Porcelain Gallbladder Images . Also known as calcified gallbladder, calcifying cholecystitis, or cholecystopathia chronica calcarea, ‘porcelain gallbladder’ (pgb) is the term used to. Porcelain gallbladder is a rare condition where calcium builds up on the gallbladder walls. Porcelain gallbladder refers to the condition in which the inner gallbladder wall is encrusted with calcium. This topic will review the epidemiology, clinical presentation, diagnosis, and management of porcelain gallbladder. Porcelain gallbladder or calcified gallbladder or cholecys topathia chronica calcarea is a relatively rare condition with an incidence rate of 0.06 to. Porcelain gallbladder is a rare condition characterised by complete or scattered encrustation of the gallbladder wall. The term has been used to. The wall becomes brittle, hard, and often takes on a bluish hue. It leads to a brittle, hard lining in the gallbladder and may cause symptoms such as pain in the.
from
Also known as calcified gallbladder, calcifying cholecystitis, or cholecystopathia chronica calcarea, ‘porcelain gallbladder’ (pgb) is the term used to. Porcelain gallbladder or calcified gallbladder or cholecys topathia chronica calcarea is a relatively rare condition with an incidence rate of 0.06 to. This topic will review the epidemiology, clinical presentation, diagnosis, and management of porcelain gallbladder. Porcelain gallbladder is a rare condition where calcium builds up on the gallbladder walls. The wall becomes brittle, hard, and often takes on a bluish hue. It leads to a brittle, hard lining in the gallbladder and may cause symptoms such as pain in the. The term has been used to. Porcelain gallbladder refers to the condition in which the inner gallbladder wall is encrusted with calcium. Porcelain gallbladder is a rare condition characterised by complete or scattered encrustation of the gallbladder wall.
Porcelain Gallbladder Images Porcelain gallbladder is a rare condition where calcium builds up on the gallbladder walls. It leads to a brittle, hard lining in the gallbladder and may cause symptoms such as pain in the. Also known as calcified gallbladder, calcifying cholecystitis, or cholecystopathia chronica calcarea, ‘porcelain gallbladder’ (pgb) is the term used to. Porcelain gallbladder is a rare condition characterised by complete or scattered encrustation of the gallbladder wall. Porcelain gallbladder or calcified gallbladder or cholecys topathia chronica calcarea is a relatively rare condition with an incidence rate of 0.06 to. The wall becomes brittle, hard, and often takes on a bluish hue. Porcelain gallbladder refers to the condition in which the inner gallbladder wall is encrusted with calcium. Porcelain gallbladder is a rare condition where calcium builds up on the gallbladder walls. The term has been used to. This topic will review the epidemiology, clinical presentation, diagnosis, and management of porcelain gallbladder.
From
Porcelain Gallbladder Images Porcelain gallbladder is a rare condition characterised by complete or scattered encrustation of the gallbladder wall. Also known as calcified gallbladder, calcifying cholecystitis, or cholecystopathia chronica calcarea, ‘porcelain gallbladder’ (pgb) is the term used to. Porcelain gallbladder refers to the condition in which the inner gallbladder wall is encrusted with calcium. Porcelain gallbladder is a rare condition where calcium builds. Porcelain Gallbladder Images.
From jetem.org
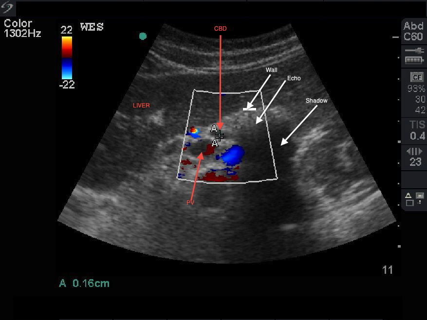
POCUS Porcelain Gallbladder. CT. JETem 2021 JETem Porcelain Gallbladder Images Porcelain gallbladder refers to the condition in which the inner gallbladder wall is encrusted with calcium. The term has been used to. Porcelain gallbladder is a rare condition characterised by complete or scattered encrustation of the gallbladder wall. It leads to a brittle, hard lining in the gallbladder and may cause symptoms such as pain in the. The wall becomes. Porcelain Gallbladder Images.
From
Porcelain Gallbladder Images Porcelain gallbladder or calcified gallbladder or cholecys topathia chronica calcarea is a relatively rare condition with an incidence rate of 0.06 to. The term has been used to. Porcelain gallbladder is a rare condition where calcium builds up on the gallbladder walls. Also known as calcified gallbladder, calcifying cholecystitis, or cholecystopathia chronica calcarea, ‘porcelain gallbladder’ (pgb) is the term used. Porcelain Gallbladder Images.
From
Porcelain Gallbladder Images The term has been used to. Porcelain gallbladder or calcified gallbladder or cholecys topathia chronica calcarea is a relatively rare condition with an incidence rate of 0.06 to. Porcelain gallbladder refers to the condition in which the inner gallbladder wall is encrusted with calcium. It leads to a brittle, hard lining in the gallbladder and may cause symptoms such as. Porcelain Gallbladder Images.
From www.researchgate.net
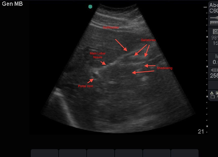
Porcelain gallbladder. Ultrasound image showing contracted gallbladder... Download Scientific Porcelain Gallbladder Images Porcelain gallbladder or calcified gallbladder or cholecys topathia chronica calcarea is a relatively rare condition with an incidence rate of 0.06 to. Porcelain gallbladder is a rare condition where calcium builds up on the gallbladder walls. The wall becomes brittle, hard, and often takes on a bluish hue. It leads to a brittle, hard lining in the gallbladder and may. Porcelain Gallbladder Images.
From ultrasound-cases.blogspot.com
Porcelain Gallbladder Ultrasound Cases Info Porcelain Gallbladder Images The wall becomes brittle, hard, and often takes on a bluish hue. Porcelain gallbladder or calcified gallbladder or cholecys topathia chronica calcarea is a relatively rare condition with an incidence rate of 0.06 to. Porcelain gallbladder refers to the condition in which the inner gallbladder wall is encrusted with calcium. Porcelain gallbladder is a rare condition characterised by complete or. Porcelain Gallbladder Images.
From
Porcelain Gallbladder Images Porcelain gallbladder or calcified gallbladder or cholecys topathia chronica calcarea is a relatively rare condition with an incidence rate of 0.06 to. Porcelain gallbladder refers to the condition in which the inner gallbladder wall is encrusted with calcium. This topic will review the epidemiology, clinical presentation, diagnosis, and management of porcelain gallbladder. Porcelain gallbladder is a rare condition characterised by. Porcelain Gallbladder Images.
From
Porcelain Gallbladder Images Also known as calcified gallbladder, calcifying cholecystitis, or cholecystopathia chronica calcarea, ‘porcelain gallbladder’ (pgb) is the term used to. It leads to a brittle, hard lining in the gallbladder and may cause symptoms such as pain in the. The wall becomes brittle, hard, and often takes on a bluish hue. Porcelain gallbladder is a rare condition where calcium builds up. Porcelain Gallbladder Images.
From www.svuhradiology.ie
Porcelain gallbladder Radiology at St. Vincent's University Hospital Porcelain Gallbladder Images It leads to a brittle, hard lining in the gallbladder and may cause symptoms such as pain in the. The term has been used to. Porcelain gallbladder or calcified gallbladder or cholecys topathia chronica calcarea is a relatively rare condition with an incidence rate of 0.06 to. Porcelain gallbladder is a rare condition where calcium builds up on the gallbladder. Porcelain Gallbladder Images.
From
Porcelain Gallbladder Images Porcelain gallbladder is a rare condition where calcium builds up on the gallbladder walls. The term has been used to. Porcelain gallbladder refers to the condition in which the inner gallbladder wall is encrusted with calcium. It leads to a brittle, hard lining in the gallbladder and may cause symptoms such as pain in the. Also known as calcified gallbladder,. Porcelain Gallbladder Images.
From atlas.mudr.org
Radiology case Porcelain gallbladder, calcification of gallbladder, cholecystolithiasis, gallstones Porcelain Gallbladder Images The wall becomes brittle, hard, and often takes on a bluish hue. Porcelain gallbladder refers to the condition in which the inner gallbladder wall is encrusted with calcium. It leads to a brittle, hard lining in the gallbladder and may cause symptoms such as pain in the. Porcelain gallbladder or calcified gallbladder or cholecys topathia chronica calcarea is a relatively. Porcelain Gallbladder Images.
From
Porcelain Gallbladder Images Porcelain gallbladder is a rare condition where calcium builds up on the gallbladder walls. Porcelain gallbladder refers to the condition in which the inner gallbladder wall is encrusted with calcium. Porcelain gallbladder or calcified gallbladder or cholecys topathia chronica calcarea is a relatively rare condition with an incidence rate of 0.06 to. The term has been used to. The wall. Porcelain Gallbladder Images.
From www.pinterest.com
Typical picture of a porcelain gallbladder (calcification of the wall). Complete shadow in the Porcelain Gallbladder Images The term has been used to. It leads to a brittle, hard lining in the gallbladder and may cause symptoms such as pain in the. Porcelain gallbladder is a rare condition characterised by complete or scattered encrustation of the gallbladder wall. Porcelain gallbladder refers to the condition in which the inner gallbladder wall is encrusted with calcium. The wall becomes. Porcelain Gallbladder Images.
From www.researchgate.net
(PDF) Porcelain Gallbladder Porcelain Gallbladder Images It leads to a brittle, hard lining in the gallbladder and may cause symptoms such as pain in the. Also known as calcified gallbladder, calcifying cholecystitis, or cholecystopathia chronica calcarea, ‘porcelain gallbladder’ (pgb) is the term used to. Porcelain gallbladder or calcified gallbladder or cholecys topathia chronica calcarea is a relatively rare condition with an incidence rate of 0.06 to.. Porcelain Gallbladder Images.
From www.cghjournal.org
Porcelain Gallbladder Clinical Gastroenterology and Hepatology Porcelain Gallbladder Images The wall becomes brittle, hard, and often takes on a bluish hue. This topic will review the epidemiology, clinical presentation, diagnosis, and management of porcelain gallbladder. Porcelain gallbladder is a rare condition where calcium builds up on the gallbladder walls. Porcelain gallbladder is a rare condition characterised by complete or scattered encrustation of the gallbladder wall. It leads to a. Porcelain Gallbladder Images.
From
Porcelain Gallbladder Images Porcelain gallbladder is a rare condition where calcium builds up on the gallbladder walls. Porcelain gallbladder or calcified gallbladder or cholecys topathia chronica calcarea is a relatively rare condition with an incidence rate of 0.06 to. Also known as calcified gallbladder, calcifying cholecystitis, or cholecystopathia chronica calcarea, ‘porcelain gallbladder’ (pgb) is the term used to. The term has been used. Porcelain Gallbladder Images.
From
Porcelain Gallbladder Images Porcelain gallbladder is a rare condition where calcium builds up on the gallbladder walls. The wall becomes brittle, hard, and often takes on a bluish hue. This topic will review the epidemiology, clinical presentation, diagnosis, and management of porcelain gallbladder. The term has been used to. Porcelain gallbladder or calcified gallbladder or cholecys topathia chronica calcarea is a relatively rare. Porcelain Gallbladder Images.
From www.researchgate.net
Porcelain gallbladder. Ultrasound of the gallbladder reveals an... Download Scientific Diagram Porcelain Gallbladder Images The term has been used to. It leads to a brittle, hard lining in the gallbladder and may cause symptoms such as pain in the. Also known as calcified gallbladder, calcifying cholecystitis, or cholecystopathia chronica calcarea, ‘porcelain gallbladder’ (pgb) is the term used to. This topic will review the epidemiology, clinical presentation, diagnosis, and management of porcelain gallbladder. Porcelain gallbladder. Porcelain Gallbladder Images.
From
Porcelain Gallbladder Images This topic will review the epidemiology, clinical presentation, diagnosis, and management of porcelain gallbladder. It leads to a brittle, hard lining in the gallbladder and may cause symptoms such as pain in the. Porcelain gallbladder is a rare condition characterised by complete or scattered encrustation of the gallbladder wall. The wall becomes brittle, hard, and often takes on a bluish. Porcelain Gallbladder Images.
From radiopaedia.org
Porcelain gallbladder Image Porcelain Gallbladder Images Also known as calcified gallbladder, calcifying cholecystitis, or cholecystopathia chronica calcarea, ‘porcelain gallbladder’ (pgb) is the term used to. The wall becomes brittle, hard, and often takes on a bluish hue. Porcelain gallbladder refers to the condition in which the inner gallbladder wall is encrusted with calcium. It leads to a brittle, hard lining in the gallbladder and may cause. Porcelain Gallbladder Images.
From
Porcelain Gallbladder Images This topic will review the epidemiology, clinical presentation, diagnosis, and management of porcelain gallbladder. Also known as calcified gallbladder, calcifying cholecystitis, or cholecystopathia chronica calcarea, ‘porcelain gallbladder’ (pgb) is the term used to. Porcelain gallbladder or calcified gallbladder or cholecys topathia chronica calcarea is a relatively rare condition with an incidence rate of 0.06 to. Porcelain gallbladder is a rare. Porcelain Gallbladder Images.
From healthjade.net
Porcelain gallbladder definition, causes, symptoms, diagnosis & treatment Porcelain Gallbladder Images This topic will review the epidemiology, clinical presentation, diagnosis, and management of porcelain gallbladder. The wall becomes brittle, hard, and often takes on a bluish hue. The term has been used to. Porcelain gallbladder is a rare condition where calcium builds up on the gallbladder walls. It leads to a brittle, hard lining in the gallbladder and may cause symptoms. Porcelain Gallbladder Images.
From
Porcelain Gallbladder Images Porcelain gallbladder is a rare condition where calcium builds up on the gallbladder walls. Also known as calcified gallbladder, calcifying cholecystitis, or cholecystopathia chronica calcarea, ‘porcelain gallbladder’ (pgb) is the term used to. The term has been used to. Porcelain gallbladder refers to the condition in which the inner gallbladder wall is encrusted with calcium. This topic will review the. Porcelain Gallbladder Images.
From www.imagejournals.org
Porcelain Gallbladder International Journal of Clinical & Medical Images Porcelain Gallbladder Images Porcelain gallbladder refers to the condition in which the inner gallbladder wall is encrusted with calcium. Porcelain gallbladder or calcified gallbladder or cholecys topathia chronica calcarea is a relatively rare condition with an incidence rate of 0.06 to. This topic will review the epidemiology, clinical presentation, diagnosis, and management of porcelain gallbladder. Also known as calcified gallbladder, calcifying cholecystitis, or. Porcelain Gallbladder Images.
From
Porcelain Gallbladder Images The term has been used to. It leads to a brittle, hard lining in the gallbladder and may cause symptoms such as pain in the. Also known as calcified gallbladder, calcifying cholecystitis, or cholecystopathia chronica calcarea, ‘porcelain gallbladder’ (pgb) is the term used to. Porcelain gallbladder is a rare condition characterised by complete or scattered encrustation of the gallbladder wall.. Porcelain Gallbladder Images.
From atlas.mudr.org
Radiology case Splenomegally, porcelain gall bladder Porcelain Gallbladder Images Porcelain gallbladder refers to the condition in which the inner gallbladder wall is encrusted with calcium. The wall becomes brittle, hard, and often takes on a bluish hue. It leads to a brittle, hard lining in the gallbladder and may cause symptoms such as pain in the. The term has been used to. This topic will review the epidemiology, clinical. Porcelain Gallbladder Images.
From
Porcelain Gallbladder Images The wall becomes brittle, hard, and often takes on a bluish hue. Porcelain gallbladder is a rare condition characterised by complete or scattered encrustation of the gallbladder wall. The term has been used to. This topic will review the epidemiology, clinical presentation, diagnosis, and management of porcelain gallbladder. Porcelain gallbladder or calcified gallbladder or cholecys topathia chronica calcarea is a. Porcelain Gallbladder Images.
From ultrasound-cases.blogspot.com
Porcelain Gallbladder Ultrasound Cases Info Porcelain Gallbladder Images The term has been used to. Porcelain gallbladder refers to the condition in which the inner gallbladder wall is encrusted with calcium. Porcelain gallbladder or calcified gallbladder or cholecys topathia chronica calcarea is a relatively rare condition with an incidence rate of 0.06 to. The wall becomes brittle, hard, and often takes on a bluish hue. Also known as calcified. Porcelain Gallbladder Images.
From
Porcelain Gallbladder Images It leads to a brittle, hard lining in the gallbladder and may cause symptoms such as pain in the. Porcelain gallbladder or calcified gallbladder or cholecys topathia chronica calcarea is a relatively rare condition with an incidence rate of 0.06 to. Porcelain gallbladder refers to the condition in which the inner gallbladder wall is encrusted with calcium. Also known as. Porcelain Gallbladder Images.
From
Porcelain Gallbladder Images Porcelain gallbladder refers to the condition in which the inner gallbladder wall is encrusted with calcium. It leads to a brittle, hard lining in the gallbladder and may cause symptoms such as pain in the. Porcelain gallbladder or calcified gallbladder or cholecys topathia chronica calcarea is a relatively rare condition with an incidence rate of 0.06 to. The term has. Porcelain Gallbladder Images.
From
Porcelain Gallbladder Images Porcelain gallbladder refers to the condition in which the inner gallbladder wall is encrusted with calcium. This topic will review the epidemiology, clinical presentation, diagnosis, and management of porcelain gallbladder. Porcelain gallbladder is a rare condition where calcium builds up on the gallbladder walls. Also known as calcified gallbladder, calcifying cholecystitis, or cholecystopathia chronica calcarea, ‘porcelain gallbladder’ (pgb) is the. Porcelain Gallbladder Images.
From www.clinmedjournals.org
Clinical Image Porcelain Gallbladder Porcelain Gallbladder Images Porcelain gallbladder refers to the condition in which the inner gallbladder wall is encrusted with calcium. Porcelain gallbladder is a rare condition where calcium builds up on the gallbladder walls. Porcelain gallbladder or calcified gallbladder or cholecys topathia chronica calcarea is a relatively rare condition with an incidence rate of 0.06 to. This topic will review the epidemiology, clinical presentation,. Porcelain Gallbladder Images.
From
Porcelain Gallbladder Images It leads to a brittle, hard lining in the gallbladder and may cause symptoms such as pain in the. Porcelain gallbladder refers to the condition in which the inner gallbladder wall is encrusted with calcium. This topic will review the epidemiology, clinical presentation, diagnosis, and management of porcelain gallbladder. The term has been used to. The wall becomes brittle, hard,. Porcelain Gallbladder Images.
From
Porcelain Gallbladder Images This topic will review the epidemiology, clinical presentation, diagnosis, and management of porcelain gallbladder. The term has been used to. Porcelain gallbladder refers to the condition in which the inner gallbladder wall is encrusted with calcium. It leads to a brittle, hard lining in the gallbladder and may cause symptoms such as pain in the. Porcelain gallbladder is a rare. Porcelain Gallbladder Images.
From
Porcelain Gallbladder Images Also known as calcified gallbladder, calcifying cholecystitis, or cholecystopathia chronica calcarea, ‘porcelain gallbladder’ (pgb) is the term used to. This topic will review the epidemiology, clinical presentation, diagnosis, and management of porcelain gallbladder. The term has been used to. Porcelain gallbladder refers to the condition in which the inner gallbladder wall is encrusted with calcium. Porcelain gallbladder is a rare. Porcelain Gallbladder Images.