, causing pain or sensitivity. Find out when to contact your dentist. There are two main causes of tooth pain after veneers: Learn causes, relief options, and preventive measures for a smoother recovery. Newly placed veneers may irritate your gums initially, leading to temporary discomfort as the tissues heal. Irritation of. Gum Pain After Veneers.
From www.youtube.com
Porcelain Veneers & Gum Contouring My Detailed Experience with Vlog Gum Pain After Veneers Irritation of the gums around the veneers may occur if the margins of the veneers are too close to the gum line or if there is excess bonding material. In rare cases, dental decay may develop underneath the veneers, causing pain or sensitivity. Enamel loss and improper bite. Find out when to contact your dentist. Learn why you may have. Gum Pain After Veneers.
From pdfhost.io
Gum Pain After Tooth Extraction Here's What You Need To Know PDF Host Gum Pain After Veneers Newly placed veneers may irritate your gums initially, leading to temporary discomfort as the tissues heal. The good news is that the pain is temporary and can usually be managed with mild pain medications and other basic. Infections around dental veneers can cause gum irritation and bleeding. Learn why you may have sensitive teeth after getting veneers and how to. Gum Pain After Veneers.
From dentistspreston.com
Porcelain Veneers or Braces? Make the Right Choice Gum Pain After Veneers In rare cases, dental decay may develop underneath the veneers, causing pain or sensitivity. The good news is that the pain is temporary and can usually be managed with mild pain medications and other basic. Infections around dental veneers can cause gum irritation and bleeding. Enamel loss and improper bite. Find out when to contact your dentist. You may notice. Gum Pain After Veneers.
From www.drwilliammckenzie.com
The Five Stages of Gum Disease — The McKenzie Center Implants Gum Pain After Veneers Enamel loss and improper bite. Irritation of the gums around the veneers may occur if the margins of the veneers are too close to the gum line or if there is excess bonding material. You may notice redness, swelling, or. Newly placed veneers may irritate your gums initially, leading to temporary discomfort as the tissues heal. Learn why you may. Gum Pain After Veneers.
From medium.com
What to Do if You Have Major Pain After Dental Veneers? by South Gum Pain After Veneers Learn why you may have sensitive teeth after getting veneers and how to minimize your discomfort. Learn causes, relief options, and preventive measures for a smoother recovery. Find out when to contact your dentist. Infections around dental veneers can cause gum irritation and bleeding. Irritation of the gums around the veneers may occur if the margins of the veneers are. Gum Pain After Veneers.
From sabkadentist.com
How long do teeth veneers last? Gum Pain After Veneers Learn why you may have sensitive teeth after getting veneers and how to minimize your discomfort. Irritation of the gums around the veneers may occur if the margins of the veneers are too close to the gum line or if there is excess bonding material. In rare cases, dental decay may develop underneath the veneers, causing pain or sensitivity. Learn. Gum Pain After Veneers.
From www.sfdentistry.com
Laser Gum Contouring Before & After Photos Samadian Cosmetic Gum Pain After Veneers Enamel loss and improper bite. Find out when to contact your dentist. Infections around dental veneers can cause gum irritation and bleeding. There are two main causes of tooth pain after veneers: Irritation of the gums around the veneers may occur if the margins of the veneers are too close to the gum line or if there is excess bonding. Gum Pain After Veneers.
From exolxuobk.blob.core.windows.net
Gum Pain After Veneers at Cole blog Gum Pain After Veneers Infections around dental veneers can cause gum irritation and bleeding. Learn why you may have sensitive teeth after getting veneers and how to minimize your discomfort. Discover effective tips to manage major pain after dental veneers. In rare cases, dental decay may develop underneath the veneers, causing pain or sensitivity. The good news is that the pain is temporary and. Gum Pain After Veneers.
From www.jacksonavedental.com
Gum Pain After Implant Crown Placement Cause & Treatment 1311 Gum Pain After Veneers Learn why you may have sensitive teeth after getting veneers and how to minimize your discomfort. Learn causes, relief options, and preventive measures for a smoother recovery. Enamel loss and improper bite. Find out when to contact your dentist. You may notice redness, swelling, or. In rare cases, dental decay may develop underneath the veneers, causing pain or sensitivity. Infections. Gum Pain After Veneers.
From adwcenter.com
Is It Painful to Get Veneers? Everything You Need to Know About Pain Gum Pain After Veneers You may notice redness, swelling, or. There are two main causes of tooth pain after veneers: Irritation of the gums around the veneers may occur if the margins of the veneers are too close to the gum line or if there is excess bonding material. Discover effective tips to manage major pain after dental veneers. Enamel loss and improper bite.. Gum Pain After Veneers.
From signaturedentistry.com.au
The Complete Guide to Getting Veneers [Updated for 2020] Gum Pain After Veneers Infections around dental veneers can cause gum irritation and bleeding. Newly placed veneers may irritate your gums initially, leading to temporary discomfort as the tissues heal. Find out when to contact your dentist. The good news is that the pain is temporary and can usually be managed with mild pain medications and other basic. Discover effective tips to manage major. Gum Pain After Veneers.
From www.edgardelchaar.com
How to Manage Pain After Gum Graft Surgery? Gum Pain After Veneers There are two main causes of tooth pain after veneers: Find out when to contact your dentist. You may notice redness, swelling, or. Discover effective tips to manage major pain after dental veneers. Newly placed veneers may irritate your gums initially, leading to temporary discomfort as the tissues heal. Learn why you may have sensitive teeth after getting veneers and. Gum Pain After Veneers.
From pacificdentalcare.org
Lumineers Glendale Lumineers Burbank Pacific Dental Care Gum Pain After Veneers Learn why you may have sensitive teeth after getting veneers and how to minimize your discomfort. Enamel loss and improper bite. Irritation of the gums around the veneers may occur if the margins of the veneers are too close to the gum line or if there is excess bonding material. Learn causes, relief options, and preventive measures for a smoother. Gum Pain After Veneers.
From bestsmilesdentist.com
Dealing with Major Pain After Dental Veneers What You Need to Know? Gum Pain After Veneers Irritation of the gums around the veneers may occur if the margins of the veneers are too close to the gum line or if there is excess bonding material. Enamel loss and improper bite. Find out when to contact your dentist. You may notice redness, swelling, or. Newly placed veneers may irritate your gums initially, leading to temporary discomfort as. Gum Pain After Veneers.
From www.swissdentbodrum.com
Gum Ache After Flossing Swiss Dent Gum Pain After Veneers Irritation of the gums around the veneers may occur if the margins of the veneers are too close to the gum line or if there is excess bonding material. Learn causes, relief options, and preventive measures for a smoother recovery. In rare cases, dental decay may develop underneath the veneers, causing pain or sensitivity. Find out when to contact your. Gum Pain After Veneers.
From hampshiredentists.com
Dental Veneers, Southampton Dental Veneer Prices, Hampshire Gum Pain After Veneers Discover effective tips to manage major pain after dental veneers. Find out when to contact your dentist. Newly placed veneers may irritate your gums initially, leading to temporary discomfort as the tissues heal. Irritation of the gums around the veneers may occur if the margins of the veneers are too close to the gum line or if there is excess. Gum Pain After Veneers.
From exolxuobk.blob.core.windows.net
Gum Pain After Veneers at Cole blog Gum Pain After Veneers Discover effective tips to manage major pain after dental veneers. Learn causes, relief options, and preventive measures for a smoother recovery. The good news is that the pain is temporary and can usually be managed with mild pain medications and other basic. There are two main causes of tooth pain after veneers: Infections around dental veneers can cause gum irritation. Gum Pain After Veneers.
From www.soladentalspa.com
Nerve pain after veneers. Do veneers pain? Sola Dental Spa Gum Pain After Veneers Enamel loss and improper bite. In rare cases, dental decay may develop underneath the veneers, causing pain or sensitivity. Infections around dental veneers can cause gum irritation and bleeding. Discover effective tips to manage major pain after dental veneers. Newly placed veneers may irritate your gums initially, leading to temporary discomfort as the tissues heal. Learn causes, relief options, and. Gum Pain After Veneers.
From dentistspreston.com
Porcelain Veneers or Braces? Make the Right Choice Gum Pain After Veneers In rare cases, dental decay may develop underneath the veneers, causing pain or sensitivity. Infections around dental veneers can cause gum irritation and bleeding. Enamel loss and improper bite. Newly placed veneers may irritate your gums initially, leading to temporary discomfort as the tissues heal. You may notice redness, swelling, or. The good news is that the pain is temporary. Gum Pain After Veneers.
From www.pearldentalclinic.co.uk
Broken Veneers Dentist Kingston Gum Pain After Veneers Find out when to contact your dentist. The good news is that the pain is temporary and can usually be managed with mild pain medications and other basic. Enamel loss and improper bite. There are two main causes of tooth pain after veneers: Discover effective tips to manage major pain after dental veneers. In rare cases, dental decay may develop. Gum Pain After Veneers.
From www.soladentalspa.com
Nerve pain after veneers. Do veneers pain? Sola Dental Spa Gum Pain After Veneers Infections around dental veneers can cause gum irritation and bleeding. In rare cases, dental decay may develop underneath the veneers, causing pain or sensitivity. Enamel loss and improper bite. Newly placed veneers may irritate your gums initially, leading to temporary discomfort as the tissues heal. Find out when to contact your dentist. You may notice redness, swelling, or. The good. Gum Pain After Veneers.
From springlovedentistry.com
What Does Gum Pain Around a Dental Bridge Suggest? Springlove Dentistry Gum Pain After Veneers Learn why you may have sensitive teeth after getting veneers and how to minimize your discomfort. You may notice redness, swelling, or. In rare cases, dental decay may develop underneath the veneers, causing pain or sensitivity. The good news is that the pain is temporary and can usually be managed with mild pain medications and other basic. Discover effective tips. Gum Pain After Veneers.
From mydentaladvocate.com
Pain After Dental Implant Crown (Helpful Guide) Gum Pain After Veneers Infections around dental veneers can cause gum irritation and bleeding. In rare cases, dental decay may develop underneath the veneers, causing pain or sensitivity. There are two main causes of tooth pain after veneers: Find out when to contact your dentist. Newly placed veneers may irritate your gums initially, leading to temporary discomfort as the tissues heal. The good news. Gum Pain After Veneers.
From dentistspreston.com
Before & After Porcelain Veneers Pictures Cosmetic Dentists in Preston Gum Pain After Veneers The good news is that the pain is temporary and can usually be managed with mild pain medications and other basic. Discover effective tips to manage major pain after dental veneers. Learn causes, relief options, and preventive measures for a smoother recovery. Newly placed veneers may irritate your gums initially, leading to temporary discomfort as the tissues heal. In rare. Gum Pain After Veneers.
From dentistspreston.com
Before & After Porcelain Veneers Pictures Cosmetic Dentists in Preston Gum Pain After Veneers Find out when to contact your dentist. Learn causes, relief options, and preventive measures for a smoother recovery. Enamel loss and improper bite. You may notice redness, swelling, or. Discover effective tips to manage major pain after dental veneers. Newly placed veneers may irritate your gums initially, leading to temporary discomfort as the tissues heal. Learn why you may have. Gum Pain After Veneers.
From brunswickeastdental.com.au
Veneers Before and After Results Gum Pain After Veneers Newly placed veneers may irritate your gums initially, leading to temporary discomfort as the tissues heal. You may notice redness, swelling, or. Find out when to contact your dentist. Discover effective tips to manage major pain after dental veneers. Learn causes, relief options, and preventive measures for a smoother recovery. Infections around dental veneers can cause gum irritation and bleeding.. Gum Pain After Veneers.
From exolxuobk.blob.core.windows.net
Gum Pain After Veneers at Cole blog Gum Pain After Veneers You may notice redness, swelling, or. In rare cases, dental decay may develop underneath the veneers, causing pain or sensitivity. Infections around dental veneers can cause gum irritation and bleeding. Find out when to contact your dentist. Learn why you may have sensitive teeth after getting veneers and how to minimize your discomfort. The good news is that the pain. Gum Pain After Veneers.
From brunswickeastdental.com.au
Veneers Before and After Results Gum Pain After Veneers Discover effective tips to manage major pain after dental veneers. Infections around dental veneers can cause gum irritation and bleeding. Irritation of the gums around the veneers may occur if the margins of the veneers are too close to the gum line or if there is excess bonding material. Learn causes, relief options, and preventive measures for a smoother recovery.. Gum Pain After Veneers.
From www.southviewdentistrycharlotte.com
Why Get Veneers? Everything You Need to Know About Veneers Gum Pain After Veneers You may notice redness, swelling, or. Irritation of the gums around the veneers may occur if the margins of the veneers are too close to the gum line or if there is excess bonding material. Infections around dental veneers can cause gum irritation and bleeding. Newly placed veneers may irritate your gums initially, leading to temporary discomfort as the tissues. Gum Pain After Veneers.
From exolxuobk.blob.core.windows.net
Gum Pain After Veneers at Cole blog Gum Pain After Veneers Discover effective tips to manage major pain after dental veneers. In rare cases, dental decay may develop underneath the veneers, causing pain or sensitivity. Learn why you may have sensitive teeth after getting veneers and how to minimize your discomfort. Enamel loss and improper bite. Irritation of the gums around the veneers may occur if the margins of the veneers. Gum Pain After Veneers.
From lakeforestdentalarts.com
Gum receding around crown Does dentistry cause recession? Gum Pain After Veneers Newly placed veneers may irritate your gums initially, leading to temporary discomfort as the tissues heal. Discover effective tips to manage major pain after dental veneers. Learn causes, relief options, and preventive measures for a smoother recovery. You may notice redness, swelling, or. Learn why you may have sensitive teeth after getting veneers and how to minimize your discomfort. Irritation. Gum Pain After Veneers.
From dentistspreston.com
Before & After Porcelain Veneers Pictures Cosmetic Dentists in Preston Gum Pain After Veneers Infections around dental veneers can cause gum irritation and bleeding. There are two main causes of tooth pain after veneers: You may notice redness, swelling, or. Find out when to contact your dentist. Discover effective tips to manage major pain after dental veneers. The good news is that the pain is temporary and can usually be managed with mild pain. Gum Pain After Veneers.