Heart Catheterization Nerve Damage . In this study, we report the incidence of this. The nerve may be injured by needle puncture, or by compression from hematoma, pseudoaneurysm, hemostasis devices, or by. Identify the technique of cardiac catheterization. Neuropathy is a rare, but potentially morbid, complication of cardiac catheter ization. Describe the indications for cardiac catheterization. Review the complications of cardiac. The transradial access site is currently the gold standard for cardiac catheterization, as it has been shown to.
from www.researchgate.net
Neuropathy is a rare, but potentially morbid, complication of cardiac catheter ization. Review the complications of cardiac. Identify the technique of cardiac catheterization. Describe the indications for cardiac catheterization. The transradial access site is currently the gold standard for cardiac catheterization, as it has been shown to. The nerve may be injured by needle puncture, or by compression from hematoma, pseudoaneurysm, hemostasis devices, or by. In this study, we report the incidence of this.
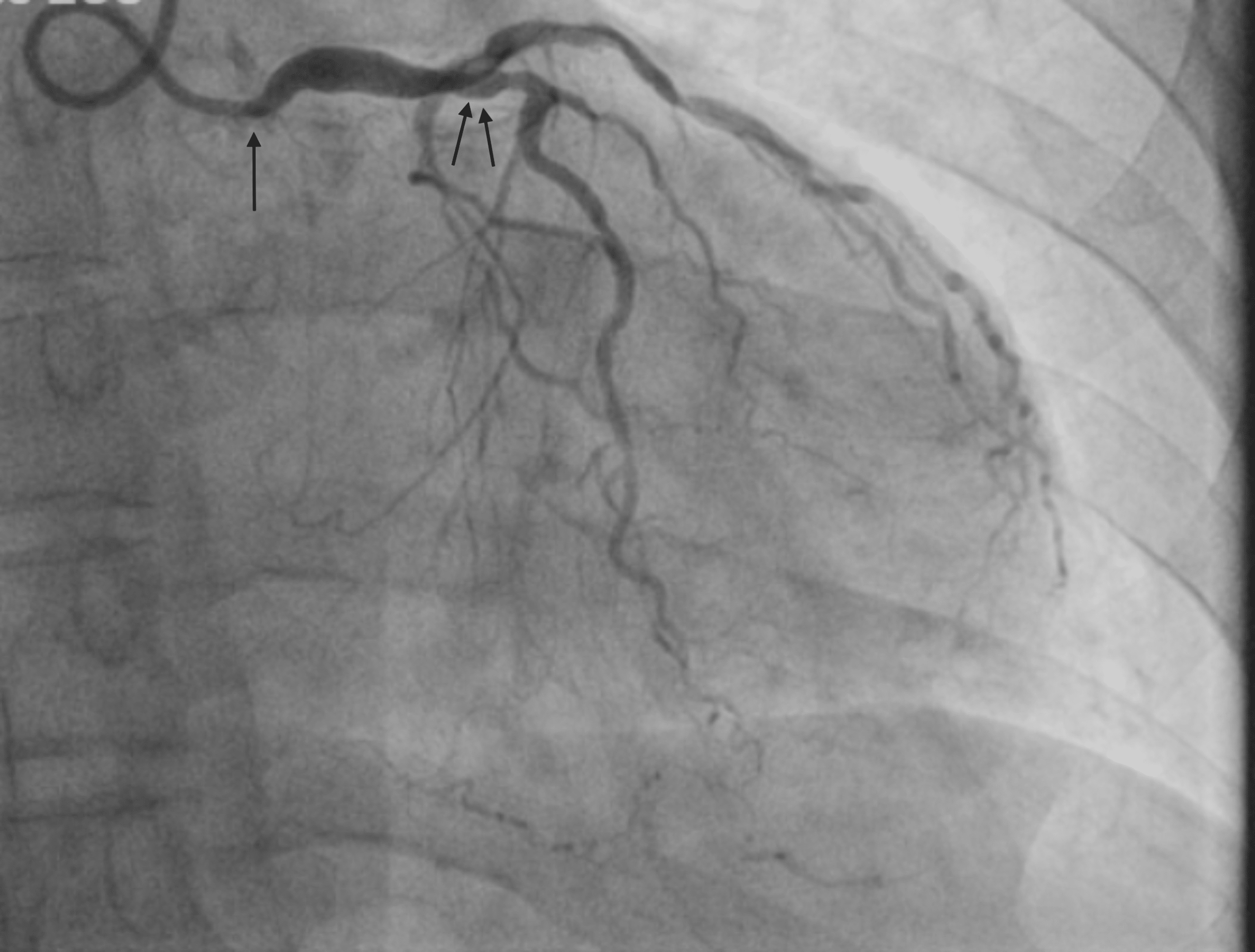
Left heart catheterization revealing right coronary artery collaterals
Heart Catheterization Nerve Damage The nerve may be injured by needle puncture, or by compression from hematoma, pseudoaneurysm, hemostasis devices, or by. In this study, we report the incidence of this. Neuropathy is a rare, but potentially morbid, complication of cardiac catheter ization. The nerve may be injured by needle puncture, or by compression from hematoma, pseudoaneurysm, hemostasis devices, or by. The transradial access site is currently the gold standard for cardiac catheterization, as it has been shown to. Identify the technique of cardiac catheterization. Describe the indications for cardiac catheterization. Review the complications of cardiac.
From www.researchgate.net
Cardiovascular system and catheterization procedure. (A) Diagram of Heart Catheterization Nerve Damage Describe the indications for cardiac catheterization. Neuropathy is a rare, but potentially morbid, complication of cardiac catheter ization. In this study, we report the incidence of this. Review the complications of cardiac. Identify the technique of cardiac catheterization. The transradial access site is currently the gold standard for cardiac catheterization, as it has been shown to. The nerve may be. Heart Catheterization Nerve Damage.
From www.cureus.com
Cureus Negative Stress Test Is Not Always Negative Revisiting the Heart Catheterization Nerve Damage In this study, we report the incidence of this. Identify the technique of cardiac catheterization. Neuropathy is a rare, but potentially morbid, complication of cardiac catheter ization. Review the complications of cardiac. The transradial access site is currently the gold standard for cardiac catheterization, as it has been shown to. The nerve may be injured by needle puncture, or by. Heart Catheterization Nerve Damage.
From www.youtube.com
Right Heart Catheter for the Diagnosis of PAH YouTube Heart Catheterization Nerve Damage In this study, we report the incidence of this. Describe the indications for cardiac catheterization. Identify the technique of cardiac catheterization. Review the complications of cardiac. The transradial access site is currently the gold standard for cardiac catheterization, as it has been shown to. The nerve may be injured by needle puncture, or by compression from hematoma, pseudoaneurysm, hemostasis devices,. Heart Catheterization Nerve Damage.
From www.researchgate.net
Left heart catheterization. a) Significant sequential stenotic lesions Heart Catheterization Nerve Damage Neuropathy is a rare, but potentially morbid, complication of cardiac catheter ization. The transradial access site is currently the gold standard for cardiac catheterization, as it has been shown to. The nerve may be injured by needle puncture, or by compression from hematoma, pseudoaneurysm, hemostasis devices, or by. In this study, we report the incidence of this. Review the complications. Heart Catheterization Nerve Damage.
From www.cureus.com
Cureus A Broken Heart After Witnessing a Dying Heart A Case of Heart Catheterization Nerve Damage The nerve may be injured by needle puncture, or by compression from hematoma, pseudoaneurysm, hemostasis devices, or by. Review the complications of cardiac. The transradial access site is currently the gold standard for cardiac catheterization, as it has been shown to. Neuropathy is a rare, but potentially morbid, complication of cardiac catheter ization. Identify the technique of cardiac catheterization. In. Heart Catheterization Nerve Damage.
From www.researchgate.net
Right heart catheterization findings before and after the procedure Heart Catheterization Nerve Damage Neuropathy is a rare, but potentially morbid, complication of cardiac catheter ization. Identify the technique of cardiac catheterization. In this study, we report the incidence of this. The transradial access site is currently the gold standard for cardiac catheterization, as it has been shown to. The nerve may be injured by needle puncture, or by compression from hematoma, pseudoaneurysm, hemostasis. Heart Catheterization Nerve Damage.
From internet-prod.nhlbi.nih.gov
Cardiac Catheterization What Is Cardiac Catheterization NHLBI, NIH Heart Catheterization Nerve Damage The nerve may be injured by needle puncture, or by compression from hematoma, pseudoaneurysm, hemostasis devices, or by. Review the complications of cardiac. The transradial access site is currently the gold standard for cardiac catheterization, as it has been shown to. Neuropathy is a rare, but potentially morbid, complication of cardiac catheter ization. In this study, we report the incidence. Heart Catheterization Nerve Damage.
From uat.adamondemand.com
The Principles of Cardiac CatheterizationA.D.A.M. OnDemand Heart Catheterization Nerve Damage Identify the technique of cardiac catheterization. The transradial access site is currently the gold standard for cardiac catheterization, as it has been shown to. Neuropathy is a rare, but potentially morbid, complication of cardiac catheter ization. The nerve may be injured by needle puncture, or by compression from hematoma, pseudoaneurysm, hemostasis devices, or by. Review the complications of cardiac. Describe. Heart Catheterization Nerve Damage.
From www.verywellhealth.com
Cardiac Catheterization Uses, Procedure, Results Heart Catheterization Nerve Damage The nerve may be injured by needle puncture, or by compression from hematoma, pseudoaneurysm, hemostasis devices, or by. Identify the technique of cardiac catheterization. In this study, we report the incidence of this. Review the complications of cardiac. Describe the indications for cardiac catheterization. Neuropathy is a rare, but potentially morbid, complication of cardiac catheter ization. The transradial access site. Heart Catheterization Nerve Damage.
From mavink.com
Right And Left Heart Catheterization Heart Catheterization Nerve Damage Review the complications of cardiac. In this study, we report the incidence of this. Identify the technique of cardiac catheterization. The transradial access site is currently the gold standard for cardiac catheterization, as it has been shown to. The nerve may be injured by needle puncture, or by compression from hematoma, pseudoaneurysm, hemostasis devices, or by. Describe the indications for. Heart Catheterization Nerve Damage.
From www.researchgate.net
Left heart catheterization prepercutaneous intervention. Download Heart Catheterization Nerve Damage Review the complications of cardiac. Neuropathy is a rare, but potentially morbid, complication of cardiac catheter ization. Identify the technique of cardiac catheterization. The transradial access site is currently the gold standard for cardiac catheterization, as it has been shown to. The nerve may be injured by needle puncture, or by compression from hematoma, pseudoaneurysm, hemostasis devices, or by. In. Heart Catheterization Nerve Damage.
From www.cureus.com
Cureus Takotsubo Cardiomyopathy A COVID19 Complication Heart Catheterization Nerve Damage Neuropathy is a rare, but potentially morbid, complication of cardiac catheter ization. In this study, we report the incidence of this. Review the complications of cardiac. The transradial access site is currently the gold standard for cardiac catheterization, as it has been shown to. Identify the technique of cardiac catheterization. The nerve may be injured by needle puncture, or by. Heart Catheterization Nerve Damage.
From www.researchgate.net
Left heart catheterization RAO cranial view showing left main coronary Heart Catheterization Nerve Damage The nerve may be injured by needle puncture, or by compression from hematoma, pseudoaneurysm, hemostasis devices, or by. Identify the technique of cardiac catheterization. Review the complications of cardiac. Describe the indications for cardiac catheterization. The transradial access site is currently the gold standard for cardiac catheterization, as it has been shown to. In this study, we report the incidence. Heart Catheterization Nerve Damage.
From www.informedhealth.org
What happens during cardiac catheterization? Heart Catheterization Nerve Damage Review the complications of cardiac. Neuropathy is a rare, but potentially morbid, complication of cardiac catheter ization. The nerve may be injured by needle puncture, or by compression from hematoma, pseudoaneurysm, hemostasis devices, or by. Identify the technique of cardiac catheterization. In this study, we report the incidence of this. Describe the indications for cardiac catheterization. The transradial access site. Heart Catheterization Nerve Damage.
From www.cureus.com
Cureus Complete Recovery of an Occluded Coronary Artery Secondary to Heart Catheterization Nerve Damage Identify the technique of cardiac catheterization. The transradial access site is currently the gold standard for cardiac catheterization, as it has been shown to. The nerve may be injured by needle puncture, or by compression from hematoma, pseudoaneurysm, hemostasis devices, or by. In this study, we report the incidence of this. Review the complications of cardiac. Describe the indications for. Heart Catheterization Nerve Damage.
From www.mdpi.com
Diagnostics Free FullText Contemporary Evidence and Practice on Heart Catheterization Nerve Damage Neuropathy is a rare, but potentially morbid, complication of cardiac catheter ization. The nerve may be injured by needle puncture, or by compression from hematoma, pseudoaneurysm, hemostasis devices, or by. The transradial access site is currently the gold standard for cardiac catheterization, as it has been shown to. Identify the technique of cardiac catheterization. In this study, we report the. Heart Catheterization Nerve Damage.
From www.pinterest.com
what occurs in a cardiac catheterization Cardiac catheterization Heart Catheterization Nerve Damage Review the complications of cardiac. Neuropathy is a rare, but potentially morbid, complication of cardiac catheter ization. The transradial access site is currently the gold standard for cardiac catheterization, as it has been shown to. Identify the technique of cardiac catheterization. In this study, we report the incidence of this. The nerve may be injured by needle puncture, or by. Heart Catheterization Nerve Damage.
From www.researchgate.net
Left heart catheterization revealing right coronary artery collaterals Heart Catheterization Nerve Damage In this study, we report the incidence of this. Review the complications of cardiac. Identify the technique of cardiac catheterization. Neuropathy is a rare, but potentially morbid, complication of cardiac catheter ization. The nerve may be injured by needle puncture, or by compression from hematoma, pseudoaneurysm, hemostasis devices, or by. The transradial access site is currently the gold standard for. Heart Catheterization Nerve Damage.
From www.researchgate.net
Left heart catheterization demonstrating coronary artery dissection of Heart Catheterization Nerve Damage Identify the technique of cardiac catheterization. The nerve may be injured by needle puncture, or by compression from hematoma, pseudoaneurysm, hemostasis devices, or by. Describe the indications for cardiac catheterization. Neuropathy is a rare, but potentially morbid, complication of cardiac catheter ization. In this study, we report the incidence of this. Review the complications of cardiac. The transradial access site. Heart Catheterization Nerve Damage.
From pediatrics.weill.cornell.edu
Cardiac Catheterization Program Pediatrics Heart Catheterization Nerve Damage Review the complications of cardiac. Describe the indications for cardiac catheterization. In this study, we report the incidence of this. The transradial access site is currently the gold standard for cardiac catheterization, as it has been shown to. The nerve may be injured by needle puncture, or by compression from hematoma, pseudoaneurysm, hemostasis devices, or by. Identify the technique of. Heart Catheterization Nerve Damage.
From www.researchgate.net
Left heart catheterization, showing ballooning of the midleft Heart Catheterization Nerve Damage The nerve may be injured by needle puncture, or by compression from hematoma, pseudoaneurysm, hemostasis devices, or by. In this study, we report the incidence of this. Identify the technique of cardiac catheterization. Neuropathy is a rare, but potentially morbid, complication of cardiac catheter ization. The transradial access site is currently the gold standard for cardiac catheterization, as it has. Heart Catheterization Nerve Damage.
From www.onlinecjc.ca
Cardiac Damage Staging in Aortic Stenosis A Perspective From the Heart Catheterization Nerve Damage In this study, we report the incidence of this. The nerve may be injured by needle puncture, or by compression from hematoma, pseudoaneurysm, hemostasis devices, or by. Identify the technique of cardiac catheterization. Neuropathy is a rare, but potentially morbid, complication of cardiac catheter ization. The transradial access site is currently the gold standard for cardiac catheterization, as it has. Heart Catheterization Nerve Damage.
From www.dreamstime.com
Cardiac Catheterization, Stent into Body Stock Illustration Heart Catheterization Nerve Damage Identify the technique of cardiac catheterization. Review the complications of cardiac. In this study, we report the incidence of this. The nerve may be injured by needle puncture, or by compression from hematoma, pseudoaneurysm, hemostasis devices, or by. Describe the indications for cardiac catheterization. The transradial access site is currently the gold standard for cardiac catheterization, as it has been. Heart Catheterization Nerve Damage.
From www.safetyhs.com
Cardiac Arrest vs Heart Attack Know the Difference Safety and Health Heart Catheterization Nerve Damage The transradial access site is currently the gold standard for cardiac catheterization, as it has been shown to. Identify the technique of cardiac catheterization. In this study, we report the incidence of this. Describe the indications for cardiac catheterization. Neuropathy is a rare, but potentially morbid, complication of cardiac catheter ization. The nerve may be injured by needle puncture, or. Heart Catheterization Nerve Damage.
From www.researchgate.net
Left heart catheterization (left coronary angiography) Angiographically Heart Catheterization Nerve Damage Identify the technique of cardiac catheterization. Review the complications of cardiac. In this study, we report the incidence of this. The nerve may be injured by needle puncture, or by compression from hematoma, pseudoaneurysm, hemostasis devices, or by. Neuropathy is a rare, but potentially morbid, complication of cardiac catheter ization. The transradial access site is currently the gold standard for. Heart Catheterization Nerve Damage.
From www.pinterest.com.mx
Pin on Pedi Heart Catheterization Nerve Damage Review the complications of cardiac. The transradial access site is currently the gold standard for cardiac catheterization, as it has been shown to. In this study, we report the incidence of this. Neuropathy is a rare, but potentially morbid, complication of cardiac catheter ization. Describe the indications for cardiac catheterization. Identify the technique of cardiac catheterization. The nerve may be. Heart Catheterization Nerve Damage.
From www.heartlungcirc.org
Phrenic Nerve Injury During Cardiac Surgery Mechanisms, Management and Heart Catheterization Nerve Damage The nerve may be injured by needle puncture, or by compression from hematoma, pseudoaneurysm, hemostasis devices, or by. Neuropathy is a rare, but potentially morbid, complication of cardiac catheter ization. In this study, we report the incidence of this. Review the complications of cardiac. The transradial access site is currently the gold standard for cardiac catheterization, as it has been. Heart Catheterization Nerve Damage.
From www.researchgate.net
(PDF) A new integrative approach combining right heart catheterization Heart Catheterization Nerve Damage Describe the indications for cardiac catheterization. In this study, we report the incidence of this. Identify the technique of cardiac catheterization. Review the complications of cardiac. The nerve may be injured by needle puncture, or by compression from hematoma, pseudoaneurysm, hemostasis devices, or by. Neuropathy is a rare, but potentially morbid, complication of cardiac catheter ization. The transradial access site. Heart Catheterization Nerve Damage.
From www.cureus.com
Cureus An Unusual Case of Severe Aortic Stenosis and TripleVessel Heart Catheterization Nerve Damage Neuropathy is a rare, but potentially morbid, complication of cardiac catheter ization. Identify the technique of cardiac catheterization. The transradial access site is currently the gold standard for cardiac catheterization, as it has been shown to. Review the complications of cardiac. The nerve may be injured by needle puncture, or by compression from hematoma, pseudoaneurysm, hemostasis devices, or by. In. Heart Catheterization Nerve Damage.
From www.researchgate.net
Left Heart Catheterization Demonstrating Proximal to Mid Left Anterior Heart Catheterization Nerve Damage Review the complications of cardiac. The transradial access site is currently the gold standard for cardiac catheterization, as it has been shown to. Describe the indications for cardiac catheterization. In this study, we report the incidence of this. Identify the technique of cardiac catheterization. Neuropathy is a rare, but potentially morbid, complication of cardiac catheter ization. The nerve may be. Heart Catheterization Nerve Damage.
From www.researchgate.net
Heart failure sensor implanted through right heart catheterization in Heart Catheterization Nerve Damage The nerve may be injured by needle puncture, or by compression from hematoma, pseudoaneurysm, hemostasis devices, or by. Neuropathy is a rare, but potentially morbid, complication of cardiac catheter ization. Identify the technique of cardiac catheterization. The transradial access site is currently the gold standard for cardiac catheterization, as it has been shown to. In this study, we report the. Heart Catheterization Nerve Damage.
From www.researchgate.net
Diagnostic heart catheterization performed 3 weeks after release of the Heart Catheterization Nerve Damage In this study, we report the incidence of this. Identify the technique of cardiac catheterization. The nerve may be injured by needle puncture, or by compression from hematoma, pseudoaneurysm, hemostasis devices, or by. Review the complications of cardiac. Describe the indications for cardiac catheterization. The transradial access site is currently the gold standard for cardiac catheterization, as it has been. Heart Catheterization Nerve Damage.
From www.researchgate.net
Left heart catheterization showing a patent graft to the second Heart Catheterization Nerve Damage The nerve may be injured by needle puncture, or by compression from hematoma, pseudoaneurysm, hemostasis devices, or by. Describe the indications for cardiac catheterization. The transradial access site is currently the gold standard for cardiac catheterization, as it has been shown to. In this study, we report the incidence of this. Neuropathy is a rare, but potentially morbid, complication of. Heart Catheterization Nerve Damage.
From www.dreamstime.com
Right Heart Catheterization Involves a Catheter that is Passed through Heart Catheterization Nerve Damage Neuropathy is a rare, but potentially morbid, complication of cardiac catheter ization. The transradial access site is currently the gold standard for cardiac catheterization, as it has been shown to. Describe the indications for cardiac catheterization. The nerve may be injured by needle puncture, or by compression from hematoma, pseudoaneurysm, hemostasis devices, or by. Identify the technique of cardiac catheterization.. Heart Catheterization Nerve Damage.
From www.researchgate.net
Left heart catheterization demonstrating moderate nonobstructive Heart Catheterization Nerve Damage Identify the technique of cardiac catheterization. The nerve may be injured by needle puncture, or by compression from hematoma, pseudoaneurysm, hemostasis devices, or by. Review the complications of cardiac. Describe the indications for cardiac catheterization. The transradial access site is currently the gold standard for cardiac catheterization, as it has been shown to. In this study, we report the incidence. Heart Catheterization Nerve Damage.