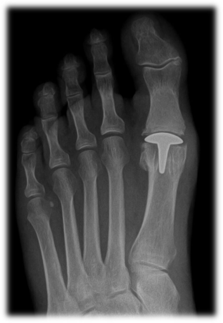
Types Of Big Toe Joint Replacements . Hallux rigidus, is arthritis (pain and stiffening) of the main joint of the big toe in the ball of the foot. Unresolved big toe stiffness or a severely damaged joint may need toe joint replacement. Fusion of the big toe. Arthritis of the big toe joint is a condition which results in your big toe becoming stiff and. It is due to a wearing out of the joint surfaces. A keller’s arthroplasty is a surgical procedure to remove bone from the spot where your big toe joint meets the metatarsal bone and replace it with soft tissue. • the damaged joint surfaces are removed and. Fixing the bones together (fusion) of the big toe joint (arthrodesis), is the most common surgery. With more advanced wear and tear and painful stiff toe other options are joint replacement or fusion of the big toe joint. Visit nuffield health for more details. What is arthritis of the big toe joint?
from bioproimplants.com
With more advanced wear and tear and painful stiff toe other options are joint replacement or fusion of the big toe joint. Arthritis of the big toe joint is a condition which results in your big toe becoming stiff and. A keller’s arthroplasty is a surgical procedure to remove bone from the spot where your big toe joint meets the metatarsal bone and replace it with soft tissue. Fusion of the big toe. Visit nuffield health for more details. It is due to a wearing out of the joint surfaces. • the damaged joint surfaces are removed and. Unresolved big toe stiffness or a severely damaged joint may need toe joint replacement. What is arthritis of the big toe joint? Fixing the bones together (fusion) of the big toe joint (arthrodesis), is the most common surgery.
BioPro Hemi Toe Implant for Hallux Rigidus
Types Of Big Toe Joint Replacements What is arthritis of the big toe joint? Unresolved big toe stiffness or a severely damaged joint may need toe joint replacement. What is arthritis of the big toe joint? With more advanced wear and tear and painful stiff toe other options are joint replacement or fusion of the big toe joint. Fusion of the big toe. Visit nuffield health for more details. Fixing the bones together (fusion) of the big toe joint (arthrodesis), is the most common surgery. Arthritis of the big toe joint is a condition which results in your big toe becoming stiff and. A keller’s arthroplasty is a surgical procedure to remove bone from the spot where your big toe joint meets the metatarsal bone and replace it with soft tissue. It is due to a wearing out of the joint surfaces. • the damaged joint surfaces are removed and. Hallux rigidus, is arthritis (pain and stiffening) of the main joint of the big toe in the ball of the foot.
From www.vectorstock.com
Big toe joint replacement Royalty Free Vector Image Types Of Big Toe Joint Replacements Arthritis of the big toe joint is a condition which results in your big toe becoming stiff and. With more advanced wear and tear and painful stiff toe other options are joint replacement or fusion of the big toe joint. A keller’s arthroplasty is a surgical procedure to remove bone from the spot where your big toe joint meets the. Types Of Big Toe Joint Replacements.
From www.michiganfootdoctors.com
Pros and Cons of Big Toe Joint Fusion [The Best Big Toe Joint Surgery?] Types Of Big Toe Joint Replacements With more advanced wear and tear and painful stiff toe other options are joint replacement or fusion of the big toe joint. Hallux rigidus, is arthritis (pain and stiffening) of the main joint of the big toe in the ball of the foot. • the damaged joint surfaces are removed and. Arthritis of the big toe joint is a condition. Types Of Big Toe Joint Replacements.
From www.youtube.com
Big Toe Joint Implant for Pain and Arthritis YouTube Types Of Big Toe Joint Replacements Hallux rigidus, is arthritis (pain and stiffening) of the main joint of the big toe in the ball of the foot. With more advanced wear and tear and painful stiff toe other options are joint replacement or fusion of the big toe joint. It is due to a wearing out of the joint surfaces. Unresolved big toe stiffness or a. Types Of Big Toe Joint Replacements.
From www.rotoglide.com
Surgeons ROTOglide™ 1st MTP joint replacement system from Xtremity Types Of Big Toe Joint Replacements Fusion of the big toe. A keller’s arthroplasty is a surgical procedure to remove bone from the spot where your big toe joint meets the metatarsal bone and replace it with soft tissue. Fixing the bones together (fusion) of the big toe joint (arthrodesis), is the most common surgery. Visit nuffield health for more details. Unresolved big toe stiffness or. Types Of Big Toe Joint Replacements.
From www.footfirst.com
Arthritic Big Toe — Foot First Podiatry Centers Types Of Big Toe Joint Replacements It is due to a wearing out of the joint surfaces. Visit nuffield health for more details. Hallux rigidus, is arthritis (pain and stiffening) of the main joint of the big toe in the ball of the foot. With more advanced wear and tear and painful stiff toe other options are joint replacement or fusion of the big toe joint.. Types Of Big Toe Joint Replacements.
From press-herald.com
Big toe joint replacement first for area Minden PressHerald Types Of Big Toe Joint Replacements Visit nuffield health for more details. What is arthritis of the big toe joint? A keller’s arthroplasty is a surgical procedure to remove bone from the spot where your big toe joint meets the metatarsal bone and replace it with soft tissue. It is due to a wearing out of the joint surfaces. • the damaged joint surfaces are removed. Types Of Big Toe Joint Replacements.
From savecatchingfire.blogspot.com
Toe Anatomy Joint Anatomy Reading Source Types Of Big Toe Joint Replacements Unresolved big toe stiffness or a severely damaged joint may need toe joint replacement. A keller’s arthroplasty is a surgical procedure to remove bone from the spot where your big toe joint meets the metatarsal bone and replace it with soft tissue. What is arthritis of the big toe joint? Arthritis of the big toe joint is a condition which. Types Of Big Toe Joint Replacements.
From ankleandfootcenters.com
When is Big Toe Joint Replacement Surgery Necessary? Types Of Big Toe Joint Replacements Hallux rigidus, is arthritis (pain and stiffening) of the main joint of the big toe in the ball of the foot. • the damaged joint surfaces are removed and. It is due to a wearing out of the joint surfaces. A keller’s arthroplasty is a surgical procedure to remove bone from the spot where your big toe joint meets the. Types Of Big Toe Joint Replacements.
From davincifootandankle.com
Big Toe Joint Replacement Surgery Hammertoe Treatment Podiatrist Types Of Big Toe Joint Replacements Unresolved big toe stiffness or a severely damaged joint may need toe joint replacement. Visit nuffield health for more details. What is arthritis of the big toe joint? Fixing the bones together (fusion) of the big toe joint (arthrodesis), is the most common surgery. With more advanced wear and tear and painful stiff toe other options are joint replacement or. Types Of Big Toe Joint Replacements.
From www.drmikesmith.com.au
1st MTP Joint (Big Toe Joint) Fusion Dr Mike Smith Adelaide Types Of Big Toe Joint Replacements It is due to a wearing out of the joint surfaces. Fixing the bones together (fusion) of the big toe joint (arthrodesis), is the most common surgery. A keller’s arthroplasty is a surgical procedure to remove bone from the spot where your big toe joint meets the metatarsal bone and replace it with soft tissue. With more advanced wear and. Types Of Big Toe Joint Replacements.
From www.lapiplasty.com
Big Toe Joint Fusion™ Treace Types Of Big Toe Joint Replacements It is due to a wearing out of the joint surfaces. Visit nuffield health for more details. Unresolved big toe stiffness or a severely damaged joint may need toe joint replacement. A keller’s arthroplasty is a surgical procedure to remove bone from the spot where your big toe joint meets the metatarsal bone and replace it with soft tissue. Fusion. Types Of Big Toe Joint Replacements.
From mfaspecialists.com
Treatment for Big Toe Joint Pain Foot Arthritis Types Of Big Toe Joint Replacements Arthritis of the big toe joint is a condition which results in your big toe becoming stiff and. Hallux rigidus, is arthritis (pain and stiffening) of the main joint of the big toe in the ball of the foot. Unresolved big toe stiffness or a severely damaged joint may need toe joint replacement. What is arthritis of the big toe. Types Of Big Toe Joint Replacements.
From www.drmikesmith.com.au
1st MTP Joint (Big Toe Joint) Fusion Dr Mike Smith Adelaide Types Of Big Toe Joint Replacements • the damaged joint surfaces are removed and. Arthritis of the big toe joint is a condition which results in your big toe becoming stiff and. Visit nuffield health for more details. A keller’s arthroplasty is a surgical procedure to remove bone from the spot where your big toe joint meets the metatarsal bone and replace it with soft tissue.. Types Of Big Toe Joint Replacements.
From www.medicalexpo.com
Metatarsophalangeal joint implant Aleda first toe joint Types Of Big Toe Joint Replacements It is due to a wearing out of the joint surfaces. Unresolved big toe stiffness or a severely damaged joint may need toe joint replacement. A keller’s arthroplasty is a surgical procedure to remove bone from the spot where your big toe joint meets the metatarsal bone and replace it with soft tissue. With more advanced wear and tear and. Types Of Big Toe Joint Replacements.
From www.pinterest.com
Total joint great toe Great toe, Foot surgery, Joint Types Of Big Toe Joint Replacements Visit nuffield health for more details. With more advanced wear and tear and painful stiff toe other options are joint replacement or fusion of the big toe joint. Hallux rigidus, is arthritis (pain and stiffening) of the main joint of the big toe in the ball of the foot. Fixing the bones together (fusion) of the big toe joint (arthrodesis),. Types Of Big Toe Joint Replacements.
From healthjade.net
Turf toe causes, signs, symptoms, recovery, diagnosis & turf toe treatment Types Of Big Toe Joint Replacements Hallux rigidus, is arthritis (pain and stiffening) of the main joint of the big toe in the ball of the foot. It is due to a wearing out of the joint surfaces. What is arthritis of the big toe joint? Arthritis of the big toe joint is a condition which results in your big toe becoming stiff and. Fixing the. Types Of Big Toe Joint Replacements.
From sportsortho.co.uk
Big Toe Fusion London Sports Orthopaedics Types Of Big Toe Joint Replacements Visit nuffield health for more details. Arthritis of the big toe joint is a condition which results in your big toe becoming stiff and. Unresolved big toe stiffness or a severely damaged joint may need toe joint replacement. What is arthritis of the big toe joint? With more advanced wear and tear and painful stiff toe other options are joint. Types Of Big Toe Joint Replacements.
From www.danielbohl.com
Big Toe Arthritis — Daniel Bohl, MD Midwest Orthopaedics at RUSH Types Of Big Toe Joint Replacements Hallux rigidus, is arthritis (pain and stiffening) of the main joint of the big toe in the ball of the foot. • the damaged joint surfaces are removed and. What is arthritis of the big toe joint? A keller’s arthroplasty is a surgical procedure to remove bone from the spot where your big toe joint meets the metatarsal bone and. Types Of Big Toe Joint Replacements.
From footeducation.com
Bones and Joints of the Foot and Ankle Overview FootEducation Types Of Big Toe Joint Replacements Fusion of the big toe. Unresolved big toe stiffness or a severely damaged joint may need toe joint replacement. With more advanced wear and tear and painful stiff toe other options are joint replacement or fusion of the big toe joint. What is arthritis of the big toe joint? It is due to a wearing out of the joint surfaces.. Types Of Big Toe Joint Replacements.
From www.lapiplasty.com
Big Toe Joint Fusion™ Treace Types Of Big Toe Joint Replacements Visit nuffield health for more details. A keller’s arthroplasty is a surgical procedure to remove bone from the spot where your big toe joint meets the metatarsal bone and replace it with soft tissue. Fusion of the big toe. It is due to a wearing out of the joint surfaces. Fixing the bones together (fusion) of the big toe joint. Types Of Big Toe Joint Replacements.
From districtfootankle.com
Great Toe Joint Fusion Surgery Alexandria VA Podiatrist Types Of Big Toe Joint Replacements Fixing the bones together (fusion) of the big toe joint (arthrodesis), is the most common surgery. What is arthritis of the big toe joint? It is due to a wearing out of the joint surfaces. Arthritis of the big toe joint is a condition which results in your big toe becoming stiff and. A keller’s arthroplasty is a surgical procedure. Types Of Big Toe Joint Replacements.
From www.davidredfernsurgery.com
Big Toe Fusion (1st MTPJ fusion) — David Redfern Surgery Types Of Big Toe Joint Replacements With more advanced wear and tear and painful stiff toe other options are joint replacement or fusion of the big toe joint. Visit nuffield health for more details. Fusion of the big toe. Unresolved big toe stiffness or a severely damaged joint may need toe joint replacement. Arthritis of the big toe joint is a condition which results in your. Types Of Big Toe Joint Replacements.
From www.theskeletalsystem.net
Toe Bones (Phalanges of the Foot) Anatomy, Location, & Diagram Types Of Big Toe Joint Replacements Fusion of the big toe. • the damaged joint surfaces are removed and. What is arthritis of the big toe joint? Unresolved big toe stiffness or a severely damaged joint may need toe joint replacement. It is due to a wearing out of the joint surfaces. With more advanced wear and tear and painful stiff toe other options are joint. Types Of Big Toe Joint Replacements.
From bioproimplants.com
BioPro Hemi Toe Implant for Hallux Rigidus Types Of Big Toe Joint Replacements Fixing the bones together (fusion) of the big toe joint (arthrodesis), is the most common surgery. • the damaged joint surfaces are removed and. What is arthritis of the big toe joint? With more advanced wear and tear and painful stiff toe other options are joint replacement or fusion of the big toe joint. Hallux rigidus, is arthritis (pain and. Types Of Big Toe Joint Replacements.
From www.stormanesthesia.com
Storm Anesthesia The Stiff Big Toe Joint (Hallux Rigidus) Types Of Big Toe Joint Replacements Hallux rigidus, is arthritis (pain and stiffening) of the main joint of the big toe in the ball of the foot. With more advanced wear and tear and painful stiff toe other options are joint replacement or fusion of the big toe joint. • the damaged joint surfaces are removed and. Visit nuffield health for more details. A keller’s arthroplasty. Types Of Big Toe Joint Replacements.
From bioproimplants.com
BioPro Hemi Toe Implant for Hallux Rigidus Types Of Big Toe Joint Replacements Fusion of the big toe. What is arthritis of the big toe joint? It is due to a wearing out of the joint surfaces. • the damaged joint surfaces are removed and. With more advanced wear and tear and painful stiff toe other options are joint replacement or fusion of the big toe joint. Arthritis of the big toe joint. Types Of Big Toe Joint Replacements.
From www.youtube.com
Great Toe Joint Replacement Surgery YouTube Types Of Big Toe Joint Replacements A keller’s arthroplasty is a surgical procedure to remove bone from the spot where your big toe joint meets the metatarsal bone and replace it with soft tissue. With more advanced wear and tear and painful stiff toe other options are joint replacement or fusion of the big toe joint. Unresolved big toe stiffness or a severely damaged joint may. Types Of Big Toe Joint Replacements.
From www.youtube.com
Big Toe Arthritis Surgery Cheilectomy Procedure Dr. Nick Campitelli Types Of Big Toe Joint Replacements Unresolved big toe stiffness or a severely damaged joint may need toe joint replacement. Fusion of the big toe. With more advanced wear and tear and painful stiff toe other options are joint replacement or fusion of the big toe joint. • the damaged joint surfaces are removed and. It is due to a wearing out of the joint surfaces.. Types Of Big Toe Joint Replacements.
From www.davidredfernsurgery.com
Big Toe Arthritis Arthritis Treatment & Surgery David Redfern Types Of Big Toe Joint Replacements A keller’s arthroplasty is a surgical procedure to remove bone from the spot where your big toe joint meets the metatarsal bone and replace it with soft tissue. Arthritis of the big toe joint is a condition which results in your big toe becoming stiff and. Visit nuffield health for more details. It is due to a wearing out of. Types Of Big Toe Joint Replacements.
From boundbobskryptis.blogspot.com
Toe Anatomy Joints Types Of Big Toe Joint Replacements With more advanced wear and tear and painful stiff toe other options are joint replacement or fusion of the big toe joint. A keller’s arthroplasty is a surgical procedure to remove bone from the spot where your big toe joint meets the metatarsal bone and replace it with soft tissue. Arthritis of the big toe joint is a condition which. Types Of Big Toe Joint Replacements.
From www.michiganfootdoctors.com
Big Toe Joint Pain Replacement Surgery [Best Recovery Time] Types Of Big Toe Joint Replacements With more advanced wear and tear and painful stiff toe other options are joint replacement or fusion of the big toe joint. Arthritis of the big toe joint is a condition which results in your big toe becoming stiff and. • the damaged joint surfaces are removed and. Fusion of the big toe. Fixing the bones together (fusion) of the. Types Of Big Toe Joint Replacements.
From pixels.com
Big Toe Joint Replacement Photograph by Mike Devlin/science Photo Types Of Big Toe Joint Replacements What is arthritis of the big toe joint? Arthritis of the big toe joint is a condition which results in your big toe becoming stiff and. Fusion of the big toe. Fixing the bones together (fusion) of the big toe joint (arthrodesis), is the most common surgery. Hallux rigidus, is arthritis (pain and stiffening) of the main joint of the. Types Of Big Toe Joint Replacements.
From localrevive.com
BioPro Hemi Toe Implant for Hallux Rigidus (2022) Types Of Big Toe Joint Replacements Visit nuffield health for more details. Fixing the bones together (fusion) of the big toe joint (arthrodesis), is the most common surgery. What is arthritis of the big toe joint? With more advanced wear and tear and painful stiff toe other options are joint replacement or fusion of the big toe joint. • the damaged joint surfaces are removed and.. Types Of Big Toe Joint Replacements.
From www.lifeslittlesteps.com
Big Toe Joint Fusion Surgery Treatment for Arthritis Pain Types Of Big Toe Joint Replacements A keller’s arthroplasty is a surgical procedure to remove bone from the spot where your big toe joint meets the metatarsal bone and replace it with soft tissue. • the damaged joint surfaces are removed and. Unresolved big toe stiffness or a severely damaged joint may need toe joint replacement. Fusion of the big toe. It is due to a. Types Of Big Toe Joint Replacements.
From medapparatus.com
Joint Arthroplasty a gallery Types Of Big Toe Joint Replacements • the damaged joint surfaces are removed and. With more advanced wear and tear and painful stiff toe other options are joint replacement or fusion of the big toe joint. Arthritis of the big toe joint is a condition which results in your big toe becoming stiff and. What is arthritis of the big toe joint? Unresolved big toe stiffness. Types Of Big Toe Joint Replacements.