What Is The Best Treatment For Hallux Valgus . Nonsurgical treatments that may relieve the pain and pressure of a bunion include: A bunion is a bony bump that forms on the joint at the base of your big toe. However, no method is available thus far that. Diagnosis is made clinically with presence of a hallux that rests in a valgus and pronated position. Bunion surgery is done to reduce the pain and correct the deformity caused by a. Treatment for hallux valgus ranges from conservative to surgical management. There are about 131 different surgical techniques. Radiographs of the foot are. Learn more about the causes and treatments of this sometimes painful disorder. Orthopedics foot and ankle surgery. Use warm soaks, ice packs, whirlpool, ultrasound and massage.
from www.bracefox.nl
Radiographs of the foot are. Learn more about the causes and treatments of this sometimes painful disorder. Bunion surgery is done to reduce the pain and correct the deformity caused by a. A bunion is a bony bump that forms on the joint at the base of your big toe. Use warm soaks, ice packs, whirlpool, ultrasound and massage. Treatment for hallux valgus ranges from conservative to surgical management. Nonsurgical treatments that may relieve the pain and pressure of a bunion include: However, no method is available thus far that. Orthopedics foot and ankle surgery. Diagnosis is made clinically with presence of a hallux that rests in a valgus and pronated position.
Hallux Valgus Oorzaken, Symptomen, Behandeling en Aanbevolen Braces
What Is The Best Treatment For Hallux Valgus There are about 131 different surgical techniques. Treatment for hallux valgus ranges from conservative to surgical management. Orthopedics foot and ankle surgery. Nonsurgical treatments that may relieve the pain and pressure of a bunion include: A bunion is a bony bump that forms on the joint at the base of your big toe. Learn more about the causes and treatments of this sometimes painful disorder. Use warm soaks, ice packs, whirlpool, ultrasound and massage. Bunion surgery is done to reduce the pain and correct the deformity caused by a. Diagnosis is made clinically with presence of a hallux that rests in a valgus and pronated position. However, no method is available thus far that. Radiographs of the foot are. There are about 131 different surgical techniques.
From aerzteblatt.de
Deutsches Ärzteblatt international The Treatment of Hallux Valgus (07. What Is The Best Treatment For Hallux Valgus There are about 131 different surgical techniques. Learn more about the causes and treatments of this sometimes painful disorder. Treatment for hallux valgus ranges from conservative to surgical management. However, no method is available thus far that. Orthopedics foot and ankle surgery. Nonsurgical treatments that may relieve the pain and pressure of a bunion include: Bunion surgery is done to. What Is The Best Treatment For Hallux Valgus.
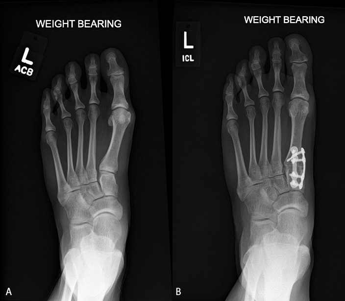
From www.lapiplasty.com
Treatment of Hallux Valgus Deformity Benefits from 3D ‘Revolution’ Treace What Is The Best Treatment For Hallux Valgus Radiographs of the foot are. Nonsurgical treatments that may relieve the pain and pressure of a bunion include: A bunion is a bony bump that forms on the joint at the base of your big toe. Use warm soaks, ice packs, whirlpool, ultrasound and massage. Treatment for hallux valgus ranges from conservative to surgical management. There are about 131 different. What Is The Best Treatment For Hallux Valgus.
From www.healthandcare.co.uk
Hallux Valgus Corrector Health and Care What Is The Best Treatment For Hallux Valgus A bunion is a bony bump that forms on the joint at the base of your big toe. Diagnosis is made clinically with presence of a hallux that rests in a valgus and pronated position. Use warm soaks, ice packs, whirlpool, ultrasound and massage. Orthopedics foot and ankle surgery. Learn more about the causes and treatments of this sometimes painful. What Is The Best Treatment For Hallux Valgus.
From attelles-ortheses.fr
Le comparatif Hallux valgus traitement naturel pour 2021 Attelles What Is The Best Treatment For Hallux Valgus Bunion surgery is done to reduce the pain and correct the deformity caused by a. Nonsurgical treatments that may relieve the pain and pressure of a bunion include: Treatment for hallux valgus ranges from conservative to surgical management. Orthopedics foot and ankle surgery. Diagnosis is made clinically with presence of a hallux that rests in a valgus and pronated position.. What Is The Best Treatment For Hallux Valgus.
From www.youtube.com
Treatment of Hallux Valgus YouTube What Is The Best Treatment For Hallux Valgus A bunion is a bony bump that forms on the joint at the base of your big toe. Radiographs of the foot are. Learn more about the causes and treatments of this sometimes painful disorder. There are about 131 different surgical techniques. Treatment for hallux valgus ranges from conservative to surgical management. However, no method is available thus far that.. What Is The Best Treatment For Hallux Valgus.
From tops.com.sg
Hallux Valgus Treatment In Singapore TOPS Clinic What Is The Best Treatment For Hallux Valgus Orthopedics foot and ankle surgery. Bunion surgery is done to reduce the pain and correct the deformity caused by a. Treatment for hallux valgus ranges from conservative to surgical management. Nonsurgical treatments that may relieve the pain and pressure of a bunion include: Radiographs of the foot are. However, no method is available thus far that. There are about 131. What Is The Best Treatment For Hallux Valgus.
From encyclopedia.pub
Forefoot Function after Hallux Valgus Surgery Encyclopedia MDPI What Is The Best Treatment For Hallux Valgus Use warm soaks, ice packs, whirlpool, ultrasound and massage. Nonsurgical treatments that may relieve the pain and pressure of a bunion include: However, no method is available thus far that. Orthopedics foot and ankle surgery. Radiographs of the foot are. Treatment for hallux valgus ranges from conservative to surgical management. Learn more about the causes and treatments of this sometimes. What Is The Best Treatment For Hallux Valgus.
From www.choosept.com
Guide Physical Therapy Guide to Bunion (Hallux Valgus) Choose PT What Is The Best Treatment For Hallux Valgus Nonsurgical treatments that may relieve the pain and pressure of a bunion include: Radiographs of the foot are. Use warm soaks, ice packs, whirlpool, ultrasound and massage. However, no method is available thus far that. Bunion surgery is done to reduce the pain and correct the deformity caused by a. Learn more about the causes and treatments of this sometimes. What Is The Best Treatment For Hallux Valgus.
From www.liebscher-bracht.com
How to Get Rid of a Bunion (Hallux Valgus) Liebscher & Bracht What Is The Best Treatment For Hallux Valgus Orthopedics foot and ankle surgery. Radiographs of the foot are. Learn more about the causes and treatments of this sometimes painful disorder. Diagnosis is made clinically with presence of a hallux that rests in a valgus and pronated position. Use warm soaks, ice packs, whirlpool, ultrasound and massage. Nonsurgical treatments that may relieve the pain and pressure of a bunion. What Is The Best Treatment For Hallux Valgus.
From www.mdnewsdaily.com
Top 5 Best hallux valgus corrector for sale 2017 Product MD News Daily What Is The Best Treatment For Hallux Valgus Treatment for hallux valgus ranges from conservative to surgical management. There are about 131 different surgical techniques. Nonsurgical treatments that may relieve the pain and pressure of a bunion include: Diagnosis is made clinically with presence of a hallux that rests in a valgus and pronated position. However, no method is available thus far that. Use warm soaks, ice packs,. What Is The Best Treatment For Hallux Valgus.
From www.youtube.com
HALLUX VALGUS TREATMENTS YouTube What Is The Best Treatment For Hallux Valgus Radiographs of the foot are. There are about 131 different surgical techniques. However, no method is available thus far that. Learn more about the causes and treatments of this sometimes painful disorder. Treatment for hallux valgus ranges from conservative to surgical management. Nonsurgical treatments that may relieve the pain and pressure of a bunion include: Orthopedics foot and ankle surgery.. What Is The Best Treatment For Hallux Valgus.
From www.bracefox.nl
Hallux Valgus Oorzaken, Symptomen, Behandeling en Aanbevolen Braces What Is The Best Treatment For Hallux Valgus Orthopedics foot and ankle surgery. Learn more about the causes and treatments of this sometimes painful disorder. There are about 131 different surgical techniques. Bunion surgery is done to reduce the pain and correct the deformity caused by a. Use warm soaks, ice packs, whirlpool, ultrasound and massage. Diagnosis is made clinically with presence of a hallux that rests in. What Is The Best Treatment For Hallux Valgus.
From sincerusorc.com
Hallux Valgus Treatment and Recovery > Sincerus Orthopaedics What Is The Best Treatment For Hallux Valgus Use warm soaks, ice packs, whirlpool, ultrasound and massage. Radiographs of the foot are. A bunion is a bony bump that forms on the joint at the base of your big toe. Learn more about the causes and treatments of this sometimes painful disorder. There are about 131 different surgical techniques. Orthopedics foot and ankle surgery. Bunion surgery is done. What Is The Best Treatment For Hallux Valgus.
From www.youtube.com
Hallux Valgus ABOS Orthopedic Surgery Board Exam Review YouTube What Is The Best Treatment For Hallux Valgus Diagnosis is made clinically with presence of a hallux that rests in a valgus and pronated position. However, no method is available thus far that. There are about 131 different surgical techniques. Bunion surgery is done to reduce the pain and correct the deformity caused by a. Orthopedics foot and ankle surgery. Radiographs of the foot are. A bunion is. What Is The Best Treatment For Hallux Valgus.
From epitact.co.uk
Hallux valgus/bunion & its natural treatments Epitact What Is The Best Treatment For Hallux Valgus Bunion surgery is done to reduce the pain and correct the deformity caused by a. Treatment for hallux valgus ranges from conservative to surgical management. Use warm soaks, ice packs, whirlpool, ultrasound and massage. There are about 131 different surgical techniques. A bunion is a bony bump that forms on the joint at the base of your big toe. Radiographs. What Is The Best Treatment For Hallux Valgus.
From www.amazon.co.uk
Pedimend Hallux Valgus Bunion Corrective Sleeve Hallux Valgus Treatment What Is The Best Treatment For Hallux Valgus A bunion is a bony bump that forms on the joint at the base of your big toe. However, no method is available thus far that. Use warm soaks, ice packs, whirlpool, ultrasound and massage. Nonsurgical treatments that may relieve the pain and pressure of a bunion include: There are about 131 different surgical techniques. Bunion surgery is done to. What Is The Best Treatment For Hallux Valgus.
From facty.com
10 Symptoms and Treatments of Hallux Valgus Facty Health What Is The Best Treatment For Hallux Valgus Nonsurgical treatments that may relieve the pain and pressure of a bunion include: Bunion surgery is done to reduce the pain and correct the deformity caused by a. Treatment for hallux valgus ranges from conservative to surgical management. Diagnosis is made clinically with presence of a hallux that rests in a valgus and pronated position. However, no method is available. What Is The Best Treatment For Hallux Valgus.
From orthinform.de
Operation Hallux Valgus Orthinform What Is The Best Treatment For Hallux Valgus Radiographs of the foot are. Use warm soaks, ice packs, whirlpool, ultrasound and massage. Nonsurgical treatments that may relieve the pain and pressure of a bunion include: Orthopedics foot and ankle surgery. There are about 131 different surgical techniques. Learn more about the causes and treatments of this sometimes painful disorder. A bunion is a bony bump that forms on. What Is The Best Treatment For Hallux Valgus.
From healthjade.net
Hallux valgus deformity causes, hallux valgus bunion & treatment What Is The Best Treatment For Hallux Valgus Nonsurgical treatments that may relieve the pain and pressure of a bunion include: Diagnosis is made clinically with presence of a hallux that rests in a valgus and pronated position. A bunion is a bony bump that forms on the joint at the base of your big toe. Learn more about the causes and treatments of this sometimes painful disorder.. What Is The Best Treatment For Hallux Valgus.
From www.buchanan-clinic.co.uk
Hallux Valgus Causes, Symptoms, and Treatment Options What Is The Best Treatment For Hallux Valgus A bunion is a bony bump that forms on the joint at the base of your big toe. Radiographs of the foot are. However, no method is available thus far that. Use warm soaks, ice packs, whirlpool, ultrasound and massage. Nonsurgical treatments that may relieve the pain and pressure of a bunion include: Treatment for hallux valgus ranges from conservative. What Is The Best Treatment For Hallux Valgus.
From www.youtube.com
Hallux Valgus Orthopedic Surgery Video Lectures Medical Education What Is The Best Treatment For Hallux Valgus However, no method is available thus far that. A bunion is a bony bump that forms on the joint at the base of your big toe. Treatment for hallux valgus ranges from conservative to surgical management. Use warm soaks, ice packs, whirlpool, ultrasound and massage. Radiographs of the foot are. Orthopedics foot and ankle surgery. Nonsurgical treatments that may relieve. What Is The Best Treatment For Hallux Valgus.
From medicus.ca
Hallux Valgus Everything You Need To Know Médicus What Is The Best Treatment For Hallux Valgus Bunion surgery is done to reduce the pain and correct the deformity caused by a. Radiographs of the foot are. However, no method is available thus far that. There are about 131 different surgical techniques. Learn more about the causes and treatments of this sometimes painful disorder. Use warm soaks, ice packs, whirlpool, ultrasound and massage. Nonsurgical treatments that may. What Is The Best Treatment For Hallux Valgus.
From pt.slideshare.net
Hallux Valgus Tratamiento What Is The Best Treatment For Hallux Valgus Nonsurgical treatments that may relieve the pain and pressure of a bunion include: However, no method is available thus far that. Learn more about the causes and treatments of this sometimes painful disorder. There are about 131 different surgical techniques. Use warm soaks, ice packs, whirlpool, ultrasound and massage. Orthopedics foot and ankle surgery. Radiographs of the foot are. Bunion. What Is The Best Treatment For Hallux Valgus.
From facty.com
10 Symptoms and Treatments of Hallux Valgus Facty Health What Is The Best Treatment For Hallux Valgus Radiographs of the foot are. Nonsurgical treatments that may relieve the pain and pressure of a bunion include: Diagnosis is made clinically with presence of a hallux that rests in a valgus and pronated position. A bunion is a bony bump that forms on the joint at the base of your big toe. Use warm soaks, ice packs, whirlpool, ultrasound. What Is The Best Treatment For Hallux Valgus.
From www.amazon.com.au
Bunion Corrector & Bunion Relief Protector Sleeves Kit Treat Pain in What Is The Best Treatment For Hallux Valgus A bunion is a bony bump that forms on the joint at the base of your big toe. Use warm soaks, ice packs, whirlpool, ultrasound and massage. Learn more about the causes and treatments of this sometimes painful disorder. Radiographs of the foot are. Orthopedics foot and ankle surgery. Bunion surgery is done to reduce the pain and correct the. What Is The Best Treatment For Hallux Valgus.
From visamedicure.com
Hallux Varus Hallux Valgus Ankle & Foot ClinicDiabetes Foot clinic What Is The Best Treatment For Hallux Valgus Nonsurgical treatments that may relieve the pain and pressure of a bunion include: Orthopedics foot and ankle surgery. Use warm soaks, ice packs, whirlpool, ultrasound and massage. Diagnosis is made clinically with presence of a hallux that rests in a valgus and pronated position. Radiographs of the foot are. Treatment for hallux valgus ranges from conservative to surgical management. Learn. What Is The Best Treatment For Hallux Valgus.
From ar.inspiredpencil.com
Hallux Valgus Treatment What Is The Best Treatment For Hallux Valgus Bunion surgery is done to reduce the pain and correct the deformity caused by a. However, no method is available thus far that. There are about 131 different surgical techniques. A bunion is a bony bump that forms on the joint at the base of your big toe. Learn more about the causes and treatments of this sometimes painful disorder.. What Is The Best Treatment For Hallux Valgus.
From journals.sagepub.com
Clinical and imaging assessment and treatment of hallux valgus Nathan What Is The Best Treatment For Hallux Valgus Diagnosis is made clinically with presence of a hallux that rests in a valgus and pronated position. A bunion is a bony bump that forms on the joint at the base of your big toe. However, no method is available thus far that. Treatment for hallux valgus ranges from conservative to surgical management. Nonsurgical treatments that may relieve the pain. What Is The Best Treatment For Hallux Valgus.
From www.fesemi.org
o hallux valgus What Is The Best Treatment For Hallux Valgus Learn more about the causes and treatments of this sometimes painful disorder. Orthopedics foot and ankle surgery. A bunion is a bony bump that forms on the joint at the base of your big toe. There are about 131 different surgical techniques. Nonsurgical treatments that may relieve the pain and pressure of a bunion include: Diagnosis is made clinically with. What Is The Best Treatment For Hallux Valgus.
From thefootpractice.com
Guide Hallux Valgus & Hallux Valgus Treatments The Foot Practice What Is The Best Treatment For Hallux Valgus Treatment for hallux valgus ranges from conservative to surgical management. A bunion is a bony bump that forms on the joint at the base of your big toe. There are about 131 different surgical techniques. Nonsurgical treatments that may relieve the pain and pressure of a bunion include: Radiographs of the foot are. Diagnosis is made clinically with presence of. What Is The Best Treatment For Hallux Valgus.
From www.voetenenkelchirurg.be
Minimally invasive hallux valgus treatment Voet en enkel chirurgVoet What Is The Best Treatment For Hallux Valgus However, no method is available thus far that. There are about 131 different surgical techniques. Use warm soaks, ice packs, whirlpool, ultrasound and massage. Treatment for hallux valgus ranges from conservative to surgical management. Nonsurgical treatments that may relieve the pain and pressure of a bunion include: A bunion is a bony bump that forms on the joint at the. What Is The Best Treatment For Hallux Valgus.
From abulailcenter.com
HALLUX VALGUS CORRECTOR with Joint Abu Lail Medical & Sport Center What Is The Best Treatment For Hallux Valgus Bunion surgery is done to reduce the pain and correct the deformity caused by a. Nonsurgical treatments that may relieve the pain and pressure of a bunion include: However, no method is available thus far that. Use warm soaks, ice packs, whirlpool, ultrasound and massage. Radiographs of the foot are. A bunion is a bony bump that forms on the. What Is The Best Treatment For Hallux Valgus.
From www.shutterstock.com
Hallux Valgus Treatment Stock Photo 1034021434 Shutterstock What Is The Best Treatment For Hallux Valgus Orthopedics foot and ankle surgery. There are about 131 different surgical techniques. Radiographs of the foot are. However, no method is available thus far that. A bunion is a bony bump that forms on the joint at the base of your big toe. Treatment for hallux valgus ranges from conservative to surgical management. Use warm soaks, ice packs, whirlpool, ultrasound. What Is The Best Treatment For Hallux Valgus.
From boneandjoint.org.uk
Modern concepts in the treatment of hallux valgus Bone & Joint What Is The Best Treatment For Hallux Valgus Bunion surgery is done to reduce the pain and correct the deformity caused by a. There are about 131 different surgical techniques. Diagnosis is made clinically with presence of a hallux that rests in a valgus and pronated position. Nonsurgical treatments that may relieve the pain and pressure of a bunion include: However, no method is available thus far that.. What Is The Best Treatment For Hallux Valgus.
From mungfali.com
Hallux Valgus 9DB What Is The Best Treatment For Hallux Valgus Radiographs of the foot are. There are about 131 different surgical techniques. Bunion surgery is done to reduce the pain and correct the deformity caused by a. Treatment for hallux valgus ranges from conservative to surgical management. However, no method is available thus far that. Diagnosis is made clinically with presence of a hallux that rests in a valgus and. What Is The Best Treatment For Hallux Valgus.