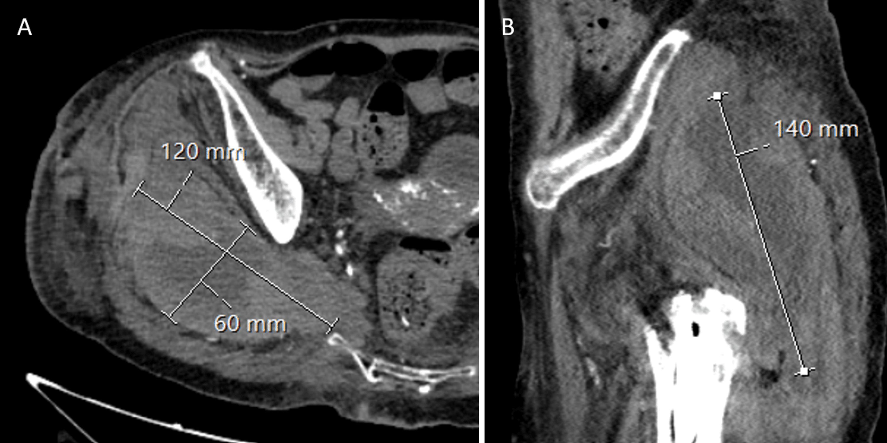
Gluteal Compartment Syndrome After Bone Marrow Biopsy . Gluteal compartment syndrome is a rare but devastating orthopaedic and medical emergency, which can be associated with significant morbidity and mortality if misdiagnosed and inappropriately treated. Mcgoldrick np, green c, connolly p. The patient was anticoagulated at the time. Gluteal compartment syndrome is a rare condition but has been reported following superior gluteal artery laceration, hip dislocation,. Gluteal compartment syndrome is most commonly associated with unconscious patients who are recumbent for prolonged periods, but trauma,. Gluteal compartment syndrome is an orthopaedic emergency that may be more prevalent and associated with higher morbidity and. We report a case of gluteal compartment syndrome which resulted from a bone marrow biopsy. Gluteal compartment syndrome following bone.
from www.jvscit.org
Mcgoldrick np, green c, connolly p. Gluteal compartment syndrome is most commonly associated with unconscious patients who are recumbent for prolonged periods, but trauma,. Gluteal compartment syndrome is a rare but devastating orthopaedic and medical emergency, which can be associated with significant morbidity and mortality if misdiagnosed and inappropriately treated. The patient was anticoagulated at the time. We report a case of gluteal compartment syndrome which resulted from a bone marrow biopsy. Gluteal compartment syndrome is an orthopaedic emergency that may be more prevalent and associated with higher morbidity and. Gluteal compartment syndrome is a rare condition but has been reported following superior gluteal artery laceration, hip dislocation,. Gluteal compartment syndrome following bone.
Gluteal and thigh compartment syndrome after open abdominal aortic
Gluteal Compartment Syndrome After Bone Marrow Biopsy Gluteal compartment syndrome is most commonly associated with unconscious patients who are recumbent for prolonged periods, but trauma,. The patient was anticoagulated at the time. Gluteal compartment syndrome is an orthopaedic emergency that may be more prevalent and associated with higher morbidity and. Gluteal compartment syndrome is a rare but devastating orthopaedic and medical emergency, which can be associated with significant morbidity and mortality if misdiagnosed and inappropriately treated. We report a case of gluteal compartment syndrome which resulted from a bone marrow biopsy. Mcgoldrick np, green c, connolly p. Gluteal compartment syndrome is a rare condition but has been reported following superior gluteal artery laceration, hip dislocation,. Gluteal compartment syndrome following bone. Gluteal compartment syndrome is most commonly associated with unconscious patients who are recumbent for prolonged periods, but trauma,.
From www.researchgate.net
(PDF) A rare cause of acute compartment syndrome after gluteal cyst rupture Gluteal Compartment Syndrome After Bone Marrow Biopsy Gluteal compartment syndrome is a rare but devastating orthopaedic and medical emergency, which can be associated with significant morbidity and mortality if misdiagnosed and inappropriately treated. Gluteal compartment syndrome following bone. We report a case of gluteal compartment syndrome which resulted from a bone marrow biopsy. The patient was anticoagulated at the time. Gluteal compartment syndrome is a rare condition. Gluteal Compartment Syndrome After Bone Marrow Biopsy.
From www.researchgate.net
(PDF) Gluteal Compartment Syndrome following an Iliac Bone Marrow Gluteal Compartment Syndrome After Bone Marrow Biopsy We report a case of gluteal compartment syndrome which resulted from a bone marrow biopsy. Gluteal compartment syndrome is most commonly associated with unconscious patients who are recumbent for prolonged periods, but trauma,. Gluteal compartment syndrome is a rare condition but has been reported following superior gluteal artery laceration, hip dislocation,. The patient was anticoagulated at the time. Mcgoldrick np,. Gluteal Compartment Syndrome After Bone Marrow Biopsy.
From joivikfxe.blob.core.windows.net
Gluteal Compartment Syndrome Fasciotomy at Brent Tang blog Gluteal Compartment Syndrome After Bone Marrow Biopsy Gluteal compartment syndrome is most commonly associated with unconscious patients who are recumbent for prolonged periods, but trauma,. Gluteal compartment syndrome is a rare but devastating orthopaedic and medical emergency, which can be associated with significant morbidity and mortality if misdiagnosed and inappropriately treated. Gluteal compartment syndrome following bone. We report a case of gluteal compartment syndrome which resulted from. Gluteal Compartment Syndrome After Bone Marrow Biopsy.
From www.verywellhealth.com
Bone Marrow Biopsy Purpose and Results Gluteal Compartment Syndrome After Bone Marrow Biopsy Gluteal compartment syndrome is a rare but devastating orthopaedic and medical emergency, which can be associated with significant morbidity and mortality if misdiagnosed and inappropriately treated. Gluteal compartment syndrome is a rare condition but has been reported following superior gluteal artery laceration, hip dislocation,. Gluteal compartment syndrome is most commonly associated with unconscious patients who are recumbent for prolonged periods,. Gluteal Compartment Syndrome After Bone Marrow Biopsy.
From www.semanticscholar.org
Figure 1 from Gluteal Compartment Syndrome after Robotic Left Gluteal Compartment Syndrome After Bone Marrow Biopsy Gluteal compartment syndrome following bone. Gluteal compartment syndrome is a rare but devastating orthopaedic and medical emergency, which can be associated with significant morbidity and mortality if misdiagnosed and inappropriately treated. Gluteal compartment syndrome is most commonly associated with unconscious patients who are recumbent for prolonged periods, but trauma,. The patient was anticoagulated at the time. Gluteal compartment syndrome is. Gluteal Compartment Syndrome After Bone Marrow Biopsy.
From www.injuryjournal.com
Gluteal compartment syndrome A systematic review and metaanalysis Gluteal Compartment Syndrome After Bone Marrow Biopsy We report a case of gluteal compartment syndrome which resulted from a bone marrow biopsy. The patient was anticoagulated at the time. Gluteal compartment syndrome is most commonly associated with unconscious patients who are recumbent for prolonged periods, but trauma,. Gluteal compartment syndrome is a rare condition but has been reported following superior gluteal artery laceration, hip dislocation,. Gluteal compartment. Gluteal Compartment Syndrome After Bone Marrow Biopsy.
From www.researchgate.net
(PDF) Gluteal Compartment Syndrome and Rhabdomyolysis after Prolonged Gluteal Compartment Syndrome After Bone Marrow Biopsy Gluteal compartment syndrome is a rare condition but has been reported following superior gluteal artery laceration, hip dislocation,. Gluteal compartment syndrome is most commonly associated with unconscious patients who are recumbent for prolonged periods, but trauma,. Mcgoldrick np, green c, connolly p. We report a case of gluteal compartment syndrome which resulted from a bone marrow biopsy. Gluteal compartment syndrome. Gluteal Compartment Syndrome After Bone Marrow Biopsy.
From jocr.co.in
Compartment Syndrome of the Gluteal Region A Rare Condition Requiring Gluteal Compartment Syndrome After Bone Marrow Biopsy Gluteal compartment syndrome is an orthopaedic emergency that may be more prevalent and associated with higher morbidity and. Gluteal compartment syndrome is most commonly associated with unconscious patients who are recumbent for prolonged periods, but trauma,. Gluteal compartment syndrome following bone. Mcgoldrick np, green c, connolly p. Gluteal compartment syndrome is a rare but devastating orthopaedic and medical emergency, which. Gluteal Compartment Syndrome After Bone Marrow Biopsy.
From www.ochsnerjournal.org
Bilateral Gluteal Compartment Syndrome Following Right Total Knee Gluteal Compartment Syndrome After Bone Marrow Biopsy Gluteal compartment syndrome is most commonly associated with unconscious patients who are recumbent for prolonged periods, but trauma,. Gluteal compartment syndrome is a rare condition but has been reported following superior gluteal artery laceration, hip dislocation,. Gluteal compartment syndrome following bone. Mcgoldrick np, green c, connolly p. Gluteal compartment syndrome is a rare but devastating orthopaedic and medical emergency, which. Gluteal Compartment Syndrome After Bone Marrow Biopsy.
From www.injuryjournal.com
Gluteal compartment syndrome A systematic review and metaanalysis Gluteal Compartment Syndrome After Bone Marrow Biopsy Gluteal compartment syndrome following bone. Gluteal compartment syndrome is a rare condition but has been reported following superior gluteal artery laceration, hip dislocation,. Gluteal compartment syndrome is an orthopaedic emergency that may be more prevalent and associated with higher morbidity and. Gluteal compartment syndrome is most commonly associated with unconscious patients who are recumbent for prolonged periods, but trauma,. We. Gluteal Compartment Syndrome After Bone Marrow Biopsy.
From www.mdpi.com
Healthcare Free FullText Gluteal Compartment Syndrome and Gluteal Compartment Syndrome After Bone Marrow Biopsy We report a case of gluteal compartment syndrome which resulted from a bone marrow biopsy. Gluteal compartment syndrome following bone. Gluteal compartment syndrome is an orthopaedic emergency that may be more prevalent and associated with higher morbidity and. Gluteal compartment syndrome is a rare but devastating orthopaedic and medical emergency, which can be associated with significant morbidity and mortality if. Gluteal Compartment Syndrome After Bone Marrow Biopsy.
From www.annalsofvascularsurgery.com
Gluteal Compartment Syndrome after Fenestrated Endovascular Aortic Gluteal Compartment Syndrome After Bone Marrow Biopsy We report a case of gluteal compartment syndrome which resulted from a bone marrow biopsy. The patient was anticoagulated at the time. Gluteal compartment syndrome following bone. Gluteal compartment syndrome is most commonly associated with unconscious patients who are recumbent for prolonged periods, but trauma,. Gluteal compartment syndrome is an orthopaedic emergency that may be more prevalent and associated with. Gluteal Compartment Syndrome After Bone Marrow Biopsy.
From mungfali.com
Gluteal Compartment Syndrome Gluteal Compartment Syndrome After Bone Marrow Biopsy Mcgoldrick np, green c, connolly p. We report a case of gluteal compartment syndrome which resulted from a bone marrow biopsy. Gluteal compartment syndrome is a rare but devastating orthopaedic and medical emergency, which can be associated with significant morbidity and mortality if misdiagnosed and inappropriately treated. Gluteal compartment syndrome is an orthopaedic emergency that may be more prevalent and. Gluteal Compartment Syndrome After Bone Marrow Biopsy.
From www.jvscit.org
Gluteal and thigh compartment syndrome after open abdominal aortic Gluteal Compartment Syndrome After Bone Marrow Biopsy Gluteal compartment syndrome is a rare but devastating orthopaedic and medical emergency, which can be associated with significant morbidity and mortality if misdiagnosed and inappropriately treated. Mcgoldrick np, green c, connolly p. Gluteal compartment syndrome following bone. Gluteal compartment syndrome is an orthopaedic emergency that may be more prevalent and associated with higher morbidity and. We report a case of. Gluteal Compartment Syndrome After Bone Marrow Biopsy.
From www.researchgate.net
Reported gluteal artery pseudoaneurysm after bone marrow procedure Gluteal Compartment Syndrome After Bone Marrow Biopsy Gluteal compartment syndrome is a rare condition but has been reported following superior gluteal artery laceration, hip dislocation,. Gluteal compartment syndrome is an orthopaedic emergency that may be more prevalent and associated with higher morbidity and. Mcgoldrick np, green c, connolly p. Gluteal compartment syndrome following bone. The patient was anticoagulated at the time. Gluteal compartment syndrome is a rare. Gluteal Compartment Syndrome After Bone Marrow Biopsy.
From www.cureus.com
Cureus Risk of Anticoagulation in Gluteal Compartment Syndrome After Gluteal Compartment Syndrome After Bone Marrow Biopsy The patient was anticoagulated at the time. Mcgoldrick np, green c, connolly p. Gluteal compartment syndrome is a rare but devastating orthopaedic and medical emergency, which can be associated with significant morbidity and mortality if misdiagnosed and inappropriately treated. Gluteal compartment syndrome following bone. Gluteal compartment syndrome is most commonly associated with unconscious patients who are recumbent for prolonged periods,. Gluteal Compartment Syndrome After Bone Marrow Biopsy.
From casereports.bmj.com
Gluteal compartment syndrome with severe rhabdomyolysis BMJ Case Reports Gluteal Compartment Syndrome After Bone Marrow Biopsy Gluteal compartment syndrome following bone. Gluteal compartment syndrome is a rare but devastating orthopaedic and medical emergency, which can be associated with significant morbidity and mortality if misdiagnosed and inappropriately treated. Gluteal compartment syndrome is a rare condition but has been reported following superior gluteal artery laceration, hip dislocation,. Gluteal compartment syndrome is an orthopaedic emergency that may be more. Gluteal Compartment Syndrome After Bone Marrow Biopsy.
From www.cureus.com
Gluteal Compartment Syndrome After Femoral Nail Extraction A Case Gluteal Compartment Syndrome After Bone Marrow Biopsy We report a case of gluteal compartment syndrome which resulted from a bone marrow biopsy. The patient was anticoagulated at the time. Gluteal compartment syndrome is most commonly associated with unconscious patients who are recumbent for prolonged periods, but trauma,. Mcgoldrick np, green c, connolly p. Gluteal compartment syndrome is a rare but devastating orthopaedic and medical emergency, which can. Gluteal Compartment Syndrome After Bone Marrow Biopsy.
From www.researchgate.net
(PDF) Acute gluteal compartment syndrome superior gluteal artery Gluteal Compartment Syndrome After Bone Marrow Biopsy Gluteal compartment syndrome is most commonly associated with unconscious patients who are recumbent for prolonged periods, but trauma,. We report a case of gluteal compartment syndrome which resulted from a bone marrow biopsy. The patient was anticoagulated at the time. Gluteal compartment syndrome is a rare condition but has been reported following superior gluteal artery laceration, hip dislocation,. Gluteal compartment. Gluteal Compartment Syndrome After Bone Marrow Biopsy.
From slideplayer.com
Bilateral gluteal compartment syndrome after elective unilateral Gluteal Compartment Syndrome After Bone Marrow Biopsy Gluteal compartment syndrome following bone. Gluteal compartment syndrome is a rare but devastating orthopaedic and medical emergency, which can be associated with significant morbidity and mortality if misdiagnosed and inappropriately treated. We report a case of gluteal compartment syndrome which resulted from a bone marrow biopsy. Gluteal compartment syndrome is an orthopaedic emergency that may be more prevalent and associated. Gluteal Compartment Syndrome After Bone Marrow Biopsy.
From www.cureus.com
Cureus Gluteal Compartment Syndrome After Femoral Nail Extraction A Gluteal Compartment Syndrome After Bone Marrow Biopsy Gluteal compartment syndrome is a rare condition but has been reported following superior gluteal artery laceration, hip dislocation,. Gluteal compartment syndrome is most commonly associated with unconscious patients who are recumbent for prolonged periods, but trauma,. We report a case of gluteal compartment syndrome which resulted from a bone marrow biopsy. Mcgoldrick np, green c, connolly p. Gluteal compartment syndrome. Gluteal Compartment Syndrome After Bone Marrow Biopsy.
From www.semanticscholar.org
Figure 1 from Gluteal and Thigh Compartment Syndrome in a Young Adult Gluteal Compartment Syndrome After Bone Marrow Biopsy Mcgoldrick np, green c, connolly p. Gluteal compartment syndrome is most commonly associated with unconscious patients who are recumbent for prolonged periods, but trauma,. The patient was anticoagulated at the time. Gluteal compartment syndrome following bone. Gluteal compartment syndrome is a rare but devastating orthopaedic and medical emergency, which can be associated with significant morbidity and mortality if misdiagnosed and. Gluteal Compartment Syndrome After Bone Marrow Biopsy.
From boneandspine.com
Compartment Syndrome Presentation and Treatment Bone and Spine Gluteal Compartment Syndrome After Bone Marrow Biopsy Gluteal compartment syndrome is an orthopaedic emergency that may be more prevalent and associated with higher morbidity and. Gluteal compartment syndrome following bone. Gluteal compartment syndrome is most commonly associated with unconscious patients who are recumbent for prolonged periods, but trauma,. The patient was anticoagulated at the time. Gluteal compartment syndrome is a rare but devastating orthopaedic and medical emergency,. Gluteal Compartment Syndrome After Bone Marrow Biopsy.
From www.semanticscholar.org
[PDF] Risk of Anticoagulation in Gluteal Compartment Syndrome After Gluteal Compartment Syndrome After Bone Marrow Biopsy Gluteal compartment syndrome is an orthopaedic emergency that may be more prevalent and associated with higher morbidity and. Mcgoldrick np, green c, connolly p. The patient was anticoagulated at the time. Gluteal compartment syndrome is a rare but devastating orthopaedic and medical emergency, which can be associated with significant morbidity and mortality if misdiagnosed and inappropriately treated. Gluteal compartment syndrome. Gluteal Compartment Syndrome After Bone Marrow Biopsy.
From www.myxxgirl.com
Gluteal Compartment Syndrome Following Vascular And Neurological Gluteal Compartment Syndrome After Bone Marrow Biopsy Gluteal compartment syndrome is a rare condition but has been reported following superior gluteal artery laceration, hip dislocation,. Gluteal compartment syndrome is an orthopaedic emergency that may be more prevalent and associated with higher morbidity and. Gluteal compartment syndrome following bone. We report a case of gluteal compartment syndrome which resulted from a bone marrow biopsy. Mcgoldrick np, green c,. Gluteal Compartment Syndrome After Bone Marrow Biopsy.
From casereports.bmj.com
Gluteal compartment syndrome with sciatic nerve palsy caused by Gluteal Compartment Syndrome After Bone Marrow Biopsy Gluteal compartment syndrome following bone. Gluteal compartment syndrome is a rare but devastating orthopaedic and medical emergency, which can be associated with significant morbidity and mortality if misdiagnosed and inappropriately treated. Gluteal compartment syndrome is most commonly associated with unconscious patients who are recumbent for prolonged periods, but trauma,. We report a case of gluteal compartment syndrome which resulted from. Gluteal Compartment Syndrome After Bone Marrow Biopsy.
From study.com
What Is a Bone Marrow Biopsy? Procedure, Recovery & Side Effects Gluteal Compartment Syndrome After Bone Marrow Biopsy The patient was anticoagulated at the time. Gluteal compartment syndrome is most commonly associated with unconscious patients who are recumbent for prolonged periods, but trauma,. We report a case of gluteal compartment syndrome which resulted from a bone marrow biopsy. Gluteal compartment syndrome is a rare but devastating orthopaedic and medical emergency, which can be associated with significant morbidity and. Gluteal Compartment Syndrome After Bone Marrow Biopsy.
From www.researchgate.net
Reported gluteal artery pseudoaneurysm after bone marrow procedure Gluteal Compartment Syndrome After Bone Marrow Biopsy Gluteal compartment syndrome following bone. Gluteal compartment syndrome is a rare but devastating orthopaedic and medical emergency, which can be associated with significant morbidity and mortality if misdiagnosed and inappropriately treated. Mcgoldrick np, green c, connolly p. Gluteal compartment syndrome is a rare condition but has been reported following superior gluteal artery laceration, hip dislocation,. The patient was anticoagulated at. Gluteal Compartment Syndrome After Bone Marrow Biopsy.
From scite.ai
Gluteal compartment syndrome after lumbar laminectomy [scite report] Gluteal Compartment Syndrome After Bone Marrow Biopsy Gluteal compartment syndrome is an orthopaedic emergency that may be more prevalent and associated with higher morbidity and. Gluteal compartment syndrome is a rare condition but has been reported following superior gluteal artery laceration, hip dislocation,. We report a case of gluteal compartment syndrome which resulted from a bone marrow biopsy. Mcgoldrick np, green c, connolly p. Gluteal compartment syndrome. Gluteal Compartment Syndrome After Bone Marrow Biopsy.
From loexwvnhy.blob.core.windows.net
Gluteal Compartment Syndrome at Robin Mendez blog Gluteal Compartment Syndrome After Bone Marrow Biopsy Gluteal compartment syndrome following bone. Gluteal compartment syndrome is an orthopaedic emergency that may be more prevalent and associated with higher morbidity and. Gluteal compartment syndrome is a rare but devastating orthopaedic and medical emergency, which can be associated with significant morbidity and mortality if misdiagnosed and inappropriately treated. The patient was anticoagulated at the time. Gluteal compartment syndrome is. Gluteal Compartment Syndrome After Bone Marrow Biopsy.
From www.semanticscholar.org
[PDF] Acute Gluteal Compartment Syndrome without Gluteal Hematoma A Gluteal Compartment Syndrome After Bone Marrow Biopsy Gluteal compartment syndrome is a rare but devastating orthopaedic and medical emergency, which can be associated with significant morbidity and mortality if misdiagnosed and inappropriately treated. Gluteal compartment syndrome is most commonly associated with unconscious patients who are recumbent for prolonged periods, but trauma,. Gluteal compartment syndrome is an orthopaedic emergency that may be more prevalent and associated with higher. Gluteal Compartment Syndrome After Bone Marrow Biopsy.
From www.semanticscholar.org
Figure 1 from Gluteal compartment syndrome following bone marrow biopsy Gluteal Compartment Syndrome After Bone Marrow Biopsy Gluteal compartment syndrome is a rare condition but has been reported following superior gluteal artery laceration, hip dislocation,. Gluteal compartment syndrome is most commonly associated with unconscious patients who are recumbent for prolonged periods, but trauma,. Gluteal compartment syndrome following bone. We report a case of gluteal compartment syndrome which resulted from a bone marrow biopsy. Gluteal compartment syndrome is. Gluteal Compartment Syndrome After Bone Marrow Biopsy.
From www.cureus.com
Cureus Risk of Anticoagulation in Gluteal Compartment Syndrome After Gluteal Compartment Syndrome After Bone Marrow Biopsy Mcgoldrick np, green c, connolly p. Gluteal compartment syndrome is a rare but devastating orthopaedic and medical emergency, which can be associated with significant morbidity and mortality if misdiagnosed and inappropriately treated. The patient was anticoagulated at the time. Gluteal compartment syndrome following bone. Gluteal compartment syndrome is an orthopaedic emergency that may be more prevalent and associated with higher. Gluteal Compartment Syndrome After Bone Marrow Biopsy.
From www.semanticscholar.org
Figure 2 from Contralateral Gluteal Compartment Syndrome After Gluteal Compartment Syndrome After Bone Marrow Biopsy Gluteal compartment syndrome is a rare condition but has been reported following superior gluteal artery laceration, hip dislocation,. The patient was anticoagulated at the time. Gluteal compartment syndrome is a rare but devastating orthopaedic and medical emergency, which can be associated with significant morbidity and mortality if misdiagnosed and inappropriately treated. Gluteal compartment syndrome following bone. We report a case. Gluteal Compartment Syndrome After Bone Marrow Biopsy.