Antibiotics For Infected Knee Replacement . Plan the appropriate use of antibiotic bone cement prior to surgery: The most important known measures to lower the risk of infection after total joint replacement include: Antibiotics before and after surgery. Overview— in general, management of pjis consists of surgery and antimicrobial therapy. The approach depends on the timing. Antibiotics are given within 1.
from www.researchgate.net
Antibiotics before and after surgery. The most important known measures to lower the risk of infection after total joint replacement include: The approach depends on the timing. Plan the appropriate use of antibiotic bone cement prior to surgery: Antibiotics are given within 1. Overview— in general, management of pjis consists of surgery and antimicrobial therapy.
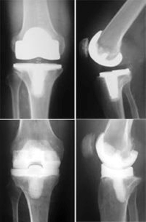
A patient with an infected knee following knee replacement was
Antibiotics For Infected Knee Replacement The approach depends on the timing. Plan the appropriate use of antibiotic bone cement prior to surgery: Antibiotics before and after surgery. The approach depends on the timing. The most important known measures to lower the risk of infection after total joint replacement include: Antibiotics are given within 1. Overview— in general, management of pjis consists of surgery and antimicrobial therapy.
From www.arthroplastyjournal.org
AntibioticLoaded Cement Articulating Spacer for 2Stage Reimplantation Antibiotics For Infected Knee Replacement The approach depends on the timing. Plan the appropriate use of antibiotic bone cement prior to surgery: Antibiotics are given within 1. The most important known measures to lower the risk of infection after total joint replacement include: Overview— in general, management of pjis consists of surgery and antimicrobial therapy. Antibiotics before and after surgery. Antibiotics For Infected Knee Replacement.
From www.arthroplastyjournal.org
AntibioticLoaded Cement Articulating Spacer for 2Stage Reimplantation Antibiotics For Infected Knee Replacement Antibiotics are given within 1. Plan the appropriate use of antibiotic bone cement prior to surgery: Antibiotics before and after surgery. Overview— in general, management of pjis consists of surgery and antimicrobial therapy. The approach depends on the timing. The most important known measures to lower the risk of infection after total joint replacement include: Antibiotics For Infected Knee Replacement.
From www.researchgate.net
A patient with an infected knee following knee replacement was Antibiotics For Infected Knee Replacement The most important known measures to lower the risk of infection after total joint replacement include: Plan the appropriate use of antibiotic bone cement prior to surgery: The approach depends on the timing. Overview— in general, management of pjis consists of surgery and antimicrobial therapy. Antibiotics before and after surgery. Antibiotics are given within 1. Antibiotics For Infected Knee Replacement.
From www.jkoa.org
TwoStage Reimplantation of Infected Total Knee Arthroplasty with Antibiotics For Infected Knee Replacement Overview— in general, management of pjis consists of surgery and antimicrobial therapy. Antibiotics are given within 1. Plan the appropriate use of antibiotic bone cement prior to surgery: The approach depends on the timing. The most important known measures to lower the risk of infection after total joint replacement include: Antibiotics before and after surgery. Antibiotics For Infected Knee Replacement.
From musculoskeletalkey.com
Antibiotic Spacers for the Treatment of Infected Total Knee Antibiotics For Infected Knee Replacement Overview— in general, management of pjis consists of surgery and antimicrobial therapy. Antibiotics are given within 1. Antibiotics before and after surgery. The approach depends on the timing. The most important known measures to lower the risk of infection after total joint replacement include: Plan the appropriate use of antibiotic bone cement prior to surgery: Antibiotics For Infected Knee Replacement.
From jpabs.org
Prophylactic antibiotics knee replacement Antibiotics For Infected Knee Replacement The approach depends on the timing. Antibiotics before and after surgery. Plan the appropriate use of antibiotic bone cement prior to surgery: Overview— in general, management of pjis consists of surgery and antimicrobial therapy. The most important known measures to lower the risk of infection after total joint replacement include: Antibiotics are given within 1. Antibiotics For Infected Knee Replacement.
From jpabs.org
Prophylactic antibiotics knee replacement Antibiotics For Infected Knee Replacement Overview— in general, management of pjis consists of surgery and antimicrobial therapy. Plan the appropriate use of antibiotic bone cement prior to surgery: Antibiotics are given within 1. Antibiotics before and after surgery. The most important known measures to lower the risk of infection after total joint replacement include: The approach depends on the timing. Antibiotics For Infected Knee Replacement.
From www.arthroplastyjournal.org
TwoStage Treatment for Total Knee Arthroplasty Infection Utilizing an Antibiotics For Infected Knee Replacement Plan the appropriate use of antibiotic bone cement prior to surgery: Antibiotics are given within 1. The most important known measures to lower the risk of infection after total joint replacement include: The approach depends on the timing. Overview— in general, management of pjis consists of surgery and antimicrobial therapy. Antibiotics before and after surgery. Antibiotics For Infected Knee Replacement.
From jpabs.org
Antibiotics after total knee replacement Antibiotics For Infected Knee Replacement Antibiotics before and after surgery. The approach depends on the timing. Overview— in general, management of pjis consists of surgery and antimicrobial therapy. The most important known measures to lower the risk of infection after total joint replacement include: Plan the appropriate use of antibiotic bone cement prior to surgery: Antibiotics are given within 1. Antibiotics For Infected Knee Replacement.
From www.arthroplastyjournal.org
TwoStage Treatment for Total Knee Arthroplasty Infection Utilizing an Antibiotics For Infected Knee Replacement Plan the appropriate use of antibiotic bone cement prior to surgery: The most important known measures to lower the risk of infection after total joint replacement include: Overview— in general, management of pjis consists of surgery and antimicrobial therapy. Antibiotics are given within 1. Antibiotics before and after surgery. The approach depends on the timing. Antibiotics For Infected Knee Replacement.
From www.laorthosurgeon.com
Infected Knee Replacement ADAM SASSOON M.D., M.S. Antibiotics For Infected Knee Replacement Antibiotics are given within 1. The approach depends on the timing. The most important known measures to lower the risk of infection after total joint replacement include: Plan the appropriate use of antibiotic bone cement prior to surgery: Antibiotics before and after surgery. Overview— in general, management of pjis consists of surgery and antimicrobial therapy. Antibiotics For Infected Knee Replacement.
From www.youtube.com
Infected Total Knee Replacement. A dreaded complication. What you need Antibiotics For Infected Knee Replacement The approach depends on the timing. Antibiotics before and after surgery. The most important known measures to lower the risk of infection after total joint replacement include: Antibiotics are given within 1. Plan the appropriate use of antibiotic bone cement prior to surgery: Overview— in general, management of pjis consists of surgery and antimicrobial therapy. Antibiotics For Infected Knee Replacement.
From jpabs.org
Antibiotics after total knee replacement Antibiotics For Infected Knee Replacement Plan the appropriate use of antibiotic bone cement prior to surgery: Antibiotics before and after surgery. Antibiotics are given within 1. Overview— in general, management of pjis consists of surgery and antimicrobial therapy. The approach depends on the timing. The most important known measures to lower the risk of infection after total joint replacement include: Antibiotics For Infected Knee Replacement.
From orthoinfo.aaos.org
Joint Replacement Infection OrthoInfo AAOS Antibiotics For Infected Knee Replacement The approach depends on the timing. The most important known measures to lower the risk of infection after total joint replacement include: Overview— in general, management of pjis consists of surgery and antimicrobial therapy. Antibiotics before and after surgery. Plan the appropriate use of antibiotic bone cement prior to surgery: Antibiotics are given within 1. Antibiotics For Infected Knee Replacement.
From www.cureus.com
Cureus TwoStage Total Knee Arthroplasty Revision With Extended Antibiotics For Infected Knee Replacement Antibiotics before and after surgery. Plan the appropriate use of antibiotic bone cement prior to surgery: The most important known measures to lower the risk of infection after total joint replacement include: Overview— in general, management of pjis consists of surgery and antimicrobial therapy. The approach depends on the timing. Antibiotics are given within 1. Antibiotics For Infected Knee Replacement.
From www.researchgate.net
(PDF) The DAIR (debridement, antibiotics and implant retention Antibiotics For Infected Knee Replacement Plan the appropriate use of antibiotic bone cement prior to surgery: Antibiotics are given within 1. Antibiotics before and after surgery. The approach depends on the timing. The most important known measures to lower the risk of infection after total joint replacement include: Overview— in general, management of pjis consists of surgery and antimicrobial therapy. Antibiotics For Infected Knee Replacement.
From jpabs.org
Antibiotics after total knee replacement Antibiotics For Infected Knee Replacement Overview— in general, management of pjis consists of surgery and antimicrobial therapy. Antibiotics are given within 1. The most important known measures to lower the risk of infection after total joint replacement include: Antibiotics before and after surgery. The approach depends on the timing. Plan the appropriate use of antibiotic bone cement prior to surgery: Antibiotics For Infected Knee Replacement.
From jpabs.org
Prophylactic antibiotics knee replacement Antibiotics For Infected Knee Replacement Overview— in general, management of pjis consists of surgery and antimicrobial therapy. Plan the appropriate use of antibiotic bone cement prior to surgery: Antibiotics are given within 1. Antibiotics before and after surgery. The approach depends on the timing. The most important known measures to lower the risk of infection after total joint replacement include: Antibiotics For Infected Knee Replacement.
From www.researchgate.net
(PDF) Revision of Infected Total Knee Arthroplasty TwoStage Antibiotics For Infected Knee Replacement Antibiotics are given within 1. Antibiotics before and after surgery. Overview— in general, management of pjis consists of surgery and antimicrobial therapy. Plan the appropriate use of antibiotic bone cement prior to surgery: The approach depends on the timing. The most important known measures to lower the risk of infection after total joint replacement include: Antibiotics For Infected Knee Replacement.
From www.mykneeguide.com
Infection An but serious complication Antibiotics For Infected Knee Replacement Plan the appropriate use of antibiotic bone cement prior to surgery: Antibiotics before and after surgery. Overview— in general, management of pjis consists of surgery and antimicrobial therapy. The most important known measures to lower the risk of infection after total joint replacement include: Antibiotics are given within 1. The approach depends on the timing. Antibiotics For Infected Knee Replacement.
From www.jointreplacementhawaii.com
Antibiotics After Joint Replacement Orthopedic Surgery Antibiotics For Infected Knee Replacement Overview— in general, management of pjis consists of surgery and antimicrobial therapy. Plan the appropriate use of antibiotic bone cement prior to surgery: Antibiotics are given within 1. Antibiotics before and after surgery. The most important known measures to lower the risk of infection after total joint replacement include: The approach depends on the timing. Antibiotics For Infected Knee Replacement.
From www.laorthosurgeon.com
Infected Knee Replacement ADAM SASSOON M.D., M.S. Antibiotics For Infected Knee Replacement Plan the appropriate use of antibiotic bone cement prior to surgery: Antibiotics before and after surgery. The most important known measures to lower the risk of infection after total joint replacement include: Antibiotics are given within 1. The approach depends on the timing. Overview— in general, management of pjis consists of surgery and antimicrobial therapy. Antibiotics For Infected Knee Replacement.
From www.medicalnewstoday.com
Knee replacement infection Symptoms and risk factors Antibiotics For Infected Knee Replacement Plan the appropriate use of antibiotic bone cement prior to surgery: The most important known measures to lower the risk of infection after total joint replacement include: Antibiotics before and after surgery. Overview— in general, management of pjis consists of surgery and antimicrobial therapy. Antibiotics are given within 1. The approach depends on the timing. Antibiotics For Infected Knee Replacement.
From hipandkneebook.com
PROSTHETIC JOINT INFECTION — Hip & Knee Book Antibiotics For Infected Knee Replacement The approach depends on the timing. The most important known measures to lower the risk of infection after total joint replacement include: Antibiotics are given within 1. Overview— in general, management of pjis consists of surgery and antimicrobial therapy. Plan the appropriate use of antibiotic bone cement prior to surgery: Antibiotics before and after surgery. Antibiotics For Infected Knee Replacement.
From www.dreamstime.com
Antibiotic Beads in Femur with Infected Prosthetic Knee Stock Image Antibiotics For Infected Knee Replacement Antibiotics are given within 1. The most important known measures to lower the risk of infection after total joint replacement include: Overview— in general, management of pjis consists of surgery and antimicrobial therapy. Antibiotics before and after surgery. Plan the appropriate use of antibiotic bone cement prior to surgery: The approach depends on the timing. Antibiotics For Infected Knee Replacement.
From jpabs.org
Antibiotics after total knee replacement Antibiotics For Infected Knee Replacement Overview— in general, management of pjis consists of surgery and antimicrobial therapy. Antibiotics are given within 1. Antibiotics before and after surgery. The approach depends on the timing. The most important known measures to lower the risk of infection after total joint replacement include: Plan the appropriate use of antibiotic bone cement prior to surgery: Antibiotics For Infected Knee Replacement.
From www.mdpi.com
Antibiotics Free FullText Antibiotic Prophylaxis in OneStage Antibiotics For Infected Knee Replacement Plan the appropriate use of antibiotic bone cement prior to surgery: Overview— in general, management of pjis consists of surgery and antimicrobial therapy. The most important known measures to lower the risk of infection after total joint replacement include: Antibiotics before and after surgery. The approach depends on the timing. Antibiotics are given within 1. Antibiotics For Infected Knee Replacement.
From musculoskeletalkey.com
Infected Total Knee Replacement Cement Spacer Musculoskeletal Key Antibiotics For Infected Knee Replacement The most important known measures to lower the risk of infection after total joint replacement include: Overview— in general, management of pjis consists of surgery and antimicrobial therapy. The approach depends on the timing. Antibiotics are given within 1. Antibiotics before and after surgery. Plan the appropriate use of antibiotic bone cement prior to surgery: Antibiotics For Infected Knee Replacement.
From www.researchgate.net
Antibioticimpregnated articulating cement spacer used as a firststage Antibiotics For Infected Knee Replacement Plan the appropriate use of antibiotic bone cement prior to surgery: Overview— in general, management of pjis consists of surgery and antimicrobial therapy. Antibiotics before and after surgery. The most important known measures to lower the risk of infection after total joint replacement include: The approach depends on the timing. Antibiotics are given within 1. Antibiotics For Infected Knee Replacement.
From www.researchgate.net
(PDF) Antibioticimpregnated articulating cement spacer for infected Antibiotics For Infected Knee Replacement Overview— in general, management of pjis consists of surgery and antimicrobial therapy. The approach depends on the timing. Antibiotics are given within 1. The most important known measures to lower the risk of infection after total joint replacement include: Antibiotics before and after surgery. Plan the appropriate use of antibiotic bone cement prior to surgery: Antibiotics For Infected Knee Replacement.
From jpabs.org
Prophylactic antibiotics knee replacement Antibiotics For Infected Knee Replacement Plan the appropriate use of antibiotic bone cement prior to surgery: The most important known measures to lower the risk of infection after total joint replacement include: Antibiotics are given within 1. Overview— in general, management of pjis consists of surgery and antimicrobial therapy. Antibiotics before and after surgery. The approach depends on the timing. Antibiotics For Infected Knee Replacement.
From jpabs.org
Prophylactic antibiotics knee replacement Antibiotics For Infected Knee Replacement Antibiotics before and after surgery. The most important known measures to lower the risk of infection after total joint replacement include: Overview— in general, management of pjis consists of surgery and antimicrobial therapy. Antibiotics are given within 1. The approach depends on the timing. Plan the appropriate use of antibiotic bone cement prior to surgery: Antibiotics For Infected Knee Replacement.
From journals.lww.com
Antibiotic Cement Spacers for Infected Total Knee Arthroplas... JAAOS Antibiotics For Infected Knee Replacement Antibiotics are given within 1. The approach depends on the timing. Antibiotics before and after surgery. Overview— in general, management of pjis consists of surgery and antimicrobial therapy. Plan the appropriate use of antibiotic bone cement prior to surgery: The most important known measures to lower the risk of infection after total joint replacement include: Antibiotics For Infected Knee Replacement.
From jpabs.org
Antibiotics after total knee replacement Antibiotics For Infected Knee Replacement Antibiotics before and after surgery. Overview— in general, management of pjis consists of surgery and antimicrobial therapy. Antibiotics are given within 1. Plan the appropriate use of antibiotic bone cement prior to surgery: The approach depends on the timing. The most important known measures to lower the risk of infection after total joint replacement include: Antibiotics For Infected Knee Replacement.
From www.mdpi.com
Polymers Free FullText PolyethyleneBased Knee Spacer for Antibiotics For Infected Knee Replacement Plan the appropriate use of antibiotic bone cement prior to surgery: The most important known measures to lower the risk of infection after total joint replacement include: The approach depends on the timing. Overview— in general, management of pjis consists of surgery and antimicrobial therapy. Antibiotics before and after surgery. Antibiotics are given within 1. Antibiotics For Infected Knee Replacement.