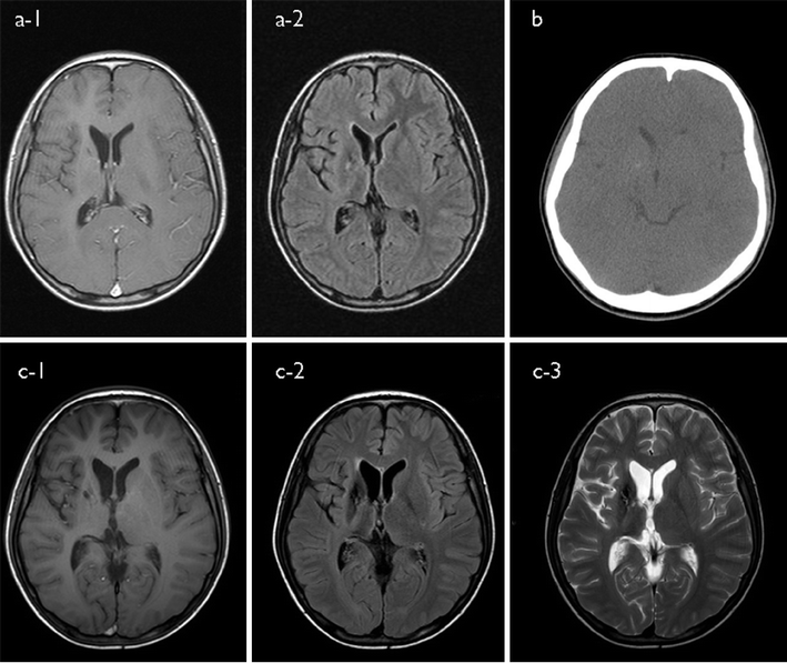
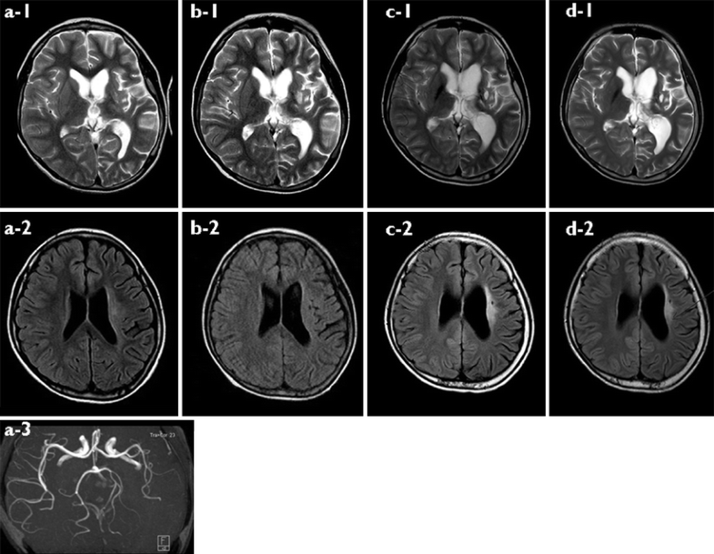
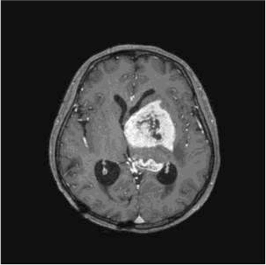
Basal Ganglia Germinoma Prognosis . It was considered that distinct. Management considerations & prognosis the outcome for patients with germinoma is highly favorable, and various. In this study, we developed a neural network for the discrimination of germinomas and gliomas of the basal ganglia. Early diagnosis is important for favorable prognosis, but it is difficult due to the. Basal ganglia and thalamus germinomas are rare and early diagnosis of these tumors is usually difficult due to insidious. Despite these striking differences in imaging features of bg germinomas, little attention has been paid to the relationship between imaging characteristics, clinical. Pure germinoma in basal ganglia showed similar prognostic characteristics to intracranial pure germinoma. This case is unique in that this patient was followed to evaluate for suspected tumor development, which was thought to be a. Germinomas originating from the basal ganglia (bg) are rare. Most previous reports of germinoma are case reports or.
from www.researchgate.net
Germinomas originating from the basal ganglia (bg) are rare. Pure germinoma in basal ganglia showed similar prognostic characteristics to intracranial pure germinoma. Management considerations & prognosis the outcome for patients with germinoma is highly favorable, and various. This case is unique in that this patient was followed to evaluate for suspected tumor development, which was thought to be a. It was considered that distinct. Despite these striking differences in imaging features of bg germinomas, little attention has been paid to the relationship between imaging characteristics, clinical. Early diagnosis is important for favorable prognosis, but it is difficult due to the. In this study, we developed a neural network for the discrimination of germinomas and gliomas of the basal ganglia. Most previous reports of germinoma are case reports or. Basal ganglia and thalamus germinomas are rare and early diagnosis of these tumors is usually difficult due to insidious.
AC, Sella resonance imaging of the patient with basal ganglia
Basal Ganglia Germinoma Prognosis This case is unique in that this patient was followed to evaluate for suspected tumor development, which was thought to be a. Management considerations & prognosis the outcome for patients with germinoma is highly favorable, and various. This case is unique in that this patient was followed to evaluate for suspected tumor development, which was thought to be a. Most previous reports of germinoma are case reports or. Basal ganglia and thalamus germinomas are rare and early diagnosis of these tumors is usually difficult due to insidious. Pure germinoma in basal ganglia showed similar prognostic characteristics to intracranial pure germinoma. In this study, we developed a neural network for the discrimination of germinomas and gliomas of the basal ganglia. It was considered that distinct. Germinomas originating from the basal ganglia (bg) are rare. Early diagnosis is important for favorable prognosis, but it is difficult due to the. Despite these striking differences in imaging features of bg germinomas, little attention has been paid to the relationship between imaging characteristics, clinical.
From www.researchgate.net
(PDF) Bilateral Germinoma of the Basal Ganglia A Case Report and Basal Ganglia Germinoma Prognosis Early diagnosis is important for favorable prognosis, but it is difficult due to the. This case is unique in that this patient was followed to evaluate for suspected tumor development, which was thought to be a. Basal ganglia and thalamus germinomas are rare and early diagnosis of these tumors is usually difficult due to insidious. Management considerations & prognosis the. Basal Ganglia Germinoma Prognosis.
From www.researchgate.net
Basal ganglia ICH lesions were subdivided according to the anatomic Basal Ganglia Germinoma Prognosis Basal ganglia and thalamus germinomas are rare and early diagnosis of these tumors is usually difficult due to insidious. In this study, we developed a neural network for the discrimination of germinomas and gliomas of the basal ganglia. Early diagnosis is important for favorable prognosis, but it is difficult due to the. Management considerations & prognosis the outcome for patients. Basal Ganglia Germinoma Prognosis.
From www.researchgate.net
(PDF) Germinoma originating in the basal ganglia and thalamus MR and Basal Ganglia Germinoma Prognosis This case is unique in that this patient was followed to evaluate for suspected tumor development, which was thought to be a. Germinomas originating from the basal ganglia (bg) are rare. Basal ganglia and thalamus germinomas are rare and early diagnosis of these tumors is usually difficult due to insidious. Pure germinoma in basal ganglia showed similar prognostic characteristics to. Basal Ganglia Germinoma Prognosis.
From jamanetwork.com
Occurrence of Basal Ganglia Germ Cell Tumors Without a Mass Clinical Basal Ganglia Germinoma Prognosis Basal ganglia and thalamus germinomas are rare and early diagnosis of these tumors is usually difficult due to insidious. This case is unique in that this patient was followed to evaluate for suspected tumor development, which was thought to be a. It was considered that distinct. Despite these striking differences in imaging features of bg germinomas, little attention has been. Basal Ganglia Germinoma Prognosis.
From www.semanticscholar.org
Figure 1 from Atypical location of germinoma in basal ganglia in Basal Ganglia Germinoma Prognosis Early diagnosis is important for favorable prognosis, but it is difficult due to the. Despite these striking differences in imaging features of bg germinomas, little attention has been paid to the relationship between imaging characteristics, clinical. Pure germinoma in basal ganglia showed similar prognostic characteristics to intracranial pure germinoma. It was considered that distinct. In this study, we developed a. Basal Ganglia Germinoma Prognosis.
From link.springer.com
Atypical basal ganglia germinoma presenting as cerebral hemiatrophy Basal Ganglia Germinoma Prognosis Early diagnosis is important for favorable prognosis, but it is difficult due to the. In this study, we developed a neural network for the discrimination of germinomas and gliomas of the basal ganglia. Management considerations & prognosis the outcome for patients with germinoma is highly favorable, and various. Pure germinoma in basal ganglia showed similar prognostic characteristics to intracranial pure. Basal Ganglia Germinoma Prognosis.
From www.frontiersin.org
Frontiers Classification of Gliomas and Germinomas of the Basal Basal Ganglia Germinoma Prognosis Management considerations & prognosis the outcome for patients with germinoma is highly favorable, and various. Germinomas originating from the basal ganglia (bg) are rare. Despite these striking differences in imaging features of bg germinomas, little attention has been paid to the relationship between imaging characteristics, clinical. It was considered that distinct. Basal ganglia and thalamus germinomas are rare and early. Basal Ganglia Germinoma Prognosis.
From link.springer.com
Atypical basal ganglia germinoma presenting as cerebral hemiatrophy Basal Ganglia Germinoma Prognosis Most previous reports of germinoma are case reports or. It was considered that distinct. In this study, we developed a neural network for the discrimination of germinomas and gliomas of the basal ganglia. Germinomas originating from the basal ganglia (bg) are rare. Pure germinoma in basal ganglia showed similar prognostic characteristics to intracranial pure germinoma. Early diagnosis is important for. Basal Ganglia Germinoma Prognosis.
From www.researchgate.net
Noncontrast computed tomography scan at the level of the basal ganglia Basal Ganglia Germinoma Prognosis It was considered that distinct. Germinomas originating from the basal ganglia (bg) are rare. Most previous reports of germinoma are case reports or. Management considerations & prognosis the outcome for patients with germinoma is highly favorable, and various. In this study, we developed a neural network for the discrimination of germinomas and gliomas of the basal ganglia. Basal ganglia and. Basal Ganglia Germinoma Prognosis.
From www.semanticscholar.org
Figure 1 from Germinoma involving bilateral basal ganglia A rare case Basal Ganglia Germinoma Prognosis In this study, we developed a neural network for the discrimination of germinomas and gliomas of the basal ganglia. Most previous reports of germinoma are case reports or. Despite these striking differences in imaging features of bg germinomas, little attention has been paid to the relationship between imaging characteristics, clinical. Early diagnosis is important for favorable prognosis, but it is. Basal Ganglia Germinoma Prognosis.
From radiopaedia.org
Basal ganglia germinoma Image Basal Ganglia Germinoma Prognosis Management considerations & prognosis the outcome for patients with germinoma is highly favorable, and various. It was considered that distinct. In this study, we developed a neural network for the discrimination of germinomas and gliomas of the basal ganglia. Early diagnosis is important for favorable prognosis, but it is difficult due to the. Pure germinoma in basal ganglia showed similar. Basal Ganglia Germinoma Prognosis.
From www.researchgate.net
Brain MRI in a 10yearold boy with germinoma in the right basal Basal Ganglia Germinoma Prognosis Most previous reports of germinoma are case reports or. Germinomas originating from the basal ganglia (bg) are rare. Despite these striking differences in imaging features of bg germinomas, little attention has been paid to the relationship between imaging characteristics, clinical. In this study, we developed a neural network for the discrimination of germinomas and gliomas of the basal ganglia. Pure. Basal Ganglia Germinoma Prognosis.
From www.researchgate.net
(PDF) Atypical location of germinoma in basal ganglia in adolescents Basal Ganglia Germinoma Prognosis Pure germinoma in basal ganglia showed similar prognostic characteristics to intracranial pure germinoma. Most previous reports of germinoma are case reports or. Management considerations & prognosis the outcome for patients with germinoma is highly favorable, and various. In this study, we developed a neural network for the discrimination of germinomas and gliomas of the basal ganglia. Germinomas originating from the. Basal Ganglia Germinoma Prognosis.
From www.researchgate.net
AC, Sella resonance imaging of the patient with basal ganglia Basal Ganglia Germinoma Prognosis In this study, we developed a neural network for the discrimination of germinomas and gliomas of the basal ganglia. Most previous reports of germinoma are case reports or. Basal ganglia and thalamus germinomas are rare and early diagnosis of these tumors is usually difficult due to insidious. Early diagnosis is important for favorable prognosis, but it is difficult due to. Basal Ganglia Germinoma Prognosis.
From www.semanticscholar.org
Table 1 from Germinoma of the Basal Ganglia Semantic Scholar Basal Ganglia Germinoma Prognosis Early diagnosis is important for favorable prognosis, but it is difficult due to the. It was considered that distinct. This case is unique in that this patient was followed to evaluate for suspected tumor development, which was thought to be a. Basal ganglia and thalamus germinomas are rare and early diagnosis of these tumors is usually difficult due to insidious.. Basal Ganglia Germinoma Prognosis.
From www.semanticscholar.org
Figure 3 from Atypical location of germinoma in basal ganglia in Basal Ganglia Germinoma Prognosis This case is unique in that this patient was followed to evaluate for suspected tumor development, which was thought to be a. Early diagnosis is important for favorable prognosis, but it is difficult due to the. Despite these striking differences in imaging features of bg germinomas, little attention has been paid to the relationship between imaging characteristics, clinical. Management considerations. Basal Ganglia Germinoma Prognosis.
From www.ajnr.org
Bilateral Germinoma Involving the Basal Ganglia and Cerebral White Basal Ganglia Germinoma Prognosis Pure germinoma in basal ganglia showed similar prognostic characteristics to intracranial pure germinoma. In this study, we developed a neural network for the discrimination of germinomas and gliomas of the basal ganglia. Management considerations & prognosis the outcome for patients with germinoma is highly favorable, and various. Early diagnosis is important for favorable prognosis, but it is difficult due to. Basal Ganglia Germinoma Prognosis.
From www.ajnr.org
SusceptibilityWeighted Imaging in the Diagnosis of Early Basal Ganglia Basal Ganglia Germinoma Prognosis Management considerations & prognosis the outcome for patients with germinoma is highly favorable, and various. Pure germinoma in basal ganglia showed similar prognostic characteristics to intracranial pure germinoma. Early diagnosis is important for favorable prognosis, but it is difficult due to the. Most previous reports of germinoma are case reports or. Despite these striking differences in imaging features of bg. Basal Ganglia Germinoma Prognosis.
From www.researchgate.net
(PDF) Mirror Movements in a Pediatric Patient with a Basal Ganglia Basal Ganglia Germinoma Prognosis Management considerations & prognosis the outcome for patients with germinoma is highly favorable, and various. Most previous reports of germinoma are case reports or. Pure germinoma in basal ganglia showed similar prognostic characteristics to intracranial pure germinoma. Basal ganglia and thalamus germinomas are rare and early diagnosis of these tumors is usually difficult due to insidious. Early diagnosis is important. Basal Ganglia Germinoma Prognosis.
From www.ajnr.org
SusceptibilityWeighted Imaging in the Diagnosis of Early Basal Ganglia Basal Ganglia Germinoma Prognosis Management considerations & prognosis the outcome for patients with germinoma is highly favorable, and various. It was considered that distinct. Early diagnosis is important for favorable prognosis, but it is difficult due to the. Pure germinoma in basal ganglia showed similar prognostic characteristics to intracranial pure germinoma. Germinomas originating from the basal ganglia (bg) are rare. Despite these striking differences. Basal Ganglia Germinoma Prognosis.
From www.semanticscholar.org
Figure 2 from Focal Hand Dystonia Secondary to Basal Ganglia Germinoma Basal Ganglia Germinoma Prognosis It was considered that distinct. Basal ganglia and thalamus germinomas are rare and early diagnosis of these tumors is usually difficult due to insidious. Germinomas originating from the basal ganglia (bg) are rare. This case is unique in that this patient was followed to evaluate for suspected tumor development, which was thought to be a. Early diagnosis is important for. Basal Ganglia Germinoma Prognosis.
From www.researchgate.net
TUBB4A mutation. Hypomyelination and atrophy of the basal ganglia and Basal Ganglia Germinoma Prognosis In this study, we developed a neural network for the discrimination of germinomas and gliomas of the basal ganglia. It was considered that distinct. Pure germinoma in basal ganglia showed similar prognostic characteristics to intracranial pure germinoma. Basal ganglia and thalamus germinomas are rare and early diagnosis of these tumors is usually difficult due to insidious. Management considerations & prognosis. Basal Ganglia Germinoma Prognosis.
From www.semanticscholar.org
Figure 1 from CT and MR of germinoma in the basal ganglia. Semantic Basal Ganglia Germinoma Prognosis Management considerations & prognosis the outcome for patients with germinoma is highly favorable, and various. Early diagnosis is important for favorable prognosis, but it is difficult due to the. It was considered that distinct. Most previous reports of germinoma are case reports or. Germinomas originating from the basal ganglia (bg) are rare. This case is unique in that this patient. Basal Ganglia Germinoma Prognosis.
From bmccancer.biomedcentral.com
Secondary glioblastoma after treatment of intracranial germinoma Basal Ganglia Germinoma Prognosis Early diagnosis is important for favorable prognosis, but it is difficult due to the. Basal ganglia and thalamus germinomas are rare and early diagnosis of these tumors is usually difficult due to insidious. This case is unique in that this patient was followed to evaluate for suspected tumor development, which was thought to be a. Most previous reports of germinoma. Basal Ganglia Germinoma Prognosis.
From www.semanticscholar.org
Figure 3 from Clinical interpretation of residual uptake in 11C Basal Ganglia Germinoma Prognosis Early diagnosis is important for favorable prognosis, but it is difficult due to the. Most previous reports of germinoma are case reports or. Pure germinoma in basal ganglia showed similar prognostic characteristics to intracranial pure germinoma. In this study, we developed a neural network for the discrimination of germinomas and gliomas of the basal ganglia. Germinomas originating from the basal. Basal Ganglia Germinoma Prognosis.
From www.academia.edu
(PDF) Atypical basal ganglia germinoma presenting as cerebral Basal Ganglia Germinoma Prognosis Most previous reports of germinoma are case reports or. In this study, we developed a neural network for the discrimination of germinomas and gliomas of the basal ganglia. Basal ganglia and thalamus germinomas are rare and early diagnosis of these tumors is usually difficult due to insidious. Pure germinoma in basal ganglia showed similar prognostic characteristics to intracranial pure germinoma.. Basal Ganglia Germinoma Prognosis.
From frontalcortex.com
Image Basal ganglia germinoma, low pow Basal Ganglia Germinoma Prognosis This case is unique in that this patient was followed to evaluate for suspected tumor development, which was thought to be a. Basal ganglia and thalamus germinomas are rare and early diagnosis of these tumors is usually difficult due to insidious. Early diagnosis is important for favorable prognosis, but it is difficult due to the. Germinomas originating from the basal. Basal Ganglia Germinoma Prognosis.
From www.ajnr.org
Bilateral Germinoma Involving the Basal Ganglia and Cerebral White Basal Ganglia Germinoma Prognosis This case is unique in that this patient was followed to evaluate for suspected tumor development, which was thought to be a. In this study, we developed a neural network for the discrimination of germinomas and gliomas of the basal ganglia. It was considered that distinct. Basal ganglia and thalamus germinomas are rare and early diagnosis of these tumors is. Basal Ganglia Germinoma Prognosis.
From dokumen.tips
(PDF) Basal ganglia germinoma Diagnostic value of MR spectroscopy and Basal Ganglia Germinoma Prognosis Basal ganglia and thalamus germinomas are rare and early diagnosis of these tumors is usually difficult due to insidious. Most previous reports of germinoma are case reports or. Germinomas originating from the basal ganglia (bg) are rare. Pure germinoma in basal ganglia showed similar prognostic characteristics to intracranial pure germinoma. Management considerations & prognosis the outcome for patients with germinoma. Basal Ganglia Germinoma Prognosis.
From ar.inspiredpencil.com
Basal Ganglia Mri Basal Ganglia Germinoma Prognosis This case is unique in that this patient was followed to evaluate for suspected tumor development, which was thought to be a. Germinomas originating from the basal ganglia (bg) are rare. Most previous reports of germinoma are case reports or. It was considered that distinct. Pure germinoma in basal ganglia showed similar prognostic characteristics to intracranial pure germinoma. Despite these. Basal Ganglia Germinoma Prognosis.
From www.thegreenjournal.com
Relapse pattern and quality of life in patients with localized basal Basal Ganglia Germinoma Prognosis Basal ganglia and thalamus germinomas are rare and early diagnosis of these tumors is usually difficult due to insidious. This case is unique in that this patient was followed to evaluate for suspected tumor development, which was thought to be a. Despite these striking differences in imaging features of bg germinomas, little attention has been paid to the relationship between. Basal Ganglia Germinoma Prognosis.
From www.semanticscholar.org
Figure 1 from Germinoma of the basal ganglia a case report and review Basal Ganglia Germinoma Prognosis Basal ganglia and thalamus germinomas are rare and early diagnosis of these tumors is usually difficult due to insidious. Despite these striking differences in imaging features of bg germinomas, little attention has been paid to the relationship between imaging characteristics, clinical. It was considered that distinct. This case is unique in that this patient was followed to evaluate for suspected. Basal Ganglia Germinoma Prognosis.
From www.researchgate.net
(PDF) Germinomas in the basal ganglia resonance imaging Basal Ganglia Germinoma Prognosis Most previous reports of germinoma are case reports or. In this study, we developed a neural network for the discrimination of germinomas and gliomas of the basal ganglia. Management considerations & prognosis the outcome for patients with germinoma is highly favorable, and various. It was considered that distinct. Pure germinoma in basal ganglia showed similar prognostic characteristics to intracranial pure. Basal Ganglia Germinoma Prognosis.
From dokumen.tips
(PDF) SusceptibilityWeighted Imaging in the Diagnosis AJNR Basal Ganglia Germinoma Prognosis Management considerations & prognosis the outcome for patients with germinoma is highly favorable, and various. Basal ganglia and thalamus germinomas are rare and early diagnosis of these tumors is usually difficult due to insidious. Most previous reports of germinoma are case reports or. This case is unique in that this patient was followed to evaluate for suspected tumor development, which. Basal Ganglia Germinoma Prognosis.
From www.studypool.com
SOLUTION Basal ganglia physiology lecture slides mbbs notes Studypool Basal Ganglia Germinoma Prognosis This case is unique in that this patient was followed to evaluate for suspected tumor development, which was thought to be a. Despite these striking differences in imaging features of bg germinomas, little attention has been paid to the relationship between imaging characteristics, clinical. Early diagnosis is important for favorable prognosis, but it is difficult due to the. Germinomas originating. Basal Ganglia Germinoma Prognosis.