Dental Term Supernumerary Tooth . Treatment depends on the type and. if a person has one or more teeth that are additional to these typical sets of teeth, the person is said to have hyperdontia, and the additional teeth are. supernumerary teeth are those that exceed the normal dental formula. the most common supernumerary tooth which appears in the maxillary midline is called a mesiodens. the appearance of supernumerary teeth (st), or hyperdontia, is a developmental anomaly defined as any teeth or. This phenomenon is also known as. supernumerary tooth (st) is defined as “any tooth or odontogenic structure that is formed from tooth germ. In most situations, dentists know. hyperdontia or supernumerary teeth happen when your body produces more than the normal number of teeth.
from bestdentistinhouston.com
This phenomenon is also known as. the appearance of supernumerary teeth (st), or hyperdontia, is a developmental anomaly defined as any teeth or. supernumerary teeth are those that exceed the normal dental formula. if a person has one or more teeth that are additional to these typical sets of teeth, the person is said to have hyperdontia, and the additional teeth are. In most situations, dentists know. Treatment depends on the type and. hyperdontia or supernumerary teeth happen when your body produces more than the normal number of teeth. supernumerary tooth (st) is defined as “any tooth or odontogenic structure that is formed from tooth germ. the most common supernumerary tooth which appears in the maxillary midline is called a mesiodens.
Supernumerary Wisdom Teeth A Comprehensive Guide Best Dental
Dental Term Supernumerary Tooth In most situations, dentists know. In most situations, dentists know. if a person has one or more teeth that are additional to these typical sets of teeth, the person is said to have hyperdontia, and the additional teeth are. the most common supernumerary tooth which appears in the maxillary midline is called a mesiodens. the appearance of supernumerary teeth (st), or hyperdontia, is a developmental anomaly defined as any teeth or. hyperdontia or supernumerary teeth happen when your body produces more than the normal number of teeth. Treatment depends on the type and. supernumerary teeth are those that exceed the normal dental formula. This phenomenon is also known as. supernumerary tooth (st) is defined as “any tooth or odontogenic structure that is formed from tooth germ.
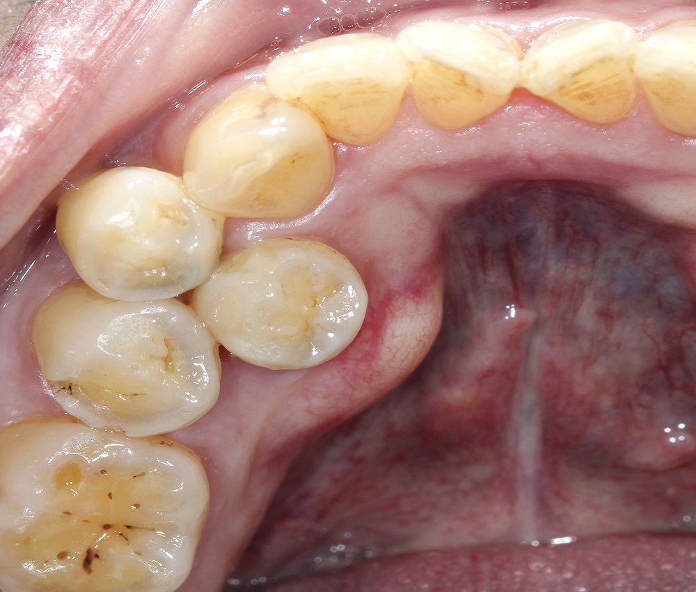
From pocketdentistry.com
34 Supernumerary teeth Pocket Dentistry Dental Term Supernumerary Tooth supernumerary tooth (st) is defined as “any tooth or odontogenic structure that is formed from tooth germ. In most situations, dentists know. hyperdontia or supernumerary teeth happen when your body produces more than the normal number of teeth. This phenomenon is also known as. if a person has one or more teeth that are additional to these. Dental Term Supernumerary Tooth.
From decisionsindentistry.com
Managing Supernumerary and Ectopic Teeth Decisions in Dentistry Dental Term Supernumerary Tooth the appearance of supernumerary teeth (st), or hyperdontia, is a developmental anomaly defined as any teeth or. In most situations, dentists know. Treatment depends on the type and. This phenomenon is also known as. if a person has one or more teeth that are additional to these typical sets of teeth, the person is said to have hyperdontia,. Dental Term Supernumerary Tooth.
From youtube.com
Supernumerary Teeth Abnormalities in Tooth Quantity 1 YouTube Dental Term Supernumerary Tooth if a person has one or more teeth that are additional to these typical sets of teeth, the person is said to have hyperdontia, and the additional teeth are. This phenomenon is also known as. the appearance of supernumerary teeth (st), or hyperdontia, is a developmental anomaly defined as any teeth or. supernumerary teeth are those that. Dental Term Supernumerary Tooth.
From www.researchgate.net
A, Supernumerary teeth (arrows). B, Structure of the protein coded by Dental Term Supernumerary Tooth This phenomenon is also known as. the most common supernumerary tooth which appears in the maxillary midline is called a mesiodens. the appearance of supernumerary teeth (st), or hyperdontia, is a developmental anomaly defined as any teeth or. Treatment depends on the type and. In most situations, dentists know. supernumerary tooth (st) is defined as “any tooth. Dental Term Supernumerary Tooth.
From bestdentistinhouston.com
Supernumerary Wisdom Teeth A Comprehensive Guide Best Dental Dental Term Supernumerary Tooth supernumerary teeth are those that exceed the normal dental formula. hyperdontia or supernumerary teeth happen when your body produces more than the normal number of teeth. This phenomenon is also known as. supernumerary tooth (st) is defined as “any tooth or odontogenic structure that is formed from tooth germ. if a person has one or more. Dental Term Supernumerary Tooth.
From www.lookfordiagnosis.com
Tooth, Supernumerary; Molar, Fourth Dental Term Supernumerary Tooth In most situations, dentists know. if a person has one or more teeth that are additional to these typical sets of teeth, the person is said to have hyperdontia, and the additional teeth are. supernumerary teeth are those that exceed the normal dental formula. Treatment depends on the type and. This phenomenon is also known as. supernumerary. Dental Term Supernumerary Tooth.
From emeralddental.in
SUPERNUMERARY TOOTH EMERALD DENTAL Dental Term Supernumerary Tooth Treatment depends on the type and. the appearance of supernumerary teeth (st), or hyperdontia, is a developmental anomaly defined as any teeth or. supernumerary teeth are those that exceed the normal dental formula. In most situations, dentists know. hyperdontia or supernumerary teeth happen when your body produces more than the normal number of teeth. the most. Dental Term Supernumerary Tooth.
From www.scribd.com
Supernumerary Tooth Mouth Health Sciences Dental Term Supernumerary Tooth the most common supernumerary tooth which appears in the maxillary midline is called a mesiodens. Treatment depends on the type and. hyperdontia or supernumerary teeth happen when your body produces more than the normal number of teeth. In most situations, dentists know. if a person has one or more teeth that are additional to these typical sets. Dental Term Supernumerary Tooth.
From kes.com.ua
Supernumerary teeth treatment Dental Term Supernumerary Tooth supernumerary teeth are those that exceed the normal dental formula. Treatment depends on the type and. hyperdontia or supernumerary teeth happen when your body produces more than the normal number of teeth. This phenomenon is also known as. supernumerary tooth (st) is defined as “any tooth or odontogenic structure that is formed from tooth germ. the. Dental Term Supernumerary Tooth.
From stock.adobe.com
Supernumerary tooth in the mandible of the mouth. An underdone premolar Dental Term Supernumerary Tooth the most common supernumerary tooth which appears in the maxillary midline is called a mesiodens. Treatment depends on the type and. In most situations, dentists know. supernumerary teeth are those that exceed the normal dental formula. if a person has one or more teeth that are additional to these typical sets of teeth, the person is said. Dental Term Supernumerary Tooth.
From askanorthodontist.com
What is a Supernumerary Tooth? Ask an Dental Term Supernumerary Tooth Treatment depends on the type and. the appearance of supernumerary teeth (st), or hyperdontia, is a developmental anomaly defined as any teeth or. if a person has one or more teeth that are additional to these typical sets of teeth, the person is said to have hyperdontia, and the additional teeth are. the most common supernumerary tooth. Dental Term Supernumerary Tooth.
From frostedevents.com
Tooth Number Chart to Identify Primary Teeth Eruption Charts Dental Term Supernumerary Tooth if a person has one or more teeth that are additional to these typical sets of teeth, the person is said to have hyperdontia, and the additional teeth are. supernumerary tooth (st) is defined as “any tooth or odontogenic structure that is formed from tooth germ. This phenomenon is also known as. Treatment depends on the type and.. Dental Term Supernumerary Tooth.
From burkeredfordorthodontists.com
Supernumerary Teeth Hyperdontia Treatment Dental Term Supernumerary Tooth Treatment depends on the type and. the appearance of supernumerary teeth (st), or hyperdontia, is a developmental anomaly defined as any teeth or. the most common supernumerary tooth which appears in the maxillary midline is called a mesiodens. In most situations, dentists know. This phenomenon is also known as. if a person has one or more teeth. Dental Term Supernumerary Tooth.
From schematicdiagramyakuza.z13.web.core.windows.net
Diagram Tooth Numbering System Dental Term Supernumerary Tooth In most situations, dentists know. supernumerary teeth are those that exceed the normal dental formula. if a person has one or more teeth that are additional to these typical sets of teeth, the person is said to have hyperdontia, and the additional teeth are. Treatment depends on the type and. supernumerary tooth (st) is defined as “any. Dental Term Supernumerary Tooth.
From casereports.bmj.com
Multilobed mesiodens a supernumerary tooth with unusual morphology Dental Term Supernumerary Tooth In most situations, dentists know. if a person has one or more teeth that are additional to these typical sets of teeth, the person is said to have hyperdontia, and the additional teeth are. the appearance of supernumerary teeth (st), or hyperdontia, is a developmental anomaly defined as any teeth or. Treatment depends on the type and. . Dental Term Supernumerary Tooth.
From directorioodontologico.blogspot.com
ORAL PATHOLOGY Supernumerary Teeth Directorio Odontológico Dental Term Supernumerary Tooth This phenomenon is also known as. if a person has one or more teeth that are additional to these typical sets of teeth, the person is said to have hyperdontia, and the additional teeth are. supernumerary tooth (st) is defined as “any tooth or odontogenic structure that is formed from tooth germ. Treatment depends on the type and.. Dental Term Supernumerary Tooth.
From www.youtube.com
Supernumerary tooth extraction (Mesiodens) YouTube Dental Term Supernumerary Tooth supernumerary teeth are those that exceed the normal dental formula. This phenomenon is also known as. the appearance of supernumerary teeth (st), or hyperdontia, is a developmental anomaly defined as any teeth or. supernumerary tooth (st) is defined as “any tooth or odontogenic structure that is formed from tooth germ. if a person has one or. Dental Term Supernumerary Tooth.
From orthodonticsinlondon.co.uk
Supernumerary Teeth Orthodontics in London Dental Term Supernumerary Tooth This phenomenon is also known as. the appearance of supernumerary teeth (st), or hyperdontia, is a developmental anomaly defined as any teeth or. In most situations, dentists know. Treatment depends on the type and. hyperdontia or supernumerary teeth happen when your body produces more than the normal number of teeth. supernumerary teeth are those that exceed the. Dental Term Supernumerary Tooth.
From www.researchgate.net
The supernumerary tooth with mesiodens interfering with occlusion. The Dental Term Supernumerary Tooth hyperdontia or supernumerary teeth happen when your body produces more than the normal number of teeth. Treatment depends on the type and. supernumerary tooth (st) is defined as “any tooth or odontogenic structure that is formed from tooth germ. the appearance of supernumerary teeth (st), or hyperdontia, is a developmental anomaly defined as any teeth or. . Dental Term Supernumerary Tooth.
From www.researchgate.net
Mirror image showing mesiodens and a supernumerary tooth palatal to 21 Dental Term Supernumerary Tooth the most common supernumerary tooth which appears in the maxillary midline is called a mesiodens. In most situations, dentists know. supernumerary tooth (st) is defined as “any tooth or odontogenic structure that is formed from tooth germ. if a person has one or more teeth that are additional to these typical sets of teeth, the person is. Dental Term Supernumerary Tooth.
From hurstpediatricdentistry.com
Supernumerary Teeth What Is It? Extra Tooth Dental Term Supernumerary Tooth the appearance of supernumerary teeth (st), or hyperdontia, is a developmental anomaly defined as any teeth or. if a person has one or more teeth that are additional to these typical sets of teeth, the person is said to have hyperdontia, and the additional teeth are. In most situations, dentists know. the most common supernumerary tooth which. Dental Term Supernumerary Tooth.
From dentagama.com
Supernumerary teeth News Dentagama Dental Term Supernumerary Tooth the most common supernumerary tooth which appears in the maxillary midline is called a mesiodens. supernumerary tooth (st) is defined as “any tooth or odontogenic structure that is formed from tooth germ. if a person has one or more teeth that are additional to these typical sets of teeth, the person is said to have hyperdontia, and. Dental Term Supernumerary Tooth.
From www.meetdandy.com
Charting Supernumerary Teeth [Chart Included] Dandy Dental Term Supernumerary Tooth supernumerary tooth (st) is defined as “any tooth or odontogenic structure that is formed from tooth germ. supernumerary teeth are those that exceed the normal dental formula. if a person has one or more teeth that are additional to these typical sets of teeth, the person is said to have hyperdontia, and the additional teeth are. Treatment. Dental Term Supernumerary Tooth.
From kes.com.ua
Supernumerary teeth treatment Dental Term Supernumerary Tooth Treatment depends on the type and. In most situations, dentists know. the appearance of supernumerary teeth (st), or hyperdontia, is a developmental anomaly defined as any teeth or. if a person has one or more teeth that are additional to these typical sets of teeth, the person is said to have hyperdontia, and the additional teeth are. This. Dental Term Supernumerary Tooth.
From kerryannmorgan.com
Supernumerary Teeth & Surgery Dental Term Supernumerary Tooth if a person has one or more teeth that are additional to these typical sets of teeth, the person is said to have hyperdontia, and the additional teeth are. supernumerary teeth are those that exceed the normal dental formula. supernumerary tooth (st) is defined as “any tooth or odontogenic structure that is formed from tooth germ. In. Dental Term Supernumerary Tooth.
From wiredatathinngk.z21.web.core.windows.net
Tooth Numbering System In Dentistry Dental Term Supernumerary Tooth This phenomenon is also known as. hyperdontia or supernumerary teeth happen when your body produces more than the normal number of teeth. In most situations, dentists know. if a person has one or more teeth that are additional to these typical sets of teeth, the person is said to have hyperdontia, and the additional teeth are. the. Dental Term Supernumerary Tooth.
From askanorthodontist.com
What is a Supernumerary Tooth? Ask an Dental Term Supernumerary Tooth Treatment depends on the type and. the appearance of supernumerary teeth (st), or hyperdontia, is a developmental anomaly defined as any teeth or. supernumerary teeth are those that exceed the normal dental formula. hyperdontia or supernumerary teeth happen when your body produces more than the normal number of teeth. In most situations, dentists know. This phenomenon is. Dental Term Supernumerary Tooth.
From www.researchgate.net
(PDF) SUPERNUMERARY TEETH IN PERMANENT DENTITION IN PATIENTS WITH CLEFT Dental Term Supernumerary Tooth supernumerary tooth (st) is defined as “any tooth or odontogenic structure that is formed from tooth germ. hyperdontia or supernumerary teeth happen when your body produces more than the normal number of teeth. supernumerary teeth are those that exceed the normal dental formula. This phenomenon is also known as. In most situations, dentists know. Treatment depends on. Dental Term Supernumerary Tooth.
From www.researchgate.net
Maxillary arch showing supernumerary teeth Download Scientific Diagram Dental Term Supernumerary Tooth the appearance of supernumerary teeth (st), or hyperdontia, is a developmental anomaly defined as any teeth or. if a person has one or more teeth that are additional to these typical sets of teeth, the person is said to have hyperdontia, and the additional teeth are. In most situations, dentists know. supernumerary teeth are those that exceed. Dental Term Supernumerary Tooth.
From www.researchgate.net
Supernumerary tooth associated with the third mandibular molar tooth Dental Term Supernumerary Tooth supernumerary tooth (st) is defined as “any tooth or odontogenic structure that is formed from tooth germ. supernumerary teeth are those that exceed the normal dental formula. In most situations, dentists know. if a person has one or more teeth that are additional to these typical sets of teeth, the person is said to have hyperdontia, and. Dental Term Supernumerary Tooth.
From www.oralanswers.com
Extra Tooth Mesiodens and Other Supernumerary Teeth Oral Answers Dental Term Supernumerary Tooth if a person has one or more teeth that are additional to these typical sets of teeth, the person is said to have hyperdontia, and the additional teeth are. In most situations, dentists know. This phenomenon is also known as. supernumerary tooth (st) is defined as “any tooth or odontogenic structure that is formed from tooth germ. . Dental Term Supernumerary Tooth.
From www.rdhmag.com
Supernumerary Teeth Registered Dental Hygienists Dental Term Supernumerary Tooth if a person has one or more teeth that are additional to these typical sets of teeth, the person is said to have hyperdontia, and the additional teeth are. the appearance of supernumerary teeth (st), or hyperdontia, is a developmental anomaly defined as any teeth or. the most common supernumerary tooth which appears in the maxillary midline. Dental Term Supernumerary Tooth.
From dentagama.com
Supernumerary teeth News Dentagama Dental Term Supernumerary Tooth supernumerary teeth are those that exceed the normal dental formula. the appearance of supernumerary teeth (st), or hyperdontia, is a developmental anomaly defined as any teeth or. hyperdontia or supernumerary teeth happen when your body produces more than the normal number of teeth. supernumerary tooth (st) is defined as “any tooth or odontogenic structure that is. Dental Term Supernumerary Tooth.
From www.pinterest.com
Diagram of tooth numbering system viewed as if looking into the mouth Dental Term Supernumerary Tooth supernumerary tooth (st) is defined as “any tooth or odontogenic structure that is formed from tooth germ. Treatment depends on the type and. This phenomenon is also known as. supernumerary teeth are those that exceed the normal dental formula. hyperdontia or supernumerary teeth happen when your body produces more than the normal number of teeth. the. Dental Term Supernumerary Tooth.
From armymedical.tpub.com
Supernumerary Teeth Oral and Maxillofacial Pathology Dental Term Supernumerary Tooth supernumerary teeth are those that exceed the normal dental formula. In most situations, dentists know. the most common supernumerary tooth which appears in the maxillary midline is called a mesiodens. This phenomenon is also known as. the appearance of supernumerary teeth (st), or hyperdontia, is a developmental anomaly defined as any teeth or. Treatment depends on the. Dental Term Supernumerary Tooth.