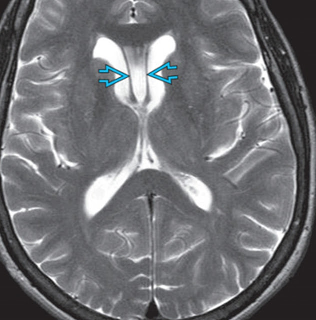
Cavum Velum Interpositum In Adults . cavum veli interpositi is usually an incidental finding at an mri or ct scan and is mostly asymptomatic (see. in the brain, the cavum veli interpositi (cvi) is a condition in which the cistern of the velum interpositum becomes dilated. the cavum velum interpositum (cvi), considered a normal variant, is a true cistern situated above. Identify the etiology of cavum veli interpositi and the medical conditions. cavum veli interpositi is a rare anatomical variation characterized by an enlarged space within the velum. rogalskyi v, cavum septum pellucidum, cavum vergae, and cavum veli interpositi (annotated ct). Case study, radiopaedia.org (accessed on 22 aug 2024). cavum vergae is an extension of a cavum septum pellucidum posteriorly past the columns of the fornix and foramina of.
from ar.inspiredpencil.com
Identify the etiology of cavum veli interpositi and the medical conditions. the cavum velum interpositum (cvi), considered a normal variant, is a true cistern situated above. cavum veli interpositi is usually an incidental finding at an mri or ct scan and is mostly asymptomatic (see. Case study, radiopaedia.org (accessed on 22 aug 2024). in the brain, the cavum veli interpositi (cvi) is a condition in which the cistern of the velum interpositum becomes dilated. cavum veli interpositi is a rare anatomical variation characterized by an enlarged space within the velum. cavum vergae is an extension of a cavum septum pellucidum posteriorly past the columns of the fornix and foramina of. rogalskyi v, cavum septum pellucidum, cavum vergae, and cavum veli interpositi (annotated ct).
Cavum Velum Interpositum Ultrasound
Cavum Velum Interpositum In Adults the cavum velum interpositum (cvi), considered a normal variant, is a true cistern situated above. Case study, radiopaedia.org (accessed on 22 aug 2024). the cavum velum interpositum (cvi), considered a normal variant, is a true cistern situated above. in the brain, the cavum veli interpositi (cvi) is a condition in which the cistern of the velum interpositum becomes dilated. cavum veli interpositi is usually an incidental finding at an mri or ct scan and is mostly asymptomatic (see. Identify the etiology of cavum veli interpositi and the medical conditions. cavum veli interpositi is a rare anatomical variation characterized by an enlarged space within the velum. cavum vergae is an extension of a cavum septum pellucidum posteriorly past the columns of the fornix and foramina of. rogalskyi v, cavum septum pellucidum, cavum vergae, and cavum veli interpositi (annotated ct).
From ar.inspiredpencil.com
Cavum Velum Interpositum Ultrasound Cavum Velum Interpositum In Adults cavum veli interpositi is usually an incidental finding at an mri or ct scan and is mostly asymptomatic (see. in the brain, the cavum veli interpositi (cvi) is a condition in which the cistern of the velum interpositum becomes dilated. Case study, radiopaedia.org (accessed on 22 aug 2024). rogalskyi v, cavum septum pellucidum, cavum vergae, and cavum. Cavum Velum Interpositum In Adults.
From www.semanticscholar.org
[PDF] Cavum velum interpositum, cavum septum pellucidum, and cavum Cavum Velum Interpositum In Adults cavum vergae is an extension of a cavum septum pellucidum posteriorly past the columns of the fornix and foramina of. the cavum velum interpositum (cvi), considered a normal variant, is a true cistern situated above. Case study, radiopaedia.org (accessed on 22 aug 2024). Identify the etiology of cavum veli interpositi and the medical conditions. cavum veli interpositi. Cavum Velum Interpositum In Adults.
From radiopaedia.org
Cavum velum interpositum cyst Image Cavum Velum Interpositum In Adults cavum vergae is an extension of a cavum septum pellucidum posteriorly past the columns of the fornix and foramina of. in the brain, the cavum veli interpositi (cvi) is a condition in which the cistern of the velum interpositum becomes dilated. cavum veli interpositi is a rare anatomical variation characterized by an enlarged space within the velum.. Cavum Velum Interpositum In Adults.
From radiologymri.blogspot.com
Cavum Velum Interpositum on MRI Cavum Velum Interpositum In Adults Identify the etiology of cavum veli interpositi and the medical conditions. in the brain, the cavum veli interpositi (cvi) is a condition in which the cistern of the velum interpositum becomes dilated. cavum vergae is an extension of a cavum septum pellucidum posteriorly past the columns of the fornix and foramina of. the cavum velum interpositum (cvi),. Cavum Velum Interpositum In Adults.
From ar.inspiredpencil.com
Cavum Velum Interpositum Ultrasound Cavum Velum Interpositum In Adults Case study, radiopaedia.org (accessed on 22 aug 2024). the cavum velum interpositum (cvi), considered a normal variant, is a true cistern situated above. cavum vergae is an extension of a cavum septum pellucidum posteriorly past the columns of the fornix and foramina of. rogalskyi v, cavum septum pellucidum, cavum vergae, and cavum veli interpositi (annotated ct). Identify. Cavum Velum Interpositum In Adults.
From ar.inspiredpencil.com
Cavum Velum Interpositum Ultrasound Cavum Velum Interpositum In Adults in the brain, the cavum veli interpositi (cvi) is a condition in which the cistern of the velum interpositum becomes dilated. cavum veli interpositi is a rare anatomical variation characterized by an enlarged space within the velum. cavum veli interpositi is usually an incidental finding at an mri or ct scan and is mostly asymptomatic (see. Case. Cavum Velum Interpositum In Adults.
From ar.inspiredpencil.com
Cavum Velum Interpositum Ultrasound Cavum Velum Interpositum In Adults Case study, radiopaedia.org (accessed on 22 aug 2024). cavum veli interpositi is a rare anatomical variation characterized by an enlarged space within the velum. Identify the etiology of cavum veli interpositi and the medical conditions. cavum veli interpositi is usually an incidental finding at an mri or ct scan and is mostly asymptomatic (see. in the brain,. Cavum Velum Interpositum In Adults.
From ar.inspiredpencil.com
Cavum Velum Interpositum Ultrasound Cavum Velum Interpositum In Adults cavum veli interpositi is usually an incidental finding at an mri or ct scan and is mostly asymptomatic (see. Identify the etiology of cavum veli interpositi and the medical conditions. the cavum velum interpositum (cvi), considered a normal variant, is a true cistern situated above. cavum vergae is an extension of a cavum septum pellucidum posteriorly past. Cavum Velum Interpositum In Adults.
From radiopaedia.org
Cavum velum interpositum cyst Radiology Case Cavum Velum Interpositum In Adults the cavum velum interpositum (cvi), considered a normal variant, is a true cistern situated above. cavum veli interpositi is usually an incidental finding at an mri or ct scan and is mostly asymptomatic (see. cavum vergae is an extension of a cavum septum pellucidum posteriorly past the columns of the fornix and foramina of. in the. Cavum Velum Interpositum In Adults.
From www.radiomind.org
Cavum Septi Pellucidi (CSP) Brain imaging Cavum Velum Interpositum In Adults cavum vergae is an extension of a cavum septum pellucidum posteriorly past the columns of the fornix and foramina of. Identify the etiology of cavum veli interpositi and the medical conditions. rogalskyi v, cavum septum pellucidum, cavum vergae, and cavum veli interpositi (annotated ct). Case study, radiopaedia.org (accessed on 22 aug 2024). in the brain, the cavum. Cavum Velum Interpositum In Adults.
From wmsproductions.nl
Cavum Velum Interpositum Mri Cavum Velum Interpositum In Adults Identify the etiology of cavum veli interpositi and the medical conditions. the cavum velum interpositum (cvi), considered a normal variant, is a true cistern situated above. cavum vergae is an extension of a cavum septum pellucidum posteriorly past the columns of the fornix and foramina of. cavum veli interpositi is usually an incidental finding at an mri. Cavum Velum Interpositum In Adults.
From ar.inspiredpencil.com
Cavum Velum Interpositum Ultrasound Cavum Velum Interpositum In Adults rogalskyi v, cavum septum pellucidum, cavum vergae, and cavum veli interpositi (annotated ct). Identify the etiology of cavum veli interpositi and the medical conditions. Case study, radiopaedia.org (accessed on 22 aug 2024). cavum vergae is an extension of a cavum septum pellucidum posteriorly past the columns of the fornix and foramina of. cavum veli interpositi is usually. Cavum Velum Interpositum In Adults.
From radiopaedia.org
Cavum velum interpositum Image Cavum Velum Interpositum In Adults cavum veli interpositi is usually an incidental finding at an mri or ct scan and is mostly asymptomatic (see. cavum vergae is an extension of a cavum septum pellucidum posteriorly past the columns of the fornix and foramina of. in the brain, the cavum veli interpositi (cvi) is a condition in which the cistern of the velum. Cavum Velum Interpositum In Adults.
From ar.inspiredpencil.com
Cavum Velum Interpositum Ultrasound Cavum Velum Interpositum In Adults in the brain, the cavum veli interpositi (cvi) is a condition in which the cistern of the velum interpositum becomes dilated. Case study, radiopaedia.org (accessed on 22 aug 2024). cavum veli interpositi is a rare anatomical variation characterized by an enlarged space within the velum. cavum veli interpositi is usually an incidental finding at an mri or. Cavum Velum Interpositum In Adults.
From radiopaedia.org
Cavum velum interpositum Image Cavum Velum Interpositum In Adults rogalskyi v, cavum septum pellucidum, cavum vergae, and cavum veli interpositi (annotated ct). cavum veli interpositi is usually an incidental finding at an mri or ct scan and is mostly asymptomatic (see. in the brain, the cavum veli interpositi (cvi) is a condition in which the cistern of the velum interpositum becomes dilated. Case study, radiopaedia.org (accessed. Cavum Velum Interpositum In Adults.
From www.researchgate.net
Presented case illustrated in coronal section CSP Cavum septum Cavum Velum Interpositum In Adults cavum veli interpositi is usually an incidental finding at an mri or ct scan and is mostly asymptomatic (see. cavum vergae is an extension of a cavum septum pellucidum posteriorly past the columns of the fornix and foramina of. cavum veli interpositi is a rare anatomical variation characterized by an enlarged space within the velum. Case study,. Cavum Velum Interpositum In Adults.
From ar.inspiredpencil.com
Cavum Velum Interpositum Ultrasound Cavum Velum Interpositum In Adults in the brain, the cavum veli interpositi (cvi) is a condition in which the cistern of the velum interpositum becomes dilated. the cavum velum interpositum (cvi), considered a normal variant, is a true cistern situated above. cavum veli interpositi is a rare anatomical variation characterized by an enlarged space within the velum. Identify the etiology of cavum. Cavum Velum Interpositum In Adults.
From ar.inspiredpencil.com
Cavum Velum Interpositum Ultrasound Cavum Velum Interpositum In Adults cavum veli interpositi is a rare anatomical variation characterized by an enlarged space within the velum. in the brain, the cavum veli interpositi (cvi) is a condition in which the cistern of the velum interpositum becomes dilated. Identify the etiology of cavum veli interpositi and the medical conditions. Case study, radiopaedia.org (accessed on 22 aug 2024). the. Cavum Velum Interpositum In Adults.
From radiopaedia.org
Cavum velum interpositum cyst Image Cavum Velum Interpositum In Adults cavum veli interpositi is usually an incidental finding at an mri or ct scan and is mostly asymptomatic (see. Case study, radiopaedia.org (accessed on 22 aug 2024). Identify the etiology of cavum veli interpositi and the medical conditions. cavum veli interpositi is a rare anatomical variation characterized by an enlarged space within the velum. cavum vergae is. Cavum Velum Interpositum In Adults.
From radiopaedia.org
Cavum velum interpositum cyst Radiology Case Cavum Velum Interpositum In Adults cavum veli interpositi is a rare anatomical variation characterized by an enlarged space within the velum. cavum vergae is an extension of a cavum septum pellucidum posteriorly past the columns of the fornix and foramina of. Identify the etiology of cavum veli interpositi and the medical conditions. cavum veli interpositi is usually an incidental finding at an. Cavum Velum Interpositum In Adults.
From www.researchgate.net
(PDF) Cavum velum interpositum, cavum septum pellucidum, and cavum Cavum Velum Interpositum In Adults Identify the etiology of cavum veli interpositi and the medical conditions. rogalskyi v, cavum septum pellucidum, cavum vergae, and cavum veli interpositi (annotated ct). cavum vergae is an extension of a cavum septum pellucidum posteriorly past the columns of the fornix and foramina of. the cavum velum interpositum (cvi), considered a normal variant, is a true cistern. Cavum Velum Interpositum In Adults.
From ar.inspiredpencil.com
Cavum Velum Interpositum Ultrasound Cavum Velum Interpositum In Adults Case study, radiopaedia.org (accessed on 22 aug 2024). in the brain, the cavum veli interpositi (cvi) is a condition in which the cistern of the velum interpositum becomes dilated. Identify the etiology of cavum veli interpositi and the medical conditions. cavum veli interpositi is a rare anatomical variation characterized by an enlarged space within the velum. cavum. Cavum Velum Interpositum In Adults.
From www.semanticscholar.org
Arachnoid Cyst of the Cavum Velum Interpositum in a Septuagenarian Cavum Velum Interpositum In Adults cavum veli interpositi is a rare anatomical variation characterized by an enlarged space within the velum. Identify the etiology of cavum veli interpositi and the medical conditions. Case study, radiopaedia.org (accessed on 22 aug 2024). cavum veli interpositi is usually an incidental finding at an mri or ct scan and is mostly asymptomatic (see. cavum vergae is. Cavum Velum Interpositum In Adults.
From ar.inspiredpencil.com
Cavum Velum Interpositum Ultrasound Cavum Velum Interpositum In Adults cavum veli interpositi is a rare anatomical variation characterized by an enlarged space within the velum. in the brain, the cavum veli interpositi (cvi) is a condition in which the cistern of the velum interpositum becomes dilated. Case study, radiopaedia.org (accessed on 22 aug 2024). the cavum velum interpositum (cvi), considered a normal variant, is a true. Cavum Velum Interpositum In Adults.
From dxolpaaop.blob.core.windows.net
Cavum Velum Interpositum Cyst Fetal Ultrasound at Lisa Perry blog Cavum Velum Interpositum In Adults Case study, radiopaedia.org (accessed on 22 aug 2024). cavum veli interpositi is a rare anatomical variation characterized by an enlarged space within the velum. cavum veli interpositi is usually an incidental finding at an mri or ct scan and is mostly asymptomatic (see. cavum vergae is an extension of a cavum septum pellucidum posteriorly past the columns. Cavum Velum Interpositum In Adults.
From thefetus.net
📃 Cavum velum interpositum cyst and posterior fossa arachnoid cyst Cavum Velum Interpositum In Adults cavum veli interpositi is usually an incidental finding at an mri or ct scan and is mostly asymptomatic (see. in the brain, the cavum veli interpositi (cvi) is a condition in which the cistern of the velum interpositum becomes dilated. cavum vergae is an extension of a cavum septum pellucidum posteriorly past the columns of the fornix. Cavum Velum Interpositum In Adults.
From www.pinterest.co.uk
Pin on Neurology Cavum Velum Interpositum In Adults in the brain, the cavum veli interpositi (cvi) is a condition in which the cistern of the velum interpositum becomes dilated. Case study, radiopaedia.org (accessed on 22 aug 2024). rogalskyi v, cavum septum pellucidum, cavum vergae, and cavum veli interpositi (annotated ct). Identify the etiology of cavum veli interpositi and the medical conditions. cavum vergae is an. Cavum Velum Interpositum In Adults.
From ar.inspiredpencil.com
Cavum Velum Interpositum Ultrasound Cavum Velum Interpositum In Adults cavum veli interpositi is a rare anatomical variation characterized by an enlarged space within the velum. the cavum velum interpositum (cvi), considered a normal variant, is a true cistern situated above. in the brain, the cavum veli interpositi (cvi) is a condition in which the cistern of the velum interpositum becomes dilated. cavum vergae is an. Cavum Velum Interpositum In Adults.
From www.pinterest.de
Cavum septum pellucidum, cavum vergae y cavum veli interpositi (CT Cavum Velum Interpositum In Adults cavum vergae is an extension of a cavum septum pellucidum posteriorly past the columns of the fornix and foramina of. Case study, radiopaedia.org (accessed on 22 aug 2024). cavum veli interpositi is a rare anatomical variation characterized by an enlarged space within the velum. Identify the etiology of cavum veli interpositi and the medical conditions. rogalskyi v,. Cavum Velum Interpositum In Adults.
From ar.inspiredpencil.com
Cavum Velum Interpositum Ultrasound Cavum Velum Interpositum In Adults the cavum velum interpositum (cvi), considered a normal variant, is a true cistern situated above. cavum veli interpositi is usually an incidental finding at an mri or ct scan and is mostly asymptomatic (see. rogalskyi v, cavum septum pellucidum, cavum vergae, and cavum veli interpositi (annotated ct). in the brain, the cavum veli interpositi (cvi) is. Cavum Velum Interpositum In Adults.
From wmsproductions.nl
Cavum Velum Interpositum Mri Cavum Velum Interpositum In Adults rogalskyi v, cavum septum pellucidum, cavum vergae, and cavum veli interpositi (annotated ct). Identify the etiology of cavum veli interpositi and the medical conditions. in the brain, the cavum veli interpositi (cvi) is a condition in which the cistern of the velum interpositum becomes dilated. cavum vergae is an extension of a cavum septum pellucidum posteriorly past. Cavum Velum Interpositum In Adults.
From www.radiomind.org
Cavum Septi Pellucidi (CSP) Brain imaging Cavum Velum Interpositum In Adults cavum veli interpositi is usually an incidental finding at an mri or ct scan and is mostly asymptomatic (see. rogalskyi v, cavum septum pellucidum, cavum vergae, and cavum veli interpositi (annotated ct). the cavum velum interpositum (cvi), considered a normal variant, is a true cistern situated above. Identify the etiology of cavum veli interpositi and the medical. Cavum Velum Interpositum In Adults.
From radiopaedia.org
Cavum velum interpositum cyst Image Cavum Velum Interpositum In Adults in the brain, the cavum veli interpositi (cvi) is a condition in which the cistern of the velum interpositum becomes dilated. cavum veli interpositi is usually an incidental finding at an mri or ct scan and is mostly asymptomatic (see. Identify the etiology of cavum veli interpositi and the medical conditions. cavum vergae is an extension of. Cavum Velum Interpositum In Adults.
From www.semanticscholar.org
Figure 1 from Cavum velum interpositum cyst causing symptomatic trapped Cavum Velum Interpositum In Adults the cavum velum interpositum (cvi), considered a normal variant, is a true cistern situated above. cavum vergae is an extension of a cavum septum pellucidum posteriorly past the columns of the fornix and foramina of. Case study, radiopaedia.org (accessed on 22 aug 2024). in the brain, the cavum veli interpositi (cvi) is a condition in which the. Cavum Velum Interpositum In Adults.
From radiologymri.blogspot.com
Radiology MRI Cavum Velum Interpositum on MRI Cavum Velum Interpositum In Adults Identify the etiology of cavum veli interpositi and the medical conditions. rogalskyi v, cavum septum pellucidum, cavum vergae, and cavum veli interpositi (annotated ct). cavum veli interpositi is usually an incidental finding at an mri or ct scan and is mostly asymptomatic (see. cavum vergae is an extension of a cavum septum pellucidum posteriorly past the columns. Cavum Velum Interpositum In Adults.