Matrix Tooth Filling . A dental filling is one of the common procedures used to repair a damaged tooth. When this is tightened you will feel some. If the top and side of the tooth were filled, it is likely a matrix band will have been used to shape the filling. The objective with a filling is to remove the decayed area, clean it well, and “fill” the space with a material, returning the tooth to its normal shape and, hopefully, normal function. In order to restore the in between surfaces (interproximal) a matrix band or mylar strip is required. The filtek matrix preserves natural tooth structure through a digital workflow specific to the patient’s dentition. In fact, according to the centers for disease control and prevention, over 90% of adults in the united states have. A dental filling is a dental procedure used to restore part of a tooth that has been damaged by decay. A dental filling for a 2 surface filling can be very different from a 1 surface filling if the cavity involves the interproximal surfaces, mesial and distal.
from www.youtube.com
The filtek matrix preserves natural tooth structure through a digital workflow specific to the patient’s dentition. A dental filling for a 2 surface filling can be very different from a 1 surface filling if the cavity involves the interproximal surfaces, mesial and distal. A dental filling is one of the common procedures used to repair a damaged tooth. In order to restore the in between surfaces (interproximal) a matrix band or mylar strip is required. When this is tightened you will feel some. The objective with a filling is to remove the decayed area, clean it well, and “fill” the space with a material, returning the tooth to its normal shape and, hopefully, normal function. A dental filling is a dental procedure used to restore part of a tooth that has been damaged by decay. If the top and side of the tooth were filled, it is likely a matrix band will have been used to shape the filling. In fact, according to the centers for disease control and prevention, over 90% of adults in the united states have.
Walser® Sectional Matrix system Application Oform dental matrix YouTube
Matrix Tooth Filling If the top and side of the tooth were filled, it is likely a matrix band will have been used to shape the filling. A dental filling is one of the common procedures used to repair a damaged tooth. When this is tightened you will feel some. A dental filling for a 2 surface filling can be very different from a 1 surface filling if the cavity involves the interproximal surfaces, mesial and distal. In fact, according to the centers for disease control and prevention, over 90% of adults in the united states have. The objective with a filling is to remove the decayed area, clean it well, and “fill” the space with a material, returning the tooth to its normal shape and, hopefully, normal function. If the top and side of the tooth were filled, it is likely a matrix band will have been used to shape the filling. A dental filling is a dental procedure used to restore part of a tooth that has been damaged by decay. The filtek matrix preserves natural tooth structure through a digital workflow specific to the patient’s dentition. In order to restore the in between surfaces (interproximal) a matrix band or mylar strip is required.
From joigofcqq.blob.core.windows.net
Types Of Dental Matrix Bands at Rebecca Carlson blog Matrix Tooth Filling When this is tightened you will feel some. A dental filling is one of the common procedures used to repair a damaged tooth. The filtek matrix preserves natural tooth structure through a digital workflow specific to the patient’s dentition. A dental filling for a 2 surface filling can be very different from a 1 surface filling if the cavity involves. Matrix Tooth Filling.
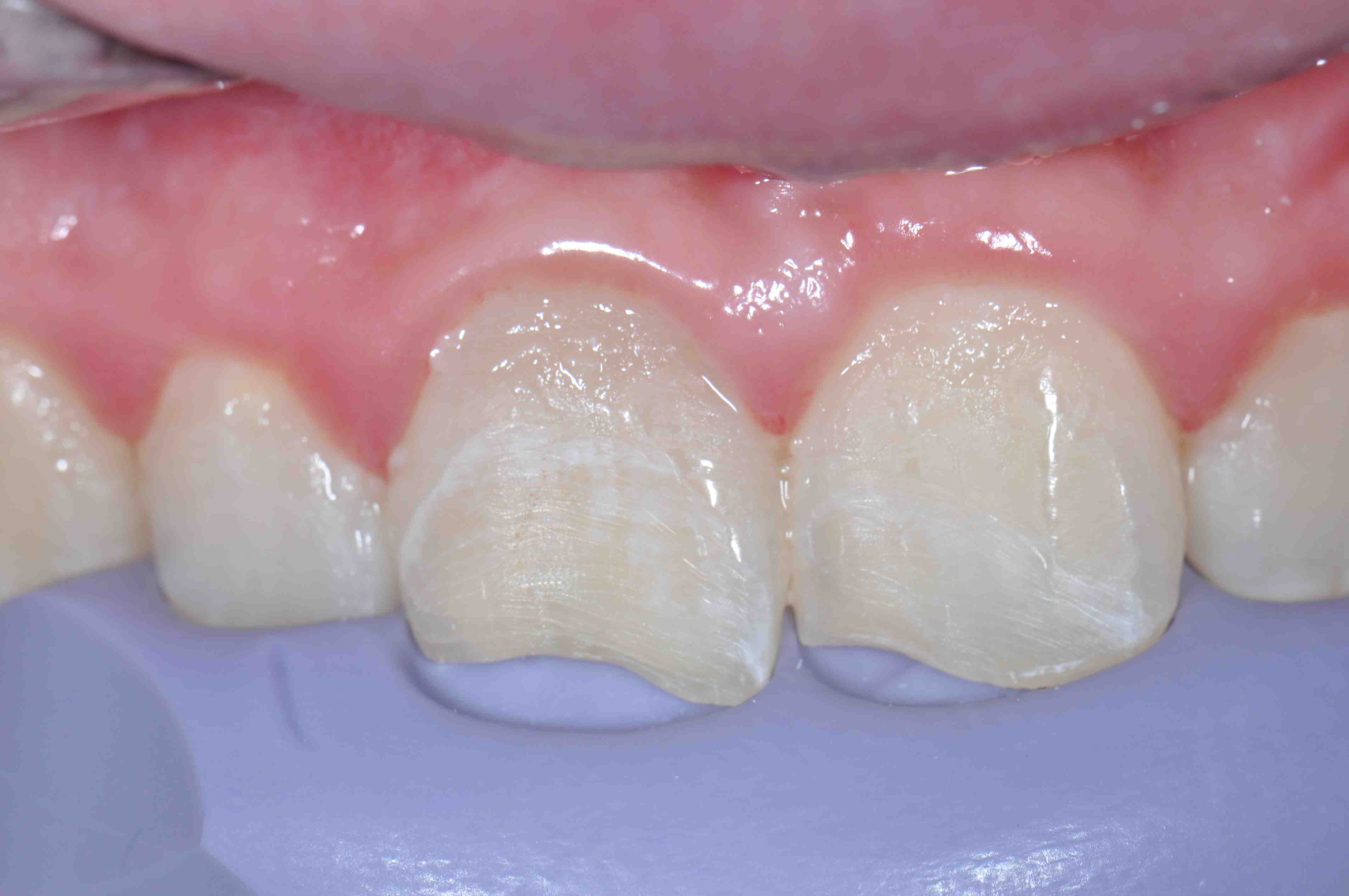
From www.clarencetam.co.nz
Matrix in Matrix assembly for complex dental fillings Matrix in Matrix Matrix Tooth Filling The objective with a filling is to remove the decayed area, clean it well, and “fill” the space with a material, returning the tooth to its normal shape and, hopefully, normal function. In fact, according to the centers for disease control and prevention, over 90% of adults in the united states have. A dental filling is a dental procedure used. Matrix Tooth Filling.
From www.clarencetam.co.nz
Matrix in Matrix assembly for complex dental fillings Matrix in Matrix Matrix Tooth Filling The filtek matrix preserves natural tooth structure through a digital workflow specific to the patient’s dentition. When this is tightened you will feel some. In fact, according to the centers for disease control and prevention, over 90% of adults in the united states have. A dental filling is a dental procedure used to restore part of a tooth that has. Matrix Tooth Filling.
From www.dentmark.com
Buy Dental Forming Sheet Contoured Metal Matrix Bands Automatrix Matrix Tooth Filling The objective with a filling is to remove the decayed area, clean it well, and “fill” the space with a material, returning the tooth to its normal shape and, hopefully, normal function. In fact, according to the centers for disease control and prevention, over 90% of adults in the united states have. In order to restore the in between surfaces. Matrix Tooth Filling.
From www.clarencetam.co.nz
Matrix in Matrix assembly for complex dental fillings Matrix in Matrix Matrix Tooth Filling A dental filling is one of the common procedures used to repair a damaged tooth. If the top and side of the tooth were filled, it is likely a matrix band will have been used to shape the filling. The filtek matrix preserves natural tooth structure through a digital workflow specific to the patient’s dentition. A dental filling is a. Matrix Tooth Filling.
From www.styleitaliano.org
The perfect matrix for direct composite resin veneers Matrix Tooth Filling A dental filling is a dental procedure used to restore part of a tooth that has been damaged by decay. In fact, according to the centers for disease control and prevention, over 90% of adults in the united states have. In order to restore the in between surfaces (interproximal) a matrix band or mylar strip is required. The filtek matrix. Matrix Tooth Filling.
From www.mdpi.com
Dentistry Journal Free FullText Resin Composites in Posterior Matrix Tooth Filling A dental filling for a 2 surface filling can be very different from a 1 surface filling if the cavity involves the interproximal surfaces, mesial and distal. In fact, according to the centers for disease control and prevention, over 90% of adults in the united states have. A dental filling is a dental procedure used to restore part of a. Matrix Tooth Filling.
From www.youtube.com
Still using a MATRIX BAND for composites? YouTube Matrix Tooth Filling A dental filling for a 2 surface filling can be very different from a 1 surface filling if the cavity involves the interproximal surfaces, mesial and distal. A dental filling is a dental procedure used to restore part of a tooth that has been damaged by decay. In fact, according to the centers for disease control and prevention, over 90%. Matrix Tooth Filling.
From acorndentistryforkids.com
The 3 Steps Of A Composite Filling Acorn Dentistry For Kids Matrix Tooth Filling In order to restore the in between surfaces (interproximal) a matrix band or mylar strip is required. The objective with a filling is to remove the decayed area, clean it well, and “fill” the space with a material, returning the tooth to its normal shape and, hopefully, normal function. If the top and side of the tooth were filled, it. Matrix Tooth Filling.
From www.dentallabshop.com
Dentistry Sectional Matrix Kit, 37.80, September 2024 Dental Lab Shop Matrix Tooth Filling If the top and side of the tooth were filled, it is likely a matrix band will have been used to shape the filling. The filtek matrix preserves natural tooth structure through a digital workflow specific to the patient’s dentition. A dental filling is one of the common procedures used to repair a damaged tooth. In order to restore the. Matrix Tooth Filling.
From www.clarencetam.co.nz
Matrix in Matrix assembly for complex dental fillings Matrix in Matrix Matrix Tooth Filling A dental filling for a 2 surface filling can be very different from a 1 surface filling if the cavity involves the interproximal surfaces, mesial and distal. The objective with a filling is to remove the decayed area, clean it well, and “fill” the space with a material, returning the tooth to its normal shape and, hopefully, normal function. A. Matrix Tooth Filling.
From leeannbrady.com
Your New Filling Will Match....Tomorrow Lee Ann Brady DMD Matrix Tooth Filling When this is tightened you will feel some. A dental filling is one of the common procedures used to repair a damaged tooth. The objective with a filling is to remove the decayed area, clean it well, and “fill” the space with a material, returning the tooth to its normal shape and, hopefully, normal function. The filtek matrix preserves natural. Matrix Tooth Filling.
From www.youtube.com
Sectional matrix and wedge placement YouTube Matrix Tooth Filling In fact, according to the centers for disease control and prevention, over 90% of adults in the united states have. The filtek matrix preserves natural tooth structure through a digital workflow specific to the patient’s dentition. In order to restore the in between surfaces (interproximal) a matrix band or mylar strip is required. When this is tightened you will feel. Matrix Tooth Filling.
From www.clarencetam.co.nz
Matrix in Matrix assembly for complex dental fillings Matrix in Matrix Matrix Tooth Filling The objective with a filling is to remove the decayed area, clean it well, and “fill” the space with a material, returning the tooth to its normal shape and, hopefully, normal function. A dental filling is one of the common procedures used to repair a damaged tooth. When this is tightened you will feel some. The filtek matrix preserves natural. Matrix Tooth Filling.
From www.youtube.com
CERVICAL MATRIX TDV Class V Restorations YouTube Matrix Tooth Filling In fact, according to the centers for disease control and prevention, over 90% of adults in the united states have. In order to restore the in between surfaces (interproximal) a matrix band or mylar strip is required. A dental filling is a dental procedure used to restore part of a tooth that has been damaged by decay. If the top. Matrix Tooth Filling.
From www.aliexpress.com
1SetDentalMatrixFormingSetAutomaticMatricesFullkitforTeeth Matrix Tooth Filling If the top and side of the tooth were filled, it is likely a matrix band will have been used to shape the filling. In fact, according to the centers for disease control and prevention, over 90% of adults in the united states have. The filtek matrix preserves natural tooth structure through a digital workflow specific to the patient’s dentition.. Matrix Tooth Filling.
From www.safcodental.com
Automatrix Safco Dental Supply Matrix Tooth Filling When this is tightened you will feel some. The objective with a filling is to remove the decayed area, clean it well, and “fill” the space with a material, returning the tooth to its normal shape and, hopefully, normal function. In fact, according to the centers for disease control and prevention, over 90% of adults in the united states have.. Matrix Tooth Filling.
From www.garrisondental.com
Blue View™ VariStrip™ Anterior Matrices Matrix Tooth Filling A dental filling is a dental procedure used to restore part of a tooth that has been damaged by decay. The filtek matrix preserves natural tooth structure through a digital workflow specific to the patient’s dentition. In order to restore the in between surfaces (interproximal) a matrix band or mylar strip is required. A dental filling for a 2 surface. Matrix Tooth Filling.
From www.trycare.co.uk
VariStrip Anterior Matrix Bands Dental & Chiropody Products Matrix Tooth Filling In order to restore the in between surfaces (interproximal) a matrix band or mylar strip is required. A dental filling is a dental procedure used to restore part of a tooth that has been damaged by decay. When this is tightened you will feel some. If the top and side of the tooth were filled, it is likely a matrix. Matrix Tooth Filling.
From www.youtube.com
Unica (modified Tofflemire matrix band) YouTube Matrix Tooth Filling In order to restore the in between surfaces (interproximal) a matrix band or mylar strip is required. The objective with a filling is to remove the decayed area, clean it well, and “fill” the space with a material, returning the tooth to its normal shape and, hopefully, normal function. In fact, according to the centers for disease control and prevention,. Matrix Tooth Filling.
From www.youtube.com
Class II composite restoration using V3 Sectional Matrix System Matrix Tooth Filling If the top and side of the tooth were filled, it is likely a matrix band will have been used to shape the filling. A dental filling is a dental procedure used to restore part of a tooth that has been damaged by decay. In order to restore the in between surfaces (interproximal) a matrix band or mylar strip is. Matrix Tooth Filling.
From www.youtube.com
Palodent V3 Sectional Matrix System YouTube Matrix Tooth Filling In order to restore the in between surfaces (interproximal) a matrix band or mylar strip is required. When this is tightened you will feel some. The filtek matrix preserves natural tooth structure through a digital workflow specific to the patient’s dentition. A dental filling is one of the common procedures used to repair a damaged tooth. A dental filling is. Matrix Tooth Filling.
From www.youtube.com
class 1 & 2 dental filling composite resin flowable palfique super low Matrix Tooth Filling The filtek matrix preserves natural tooth structure through a digital workflow specific to the patient’s dentition. When this is tightened you will feel some. A dental filling is a dental procedure used to restore part of a tooth that has been damaged by decay. A dental filling is one of the common procedures used to repair a damaged tooth. A. Matrix Tooth Filling.
From matrixdental.blogspot.com
TOOTH CAVITY FILLING TREATMENT MATRIX DENTAL AND SKIN LOUNGE Matrix Tooth Filling A dental filling for a 2 surface filling can be very different from a 1 surface filling if the cavity involves the interproximal surfaces, mesial and distal. In fact, according to the centers for disease control and prevention, over 90% of adults in the united states have. In order to restore the in between surfaces (interproximal) a matrix band or. Matrix Tooth Filling.
From www.dentaltix.com
La guía definitiva sobre las matrices dentales elige la mejor para Matrix Tooth Filling If the top and side of the tooth were filled, it is likely a matrix band will have been used to shape the filling. When this is tightened you will feel some. The filtek matrix preserves natural tooth structure through a digital workflow specific to the patient’s dentition. A dental filling is a dental procedure used to restore part of. Matrix Tooth Filling.
From www.youtube.com
Walser® Sectional Matrix system Application Xform dental matrix YouTube Matrix Tooth Filling The filtek matrix preserves natural tooth structure through a digital workflow specific to the patient’s dentition. The objective with a filling is to remove the decayed area, clean it well, and “fill” the space with a material, returning the tooth to its normal shape and, hopefully, normal function. A dental filling is one of the common procedures used to repair. Matrix Tooth Filling.
From www.aliexpress.com
AutomatrixDentalMatrixBandsRingSectionalContouredMatricesWith Matrix Tooth Filling When this is tightened you will feel some. In fact, according to the centers for disease control and prevention, over 90% of adults in the united states have. A dental filling for a 2 surface filling can be very different from a 1 surface filling if the cavity involves the interproximal surfaces, mesial and distal. In order to restore the. Matrix Tooth Filling.
From www.youtube.com
Walser® Sectional Matrix system Application ONform dental matrix Matrix Tooth Filling The filtek matrix preserves natural tooth structure through a digital workflow specific to the patient’s dentition. A dental filling is one of the common procedures used to repair a damaged tooth. When this is tightened you will feel some. In order to restore the in between surfaces (interproximal) a matrix band or mylar strip is required. The objective with a. Matrix Tooth Filling.
From www.banggood.com
100pcs dental matrix bands sectional contoured metal matrices dental Matrix Tooth Filling A dental filling is one of the common procedures used to repair a damaged tooth. The objective with a filling is to remove the decayed area, clean it well, and “fill” the space with a material, returning the tooth to its normal shape and, hopefully, normal function. The filtek matrix preserves natural tooth structure through a digital workflow specific to. Matrix Tooth Filling.
From www.styleitaliano.org
Synchro Matrix Matrix Tooth Filling In order to restore the in between surfaces (interproximal) a matrix band or mylar strip is required. When this is tightened you will feel some. If the top and side of the tooth were filled, it is likely a matrix band will have been used to shape the filling. The filtek matrix preserves natural tooth structure through a digital workflow. Matrix Tooth Filling.
From www.youtube.com
Walser® Matrices Seccionales La aplicación forma XF de matrices del Matrix Tooth Filling If the top and side of the tooth were filled, it is likely a matrix band will have been used to shape the filling. When this is tightened you will feel some. The filtek matrix preserves natural tooth structure through a digital workflow specific to the patient’s dentition. A dental filling for a 2 surface filling can be very different. Matrix Tooth Filling.
From www.youtube.com
What is a dental matrix band YouTube Matrix Tooth Filling A dental filling for a 2 surface filling can be very different from a 1 surface filling if the cavity involves the interproximal surfaces, mesial and distal. The objective with a filling is to remove the decayed area, clean it well, and “fill” the space with a material, returning the tooth to its normal shape and, hopefully, normal function. A. Matrix Tooth Filling.
From www.youtube.com
Anterior direct composite restoration performed by Dr. Manauta with Matrix Tooth Filling When this is tightened you will feel some. A dental filling is one of the common procedures used to repair a damaged tooth. If the top and side of the tooth were filled, it is likely a matrix band will have been used to shape the filling. The objective with a filling is to remove the decayed area, clean it. Matrix Tooth Filling.
From www.youtube.com
Walser® Sectional Matrix system Application Oform dental matrix YouTube Matrix Tooth Filling A dental filling for a 2 surface filling can be very different from a 1 surface filling if the cavity involves the interproximal surfaces, mesial and distal. The objective with a filling is to remove the decayed area, clean it well, and “fill” the space with a material, returning the tooth to its normal shape and, hopefully, normal function. If. Matrix Tooth Filling.
From www.styleitaliano.org
Full quadrant restoration Matrix Tooth Filling A dental filling is one of the common procedures used to repair a damaged tooth. A dental filling is a dental procedure used to restore part of a tooth that has been damaged by decay. In order to restore the in between surfaces (interproximal) a matrix band or mylar strip is required. The filtek matrix preserves natural tooth structure through. Matrix Tooth Filling.