How Do They Do A Ct Colonography . This information explains how it is done, what to expect, and the. Ct (computed tomography) colonography is a test that uses ct scans to check the large bowel (colon) and back passage (rectum). Ct colonography, also known as virtual colonoscopy, uses low dose radiation ct scanning to obtain an interior view of the colon (the large. Ct colonography offers important advantages over optical colonoscopy. Ct colonography is a way of looking inside your bowel and abdomen. Robust colonic preparation for ctc is critical for accurate polyp detection and involves both cleansing and. As with stool testing, ct colonography has essentially no risk of. Unlike the usual or traditional colonoscopy, which needs a scope to be put into your rectum and advanced through your colon,.
from www.mdpi.com
As with stool testing, ct colonography has essentially no risk of. Unlike the usual or traditional colonoscopy, which needs a scope to be put into your rectum and advanced through your colon,. Ct colonography, also known as virtual colonoscopy, uses low dose radiation ct scanning to obtain an interior view of the colon (the large. Ct colonography is a way of looking inside your bowel and abdomen. This information explains how it is done, what to expect, and the. Robust colonic preparation for ctc is critical for accurate polyp detection and involves both cleansing and. Ct colonography offers important advantages over optical colonoscopy. Ct (computed tomography) colonography is a test that uses ct scans to check the large bowel (colon) and back passage (rectum).
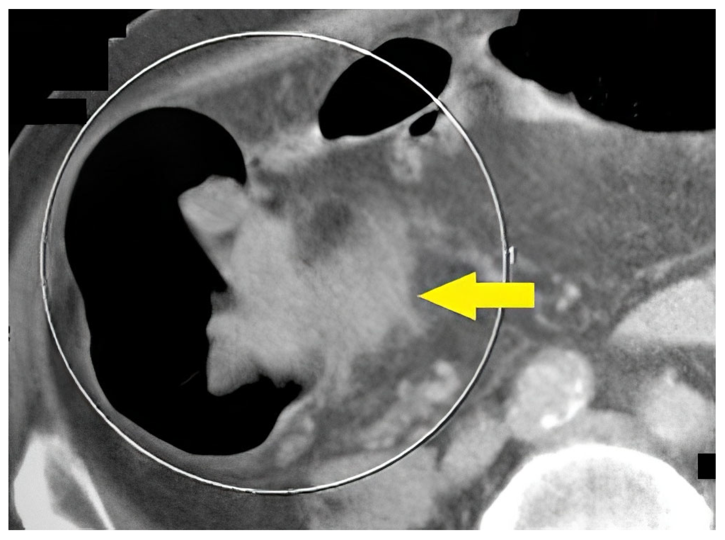
Life Free FullText High Concordance of CT Colonography and
How Do They Do A Ct Colonography As with stool testing, ct colonography has essentially no risk of. Ct (computed tomography) colonography is a test that uses ct scans to check the large bowel (colon) and back passage (rectum). Unlike the usual or traditional colonoscopy, which needs a scope to be put into your rectum and advanced through your colon,. This information explains how it is done, what to expect, and the. Ct colonography is a way of looking inside your bowel and abdomen. Ct colonography offers important advantages over optical colonoscopy. Robust colonic preparation for ctc is critical for accurate polyp detection and involves both cleansing and. As with stool testing, ct colonography has essentially no risk of. Ct colonography, also known as virtual colonoscopy, uses low dose radiation ct scanning to obtain an interior view of the colon (the large.
From directmedparts.com
CT Colonography What It Is and How It Works DirectMed Imaging How Do They Do A Ct Colonography Ct colonography, also known as virtual colonoscopy, uses low dose radiation ct scanning to obtain an interior view of the colon (the large. Ct colonography is a way of looking inside your bowel and abdomen. Ct (computed tomography) colonography is a test that uses ct scans to check the large bowel (colon) and back passage (rectum). This information explains how. How Do They Do A Ct Colonography.
From www.ajronline.org
Screening CT Colonography How I Do It AJR How Do They Do A Ct Colonography Ct (computed tomography) colonography is a test that uses ct scans to check the large bowel (colon) and back passage (rectum). Ct colonography offers important advantages over optical colonoscopy. Ct colonography, also known as virtual colonoscopy, uses low dose radiation ct scanning to obtain an interior view of the colon (the large. This information explains how it is done, what. How Do They Do A Ct Colonography.
From www.livescience.com
What Are CT Scans and How Do They Work? Live Science How Do They Do A Ct Colonography Ct colonography, also known as virtual colonoscopy, uses low dose radiation ct scanning to obtain an interior view of the colon (the large. Ct colonography offers important advantages over optical colonoscopy. Unlike the usual or traditional colonoscopy, which needs a scope to be put into your rectum and advanced through your colon,. This information explains how it is done, what. How Do They Do A Ct Colonography.
From www.dreamstime.com
CT Colonography 3D Rendering Image Showing Colon for Screening How Do They Do A Ct Colonography Ct colonography offers important advantages over optical colonoscopy. This information explains how it is done, what to expect, and the. Ct colonography is a way of looking inside your bowel and abdomen. Ct colonography, also known as virtual colonoscopy, uses low dose radiation ct scanning to obtain an interior view of the colon (the large. Unlike the usual or traditional. How Do They Do A Ct Colonography.
From www.sor.org
Performing CT colonography in pandemic early recovery phase SoR How Do They Do A Ct Colonography Ct colonography, also known as virtual colonoscopy, uses low dose radiation ct scanning to obtain an interior view of the colon (the large. As with stool testing, ct colonography has essentially no risk of. Robust colonic preparation for ctc is critical for accurate polyp detection and involves both cleansing and. Ct (computed tomography) colonography is a test that uses ct. How Do They Do A Ct Colonography.
From www.semanticscholar.org
Consequences of CT colonography in stenosing colorectal cancer How Do They Do A Ct Colonography As with stool testing, ct colonography has essentially no risk of. Ct colonography is a way of looking inside your bowel and abdomen. This information explains how it is done, what to expect, and the. Unlike the usual or traditional colonoscopy, which needs a scope to be put into your rectum and advanced through your colon,. Robust colonic preparation for. How Do They Do A Ct Colonography.
From www.ajronline.org
CT Colonography With Decreased Purgation Balancing Preparation How Do They Do A Ct Colonography Ct colonography is a way of looking inside your bowel and abdomen. Robust colonic preparation for ctc is critical for accurate polyp detection and involves both cleansing and. Ct (computed tomography) colonography is a test that uses ct scans to check the large bowel (colon) and back passage (rectum). Unlike the usual or traditional colonoscopy, which needs a scope to. How Do They Do A Ct Colonography.
From www.jacr.org
CT Colonography Current and Future Applications Journal of the How Do They Do A Ct Colonography Robust colonic preparation for ctc is critical for accurate polyp detection and involves both cleansing and. Ct colonography is a way of looking inside your bowel and abdomen. As with stool testing, ct colonography has essentially no risk of. Ct colonography offers important advantages over optical colonoscopy. Ct colonography, also known as virtual colonoscopy, uses low dose radiation ct scanning. How Do They Do A Ct Colonography.
From i-med.com.au
CT Colonography IMED Radiology Network How Do They Do A Ct Colonography Ct colonography offers important advantages over optical colonoscopy. As with stool testing, ct colonography has essentially no risk of. Unlike the usual or traditional colonoscopy, which needs a scope to be put into your rectum and advanced through your colon,. This information explains how it is done, what to expect, and the. Robust colonic preparation for ctc is critical for. How Do They Do A Ct Colonography.
From bayoucitylaw.com
CT Scan for Neck and Back For Personal Injuries How Do They Do A Ct Colonography Unlike the usual or traditional colonoscopy, which needs a scope to be put into your rectum and advanced through your colon,. Ct (computed tomography) colonography is a test that uses ct scans to check the large bowel (colon) and back passage (rectum). Ct colonography is a way of looking inside your bowel and abdomen. Robust colonic preparation for ctc is. How Do They Do A Ct Colonography.
From www.ajronline.org
Screening CT Colonography How I Do It AJR How Do They Do A Ct Colonography Ct colonography offers important advantages over optical colonoscopy. Robust colonic preparation for ctc is critical for accurate polyp detection and involves both cleansing and. Ct (computed tomography) colonography is a test that uses ct scans to check the large bowel (colon) and back passage (rectum). Ct colonography is a way of looking inside your bowel and abdomen. This information explains. How Do They Do A Ct Colonography.
From camrt.my.site.com
CT Colonography How Do They Do A Ct Colonography This information explains how it is done, what to expect, and the. Ct colonography, also known as virtual colonoscopy, uses low dose radiation ct scanning to obtain an interior view of the colon (the large. Unlike the usual or traditional colonoscopy, which needs a scope to be put into your rectum and advanced through your colon,. As with stool testing,. How Do They Do A Ct Colonography.
From www.slideserve.com
PPT CT Colonography vs Colonoscopy for the Detection of Advanced How Do They Do A Ct Colonography This information explains how it is done, what to expect, and the. Ct colonography offers important advantages over optical colonoscopy. Ct colonography, also known as virtual colonoscopy, uses low dose radiation ct scanning to obtain an interior view of the colon (the large. Unlike the usual or traditional colonoscopy, which needs a scope to be put into your rectum and. How Do They Do A Ct Colonography.
From www.ajronline.org
Screening CT Colonography How I Do It AJR How Do They Do A Ct Colonography Robust colonic preparation for ctc is critical for accurate polyp detection and involves both cleansing and. Unlike the usual or traditional colonoscopy, which needs a scope to be put into your rectum and advanced through your colon,. This information explains how it is done, what to expect, and the. Ct (computed tomography) colonography is a test that uses ct scans. How Do They Do A Ct Colonography.
From www.semanticscholar.org
Figure 2 from CT Colonography (Virtual Colonoscopy) Technique How Do They Do A Ct Colonography Ct (computed tomography) colonography is a test that uses ct scans to check the large bowel (colon) and back passage (rectum). As with stool testing, ct colonography has essentially no risk of. Ct colonography offers important advantages over optical colonoscopy. Ct colonography, also known as virtual colonoscopy, uses low dose radiation ct scanning to obtain an interior view of the. How Do They Do A Ct Colonography.
From www.mdpi.com
Life Free FullText High Concordance of CT Colonography and How Do They Do A Ct Colonography Ct colonography offers important advantages over optical colonoscopy. Ct colonography is a way of looking inside your bowel and abdomen. Ct (computed tomography) colonography is a test that uses ct scans to check the large bowel (colon) and back passage (rectum). This information explains how it is done, what to expect, and the. As with stool testing, ct colonography has. How Do They Do A Ct Colonography.
From www.udmi.net
Colorectal Cancer Screening Options University Diagnostic Medical Imaging How Do They Do A Ct Colonography Ct colonography, also known as virtual colonoscopy, uses low dose radiation ct scanning to obtain an interior view of the colon (the large. Ct colonography is a way of looking inside your bowel and abdomen. This information explains how it is done, what to expect, and the. Ct colonography offers important advantages over optical colonoscopy. As with stool testing, ct. How Do They Do A Ct Colonography.
From pubs.rsna.org
CT Colonography Clinical Evaluation of a Method for Automatic How Do They Do A Ct Colonography Ct (computed tomography) colonography is a test that uses ct scans to check the large bowel (colon) and back passage (rectum). Ct colonography, also known as virtual colonoscopy, uses low dose radiation ct scanning to obtain an interior view of the colon (the large. Unlike the usual or traditional colonoscopy, which needs a scope to be put into your rectum. How Do They Do A Ct Colonography.
From www.mdpi.com
Life Free FullText High Concordance of CT Colonography and How Do They Do A Ct Colonography Robust colonic preparation for ctc is critical for accurate polyp detection and involves both cleansing and. Unlike the usual or traditional colonoscopy, which needs a scope to be put into your rectum and advanced through your colon,. This information explains how it is done, what to expect, and the. As with stool testing, ct colonography has essentially no risk of.. How Do They Do A Ct Colonography.
From www.bicrad.com
What Is A CT Colonography? — Bay Imaging Consultants How Do They Do A Ct Colonography Robust colonic preparation for ctc is critical for accurate polyp detection and involves both cleansing and. Ct colonography, also known as virtual colonoscopy, uses low dose radiation ct scanning to obtain an interior view of the colon (the large. Unlike the usual or traditional colonoscopy, which needs a scope to be put into your rectum and advanced through your colon,.. How Do They Do A Ct Colonography.
From www.phoenixhospitalgroup.com
Private CT Colonography Book Now Phoenix Hospital Group How Do They Do A Ct Colonography Robust colonic preparation for ctc is critical for accurate polyp detection and involves both cleansing and. Unlike the usual or traditional colonoscopy, which needs a scope to be put into your rectum and advanced through your colon,. This information explains how it is done, what to expect, and the. Ct colonography, also known as virtual colonoscopy, uses low dose radiation. How Do They Do A Ct Colonography.
From www.researchgate.net
Colon capsule endoscopy (CCE) and CT colonography (CTC) ‘ same fi How Do They Do A Ct Colonography Robust colonic preparation for ctc is critical for accurate polyp detection and involves both cleansing and. As with stool testing, ct colonography has essentially no risk of. Ct colonography is a way of looking inside your bowel and abdomen. This information explains how it is done, what to expect, and the. Unlike the usual or traditional colonoscopy, which needs a. How Do They Do A Ct Colonography.
From www.mdpi.com
Applied Sciences Free FullText Fully Automated Electronic How Do They Do A Ct Colonography Robust colonic preparation for ctc is critical for accurate polyp detection and involves both cleansing and. Unlike the usual or traditional colonoscopy, which needs a scope to be put into your rectum and advanced through your colon,. Ct colonography is a way of looking inside your bowel and abdomen. Ct (computed tomography) colonography is a test that uses ct scans. How Do They Do A Ct Colonography.
From www.mdpi.com
Life Free FullText High Concordance of CT Colonography and How Do They Do A Ct Colonography Robust colonic preparation for ctc is critical for accurate polyp detection and involves both cleansing and. As with stool testing, ct colonography has essentially no risk of. Unlike the usual or traditional colonoscopy, which needs a scope to be put into your rectum and advanced through your colon,. Ct colonography is a way of looking inside your bowel and abdomen.. How Do They Do A Ct Colonography.
From www.pinterest.com.au
Abdomen CT shows blood flow blocked to the kidney (red renal How Do They Do A Ct Colonography Ct colonography offers important advantages over optical colonoscopy. As with stool testing, ct colonography has essentially no risk of. Unlike the usual or traditional colonoscopy, which needs a scope to be put into your rectum and advanced through your colon,. Ct colonography is a way of looking inside your bowel and abdomen. Ct colonography, also known as virtual colonoscopy, uses. How Do They Do A Ct Colonography.
From blog.radiology.virginia.edu
Colonoscopy vs. CT Colonography Which is Right For You? How Do They Do A Ct Colonography As with stool testing, ct colonography has essentially no risk of. Ct colonography offers important advantages over optical colonoscopy. Ct colonography is a way of looking inside your bowel and abdomen. Unlike the usual or traditional colonoscopy, which needs a scope to be put into your rectum and advanced through your colon,. Robust colonic preparation for ctc is critical for. How Do They Do A Ct Colonography.
From www.caperadiology.co.za
Virtual Colonscopy, CT Colonography Scan, CT Bowel Scan How Do They Do A Ct Colonography Ct (computed tomography) colonography is a test that uses ct scans to check the large bowel (colon) and back passage (rectum). Ct colonography, also known as virtual colonoscopy, uses low dose radiation ct scanning to obtain an interior view of the colon (the large. This information explains how it is done, what to expect, and the. Ct colonography offers important. How Do They Do A Ct Colonography.
From www.researchgate.net
a Example of a CT colonography with good tagging quality and the How Do They Do A Ct Colonography Unlike the usual or traditional colonoscopy, which needs a scope to be put into your rectum and advanced through your colon,. Ct colonography offers important advantages over optical colonoscopy. As with stool testing, ct colonography has essentially no risk of. Ct colonography is a way of looking inside your bowel and abdomen. Robust colonic preparation for ctc is critical for. How Do They Do A Ct Colonography.
From www.researchgate.net
One sample of CT colonography image. Download Scientific Diagram How Do They Do A Ct Colonography As with stool testing, ct colonography has essentially no risk of. Ct (computed tomography) colonography is a test that uses ct scans to check the large bowel (colon) and back passage (rectum). Ct colonography, also known as virtual colonoscopy, uses low dose radiation ct scanning to obtain an interior view of the colon (the large. This information explains how it. How Do They Do A Ct Colonography.
From patient.gastro.org
Colorectal cancer screening options AGA GI Patient Center How Do They Do A Ct Colonography Ct colonography offers important advantages over optical colonoscopy. Robust colonic preparation for ctc is critical for accurate polyp detection and involves both cleansing and. Ct colonography is a way of looking inside your bowel and abdomen. Unlike the usual or traditional colonoscopy, which needs a scope to be put into your rectum and advanced through your colon,. Ct (computed tomography). How Do They Do A Ct Colonography.
From awesseas.blogspot.com
What Is A Ct Scan With Contrast Of The Neck How Do They Do A Ct Colonography Ct (computed tomography) colonography is a test that uses ct scans to check the large bowel (colon) and back passage (rectum). Ct colonography is a way of looking inside your bowel and abdomen. Unlike the usual or traditional colonoscopy, which needs a scope to be put into your rectum and advanced through your colon,. This information explains how it is. How Do They Do A Ct Colonography.
From www.ajronline.org
Screening CT Colonography How I Do It AJR How Do They Do A Ct Colonography This information explains how it is done, what to expect, and the. As with stool testing, ct colonography has essentially no risk of. Ct colonography offers important advantages over optical colonoscopy. Unlike the usual or traditional colonoscopy, which needs a scope to be put into your rectum and advanced through your colon,. Robust colonic preparation for ctc is critical for. How Do They Do A Ct Colonography.
From www.3dnetmedical.com
CT Colonography How Do They Do A Ct Colonography Ct colonography offers important advantages over optical colonoscopy. As with stool testing, ct colonography has essentially no risk of. Unlike the usual or traditional colonoscopy, which needs a scope to be put into your rectum and advanced through your colon,. Ct (computed tomography) colonography is a test that uses ct scans to check the large bowel (colon) and back passage. How Do They Do A Ct Colonography.
From www.slideserve.com
PPT CT prosedures PowerPoint Presentation, free download ID3906574 How Do They Do A Ct Colonography Ct (computed tomography) colonography is a test that uses ct scans to check the large bowel (colon) and back passage (rectum). Ct colonography is a way of looking inside your bowel and abdomen. Robust colonic preparation for ctc is critical for accurate polyp detection and involves both cleansing and. Ct colonography, also known as virtual colonoscopy, uses low dose radiation. How Do They Do A Ct Colonography.
From www.ejradiology.com
Colon distension and scan protocol for CTcolonography An overview How Do They Do A Ct Colonography This information explains how it is done, what to expect, and the. Ct (computed tomography) colonography is a test that uses ct scans to check the large bowel (colon) and back passage (rectum). As with stool testing, ct colonography has essentially no risk of. Unlike the usual or traditional colonoscopy, which needs a scope to be put into your rectum. How Do They Do A Ct Colonography.