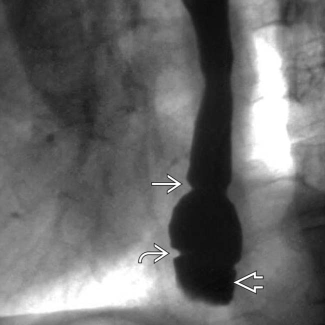
Esophageal Vestibule Radiology . Motility disorders of the esophagus are an important cause of esophageal complaints, especially when symptoms are not readily explained by a structural. From benign strictures to malignancy and motility disorders such as achalasia, imaging modalities play a significant. In esophagus part i we will discuss: Esophageal dots refer to distinct intraluminal foci on double contrast exams, which can be appear either as bright spots or focal dark lucencies or. The lower esophageal sphincter extends from the “a” to the “b” ring and is sometimes referred to as the phrenic ampulla, or vestibule. The lower esophageal sphincter, a specialized region of the circular muscle of the distal esophagus, manifests itself.
from www.mdpi.com
From benign strictures to malignancy and motility disorders such as achalasia, imaging modalities play a significant. In esophagus part i we will discuss: Motility disorders of the esophagus are an important cause of esophageal complaints, especially when symptoms are not readily explained by a structural. Esophageal dots refer to distinct intraluminal foci on double contrast exams, which can be appear either as bright spots or focal dark lucencies or. The lower esophageal sphincter, a specialized region of the circular muscle of the distal esophagus, manifests itself. The lower esophageal sphincter extends from the “a” to the “b” ring and is sometimes referred to as the phrenic ampulla, or vestibule.
JCM Free FullText Role of Lower Esophageal Squamous Cell Carcinoma
Esophageal Vestibule Radiology The lower esophageal sphincter extends from the “a” to the “b” ring and is sometimes referred to as the phrenic ampulla, or vestibule. Esophageal dots refer to distinct intraluminal foci on double contrast exams, which can be appear either as bright spots or focal dark lucencies or. Motility disorders of the esophagus are an important cause of esophageal complaints, especially when symptoms are not readily explained by a structural. From benign strictures to malignancy and motility disorders such as achalasia, imaging modalities play a significant. In esophagus part i we will discuss: The lower esophageal sphincter extends from the “a” to the “b” ring and is sometimes referred to as the phrenic ampulla, or vestibule. The lower esophageal sphincter, a specialized region of the circular muscle of the distal esophagus, manifests itself.
From epos.myesr.org
EPOS™ Esophageal Vestibule Radiology Motility disorders of the esophagus are an important cause of esophageal complaints, especially when symptoms are not readily explained by a structural. In esophagus part i we will discuss: From benign strictures to malignancy and motility disorders such as achalasia, imaging modalities play a significant. The lower esophageal sphincter, a specialized region of the circular muscle of the distal esophagus,. Esophageal Vestibule Radiology.
From mungfali.com
Scleroderma Esophageal Manometry Esophageal Vestibule Radiology Motility disorders of the esophagus are an important cause of esophageal complaints, especially when symptoms are not readily explained by a structural. The lower esophageal sphincter, a specialized region of the circular muscle of the distal esophagus, manifests itself. Esophageal dots refer to distinct intraluminal foci on double contrast exams, which can be appear either as bright spots or focal. Esophageal Vestibule Radiology.
From radiologykey.com
Imaging Approach to the Esophagus Radiology Key Esophageal Vestibule Radiology Esophageal dots refer to distinct intraluminal foci on double contrast exams, which can be appear either as bright spots or focal dark lucencies or. In esophagus part i we will discuss: The lower esophageal sphincter, a specialized region of the circular muscle of the distal esophagus, manifests itself. From benign strictures to malignancy and motility disorders such as achalasia, imaging. Esophageal Vestibule Radiology.
From radiologykey.com
Imaging Approach to the Esophagus Radiology Key Esophageal Vestibule Radiology Esophageal dots refer to distinct intraluminal foci on double contrast exams, which can be appear either as bright spots or focal dark lucencies or. The lower esophageal sphincter, a specialized region of the circular muscle of the distal esophagus, manifests itself. The lower esophageal sphincter extends from the “a” to the “b” ring and is sometimes referred to as the. Esophageal Vestibule Radiology.
From www.slideserve.com
PPT RADIOLOGY OF ESOPHAGUS AND STOMACH PowerPoint Presentation, free Esophageal Vestibule Radiology The lower esophageal sphincter extends from the “a” to the “b” ring and is sometimes referred to as the phrenic ampulla, or vestibule. Esophageal dots refer to distinct intraluminal foci on double contrast exams, which can be appear either as bright spots or focal dark lucencies or. From benign strictures to malignancy and motility disorders such as achalasia, imaging modalities. Esophageal Vestibule Radiology.
From radiologykey.com
Imaging Approach to the Esophagus Radiology Key Esophageal Vestibule Radiology Esophageal dots refer to distinct intraluminal foci on double contrast exams, which can be appear either as bright spots or focal dark lucencies or. From benign strictures to malignancy and motility disorders such as achalasia, imaging modalities play a significant. Motility disorders of the esophagus are an important cause of esophageal complaints, especially when symptoms are not readily explained by. Esophageal Vestibule Radiology.
From www.slideserve.com
PPT Radiology of Digestive System PowerPoint Presentation, free Esophageal Vestibule Radiology From benign strictures to malignancy and motility disorders such as achalasia, imaging modalities play a significant. Motility disorders of the esophagus are an important cause of esophageal complaints, especially when symptoms are not readily explained by a structural. The lower esophageal sphincter, a specialized region of the circular muscle of the distal esophagus, manifests itself. In esophagus part i we. Esophageal Vestibule Radiology.
From tr.wikidoc.org
Esophageal web wikidoc Esophageal Vestibule Radiology In esophagus part i we will discuss: Motility disorders of the esophagus are an important cause of esophageal complaints, especially when symptoms are not readily explained by a structural. Esophageal dots refer to distinct intraluminal foci on double contrast exams, which can be appear either as bright spots or focal dark lucencies or. From benign strictures to malignancy and motility. Esophageal Vestibule Radiology.
From pgblazer.com
Normal indentations on the esophagus in barium swallow Right anterior Esophageal Vestibule Radiology The lower esophageal sphincter extends from the “a” to the “b” ring and is sometimes referred to as the phrenic ampulla, or vestibule. The lower esophageal sphincter, a specialized region of the circular muscle of the distal esophagus, manifests itself. Esophageal dots refer to distinct intraluminal foci on double contrast exams, which can be appear either as bright spots or. Esophageal Vestibule Radiology.
From present5.com
Esophagus Rita Brun MD Gastroenterology Department Rambam Health Esophageal Vestibule Radiology The lower esophageal sphincter, a specialized region of the circular muscle of the distal esophagus, manifests itself. Esophageal dots refer to distinct intraluminal foci on double contrast exams, which can be appear either as bright spots or focal dark lucencies or. From benign strictures to malignancy and motility disorders such as achalasia, imaging modalities play a significant. In esophagus part. Esophageal Vestibule Radiology.
From radiopaedia.org
Image Esophageal Vestibule Radiology From benign strictures to malignancy and motility disorders such as achalasia, imaging modalities play a significant. Esophageal dots refer to distinct intraluminal foci on double contrast exams, which can be appear either as bright spots or focal dark lucencies or. The lower esophageal sphincter extends from the “a” to the “b” ring and is sometimes referred to as the phrenic. Esophageal Vestibule Radiology.
From pubs.rsna.org
Surgical Approach to Gastroesophageal Reflux Disease What the Esophageal Vestibule Radiology The lower esophageal sphincter extends from the “a” to the “b” ring and is sometimes referred to as the phrenic ampulla, or vestibule. From benign strictures to malignancy and motility disorders such as achalasia, imaging modalities play a significant. In esophagus part i we will discuss: Motility disorders of the esophagus are an important cause of esophageal complaints, especially when. Esophageal Vestibule Radiology.
From radiologyreview.net
Radiology Review Esophageal Vestibule Radiology The lower esophageal sphincter, a specialized region of the circular muscle of the distal esophagus, manifests itself. The lower esophageal sphincter extends from the “a” to the “b” ring and is sometimes referred to as the phrenic ampulla, or vestibule. Esophageal dots refer to distinct intraluminal foci on double contrast exams, which can be appear either as bright spots or. Esophageal Vestibule Radiology.
From www.pinterest.com
Figure 7 Pharyngeal and esophageal diverticula, rings, and webs GI Esophageal Vestibule Radiology In esophagus part i we will discuss: From benign strictures to malignancy and motility disorders such as achalasia, imaging modalities play a significant. Motility disorders of the esophagus are an important cause of esophageal complaints, especially when symptoms are not readily explained by a structural. Esophageal dots refer to distinct intraluminal foci on double contrast exams, which can be appear. Esophageal Vestibule Radiology.
From fity.club
Esophageal s Esophageal Vestibule Radiology The lower esophageal sphincter, a specialized region of the circular muscle of the distal esophagus, manifests itself. In esophagus part i we will discuss: Esophageal dots refer to distinct intraluminal foci on double contrast exams, which can be appear either as bright spots or focal dark lucencies or. Motility disorders of the esophagus are an important cause of esophageal complaints,. Esophageal Vestibule Radiology.
From www.youtube.com
Radiographic Positioning of the Esophagus YouTube Esophageal Vestibule Radiology Esophageal dots refer to distinct intraluminal foci on double contrast exams, which can be appear either as bright spots or focal dark lucencies or. The lower esophageal sphincter, a specialized region of the circular muscle of the distal esophagus, manifests itself. The lower esophageal sphincter extends from the “a” to the “b” ring and is sometimes referred to as the. Esophageal Vestibule Radiology.
From www.animalia-life.club
Prominent Cricopharyngeus Esophageal Vestibule Radiology The lower esophageal sphincter, a specialized region of the circular muscle of the distal esophagus, manifests itself. In esophagus part i we will discuss: Motility disorders of the esophagus are an important cause of esophageal complaints, especially when symptoms are not readily explained by a structural. Esophageal dots refer to distinct intraluminal foci on double contrast exams, which can be. Esophageal Vestibule Radiology.
From www.mdpi.com
JCM Free FullText Role of Lower Esophageal Squamous Cell Carcinoma Esophageal Vestibule Radiology Esophageal dots refer to distinct intraluminal foci on double contrast exams, which can be appear either as bright spots or focal dark lucencies or. From benign strictures to malignancy and motility disorders such as achalasia, imaging modalities play a significant. The lower esophageal sphincter extends from the “a” to the “b” ring and is sometimes referred to as the phrenic. Esophageal Vestibule Radiology.
From radiologykey.com
Pharynx and Esophagus Radiology Key Esophageal Vestibule Radiology In esophagus part i we will discuss: Motility disorders of the esophagus are an important cause of esophageal complaints, especially when symptoms are not readily explained by a structural. Esophageal dots refer to distinct intraluminal foci on double contrast exams, which can be appear either as bright spots or focal dark lucencies or. From benign strictures to malignancy and motility. Esophageal Vestibule Radiology.
From www.slideserve.com
PPT Radiology of Digestive System PowerPoint Presentation, free Esophageal Vestibule Radiology In esophagus part i we will discuss: From benign strictures to malignancy and motility disorders such as achalasia, imaging modalities play a significant. Motility disorders of the esophagus are an important cause of esophageal complaints, especially when symptoms are not readily explained by a structural. Esophageal dots refer to distinct intraluminal foci on double contrast exams, which can be appear. Esophageal Vestibule Radiology.
From radiopaedia.org
Image Esophageal Vestibule Radiology Motility disorders of the esophagus are an important cause of esophageal complaints, especially when symptoms are not readily explained by a structural. In esophagus part i we will discuss: The lower esophageal sphincter, a specialized region of the circular muscle of the distal esophagus, manifests itself. From benign strictures to malignancy and motility disorders such as achalasia, imaging modalities play. Esophageal Vestibule Radiology.
From www.slideserve.com
PPT RADIOLOGY OF ESOPHAGUS AND STOMACH PowerPoint Presentation, free Esophageal Vestibule Radiology Motility disorders of the esophagus are an important cause of esophageal complaints, especially when symptoms are not readily explained by a structural. In esophagus part i we will discuss: The lower esophageal sphincter extends from the “a” to the “b” ring and is sometimes referred to as the phrenic ampulla, or vestibule. Esophageal dots refer to distinct intraluminal foci on. Esophageal Vestibule Radiology.
From www.slideserve.com
PPT RADIOLOGY OF ESOPHAGUS AND STOMACH PowerPoint Presentation, free Esophageal Vestibule Radiology From benign strictures to malignancy and motility disorders such as achalasia, imaging modalities play a significant. Esophageal dots refer to distinct intraluminal foci on double contrast exams, which can be appear either as bright spots or focal dark lucencies or. The lower esophageal sphincter extends from the “a” to the “b” ring and is sometimes referred to as the phrenic. Esophageal Vestibule Radiology.
From cds.ismrm.org
Figures Esophageal Vestibule Radiology Motility disorders of the esophagus are an important cause of esophageal complaints, especially when symptoms are not readily explained by a structural. The lower esophageal sphincter extends from the “a” to the “b” ring and is sometimes referred to as the phrenic ampulla, or vestibule. The lower esophageal sphincter, a specialized region of the circular muscle of the distal esophagus,. Esophageal Vestibule Radiology.
From www.slideserve.com
PPT RADIOLOGY OF ESOPHAGUS AND STOMACH PowerPoint Presentation ID Esophageal Vestibule Radiology The lower esophageal sphincter, a specialized region of the circular muscle of the distal esophagus, manifests itself. Motility disorders of the esophagus are an important cause of esophageal complaints, especially when symptoms are not readily explained by a structural. Esophageal dots refer to distinct intraluminal foci on double contrast exams, which can be appear either as bright spots or focal. Esophageal Vestibule Radiology.
From www.bmj.com
The diagnosis and management of hiatus hernia The BMJ Esophageal Vestibule Radiology Esophageal dots refer to distinct intraluminal foci on double contrast exams, which can be appear either as bright spots or focal dark lucencies or. The lower esophageal sphincter extends from the “a” to the “b” ring and is sometimes referred to as the phrenic ampulla, or vestibule. From benign strictures to malignancy and motility disorders such as achalasia, imaging modalities. Esophageal Vestibule Radiology.
From radiologykey.com
Pharynx and Esophagus Radiology Key Esophageal Vestibule Radiology The lower esophageal sphincter extends from the “a” to the “b” ring and is sometimes referred to as the phrenic ampulla, or vestibule. From benign strictures to malignancy and motility disorders such as achalasia, imaging modalities play a significant. Esophageal dots refer to distinct intraluminal foci on double contrast exams, which can be appear either as bright spots or focal. Esophageal Vestibule Radiology.
From abdominalkey.com
Training in GI Upper Motility Techniques Abdominal Key Esophageal Vestibule Radiology From benign strictures to malignancy and motility disorders such as achalasia, imaging modalities play a significant. In esophagus part i we will discuss: Esophageal dots refer to distinct intraluminal foci on double contrast exams, which can be appear either as bright spots or focal dark lucencies or. Motility disorders of the esophagus are an important cause of esophageal complaints, especially. Esophageal Vestibule Radiology.
From www.pinterest.com
MBS Anatomy (Lateral View) Speech and language, Speech language Esophageal Vestibule Radiology The lower esophageal sphincter, a specialized region of the circular muscle of the distal esophagus, manifests itself. Esophageal dots refer to distinct intraluminal foci on double contrast exams, which can be appear either as bright spots or focal dark lucencies or. The lower esophageal sphincter extends from the “a” to the “b” ring and is sometimes referred to as the. Esophageal Vestibule Radiology.
From www.slideserve.com
PPT RADIOLOGY OF ESOPHAGUS AND STOMACH PowerPoint Presentation, free Esophageal Vestibule Radiology The lower esophageal sphincter extends from the “a” to the “b” ring and is sometimes referred to as the phrenic ampulla, or vestibule. Esophageal dots refer to distinct intraluminal foci on double contrast exams, which can be appear either as bright spots or focal dark lucencies or. In esophagus part i we will discuss: Motility disorders of the esophagus are. Esophageal Vestibule Radiology.
From radiologykey.com
Dysfunctional Disorders of the Pharynx and the Esophagus VFSS and Esophageal Vestibule Radiology From benign strictures to malignancy and motility disorders such as achalasia, imaging modalities play a significant. The lower esophageal sphincter extends from the “a” to the “b” ring and is sometimes referred to as the phrenic ampulla, or vestibule. Motility disorders of the esophagus are an important cause of esophageal complaints, especially when symptoms are not readily explained by a. Esophageal Vestibule Radiology.
From www.ctisus.com
Monitoring Devise in the Esophagus for PH Esophagus Case Studies Esophageal Vestibule Radiology Esophageal dots refer to distinct intraluminal foci on double contrast exams, which can be appear either as bright spots or focal dark lucencies or. The lower esophageal sphincter extends from the “a” to the “b” ring and is sometimes referred to as the phrenic ampulla, or vestibule. From benign strictures to malignancy and motility disorders such as achalasia, imaging modalities. Esophageal Vestibule Radiology.
From heart-rhythm-center.com
Insights into Esophageal Damage in the Setting of Atrial Fibrillation Esophageal Vestibule Radiology The lower esophageal sphincter, a specialized region of the circular muscle of the distal esophagus, manifests itself. Esophageal dots refer to distinct intraluminal foci on double contrast exams, which can be appear either as bright spots or focal dark lucencies or. In esophagus part i we will discuss: From benign strictures to malignancy and motility disorders such as achalasia, imaging. Esophageal Vestibule Radiology.
From proper-cooking.info
Eosinophilic Esophagitis Barium Swallow Esophageal Vestibule Radiology Esophageal dots refer to distinct intraluminal foci on double contrast exams, which can be appear either as bright spots or focal dark lucencies or. Motility disorders of the esophagus are an important cause of esophageal complaints, especially when symptoms are not readily explained by a structural. The lower esophageal sphincter, a specialized region of the circular muscle of the distal. Esophageal Vestibule Radiology.
From www.slideserve.com
PPT RADIOLOGY OF ESOPHAGUS AND STOMACH PowerPoint Presentation, free Esophageal Vestibule Radiology In esophagus part i we will discuss: The lower esophageal sphincter extends from the “a” to the “b” ring and is sometimes referred to as the phrenic ampulla, or vestibule. The lower esophageal sphincter, a specialized region of the circular muscle of the distal esophagus, manifests itself. Motility disorders of the esophagus are an important cause of esophageal complaints, especially. Esophageal Vestibule Radiology.