Spindle Cell Tumor Dog . Learn about spindle cell tumors, a type of cancer that affects the connective tissue around your dog's body. Treating spindle cell tumors in dogs requires a multifaceted approach that includes surgery, radiation, chemotherapy, and supportive. Find out how to identify, treat and prevent. Learn about spindle cell sarcoma, a cancerous tumor that forms from soft cells in the mesodermal tissue. Learn about spindle cell tumors, a type of soft tissue sarcoma that can affect dogs of any age and breed. Learn about the types, causes, and treatments of connective tissue tumors in dogs, cats, and large animals. Find out the common types, symptoms, diagnosis methods, and treatment options for these tumors. Find out the causes, symptoms, diagnosis and.
from
Find out the causes, symptoms, diagnosis and. Learn about spindle cell sarcoma, a cancerous tumor that forms from soft cells in the mesodermal tissue. Find out the common types, symptoms, diagnosis methods, and treatment options for these tumors. Find out how to identify, treat and prevent. Treating spindle cell tumors in dogs requires a multifaceted approach that includes surgery, radiation, chemotherapy, and supportive. Learn about spindle cell tumors, a type of cancer that affects the connective tissue around your dog's body. Learn about the types, causes, and treatments of connective tissue tumors in dogs, cats, and large animals. Learn about spindle cell tumors, a type of soft tissue sarcoma that can affect dogs of any age and breed.
Spindle Cell Tumor Dog Treating spindle cell tumors in dogs requires a multifaceted approach that includes surgery, radiation, chemotherapy, and supportive. Find out how to identify, treat and prevent. Learn about spindle cell tumors, a type of cancer that affects the connective tissue around your dog's body. Learn about spindle cell sarcoma, a cancerous tumor that forms from soft cells in the mesodermal tissue. Learn about the types, causes, and treatments of connective tissue tumors in dogs, cats, and large animals. Find out the common types, symptoms, diagnosis methods, and treatment options for these tumors. Find out the causes, symptoms, diagnosis and. Treating spindle cell tumors in dogs requires a multifaceted approach that includes surgery, radiation, chemotherapy, and supportive. Learn about spindle cell tumors, a type of soft tissue sarcoma that can affect dogs of any age and breed.
From
Spindle Cell Tumor Dog Treating spindle cell tumors in dogs requires a multifaceted approach that includes surgery, radiation, chemotherapy, and supportive. Learn about spindle cell tumors, a type of cancer that affects the connective tissue around your dog's body. Find out how to identify, treat and prevent. Learn about spindle cell sarcoma, a cancerous tumor that forms from soft cells in the mesodermal tissue.. Spindle Cell Tumor Dog.
From
Spindle Cell Tumor Dog Find out the common types, symptoms, diagnosis methods, and treatment options for these tumors. Find out how to identify, treat and prevent. Learn about the types, causes, and treatments of connective tissue tumors in dogs, cats, and large animals. Learn about spindle cell sarcoma, a cancerous tumor that forms from soft cells in the mesodermal tissue. Treating spindle cell tumors. Spindle Cell Tumor Dog.
From kikoxp.com
Spindle Cell Neoplasm Pathology 101 Undifferentiated pleomorphic Spindle Cell Tumor Dog Learn about the types, causes, and treatments of connective tissue tumors in dogs, cats, and large animals. Find out how to identify, treat and prevent. Learn about spindle cell tumors, a type of cancer that affects the connective tissue around your dog's body. Treating spindle cell tumors in dogs requires a multifaceted approach that includes surgery, radiation, chemotherapy, and supportive.. Spindle Cell Tumor Dog.
From
Spindle Cell Tumor Dog Learn about spindle cell sarcoma, a cancerous tumor that forms from soft cells in the mesodermal tissue. Find out the causes, symptoms, diagnosis and. Find out how to identify, treat and prevent. Treating spindle cell tumors in dogs requires a multifaceted approach that includes surgery, radiation, chemotherapy, and supportive. Learn about spindle cell tumors, a type of cancer that affects. Spindle Cell Tumor Dog.
From
Spindle Cell Tumor Dog Find out how to identify, treat and prevent. Learn about spindle cell tumors, a type of cancer that affects the connective tissue around your dog's body. Treating spindle cell tumors in dogs requires a multifaceted approach that includes surgery, radiation, chemotherapy, and supportive. Learn about spindle cell tumors, a type of soft tissue sarcoma that can affect dogs of any. Spindle Cell Tumor Dog.
From journals.sagepub.com
The Diagnosis and Prognosis of Synovial Tumors in Dogs 35 Cases L. E Spindle Cell Tumor Dog Learn about spindle cell sarcoma, a cancerous tumor that forms from soft cells in the mesodermal tissue. Find out how to identify, treat and prevent. Learn about spindle cell tumors, a type of cancer that affects the connective tissue around your dog's body. Find out the causes, symptoms, diagnosis and. Find out the common types, symptoms, diagnosis methods, and treatment. Spindle Cell Tumor Dog.
From
Spindle Cell Tumor Dog Find out the causes, symptoms, diagnosis and. Find out the common types, symptoms, diagnosis methods, and treatment options for these tumors. Find out how to identify, treat and prevent. Learn about spindle cell sarcoma, a cancerous tumor that forms from soft cells in the mesodermal tissue. Learn about spindle cell tumors, a type of soft tissue sarcoma that can affect. Spindle Cell Tumor Dog.
From
Spindle Cell Tumor Dog Treating spindle cell tumors in dogs requires a multifaceted approach that includes surgery, radiation, chemotherapy, and supportive. Find out how to identify, treat and prevent. Learn about the types, causes, and treatments of connective tissue tumors in dogs, cats, and large animals. Learn about spindle cell tumors, a type of soft tissue sarcoma that can affect dogs of any age. Spindle Cell Tumor Dog.
From
Spindle Cell Tumor Dog Find out the causes, symptoms, diagnosis and. Find out the common types, symptoms, diagnosis methods, and treatment options for these tumors. Learn about spindle cell sarcoma, a cancerous tumor that forms from soft cells in the mesodermal tissue. Learn about the types, causes, and treatments of connective tissue tumors in dogs, cats, and large animals. Learn about spindle cell tumors,. Spindle Cell Tumor Dog.
From
Spindle Cell Tumor Dog Learn about the types, causes, and treatments of connective tissue tumors in dogs, cats, and large animals. Learn about spindle cell tumors, a type of cancer that affects the connective tissue around your dog's body. Find out how to identify, treat and prevent. Find out the common types, symptoms, diagnosis methods, and treatment options for these tumors. Learn about spindle. Spindle Cell Tumor Dog.
From
Spindle Cell Tumor Dog Find out how to identify, treat and prevent. Learn about spindle cell tumors, a type of soft tissue sarcoma that can affect dogs of any age and breed. Find out the causes, symptoms, diagnosis and. Learn about spindle cell sarcoma, a cancerous tumor that forms from soft cells in the mesodermal tissue. Learn about the types, causes, and treatments of. Spindle Cell Tumor Dog.
From
Spindle Cell Tumor Dog Find out the common types, symptoms, diagnosis methods, and treatment options for these tumors. Find out the causes, symptoms, diagnosis and. Treating spindle cell tumors in dogs requires a multifaceted approach that includes surgery, radiation, chemotherapy, and supportive. Learn about spindle cell tumors, a type of cancer that affects the connective tissue around your dog's body. Find out how to. Spindle Cell Tumor Dog.
From
Spindle Cell Tumor Dog Treating spindle cell tumors in dogs requires a multifaceted approach that includes surgery, radiation, chemotherapy, and supportive. Find out the causes, symptoms, diagnosis and. Learn about the types, causes, and treatments of connective tissue tumors in dogs, cats, and large animals. Learn about spindle cell tumors, a type of cancer that affects the connective tissue around your dog's body. Find. Spindle Cell Tumor Dog.
From
Spindle Cell Tumor Dog Find out the causes, symptoms, diagnosis and. Learn about spindle cell tumors, a type of cancer that affects the connective tissue around your dog's body. Learn about spindle cell tumors, a type of soft tissue sarcoma that can affect dogs of any age and breed. Learn about spindle cell sarcoma, a cancerous tumor that forms from soft cells in the. Spindle Cell Tumor Dog.
From
Spindle Cell Tumor Dog Find out the common types, symptoms, diagnosis methods, and treatment options for these tumors. Find out how to identify, treat and prevent. Learn about spindle cell tumors, a type of cancer that affects the connective tissue around your dog's body. Learn about spindle cell sarcoma, a cancerous tumor that forms from soft cells in the mesodermal tissue. Learn about spindle. Spindle Cell Tumor Dog.
From
Spindle Cell Tumor Dog Treating spindle cell tumors in dogs requires a multifaceted approach that includes surgery, radiation, chemotherapy, and supportive. Learn about spindle cell tumors, a type of cancer that affects the connective tissue around your dog's body. Learn about spindle cell sarcoma, a cancerous tumor that forms from soft cells in the mesodermal tissue. Learn about the types, causes, and treatments of. Spindle Cell Tumor Dog.
From jcp.bmj.com
Rare and unusual spindle cell tumour Journal of Clinical Pathology Spindle Cell Tumor Dog Find out how to identify, treat and prevent. Learn about spindle cell sarcoma, a cancerous tumor that forms from soft cells in the mesodermal tissue. Learn about the types, causes, and treatments of connective tissue tumors in dogs, cats, and large animals. Learn about spindle cell tumors, a type of soft tissue sarcoma that can affect dogs of any age. Spindle Cell Tumor Dog.
From www.alphapaw.com
Mast Cell Tumors In Dogs Here's What You Should Know Spindle Cell Tumor Dog Find out how to identify, treat and prevent. Find out the common types, symptoms, diagnosis methods, and treatment options for these tumors. Learn about the types, causes, and treatments of connective tissue tumors in dogs, cats, and large animals. Find out the causes, symptoms, diagnosis and. Treating spindle cell tumors in dogs requires a multifaceted approach that includes surgery, radiation,. Spindle Cell Tumor Dog.
From
Spindle Cell Tumor Dog Learn about spindle cell tumors, a type of cancer that affects the connective tissue around your dog's body. Learn about spindle cell sarcoma, a cancerous tumor that forms from soft cells in the mesodermal tissue. Find out how to identify, treat and prevent. Learn about spindle cell tumors, a type of soft tissue sarcoma that can affect dogs of any. Spindle Cell Tumor Dog.
From
Spindle Cell Tumor Dog Find out the causes, symptoms, diagnosis and. Find out the common types, symptoms, diagnosis methods, and treatment options for these tumors. Learn about spindle cell sarcoma, a cancerous tumor that forms from soft cells in the mesodermal tissue. Learn about spindle cell tumors, a type of cancer that affects the connective tissue around your dog's body. Learn about spindle cell. Spindle Cell Tumor Dog.
From
Spindle Cell Tumor Dog Treating spindle cell tumors in dogs requires a multifaceted approach that includes surgery, radiation, chemotherapy, and supportive. Learn about the types, causes, and treatments of connective tissue tumors in dogs, cats, and large animals. Find out the common types, symptoms, diagnosis methods, and treatment options for these tumors. Learn about spindle cell tumors, a type of cancer that affects the. Spindle Cell Tumor Dog.
From
Spindle Cell Tumor Dog Learn about spindle cell sarcoma, a cancerous tumor that forms from soft cells in the mesodermal tissue. Learn about the types, causes, and treatments of connective tissue tumors in dogs, cats, and large animals. Learn about spindle cell tumors, a type of cancer that affects the connective tissue around your dog's body. Find out the common types, symptoms, diagnosis methods,. Spindle Cell Tumor Dog.
From
Spindle Cell Tumor Dog Learn about spindle cell tumors, a type of cancer that affects the connective tissue around your dog's body. Learn about spindle cell sarcoma, a cancerous tumor that forms from soft cells in the mesodermal tissue. Find out the common types, symptoms, diagnosis methods, and treatment options for these tumors. Find out how to identify, treat and prevent. Learn about spindle. Spindle Cell Tumor Dog.
From mp.uscap.org
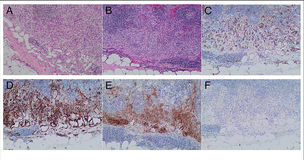
Adult NTRKrearranged spindle cell neoplasms of the viscera with an Spindle Cell Tumor Dog Treating spindle cell tumors in dogs requires a multifaceted approach that includes surgery, radiation, chemotherapy, and supportive. Learn about the types, causes, and treatments of connective tissue tumors in dogs, cats, and large animals. Learn about spindle cell sarcoma, a cancerous tumor that forms from soft cells in the mesodermal tissue. Find out how to identify, treat and prevent. Find. Spindle Cell Tumor Dog.
From
Spindle Cell Tumor Dog Find out how to identify, treat and prevent. Treating spindle cell tumors in dogs requires a multifaceted approach that includes surgery, radiation, chemotherapy, and supportive. Learn about the types, causes, and treatments of connective tissue tumors in dogs, cats, and large animals. Learn about spindle cell tumors, a type of soft tissue sarcoma that can affect dogs of any age. Spindle Cell Tumor Dog.
From
Spindle Cell Tumor Dog Find out the causes, symptoms, diagnosis and. Find out how to identify, treat and prevent. Learn about spindle cell tumors, a type of cancer that affects the connective tissue around your dog's body. Treating spindle cell tumors in dogs requires a multifaceted approach that includes surgery, radiation, chemotherapy, and supportive. Learn about spindle cell sarcoma, a cancerous tumor that forms. Spindle Cell Tumor Dog.
From
Spindle Cell Tumor Dog Find out the causes, symptoms, diagnosis and. Find out the common types, symptoms, diagnosis methods, and treatment options for these tumors. Learn about spindle cell tumors, a type of soft tissue sarcoma that can affect dogs of any age and breed. Learn about spindle cell tumors, a type of cancer that affects the connective tissue around your dog's body. Learn. Spindle Cell Tumor Dog.
From
Spindle Cell Tumor Dog Find out the common types, symptoms, diagnosis methods, and treatment options for these tumors. Learn about spindle cell tumors, a type of cancer that affects the connective tissue around your dog's body. Learn about the types, causes, and treatments of connective tissue tumors in dogs, cats, and large animals. Treating spindle cell tumors in dogs requires a multifaceted approach that. Spindle Cell Tumor Dog.
From www.mdpi.com
Dermatopathology Free FullText Update on Superficial Spindle Cell Spindle Cell Tumor Dog Learn about spindle cell sarcoma, a cancerous tumor that forms from soft cells in the mesodermal tissue. Learn about spindle cell tumors, a type of soft tissue sarcoma that can affect dogs of any age and breed. Learn about spindle cell tumors, a type of cancer that affects the connective tissue around your dog's body. Find out how to identify,. Spindle Cell Tumor Dog.
From
Spindle Cell Tumor Dog Learn about the types, causes, and treatments of connective tissue tumors in dogs, cats, and large animals. Find out the causes, symptoms, diagnosis and. Find out how to identify, treat and prevent. Treating spindle cell tumors in dogs requires a multifaceted approach that includes surgery, radiation, chemotherapy, and supportive. Learn about spindle cell sarcoma, a cancerous tumor that forms from. Spindle Cell Tumor Dog.
From
Spindle Cell Tumor Dog Learn about spindle cell sarcoma, a cancerous tumor that forms from soft cells in the mesodermal tissue. Treating spindle cell tumors in dogs requires a multifaceted approach that includes surgery, radiation, chemotherapy, and supportive. Learn about spindle cell tumors, a type of soft tissue sarcoma that can affect dogs of any age and breed. Learn about the types, causes, and. Spindle Cell Tumor Dog.
From mesotheliomasociety.web.fc2.com
Diagrama De Causa Efeito Ou Diagrama De Ishikawa Spindle Cell Tumor Dog Find out the common types, symptoms, diagnosis methods, and treatment options for these tumors. Find out the causes, symptoms, diagnosis and. Learn about spindle cell sarcoma, a cancerous tumor that forms from soft cells in the mesodermal tissue. Learn about spindle cell tumors, a type of soft tissue sarcoma that can affect dogs of any age and breed. Find out. Spindle Cell Tumor Dog.
From
Spindle Cell Tumor Dog Find out the causes, symptoms, diagnosis and. Treating spindle cell tumors in dogs requires a multifaceted approach that includes surgery, radiation, chemotherapy, and supportive. Find out how to identify, treat and prevent. Learn about spindle cell tumors, a type of cancer that affects the connective tissue around your dog's body. Learn about the types, causes, and treatments of connective tissue. Spindle Cell Tumor Dog.
From
Spindle Cell Tumor Dog Learn about spindle cell sarcoma, a cancerous tumor that forms from soft cells in the mesodermal tissue. Find out how to identify, treat and prevent. Find out the common types, symptoms, diagnosis methods, and treatment options for these tumors. Find out the causes, symptoms, diagnosis and. Learn about spindle cell tumors, a type of cancer that affects the connective tissue. Spindle Cell Tumor Dog.
From
Spindle Cell Tumor Dog Learn about the types, causes, and treatments of connective tissue tumors in dogs, cats, and large animals. Learn about spindle cell tumors, a type of soft tissue sarcoma that can affect dogs of any age and breed. Find out the causes, symptoms, diagnosis and. Learn about spindle cell tumors, a type of cancer that affects the connective tissue around your. Spindle Cell Tumor Dog.