Aligner Refinement . If your original set of aligners hasn’t worked as expected, you might need refinement aligners to. Invisalign refinements are corrections to your aligner treatment after you have finished your original planned treatment and sets of aligners. Invisalign refinements are additional sets of aligners that may be required during the period of treatment with invisalign. Refinement or overcorrection aligners are becoming an increasingly common part of aligner treatment. When the teeth are not being aligned properly, or the gaps between the teeth are not being closed as planned, it may be necessary to make adjustments. Clear plastic aligners are an excellent treatment option for a wide range of dental misalignments, although some treatment may require more time or more trays, depending on your dental needs. In the clear aligner technique, it is normal to have what we call refinement aligners, which are required when one or more teeth do not behave as anticipated. Refinements for invisalign are minute adjustments that will need to be made to your aligners by your dentist while you are undergoing treatment. Refinement teeth aligners are extra sets of aligners that make corrections to your treatment. It is not a bad thing if your dentist suggests refinements, it just means that they are making sure you get the most out of your treatment. Each aligner is designed to put the right amount of pressure on your teeth to move and realign them into their ideal positions.
from www.youtube.com
Refinement or overcorrection aligners are becoming an increasingly common part of aligner treatment. If your original set of aligners hasn’t worked as expected, you might need refinement aligners to. Each aligner is designed to put the right amount of pressure on your teeth to move and realign them into their ideal positions. It is not a bad thing if your dentist suggests refinements, it just means that they are making sure you get the most out of your treatment. Clear plastic aligners are an excellent treatment option for a wide range of dental misalignments, although some treatment may require more time or more trays, depending on your dental needs. Invisalign refinements are corrections to your aligner treatment after you have finished your original planned treatment and sets of aligners. Refinement teeth aligners are extra sets of aligners that make corrections to your treatment. In the clear aligner technique, it is normal to have what we call refinement aligners, which are required when one or more teeth do not behave as anticipated. Invisalign refinements are additional sets of aligners that may be required during the period of treatment with invisalign. Refinements for invisalign are minute adjustments that will need to be made to your aligners by your dentist while you are undergoing treatment.
Refinement of Aligners with Meshmixer YouTube
Aligner Refinement Refinements for invisalign are minute adjustments that will need to be made to your aligners by your dentist while you are undergoing treatment. Refinement or overcorrection aligners are becoming an increasingly common part of aligner treatment. Each aligner is designed to put the right amount of pressure on your teeth to move and realign them into their ideal positions. Invisalign refinements are corrections to your aligner treatment after you have finished your original planned treatment and sets of aligners. If your original set of aligners hasn’t worked as expected, you might need refinement aligners to. Clear plastic aligners are an excellent treatment option for a wide range of dental misalignments, although some treatment may require more time or more trays, depending on your dental needs. Invisalign refinements are additional sets of aligners that may be required during the period of treatment with invisalign. In the clear aligner technique, it is normal to have what we call refinement aligners, which are required when one or more teeth do not behave as anticipated. It is not a bad thing if your dentist suggests refinements, it just means that they are making sure you get the most out of your treatment. Refinements for invisalign are minute adjustments that will need to be made to your aligners by your dentist while you are undergoing treatment. Refinement teeth aligners are extra sets of aligners that make corrections to your treatment. When the teeth are not being aligned properly, or the gaps between the teeth are not being closed as planned, it may be necessary to make adjustments.
From mmorthoplan.com
Aligner refinement MM Ortho Plan LTD Aligner Refinement When the teeth are not being aligned properly, or the gaps between the teeth are not being closed as planned, it may be necessary to make adjustments. Refinement teeth aligners are extra sets of aligners that make corrections to your treatment. Clear plastic aligners are an excellent treatment option for a wide range of dental misalignments, although some treatment may. Aligner Refinement.
From www.youtube.com
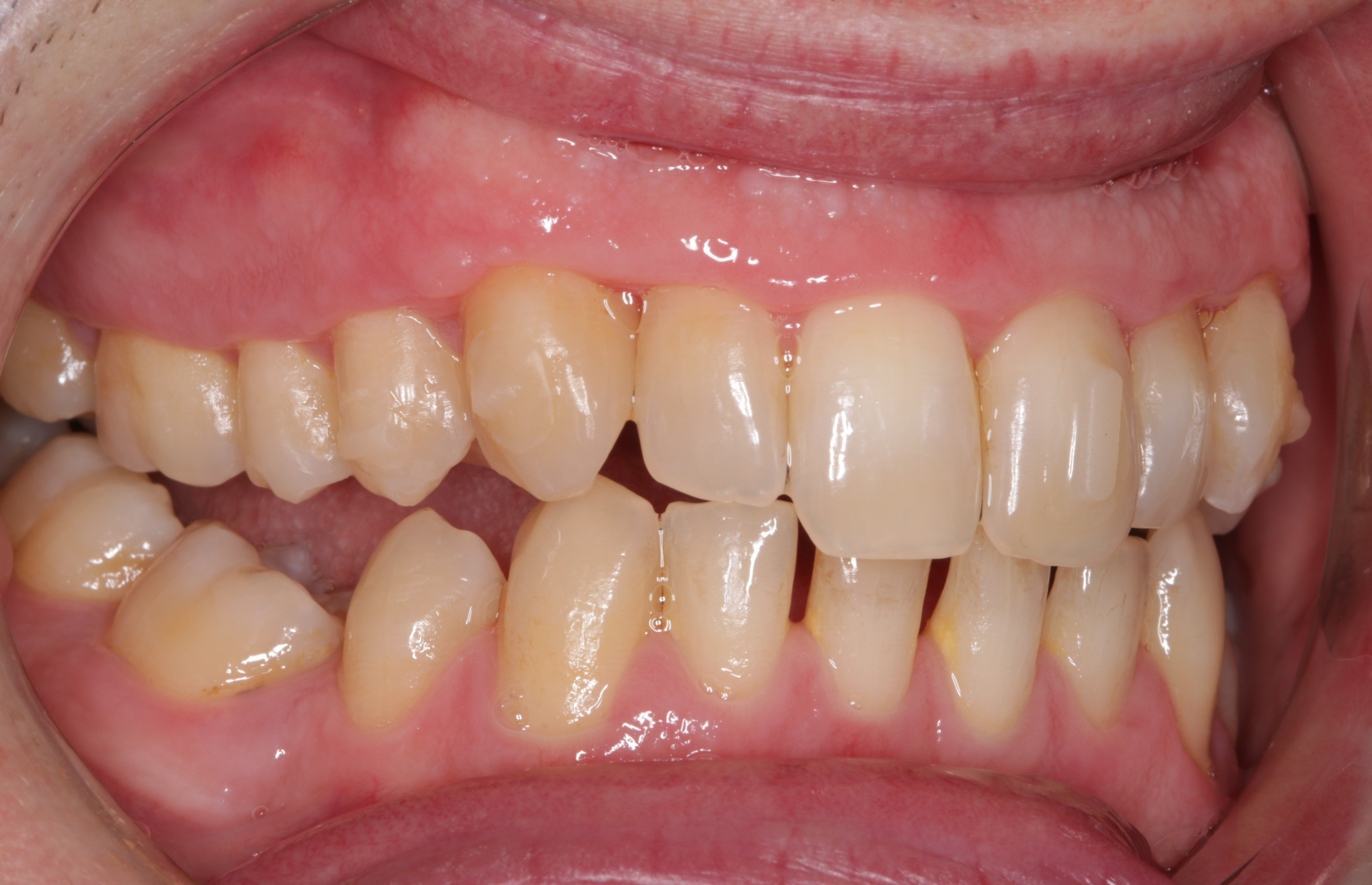
Actual before and after of Invisalign treatment needing refinement Aligner Refinement It is not a bad thing if your dentist suggests refinements, it just means that they are making sure you get the most out of your treatment. When the teeth are not being aligned properly, or the gaps between the teeth are not being closed as planned, it may be necessary to make adjustments. Invisalign refinements are additional sets of. Aligner Refinement.
From www.reddit.com
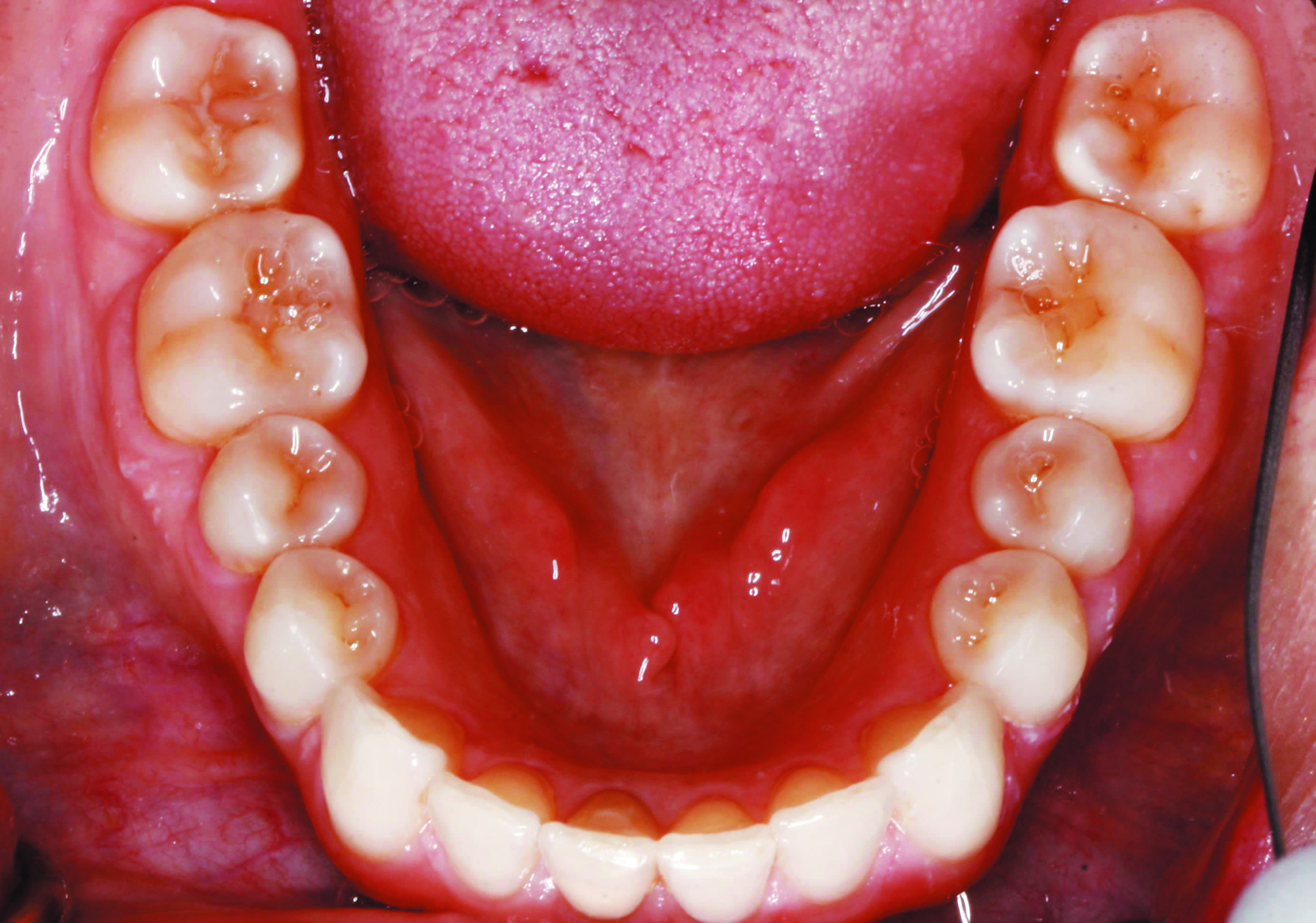
21 aligners and 6 refinement aligners Happy patient. Fixing teeth that Aligner Refinement Refinement or overcorrection aligners are becoming an increasingly common part of aligner treatment. Invisalign refinements are additional sets of aligners that may be required during the period of treatment with invisalign. Invisalign refinements are corrections to your aligner treatment after you have finished your original planned treatment and sets of aligners. If your original set of aligners hasn’t worked as. Aligner Refinement.
From www.medondo.health
Invisalign Refinement Alles über die Nachbehandlung medondo.health Aligner Refinement Invisalign refinements are additional sets of aligners that may be required during the period of treatment with invisalign. In the clear aligner technique, it is normal to have what we call refinement aligners, which are required when one or more teeth do not behave as anticipated. When the teeth are not being aligned properly, or the gaps between the teeth. Aligner Refinement.
From adaptiveorthodontics.com
Meshmixer Refinement of Aligners ADAPTIVE ORTHODONTICS Aligner Refinement If your original set of aligners hasn’t worked as expected, you might need refinement aligners to. Refinement teeth aligners are extra sets of aligners that make corrections to your treatment. Refinements for invisalign are minute adjustments that will need to be made to your aligners by your dentist while you are undergoing treatment. In the clear aligner technique, it is. Aligner Refinement.
From orthopracticeus.com
DIY aligners using SureSmile software as a treatment alternative Aligner Refinement In the clear aligner technique, it is normal to have what we call refinement aligners, which are required when one or more teeth do not behave as anticipated. It is not a bad thing if your dentist suggests refinements, it just means that they are making sure you get the most out of your treatment. Refinement teeth aligners are extra. Aligner Refinement.
From www.reddit.com
Before and after 14 aligner trays and 13 refinement trays D Aligner Refinement It is not a bad thing if your dentist suggests refinements, it just means that they are making sure you get the most out of your treatment. Each aligner is designed to put the right amount of pressure on your teeth to move and realign them into their ideal positions. Invisalign refinements are corrections to your aligner treatment after you. Aligner Refinement.
From www.dentalree.com
Free Aligners for STANDARD Case refinement DENTALREE Aligner Refinement If your original set of aligners hasn’t worked as expected, you might need refinement aligners to. In the clear aligner technique, it is normal to have what we call refinement aligners, which are required when one or more teeth do not behave as anticipated. Invisalign refinements are corrections to your aligner treatment after you have finished your original planned treatment. Aligner Refinement.
From theorthocosmos.com
Effective Use of Additional Aligners The Ortho Cosmos Aligner Refinement Refinements for invisalign are minute adjustments that will need to be made to your aligners by your dentist while you are undergoing treatment. Clear plastic aligners are an excellent treatment option for a wide range of dental misalignments, although some treatment may require more time or more trays, depending on your dental needs. Refinement or overcorrection aligners are becoming an. Aligner Refinement.
From www.reddit.com
20 pairs of aligners over 25 weeks 23 months of refinements to go Aligner Refinement Refinement teeth aligners are extra sets of aligners that make corrections to your treatment. When the teeth are not being aligned properly, or the gaps between the teeth are not being closed as planned, it may be necessary to make adjustments. Invisalign refinements are corrections to your aligner treatment after you have finished your original planned treatment and sets of. Aligner Refinement.
From orthodonticproductsonline.com
Finding the Right Aligner Brand for Your Practice Orthodontic Products Aligner Refinement It is not a bad thing if your dentist suggests refinements, it just means that they are making sure you get the most out of your treatment. Clear plastic aligners are an excellent treatment option for a wide range of dental misalignments, although some treatment may require more time or more trays, depending on your dental needs. Refinement or overcorrection. Aligner Refinement.
From oralhealthline.com
BRACES AND ALIGNER Oral Health Line Aligner Refinement Refinement or overcorrection aligners are becoming an increasingly common part of aligner treatment. Refinement teeth aligners are extra sets of aligners that make corrections to your treatment. If your original set of aligners hasn’t worked as expected, you might need refinement aligners to. Refinements for invisalign are minute adjustments that will need to be made to your aligners by your. Aligner Refinement.
From www.milnororthodontics.com
What Is Invisalign Retention Phase? Fort Collins Orthodontist Aligner Refinement Refinement or overcorrection aligners are becoming an increasingly common part of aligner treatment. When the teeth are not being aligned properly, or the gaps between the teeth are not being closed as planned, it may be necessary to make adjustments. In the clear aligner technique, it is normal to have what we call refinement aligners, which are required when one. Aligner Refinement.
From orthodonticresource.com
Refinement Alignment Orthodontic Resource Group Aligner Refinement When the teeth are not being aligned properly, or the gaps between the teeth are not being closed as planned, it may be necessary to make adjustments. It is not a bad thing if your dentist suggests refinements, it just means that they are making sure you get the most out of your treatment. Refinements for invisalign are minute adjustments. Aligner Refinement.
From apospublications.com
The hybrid approach A solution to unpredictable movements in Aligner Refinement It is not a bad thing if your dentist suggests refinements, it just means that they are making sure you get the most out of your treatment. When the teeth are not being aligned properly, or the gaps between the teeth are not being closed as planned, it may be necessary to make adjustments. If your original set of aligners. Aligner Refinement.
From www.straightteethdirect.com
Refinement Aligners Why you may need aligner overcorrection Aligner Refinement Clear plastic aligners are an excellent treatment option for a wide range of dental misalignments, although some treatment may require more time or more trays, depending on your dental needs. Invisalign refinements are additional sets of aligners that may be required during the period of treatment with invisalign. Invisalign refinements are corrections to your aligner treatment after you have finished. Aligner Refinement.
From www.mdpi.com
IJERPH Free FullText Perception of Need for Further Refinement in Aligner Refinement Each aligner is designed to put the right amount of pressure on your teeth to move and realign them into their ideal positions. In the clear aligner technique, it is normal to have what we call refinement aligners, which are required when one or more teeth do not behave as anticipated. Clear plastic aligners are an excellent treatment option for. Aligner Refinement.
From justsimplymom.com
Byte Teeth Aligner Trial Before and After Review Just Simply Mom Aligner Refinement Invisalign refinements are corrections to your aligner treatment after you have finished your original planned treatment and sets of aligners. If your original set of aligners hasn’t worked as expected, you might need refinement aligners to. It is not a bad thing if your dentist suggests refinements, it just means that they are making sure you get the most out. Aligner Refinement.
From orthodonticproductsonline.com
Finding the Right Aligner Brand for Your Practice Orthodontic Products Aligner Refinement Invisalign refinements are corrections to your aligner treatment after you have finished your original planned treatment and sets of aligners. When the teeth are not being aligned properly, or the gaps between the teeth are not being closed as planned, it may be necessary to make adjustments. Invisalign refinements are additional sets of aligners that may be required during the. Aligner Refinement.
From mmorthoplan.com
Aligner refinement MM Ortho Plan LTD Aligner Refinement Refinements for invisalign are minute adjustments that will need to be made to your aligners by your dentist while you are undergoing treatment. Refinement teeth aligners are extra sets of aligners that make corrections to your treatment. Invisalign refinements are corrections to your aligner treatment after you have finished your original planned treatment and sets of aligners. If your original. Aligner Refinement.
From www.youtube.com
Alignerco refinement aligner number 2 YouTube Aligner Refinement When the teeth are not being aligned properly, or the gaps between the teeth are not being closed as planned, it may be necessary to make adjustments. Refinements for invisalign are minute adjustments that will need to be made to your aligners by your dentist while you are undergoing treatment. Invisalign refinements are additional sets of aligners that may be. Aligner Refinement.
From www.straightsmilesolutions.com
2023 Invisalign and Clear Aligner Refinement Instructions Aligner Refinement Invisalign refinements are additional sets of aligners that may be required during the period of treatment with invisalign. It is not a bad thing if your dentist suggests refinements, it just means that they are making sure you get the most out of your treatment. If your original set of aligners hasn’t worked as expected, you might need refinement aligners. Aligner Refinement.
From www.thermadent.co.uk
Clear Aligners by ClearBrace™ Thermadent Orthodontic Laboratory Aligner Refinement Invisalign refinements are corrections to your aligner treatment after you have finished your original planned treatment and sets of aligners. Refinements for invisalign are minute adjustments that will need to be made to your aligners by your dentist while you are undergoing treatment. When the teeth are not being aligned properly, or the gaps between the teeth are not being. Aligner Refinement.
From www.reddit.com
First set done 15 aligners. Awaiting some refinement trays. r/Invisalign Aligner Refinement If your original set of aligners hasn’t worked as expected, you might need refinement aligners to. Invisalign refinements are additional sets of aligners that may be required during the period of treatment with invisalign. Refinements for invisalign are minute adjustments that will need to be made to your aligners by your dentist while you are undergoing treatment. Clear plastic aligners. Aligner Refinement.
From orthodonticproductsonline.com
Finding the Right Aligner Brand for Your Practice Orthodontic Products Aligner Refinement Clear plastic aligners are an excellent treatment option for a wide range of dental misalignments, although some treatment may require more time or more trays, depending on your dental needs. It is not a bad thing if your dentist suggests refinements, it just means that they are making sure you get the most out of your treatment. If your original. Aligner Refinement.
From www.youtube.com
Aligner and Invisalign Refinement YouTube Aligner Refinement Refinement or overcorrection aligners are becoming an increasingly common part of aligner treatment. Invisalign refinements are corrections to your aligner treatment after you have finished your original planned treatment and sets of aligners. Invisalign refinements are additional sets of aligners that may be required during the period of treatment with invisalign. Refinements for invisalign are minute adjustments that will need. Aligner Refinement.
From aligners.co
Guide To Refinement Aligners Aligners Aligner Refinement Each aligner is designed to put the right amount of pressure on your teeth to move and realign them into their ideal positions. Invisalign refinements are corrections to your aligner treatment after you have finished your original planned treatment and sets of aligners. Clear plastic aligners are an excellent treatment option for a wide range of dental misalignments, although some. Aligner Refinement.
From www.youtube.com
Refinement of Aligners with Meshmixer YouTube Aligner Refinement Clear plastic aligners are an excellent treatment option for a wide range of dental misalignments, although some treatment may require more time or more trays, depending on your dental needs. It is not a bad thing if your dentist suggests refinements, it just means that they are making sure you get the most out of your treatment. If your original. Aligner Refinement.
From orthodonticproductsonline.com
Finding the Right Aligner Brand for Your Practice Orthodontic Products Aligner Refinement Invisalign refinements are corrections to your aligner treatment after you have finished your original planned treatment and sets of aligners. Clear plastic aligners are an excellent treatment option for a wide range of dental misalignments, although some treatment may require more time or more trays, depending on your dental needs. Refinement or overcorrection aligners are becoming an increasingly common part. Aligner Refinement.
From www.straightteethdirect.com
Refinement Aligners Why you may need aligner overcorrection Aligner Refinement It is not a bad thing if your dentist suggests refinements, it just means that they are making sure you get the most out of your treatment. When the teeth are not being aligned properly, or the gaps between the teeth are not being closed as planned, it may be necessary to make adjustments. Invisalign refinements are additional sets of. Aligner Refinement.
From orthodonticproductsonline.com
Finding the Right Aligner Brand for Your Practice Orthodontic Products Aligner Refinement Clear plastic aligners are an excellent treatment option for a wide range of dental misalignments, although some treatment may require more time or more trays, depending on your dental needs. Refinement or overcorrection aligners are becoming an increasingly common part of aligner treatment. It is not a bad thing if your dentist suggests refinements, it just means that they are. Aligner Refinement.
From www.dental-tribune.com
Dental News Getting to grips with general dental practitioner Aligner Refinement Clear plastic aligners are an excellent treatment option for a wide range of dental misalignments, although some treatment may require more time or more trays, depending on your dental needs. Refinement or overcorrection aligners are becoming an increasingly common part of aligner treatment. Invisalign refinements are corrections to your aligner treatment after you have finished your original planned treatment and. Aligner Refinement.
From transformorthocare.com.au
What is refinement during aligner treatment? Transform Orthodontic Care Aligner Refinement Clear plastic aligners are an excellent treatment option for a wide range of dental misalignments, although some treatment may require more time or more trays, depending on your dental needs. In the clear aligner technique, it is normal to have what we call refinement aligners, which are required when one or more teeth do not behave as anticipated. When the. Aligner Refinement.
From www.iasortho.com
Getting to Grips with GDP Orthodontics James Forshaw IAS Academy Aligner Refinement Clear plastic aligners are an excellent treatment option for a wide range of dental misalignments, although some treatment may require more time or more trays, depending on your dental needs. When the teeth are not being aligned properly, or the gaps between the teeth are not being closed as planned, it may be necessary to make adjustments. In the clear. Aligner Refinement.
From mmorthoplan.com
Aligner refinement MM Ortho Plan LTD Aligner Refinement Refinements for invisalign are minute adjustments that will need to be made to your aligners by your dentist while you are undergoing treatment. Refinement or overcorrection aligners are becoming an increasingly common part of aligner treatment. Each aligner is designed to put the right amount of pressure on your teeth to move and realign them into their ideal positions. Invisalign. Aligner Refinement.