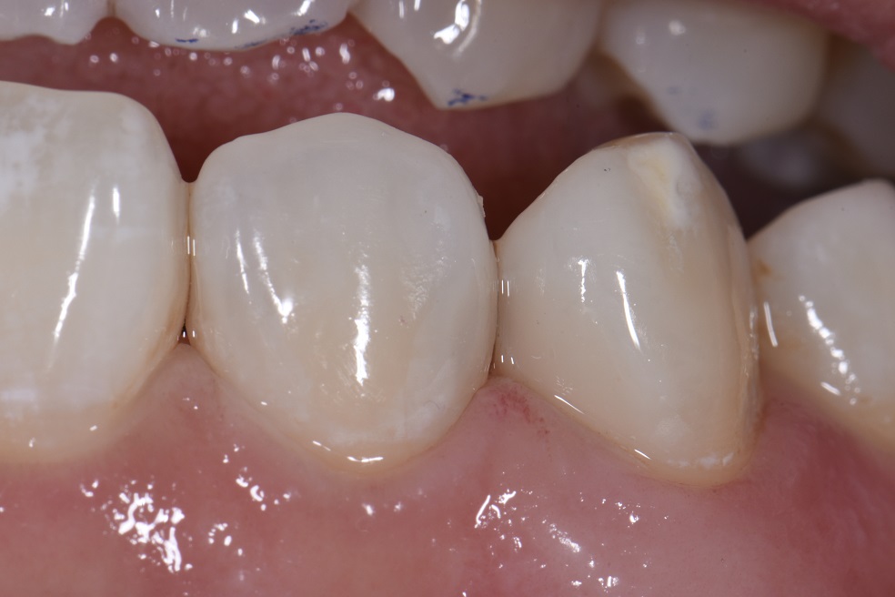
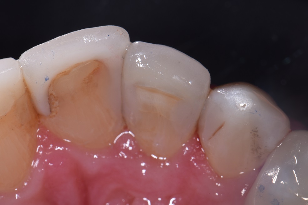
Dental Class 3 Restoration . Preparation outline is determined by the extent of the carious lesion, defects, or old restorative material. It is generally formed with. this paper aims to provide the dentist with practical guidance on the technique for direct composite restoration. dental restoration ranges in price, dependent on what type of restoration you require and which dental clinic you are visiting. in general, the tooth preparation for a class iii direct composite restoration involves (1) obtaining access to the defect (caries,. at first glance, a class iii direct composite restoration can appear to be a fairly routine procedure.
from pocketdentistry.com
dental restoration ranges in price, dependent on what type of restoration you require and which dental clinic you are visiting. Preparation outline is determined by the extent of the carious lesion, defects, or old restorative material. at first glance, a class iii direct composite restoration can appear to be a fairly routine procedure. this paper aims to provide the dentist with practical guidance on the technique for direct composite restoration. It is generally formed with. in general, the tooth preparation for a class iii direct composite restoration involves (1) obtaining access to the defect (caries,.
1 Overview rehabilitation of natural teeth Pocket Dentistry
Dental Class 3 Restoration Preparation outline is determined by the extent of the carious lesion, defects, or old restorative material. at first glance, a class iii direct composite restoration can appear to be a fairly routine procedure. dental restoration ranges in price, dependent on what type of restoration you require and which dental clinic you are visiting. Preparation outline is determined by the extent of the carious lesion, defects, or old restorative material. in general, the tooth preparation for a class iii direct composite restoration involves (1) obtaining access to the defect (caries,. this paper aims to provide the dentist with practical guidance on the technique for direct composite restoration. It is generally formed with.
From pocketdentistry.com
9 Class III, IV, and V Direct Composite and Glass Ionomer Restorations Dental Class 3 Restoration in general, the tooth preparation for a class iii direct composite restoration involves (1) obtaining access to the defect (caries,. It is generally formed with. this paper aims to provide the dentist with practical guidance on the technique for direct composite restoration. at first glance, a class iii direct composite restoration can appear to be a fairly. Dental Class 3 Restoration.
From www.dentalestheticszak.com
Class III Composite restoration " Labial access " Dental Esthetics Dental Class 3 Restoration It is generally formed with. this paper aims to provide the dentist with practical guidance on the technique for direct composite restoration. dental restoration ranges in price, dependent on what type of restoration you require and which dental clinic you are visiting. Preparation outline is determined by the extent of the carious lesion, defects, or old restorative material.. Dental Class 3 Restoration.
From www.dentalestheticszak.com
Class III Composite restoration " Labial access " Dental Esthetics Dental Class 3 Restoration this paper aims to provide the dentist with practical guidance on the technique for direct composite restoration. dental restoration ranges in price, dependent on what type of restoration you require and which dental clinic you are visiting. It is generally formed with. at first glance, a class iii direct composite restoration can appear to be a fairly. Dental Class 3 Restoration.
From www.youtube.com
Dental Filling (Class 1+Class 3 Restoration) YouTube Dental Class 3 Restoration this paper aims to provide the dentist with practical guidance on the technique for direct composite restoration. dental restoration ranges in price, dependent on what type of restoration you require and which dental clinic you are visiting. in general, the tooth preparation for a class iii direct composite restoration involves (1) obtaining access to the defect (caries,.. Dental Class 3 Restoration.
From www.dentalestheticszak.com
Class III Composite restoration " Labial access " Dental Esthetics Dental Class 3 Restoration Preparation outline is determined by the extent of the carious lesion, defects, or old restorative material. this paper aims to provide the dentist with practical guidance on the technique for direct composite restoration. dental restoration ranges in price, dependent on what type of restoration you require and which dental clinic you are visiting. at first glance, a. Dental Class 3 Restoration.
From www.youtube.com
Class 3 composite restoration YouTube Dental Class 3 Restoration dental restoration ranges in price, dependent on what type of restoration you require and which dental clinic you are visiting. Preparation outline is determined by the extent of the carious lesion, defects, or old restorative material. It is generally formed with. in general, the tooth preparation for a class iii direct composite restoration involves (1) obtaining access to. Dental Class 3 Restoration.
From www.clarencetam.co.nz
Class III caries Restorative Dentistry Auckland Dental Class 3 Restoration this paper aims to provide the dentist with practical guidance on the technique for direct composite restoration. It is generally formed with. in general, the tooth preparation for a class iii direct composite restoration involves (1) obtaining access to the defect (caries,. at first glance, a class iii direct composite restoration can appear to be a fairly. Dental Class 3 Restoration.
From www.youtube.com
Class 3 Composite Tips YouTube Dental Class 3 Restoration Preparation outline is determined by the extent of the carious lesion, defects, or old restorative material. dental restoration ranges in price, dependent on what type of restoration you require and which dental clinic you are visiting. It is generally formed with. at first glance, a class iii direct composite restoration can appear to be a fairly routine procedure.. Dental Class 3 Restoration.
From www.learnmoredental.com
Class III Dental Class 3 Restoration Preparation outline is determined by the extent of the carious lesion, defects, or old restorative material. this paper aims to provide the dentist with practical guidance on the technique for direct composite restoration. in general, the tooth preparation for a class iii direct composite restoration involves (1) obtaining access to the defect (caries,. It is generally formed with.. Dental Class 3 Restoration.
From www.clarencetam.co.nz
Clean Precise Class III restorations Dental Class 3 Restoration It is generally formed with. at first glance, a class iii direct composite restoration can appear to be a fairly routine procedure. in general, the tooth preparation for a class iii direct composite restoration involves (1) obtaining access to the defect (caries,. Preparation outline is determined by the extent of the carious lesion, defects, or old restorative material.. Dental Class 3 Restoration.
From www.dentalestheticszak.com
Class III composite restoration " Palatal access " Dental Esthetics Dental Class 3 Restoration It is generally formed with. at first glance, a class iii direct composite restoration can appear to be a fairly routine procedure. in general, the tooth preparation for a class iii direct composite restoration involves (1) obtaining access to the defect (caries,. dental restoration ranges in price, dependent on what type of restoration you require and which. Dental Class 3 Restoration.
From www.clarencetam.co.nz
Class III resin restoration replacements Class III resin restoration Dental Class 3 Restoration dental restoration ranges in price, dependent on what type of restoration you require and which dental clinic you are visiting. It is generally formed with. in general, the tooth preparation for a class iii direct composite restoration involves (1) obtaining access to the defect (caries,. at first glance, a class iii direct composite restoration can appear to. Dental Class 3 Restoration.
From www.clarencetam.co.nz
Class III resin restoration replacements Class III resin restoration Dental Class 3 Restoration this paper aims to provide the dentist with practical guidance on the technique for direct composite restoration. dental restoration ranges in price, dependent on what type of restoration you require and which dental clinic you are visiting. at first glance, a class iii direct composite restoration can appear to be a fairly routine procedure. in general,. Dental Class 3 Restoration.
From www.dentalestheticszak.com
Class III Composite restoration " Labial access " Dental Esthetics Dental Class 3 Restoration Preparation outline is determined by the extent of the carious lesion, defects, or old restorative material. this paper aims to provide the dentist with practical guidance on the technique for direct composite restoration. It is generally formed with. at first glance, a class iii direct composite restoration can appear to be a fairly routine procedure. dental restoration. Dental Class 3 Restoration.
From pocketdentistry.com
9 Class III, IV, and V Direct Composite and Glass Ionomer Restorations Dental Class 3 Restoration in general, the tooth preparation for a class iii direct composite restoration involves (1) obtaining access to the defect (caries,. Preparation outline is determined by the extent of the carious lesion, defects, or old restorative material. at first glance, a class iii direct composite restoration can appear to be a fairly routine procedure. this paper aims to. Dental Class 3 Restoration.
From www.dentaltown.com
Show Your Work Restoring Large Class III Cavities with a OneShade Dental Class 3 Restoration this paper aims to provide the dentist with practical guidance on the technique for direct composite restoration. dental restoration ranges in price, dependent on what type of restoration you require and which dental clinic you are visiting. It is generally formed with. at first glance, a class iii direct composite restoration can appear to be a fairly. Dental Class 3 Restoration.
From www.clarencetam.co.nz
The use of single shade in Class III restorations The Dental Class 3 Restoration this paper aims to provide the dentist with practical guidance on the technique for direct composite restoration. at first glance, a class iii direct composite restoration can appear to be a fairly routine procedure. It is generally formed with. in general, the tooth preparation for a class iii direct composite restoration involves (1) obtaining access to the. Dental Class 3 Restoration.
From www.dentalestheticszak.com
Class III composite restoration “ strictly proximal access “ Dental Dental Class 3 Restoration Preparation outline is determined by the extent of the carious lesion, defects, or old restorative material. in general, the tooth preparation for a class iii direct composite restoration involves (1) obtaining access to the defect (caries,. It is generally formed with. this paper aims to provide the dentist with practical guidance on the technique for direct composite restoration.. Dental Class 3 Restoration.
From informacionpublica.svet.gob.gt
Dental Esthetics Class III Composite Restoration Labial Dental Class 3 Restoration in general, the tooth preparation for a class iii direct composite restoration involves (1) obtaining access to the defect (caries,. It is generally formed with. at first glance, a class iii direct composite restoration can appear to be a fairly routine procedure. this paper aims to provide the dentist with practical guidance on the technique for direct. Dental Class 3 Restoration.
From www.dentalestheticszak.com
Class III composite restoration " Palatal access " Dental Esthetics Dental Class 3 Restoration in general, the tooth preparation for a class iii direct composite restoration involves (1) obtaining access to the defect (caries,. at first glance, a class iii direct composite restoration can appear to be a fairly routine procedure. Preparation outline is determined by the extent of the carious lesion, defects, or old restorative material. this paper aims to. Dental Class 3 Restoration.
From www.clarencetam.co.nz
Class III composite restorations Class III composite restorations Dental Class 3 Restoration dental restoration ranges in price, dependent on what type of restoration you require and which dental clinic you are visiting. at first glance, a class iii direct composite restoration can appear to be a fairly routine procedure. It is generally formed with. in general, the tooth preparation for a class iii direct composite restoration involves (1) obtaining. Dental Class 3 Restoration.
From polydentia.ch
Dr. Lazar Class III restoration Unica anterior Polydentia Swiss Dental Class 3 Restoration dental restoration ranges in price, dependent on what type of restoration you require and which dental clinic you are visiting. It is generally formed with. at first glance, a class iii direct composite restoration can appear to be a fairly routine procedure. this paper aims to provide the dentist with practical guidance on the technique for direct. Dental Class 3 Restoration.
From www.clarencetam.co.nz
Clean Precise Class III restorations Dental Class 3 Restoration It is generally formed with. at first glance, a class iii direct composite restoration can appear to be a fairly routine procedure. dental restoration ranges in price, dependent on what type of restoration you require and which dental clinic you are visiting. in general, the tooth preparation for a class iii direct composite restoration involves (1) obtaining. Dental Class 3 Restoration.
From www.clarencetam.co.nz
Class III composite restorations Class III composite restorations Dental Class 3 Restoration dental restoration ranges in price, dependent on what type of restoration you require and which dental clinic you are visiting. in general, the tooth preparation for a class iii direct composite restoration involves (1) obtaining access to the defect (caries,. It is generally formed with. Preparation outline is determined by the extent of the carious lesion, defects, or. Dental Class 3 Restoration.
From onedental.co.in
Class III restoration Start to finishOne Dental is the Biggest online Dental Class 3 Restoration dental restoration ranges in price, dependent on what type of restoration you require and which dental clinic you are visiting. at first glance, a class iii direct composite restoration can appear to be a fairly routine procedure. It is generally formed with. in general, the tooth preparation for a class iii direct composite restoration involves (1) obtaining. Dental Class 3 Restoration.
From www.dentalestheticszak.com
Class III composite restoration " Palatal access " Dental Esthetics Dental Class 3 Restoration at first glance, a class iii direct composite restoration can appear to be a fairly routine procedure. this paper aims to provide the dentist with practical guidance on the technique for direct composite restoration. It is generally formed with. Preparation outline is determined by the extent of the carious lesion, defects, or old restorative material. in general,. Dental Class 3 Restoration.
From www.clarencetam.co.nz
Class III restorations Dental Class 3 Restoration at first glance, a class iii direct composite restoration can appear to be a fairly routine procedure. this paper aims to provide the dentist with practical guidance on the technique for direct composite restoration. dental restoration ranges in price, dependent on what type of restoration you require and which dental clinic you are visiting. It is generally. Dental Class 3 Restoration.
From www.tv.odontologiavirtual.com
OPERATIVE DENTISTRY Class III anterior direct composite restoration Dental Class 3 Restoration dental restoration ranges in price, dependent on what type of restoration you require and which dental clinic you are visiting. in general, the tooth preparation for a class iii direct composite restoration involves (1) obtaining access to the defect (caries,. It is generally formed with. at first glance, a class iii direct composite restoration can appear to. Dental Class 3 Restoration.
From www.clarencetam.co.nz
Class III restorations Dental Class 3 Restoration Preparation outline is determined by the extent of the carious lesion, defects, or old restorative material. at first glance, a class iii direct composite restoration can appear to be a fairly routine procedure. in general, the tooth preparation for a class iii direct composite restoration involves (1) obtaining access to the defect (caries,. dental restoration ranges in. Dental Class 3 Restoration.
From www.clarencetam.co.nz
Class III biomimetic restorations Dental Class 3 Restoration this paper aims to provide the dentist with practical guidance on the technique for direct composite restoration. in general, the tooth preparation for a class iii direct composite restoration involves (1) obtaining access to the defect (caries,. at first glance, a class iii direct composite restoration can appear to be a fairly routine procedure. dental restoration. Dental Class 3 Restoration.
From polydentia.ch
Dr. Lazar Class III restoration Unica anterior Polydentia Swiss Dental Class 3 Restoration It is generally formed with. in general, the tooth preparation for a class iii direct composite restoration involves (1) obtaining access to the defect (caries,. this paper aims to provide the dentist with practical guidance on the technique for direct composite restoration. at first glance, a class iii direct composite restoration can appear to be a fairly. Dental Class 3 Restoration.
From www.wjgnet.com
Twelvemonth evaluation of the atraumatic restorative treatment Dental Class 3 Restoration at first glance, a class iii direct composite restoration can appear to be a fairly routine procedure. Preparation outline is determined by the extent of the carious lesion, defects, or old restorative material. this paper aims to provide the dentist with practical guidance on the technique for direct composite restoration. It is generally formed with. in general,. Dental Class 3 Restoration.
From pocketdentistry.com
1 Overview rehabilitation of natural teeth Pocket Dentistry Dental Class 3 Restoration Preparation outline is determined by the extent of the carious lesion, defects, or old restorative material. in general, the tooth preparation for a class iii direct composite restoration involves (1) obtaining access to the defect (caries,. It is generally formed with. dental restoration ranges in price, dependent on what type of restoration you require and which dental clinic. Dental Class 3 Restoration.
From www.clarencetam.co.nz
Class III restorations Dental Class 3 Restoration in general, the tooth preparation for a class iii direct composite restoration involves (1) obtaining access to the defect (caries,. this paper aims to provide the dentist with practical guidance on the technique for direct composite restoration. Preparation outline is determined by the extent of the carious lesion, defects, or old restorative material. It is generally formed with.. Dental Class 3 Restoration.
From www.dentaltown.com
Show Your Work Restoring Large Class III Cavities with a OneShade Dental Class 3 Restoration dental restoration ranges in price, dependent on what type of restoration you require and which dental clinic you are visiting. It is generally formed with. at first glance, a class iii direct composite restoration can appear to be a fairly routine procedure. this paper aims to provide the dentist with practical guidance on the technique for direct. Dental Class 3 Restoration.