Dental Implants Results . It is a popular tooth replacement. According to the american academy of implant dentistry, “dental implant surgery is one of the safest and most predictable procedures in dentistry.” dental implantation has an average success rate of 95%, and providers have been performing and perfecting this procedure for over 30 years. They act like the roots of your natural teeth to provide a strong foundation for. The most notable advantages of implants are that they help maintain a strong. Read 225 reviews of dental implants to see what real people have to say about their experience, including cost, recovery time & if it. A dental implant is an artificial tooth root surgically implanted into your jawbone. Thankfully, dental implants can provide a permanent solution to this problem. Dental implants are titanium or ceramic posts inserted into your jawbone to hold artificial teeth. Millions of people worldwide have lost teeth due to injury, decay, or other causes.
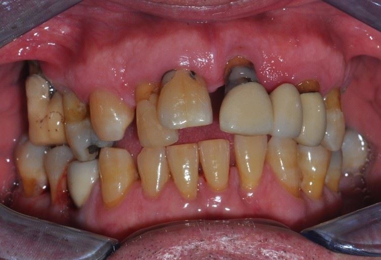
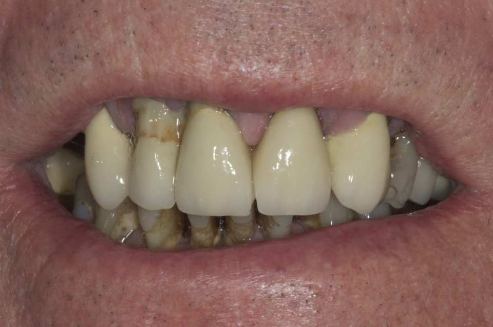
from www.symondsyatdentalcare.co.uk
The most notable advantages of implants are that they help maintain a strong. A dental implant is an artificial tooth root surgically implanted into your jawbone. It is a popular tooth replacement. Millions of people worldwide have lost teeth due to injury, decay, or other causes. According to the american academy of implant dentistry, “dental implant surgery is one of the safest and most predictable procedures in dentistry.” dental implantation has an average success rate of 95%, and providers have been performing and perfecting this procedure for over 30 years. Read 225 reviews of dental implants to see what real people have to say about their experience, including cost, recovery time & if it. Thankfully, dental implants can provide a permanent solution to this problem. They act like the roots of your natural teeth to provide a strong foundation for. Dental implants are titanium or ceramic posts inserted into your jawbone to hold artificial teeth.
Dental Implants Near You Herefordshire Symonds Yat Dental Care
Dental Implants Results Thankfully, dental implants can provide a permanent solution to this problem. A dental implant is an artificial tooth root surgically implanted into your jawbone. The most notable advantages of implants are that they help maintain a strong. Read 225 reviews of dental implants to see what real people have to say about their experience, including cost, recovery time & if it. According to the american academy of implant dentistry, “dental implant surgery is one of the safest and most predictable procedures in dentistry.” dental implantation has an average success rate of 95%, and providers have been performing and perfecting this procedure for over 30 years. It is a popular tooth replacement. Millions of people worldwide have lost teeth due to injury, decay, or other causes. Thankfully, dental implants can provide a permanent solution to this problem. Dental implants are titanium or ceramic posts inserted into your jawbone to hold artificial teeth. They act like the roots of your natural teeth to provide a strong foundation for.
From infinitydentalclinic.co.uk
DENTAL IMPLANTS LEEDS Digital Dental Implants Infinity Dental Clinic Dental Implants Results They act like the roots of your natural teeth to provide a strong foundation for. A dental implant is an artificial tooth root surgically implanted into your jawbone. Read 225 reviews of dental implants to see what real people have to say about their experience, including cost, recovery time & if it. It is a popular tooth replacement. The most. Dental Implants Results.
From smileartsny.com
Dental Implants Before And After Photos NYC Dentist Dental Implants Results Read 225 reviews of dental implants to see what real people have to say about their experience, including cost, recovery time & if it. The most notable advantages of implants are that they help maintain a strong. They act like the roots of your natural teeth to provide a strong foundation for. A dental implant is an artificial tooth root. Dental Implants Results.
From southgablesdental.com
Real Patients. Real Results. AllonFour Dental Implants in Coral Dental Implants Results The most notable advantages of implants are that they help maintain a strong. They act like the roots of your natural teeth to provide a strong foundation for. Dental implants are titanium or ceramic posts inserted into your jawbone to hold artificial teeth. Thankfully, dental implants can provide a permanent solution to this problem. Read 225 reviews of dental implants. Dental Implants Results.
From omegahealthcare.com.au
Dental Implants Fairfield Omega Healthcare Dental Implants Results The most notable advantages of implants are that they help maintain a strong. Read 225 reviews of dental implants to see what real people have to say about their experience, including cost, recovery time & if it. According to the american academy of implant dentistry, “dental implant surgery is one of the safest and most predictable procedures in dentistry.” dental. Dental Implants Results.
From www.miamiperio.com
Allon4 ® Dental Implants Photos Miami, FL Dental Implants Results According to the american academy of implant dentistry, “dental implant surgery is one of the safest and most predictable procedures in dentistry.” dental implantation has an average success rate of 95%, and providers have been performing and perfecting this procedure for over 30 years. Read 225 reviews of dental implants to see what real people have to say about their. Dental Implants Results.
From familydentistottawa.com
Dental Implants Ottawa Rockcliffe Dental & Denture Centre Dental Implants Results Thankfully, dental implants can provide a permanent solution to this problem. According to the american academy of implant dentistry, “dental implant surgery is one of the safest and most predictable procedures in dentistry.” dental implantation has an average success rate of 95%, and providers have been performing and perfecting this procedure for over 30 years. The most notable advantages of. Dental Implants Results.
From www.nycdentalimplantscenter.com
Dental Implants Results (Before & After) 22 Cases Dental Implants Results The most notable advantages of implants are that they help maintain a strong. Thankfully, dental implants can provide a permanent solution to this problem. Read 225 reviews of dental implants to see what real people have to say about their experience, including cost, recovery time & if it. They act like the roots of your natural teeth to provide a. Dental Implants Results.
From www.uptownguelphdental.com
Gallery Dental Implants Uptown Guelph Dental Dental Implants Results A dental implant is an artificial tooth root surgically implanted into your jawbone. The most notable advantages of implants are that they help maintain a strong. Thankfully, dental implants can provide a permanent solution to this problem. Read 225 reviews of dental implants to see what real people have to say about their experience, including cost, recovery time & if. Dental Implants Results.
From www.theperfectsmile.co.uk
Impressive Gallery of Implant Patients The Perfect Smile Dental Implants Results A dental implant is an artificial tooth root surgically implanted into your jawbone. Read 225 reviews of dental implants to see what real people have to say about their experience, including cost, recovery time & if it. The most notable advantages of implants are that they help maintain a strong. According to the american academy of implant dentistry, “dental implant. Dental Implants Results.
From www.nycdentalimplantscenter.com
Dental Implants Results (Before & After) 22 Cases Dental Implants Results Dental implants are titanium or ceramic posts inserted into your jawbone to hold artificial teeth. Millions of people worldwide have lost teeth due to injury, decay, or other causes. Thankfully, dental implants can provide a permanent solution to this problem. They act like the roots of your natural teeth to provide a strong foundation for. According to the american academy. Dental Implants Results.
From uppermarlborodentist.com
An Overview of Dental Implant Procedure Steps Family Dentistry of Dental Implants Results Thankfully, dental implants can provide a permanent solution to this problem. A dental implant is an artificial tooth root surgically implanted into your jawbone. The most notable advantages of implants are that they help maintain a strong. They act like the roots of your natural teeth to provide a strong foundation for. According to the american academy of implant dentistry,. Dental Implants Results.
From www.implantperiocenter.com
How Do Zygomatic Dental Implants Work? IMPLANT PERIO CENTER Dental Implants Results A dental implant is an artificial tooth root surgically implanted into your jawbone. They act like the roots of your natural teeth to provide a strong foundation for. It is a popular tooth replacement. Thankfully, dental implants can provide a permanent solution to this problem. The most notable advantages of implants are that they help maintain a strong. Millions of. Dental Implants Results.
From www.209nycdental.com
AllOn4 Dental Implants in NYC Cost & Information Dental Implants Results According to the american academy of implant dentistry, “dental implant surgery is one of the safest and most predictable procedures in dentistry.” dental implantation has an average success rate of 95%, and providers have been performing and perfecting this procedure for over 30 years. Millions of people worldwide have lost teeth due to injury, decay, or other causes. They act. Dental Implants Results.
From streitzdental.com
Before and After Photos of Dental Implants and Cosmetic Dentistry Dental Implants Results According to the american academy of implant dentistry, “dental implant surgery is one of the safest and most predictable procedures in dentistry.” dental implantation has an average success rate of 95%, and providers have been performing and perfecting this procedure for over 30 years. Millions of people worldwide have lost teeth due to injury, decay, or other causes. Dental implants. Dental Implants Results.
From greenroomdental.co.uk
Dental Implants Dental Treatments By Green Room Dentistry Dental Implants Results Thankfully, dental implants can provide a permanent solution to this problem. Dental implants are titanium or ceramic posts inserted into your jawbone to hold artificial teeth. They act like the roots of your natural teeth to provide a strong foundation for. It is a popular tooth replacement. The most notable advantages of implants are that they help maintain a strong.. Dental Implants Results.
From www.elevatedentalimplant.com
Dental Implants Before & After Photos Hanover MD Dental Implants Results They act like the roots of your natural teeth to provide a strong foundation for. Millions of people worldwide have lost teeth due to injury, decay, or other causes. According to the american academy of implant dentistry, “dental implant surgery is one of the safest and most predictable procedures in dentistry.” dental implantation has an average success rate of 95%,. Dental Implants Results.
From dailymigrants.com
Before And After Pictures Of Dental Implants Dental Implants Results The most notable advantages of implants are that they help maintain a strong. A dental implant is an artificial tooth root surgically implanted into your jawbone. They act like the roots of your natural teeth to provide a strong foundation for. It is a popular tooth replacement. According to the american academy of implant dentistry, “dental implant surgery is one. Dental Implants Results.
From www.greenspandental.com
Dental Implants Before And After Dr. Ari Greenspan Dentist Dental Implants Results Read 225 reviews of dental implants to see what real people have to say about their experience, including cost, recovery time & if it. It is a popular tooth replacement. They act like the roots of your natural teeth to provide a strong foundation for. A dental implant is an artificial tooth root surgically implanted into your jawbone. According to. Dental Implants Results.
From www.northway-dental.co.uk
Dental Implant Cosmetic Dentist Liverpool & Ormskirk Dental Implants Results Read 225 reviews of dental implants to see what real people have to say about their experience, including cost, recovery time & if it. They act like the roots of your natural teeth to provide a strong foundation for. The most notable advantages of implants are that they help maintain a strong. Dental implants are titanium or ceramic posts inserted. Dental Implants Results.
From center4smiles.com
All on 4® Dental Implants Before and After Photos Center 4 Smiles Dental Implants Results The most notable advantages of implants are that they help maintain a strong. Thankfully, dental implants can provide a permanent solution to this problem. They act like the roots of your natural teeth to provide a strong foundation for. Millions of people worldwide have lost teeth due to injury, decay, or other causes. According to the american academy of implant. Dental Implants Results.
From www.aestheticsmilereconstruction.com
All on 4 Dental Implants How Do They Work and Are They for You? Dental Implants Results Read 225 reviews of dental implants to see what real people have to say about their experience, including cost, recovery time & if it. Thankfully, dental implants can provide a permanent solution to this problem. Dental implants are titanium or ceramic posts inserted into your jawbone to hold artificial teeth. According to the american academy of implant dentistry, “dental implant. Dental Implants Results.
From prosmileaz.com
AllOn4 Dental Implants Scottsdale ProSmile Dental Dental Implants Results Dental implants are titanium or ceramic posts inserted into your jawbone to hold artificial teeth. The most notable advantages of implants are that they help maintain a strong. Read 225 reviews of dental implants to see what real people have to say about their experience, including cost, recovery time & if it. It is a popular tooth replacement. Millions of. Dental Implants Results.
From northhilldental.co.uk
Dental Implants North Hill Dental Colchester NHS & Private Dental Dental Implants Results Thankfully, dental implants can provide a permanent solution to this problem. According to the american academy of implant dentistry, “dental implant surgery is one of the safest and most predictable procedures in dentistry.” dental implantation has an average success rate of 95%, and providers have been performing and perfecting this procedure for over 30 years. Read 225 reviews of dental. Dental Implants Results.
From streitzdental.com
Before and After Photos of Dental Implants and Cosmetic Dentistry Dental Implants Results Dental implants are titanium or ceramic posts inserted into your jawbone to hold artificial teeth. The most notable advantages of implants are that they help maintain a strong. A dental implant is an artificial tooth root surgically implanted into your jawbone. They act like the roots of your natural teeth to provide a strong foundation for. It is a popular. Dental Implants Results.
From greenroomdental.co.uk
Dental Implants Dental Treatments By Green Room Dentistry Dental Implants Results They act like the roots of your natural teeth to provide a strong foundation for. Millions of people worldwide have lost teeth due to injury, decay, or other causes. Thankfully, dental implants can provide a permanent solution to this problem. A dental implant is an artificial tooth root surgically implanted into your jawbone. It is a popular tooth replacement. Read. Dental Implants Results.
From birminghamdenturesandimplants.com
Dental Implants Birmingham, AL Alabama Dentures Dental Implants Results Thankfully, dental implants can provide a permanent solution to this problem. They act like the roots of your natural teeth to provide a strong foundation for. According to the american academy of implant dentistry, “dental implant surgery is one of the safest and most predictable procedures in dentistry.” dental implantation has an average success rate of 95%, and providers have. Dental Implants Results.
From animalia-life.club
Tooth Implant Before After Dental Implants Results Dental implants are titanium or ceramic posts inserted into your jawbone to hold artificial teeth. The most notable advantages of implants are that they help maintain a strong. Thankfully, dental implants can provide a permanent solution to this problem. According to the american academy of implant dentistry, “dental implant surgery is one of the safest and most predictable procedures in. Dental Implants Results.
From www.phdental.com
Dental Implants 1 Before & After Results Dental Implants Results Read 225 reviews of dental implants to see what real people have to say about their experience, including cost, recovery time & if it. Dental implants are titanium or ceramic posts inserted into your jawbone to hold artificial teeth. According to the american academy of implant dentistry, “dental implant surgery is one of the safest and most predictable procedures in. Dental Implants Results.
From ar.inspiredpencil.com
Full Dental Implants Before And After Dental Implants Results The most notable advantages of implants are that they help maintain a strong. According to the american academy of implant dentistry, “dental implant surgery is one of the safest and most predictable procedures in dentistry.” dental implantation has an average success rate of 95%, and providers have been performing and perfecting this procedure for over 30 years. Millions of people. Dental Implants Results.
From www.animalia-life.club
Tooth Implant Before After Dental Implants Results A dental implant is an artificial tooth root surgically implanted into your jawbone. They act like the roots of your natural teeth to provide a strong foundation for. Dental implants are titanium or ceramic posts inserted into your jawbone to hold artificial teeth. Thankfully, dental implants can provide a permanent solution to this problem. It is a popular tooth replacement.. Dental Implants Results.
From www.challgrendentistry.com
Dental Implants Results Gallery Lafayette IN Dental Implants Dental Implants Results The most notable advantages of implants are that they help maintain a strong. A dental implant is an artificial tooth root surgically implanted into your jawbone. It is a popular tooth replacement. Dental implants are titanium or ceramic posts inserted into your jawbone to hold artificial teeth. Thankfully, dental implants can provide a permanent solution to this problem. According to. Dental Implants Results.
From familydentistottawa.com
Dental Implants Ottawa Rockcliffe Dental & Denture Centre Dental Implants Results Thankfully, dental implants can provide a permanent solution to this problem. Dental implants are titanium or ceramic posts inserted into your jawbone to hold artificial teeth. Millions of people worldwide have lost teeth due to injury, decay, or other causes. They act like the roots of your natural teeth to provide a strong foundation for. According to the american academy. Dental Implants Results.
From www.miamiperio.com
Allon4 ® Dental Implants Photos Miami, FL Dental Implants Results Millions of people worldwide have lost teeth due to injury, decay, or other causes. According to the american academy of implant dentistry, “dental implant surgery is one of the safest and most predictable procedures in dentistry.” dental implantation has an average success rate of 95%, and providers have been performing and perfecting this procedure for over 30 years. Thankfully, dental. Dental Implants Results.
From www.youtube.com
Dental implants review Before and After Surgery YouTube Dental Implants Results They act like the roots of your natural teeth to provide a strong foundation for. Millions of people worldwide have lost teeth due to injury, decay, or other causes. Thankfully, dental implants can provide a permanent solution to this problem. Dental implants are titanium or ceramic posts inserted into your jawbone to hold artificial teeth. According to the american academy. Dental Implants Results.
From www.symondsyatdentalcare.co.uk
Dental Implants Near You Herefordshire Symonds Yat Dental Care Dental Implants Results It is a popular tooth replacement. The most notable advantages of implants are that they help maintain a strong. They act like the roots of your natural teeth to provide a strong foundation for. Millions of people worldwide have lost teeth due to injury, decay, or other causes. Thankfully, dental implants can provide a permanent solution to this problem. A. Dental Implants Results.