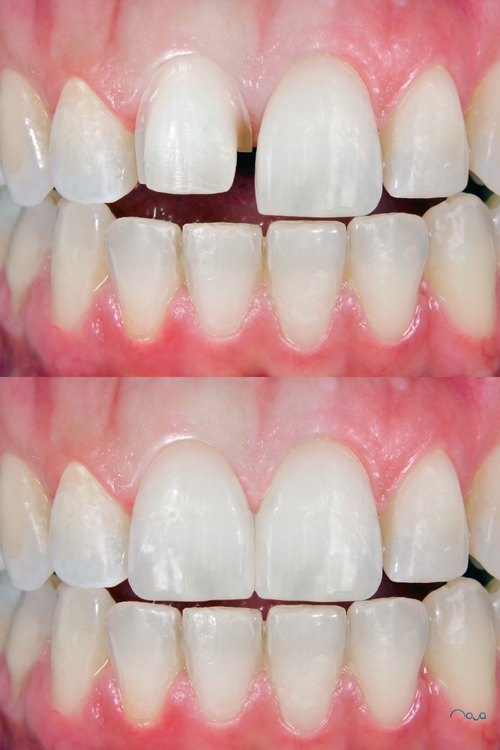
How Long Veneer Last . But with proper care and maintenance, they can provide you with a beautiful smile for years to come. How long do they last? According to the american dental association, veneers last about ten years; Typically, porcelain veneers last around 10 to 15 years. Most veneers are made out of porcelain that provides excellent esthetics and longevity. Porcelain veneers are known for their durability and natural appearance, often lasting between 10 to 15 years, while composite veneers typically. However, with excellent aftercare and maintenance, they may last 20 years or more. When considering veneers for cosmetic dental improvements, one of the key questions is: On average, porcelain veneers can last anywhere from 10 to 15 years, while composite veneers typically have a shorter lifespan of 5 to 7 years. However, they're not permanent—and how long veneers last depends on how you care for them. Like most cosmetic treatments, veneers don’t last forever. How long do veneers last? Traditionally, porcelain veneers last approximately 10 to 15 years, while their composite counterparts last for 5 to 7 years.
from nohofamilydental.com
However, with excellent aftercare and maintenance, they may last 20 years or more. Most veneers are made out of porcelain that provides excellent esthetics and longevity. Like most cosmetic treatments, veneers don’t last forever. However, they're not permanent—and how long veneers last depends on how you care for them. How long do they last? But with proper care and maintenance, they can provide you with a beautiful smile for years to come. Traditionally, porcelain veneers last approximately 10 to 15 years, while their composite counterparts last for 5 to 7 years. Typically, porcelain veneers last around 10 to 15 years. According to the american dental association, veneers last about ten years; Porcelain veneers are known for their durability and natural appearance, often lasting between 10 to 15 years, while composite veneers typically.
How long do porcelain veneers last? NoHo Family Dental
How Long Veneer Last On average, porcelain veneers can last anywhere from 10 to 15 years, while composite veneers typically have a shorter lifespan of 5 to 7 years. However, with excellent aftercare and maintenance, they may last 20 years or more. Typically, porcelain veneers last around 10 to 15 years. On average, porcelain veneers can last anywhere from 10 to 15 years, while composite veneers typically have a shorter lifespan of 5 to 7 years. Porcelain veneers are known for their durability and natural appearance, often lasting between 10 to 15 years, while composite veneers typically. However, they're not permanent—and how long veneers last depends on how you care for them. Traditionally, porcelain veneers last approximately 10 to 15 years, while their composite counterparts last for 5 to 7 years. According to the american dental association, veneers last about ten years; But with proper care and maintenance, they can provide you with a beautiful smile for years to come. Like most cosmetic treatments, veneers don’t last forever. When considering veneers for cosmetic dental improvements, one of the key questions is: Most veneers are made out of porcelain that provides excellent esthetics and longevity. How long do they last? How long do veneers last?
From www.ercebelecoglu.com.tr
How Long Do Porcelain Veneers Last? Dental Veneers How Long Veneer Last How long do they last? Typically, porcelain veneers last around 10 to 15 years. When considering veneers for cosmetic dental improvements, one of the key questions is: Most veneers are made out of porcelain that provides excellent esthetics and longevity. According to the american dental association, veneers last about ten years; But with proper care and maintenance, they can provide. How Long Veneer Last.
From www.porcelainveneers.sydney
How Long Do Porcelain Veneers Last? Porcelain Veneers Sydney How Long Veneer Last However, they're not permanent—and how long veneers last depends on how you care for them. But with proper care and maintenance, they can provide you with a beautiful smile for years to come. On average, porcelain veneers can last anywhere from 10 to 15 years, while composite veneers typically have a shorter lifespan of 5 to 7 years. Like most. How Long Veneer Last.
From maylandsdentalcentre.com.au
How Long Does Veneers Last? The Insider’s Guide to a Lasting Smile How Long Veneer Last Porcelain veneers are known for their durability and natural appearance, often lasting between 10 to 15 years, while composite veneers typically. How long do veneers last? How long do they last? Traditionally, porcelain veneers last approximately 10 to 15 years, while their composite counterparts last for 5 to 7 years. However, they're not permanent—and how long veneers last depends on. How Long Veneer Last.
From www.sachardental.com
Resin Bonding Veneers NYC Dr Sachar How Long Veneer Last According to the american dental association, veneers last about ten years; How long do they last? On average, porcelain veneers can last anywhere from 10 to 15 years, while composite veneers typically have a shorter lifespan of 5 to 7 years. Porcelain veneers are known for their durability and natural appearance, often lasting between 10 to 15 years, while composite. How Long Veneer Last.
From nohofamilydental.com
How long do porcelain veneers last? NoHo Family Dental How Long Veneer Last Like most cosmetic treatments, veneers don’t last forever. How long do they last? On average, porcelain veneers can last anywhere from 10 to 15 years, while composite veneers typically have a shorter lifespan of 5 to 7 years. However, with excellent aftercare and maintenance, they may last 20 years or more. Porcelain veneers are known for their durability and natural. How Long Veneer Last.
From www.supremedentistryhouston.com
How Long Do Veneers Last? Houston Cosmetic Dentistry How Long Veneer Last But with proper care and maintenance, they can provide you with a beautiful smile for years to come. However, they're not permanent—and how long veneers last depends on how you care for them. Like most cosmetic treatments, veneers don’t last forever. How long do veneers last? Porcelain veneers are known for their durability and natural appearance, often lasting between 10. How Long Veneer Last.
From parklanefamilydentistry.com
How Long Do Veneers Last? Parklane Family Dentistry How Long Veneer Last How long do veneers last? Most veneers are made out of porcelain that provides excellent esthetics and longevity. According to the american dental association, veneers last about ten years; When considering veneers for cosmetic dental improvements, one of the key questions is: How long do they last? Porcelain veneers are known for their durability and natural appearance, often lasting between. How Long Veneer Last.
From novasmiles.co.uk
A guide to how long veneers last by an experienced dentist — Nova Smiles How Long Veneer Last Typically, porcelain veneers last around 10 to 15 years. Porcelain veneers are known for their durability and natural appearance, often lasting between 10 to 15 years, while composite veneers typically. However, with excellent aftercare and maintenance, they may last 20 years or more. Most veneers are made out of porcelain that provides excellent esthetics and longevity. How long do they. How Long Veneer Last.
From www.slideserve.com
PPT How Long Do Laminate Veneers Last PowerPoint Presentation, free How Long Veneer Last However, they're not permanent—and how long veneers last depends on how you care for them. According to the american dental association, veneers last about ten years; But with proper care and maintenance, they can provide you with a beautiful smile for years to come. How long do they last? However, with excellent aftercare and maintenance, they may last 20 years. How Long Veneer Last.
From novasmiles.co.uk
A guide to how long veneers last by an experienced dentist — Nova Smiles How Long Veneer Last Like most cosmetic treatments, veneers don’t last forever. But with proper care and maintenance, they can provide you with a beautiful smile for years to come. How long do veneers last? Porcelain veneers are known for their durability and natural appearance, often lasting between 10 to 15 years, while composite veneers typically. On average, porcelain veneers can last anywhere from. How Long Veneer Last.
From www.mountlawleydental.com.au
How Long Do Veneers Last? Mount Lawley Dental How Long Veneer Last However, with excellent aftercare and maintenance, they may last 20 years or more. Porcelain veneers are known for their durability and natural appearance, often lasting between 10 to 15 years, while composite veneers typically. According to the american dental association, veneers last about ten years; Traditionally, porcelain veneers last approximately 10 to 15 years, while their composite counterparts last for. How Long Veneer Last.
From smileteamturkey.com
How Long Do Veneers Last? Everything You Need To Know! How Long Veneer Last How long do they last? On average, porcelain veneers can last anywhere from 10 to 15 years, while composite veneers typically have a shorter lifespan of 5 to 7 years. How long do veneers last? However, with excellent aftercare and maintenance, they may last 20 years or more. Like most cosmetic treatments, veneers don’t last forever. When considering veneers for. How Long Veneer Last.
From www.dentistryelf.com
How Long Do Veneers Last on Your Teeth? How Long Veneer Last Typically, porcelain veneers last around 10 to 15 years. However, with excellent aftercare and maintenance, they may last 20 years or more. When considering veneers for cosmetic dental improvements, one of the key questions is: On average, porcelain veneers can last anywhere from 10 to 15 years, while composite veneers typically have a shorter lifespan of 5 to 7 years.. How Long Veneer Last.
From dentistveneershouston.com
How Long Do Veneers Last? Porcelain and Composite Veneers How Long Veneer Last Most veneers are made out of porcelain that provides excellent esthetics and longevity. Traditionally, porcelain veneers last approximately 10 to 15 years, while their composite counterparts last for 5 to 7 years. According to the american dental association, veneers last about ten years; On average, porcelain veneers can last anywhere from 10 to 15 years, while composite veneers typically have. How Long Veneer Last.
From www.tridentsmilesdental.com
Trident Smiles Dental How long do veneers last? Learn all about How Long Veneer Last Traditionally, porcelain veneers last approximately 10 to 15 years, while their composite counterparts last for 5 to 7 years. Porcelain veneers are known for their durability and natural appearance, often lasting between 10 to 15 years, while composite veneers typically. When considering veneers for cosmetic dental improvements, one of the key questions is: How long do veneers last? How long. How Long Veneer Last.
From www.hicksdentalgroup.com
How Long do Veneers Last? Hicks Dental Group How Long Veneer Last However, they're not permanent—and how long veneers last depends on how you care for them. According to the american dental association, veneers last about ten years; Like most cosmetic treatments, veneers don’t last forever. When considering veneers for cosmetic dental improvements, one of the key questions is: On average, porcelain veneers can last anywhere from 10 to 15 years, while. How Long Veneer Last.
From dulaydental.com
How long do Veneers last? Dr. Dulay & Associates How Long Veneer Last How long do they last? How long do veneers last? Like most cosmetic treatments, veneers don’t last forever. According to the american dental association, veneers last about ten years; However, with excellent aftercare and maintenance, they may last 20 years or more. However, they're not permanent—and how long veneers last depends on how you care for them. On average, porcelain. How Long Veneer Last.
From allsmilesomaha.com
How Long Do Veneers Last? All Smiles Family Dentistry Omaha How Long Veneer Last How long do they last? Porcelain veneers are known for their durability and natural appearance, often lasting between 10 to 15 years, while composite veneers typically. According to the american dental association, veneers last about ten years; Like most cosmetic treatments, veneers don’t last forever. However, they're not permanent—and how long veneers last depends on how you care for them.. How Long Veneer Last.
From www.monavaledental.com.au
How Long Do Veneers Last? Material Matters How Long Veneer Last How long do veneers last? Porcelain veneers are known for their durability and natural appearance, often lasting between 10 to 15 years, while composite veneers typically. Like most cosmetic treatments, veneers don’t last forever. According to the american dental association, veneers last about ten years; Typically, porcelain veneers last around 10 to 15 years. How long do they last? Traditionally,. How Long Veneer Last.
From riversbendfamilydental.com
How Long Do Veneers Last How Long Veneer Last According to the american dental association, veneers last about ten years; Most veneers are made out of porcelain that provides excellent esthetics and longevity. Traditionally, porcelain veneers last approximately 10 to 15 years, while their composite counterparts last for 5 to 7 years. Like most cosmetic treatments, veneers don’t last forever. However, they're not permanent—and how long veneers last depends. How Long Veneer Last.
From healthweakness.com
How Long Do Veneers Last On Teeth? Cost And Procedures » HealthWeakness How Long Veneer Last How long do veneers last? But with proper care and maintenance, they can provide you with a beautiful smile for years to come. Porcelain veneers are known for their durability and natural appearance, often lasting between 10 to 15 years, while composite veneers typically. However, with excellent aftercare and maintenance, they may last 20 years or more. Like most cosmetic. How Long Veneer Last.
From www.smileconcepts.com.au
How Long Do Veneers Last On Teeth? All You Need to Know How Long Veneer Last However, they're not permanent—and how long veneers last depends on how you care for them. When considering veneers for cosmetic dental improvements, one of the key questions is: However, with excellent aftercare and maintenance, they may last 20 years or more. How long do veneers last? Most veneers are made out of porcelain that provides excellent esthetics and longevity. According. How Long Veneer Last.
From toothtruthtoday.com
How Long Do Veneers last? Porcelain Vs Composite and Maintenance Guide How Long Veneer Last On average, porcelain veneers can last anywhere from 10 to 15 years, while composite veneers typically have a shorter lifespan of 5 to 7 years. According to the american dental association, veneers last about ten years; Porcelain veneers are known for their durability and natural appearance, often lasting between 10 to 15 years, while composite veneers typically. However, with excellent. How Long Veneer Last.
From ellenstirlingdental.com.au
How Long Do Veneers Last Ellen Stirling Dental Ellenbrook How Long Veneer Last Traditionally, porcelain veneers last approximately 10 to 15 years, while their composite counterparts last for 5 to 7 years. Most veneers are made out of porcelain that provides excellent esthetics and longevity. When considering veneers for cosmetic dental improvements, one of the key questions is: According to the american dental association, veneers last about ten years; Like most cosmetic treatments,. How Long Veneer Last.
From www.slideserve.com
PPT How Long Does Dental Veneers Last PowerPoint Presentation, free How Long Veneer Last When considering veneers for cosmetic dental improvements, one of the key questions is: Traditionally, porcelain veneers last approximately 10 to 15 years, while their composite counterparts last for 5 to 7 years. How long do they last? According to the american dental association, veneers last about ten years; Typically, porcelain veneers last around 10 to 15 years. Like most cosmetic. How Long Veneer Last.
From www.slideserve.com
PPT How Long Do Teeth Veneers Last PowerPoint Presentation, free How Long Veneer Last How long do they last? When considering veneers for cosmetic dental improvements, one of the key questions is: According to the american dental association, veneers last about ten years; How long do veneers last? However, they're not permanent—and how long veneers last depends on how you care for them. On average, porcelain veneers can last anywhere from 10 to 15. How Long Veneer Last.
From www.youtube.com
How Long Do Veneers Last? YouTube How Long Veneer Last Like most cosmetic treatments, veneers don’t last forever. According to the american dental association, veneers last about ten years; Porcelain veneers are known for their durability and natural appearance, often lasting between 10 to 15 years, while composite veneers typically. Traditionally, porcelain veneers last approximately 10 to 15 years, while their composite counterparts last for 5 to 7 years. However,. How Long Veneer Last.
From www.shinysmileveneers.com
How Long Do Veneers Last? Shiny Smile Veneers How Long Veneer Last When considering veneers for cosmetic dental improvements, one of the key questions is: Like most cosmetic treatments, veneers don’t last forever. But with proper care and maintenance, they can provide you with a beautiful smile for years to come. On average, porcelain veneers can last anywhere from 10 to 15 years, while composite veneers typically have a shorter lifespan of. How Long Veneer Last.
From shinedentistrynyc.com
How Long do Veneers Last? What to Expect From Porcelain Veneers? How Long Veneer Last How long do veneers last? According to the american dental association, veneers last about ten years; However, they're not permanent—and how long veneers last depends on how you care for them. But with proper care and maintenance, they can provide you with a beautiful smile for years to come. Typically, porcelain veneers last around 10 to 15 years. Most veneers. How Long Veneer Last.
From shinedentistrynyc.com
How Long do Veneers Last? What to Expect From Porcelain Veneers? How Long Veneer Last Traditionally, porcelain veneers last approximately 10 to 15 years, while their composite counterparts last for 5 to 7 years. However, with excellent aftercare and maintenance, they may last 20 years or more. According to the american dental association, veneers last about ten years; However, they're not permanent—and how long veneers last depends on how you care for them. How long. How Long Veneer Last.
From www.matthewsfamilydentistry.com
How Long Do Veneers Last? Dentist in Matthews NC Matthews Family How Long Veneer Last Like most cosmetic treatments, veneers don’t last forever. Traditionally, porcelain veneers last approximately 10 to 15 years, while their composite counterparts last for 5 to 7 years. Porcelain veneers are known for their durability and natural appearance, often lasting between 10 to 15 years, while composite veneers typically. How long do they last? On average, porcelain veneers can last anywhere. How Long Veneer Last.
From shinedentistrynyc.com
How Long do Veneers Last? What to Expect From Porcelain Veneers? How Long Veneer Last Porcelain veneers are known for their durability and natural appearance, often lasting between 10 to 15 years, while composite veneers typically. Typically, porcelain veneers last around 10 to 15 years. When considering veneers for cosmetic dental improvements, one of the key questions is: How long do they last? On average, porcelain veneers can last anywhere from 10 to 15 years,. How Long Veneer Last.
From drakefamilydds.com
How Long do Veneers Last Drake Family Dentistry How Long Veneer Last Like most cosmetic treatments, veneers don’t last forever. How long do veneers last? Traditionally, porcelain veneers last approximately 10 to 15 years, while their composite counterparts last for 5 to 7 years. Porcelain veneers are known for their durability and natural appearance, often lasting between 10 to 15 years, while composite veneers typically. But with proper care and maintenance, they. How Long Veneer Last.
From articlesjett.com
How Long Do Veneers Last? A Complete Guide How Long Veneer Last However, with excellent aftercare and maintenance, they may last 20 years or more. How long do they last? Most veneers are made out of porcelain that provides excellent esthetics and longevity. Like most cosmetic treatments, veneers don’t last forever. Traditionally, porcelain veneers last approximately 10 to 15 years, while their composite counterparts last for 5 to 7 years. How long. How Long Veneer Last.
From brentwooddentalspa.com
How Long Do Dental Veneers Last? Brentwood Dental Spa How Long Veneer Last But with proper care and maintenance, they can provide you with a beautiful smile for years to come. Most veneers are made out of porcelain that provides excellent esthetics and longevity. How long do they last? However, they're not permanent—and how long veneers last depends on how you care for them. Porcelain veneers are known for their durability and natural. How Long Veneer Last.