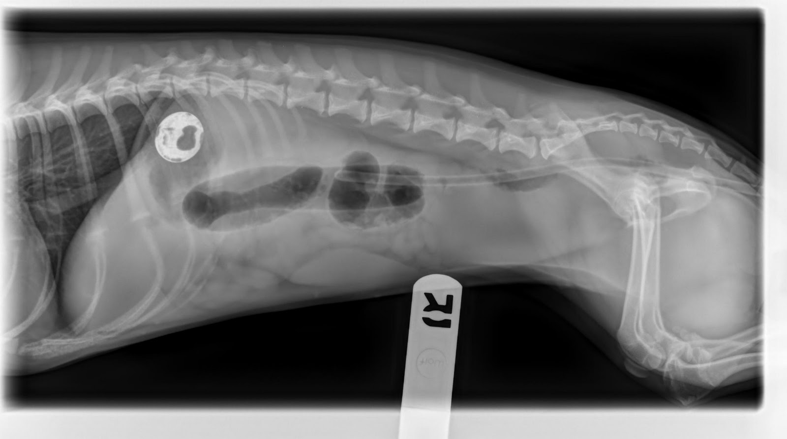
Dog Zinc Poisoning . When canines ingest certain types of zinc, there is a formation of. Gross pathologic findings in dogs and cats include nonspecific hepatomegaly; Symptoms of zinc toxicosis include appetite loss, vomiting, diarrhea, lethargy, and collapse. Acute zinc poisoning is a relatively common source of poisoning in dogs. And inflammation, edema, or ulceration of the gi mucosa. Here are a few signs to notice. It is most common in pet dogs, possibly because of their indiscriminate eating habits. Ingestion of metal objects containing zinc or high dietary levels of zinc cause the more classic clinical signs of zinc toxicosis (eg, intravascular hemolysis). Zinc poisoning in dogs is common and can be treated effectively if owners recognize early symptoms after ingestion. Ingested metal objects show up. Zinc toxicity has been seen in a wide range of animals.
from animalia-life.club
Symptoms of zinc toxicosis include appetite loss, vomiting, diarrhea, lethargy, and collapse. Acute zinc poisoning is a relatively common source of poisoning in dogs. And inflammation, edema, or ulceration of the gi mucosa. Zinc toxicity has been seen in a wide range of animals. Ingested metal objects show up. Zinc poisoning in dogs is common and can be treated effectively if owners recognize early symptoms after ingestion. It is most common in pet dogs, possibly because of their indiscriminate eating habits. Gross pathologic findings in dogs and cats include nonspecific hepatomegaly; Here are a few signs to notice. Ingestion of metal objects containing zinc or high dietary levels of zinc cause the more classic clinical signs of zinc toxicosis (eg, intravascular hemolysis).
What Are The Symptoms Of Zinc Deficiency In Dogs
Dog Zinc Poisoning Here are a few signs to notice. Ingested metal objects show up. When canines ingest certain types of zinc, there is a formation of. Symptoms of zinc toxicosis include appetite loss, vomiting, diarrhea, lethargy, and collapse. Acute zinc poisoning is a relatively common source of poisoning in dogs. Ingestion of metal objects containing zinc or high dietary levels of zinc cause the more classic clinical signs of zinc toxicosis (eg, intravascular hemolysis). And inflammation, edema, or ulceration of the gi mucosa. Zinc toxicity has been seen in a wide range of animals. It is most common in pet dogs, possibly because of their indiscriminate eating habits. Here are a few signs to notice. Gross pathologic findings in dogs and cats include nonspecific hepatomegaly; Zinc poisoning in dogs is common and can be treated effectively if owners recognize early symptoms after ingestion.
From animalia-life.club
What Are The Symptoms Of Zinc Deficiency In Dogs Dog Zinc Poisoning Ingestion of metal objects containing zinc or high dietary levels of zinc cause the more classic clinical signs of zinc toxicosis (eg, intravascular hemolysis). And inflammation, edema, or ulceration of the gi mucosa. Here are a few signs to notice. Acute zinc poisoning is a relatively common source of poisoning in dogs. Ingested metal objects show up. When canines ingest. Dog Zinc Poisoning.
From www.youtube.com
Zinc poisoning Toxicology Metallic poison Zinc phosphide Dog Zinc Poisoning Acute zinc poisoning is a relatively common source of poisoning in dogs. Ingested metal objects show up. Zinc toxicity has been seen in a wide range of animals. When canines ingest certain types of zinc, there is a formation of. Symptoms of zinc toxicosis include appetite loss, vomiting, diarrhea, lethargy, and collapse. And inflammation, edema, or ulceration of the gi. Dog Zinc Poisoning.
From www.labradortraininghq.com
Dog Poisoning Symptoms How to Tell If Your Dog Has Been Poisoned [2021 ] Dog Zinc Poisoning It is most common in pet dogs, possibly because of their indiscriminate eating habits. And inflammation, edema, or ulceration of the gi mucosa. When canines ingest certain types of zinc, there is a formation of. Zinc toxicity has been seen in a wide range of animals. Symptoms of zinc toxicosis include appetite loss, vomiting, diarrhea, lethargy, and collapse. Ingested metal. Dog Zinc Poisoning.
From www.petmd.com
Zinc Toxicosis in Dogs Poisoning from Pennies PetMD Dog Zinc Poisoning Acute zinc poisoning is a relatively common source of poisoning in dogs. Ingestion of metal objects containing zinc or high dietary levels of zinc cause the more classic clinical signs of zinc toxicosis (eg, intravascular hemolysis). Gross pathologic findings in dogs and cats include nonspecific hepatomegaly; When canines ingest certain types of zinc, there is a formation of. Ingested metal. Dog Zinc Poisoning.
From pethelpful.com
My Dog Ate a Penny Zinc Toxicity and Poisoning in Dogs PetHelpful Dog Zinc Poisoning Zinc poisoning in dogs is common and can be treated effectively if owners recognize early symptoms after ingestion. Ingestion of metal objects containing zinc or high dietary levels of zinc cause the more classic clinical signs of zinc toxicosis (eg, intravascular hemolysis). Ingested metal objects show up. Zinc toxicity has been seen in a wide range of animals. And inflammation,. Dog Zinc Poisoning.
From www.wikihow.com
Zinc Deficiency in Dogs Causes, Symptoms and Treatments Dog Zinc Poisoning It is most common in pet dogs, possibly because of their indiscriminate eating habits. Zinc poisoning in dogs is common and can be treated effectively if owners recognize early symptoms after ingestion. Ingested metal objects show up. Gross pathologic findings in dogs and cats include nonspecific hepatomegaly; When canines ingest certain types of zinc, there is a formation of. Symptoms. Dog Zinc Poisoning.
From www.petiska.com
Budgie Zinc Poisoning [Symptoms, Causes, Treatment] Dog Zinc Poisoning Ingestion of metal objects containing zinc or high dietary levels of zinc cause the more classic clinical signs of zinc toxicosis (eg, intravascular hemolysis). Here are a few signs to notice. Zinc poisoning in dogs is common and can be treated effectively if owners recognize early symptoms after ingestion. When canines ingest certain types of zinc, there is a formation. Dog Zinc Poisoning.
From puainta.com
Zinc Oxide on Dogs Benefits, Risks, and Safe UsagePuainta® Dog Zinc Poisoning When canines ingest certain types of zinc, there is a formation of. Zinc toxicity has been seen in a wide range of animals. Here are a few signs to notice. And inflammation, edema, or ulceration of the gi mucosa. Ingestion of metal objects containing zinc or high dietary levels of zinc cause the more classic clinical signs of zinc toxicosis. Dog Zinc Poisoning.
From mydogsymptoms.com
Zinc Poisoning in Dogs Count Your Change—Penny's Story Dog Zinc Poisoning Ingestion of metal objects containing zinc or high dietary levels of zinc cause the more classic clinical signs of zinc toxicosis (eg, intravascular hemolysis). Ingested metal objects show up. And inflammation, edema, or ulceration of the gi mucosa. Zinc poisoning in dogs is common and can be treated effectively if owners recognize early symptoms after ingestion. When canines ingest certain. Dog Zinc Poisoning.
From animalia-life.club
Are Foods Rich In Zinc Bad For Dogs Dog Zinc Poisoning Ingestion of metal objects containing zinc or high dietary levels of zinc cause the more classic clinical signs of zinc toxicosis (eg, intravascular hemolysis). When canines ingest certain types of zinc, there is a formation of. Symptoms of zinc toxicosis include appetite loss, vomiting, diarrhea, lethargy, and collapse. And inflammation, edema, or ulceration of the gi mucosa. Acute zinc poisoning. Dog Zinc Poisoning.
From animalia-life.club
Is Zinc Dangerous For Dogs Dog Zinc Poisoning Acute zinc poisoning is a relatively common source of poisoning in dogs. And inflammation, edema, or ulceration of the gi mucosa. Here are a few signs to notice. Symptoms of zinc toxicosis include appetite loss, vomiting, diarrhea, lethargy, and collapse. Ingested metal objects show up. When canines ingest certain types of zinc, there is a formation of. It is most. Dog Zinc Poisoning.
From animalia-life.club
Will Zinc Oxide Hurt Dogs Dog Zinc Poisoning It is most common in pet dogs, possibly because of their indiscriminate eating habits. Zinc toxicity has been seen in a wide range of animals. Gross pathologic findings in dogs and cats include nonspecific hepatomegaly; Ingestion of metal objects containing zinc or high dietary levels of zinc cause the more classic clinical signs of zinc toxicosis (eg, intravascular hemolysis). Acute. Dog Zinc Poisoning.
From www.petpoisonhelpline.com
Zinc Poisoning Pet Poison Helpline Dog Zinc Poisoning Ingested metal objects show up. Here are a few signs to notice. Acute zinc poisoning is a relatively common source of poisoning in dogs. It is most common in pet dogs, possibly because of their indiscriminate eating habits. Symptoms of zinc toxicosis include appetite loss, vomiting, diarrhea, lethargy, and collapse. Gross pathologic findings in dogs and cats include nonspecific hepatomegaly;. Dog Zinc Poisoning.
From pethelpful.com
Zinc Toxicity and Poisoning in Dogs PetHelpful Dog Zinc Poisoning When canines ingest certain types of zinc, there is a formation of. And inflammation, edema, or ulceration of the gi mucosa. Here are a few signs to notice. Zinc toxicity has been seen in a wide range of animals. Symptoms of zinc toxicosis include appetite loss, vomiting, diarrhea, lethargy, and collapse. Gross pathologic findings in dogs and cats include nonspecific. Dog Zinc Poisoning.
From www.ethosvet.com
Delayed Zinc Toxicosis in a Starved Dog Ethos Veterinary Health Dog Zinc Poisoning Acute zinc poisoning is a relatively common source of poisoning in dogs. Zinc toxicity has been seen in a wide range of animals. When canines ingest certain types of zinc, there is a formation of. Gross pathologic findings in dogs and cats include nonspecific hepatomegaly; Ingested metal objects show up. And inflammation, edema, or ulceration of the gi mucosa. Ingestion. Dog Zinc Poisoning.
From www.researchgate.net
(PDF) [Acute zinc poisoning in a dog] Dog Zinc Poisoning Here are a few signs to notice. It is most common in pet dogs, possibly because of their indiscriminate eating habits. Ingested metal objects show up. Zinc poisoning in dogs is common and can be treated effectively if owners recognize early symptoms after ingestion. And inflammation, edema, or ulceration of the gi mucosa. Zinc toxicity has been seen in a. Dog Zinc Poisoning.
From www.thesprucepets.com
Zinc Poisoning in Dogs Dog Zinc Poisoning When canines ingest certain types of zinc, there is a formation of. Ingested metal objects show up. Here are a few signs to notice. Ingestion of metal objects containing zinc or high dietary levels of zinc cause the more classic clinical signs of zinc toxicosis (eg, intravascular hemolysis). Symptoms of zinc toxicosis include appetite loss, vomiting, diarrhea, lethargy, and collapse.. Dog Zinc Poisoning.
From breedingbusiness.com
Zinc Deficiency In Dogs Types, Symptoms & FAQ Dog Zinc Poisoning Zinc toxicity has been seen in a wide range of animals. Gross pathologic findings in dogs and cats include nonspecific hepatomegaly; Zinc poisoning in dogs is common and can be treated effectively if owners recognize early symptoms after ingestion. Ingested metal objects show up. Ingestion of metal objects containing zinc or high dietary levels of zinc cause the more classic. Dog Zinc Poisoning.
From healthypets.mercola.com
Zinc Toxicity Risks For Pets Dog Zinc Poisoning Gross pathologic findings in dogs and cats include nonspecific hepatomegaly; Zinc poisoning in dogs is common and can be treated effectively if owners recognize early symptoms after ingestion. Ingested metal objects show up. Here are a few signs to notice. Zinc toxicity has been seen in a wide range of animals. And inflammation, edema, or ulceration of the gi mucosa.. Dog Zinc Poisoning.
From informacionpublica.svet.gob.gt
Zinc Oxide Topical Poisoning In Dogs Symptoms, Causes, Dog Zinc Poisoning Symptoms of zinc toxicosis include appetite loss, vomiting, diarrhea, lethargy, and collapse. When canines ingest certain types of zinc, there is a formation of. It is most common in pet dogs, possibly because of their indiscriminate eating habits. Gross pathologic findings in dogs and cats include nonspecific hepatomegaly; Ingestion of metal objects containing zinc or high dietary levels of zinc. Dog Zinc Poisoning.
From www.pinterest.com
Diabetic Dog Food, Healthy Dog Food Recipes, Healthy Pets, Dog Recipes Dog Zinc Poisoning Zinc toxicity has been seen in a wide range of animals. Zinc poisoning in dogs is common and can be treated effectively if owners recognize early symptoms after ingestion. Ingestion of metal objects containing zinc or high dietary levels of zinc cause the more classic clinical signs of zinc toxicosis (eg, intravascular hemolysis). Here are a few signs to notice.. Dog Zinc Poisoning.
From www.nutritionstrength.com
Zinc for Dogs How It Benefits Your Pet Nutrition Strength Dog Zinc Poisoning Here are a few signs to notice. Ingested metal objects show up. It is most common in pet dogs, possibly because of their indiscriminate eating habits. Acute zinc poisoning is a relatively common source of poisoning in dogs. Zinc poisoning in dogs is common and can be treated effectively if owners recognize early symptoms after ingestion. Gross pathologic findings in. Dog Zinc Poisoning.
From pethelpful.com
My Dog Ate a Penny Zinc Toxicity and Poisoning in Dogs PetHelpful Dog Zinc Poisoning And inflammation, edema, or ulceration of the gi mucosa. Symptoms of zinc toxicosis include appetite loss, vomiting, diarrhea, lethargy, and collapse. It is most common in pet dogs, possibly because of their indiscriminate eating habits. When canines ingest certain types of zinc, there is a formation of. Ingestion of metal objects containing zinc or high dietary levels of zinc cause. Dog Zinc Poisoning.
From dogtime.com
The Silent Killer Zinc Deficiency And Your Dog DogTime Dog Zinc Poisoning Symptoms of zinc toxicosis include appetite loss, vomiting, diarrhea, lethargy, and collapse. Ingestion of metal objects containing zinc or high dietary levels of zinc cause the more classic clinical signs of zinc toxicosis (eg, intravascular hemolysis). Gross pathologic findings in dogs and cats include nonspecific hepatomegaly; It is most common in pet dogs, possibly because of their indiscriminate eating habits.. Dog Zinc Poisoning.
From www.veterinary-practice.com
Could it be zincresponsive dermatosis? Veterinary Practice Dog Zinc Poisoning It is most common in pet dogs, possibly because of their indiscriminate eating habits. Ingested metal objects show up. Acute zinc poisoning is a relatively common source of poisoning in dogs. And inflammation, edema, or ulceration of the gi mucosa. Gross pathologic findings in dogs and cats include nonspecific hepatomegaly; Ingestion of metal objects containing zinc or high dietary levels. Dog Zinc Poisoning.
From dogfriendlyscene.co.uk
Why Is Zinc Important For Dogs? Dog Friendly Scene Dog Zinc Poisoning Here are a few signs to notice. Symptoms of zinc toxicosis include appetite loss, vomiting, diarrhea, lethargy, and collapse. Gross pathologic findings in dogs and cats include nonspecific hepatomegaly; Acute zinc poisoning is a relatively common source of poisoning in dogs. When canines ingest certain types of zinc, there is a formation of. Ingestion of metal objects containing zinc or. Dog Zinc Poisoning.
From vrccluckytalks.blogspot.com
"Lucky" Talks Pennies Cause Zinc Poisoning in Dogs Dog Zinc Poisoning It is most common in pet dogs, possibly because of their indiscriminate eating habits. Here are a few signs to notice. Zinc toxicity has been seen in a wide range of animals. Symptoms of zinc toxicosis include appetite loss, vomiting, diarrhea, lethargy, and collapse. Ingested metal objects show up. Gross pathologic findings in dogs and cats include nonspecific hepatomegaly; Acute. Dog Zinc Poisoning.
From www.youtube.com
Zinc Oxide Topical Poisoning in Dogs Wag! YouTube Dog Zinc Poisoning Gross pathologic findings in dogs and cats include nonspecific hepatomegaly; Ingestion of metal objects containing zinc or high dietary levels of zinc cause the more classic clinical signs of zinc toxicosis (eg, intravascular hemolysis). Acute zinc poisoning is a relatively common source of poisoning in dogs. Zinc poisoning in dogs is common and can be treated effectively if owners recognize. Dog Zinc Poisoning.
From www.mokaipaws.com
Zinc Deficiency In Dogs Dog Zinc Poisoning Acute zinc poisoning is a relatively common source of poisoning in dogs. Ingestion of metal objects containing zinc or high dietary levels of zinc cause the more classic clinical signs of zinc toxicosis (eg, intravascular hemolysis). Ingested metal objects show up. Zinc poisoning in dogs is common and can be treated effectively if owners recognize early symptoms after ingestion. Here. Dog Zinc Poisoning.
From www.ethosvet.com
Delayed Zinc Toxicosis in a Starved Dog Ethos Veterinary Health Dog Zinc Poisoning Symptoms of zinc toxicosis include appetite loss, vomiting, diarrhea, lethargy, and collapse. Here are a few signs to notice. Zinc poisoning in dogs is common and can be treated effectively if owners recognize early symptoms after ingestion. Gross pathologic findings in dogs and cats include nonspecific hepatomegaly; And inflammation, edema, or ulceration of the gi mucosa. Acute zinc poisoning is. Dog Zinc Poisoning.
From www.aav.org
Signs and Symptoms Zinc’s Actions in the Body Association of Avian Dog Zinc Poisoning When canines ingest certain types of zinc, there is a formation of. Here are a few signs to notice. Ingestion of metal objects containing zinc or high dietary levels of zinc cause the more classic clinical signs of zinc toxicosis (eg, intravascular hemolysis). It is most common in pet dogs, possibly because of their indiscriminate eating habits. Zinc toxicity has. Dog Zinc Poisoning.
From www.rockwellpetspro.com
11 Symptoms Of Zinc Deficiency In Dogs You Should Not Ignore Rockwell Dog Zinc Poisoning Ingested metal objects show up. And inflammation, edema, or ulceration of the gi mucosa. Gross pathologic findings in dogs and cats include nonspecific hepatomegaly; Ingestion of metal objects containing zinc or high dietary levels of zinc cause the more classic clinical signs of zinc toxicosis (eg, intravascular hemolysis). Symptoms of zinc toxicosis include appetite loss, vomiting, diarrhea, lethargy, and collapse.. Dog Zinc Poisoning.
From animalia-life.club
Can You Put Zinc Oxide On Your Dog Dog Zinc Poisoning It is most common in pet dogs, possibly because of their indiscriminate eating habits. Gross pathologic findings in dogs and cats include nonspecific hepatomegaly; Acute zinc poisoning is a relatively common source of poisoning in dogs. Here are a few signs to notice. Ingested metal objects show up. Symptoms of zinc toxicosis include appetite loss, vomiting, diarrhea, lethargy, and collapse.. Dog Zinc Poisoning.
From www.thewildest.com
Zinc Toxicity in Dogs Common Cents Caution for Pets · The Wildest Dog Zinc Poisoning Ingestion of metal objects containing zinc or high dietary levels of zinc cause the more classic clinical signs of zinc toxicosis (eg, intravascular hemolysis). Ingested metal objects show up. When canines ingest certain types of zinc, there is a formation of. And inflammation, edema, or ulceration of the gi mucosa. Gross pathologic findings in dogs and cats include nonspecific hepatomegaly;. Dog Zinc Poisoning.
From rrdog.org
Accidental Poisoning Do You Know How To Help Keep Your Dog Safe? Dog Zinc Poisoning And inflammation, edema, or ulceration of the gi mucosa. Zinc poisoning in dogs is common and can be treated effectively if owners recognize early symptoms after ingestion. Ingestion of metal objects containing zinc or high dietary levels of zinc cause the more classic clinical signs of zinc toxicosis (eg, intravascular hemolysis). It is most common in pet dogs, possibly because. Dog Zinc Poisoning.