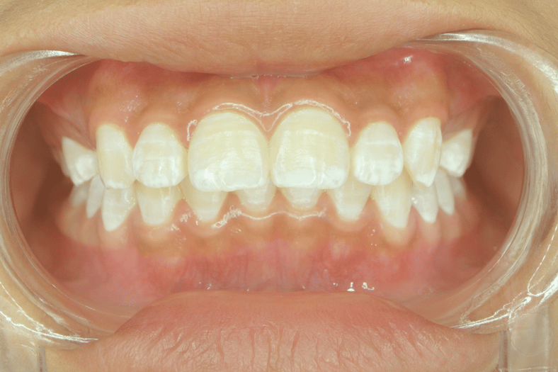
What Does It Mean When You Get White Marks On Your Teeth . white spots on the teeth may be a sign of decay, so it’s important to identify the cause. With fluorosis, an excessive amount of. This typically happens as a. It sounds a bit scary, but. white spots on your teeth, also known as white spot lesions, are places where the surface enamel is decalcified. Causes of white spots on. white spots, or enamel hypoplasia, can occur on your teeth due to several internal or external reasons, including medications, diet,. Picture of white spots on teeth. They appear as bright white opacities. white spots on your teeth are a form of acute discoloration known as decalcification. Just as you can have too little of a vitamin or mineral, you can have too much of one too. white spots on teeth, also known as white spot lesions, are usually indicative of tooth decay.
from lafayettedentistchauvin.com
white spots on your teeth, also known as white spot lesions, are places where the surface enamel is decalcified. white spots, or enamel hypoplasia, can occur on your teeth due to several internal or external reasons, including medications, diet,. white spots on the teeth may be a sign of decay, so it’s important to identify the cause. This typically happens as a. Just as you can have too little of a vitamin or mineral, you can have too much of one too. It sounds a bit scary, but. Picture of white spots on teeth. Causes of white spots on. With fluorosis, an excessive amount of. They appear as bright white opacities.
How to get rid of white spots on your teeth Dr Chauvin
What Does It Mean When You Get White Marks On Your Teeth white spots on teeth, also known as white spot lesions, are usually indicative of tooth decay. It sounds a bit scary, but. With fluorosis, an excessive amount of. This typically happens as a. white spots, or enamel hypoplasia, can occur on your teeth due to several internal or external reasons, including medications, diet,. white spots on teeth, also known as white spot lesions, are usually indicative of tooth decay. Causes of white spots on. Picture of white spots on teeth. white spots on your teeth, also known as white spot lesions, are places where the surface enamel is decalcified. white spots on the teeth may be a sign of decay, so it’s important to identify the cause. They appear as bright white opacities. white spots on your teeth are a form of acute discoloration known as decalcification. Just as you can have too little of a vitamin or mineral, you can have too much of one too.
From smilestories.co
Our Guide to White Spots on Teeth Smile Stories What Does It Mean When You Get White Marks On Your Teeth Picture of white spots on teeth. Just as you can have too little of a vitamin or mineral, you can have too much of one too. They appear as bright white opacities. white spots, or enamel hypoplasia, can occur on your teeth due to several internal or external reasons, including medications, diet,. white spots on the teeth may. What Does It Mean When You Get White Marks On Your Teeth.
From www.smileworksliverpool.co.uk
White Marks on Teeth How to Remove Them Price, Review & pictures What Does It Mean When You Get White Marks On Your Teeth white spots on your teeth are a form of acute discoloration known as decalcification. white spots on teeth, also known as white spot lesions, are usually indicative of tooth decay. Just as you can have too little of a vitamin or mineral, you can have too much of one too. With fluorosis, an excessive amount of. Picture of. What Does It Mean When You Get White Marks On Your Teeth.
From www.dentalclinic-knet.com
What are WHITE SPOTS on Teeth Telling YOU? Dental Clinic What Does It Mean When You Get White Marks On Your Teeth Causes of white spots on. Just as you can have too little of a vitamin or mineral, you can have too much of one too. white spots on your teeth, also known as white spot lesions, are places where the surface enamel is decalcified. white spots on teeth, also known as white spot lesions, are usually indicative of. What Does It Mean When You Get White Marks On Your Teeth.
From bamberbridgedentalcare.co.uk
White Spot On Teeth Treatment Bamber Bridge Dental What Does It Mean When You Get White Marks On Your Teeth This typically happens as a. white spots on your teeth are a form of acute discoloration known as decalcification. white spots on teeth, also known as white spot lesions, are usually indicative of tooth decay. white spots, or enamel hypoplasia, can occur on your teeth due to several internal or external reasons, including medications, diet,. They appear. What Does It Mean When You Get White Marks On Your Teeth.
From www.youtube.com
What Causes White Spots on Teeth and How to Get Rid of Them! YouTube What Does It Mean When You Get White Marks On Your Teeth white spots, or enamel hypoplasia, can occur on your teeth due to several internal or external reasons, including medications, diet,. Picture of white spots on teeth. It sounds a bit scary, but. They appear as bright white opacities. white spots on the teeth may be a sign of decay, so it’s important to identify the cause. With fluorosis,. What Does It Mean When You Get White Marks On Your Teeth.
From risingcolours.blogspot.com
How To Get Rid Of White Spots On Teeth Quickly How Can I Get Rid Of What Does It Mean When You Get White Marks On Your Teeth With fluorosis, an excessive amount of. white spots on your teeth, also known as white spot lesions, are places where the surface enamel is decalcified. They appear as bright white opacities. Just as you can have too little of a vitamin or mineral, you can have too much of one too. white spots on teeth, also known as. What Does It Mean When You Get White Marks On Your Teeth.
From savannahdentalsolutions.com
white spots on teeth Archives Savannah What Does It Mean When You Get White Marks On Your Teeth This typically happens as a. Just as you can have too little of a vitamin or mineral, you can have too much of one too. It sounds a bit scary, but. They appear as bright white opacities. Causes of white spots on. white spots on your teeth are a form of acute discoloration known as decalcification. With fluorosis, an. What Does It Mean When You Get White Marks On Your Teeth.
From www.dazzlingwhiteteethhq.com
White Spots on Teeth? Dazzling White Teeth HQ What Does It Mean When You Get White Marks On Your Teeth They appear as bright white opacities. With fluorosis, an excessive amount of. white spots, or enamel hypoplasia, can occur on your teeth due to several internal or external reasons, including medications, diet,. white spots on your teeth are a form of acute discoloration known as decalcification. Causes of white spots on. white spots on the teeth may. What Does It Mean When You Get White Marks On Your Teeth.
From teethposter.blogspot.com
How To Rid Of White Spots On Teeth Teeth Poster What Does It Mean When You Get White Marks On Your Teeth They appear as bright white opacities. white spots, or enamel hypoplasia, can occur on your teeth due to several internal or external reasons, including medications, diet,. Just as you can have too little of a vitamin or mineral, you can have too much of one too. white spots on teeth, also known as white spot lesions, are usually. What Does It Mean When You Get White Marks On Your Teeth.
From www.putnamorthodontics.com
Braces Stains on Teeth Causes, Prevention Tips & Treatment What Does It Mean When You Get White Marks On Your Teeth Just as you can have too little of a vitamin or mineral, you can have too much of one too. white spots on your teeth are a form of acute discoloration known as decalcification. It sounds a bit scary, but. white spots on teeth, also known as white spot lesions, are usually indicative of tooth decay. With fluorosis,. What Does It Mean When You Get White Marks On Your Teeth.
From www.goldenstatedentistry.com
White Spots on Teeth Causes, Treatment, and Prevention What Does It Mean When You Get White Marks On Your Teeth With fluorosis, an excessive amount of. white spots on teeth, also known as white spot lesions, are usually indicative of tooth decay. white spots, or enamel hypoplasia, can occur on your teeth due to several internal or external reasons, including medications, diet,. white spots on the teeth may be a sign of decay, so it’s important to. What Does It Mean When You Get White Marks On Your Teeth.
From lafayettedentistchauvin.com
How to get rid of white spots on your teeth Dr Chauvin What Does It Mean When You Get White Marks On Your Teeth They appear as bright white opacities. white spots on teeth, also known as white spot lesions, are usually indicative of tooth decay. This typically happens as a. white spots on your teeth are a form of acute discoloration known as decalcification. Just as you can have too little of a vitamin or mineral, you can have too much. What Does It Mean When You Get White Marks On Your Teeth.
From www.healthline.com
What Does a Cavity Look Like? Symptoms and When to See a Dentist What Does It Mean When You Get White Marks On Your Teeth white spots on your teeth are a form of acute discoloration known as decalcification. They appear as bright white opacities. Causes of white spots on. white spots, or enamel hypoplasia, can occur on your teeth due to several internal or external reasons, including medications, diet,. It sounds a bit scary, but. With fluorosis, an excessive amount of. This. What Does It Mean When You Get White Marks On Your Teeth.
From www.nagato.cc
How To Get Rid Of White Spots On Teeth From Braces What Does It Mean When You Get White Marks On Your Teeth white spots, or enamel hypoplasia, can occur on your teeth due to several internal or external reasons, including medications, diet,. With fluorosis, an excessive amount of. This typically happens as a. white spots on your teeth, also known as white spot lesions, are places where the surface enamel is decalcified. It sounds a bit scary, but. Causes of. What Does It Mean When You Get White Marks On Your Teeth.
From www.youtube.com
What Causes White Spots on Teeth How To Cure it Home Remedies YouTube What Does It Mean When You Get White Marks On Your Teeth They appear as bright white opacities. white spots on teeth, also known as white spot lesions, are usually indicative of tooth decay. white spots on the teeth may be a sign of decay, so it’s important to identify the cause. white spots on your teeth, also known as white spot lesions, are places where the surface enamel. What Does It Mean When You Get White Marks On Your Teeth.
From www.teethtalkgirl.com
9 Reasons Why You Have White Spots On Your Teeth What Does It Mean When You Get White Marks On Your Teeth Causes of white spots on. Picture of white spots on teeth. white spots on teeth, also known as white spot lesions, are usually indicative of tooth decay. Just as you can have too little of a vitamin or mineral, you can have too much of one too. white spots on your teeth, also known as white spot lesions,. What Does It Mean When You Get White Marks On Your Teeth.
From www.medicalnewstoday.com
White spots on teeth 11 tips on how to get rid of them What Does It Mean When You Get White Marks On Your Teeth Causes of white spots on. white spots on your teeth are a form of acute discoloration known as decalcification. white spots on your teeth, also known as white spot lesions, are places where the surface enamel is decalcified. white spots on the teeth may be a sign of decay, so it’s important to identify the cause. It. What Does It Mean When You Get White Marks On Your Teeth.
From www.smileworksliverpool.co.uk
White Marks on Teeth How to Remove Them Price, Review & pictures What Does It Mean When You Get White Marks On Your Teeth white spots, or enamel hypoplasia, can occur on your teeth due to several internal or external reasons, including medications, diet,. white spots on your teeth are a form of acute discoloration known as decalcification. Causes of white spots on. white spots on the teeth may be a sign of decay, so it’s important to identify the cause.. What Does It Mean When You Get White Marks On Your Teeth.
From drmiski.com
CAUSES OF WHITE SPOTS ON YOUR TEETH? Dr. Miski What Does It Mean When You Get White Marks On Your Teeth With fluorosis, an excessive amount of. This typically happens as a. white spots on the teeth may be a sign of decay, so it’s important to identify the cause. They appear as bright white opacities. white spots, or enamel hypoplasia, can occur on your teeth due to several internal or external reasons, including medications, diet,. Just as you. What Does It Mean When You Get White Marks On Your Teeth.
From whitechoices.blogspot.com
What Are The White Spots On Your Teeth White Choices What Does It Mean When You Get White Marks On Your Teeth With fluorosis, an excessive amount of. It sounds a bit scary, but. Causes of white spots on. Just as you can have too little of a vitamin or mineral, you can have too much of one too. white spots on teeth, also known as white spot lesions, are usually indicative of tooth decay. This typically happens as a. Picture. What Does It Mean When You Get White Marks On Your Teeth.
From www.youtube.com
How To Get Rid of White Stains on Teeth with Home Remedies Get Rid of What Does It Mean When You Get White Marks On Your Teeth white spots on your teeth are a form of acute discoloration known as decalcification. white spots on the teeth may be a sign of decay, so it’s important to identify the cause. Just as you can have too little of a vitamin or mineral, you can have too much of one too. white spots on your teeth,. What Does It Mean When You Get White Marks On Your Teeth.
From www.youtube.com
What Causes White Spots On Baby Teeth? AC Pediatric Dentistry What Does It Mean When You Get White Marks On Your Teeth white spots on your teeth are a form of acute discoloration known as decalcification. It sounds a bit scary, but. With fluorosis, an excessive amount of. This typically happens as a. white spots on the teeth may be a sign of decay, so it’s important to identify the cause. white spots, or enamel hypoplasia, can occur on. What Does It Mean When You Get White Marks On Your Teeth.
From teethwalls.blogspot.com
Whats The White Stuff On Your Teeth TeethWalls What Does It Mean When You Get White Marks On Your Teeth white spots on teeth, also known as white spot lesions, are usually indicative of tooth decay. Picture of white spots on teeth. white spots, or enamel hypoplasia, can occur on your teeth due to several internal or external reasons, including medications, diet,. white spots on your teeth are a form of acute discoloration known as decalcification. This. What Does It Mean When You Get White Marks On Your Teeth.
From trustdentalcare.com
What do White Spots on Your Teeth Mean? (How to Get Rid of Them) What Does It Mean When You Get White Marks On Your Teeth white spots on your teeth are a form of acute discoloration known as decalcification. white spots on your teeth, also known as white spot lesions, are places where the surface enamel is decalcified. white spots on teeth, also known as white spot lesions, are usually indicative of tooth decay. white spots on the teeth may be. What Does It Mean When You Get White Marks On Your Teeth.
From www.stellardental.my
White Spots on Teeth Causes & How to Get Rid of Them What Does It Mean When You Get White Marks On Your Teeth With fluorosis, an excessive amount of. white spots on your teeth are a form of acute discoloration known as decalcification. Picture of white spots on teeth. white spots on the teeth may be a sign of decay, so it’s important to identify the cause. It sounds a bit scary, but. white spots on your teeth, also known. What Does It Mean When You Get White Marks On Your Teeth.
From hancockvillagedental.com
Different Types Of White Spots on Teeth and What They Mean Hancock What Does It Mean When You Get White Marks On Your Teeth Causes of white spots on. They appear as bright white opacities. Just as you can have too little of a vitamin or mineral, you can have too much of one too. white spots on the teeth may be a sign of decay, so it’s important to identify the cause. white spots on your teeth are a form of. What Does It Mean When You Get White Marks On Your Teeth.
From www.balsallcommondental.com
What to Do About White Spots On Your Teeth Balsall Common Dental What Does It Mean When You Get White Marks On Your Teeth white spots on your teeth are a form of acute discoloration known as decalcification. This typically happens as a. With fluorosis, an excessive amount of. Just as you can have too little of a vitamin or mineral, you can have too much of one too. Causes of white spots on. white spots, or enamel hypoplasia, can occur on. What Does It Mean When You Get White Marks On Your Teeth.
From mavink.com
White Spots On Teeth Before And After What Does It Mean When You Get White Marks On Your Teeth white spots on the teeth may be a sign of decay, so it’s important to identify the cause. white spots on your teeth, also known as white spot lesions, are places where the surface enamel is decalcified. white spots, or enamel hypoplasia, can occur on your teeth due to several internal or external reasons, including medications, diet,.. What Does It Mean When You Get White Marks On Your Teeth.
From www.lighthousedentalcentre.com
101 Guide to What Causes White Spots on Teeth What Does It Mean When You Get White Marks On Your Teeth It sounds a bit scary, but. Just as you can have too little of a vitamin or mineral, you can have too much of one too. white spots on your teeth are a form of acute discoloration known as decalcification. white spots on your teeth, also known as white spot lesions, are places where the surface enamel is. What Does It Mean When You Get White Marks On Your Teeth.
From www.healthd-sports.com
White Marks on Teeth Ultimate Guide to Treating Them হেলদিস্পোর্টস What Does It Mean When You Get White Marks On Your Teeth Just as you can have too little of a vitamin or mineral, you can have too much of one too. It sounds a bit scary, but. white spots, or enamel hypoplasia, can occur on your teeth due to several internal or external reasons, including medications, diet,. They appear as bright white opacities. Picture of white spots on teeth. . What Does It Mean When You Get White Marks On Your Teeth.
From www.timberlakedental.com
White Spots on Your Teeth? Here’s What You Need to Know! What Does It Mean When You Get White Marks On Your Teeth This typically happens as a. With fluorosis, an excessive amount of. Picture of white spots on teeth. It sounds a bit scary, but. white spots, or enamel hypoplasia, can occur on your teeth due to several internal or external reasons, including medications, diet,. They appear as bright white opacities. Causes of white spots on. Just as you can have. What Does It Mean When You Get White Marks On Your Teeth.
From topqa.wiki
What Are The White Spots On My Teeth What Does It Mean When You Get White Marks On Your Teeth With fluorosis, an excessive amount of. They appear as bright white opacities. white spots on the teeth may be a sign of decay, so it’s important to identify the cause. white spots on your teeth, also known as white spot lesions, are places where the surface enamel is decalcified. Causes of white spots on. white spots, or. What Does It Mean When You Get White Marks On Your Teeth.
From askanorthodontist.com
How Do You Treat White Spots After Braces? Ask an What Does It Mean When You Get White Marks On Your Teeth Picture of white spots on teeth. It sounds a bit scary, but. Causes of white spots on. Just as you can have too little of a vitamin or mineral, you can have too much of one too. This typically happens as a. white spots on your teeth are a form of acute discoloration known as decalcification. With fluorosis, an. What Does It Mean When You Get White Marks On Your Teeth.
From dxogpmtvr.blob.core.windows.net
How To Whiten Teeth At Home Dentist Approved at William Marsh blog What Does It Mean When You Get White Marks On Your Teeth Picture of white spots on teeth. It sounds a bit scary, but. white spots on teeth, also known as white spot lesions, are usually indicative of tooth decay. Causes of white spots on. Just as you can have too little of a vitamin or mineral, you can have too much of one too. With fluorosis, an excessive amount of.. What Does It Mean When You Get White Marks On Your Teeth.
From mavink.com
White Spots On Your Teeth What Does It Mean When You Get White Marks On Your Teeth They appear as bright white opacities. white spots on your teeth are a form of acute discoloration known as decalcification. Causes of white spots on. white spots on teeth, also known as white spot lesions, are usually indicative of tooth decay. white spots on the teeth may be a sign of decay, so it’s important to identify. What Does It Mean When You Get White Marks On Your Teeth.