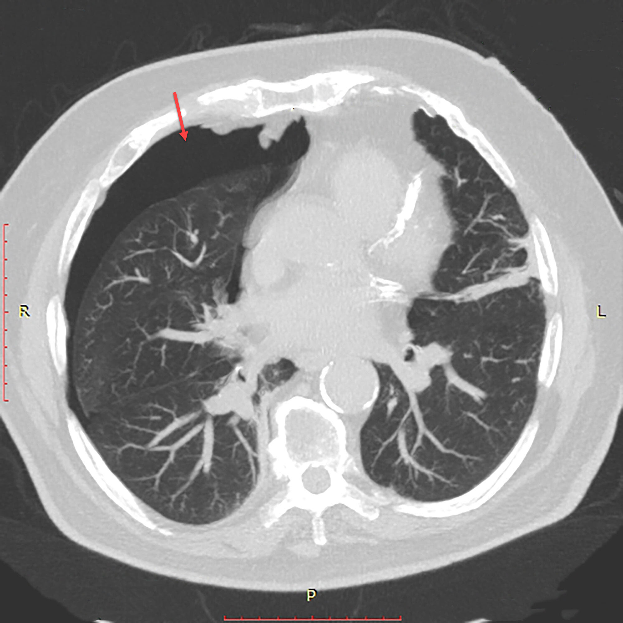
How To Read A Pneumothorax X Ray . recognition of a pneumothorax depends on the volume of air in the pleural space and the position of the body. Including assessment of costophrenic angles. in this video, you'll learn to identify when radiological pleura is abnormal and the key signs to look out for when trying to diagnose a pneumothorax. pneumothorax, the presence of air within the pleural space, is considered to be one of the most common forms of thoracic disease. The lungs can be seen to reach the inner edge of the thoracic wall (arrows). The two lungs meet in the middle at the posterior junctional line (arrowheads) and the anterior junctional line (not clearly visible). in this video, you'll learn how to identify when radiological pleura is abnormal and the key signs to look out for when. Trachea, carina, bronchi and hilar structures.
from www.researchgate.net
The lungs can be seen to reach the inner edge of the thoracic wall (arrows). Including assessment of costophrenic angles. pneumothorax, the presence of air within the pleural space, is considered to be one of the most common forms of thoracic disease. recognition of a pneumothorax depends on the volume of air in the pleural space and the position of the body. in this video, you'll learn to identify when radiological pleura is abnormal and the key signs to look out for when trying to diagnose a pneumothorax. The two lungs meet in the middle at the posterior junctional line (arrowheads) and the anterior junctional line (not clearly visible). in this video, you'll learn how to identify when radiological pleura is abnormal and the key signs to look out for when. Trachea, carina, bronchi and hilar structures.
Chest Xray of left sided pneumothorax. Download Scientific Diagram
How To Read A Pneumothorax X Ray The lungs can be seen to reach the inner edge of the thoracic wall (arrows). The lungs can be seen to reach the inner edge of the thoracic wall (arrows). pneumothorax, the presence of air within the pleural space, is considered to be one of the most common forms of thoracic disease. Including assessment of costophrenic angles. Trachea, carina, bronchi and hilar structures. recognition of a pneumothorax depends on the volume of air in the pleural space and the position of the body. The two lungs meet in the middle at the posterior junctional line (arrowheads) and the anterior junctional line (not clearly visible). in this video, you'll learn how to identify when radiological pleura is abnormal and the key signs to look out for when. in this video, you'll learn to identify when radiological pleura is abnormal and the key signs to look out for when trying to diagnose a pneumothorax.
From hellodoktor.com
Pneumothorax Hello Doktor How To Read A Pneumothorax X Ray in this video, you'll learn to identify when radiological pleura is abnormal and the key signs to look out for when trying to diagnose a pneumothorax. Trachea, carina, bronchi and hilar structures. The lungs can be seen to reach the inner edge of the thoracic wall (arrows). in this video, you'll learn how to identify when radiological pleura. How To Read A Pneumothorax X Ray.
From www.lecturio.com
Pneumothorax Concise Medical Knowledge How To Read A Pneumothorax X Ray in this video, you'll learn to identify when radiological pleura is abnormal and the key signs to look out for when trying to diagnose a pneumothorax. Trachea, carina, bronchi and hilar structures. pneumothorax, the presence of air within the pleural space, is considered to be one of the most common forms of thoracic disease. The lungs can be. How To Read A Pneumothorax X Ray.
From www.sciencephoto.com
Pneumothorax, Xray Stock Image M240/0661 Science Photo Library How To Read A Pneumothorax X Ray Trachea, carina, bronchi and hilar structures. Including assessment of costophrenic angles. recognition of a pneumothorax depends on the volume of air in the pleural space and the position of the body. The two lungs meet in the middle at the posterior junctional line (arrowheads) and the anterior junctional line (not clearly visible). pneumothorax, the presence of air within. How To Read A Pneumothorax X Ray.
From mavink.com
Apical Pneumothorax On Chest X Ray How To Read A Pneumothorax X Ray pneumothorax, the presence of air within the pleural space, is considered to be one of the most common forms of thoracic disease. The two lungs meet in the middle at the posterior junctional line (arrowheads) and the anterior junctional line (not clearly visible). recognition of a pneumothorax depends on the volume of air in the pleural space and. How To Read A Pneumothorax X Ray.
From www.researchgate.net
Chest radiographic images of the pneumothorax. Chest radiograph How To Read A Pneumothorax X Ray The two lungs meet in the middle at the posterior junctional line (arrowheads) and the anterior junctional line (not clearly visible). in this video, you'll learn to identify when radiological pleura is abnormal and the key signs to look out for when trying to diagnose a pneumothorax. pneumothorax, the presence of air within the pleural space, is considered. How To Read A Pneumothorax X Ray.
From www.radiology4beginners.com
Pneumothorax Radiology For Beginners by Dr. Samuel Kobba How To Read A Pneumothorax X Ray The lungs can be seen to reach the inner edge of the thoracic wall (arrows). The two lungs meet in the middle at the posterior junctional line (arrowheads) and the anterior junctional line (not clearly visible). pneumothorax, the presence of air within the pleural space, is considered to be one of the most common forms of thoracic disease. . How To Read A Pneumothorax X Ray.
From hubpages.com
X Ray Diagnostics Of Pneumothorax Radiographic Representations Of The How To Read A Pneumothorax X Ray in this video, you'll learn how to identify when radiological pleura is abnormal and the key signs to look out for when. Trachea, carina, bronchi and hilar structures. pneumothorax, the presence of air within the pleural space, is considered to be one of the most common forms of thoracic disease. recognition of a pneumothorax depends on the. How To Read A Pneumothorax X Ray.
From geekymedics.com
Chest Xray Interpretation A Structured Approach Radiology OSCE How To Read A Pneumothorax X Ray in this video, you'll learn how to identify when radiological pleura is abnormal and the key signs to look out for when. Trachea, carina, bronchi and hilar structures. The two lungs meet in the middle at the posterior junctional line (arrowheads) and the anterior junctional line (not clearly visible). pneumothorax, the presence of air within the pleural space,. How To Read A Pneumothorax X Ray.
From radiologykey.com
Where’s the air? Pneumothorax Radiology Key How To Read A Pneumothorax X Ray in this video, you'll learn to identify when radiological pleura is abnormal and the key signs to look out for when trying to diagnose a pneumothorax. recognition of a pneumothorax depends on the volume of air in the pleural space and the position of the body. The lungs can be seen to reach the inner edge of the. How To Read A Pneumothorax X Ray.
From www.researchgate.net
Chest xray (PA view) showing tension pneumothorax Download How To Read A Pneumothorax X Ray The two lungs meet in the middle at the posterior junctional line (arrowheads) and the anterior junctional line (not clearly visible). The lungs can be seen to reach the inner edge of the thoracic wall (arrows). in this video, you'll learn how to identify when radiological pleura is abnormal and the key signs to look out for when. . How To Read A Pneumothorax X Ray.
From medschool.co
Pneumothorax Chest XRay MedSchool How To Read A Pneumothorax X Ray recognition of a pneumothorax depends on the volume of air in the pleural space and the position of the body. The two lungs meet in the middle at the posterior junctional line (arrowheads) and the anterior junctional line (not clearly visible). Trachea, carina, bronchi and hilar structures. Including assessment of costophrenic angles. pneumothorax, the presence of air within. How To Read A Pneumothorax X Ray.
From www.researchgate.net
(a) Chest Xray showing tension pneumothorax of the left lung. The How To Read A Pneumothorax X Ray in this video, you'll learn to identify when radiological pleura is abnormal and the key signs to look out for when trying to diagnose a pneumothorax. The lungs can be seen to reach the inner edge of the thoracic wall (arrows). The two lungs meet in the middle at the posterior junctional line (arrowheads) and the anterior junctional line. How To Read A Pneumothorax X Ray.
From pressbooks.pub
Pneumothorax Undergraduate Diagnostic Imaging Fundamentals How To Read A Pneumothorax X Ray The lungs can be seen to reach the inner edge of the thoracic wall (arrows). in this video, you'll learn how to identify when radiological pleura is abnormal and the key signs to look out for when. in this video, you'll learn to identify when radiological pleura is abnormal and the key signs to look out for when. How To Read A Pneumothorax X Ray.
From www.youtube.com
Pneumothorax Radiology in two minutes YouTube How To Read A Pneumothorax X Ray The two lungs meet in the middle at the posterior junctional line (arrowheads) and the anterior junctional line (not clearly visible). Trachea, carina, bronchi and hilar structures. in this video, you'll learn how to identify when radiological pleura is abnormal and the key signs to look out for when. in this video, you'll learn to identify when radiological. How To Read A Pneumothorax X Ray.
From www.slideshare.net
3 pneumothorax How To Read A Pneumothorax X Ray Including assessment of costophrenic angles. pneumothorax, the presence of air within the pleural space, is considered to be one of the most common forms of thoracic disease. recognition of a pneumothorax depends on the volume of air in the pleural space and the position of the body. The lungs can be seen to reach the inner edge of. How To Read A Pneumothorax X Ray.
From www.ejradiology.com
Pneumothorax size measurements on digital chest radiographs Intra and How To Read A Pneumothorax X Ray The lungs can be seen to reach the inner edge of the thoracic wall (arrows). in this video, you'll learn to identify when radiological pleura is abnormal and the key signs to look out for when trying to diagnose a pneumothorax. recognition of a pneumothorax depends on the volume of air in the pleural space and the position. How To Read A Pneumothorax X Ray.
From www.saem.org
Pneumothorax How To Read A Pneumothorax X Ray The two lungs meet in the middle at the posterior junctional line (arrowheads) and the anterior junctional line (not clearly visible). Including assessment of costophrenic angles. in this video, you'll learn how to identify when radiological pleura is abnormal and the key signs to look out for when. pneumothorax, the presence of air within the pleural space, is. How To Read A Pneumothorax X Ray.
From www.youtube.com
Simple Pneumothorax Explanation of Chest Xray Findings YouTube How To Read A Pneumothorax X Ray pneumothorax, the presence of air within the pleural space, is considered to be one of the most common forms of thoracic disease. Trachea, carina, bronchi and hilar structures. recognition of a pneumothorax depends on the volume of air in the pleural space and the position of the body. Including assessment of costophrenic angles. The lungs can be seen. How To Read A Pneumothorax X Ray.
From www.svuhradiology.ie
Pneumothorax expiration Radiology at St. Vincent's University Hospital How To Read A Pneumothorax X Ray The two lungs meet in the middle at the posterior junctional line (arrowheads) and the anterior junctional line (not clearly visible). pneumothorax, the presence of air within the pleural space, is considered to be one of the most common forms of thoracic disease. Including assessment of costophrenic angles. recognition of a pneumothorax depends on the volume of air. How To Read A Pneumothorax X Ray.
From openpress.usask.ca
Pneumothorax Undergraduate Diagnostic Imaging Fundamentals How To Read A Pneumothorax X Ray Including assessment of costophrenic angles. pneumothorax, the presence of air within the pleural space, is considered to be one of the most common forms of thoracic disease. in this video, you'll learn to identify when radiological pleura is abnormal and the key signs to look out for when trying to diagnose a pneumothorax. recognition of a pneumothorax. How To Read A Pneumothorax X Ray.
From healthjade.com
Pneumothorax Causes, Signs, Symptoms, Treatment How To Read A Pneumothorax X Ray in this video, you'll learn to identify when radiological pleura is abnormal and the key signs to look out for when trying to diagnose a pneumothorax. recognition of a pneumothorax depends on the volume of air in the pleural space and the position of the body. Including assessment of costophrenic angles. The two lungs meet in the middle. How To Read A Pneumothorax X Ray.
From radiologykey.com
Where’s the air? Pneumothorax Radiology Key How To Read A Pneumothorax X Ray pneumothorax, the presence of air within the pleural space, is considered to be one of the most common forms of thoracic disease. in this video, you'll learn to identify when radiological pleura is abnormal and the key signs to look out for when trying to diagnose a pneumothorax. in this video, you'll learn how to identify when. How To Read A Pneumothorax X Ray.
From www.radiology4beginners.com
Pneumothorax Radiology For Beginners by Dr. Samuel Kobba How To Read A Pneumothorax X Ray Trachea, carina, bronchi and hilar structures. The lungs can be seen to reach the inner edge of the thoracic wall (arrows). Including assessment of costophrenic angles. The two lungs meet in the middle at the posterior junctional line (arrowheads) and the anterior junctional line (not clearly visible). pneumothorax, the presence of air within the pleural space, is considered to. How To Read A Pneumothorax X Ray.
From www.youtube.com
How to identify pneumothorax on a chest Xray YouTube How To Read A Pneumothorax X Ray The two lungs meet in the middle at the posterior junctional line (arrowheads) and the anterior junctional line (not clearly visible). in this video, you'll learn to identify when radiological pleura is abnormal and the key signs to look out for when trying to diagnose a pneumothorax. Trachea, carina, bronchi and hilar structures. Including assessment of costophrenic angles. . How To Read A Pneumothorax X Ray.
From medschool.co
Pneumothorax Chest XRay MedSchool How To Read A Pneumothorax X Ray in this video, you'll learn how to identify when radiological pleura is abnormal and the key signs to look out for when. recognition of a pneumothorax depends on the volume of air in the pleural space and the position of the body. pneumothorax, the presence of air within the pleural space, is considered to be one of. How To Read A Pneumothorax X Ray.
From geekymedics.com
Pneumothorax Geeky Medics How To Read A Pneumothorax X Ray recognition of a pneumothorax depends on the volume of air in the pleural space and the position of the body. pneumothorax, the presence of air within the pleural space, is considered to be one of the most common forms of thoracic disease. The two lungs meet in the middle at the posterior junctional line (arrowheads) and the anterior. How To Read A Pneumothorax X Ray.
From www.researchgate.net
Xray showing pneumothorax. Patient's chest Xray showing pneumothorax How To Read A Pneumothorax X Ray recognition of a pneumothorax depends on the volume of air in the pleural space and the position of the body. The lungs can be seen to reach the inner edge of the thoracic wall (arrows). in this video, you'll learn to identify when radiological pleura is abnormal and the key signs to look out for when trying to. How To Read A Pneumothorax X Ray.
From teachmesurgery.com
Pneumothorax TeachMeSurgery How To Read A Pneumothorax X Ray The lungs can be seen to reach the inner edge of the thoracic wall (arrows). Trachea, carina, bronchi and hilar structures. Including assessment of costophrenic angles. recognition of a pneumothorax depends on the volume of air in the pleural space and the position of the body. in this video, you'll learn to identify when radiological pleura is abnormal. How To Read A Pneumothorax X Ray.
From virtualmedstudent.com
Pneumothorax Visceral and Parietal Pleura and a Little Air In Between How To Read A Pneumothorax X Ray Trachea, carina, bronchi and hilar structures. in this video, you'll learn how to identify when radiological pleura is abnormal and the key signs to look out for when. recognition of a pneumothorax depends on the volume of air in the pleural space and the position of the body. Including assessment of costophrenic angles. The two lungs meet in. How To Read A Pneumothorax X Ray.
From teachim.org
Pneumothorax teachIM How To Read A Pneumothorax X Ray recognition of a pneumothorax depends on the volume of air in the pleural space and the position of the body. Trachea, carina, bronchi and hilar structures. pneumothorax, the presence of air within the pleural space, is considered to be one of the most common forms of thoracic disease. Including assessment of costophrenic angles. The lungs can be seen. How To Read A Pneumothorax X Ray.
From pixels.com
Pneumothorax, Xray Photograph by Science Photo Library How To Read A Pneumothorax X Ray in this video, you'll learn how to identify when radiological pleura is abnormal and the key signs to look out for when. The two lungs meet in the middle at the posterior junctional line (arrowheads) and the anterior junctional line (not clearly visible). Including assessment of costophrenic angles. Trachea, carina, bronchi and hilar structures. The lungs can be seen. How To Read A Pneumothorax X Ray.
From openpress.usask.ca
Pneumothorax Undergraduate Diagnostic Imaging Fundamentals How To Read A Pneumothorax X Ray recognition of a pneumothorax depends on the volume of air in the pleural space and the position of the body. The lungs can be seen to reach the inner edge of the thoracic wall (arrows). pneumothorax, the presence of air within the pleural space, is considered to be one of the most common forms of thoracic disease. Trachea,. How To Read A Pneumothorax X Ray.
From www.researchgate.net
Chest Xray of left sided pneumothorax. Download Scientific Diagram How To Read A Pneumothorax X Ray pneumothorax, the presence of air within the pleural space, is considered to be one of the most common forms of thoracic disease. in this video, you'll learn to identify when radiological pleura is abnormal and the key signs to look out for when trying to diagnose a pneumothorax. The lungs can be seen to reach the inner edge. How To Read A Pneumothorax X Ray.
From ar.inspiredpencil.com
Hemo Pneumothorax X Ray How To Read A Pneumothorax X Ray Trachea, carina, bronchi and hilar structures. in this video, you'll learn how to identify when radiological pleura is abnormal and the key signs to look out for when. in this video, you'll learn to identify when radiological pleura is abnormal and the key signs to look out for when trying to diagnose a pneumothorax. Including assessment of costophrenic. How To Read A Pneumothorax X Ray.
From www.pinterest.com
Pneumothorax Medical radiography, Diagnostic imaging, Radiology imaging How To Read A Pneumothorax X Ray pneumothorax, the presence of air within the pleural space, is considered to be one of the most common forms of thoracic disease. in this video, you'll learn how to identify when radiological pleura is abnormal and the key signs to look out for when. The two lungs meet in the middle at the posterior junctional line (arrowheads) and. How To Read A Pneumothorax X Ray.