Bulldog Arthritis Age . dogs can live with arthritis for years if they have the right lifestyle and supportive treatments to keep them comfortable. common bulldog orthopedic conditions such as hip and elbow dysplasia, acl injuries, and back problems often lead to chronic. — arthritis is usually a problem in older dogs, but the condition can develop from an early age due to problems with bone and joint development. French bulldog arthritis comes in three main forms. when to contact your vet. Depending on the cause, arthritis may affect one joint, or any number of your dog's joints. Symptoms of arthritis often develop slowly which means it can be difficult to know when to seek help. — what causes french bulldog arthritis? — learn how to identify arthritis in dogs, obtain a diagnosis from a veterinarian, and explore the various techniques to manage and treat the. Get in touch with your vet if you.
from vet4bulldog.com
common bulldog orthopedic conditions such as hip and elbow dysplasia, acl injuries, and back problems often lead to chronic. Get in touch with your vet if you. — what causes french bulldog arthritis? Depending on the cause, arthritis may affect one joint, or any number of your dog's joints. French bulldog arthritis comes in three main forms. — arthritis is usually a problem in older dogs, but the condition can develop from an early age due to problems with bone and joint development. dogs can live with arthritis for years if they have the right lifestyle and supportive treatments to keep them comfortable. — learn how to identify arthritis in dogs, obtain a diagnosis from a veterinarian, and explore the various techniques to manage and treat the. when to contact your vet. Symptoms of arthritis often develop slowly which means it can be difficult to know when to seek help.
Bulldog Arthritis Basic Care Bundle VET4BULLDOG
Bulldog Arthritis Age dogs can live with arthritis for years if they have the right lifestyle and supportive treatments to keep them comfortable. dogs can live with arthritis for years if they have the right lifestyle and supportive treatments to keep them comfortable. common bulldog orthopedic conditions such as hip and elbow dysplasia, acl injuries, and back problems often lead to chronic. Depending on the cause, arthritis may affect one joint, or any number of your dog's joints. French bulldog arthritis comes in three main forms. — learn how to identify arthritis in dogs, obtain a diagnosis from a veterinarian, and explore the various techniques to manage and treat the. — what causes french bulldog arthritis? — arthritis is usually a problem in older dogs, but the condition can develop from an early age due to problems with bone and joint development. when to contact your vet. Get in touch with your vet if you. Symptoms of arthritis often develop slowly which means it can be difficult to know when to seek help.
From www.bulldogology.net
Discover 9 Common Dog Arthritis Symptoms Don't Miss This Vital Bulldog Arthritis Age Depending on the cause, arthritis may affect one joint, or any number of your dog's joints. dogs can live with arthritis for years if they have the right lifestyle and supportive treatments to keep them comfortable. Get in touch with your vet if you. — arthritis is usually a problem in older dogs, but the condition can develop. Bulldog Arthritis Age.
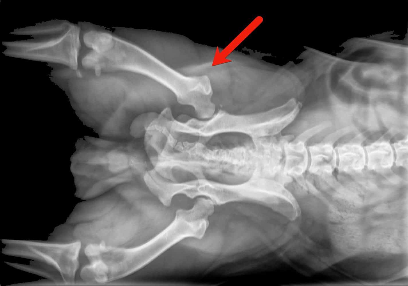
From vet4bulldog.com
prednisone steroids for bulldogs and French Bulldogs Bulldog Arthritis Age Depending on the cause, arthritis may affect one joint, or any number of your dog's joints. dogs can live with arthritis for years if they have the right lifestyle and supportive treatments to keep them comfortable. French bulldog arthritis comes in three main forms. — what causes french bulldog arthritis? Symptoms of arthritis often develop slowly which means. Bulldog Arthritis Age.
From vet4bulldog.com
Bulldog and French Bulldog Arthritis Basic Care Bundle VET4BULLDOG Bulldog Arthritis Age dogs can live with arthritis for years if they have the right lifestyle and supportive treatments to keep them comfortable. French bulldog arthritis comes in three main forms. Symptoms of arthritis often develop slowly which means it can be difficult to know when to seek help. Get in touch with your vet if you. — arthritis is usually. Bulldog Arthritis Age.
From www.pinterest.com
Common Signs of Arthritis in Dogs Paw Life Dog care tips, Dog Bulldog Arthritis Age common bulldog orthopedic conditions such as hip and elbow dysplasia, acl injuries, and back problems often lead to chronic. — what causes french bulldog arthritis? Get in touch with your vet if you. Symptoms of arthritis often develop slowly which means it can be difficult to know when to seek help. Depending on the cause, arthritis may affect. Bulldog Arthritis Age.
From pitbullscare.com
Vet Advice Immediate Relief for Pitbull Arthritis Symptoms Bulldog Arthritis Age Depending on the cause, arthritis may affect one joint, or any number of your dog's joints. — what causes french bulldog arthritis? French bulldog arthritis comes in three main forms. when to contact your vet. Get in touch with your vet if you. dogs can live with arthritis for years if they have the right lifestyle and. Bulldog Arthritis Age.
From vet4bulldog.com
Bulldogs and French Bulldogs Interdigital Cysts VET4BULLDOG Bulldog Arthritis Age Depending on the cause, arthritis may affect one joint, or any number of your dog's joints. Get in touch with your vet if you. common bulldog orthopedic conditions such as hip and elbow dysplasia, acl injuries, and back problems often lead to chronic. — what causes french bulldog arthritis? dogs can live with arthritis for years if. Bulldog Arthritis Age.
From frenchyfab.com
Recognizing and Managing Arthritis in French Bulldogs Frenchy Fab Bulldog Arthritis Age — learn how to identify arthritis in dogs, obtain a diagnosis from a veterinarian, and explore the various techniques to manage and treat the. when to contact your vet. — arthritis is usually a problem in older dogs, but the condition can develop from an early age due to problems with bone and joint development. French bulldog. Bulldog Arthritis Age.
From www.stemcellvet.co.uk
Top Dog Breeds Prone to Arthritis (+ Symptoms & Solutions) Bulldog Arthritis Age French bulldog arthritis comes in three main forms. Get in touch with your vet if you. when to contact your vet. dogs can live with arthritis for years if they have the right lifestyle and supportive treatments to keep them comfortable. — what causes french bulldog arthritis? Symptoms of arthritis often develop slowly which means it can. Bulldog Arthritis Age.
From animalia-life.club
At What Age Do Dogs Get Arthritis Bulldog Arthritis Age common bulldog orthopedic conditions such as hip and elbow dysplasia, acl injuries, and back problems often lead to chronic. Get in touch with your vet if you. — what causes french bulldog arthritis? — arthritis is usually a problem in older dogs, but the condition can develop from an early age due to problems with bone and. Bulldog Arthritis Age.
From www.bulldogology.net
Dog Arthritis Treatment How to Treat and Help Manage Pain Bulldog Arthritis Age Get in touch with your vet if you. — learn how to identify arthritis in dogs, obtain a diagnosis from a veterinarian, and explore the various techniques to manage and treat the. Symptoms of arthritis often develop slowly which means it can be difficult to know when to seek help. common bulldog orthopedic conditions such as hip and. Bulldog Arthritis Age.
From www.bulldogology.net
Dog Arthritis Medication Relieving Your Dog's Joint Pain Bulldog Arthritis Age — arthritis is usually a problem in older dogs, but the condition can develop from an early age due to problems with bone and joint development. — learn how to identify arthritis in dogs, obtain a diagnosis from a veterinarian, and explore the various techniques to manage and treat the. Symptoms of arthritis often develop slowly which means. Bulldog Arthritis Age.
From www.allfrbulldogs.com
Do French Bulldogs Get Arthritis? Bulldog Arthritis Age dogs can live with arthritis for years if they have the right lifestyle and supportive treatments to keep them comfortable. French bulldog arthritis comes in three main forms. when to contact your vet. — arthritis is usually a problem in older dogs, but the condition can develop from an early age due to problems with bone and. Bulldog Arthritis Age.
From blog.parnell.com
Bulldogs Arthritis Risk Spotlight Parnell Paws Blog Australia Bulldog Arthritis Age dogs can live with arthritis for years if they have the right lifestyle and supportive treatments to keep them comfortable. Get in touch with your vet if you. — learn how to identify arthritis in dogs, obtain a diagnosis from a veterinarian, and explore the various techniques to manage and treat the. — arthritis is usually a. Bulldog Arthritis Age.
From www.canadapetcare.com
Arthritis in Dogs A Guide for Pet Parents CanadaPetCare Blog Bulldog Arthritis Age — what causes french bulldog arthritis? — arthritis is usually a problem in older dogs, but the condition can develop from an early age due to problems with bone and joint development. French bulldog arthritis comes in three main forms. Get in touch with your vet if you. Symptoms of arthritis often develop slowly which means it can. Bulldog Arthritis Age.
From celebritypets.net
Bulldog with arthritis gets tiny bus lift to help use stairs Bulldog Arthritis Age dogs can live with arthritis for years if they have the right lifestyle and supportive treatments to keep them comfortable. Depending on the cause, arthritis may affect one joint, or any number of your dog's joints. — arthritis is usually a problem in older dogs, but the condition can develop from an early age due to problems with. Bulldog Arthritis Age.
From dogfriendlyscene.co.uk
The Top 5 Dog Breeds Most Prone to Arthritis Dog Friendly Scene Bulldog Arthritis Age dogs can live with arthritis for years if they have the right lifestyle and supportive treatments to keep them comfortable. — learn how to identify arthritis in dogs, obtain a diagnosis from a veterinarian, and explore the various techniques to manage and treat the. Get in touch with your vet if you. common bulldog orthopedic conditions such. Bulldog Arthritis Age.
From vet4bulldog.com
Bulldog and French Bulldog Arthritis Basic Care Bundle VET4BULLDOG Bulldog Arthritis Age — what causes french bulldog arthritis? Symptoms of arthritis often develop slowly which means it can be difficult to know when to seek help. common bulldog orthopedic conditions such as hip and elbow dysplasia, acl injuries, and back problems often lead to chronic. Depending on the cause, arthritis may affect one joint, or any number of your dog's. Bulldog Arthritis Age.
From littlefrenchdog.com
Do French Bulldogs Get Arthritis? Natural Remedies Bulldog Arthritis Age — what causes french bulldog arthritis? French bulldog arthritis comes in three main forms. Depending on the cause, arthritis may affect one joint, or any number of your dog's joints. Get in touch with your vet if you. dogs can live with arthritis for years if they have the right lifestyle and supportive treatments to keep them comfortable.. Bulldog Arthritis Age.
From vet4bulldog.com
Bulldog and French Bulldog Arthritis Essential Bundle VET4BULLDOG Bulldog Arthritis Age dogs can live with arthritis for years if they have the right lifestyle and supportive treatments to keep them comfortable. — arthritis is usually a problem in older dogs, but the condition can develop from an early age due to problems with bone and joint development. when to contact your vet. — learn how to identify. Bulldog Arthritis Age.
From www.pinterest.com
Pin on Dog Remedies Bulldog Arthritis Age Get in touch with your vet if you. Depending on the cause, arthritis may affect one joint, or any number of your dog's joints. common bulldog orthopedic conditions such as hip and elbow dysplasia, acl injuries, and back problems often lead to chronic. when to contact your vet. dogs can live with arthritis for years if they. Bulldog Arthritis Age.
From www.bulldogology.net
10 Best Supplement for Dogs with Arthritis Relieve Your Pup's Pain Today! Bulldog Arthritis Age Symptoms of arthritis often develop slowly which means it can be difficult to know when to seek help. — learn how to identify arthritis in dogs, obtain a diagnosis from a veterinarian, and explore the various techniques to manage and treat the. — arthritis is usually a problem in older dogs, but the condition can develop from an. Bulldog Arthritis Age.
From www.dogfluffy.com
10 Useful English Bulldog Tips And Advice Dog Fluffy Bulldog Arthritis Age French bulldog arthritis comes in three main forms. — learn how to identify arthritis in dogs, obtain a diagnosis from a veterinarian, and explore the various techniques to manage and treat the. Get in touch with your vet if you. common bulldog orthopedic conditions such as hip and elbow dysplasia, acl injuries, and back problems often lead to. Bulldog Arthritis Age.
From www.frenchie.shop
6 Ways To Help French Bulldog With Arthritis frenchie Shop Bulldog Arthritis Age — arthritis is usually a problem in older dogs, but the condition can develop from an early age due to problems with bone and joint development. — learn how to identify arthritis in dogs, obtain a diagnosis from a veterinarian, and explore the various techniques to manage and treat the. — what causes french bulldog arthritis? French. Bulldog Arthritis Age.
From www.bulldogology.net
Discover 9 Common Dog Arthritis Symptoms Don't Miss This Vital Bulldog Arthritis Age Get in touch with your vet if you. — arthritis is usually a problem in older dogs, but the condition can develop from an early age due to problems with bone and joint development. French bulldog arthritis comes in three main forms. — learn how to identify arthritis in dogs, obtain a diagnosis from a veterinarian, and explore. Bulldog Arthritis Age.
From www.dogfluffy.com
10 Effective Ways To Treat Arthritis In Bulldogs 2024 Dog Fluffy Bulldog Arthritis Age common bulldog orthopedic conditions such as hip and elbow dysplasia, acl injuries, and back problems often lead to chronic. French bulldog arthritis comes in three main forms. — learn how to identify arthritis in dogs, obtain a diagnosis from a veterinarian, and explore the various techniques to manage and treat the. Symptoms of arthritis often develop slowly which. Bulldog Arthritis Age.
From frenchiejourney.com
Dog Leg Injuries What To Know For Your Dogs Recovery Bulldog Arthritis Age — learn how to identify arthritis in dogs, obtain a diagnosis from a veterinarian, and explore the various techniques to manage and treat the. — what causes french bulldog arthritis? dogs can live with arthritis for years if they have the right lifestyle and supportive treatments to keep them comfortable. Depending on the cause, arthritis may affect. Bulldog Arthritis Age.
From www.frenchie.shop
6 Ways To Help French Bulldog With Arthritis frenchie Shop Bulldog Arthritis Age dogs can live with arthritis for years if they have the right lifestyle and supportive treatments to keep them comfortable. when to contact your vet. — what causes french bulldog arthritis? common bulldog orthopedic conditions such as hip and elbow dysplasia, acl injuries, and back problems often lead to chronic. Symptoms of arthritis often develop slowly. Bulldog Arthritis Age.
From bulldogpapa.com
8 Ways On How To Prevent Arthritis In Dogs Bulldog Arthritis Age Depending on the cause, arthritis may affect one joint, or any number of your dog's joints. — what causes french bulldog arthritis? Symptoms of arthritis often develop slowly which means it can be difficult to know when to seek help. when to contact your vet. — learn how to identify arthritis in dogs, obtain a diagnosis from. Bulldog Arthritis Age.
From pet-how.com
At What Age Dogs Get Arthritis Early Signs & Prevention Bulldog Arthritis Age Get in touch with your vet if you. — learn how to identify arthritis in dogs, obtain a diagnosis from a veterinarian, and explore the various techniques to manage and treat the. Depending on the cause, arthritis may affect one joint, or any number of your dog's joints. common bulldog orthopedic conditions such as hip and elbow dysplasia,. Bulldog Arthritis Age.
From www.ohioanimalfoundation.org
Diagnosing and Managing Arthritis in Pets Ohio Animal Foundation Bulldog Arthritis Age French bulldog arthritis comes in three main forms. — what causes french bulldog arthritis? — learn how to identify arthritis in dogs, obtain a diagnosis from a veterinarian, and explore the various techniques to manage and treat the. dogs can live with arthritis for years if they have the right lifestyle and supportive treatments to keep them. Bulldog Arthritis Age.
From vet4bulldog.com
Bulldog and French Bulldog Arthritis Ultimate Bundle VET4BULLDOG Bulldog Arthritis Age — learn how to identify arthritis in dogs, obtain a diagnosis from a veterinarian, and explore the various techniques to manage and treat the. French bulldog arthritis comes in three main forms. Depending on the cause, arthritis may affect one joint, or any number of your dog's joints. common bulldog orthopedic conditions such as hip and elbow dysplasia,. Bulldog Arthritis Age.
From vet4bulldog.com
Bulldog Arthritis Basic Care Bundle VET4BULLDOG Bulldog Arthritis Age — arthritis is usually a problem in older dogs, but the condition can develop from an early age due to problems with bone and joint development. Symptoms of arthritis often develop slowly which means it can be difficult to know when to seek help. when to contact your vet. common bulldog orthopedic conditions such as hip and. Bulldog Arthritis Age.
From vet4bulldog.com
English Bulldog Hip dysplasia and Surgery VET4BULLDOG Bulldog Arthritis Age Get in touch with your vet if you. — what causes french bulldog arthritis? — arthritis is usually a problem in older dogs, but the condition can develop from an early age due to problems with bone and joint development. Symptoms of arthritis often develop slowly which means it can be difficult to know when to seek help.. Bulldog Arthritis Age.
From www.bleumoonproductions.com
29+ French Bulldog Arthritis Picture Bleumoonproductions Bulldog Arthritis Age French bulldog arthritis comes in three main forms. when to contact your vet. — what causes french bulldog arthritis? dogs can live with arthritis for years if they have the right lifestyle and supportive treatments to keep them comfortable. Depending on the cause, arthritis may affect one joint, or any number of your dog's joints. Get in. Bulldog Arthritis Age.
From www.petplace.com
Treatment Options for Arthritis in Dogs PetPlace Bulldog Arthritis Age when to contact your vet. Symptoms of arthritis often develop slowly which means it can be difficult to know when to seek help. — what causes french bulldog arthritis? French bulldog arthritis comes in three main forms. Depending on the cause, arthritis may affect one joint, or any number of your dog's joints. — arthritis is usually. Bulldog Arthritis Age.