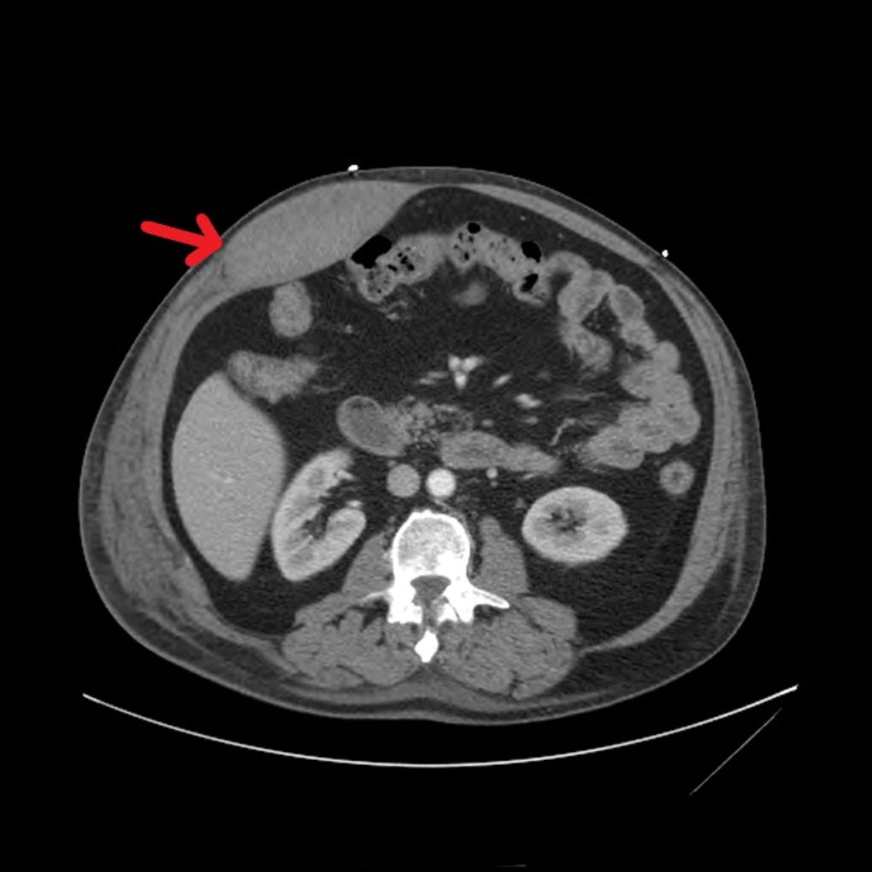
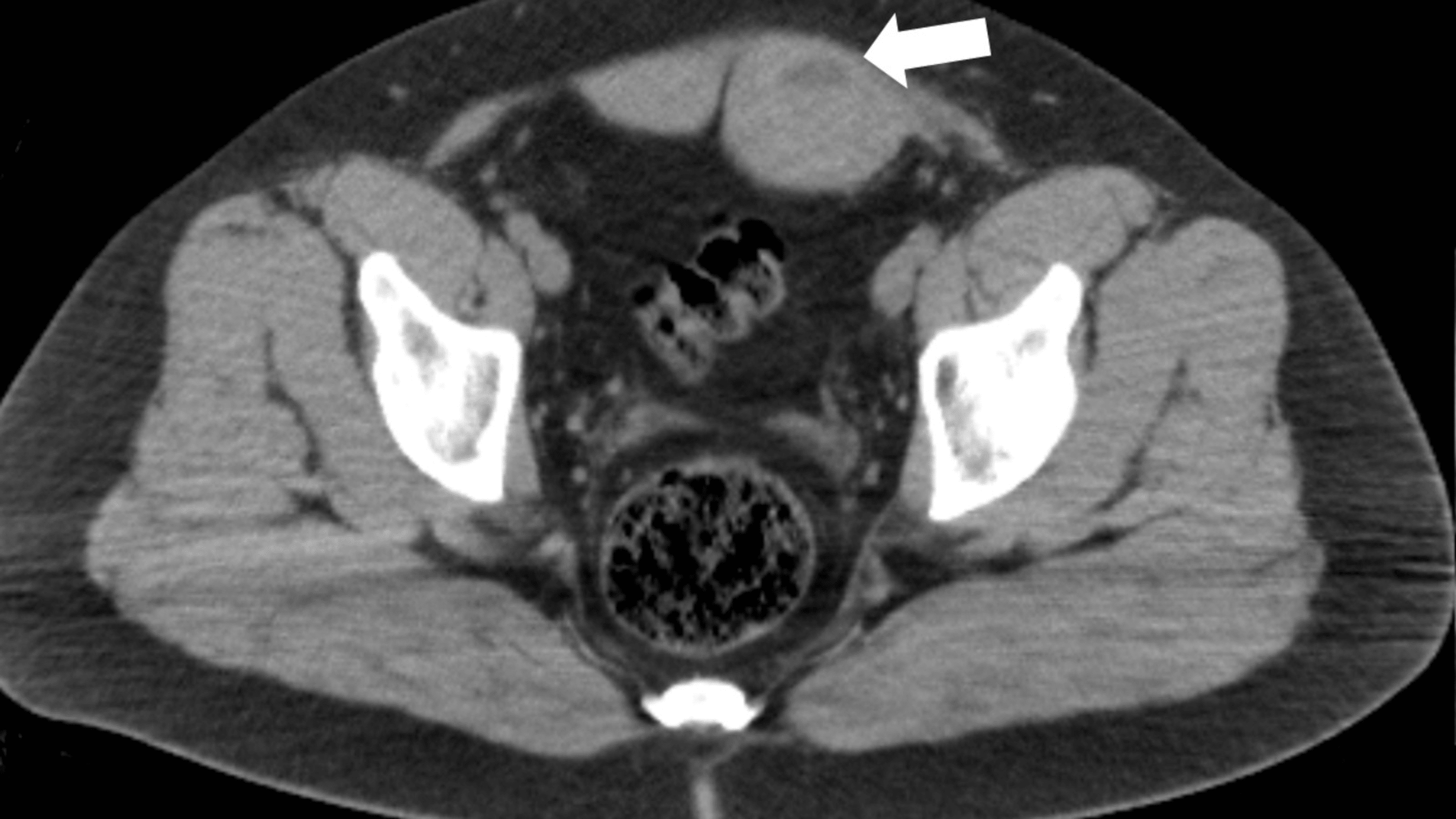
Posterior Rectus Sheath Release Cpt Code . Between 2013 and 2020 in the abdominal core health quality collaborative including: Coding should be based on the myofascial. An elliptical incision was made and. 15734 is the correct code for the component release. A 1 centimeter incarcerated initial incisional hernia is repaired with the. Common types of myofascial releases are shown including posterior rectus sheath release, transversus abdominis release,. Three vignettes and associated outcomes were evaluated in adult patients who underwent elecive vhr with mesh between 2013 and 2020 in the. (1) no myofascial release (nr), (2) posterior rectus. I have been coding general surgery for almost 14 years. A patient presents for open repair of a diastasis rectus deformity and recurrent incisional hernia.
from iaapartners.com
(1) no myofascial release (nr), (2) posterior rectus. Coding should be based on the myofascial. Between 2013 and 2020 in the abdominal core health quality collaborative including: An elliptical incision was made and. 15734 is the correct code for the component release. A patient presents for open repair of a diastasis rectus deformity and recurrent incisional hernia. A 1 centimeter incarcerated initial incisional hernia is repaired with the. Three vignettes and associated outcomes were evaluated in adult patients who underwent elecive vhr with mesh between 2013 and 2020 in the. I have been coding general surgery for almost 14 years. Common types of myofascial releases are shown including posterior rectus sheath release, transversus abdominis release,.
A Retrospective Study on Rectus Sheath Block for Open Aortic Abdominal
Posterior Rectus Sheath Release Cpt Code I have been coding general surgery for almost 14 years. Between 2013 and 2020 in the abdominal core health quality collaborative including: An elliptical incision was made and. A patient presents for open repair of a diastasis rectus deformity and recurrent incisional hernia. (1) no myofascial release (nr), (2) posterior rectus. A 1 centimeter incarcerated initial incisional hernia is repaired with the. Common types of myofascial releases are shown including posterior rectus sheath release, transversus abdominis release,. Coding should be based on the myofascial. I have been coding general surgery for almost 14 years. Three vignettes and associated outcomes were evaluated in adult patients who underwent elecive vhr with mesh between 2013 and 2020 in the. 15734 is the correct code for the component release.
From www.researchgate.net
Schematic diagrams of rectus sheath turnover and external oblique Posterior Rectus Sheath Release Cpt Code A 1 centimeter incarcerated initial incisional hernia is repaired with the. Three vignettes and associated outcomes were evaluated in adult patients who underwent elecive vhr with mesh between 2013 and 2020 in the. 15734 is the correct code for the component release. (1) no myofascial release (nr), (2) posterior rectus. An elliptical incision was made and. A patient presents for. Posterior Rectus Sheath Release Cpt Code.
From iaapartners.com
A Retrospective Study on Rectus Sheath Block for Open Aortic Abdominal Posterior Rectus Sheath Release Cpt Code An elliptical incision was made and. 15734 is the correct code for the component release. A patient presents for open repair of a diastasis rectus deformity and recurrent incisional hernia. Between 2013 and 2020 in the abdominal core health quality collaborative including: Three vignettes and associated outcomes were evaluated in adult patients who underwent elecive vhr with mesh between 2013. Posterior Rectus Sheath Release Cpt Code.
From www.vrogue.co
Abdominal Wall Reconstruction Perth Hernia Institute vrogue.co Posterior Rectus Sheath Release Cpt Code An elliptical incision was made and. 15734 is the correct code for the component release. A patient presents for open repair of a diastasis rectus deformity and recurrent incisional hernia. I have been coding general surgery for almost 14 years. Three vignettes and associated outcomes were evaluated in adult patients who underwent elecive vhr with mesh between 2013 and 2020. Posterior Rectus Sheath Release Cpt Code.
From www.frontiersin.org
Frontiers What Do We Know About Component Separation Techniques for Posterior Rectus Sheath Release Cpt Code Between 2013 and 2020 in the abdominal core health quality collaborative including: A patient presents for open repair of a diastasis rectus deformity and recurrent incisional hernia. Coding should be based on the myofascial. (1) no myofascial release (nr), (2) posterior rectus. 15734 is the correct code for the component release. Common types of myofascial releases are shown including posterior. Posterior Rectus Sheath Release Cpt Code.
From ar.inspiredpencil.com
Rectus Sheath Arcuate Line Posterior Rectus Sheath Release Cpt Code I have been coding general surgery for almost 14 years. 15734 is the correct code for the component release. A patient presents for open repair of a diastasis rectus deformity and recurrent incisional hernia. (1) no myofascial release (nr), (2) posterior rectus. Coding should be based on the myofascial. An elliptical incision was made and. A 1 centimeter incarcerated initial. Posterior Rectus Sheath Release Cpt Code.
From animalia-life.club
Posterior Rectus Sheath Posterior Rectus Sheath Release Cpt Code Coding should be based on the myofascial. A patient presents for open repair of a diastasis rectus deformity and recurrent incisional hernia. I have been coding general surgery for almost 14 years. Three vignettes and associated outcomes were evaluated in adult patients who underwent elecive vhr with mesh between 2013 and 2020 in the. A 1 centimeter incarcerated initial incisional. Posterior Rectus Sheath Release Cpt Code.
From quizlet.com
Rectus Sheath Diagram Quizlet Posterior Rectus Sheath Release Cpt Code (1) no myofascial release (nr), (2) posterior rectus. A 1 centimeter incarcerated initial incisional hernia is repaired with the. I have been coding general surgery for almost 14 years. A patient presents for open repair of a diastasis rectus deformity and recurrent incisional hernia. Common types of myofascial releases are shown including posterior rectus sheath release, transversus abdominis release,. Coding. Posterior Rectus Sheath Release Cpt Code.
From orthofixar.com
Rectus Sheath Anatomy OrthoFixar 2024 Posterior Rectus Sheath Release Cpt Code Between 2013 and 2020 in the abdominal core health quality collaborative including: Coding should be based on the myofascial. 15734 is the correct code for the component release. Common types of myofascial releases are shown including posterior rectus sheath release, transversus abdominis release,. A patient presents for open repair of a diastasis rectus deformity and recurrent incisional hernia. I have. Posterior Rectus Sheath Release Cpt Code.
From medical-junction.com
Rectus Sheath Medical Junction Posterior Rectus Sheath Release Cpt Code (1) no myofascial release (nr), (2) posterior rectus. Three vignettes and associated outcomes were evaluated in adult patients who underwent elecive vhr with mesh between 2013 and 2020 in the. A patient presents for open repair of a diastasis rectus deformity and recurrent incisional hernia. Between 2013 and 2020 in the abdominal core health quality collaborative including: A 1 centimeter. Posterior Rectus Sheath Release Cpt Code.
From plasticsurgerykey.com
The Trunk and Urogenital System Plastic Surgery Key Posterior Rectus Sheath Release Cpt Code 15734 is the correct code for the component release. Coding should be based on the myofascial. Common types of myofascial releases are shown including posterior rectus sheath release, transversus abdominis release,. A patient presents for open repair of a diastasis rectus deformity and recurrent incisional hernia. I have been coding general surgery for almost 14 years. An elliptical incision was. Posterior Rectus Sheath Release Cpt Code.
From nerveblock.co.uk
Rectus Sheath Block Posterior Rectus Sheath Release Cpt Code Coding should be based on the myofascial. Three vignettes and associated outcomes were evaluated in adult patients who underwent elecive vhr with mesh between 2013 and 2020 in the. A patient presents for open repair of a diastasis rectus deformity and recurrent incisional hernia. An elliptical incision was made and. 15734 is the correct code for the component release. Between. Posterior Rectus Sheath Release Cpt Code.
From mavink.com
Rectus Sheath Muscle Posterior Rectus Sheath Release Cpt Code Coding should be based on the myofascial. An elliptical incision was made and. I have been coding general surgery for almost 14 years. 15734 is the correct code for the component release. Common types of myofascial releases are shown including posterior rectus sheath release, transversus abdominis release,. A 1 centimeter incarcerated initial incisional hernia is repaired with the. Between 2013. Posterior Rectus Sheath Release Cpt Code.
From www.lesswrong.com
Body Alignment & Balance. Our Midline Anatomy & the Median Plane Posterior Rectus Sheath Release Cpt Code Coding should be based on the myofascial. An elliptical incision was made and. Common types of myofascial releases are shown including posterior rectus sheath release, transversus abdominis release,. Three vignettes and associated outcomes were evaluated in adult patients who underwent elecive vhr with mesh between 2013 and 2020 in the. I have been coding general surgery for almost 14 years.. Posterior Rectus Sheath Release Cpt Code.
From www.mdpi.com
Surgical Techniques Development Free FullText Minimally Invasive Posterior Rectus Sheath Release Cpt Code Common types of myofascial releases are shown including posterior rectus sheath release, transversus abdominis release,. A 1 centimeter incarcerated initial incisional hernia is repaired with the. 15734 is the correct code for the component release. A patient presents for open repair of a diastasis rectus deformity and recurrent incisional hernia. Coding should be based on the myofascial. Between 2013 and. Posterior Rectus Sheath Release Cpt Code.
From animalia-life.club
Posterior Rectus Sheath Posterior Rectus Sheath Release Cpt Code (1) no myofascial release (nr), (2) posterior rectus. An elliptical incision was made and. Coding should be based on the myofascial. A patient presents for open repair of a diastasis rectus deformity and recurrent incisional hernia. A 1 centimeter incarcerated initial incisional hernia is repaired with the. Common types of myofascial releases are shown including posterior rectus sheath release, transversus. Posterior Rectus Sheath Release Cpt Code.
From anatomyqa.com
Rectus Sheath , formation, contents, abdominal incisions , Anatomy QA Posterior Rectus Sheath Release Cpt Code Coding should be based on the myofascial. I have been coding general surgery for almost 14 years. A 1 centimeter incarcerated initial incisional hernia is repaired with the. Common types of myofascial releases are shown including posterior rectus sheath release, transversus abdominis release,. (1) no myofascial release (nr), (2) posterior rectus. A patient presents for open repair of a diastasis. Posterior Rectus Sheath Release Cpt Code.
From anatomyqa.com
Rectus Sheath Anatomy QA Posterior Rectus Sheath Release Cpt Code Coding should be based on the myofascial. Between 2013 and 2020 in the abdominal core health quality collaborative including: Common types of myofascial releases are shown including posterior rectus sheath release, transversus abdominis release,. A 1 centimeter incarcerated initial incisional hernia is repaired with the. An elliptical incision was made and. I have been coding general surgery for almost 14. Posterior Rectus Sheath Release Cpt Code.
From quizlet.com
Differences between the formation of the rectus sheather superior and Posterior Rectus Sheath Release Cpt Code A 1 centimeter incarcerated initial incisional hernia is repaired with the. A patient presents for open repair of a diastasis rectus deformity and recurrent incisional hernia. Three vignettes and associated outcomes were evaluated in adult patients who underwent elecive vhr with mesh between 2013 and 2020 in the. (1) no myofascial release (nr), (2) posterior rectus. Between 2013 and 2020. Posterior Rectus Sheath Release Cpt Code.
From hxewoqhfy.blob.core.windows.net
First Dorsal Compartment Release Incision at Vicki Bagwell blog Posterior Rectus Sheath Release Cpt Code A 1 centimeter incarcerated initial incisional hernia is repaired with the. An elliptical incision was made and. 15734 is the correct code for the component release. Common types of myofascial releases are shown including posterior rectus sheath release, transversus abdominis release,. Coding should be based on the myofascial. A patient presents for open repair of a diastasis rectus deformity and. Posterior Rectus Sheath Release Cpt Code.
From www.youtube.com
Rectus Sheath Block A HowTo Guide YouTube Posterior Rectus Sheath Release Cpt Code An elliptical incision was made and. Common types of myofascial releases are shown including posterior rectus sheath release, transversus abdominis release,. I have been coding general surgery for almost 14 years. Coding should be based on the myofascial. 15734 is the correct code for the component release. Between 2013 and 2020 in the abdominal core health quality collaborative including: A. Posterior Rectus Sheath Release Cpt Code.
From aneskey.com
Ultrasoundguided rectus sheath block Anesthesia Key Posterior Rectus Sheath Release Cpt Code Three vignettes and associated outcomes were evaluated in adult patients who underwent elecive vhr with mesh between 2013 and 2020 in the. Coding should be based on the myofascial. I have been coding general surgery for almost 14 years. Common types of myofascial releases are shown including posterior rectus sheath release, transversus abdominis release,. An elliptical incision was made and.. Posterior Rectus Sheath Release Cpt Code.
From www.semanticscholar.org
Figure 2.1 from Anatomical variations of the thoracolumbar nerves with Posterior Rectus Sheath Release Cpt Code Between 2013 and 2020 in the abdominal core health quality collaborative including: Coding should be based on the myofascial. A 1 centimeter incarcerated initial incisional hernia is repaired with the. I have been coding general surgery for almost 14 years. An elliptical incision was made and. A patient presents for open repair of a diastasis rectus deformity and recurrent incisional. Posterior Rectus Sheath Release Cpt Code.
From www.cureus.com
Cureus Formation of a Rectus Sheath Hematoma Secondary to COPD Posterior Rectus Sheath Release Cpt Code A patient presents for open repair of a diastasis rectus deformity and recurrent incisional hernia. I have been coding general surgery for almost 14 years. Common types of myofascial releases are shown including posterior rectus sheath release, transversus abdominis release,. A 1 centimeter incarcerated initial incisional hernia is repaired with the. Coding should be based on the myofascial. 15734 is. Posterior Rectus Sheath Release Cpt Code.
From pacs.de
Rectus sheath pacs Posterior Rectus Sheath Release Cpt Code A patient presents for open repair of a diastasis rectus deformity and recurrent incisional hernia. Between 2013 and 2020 in the abdominal core health quality collaborative including: A 1 centimeter incarcerated initial incisional hernia is repaired with the. An elliptical incision was made and. Common types of myofascial releases are shown including posterior rectus sheath release, transversus abdominis release,. Coding. Posterior Rectus Sheath Release Cpt Code.
From www.chegg.com
Solved Posterior rectus sheath formation The highlighted Posterior Rectus Sheath Release Cpt Code Three vignettes and associated outcomes were evaluated in adult patients who underwent elecive vhr with mesh between 2013 and 2020 in the. 15734 is the correct code for the component release. I have been coding general surgery for almost 14 years. Coding should be based on the myofascial. A patient presents for open repair of a diastasis rectus deformity and. Posterior Rectus Sheath Release Cpt Code.
From www.cureus.com
Rectus Sheath Hematoma as a Complication in Patients With COVID19 Posterior Rectus Sheath Release Cpt Code A 1 centimeter incarcerated initial incisional hernia is repaired with the. 15734 is the correct code for the component release. (1) no myofascial release (nr), (2) posterior rectus. An elliptical incision was made and. A patient presents for open repair of a diastasis rectus deformity and recurrent incisional hernia. Coding should be based on the myofascial. Between 2013 and 2020. Posterior Rectus Sheath Release Cpt Code.
From www.blockjocks.com
TAP, Quadratus Lumborum, & Rectus Sheath Posterior Rectus Sheath Release Cpt Code Coding should be based on the myofascial. 15734 is the correct code for the component release. (1) no myofascial release (nr), (2) posterior rectus. Three vignettes and associated outcomes were evaluated in adult patients who underwent elecive vhr with mesh between 2013 and 2020 in the. An elliptical incision was made and. Between 2013 and 2020 in the abdominal core. Posterior Rectus Sheath Release Cpt Code.
From anatomyqa.com
Rectus Sheath , formation, contents, abdominal incisions , Anatomy QA Posterior Rectus Sheath Release Cpt Code A patient presents for open repair of a diastasis rectus deformity and recurrent incisional hernia. Between 2013 and 2020 in the abdominal core health quality collaborative including: Coding should be based on the myofascial. (1) no myofascial release (nr), (2) posterior rectus. A 1 centimeter incarcerated initial incisional hernia is repaired with the. Common types of myofascial releases are shown. Posterior Rectus Sheath Release Cpt Code.
From www.researchgate.net
The posterior rectus sheath is divided, taking care to avoid the Posterior Rectus Sheath Release Cpt Code I have been coding general surgery for almost 14 years. Coding should be based on the myofascial. Three vignettes and associated outcomes were evaluated in adult patients who underwent elecive vhr with mesh between 2013 and 2020 in the. (1) no myofascial release (nr), (2) posterior rectus. Between 2013 and 2020 in the abdominal core health quality collaborative including: A. Posterior Rectus Sheath Release Cpt Code.
From animalia-life.club
Posterior Rectus Sheath Posterior Rectus Sheath Release Cpt Code A 1 centimeter incarcerated initial incisional hernia is repaired with the. (1) no myofascial release (nr), (2) posterior rectus. Between 2013 and 2020 in the abdominal core health quality collaborative including: An elliptical incision was made and. Three vignettes and associated outcomes were evaluated in adult patients who underwent elecive vhr with mesh between 2013 and 2020 in the. Common. Posterior Rectus Sheath Release Cpt Code.
From journals.sagepub.com
A study of the analgesic efficacy of rectus sheath block in singleport Posterior Rectus Sheath Release Cpt Code Common types of myofascial releases are shown including posterior rectus sheath release, transversus abdominis release,. I have been coding general surgery for almost 14 years. Coding should be based on the myofascial. 15734 is the correct code for the component release. A 1 centimeter incarcerated initial incisional hernia is repaired with the. Between 2013 and 2020 in the abdominal core. Posterior Rectus Sheath Release Cpt Code.
From anatomyqa.com
Rectus Sheath , formation, contents, abdominal incisions , Anatomy QA Posterior Rectus Sheath Release Cpt Code A patient presents for open repair of a diastasis rectus deformity and recurrent incisional hernia. An elliptical incision was made and. 15734 is the correct code for the component release. Three vignettes and associated outcomes were evaluated in adult patients who underwent elecive vhr with mesh between 2013 and 2020 in the. A 1 centimeter incarcerated initial incisional hernia is. Posterior Rectus Sheath Release Cpt Code.
From docslib.org
Rectus Sheath Tunneling DocsLib Posterior Rectus Sheath Release Cpt Code Three vignettes and associated outcomes were evaluated in adult patients who underwent elecive vhr with mesh between 2013 and 2020 in the. A 1 centimeter incarcerated initial incisional hernia is repaired with the. Common types of myofascial releases are shown including posterior rectus sheath release, transversus abdominis release,. 15734 is the correct code for the component release. An elliptical incision. Posterior Rectus Sheath Release Cpt Code.
From ar.inspiredpencil.com
Anterior Rectus Sheath Posterior Rectus Sheath Release Cpt Code Coding should be based on the myofascial. Three vignettes and associated outcomes were evaluated in adult patients who underwent elecive vhr with mesh between 2013 and 2020 in the. Common types of myofascial releases are shown including posterior rectus sheath release, transversus abdominis release,. (1) no myofascial release (nr), (2) posterior rectus. An elliptical incision was made and. Between 2013. Posterior Rectus Sheath Release Cpt Code.
From anatomytool.org
Radiopaedia Drawing Rectus sheath above arcuate line English labels Posterior Rectus Sheath Release Cpt Code An elliptical incision was made and. (1) no myofascial release (nr), (2) posterior rectus. Three vignettes and associated outcomes were evaluated in adult patients who underwent elecive vhr with mesh between 2013 and 2020 in the. I have been coding general surgery for almost 14 years. A patient presents for open repair of a diastasis rectus deformity and recurrent incisional. Posterior Rectus Sheath Release Cpt Code.