Horse Navicular X Ray . radiographs (x rays) are still important for examining the hoof’s bony structures and changes that are occurring. accurate radiographic evaluation of the navicular bone depends on a radiograph that is properly positioned and exposed and on a foot that is free of distracting artifacts. Many horses have pain in the heel region, which can be elicited by hoof testers. Radiographs will show any degenerative. However, researchers have found in. Abnormalities in the navicular bone navicular in horses relates to problems associated with the navicular bone in the horse’s hoof and is a common diagnosis for lameness in the front foot. Proper preparation for navicular radiography is similar to that for the distal phalanx, as discussed in chapter 23. a study looking at 72 horses that underwent mri for recent onset of navicular syndrome but without abnormalities detected on radiographs found the following: diagnostics involved in determining whether a horse has navicular syndrome include: Most horses show marked improvement in lameness with a palmar digital nerve block.
from ridingthroughthefear.blogspot.com
diagnostics involved in determining whether a horse has navicular syndrome include: radiographs (x rays) are still important for examining the hoof’s bony structures and changes that are occurring. navicular in horses relates to problems associated with the navicular bone in the horse’s hoof and is a common diagnosis for lameness in the front foot. Most horses show marked improvement in lameness with a palmar digital nerve block. Radiographs will show any degenerative. accurate radiographic evaluation of the navicular bone depends on a radiograph that is properly positioned and exposed and on a foot that is free of distracting artifacts. Abnormalities in the navicular bone Many horses have pain in the heel region, which can be elicited by hoof testers. However, researchers have found in. Proper preparation for navicular radiography is similar to that for the distal phalanx, as discussed in chapter 23.
Riding Through the Fear Adventures in Congenital Bipartite Navicular Syndrome
Horse Navicular X Ray Abnormalities in the navicular bone Abnormalities in the navicular bone However, researchers have found in. Proper preparation for navicular radiography is similar to that for the distal phalanx, as discussed in chapter 23. Many horses have pain in the heel region, which can be elicited by hoof testers. Radiographs will show any degenerative. navicular in horses relates to problems associated with the navicular bone in the horse’s hoof and is a common diagnosis for lameness in the front foot. accurate radiographic evaluation of the navicular bone depends on a radiograph that is properly positioned and exposed and on a foot that is free of distracting artifacts. diagnostics involved in determining whether a horse has navicular syndrome include: a study looking at 72 horses that underwent mri for recent onset of navicular syndrome but without abnormalities detected on radiographs found the following: Most horses show marked improvement in lameness with a palmar digital nerve block. radiographs (x rays) are still important for examining the hoof’s bony structures and changes that are occurring.
From www.semanticscholar.org
[PDF] Navicular syndrome in equine patients anatomy, causes, and diagnosis. Semantic Scholar Horse Navicular X Ray radiographs (x rays) are still important for examining the hoof’s bony structures and changes that are occurring. navicular in horses relates to problems associated with the navicular bone in the horse’s hoof and is a common diagnosis for lameness in the front foot. Proper preparation for navicular radiography is similar to that for the distal phalanx, as discussed. Horse Navicular X Ray.
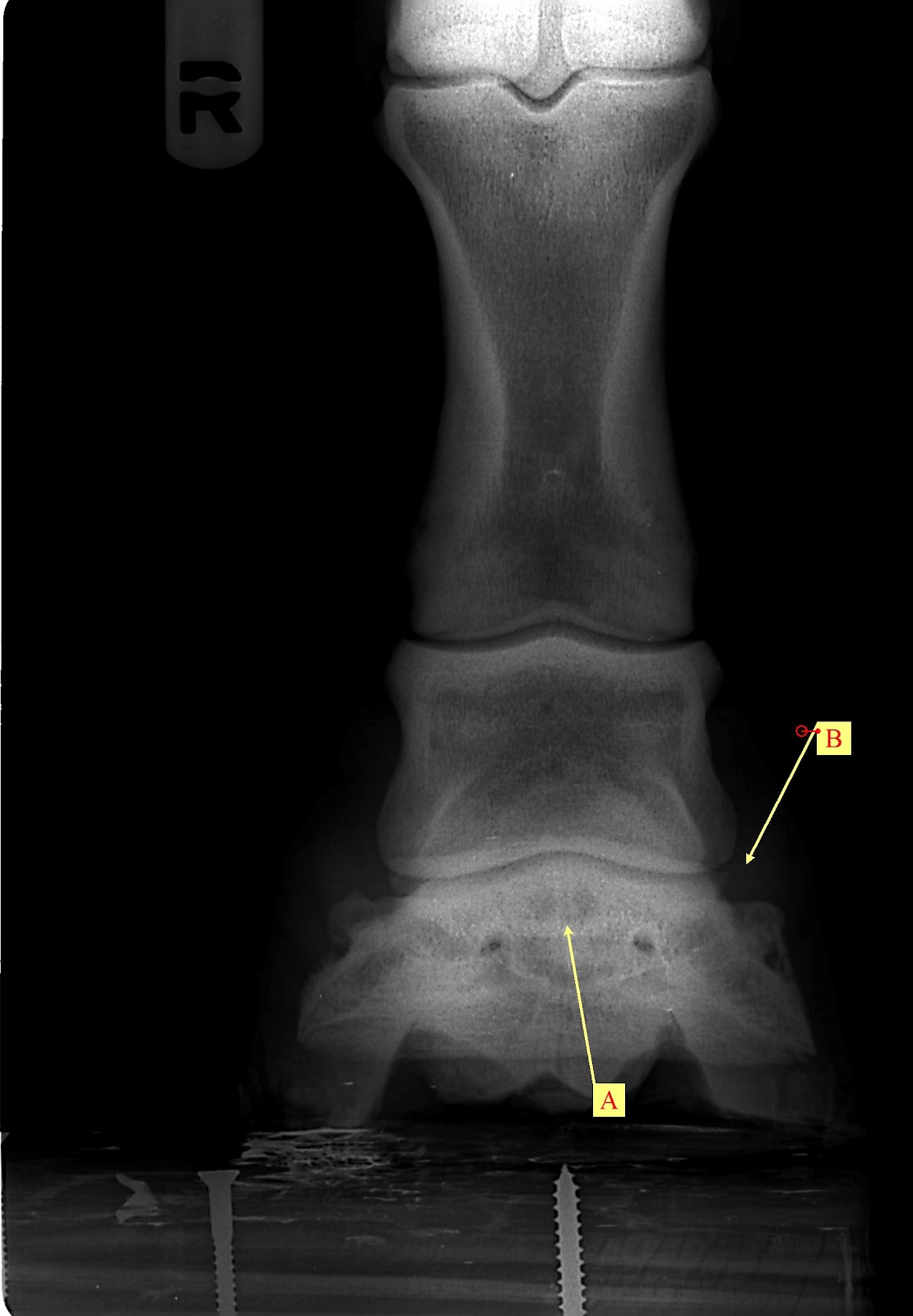
From innovativeequinepodiatry.blogspot.com
Innovative Equine Podiatry Navicular case examples Horse Navicular X Ray Many horses have pain in the heel region, which can be elicited by hoof testers. However, researchers have found in. Radiographs will show any degenerative. Proper preparation for navicular radiography is similar to that for the distal phalanx, as discussed in chapter 23. radiographs (x rays) are still important for examining the hoof’s bony structures and changes that are. Horse Navicular X Ray.
From www.yourhorse.co.uk
Navicular Syndrome Your Horse Magazine Horse Navicular X Ray radiographs (x rays) are still important for examining the hoof’s bony structures and changes that are occurring. Most horses show marked improvement in lameness with a palmar digital nerve block. diagnostics involved in determining whether a horse has navicular syndrome include: Radiographs will show any degenerative. Many horses have pain in the heel region, which can be elicited. Horse Navicular X Ray.
From innovativeequinepodiatry.blogspot.com
Innovative Equine Podiatry Navicular case examples Horse Navicular X Ray Proper preparation for navicular radiography is similar to that for the distal phalanx, as discussed in chapter 23. Many horses have pain in the heel region, which can be elicited by hoof testers. Most horses show marked improvement in lameness with a palmar digital nerve block. Abnormalities in the navicular bone radiographs (x rays) are still important for examining. Horse Navicular X Ray.
From www.americanfarriers.com
Mechanical Management of Navicular Syndrome in Western Pleasure Horses Horse Navicular X Ray However, researchers have found in. radiographs (x rays) are still important for examining the hoof’s bony structures and changes that are occurring. navicular in horses relates to problems associated with the navicular bone in the horse’s hoof and is a common diagnosis for lameness in the front foot. a study looking at 72 horses that underwent mri. Horse Navicular X Ray.
From www.semanticscholar.org
[PDF] Navicular syndrome in equine patients anatomy, causes, and diagnosis. Semantic Scholar Horse Navicular X Ray diagnostics involved in determining whether a horse has navicular syndrome include: Many horses have pain in the heel region, which can be elicited by hoof testers. However, researchers have found in. Most horses show marked improvement in lameness with a palmar digital nerve block. navicular in horses relates to problems associated with the navicular bone in the horse’s. Horse Navicular X Ray.
From horsesidevetguide.com
Understanding Navicular Syndrome & Heel Pain in Horses Horse Navicular X Ray Abnormalities in the navicular bone Proper preparation for navicular radiography is similar to that for the distal phalanx, as discussed in chapter 23. However, researchers have found in. Radiographs will show any degenerative. navicular in horses relates to problems associated with the navicular bone in the horse’s hoof and is a common diagnosis for lameness in the front foot.. Horse Navicular X Ray.
From horsesidevetguide.com
Navicular Syndrome 7 Changes on 60 Degree DP View Thal Equine Horse Side Vet Guide Horse Navicular X Ray However, researchers have found in. a study looking at 72 horses that underwent mri for recent onset of navicular syndrome but without abnormalities detected on radiographs found the following: Many horses have pain in the heel region, which can be elicited by hoof testers. Abnormalities in the navicular bone diagnostics involved in determining whether a horse has navicular. Horse Navicular X Ray.
From www.valleyanimalhosp.com
Navicular Treatments at Valley Equine Horse Navicular X Ray navicular in horses relates to problems associated with the navicular bone in the horse’s hoof and is a common diagnosis for lameness in the front foot. Many horses have pain in the heel region, which can be elicited by hoof testers. Proper preparation for navicular radiography is similar to that for the distal phalanx, as discussed in chapter 23.. Horse Navicular X Ray.
From ridingthroughthefear.blogspot.com
Riding Through the Fear Adventures in Congenital Bipartite Navicular Syndrome Horse Navicular X Ray navicular in horses relates to problems associated with the navicular bone in the horse’s hoof and is a common diagnosis for lameness in the front foot. diagnostics involved in determining whether a horse has navicular syndrome include: Abnormalities in the navicular bone Most horses show marked improvement in lameness with a palmar digital nerve block. Proper preparation for. Horse Navicular X Ray.
From www.equitopiacenter.com
Best Practices for Navicular Disease Equitopia Center Hoof Care Horse Navicular X Ray accurate radiographic evaluation of the navicular bone depends on a radiograph that is properly positioned and exposed and on a foot that is free of distracting artifacts. Most horses show marked improvement in lameness with a palmar digital nerve block. Radiographs will show any degenerative. However, researchers have found in. Abnormalities in the navicular bone diagnostics involved in. Horse Navicular X Ray.
From ridingthroughthefear.blogspot.com
Riding Through the Fear Adventures in Congenital Bipartite Navicular Syndrome Horse Navicular X Ray Many horses have pain in the heel region, which can be elicited by hoof testers. a study looking at 72 horses that underwent mri for recent onset of navicular syndrome but without abnormalities detected on radiographs found the following: accurate radiographic evaluation of the navicular bone depends on a radiograph that is properly positioned and exposed and on. Horse Navicular X Ray.
From michaelporterdvm.blogspot.com
Michael Porter, Equine Veterinarian Navicular bone cyst in sound horse! Horse Navicular X Ray Proper preparation for navicular radiography is similar to that for the distal phalanx, as discussed in chapter 23. radiographs (x rays) are still important for examining the hoof’s bony structures and changes that are occurring. navicular in horses relates to problems associated with the navicular bone in the horse’s hoof and is a common diagnosis for lameness in. Horse Navicular X Ray.
From ridingthroughthefear.blogspot.com
Riding Through the Fear Adventures in Congenital Bipartite Navicular Syndrome Horse Navicular X Ray accurate radiographic evaluation of the navicular bone depends on a radiograph that is properly positioned and exposed and on a foot that is free of distracting artifacts. However, researchers have found in. Most horses show marked improvement in lameness with a palmar digital nerve block. navicular in horses relates to problems associated with the navicular bone in the. Horse Navicular X Ray.
From www.phdveterinaryservices.com
Severe Navicular Disease in a Horse Horse Navicular X Ray Radiographs will show any degenerative. However, researchers have found in. radiographs (x rays) are still important for examining the hoof’s bony structures and changes that are occurring. Abnormalities in the navicular bone Many horses have pain in the heel region, which can be elicited by hoof testers. Proper preparation for navicular radiography is similar to that for the distal. Horse Navicular X Ray.
From www.vettimes.co.uk
Navicular syndrome in horses treatment and prognosis rethink Vet Times Horse Navicular X Ray Many horses have pain in the heel region, which can be elicited by hoof testers. navicular in horses relates to problems associated with the navicular bone in the horse’s hoof and is a common diagnosis for lameness in the front foot. accurate radiographic evaluation of the navicular bone depends on a radiograph that is properly positioned and exposed. Horse Navicular X Ray.
From rockleyfarm.blogspot.com
Rockley Farm MRIs, navicular and pie in the sky Horse Navicular X Ray accurate radiographic evaluation of the navicular bone depends on a radiograph that is properly positioned and exposed and on a foot that is free of distracting artifacts. diagnostics involved in determining whether a horse has navicular syndrome include: Abnormalities in the navicular bone However, researchers have found in. Most horses show marked improvement in lameness with a palmar. Horse Navicular X Ray.
From www.vetpixel.com
Case A case of osteochondral fragmentation of the navicular bone in a horse VetPixel Horse Navicular X Ray radiographs (x rays) are still important for examining the hoof’s bony structures and changes that are occurring. Many horses have pain in the heel region, which can be elicited by hoof testers. However, researchers have found in. diagnostics involved in determining whether a horse has navicular syndrome include: accurate radiographic evaluation of the navicular bone depends on. Horse Navicular X Ray.
From fourmaresnomoney.blogspot.com
Four Mares. No Money. Radiographs Horse Navicular X Ray Abnormalities in the navicular bone radiographs (x rays) are still important for examining the hoof’s bony structures and changes that are occurring. Proper preparation for navicular radiography is similar to that for the distal phalanx, as discussed in chapter 23. Radiographs will show any degenerative. diagnostics involved in determining whether a horse has navicular syndrome include: Most horses. Horse Navicular X Ray.
From mungfali.com
Navicular Bone Radiographs Horse Horse Navicular X Ray Proper preparation for navicular radiography is similar to that for the distal phalanx, as discussed in chapter 23. accurate radiographic evaluation of the navicular bone depends on a radiograph that is properly positioned and exposed and on a foot that is free of distracting artifacts. Many horses have pain in the heel region, which can be elicited by hoof. Horse Navicular X Ray.
From nouvelleveterinary.blogspot.com
CurOST Equine Navicular Disease (Podotrochleosis) Horse Navicular X Ray Abnormalities in the navicular bone navicular in horses relates to problems associated with the navicular bone in the horse’s hoof and is a common diagnosis for lameness in the front foot. radiographs (x rays) are still important for examining the hoof’s bony structures and changes that are occurring. Many horses have pain in the heel region, which can. Horse Navicular X Ray.
From nouvelleveterinary.blogspot.com
CurOST Equine Navicular Disease (Podotrochleosis) Horse Navicular X Ray radiographs (x rays) are still important for examining the hoof’s bony structures and changes that are occurring. However, researchers have found in. Proper preparation for navicular radiography is similar to that for the distal phalanx, as discussed in chapter 23. Radiographs will show any degenerative. a study looking at 72 horses that underwent mri for recent onset of. Horse Navicular X Ray.
From michaelporterdvm.blogspot.com
Michael Porter, Equine Veterinarian Severe Navicular Disease in a Horse Horse Navicular X Ray Radiographs will show any degenerative. However, researchers have found in. Proper preparation for navicular radiography is similar to that for the distal phalanx, as discussed in chapter 23. a study looking at 72 horses that underwent mri for recent onset of navicular syndrome but without abnormalities detected on radiographs found the following: Most horses show marked improvement in lameness. Horse Navicular X Ray.
From www.phdveterinaryservices.com
Severe Navicular Disease in a Horse Horse Navicular X Ray diagnostics involved in determining whether a horse has navicular syndrome include: accurate radiographic evaluation of the navicular bone depends on a radiograph that is properly positioned and exposed and on a foot that is free of distracting artifacts. radiographs (x rays) are still important for examining the hoof’s bony structures and changes that are occurring. Many horses. Horse Navicular X Ray.
From horsesidevetguide.com
Understanding Navicular Syndrome & Heel Pain in Horses Horse Navicular X Ray However, researchers have found in. radiographs (x rays) are still important for examining the hoof’s bony structures and changes that are occurring. a study looking at 72 horses that underwent mri for recent onset of navicular syndrome but without abnormalities detected on radiographs found the following: Most horses show marked improvement in lameness with a palmar digital nerve. Horse Navicular X Ray.
From swiftsureequine.com
December Navicular Cyst Swiftsure Equine Horse Navicular X Ray However, researchers have found in. diagnostics involved in determining whether a horse has navicular syndrome include: Radiographs will show any degenerative. Most horses show marked improvement in lameness with a palmar digital nerve block. accurate radiographic evaluation of the navicular bone depends on a radiograph that is properly positioned and exposed and on a foot that is free. Horse Navicular X Ray.
From www.slideserve.com
PPT Equine Imaging PowerPoint Presentation ID330603 Horse Navicular X Ray Abnormalities in the navicular bone Many horses have pain in the heel region, which can be elicited by hoof testers. Most horses show marked improvement in lameness with a palmar digital nerve block. diagnostics involved in determining whether a horse has navicular syndrome include: radiographs (x rays) are still important for examining the hoof’s bony structures and changes. Horse Navicular X Ray.
From blog.easycareinc.com
Hoof Radiographs They Give You XRay Vision Part Two EasyCare Hoof Boot News Horse Navicular X Ray Abnormalities in the navicular bone Many horses have pain in the heel region, which can be elicited by hoof testers. accurate radiographic evaluation of the navicular bone depends on a radiograph that is properly positioned and exposed and on a foot that is free of distracting artifacts. Most horses show marked improvement in lameness with a palmar digital nerve. Horse Navicular X Ray.
From veteriankey.com
The Equine Navicular Bone Veterian Key Horse Navicular X Ray Abnormalities in the navicular bone Many horses have pain in the heel region, which can be elicited by hoof testers. Most horses show marked improvement in lameness with a palmar digital nerve block. accurate radiographic evaluation of the navicular bone depends on a radiograph that is properly positioned and exposed and on a foot that is free of distracting. Horse Navicular X Ray.
From horsesidevetguide.com
Understanding Navicular Syndrome & Heel Pain in Horses Horse Navicular X Ray navicular in horses relates to problems associated with the navicular bone in the horse’s hoof and is a common diagnosis for lameness in the front foot. diagnostics involved in determining whether a horse has navicular syndrome include: Proper preparation for navicular radiography is similar to that for the distal phalanx, as discussed in chapter 23. Most horses show. Horse Navicular X Ray.
From kingsbountyequine.co.uk
Services Kings Bounty Equine Practice Horse Navicular X Ray However, researchers have found in. diagnostics involved in determining whether a horse has navicular syndrome include: Proper preparation for navicular radiography is similar to that for the distal phalanx, as discussed in chapter 23. a study looking at 72 horses that underwent mri for recent onset of navicular syndrome but without abnormalities detected on radiographs found the following:. Horse Navicular X Ray.
From eqlifemag.com.au
NAVICULAR SYNDROME EXPLAINED Equestrian Life Horse Navicular X Ray Many horses have pain in the heel region, which can be elicited by hoof testers. Most horses show marked improvement in lameness with a palmar digital nerve block. Radiographs will show any degenerative. Proper preparation for navicular radiography is similar to that for the distal phalanx, as discussed in chapter 23. a study looking at 72 horses that underwent. Horse Navicular X Ray.
From www.horseandhound.co.uk
Navicular in horses signs, causes and treatment Horse & Hound Horse Navicular X Ray Proper preparation for navicular radiography is similar to that for the distal phalanx, as discussed in chapter 23. Radiographs will show any degenerative. accurate radiographic evaluation of the navicular bone depends on a radiograph that is properly positioned and exposed and on a foot that is free of distracting artifacts. diagnostics involved in determining whether a horse has. Horse Navicular X Ray.
From ar.inspiredpencil.com
Equine Navicular Bone Fracture Horse Navicular X Ray diagnostics involved in determining whether a horse has navicular syndrome include: radiographs (x rays) are still important for examining the hoof’s bony structures and changes that are occurring. accurate radiographic evaluation of the navicular bone depends on a radiograph that is properly positioned and exposed and on a foot that is free of distracting artifacts. a. Horse Navicular X Ray.
From horsesidevetguide.com
Database Record Viewer Horse Side Vet Guide Horse Navicular X Ray accurate radiographic evaluation of the navicular bone depends on a radiograph that is properly positioned and exposed and on a foot that is free of distracting artifacts. Radiographs will show any degenerative. Abnormalities in the navicular bone Proper preparation for navicular radiography is similar to that for the distal phalanx, as discussed in chapter 23. diagnostics involved in. Horse Navicular X Ray.