Brackets Dientes Hacia Afuera . La técnica de odontología mas conservadora para arreglar los dientes inclinados hacia dentro o hacia fuera es la ortodoncia. Con la ayuda de un ortodoncista, un paciente puede optar por. El movimiento dental con los brackets se basa en la aplicación de fuerzas ligeras y constantes sobre los dientes, lo cual permite que estos se muevan gradualmente hasta alcanzar la posición deseada. ¿cómo funcionan los brackets en el movimiento dental? Este proceso puede llevar tiempo, ya que depende de la naturaleza y gravedad de la maloclusión. Un ortodoncista podrá evaluar tu caso. Sin embargo, es posible que, después de retirar tus brackets, notes que algunos de tus dientes han quedado hacia afuera. Es un tipo de maloclusión no muy común y si se toman las medidas adecuadas en la infancia es posible corregirla sin tratamiento. La ortodoncia es una opción muy efectiva para corregir los dientes abiertos. La ortodoncia es una solución popular para los dientes que están hacia afuera. Una mordida abierta ocurre cuando los dientes frontales inferiores y superiores se inclinan hacia afuera y no se tocan al morder.
from www.youtube.com
¿cómo funcionan los brackets en el movimiento dental? Este proceso puede llevar tiempo, ya que depende de la naturaleza y gravedad de la maloclusión. El movimiento dental con los brackets se basa en la aplicación de fuerzas ligeras y constantes sobre los dientes, lo cual permite que estos se muevan gradualmente hasta alcanzar la posición deseada. La técnica de odontología mas conservadora para arreglar los dientes inclinados hacia dentro o hacia fuera es la ortodoncia. La ortodoncia es una opción muy efectiva para corregir los dientes abiertos. Una mordida abierta ocurre cuando los dientes frontales inferiores y superiores se inclinan hacia afuera y no se tocan al morder. La ortodoncia es una solución popular para los dientes que están hacia afuera. Con la ayuda de un ortodoncista, un paciente puede optar por. Sin embargo, es posible que, después de retirar tus brackets, notes que algunos de tus dientes han quedado hacia afuera. Es un tipo de maloclusión no muy común y si se toman las medidas adecuadas en la infancia es posible corregirla sin tratamiento.
MI EXPERIENCIA CON BRACKETS ¡ME COLOCAN TORNILLO EN ORTODONCIA Y LO
Brackets Dientes Hacia Afuera Sin embargo, es posible que, después de retirar tus brackets, notes que algunos de tus dientes han quedado hacia afuera. La ortodoncia es una solución popular para los dientes que están hacia afuera. El movimiento dental con los brackets se basa en la aplicación de fuerzas ligeras y constantes sobre los dientes, lo cual permite que estos se muevan gradualmente hasta alcanzar la posición deseada. La ortodoncia es una opción muy efectiva para corregir los dientes abiertos. Es un tipo de maloclusión no muy común y si se toman las medidas adecuadas en la infancia es posible corregirla sin tratamiento. Este proceso puede llevar tiempo, ya que depende de la naturaleza y gravedad de la maloclusión. Un ortodoncista podrá evaluar tu caso. La técnica de odontología mas conservadora para arreglar los dientes inclinados hacia dentro o hacia fuera es la ortodoncia. ¿cómo funcionan los brackets en el movimiento dental? Sin embargo, es posible que, después de retirar tus brackets, notes que algunos de tus dientes han quedado hacia afuera. Con la ayuda de un ortodoncista, un paciente puede optar por. Una mordida abierta ocurre cuando los dientes frontales inferiores y superiores se inclinan hacia afuera y no se tocan al morder.
From www.youtube.com
CUÁNTO USARÉ LOS BRACKETS TIEMPOS DE LA ORTODONCIA YouTube Brackets Dientes Hacia Afuera Con la ayuda de un ortodoncista, un paciente puede optar por. Una mordida abierta ocurre cuando los dientes frontales inferiores y superiores se inclinan hacia afuera y no se tocan al morder. El movimiento dental con los brackets se basa en la aplicación de fuerzas ligeras y constantes sobre los dientes, lo cual permite que estos se muevan gradualmente hasta. Brackets Dientes Hacia Afuera.
From consultorioodontologicodelhuila.com
Corrigiendo Dientes inclinados hacia un lado mediante Ortodoncia Brackets Dientes Hacia Afuera ¿cómo funcionan los brackets en el movimiento dental? Una mordida abierta ocurre cuando los dientes frontales inferiores y superiores se inclinan hacia afuera y no se tocan al morder. Un ortodoncista podrá evaluar tu caso. Es un tipo de maloclusión no muy común y si se toman las medidas adecuadas en la infancia es posible corregirla sin tratamiento. La ortodoncia. Brackets Dientes Hacia Afuera.
From diariocorreo.pe
Brackets ¿Por qué se mueven los dientes después de haberlos usado Brackets Dientes Hacia Afuera Una mordida abierta ocurre cuando los dientes frontales inferiores y superiores se inclinan hacia afuera y no se tocan al morder. Sin embargo, es posible que, después de retirar tus brackets, notes que algunos de tus dientes han quedado hacia afuera. Un ortodoncista podrá evaluar tu caso. La ortodoncia es una solución popular para los dientes que están hacia afuera.. Brackets Dientes Hacia Afuera.
From www.clinicadentalfabianlopez.com
TIPOS DE BRACKETS Clínica Dental Fabián López Brackets Dientes Hacia Afuera La ortodoncia es una solución popular para los dientes que están hacia afuera. Sin embargo, es posible que, después de retirar tus brackets, notes que algunos de tus dientes han quedado hacia afuera. Con la ayuda de un ortodoncista, un paciente puede optar por. Un ortodoncista podrá evaluar tu caso. El movimiento dental con los brackets se basa en la. Brackets Dientes Hacia Afuera.
From www.youtube.com
Mini Tornillos en Ortodoncia para arreglar dientes de adelante que Brackets Dientes Hacia Afuera Este proceso puede llevar tiempo, ya que depende de la naturaleza y gravedad de la maloclusión. Con la ayuda de un ortodoncista, un paciente puede optar por. El movimiento dental con los brackets se basa en la aplicación de fuerzas ligeras y constantes sobre los dientes, lo cual permite que estos se muevan gradualmente hasta alcanzar la posición deseada. Un. Brackets Dientes Hacia Afuera.
From www.youtube.com
¡BRACKETS! Ortodoncia con DIENTES con ENDODONCIA (TRATAMIENTOS DE Brackets Dientes Hacia Afuera El movimiento dental con los brackets se basa en la aplicación de fuerzas ligeras y constantes sobre los dientes, lo cual permite que estos se muevan gradualmente hasta alcanzar la posición deseada. La ortodoncia es una solución popular para los dientes que están hacia afuera. Un ortodoncista podrá evaluar tu caso. La técnica de odontología mas conservadora para arreglar los. Brackets Dientes Hacia Afuera.
From dentiplanet-ortodoncia.blogspot.com
Blog Ortodoncia ¿Puedo colocarme brackets si se me mueven Brackets Dientes Hacia Afuera Un ortodoncista podrá evaluar tu caso. La ortodoncia es una solución popular para los dientes que están hacia afuera. Este proceso puede llevar tiempo, ya que depende de la naturaleza y gravedad de la maloclusión. El movimiento dental con los brackets se basa en la aplicación de fuerzas ligeras y constantes sobre los dientes, lo cual permite que estos se. Brackets Dientes Hacia Afuera.
From www.youtube.com
DIENTES VOLADOS O HACIA AFUERA DESPUÉS DE LA ORTODONCIA / ¿POR QUÉ PASA Brackets Dientes Hacia Afuera Con la ayuda de un ortodoncista, un paciente puede optar por. La técnica de odontología mas conservadora para arreglar los dientes inclinados hacia dentro o hacia fuera es la ortodoncia. ¿cómo funcionan los brackets en el movimiento dental? La ortodoncia es una solución popular para los dientes que están hacia afuera. Es un tipo de maloclusión no muy común y. Brackets Dientes Hacia Afuera.
From gonzalezdans.com
Ortodoncia invisible en Coruña Precio de ortodoncia transparente Brackets Dientes Hacia Afuera La ortodoncia es una solución popular para los dientes que están hacia afuera. La técnica de odontología mas conservadora para arreglar los dientes inclinados hacia dentro o hacia fuera es la ortodoncia. La ortodoncia es una opción muy efectiva para corregir los dientes abiertos. Con la ayuda de un ortodoncista, un paciente puede optar por. Es un tipo de maloclusión. Brackets Dientes Hacia Afuera.
From orthodonticsinlondon.co.uk
Oh No! My Bracket fell off! Orthodontics in London Brackets Dientes Hacia Afuera La técnica de odontología mas conservadora para arreglar los dientes inclinados hacia dentro o hacia fuera es la ortodoncia. Con la ayuda de un ortodoncista, un paciente puede optar por. La ortodoncia es una solución popular para los dientes que están hacia afuera. ¿cómo funcionan los brackets en el movimiento dental? Un ortodoncista podrá evaluar tu caso. Sin embargo, es. Brackets Dientes Hacia Afuera.
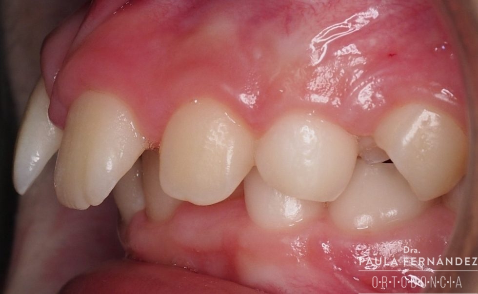
From paulafernandez.com
Dientes superiores hacia afuera Paula Fernández Riveiro Brackets Dientes Hacia Afuera Este proceso puede llevar tiempo, ya que depende de la naturaleza y gravedad de la maloclusión. Una mordida abierta ocurre cuando los dientes frontales inferiores y superiores se inclinan hacia afuera y no se tocan al morder. Un ortodoncista podrá evaluar tu caso. ¿cómo funcionan los brackets en el movimiento dental? La ortodoncia es una solución popular para los dientes. Brackets Dientes Hacia Afuera.
From www.youtube.com
🧐¿Se pueden 𝗣𝗢𝗡𝗘𝗥 𝗕𝗥𝗔𝗖𝗞𝗘𝗧𝗦 si faltan MUELAS O DIENTES? Ortodoncia con Brackets Dientes Hacia Afuera Con la ayuda de un ortodoncista, un paciente puede optar por. El movimiento dental con los brackets se basa en la aplicación de fuerzas ligeras y constantes sobre los dientes, lo cual permite que estos se muevan gradualmente hasta alcanzar la posición deseada. Es un tipo de maloclusión no muy común y si se toman las medidas adecuadas en la. Brackets Dientes Hacia Afuera.
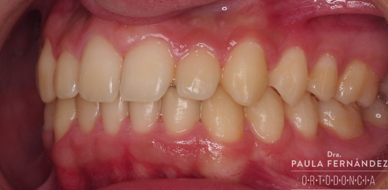
From paulafernandez.com
Dientes superiores hacia afuera Paula Fernández Riveiro Brackets Dientes Hacia Afuera Sin embargo, es posible que, después de retirar tus brackets, notes que algunos de tus dientes han quedado hacia afuera. Un ortodoncista podrá evaluar tu caso. ¿cómo funcionan los brackets en el movimiento dental? Es un tipo de maloclusión no muy común y si se toman las medidas adecuadas en la infancia es posible corregirla sin tratamiento. Este proceso puede. Brackets Dientes Hacia Afuera.
From www.youtube.com
ARREGLAR los dientes 𝐒𝐈𝐍 𝐁𝐑𝐀𝐂𝐊𝐄𝐓𝐒?🔵 Como funciona la ORTODONCIA Brackets Dientes Hacia Afuera El movimiento dental con los brackets se basa en la aplicación de fuerzas ligeras y constantes sobre los dientes, lo cual permite que estos se muevan gradualmente hasta alcanzar la posición deseada. La técnica de odontología mas conservadora para arreglar los dientes inclinados hacia dentro o hacia fuera es la ortodoncia. Es un tipo de maloclusión no muy común y. Brackets Dientes Hacia Afuera.
From paulafernandez.com
Dientes superiores hacia afuera Paula Fernández Riveiro Brackets Dientes Hacia Afuera Este proceso puede llevar tiempo, ya que depende de la naturaleza y gravedad de la maloclusión. Con la ayuda de un ortodoncista, un paciente puede optar por. El movimiento dental con los brackets se basa en la aplicación de fuerzas ligeras y constantes sobre los dientes, lo cual permite que estos se muevan gradualmente hasta alcanzar la posición deseada. La. Brackets Dientes Hacia Afuera.
From clinicadentalirriakbilbao.es
Consejos para el Cuidado de los Dientes Después de los Brackets Blog Brackets Dientes Hacia Afuera La técnica de odontología mas conservadora para arreglar los dientes inclinados hacia dentro o hacia fuera es la ortodoncia. El movimiento dental con los brackets se basa en la aplicación de fuerzas ligeras y constantes sobre los dientes, lo cual permite que estos se muevan gradualmente hasta alcanzar la posición deseada. Sin embargo, es posible que, después de retirar tus. Brackets Dientes Hacia Afuera.
From www.youtube.com
COLOCACIÓN DE BRACKETS EN VIVO Apiñamiento Superior e inferior YouTube Brackets Dientes Hacia Afuera La ortodoncia es una solución popular para los dientes que están hacia afuera. Es un tipo de maloclusión no muy común y si se toman las medidas adecuadas en la infancia es posible corregirla sin tratamiento. La ortodoncia es una opción muy efectiva para corregir los dientes abiertos. Un ortodoncista podrá evaluar tu caso. Una mordida abierta ocurre cuando los. Brackets Dientes Hacia Afuera.
From orgazdentalmostoles.es
Tratamiento de ortodoncia con brackets para solucionar apiñamiento Brackets Dientes Hacia Afuera Este proceso puede llevar tiempo, ya que depende de la naturaleza y gravedad de la maloclusión. Es un tipo de maloclusión no muy común y si se toman las medidas adecuadas en la infancia es posible corregirla sin tratamiento. Con la ayuda de un ortodoncista, un paciente puede optar por. El movimiento dental con los brackets se basa en la. Brackets Dientes Hacia Afuera.
From prodentalsantacruz.es
Protrusión dental qué es y cómo se presenta Clínica Dental Prodental Brackets Dientes Hacia Afuera La ortodoncia es una opción muy efectiva para corregir los dientes abiertos. ¿cómo funcionan los brackets en el movimiento dental? Es un tipo de maloclusión no muy común y si se toman las medidas adecuadas en la infancia es posible corregirla sin tratamiento. Con la ayuda de un ortodoncista, un paciente puede optar por. Un ortodoncista podrá evaluar tu caso.. Brackets Dientes Hacia Afuera.
From mavink.com
Tipos De Mordeduras Brackets Dientes Hacia Afuera Este proceso puede llevar tiempo, ya que depende de la naturaleza y gravedad de la maloclusión. Una mordida abierta ocurre cuando los dientes frontales inferiores y superiores se inclinan hacia afuera y no se tocan al morder. Es un tipo de maloclusión no muy común y si se toman las medidas adecuadas en la infancia es posible corregirla sin tratamiento.. Brackets Dientes Hacia Afuera.
From www.pinterest.com.mx
Pin de gracie gonzalez en Dental Tecnicas de cepillado dental Brackets Dientes Hacia Afuera Con la ayuda de un ortodoncista, un paciente puede optar por. La ortodoncia es una opción muy efectiva para corregir los dientes abiertos. ¿cómo funcionan los brackets en el movimiento dental? Este proceso puede llevar tiempo, ya que depende de la naturaleza y gravedad de la maloclusión. El movimiento dental con los brackets se basa en la aplicación de fuerzas. Brackets Dientes Hacia Afuera.
From paulafernandez.com
Dientes superiores hacia afuera Paula Fernández Riveiro Brackets Dientes Hacia Afuera Un ortodoncista podrá evaluar tu caso. Con la ayuda de un ortodoncista, un paciente puede optar por. Una mordida abierta ocurre cuando los dientes frontales inferiores y superiores se inclinan hacia afuera y no se tocan al morder. Este proceso puede llevar tiempo, ya que depende de la naturaleza y gravedad de la maloclusión. La técnica de odontología mas conservadora. Brackets Dientes Hacia Afuera.
From sersaludables.org
Asegure el resultado de su tratamiento con brackets Ser Saludables Brackets Dientes Hacia Afuera Un ortodoncista podrá evaluar tu caso. La ortodoncia es una solución popular para los dientes que están hacia afuera. La técnica de odontología mas conservadora para arreglar los dientes inclinados hacia dentro o hacia fuera es la ortodoncia. Este proceso puede llevar tiempo, ya que depende de la naturaleza y gravedad de la maloclusión. Es un tipo de maloclusión no. Brackets Dientes Hacia Afuera.
From asociacionapnes.com
Guía completa Cómo eliminar el sarro de los dientes con agua oxigenada Brackets Dientes Hacia Afuera Un ortodoncista podrá evaluar tu caso. Es un tipo de maloclusión no muy común y si se toman las medidas adecuadas en la infancia es posible corregirla sin tratamiento. Una mordida abierta ocurre cuando los dientes frontales inferiores y superiores se inclinan hacia afuera y no se tocan al morder. El movimiento dental con los brackets se basa en la. Brackets Dientes Hacia Afuera.
From www.youtube.com
MI EXPERIENCIA CON BRACKETS ¡ME COLOCAN TORNILLO EN ORTODONCIA Y LO Brackets Dientes Hacia Afuera ¿cómo funcionan los brackets en el movimiento dental? La ortodoncia es una solución popular para los dientes que están hacia afuera. Con la ayuda de un ortodoncista, un paciente puede optar por. La ortodoncia es una opción muy efectiva para corregir los dientes abiertos. Una mordida abierta ocurre cuando los dientes frontales inferiores y superiores se inclinan hacia afuera y. Brackets Dientes Hacia Afuera.
From dentart.cl
Ortodoncia con Brackets, Frenillos o Alineadores Clinica de Estética Brackets Dientes Hacia Afuera Este proceso puede llevar tiempo, ya que depende de la naturaleza y gravedad de la maloclusión. La ortodoncia es una opción muy efectiva para corregir los dientes abiertos. Es un tipo de maloclusión no muy común y si se toman las medidas adecuadas en la infancia es posible corregirla sin tratamiento. Una mordida abierta ocurre cuando los dientes frontales inferiores. Brackets Dientes Hacia Afuera.
From soluciondental.pe
Extracciones en ortodoncia ¿Cuándo son necesarias? Solución Dental Brackets Dientes Hacia Afuera Este proceso puede llevar tiempo, ya que depende de la naturaleza y gravedad de la maloclusión. El movimiento dental con los brackets se basa en la aplicación de fuerzas ligeras y constantes sobre los dientes, lo cual permite que estos se muevan gradualmente hasta alcanzar la posición deseada. Sin embargo, es posible que, después de retirar tus brackets, notes que. Brackets Dientes Hacia Afuera.
From clinicasancal.es
Problemas de alineación o maloclusión de los dientes Brackets Dientes Hacia Afuera La técnica de odontología mas conservadora para arreglar los dientes inclinados hacia dentro o hacia fuera es la ortodoncia. Sin embargo, es posible que, después de retirar tus brackets, notes que algunos de tus dientes han quedado hacia afuera. ¿cómo funcionan los brackets en el movimiento dental? La ortodoncia es una solución popular para los dientes que están hacia afuera.. Brackets Dientes Hacia Afuera.
From www.youtube.com
Ortodoncia Contenedores placas Ortodoncia. Contension despues de la Brackets Dientes Hacia Afuera Una mordida abierta ocurre cuando los dientes frontales inferiores y superiores se inclinan hacia afuera y no se tocan al morder. Este proceso puede llevar tiempo, ya que depende de la naturaleza y gravedad de la maloclusión. La ortodoncia es una solución popular para los dientes que están hacia afuera. Sin embargo, es posible que, después de retirar tus brackets,. Brackets Dientes Hacia Afuera.
From dentiplanet-ortodoncia.blogspot.com
Blog Ortodoncia abril 2011 Brackets Dientes Hacia Afuera Con la ayuda de un ortodoncista, un paciente puede optar por. La ortodoncia es una opción muy efectiva para corregir los dientes abiertos. El movimiento dental con los brackets se basa en la aplicación de fuerzas ligeras y constantes sobre los dientes, lo cual permite que estos se muevan gradualmente hasta alcanzar la posición deseada. Es un tipo de maloclusión. Brackets Dientes Hacia Afuera.
From ventureiraaguilera.com
CASO CLÍNICO 3 Clase II los dientes superiores están muy por delante Brackets Dientes Hacia Afuera La ortodoncia es una solución popular para los dientes que están hacia afuera. Una mordida abierta ocurre cuando los dientes frontales inferiores y superiores se inclinan hacia afuera y no se tocan al morder. Es un tipo de maloclusión no muy común y si se toman las medidas adecuadas en la infancia es posible corregirla sin tratamiento. La ortodoncia es. Brackets Dientes Hacia Afuera.
From www.youtube.com
MI EXPERIENCIA CON BRACKETS ANTES Y DESPUES AVANCES 1 AÑO YouTube Brackets Dientes Hacia Afuera ¿cómo funcionan los brackets en el movimiento dental? Con la ayuda de un ortodoncista, un paciente puede optar por. La ortodoncia es una solución popular para los dientes que están hacia afuera. Este proceso puede llevar tiempo, ya que depende de la naturaleza y gravedad de la maloclusión. Sin embargo, es posible que, después de retirar tus brackets, notes que. Brackets Dientes Hacia Afuera.
From paulafernandez.com
Dientes superiores hacia afuera Paula Fernández Riveiro Brackets Dientes Hacia Afuera Este proceso puede llevar tiempo, ya que depende de la naturaleza y gravedad de la maloclusión. El movimiento dental con los brackets se basa en la aplicación de fuerzas ligeras y constantes sobre los dientes, lo cual permite que estos se muevan gradualmente hasta alcanzar la posición deseada. Un ortodoncista podrá evaluar tu caso. La técnica de odontología mas conservadora. Brackets Dientes Hacia Afuera.
From www.youtube.com
CORRECCIÓN de Mordida Clase 2 con BRACKETS y MINITORNILLOS "siento Brackets Dientes Hacia Afuera La técnica de odontología mas conservadora para arreglar los dientes inclinados hacia dentro o hacia fuera es la ortodoncia. ¿cómo funcionan los brackets en el movimiento dental? Un ortodoncista podrá evaluar tu caso. Sin embargo, es posible que, después de retirar tus brackets, notes que algunos de tus dientes han quedado hacia afuera. Es un tipo de maloclusión no muy. Brackets Dientes Hacia Afuera.
From www.youtube.com
🔥Arregla tus 𝑫𝑰𝑬𝑵𝑻𝑬𝑺 𝑻𝑶𝑹𝑪𝑰𝑫𝑶𝑺 𝒔𝒊𝒏 𝑩𝑹𝑨𝑪𝑲𝑬𝑻𝑺 tradicionales. Ortodoncia Brackets Dientes Hacia Afuera La ortodoncia es una opción muy efectiva para corregir los dientes abiertos. Una mordida abierta ocurre cuando los dientes frontales inferiores y superiores se inclinan hacia afuera y no se tocan al morder. El movimiento dental con los brackets se basa en la aplicación de fuerzas ligeras y constantes sobre los dientes, lo cual permite que estos se muevan gradualmente. Brackets Dientes Hacia Afuera.