Creutzfeldt-Jakob Disease Palliative Care . The challenges and supports described by caregivers align with neuropalliative approaches and can be used to develop interventions to. However, it is difficult to diagnose and is. There is a need for renewed interest in the management of the disease by supportive and palliative care services. Palliative care consultation at cjd diagnosis can benefit advance care planning, anticipatory guidance, and symptom management. From presentation to palliative care. Palliative care issues in creutzfeldt: This article reviews the palliative care needs and challenges of people with cjd, a rare and fatal neurodegenerative disease.
from www.nh.org.au
From presentation to palliative care. The challenges and supports described by caregivers align with neuropalliative approaches and can be used to develop interventions to. However, it is difficult to diagnose and is. This article reviews the palliative care needs and challenges of people with cjd, a rare and fatal neurodegenerative disease. There is a need for renewed interest in the management of the disease by supportive and palliative care services. Palliative care issues in creutzfeldt: Palliative care consultation at cjd diagnosis can benefit advance care planning, anticipatory guidance, and symptom management.
Palliative Care It’s more than you think Northern Health
Creutzfeldt-Jakob Disease Palliative Care Palliative care consultation at cjd diagnosis can benefit advance care planning, anticipatory guidance, and symptom management. This article reviews the palliative care needs and challenges of people with cjd, a rare and fatal neurodegenerative disease. Palliative care consultation at cjd diagnosis can benefit advance care planning, anticipatory guidance, and symptom management. There is a need for renewed interest in the management of the disease by supportive and palliative care services. The challenges and supports described by caregivers align with neuropalliative approaches and can be used to develop interventions to. Palliative care issues in creutzfeldt: However, it is difficult to diagnose and is. From presentation to palliative care.
From www.cureus.com
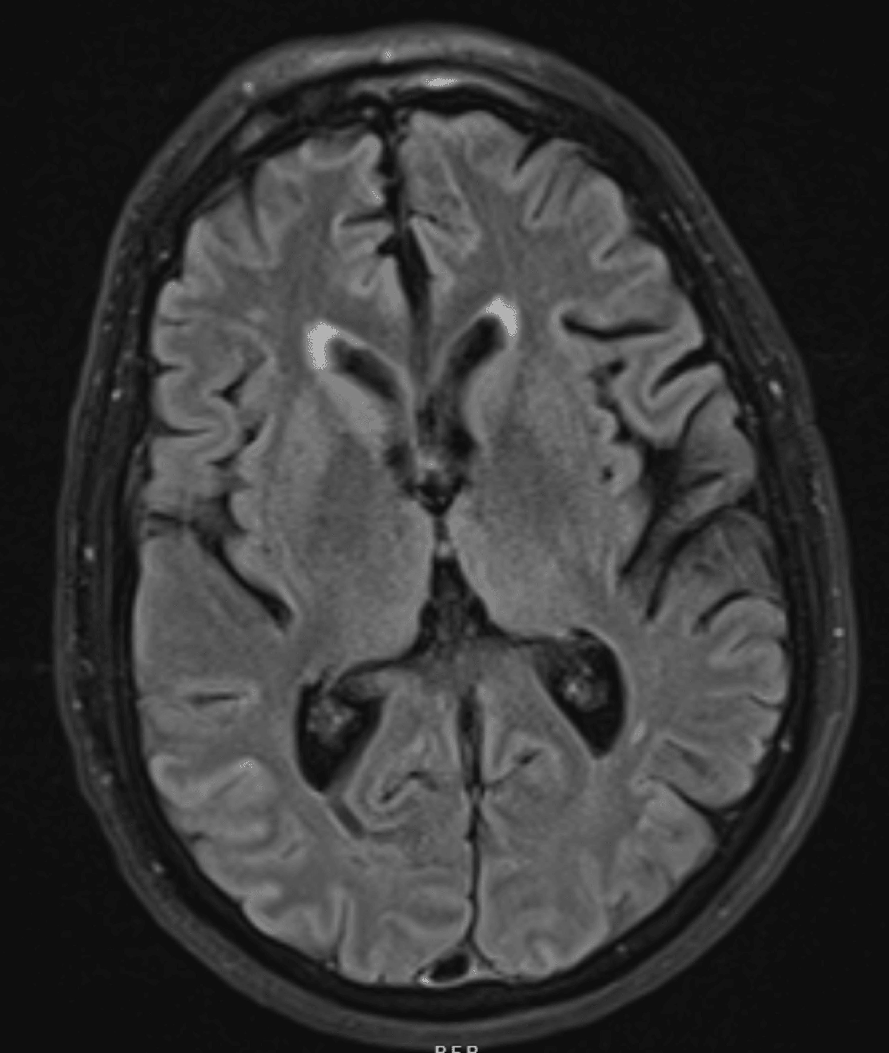
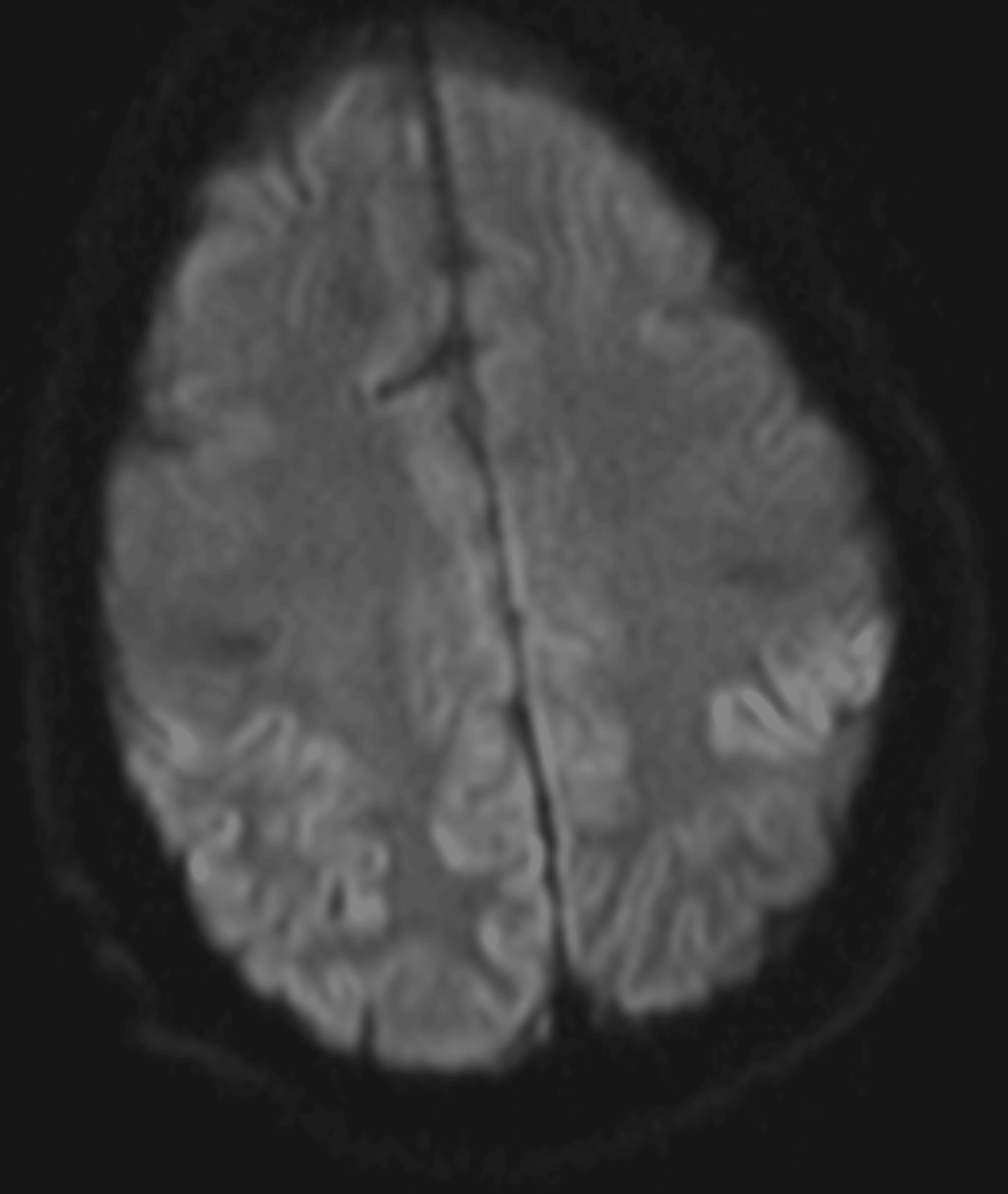
Cureus Addressing the Unmet Needs of Patients With Rapidly Creutzfeldt-Jakob Disease Palliative Care There is a need for renewed interest in the management of the disease by supportive and palliative care services. The challenges and supports described by caregivers align with neuropalliative approaches and can be used to develop interventions to. From presentation to palliative care. Palliative care consultation at cjd diagnosis can benefit advance care planning, anticipatory guidance, and symptom management. Palliative. Creutzfeldt-Jakob Disease Palliative Care.
From www.ahajournals.org
Palliative Care Across the Life Span for Children With Heart Disease A Creutzfeldt-Jakob Disease Palliative Care This article reviews the palliative care needs and challenges of people with cjd, a rare and fatal neurodegenerative disease. Palliative care issues in creutzfeldt: Palliative care consultation at cjd diagnosis can benefit advance care planning, anticipatory guidance, and symptom management. However, it is difficult to diagnose and is. From presentation to palliative care. The challenges and supports described by caregivers. Creutzfeldt-Jakob Disease Palliative Care.
From www.liebertpub.com
Palliative Care Issues in Creutzfeldt Jakob Disease 389 Journal of Creutzfeldt-Jakob Disease Palliative Care From presentation to palliative care. This article reviews the palliative care needs and challenges of people with cjd, a rare and fatal neurodegenerative disease. However, it is difficult to diagnose and is. There is a need for renewed interest in the management of the disease by supportive and palliative care services. Palliative care issues in creutzfeldt: The challenges and supports. Creutzfeldt-Jakob Disease Palliative Care.
From keeswan.com
5 Stages of Palliative Care A Comprehensive Guide to Palliative Care Creutzfeldt-Jakob Disease Palliative Care This article reviews the palliative care needs and challenges of people with cjd, a rare and fatal neurodegenerative disease. There is a need for renewed interest in the management of the disease by supportive and palliative care services. Palliative care issues in creutzfeldt: The challenges and supports described by caregivers align with neuropalliative approaches and can be used to develop. Creutzfeldt-Jakob Disease Palliative Care.
From www.researchgate.net
(PDF) Variant CreutzfeldtJakob disease need for mental health and Creutzfeldt-Jakob Disease Palliative Care However, it is difficult to diagnose and is. Palliative care issues in creutzfeldt: This article reviews the palliative care needs and challenges of people with cjd, a rare and fatal neurodegenerative disease. From presentation to palliative care. The challenges and supports described by caregivers align with neuropalliative approaches and can be used to develop interventions to. There is a need. Creutzfeldt-Jakob Disease Palliative Care.
From www.care-potentials.com
PalliativTherapie Care Potentials Creutzfeldt-Jakob Disease Palliative Care This article reviews the palliative care needs and challenges of people with cjd, a rare and fatal neurodegenerative disease. From presentation to palliative care. However, it is difficult to diagnose and is. The challenges and supports described by caregivers align with neuropalliative approaches and can be used to develop interventions to. Palliative care consultation at cjd diagnosis can benefit advance. Creutzfeldt-Jakob Disease Palliative Care.
From floridaseniorconsulting.com
5 Differences Between Hospice and Palliative Care Creutzfeldt-Jakob Disease Palliative Care This article reviews the palliative care needs and challenges of people with cjd, a rare and fatal neurodegenerative disease. The challenges and supports described by caregivers align with neuropalliative approaches and can be used to develop interventions to. Palliative care consultation at cjd diagnosis can benefit advance care planning, anticipatory guidance, and symptom management. However, it is difficult to diagnose. Creutzfeldt-Jakob Disease Palliative Care.
From wiringfixhovers.z13.web.core.windows.net
Model Of Palliative Care Diagram Creutzfeldt-Jakob Disease Palliative Care This article reviews the palliative care needs and challenges of people with cjd, a rare and fatal neurodegenerative disease. Palliative care consultation at cjd diagnosis can benefit advance care planning, anticipatory guidance, and symptom management. The challenges and supports described by caregivers align with neuropalliative approaches and can be used to develop interventions to. From presentation to palliative care. There. Creutzfeldt-Jakob Disease Palliative Care.
From www.ehab.com
Palliative and hospice care What's the difference? Creutzfeldt-Jakob Disease Palliative Care However, it is difficult to diagnose and is. Palliative care issues in creutzfeldt: This article reviews the palliative care needs and challenges of people with cjd, a rare and fatal neurodegenerative disease. There is a need for renewed interest in the management of the disease by supportive and palliative care services. From presentation to palliative care. The challenges and supports. Creutzfeldt-Jakob Disease Palliative Care.
From www.cureus.com
Cureus Addressing the Unmet Needs of Patients With Rapidly Creutzfeldt-Jakob Disease Palliative Care The challenges and supports described by caregivers align with neuropalliative approaches and can be used to develop interventions to. From presentation to palliative care. However, it is difficult to diagnose and is. There is a need for renewed interest in the management of the disease by supportive and palliative care services. Palliative care issues in creutzfeldt: This article reviews the. Creutzfeldt-Jakob Disease Palliative Care.
From blog.wcei.net
Palliative Wound Care Best Practices WCEI Blog WCEI Blog Creutzfeldt-Jakob Disease Palliative Care The challenges and supports described by caregivers align with neuropalliative approaches and can be used to develop interventions to. From presentation to palliative care. There is a need for renewed interest in the management of the disease by supportive and palliative care services. This article reviews the palliative care needs and challenges of people with cjd, a rare and fatal. Creutzfeldt-Jakob Disease Palliative Care.
From kancare.in
What is Palliative Care and what are the different stages in Palliative Creutzfeldt-Jakob Disease Palliative Care The challenges and supports described by caregivers align with neuropalliative approaches and can be used to develop interventions to. From presentation to palliative care. This article reviews the palliative care needs and challenges of people with cjd, a rare and fatal neurodegenerative disease. Palliative care consultation at cjd diagnosis can benefit advance care planning, anticipatory guidance, and symptom management. Palliative. Creutzfeldt-Jakob Disease Palliative Care.
From vervecollege.edu
5 Principles of Palliative Care in Healthcare Field Creutzfeldt-Jakob Disease Palliative Care From presentation to palliative care. There is a need for renewed interest in the management of the disease by supportive and palliative care services. The challenges and supports described by caregivers align with neuropalliative approaches and can be used to develop interventions to. However, it is difficult to diagnose and is. Palliative care issues in creutzfeldt: Palliative care consultation at. Creutzfeldt-Jakob Disease Palliative Care.
From www.mtrosehealthandhospice.org
Palliative care manage symptoms, control pain Mt Rose Health Center Creutzfeldt-Jakob Disease Palliative Care This article reviews the palliative care needs and challenges of people with cjd, a rare and fatal neurodegenerative disease. However, it is difficult to diagnose and is. There is a need for renewed interest in the management of the disease by supportive and palliative care services. Palliative care issues in creutzfeldt: From presentation to palliative care. Palliative care consultation at. Creutzfeldt-Jakob Disease Palliative Care.
From www.northwell.edu
Palliative care vs hospice Is there a difference? Northwell Health Creutzfeldt-Jakob Disease Palliative Care The challenges and supports described by caregivers align with neuropalliative approaches and can be used to develop interventions to. There is a need for renewed interest in the management of the disease by supportive and palliative care services. However, it is difficult to diagnose and is. Palliative care consultation at cjd diagnosis can benefit advance care planning, anticipatory guidance, and. Creutzfeldt-Jakob Disease Palliative Care.
From www.parkinson.org
Palliative & Supportive Care Parkinson's Foundation Creutzfeldt-Jakob Disease Palliative Care However, it is difficult to diagnose and is. There is a need for renewed interest in the management of the disease by supportive and palliative care services. The challenges and supports described by caregivers align with neuropalliative approaches and can be used to develop interventions to. Palliative care consultation at cjd diagnosis can benefit advance care planning, anticipatory guidance, and. Creutzfeldt-Jakob Disease Palliative Care.
From hospicelc.org
The Benefits of Palliative Care Hospice of Lake Cumberland Creutzfeldt-Jakob Disease Palliative Care This article reviews the palliative care needs and challenges of people with cjd, a rare and fatal neurodegenerative disease. However, it is difficult to diagnose and is. The challenges and supports described by caregivers align with neuropalliative approaches and can be used to develop interventions to. From presentation to palliative care. Palliative care consultation at cjd diagnosis can benefit advance. Creutzfeldt-Jakob Disease Palliative Care.
From blogs.bcm.edu
What is palliative medicine? Creutzfeldt-Jakob Disease Palliative Care Palliative care issues in creutzfeldt: From presentation to palliative care. The challenges and supports described by caregivers align with neuropalliative approaches and can be used to develop interventions to. However, it is difficult to diagnose and is. There is a need for renewed interest in the management of the disease by supportive and palliative care services. Palliative care consultation at. Creutzfeldt-Jakob Disease Palliative Care.
From sheraton.care
Hospice & Palliative Care sheraton.care Creutzfeldt-Jakob Disease Palliative Care Palliative care issues in creutzfeldt: The challenges and supports described by caregivers align with neuropalliative approaches and can be used to develop interventions to. However, it is difficult to diagnose and is. There is a need for renewed interest in the management of the disease by supportive and palliative care services. Palliative care consultation at cjd diagnosis can benefit advance. Creutzfeldt-Jakob Disease Palliative Care.
From www.pulmonologyadvisor.com
Widening the Definition and Use of Palliative Care in PAH Pulmonology Creutzfeldt-Jakob Disease Palliative Care Palliative care issues in creutzfeldt: The challenges and supports described by caregivers align with neuropalliative approaches and can be used to develop interventions to. This article reviews the palliative care needs and challenges of people with cjd, a rare and fatal neurodegenerative disease. From presentation to palliative care. However, it is difficult to diagnose and is. There is a need. Creutzfeldt-Jakob Disease Palliative Care.
From healthywithpardee.com
The Benefits of Palliative Care Creutzfeldt-Jakob Disease Palliative Care There is a need for renewed interest in the management of the disease by supportive and palliative care services. Palliative care issues in creutzfeldt: The challenges and supports described by caregivers align with neuropalliative approaches and can be used to develop interventions to. This article reviews the palliative care needs and challenges of people with cjd, a rare and fatal. Creutzfeldt-Jakob Disease Palliative Care.
From healthscopemag.com
Palliative Care HealthScopeHealthScope Creutzfeldt-Jakob Disease Palliative Care From presentation to palliative care. The challenges and supports described by caregivers align with neuropalliative approaches and can be used to develop interventions to. Palliative care issues in creutzfeldt: However, it is difficult to diagnose and is. Palliative care consultation at cjd diagnosis can benefit advance care planning, anticipatory guidance, and symptom management. There is a need for renewed interest. Creutzfeldt-Jakob Disease Palliative Care.
From medde.org
Der Unterschied zwischen Hospiz und Palliativmedizin MedDe Creutzfeldt-Jakob Disease Palliative Care However, it is difficult to diagnose and is. There is a need for renewed interest in the management of the disease by supportive and palliative care services. The challenges and supports described by caregivers align with neuropalliative approaches and can be used to develop interventions to. Palliative care issues in creutzfeldt: This article reviews the palliative care needs and challenges. Creutzfeldt-Jakob Disease Palliative Care.
From www.cathmeddallas.org
Palliative and Hospice Care CATHOLIC MEDICAL GUILD OF DALLAS Creutzfeldt-Jakob Disease Palliative Care From presentation to palliative care. Palliative care issues in creutzfeldt: The challenges and supports described by caregivers align with neuropalliative approaches and can be used to develop interventions to. This article reviews the palliative care needs and challenges of people with cjd, a rare and fatal neurodegenerative disease. Palliative care consultation at cjd diagnosis can benefit advance care planning, anticipatory. Creutzfeldt-Jakob Disease Palliative Care.
From www.nh.org.au
Palliative Care It’s more than you think Northern Health Creutzfeldt-Jakob Disease Palliative Care There is a need for renewed interest in the management of the disease by supportive and palliative care services. Palliative care issues in creutzfeldt: This article reviews the palliative care needs and challenges of people with cjd, a rare and fatal neurodegenerative disease. However, it is difficult to diagnose and is. From presentation to palliative care. The challenges and supports. Creutzfeldt-Jakob Disease Palliative Care.
From www.cancertherapyadvisor.com
Palliative Care in Phase 1 Trials is Essential for Patients and Their Creutzfeldt-Jakob Disease Palliative Care Palliative care consultation at cjd diagnosis can benefit advance care planning, anticipatory guidance, and symptom management. Palliative care issues in creutzfeldt: There is a need for renewed interest in the management of the disease by supportive and palliative care services. This article reviews the palliative care needs and challenges of people with cjd, a rare and fatal neurodegenerative disease. From. Creutzfeldt-Jakob Disease Palliative Care.
From ellissawdyanne.pages.dev
Palliative Care Conference 2024 Usa Judy Sabine Creutzfeldt-Jakob Disease Palliative Care From presentation to palliative care. There is a need for renewed interest in the management of the disease by supportive and palliative care services. This article reviews the palliative care needs and challenges of people with cjd, a rare and fatal neurodegenerative disease. However, it is difficult to diagnose and is. Palliative care consultation at cjd diagnosis can benefit advance. Creutzfeldt-Jakob Disease Palliative Care.
From www.dailyexcelsior.com
Palliative Care Creutzfeldt-Jakob Disease Palliative Care Palliative care issues in creutzfeldt: This article reviews the palliative care needs and challenges of people with cjd, a rare and fatal neurodegenerative disease. However, it is difficult to diagnose and is. The challenges and supports described by caregivers align with neuropalliative approaches and can be used to develop interventions to. Palliative care consultation at cjd diagnosis can benefit advance. Creutzfeldt-Jakob Disease Palliative Care.
From simplenursing.com
Understanding Hospice and Palliative Care for Nursing Students Creutzfeldt-Jakob Disease Palliative Care From presentation to palliative care. Palliative care issues in creutzfeldt: Palliative care consultation at cjd diagnosis can benefit advance care planning, anticipatory guidance, and symptom management. The challenges and supports described by caregivers align with neuropalliative approaches and can be used to develop interventions to. There is a need for renewed interest in the management of the disease by supportive. Creutzfeldt-Jakob Disease Palliative Care.
From nap.nationalacademies.org
Infographic What Should You Know About Palliative Care? The National Creutzfeldt-Jakob Disease Palliative Care However, it is difficult to diagnose and is. Palliative care issues in creutzfeldt: The challenges and supports described by caregivers align with neuropalliative approaches and can be used to develop interventions to. From presentation to palliative care. This article reviews the palliative care needs and challenges of people with cjd, a rare and fatal neurodegenerative disease. There is a need. Creutzfeldt-Jakob Disease Palliative Care.
From www.lungcancercenter.com
What’s Palliative Care for Lung Cancer Treatment? Creutzfeldt-Jakob Disease Palliative Care Palliative care issues in creutzfeldt: However, it is difficult to diagnose and is. From presentation to palliative care. This article reviews the palliative care needs and challenges of people with cjd, a rare and fatal neurodegenerative disease. The challenges and supports described by caregivers align with neuropalliative approaches and can be used to develop interventions to. There is a need. Creutzfeldt-Jakob Disease Palliative Care.
From www.10faq.com
Palliative Care What Is Palliative Care? Creutzfeldt-Jakob Disease Palliative Care From presentation to palliative care. However, it is difficult to diagnose and is. This article reviews the palliative care needs and challenges of people with cjd, a rare and fatal neurodegenerative disease. Palliative care issues in creutzfeldt: Palliative care consultation at cjd diagnosis can benefit advance care planning, anticipatory guidance, and symptom management. The challenges and supports described by caregivers. Creutzfeldt-Jakob Disease Palliative Care.
From www.ahdubai.com
Pediatric Palliative Care American Hospital Creutzfeldt-Jakob Disease Palliative Care There is a need for renewed interest in the management of the disease by supportive and palliative care services. The challenges and supports described by caregivers align with neuropalliative approaches and can be used to develop interventions to. This article reviews the palliative care needs and challenges of people with cjd, a rare and fatal neurodegenerative disease. From presentation to. Creutzfeldt-Jakob Disease Palliative Care.
From ihm.edu.au
How to a Palliative Care Nurse IHM Australia Creutzfeldt-Jakob Disease Palliative Care From presentation to palliative care. Palliative care issues in creutzfeldt: Palliative care consultation at cjd diagnosis can benefit advance care planning, anticipatory guidance, and symptom management. This article reviews the palliative care needs and challenges of people with cjd, a rare and fatal neurodegenerative disease. However, it is difficult to diagnose and is. The challenges and supports described by caregivers. Creutzfeldt-Jakob Disease Palliative Care.
From aphn.org
New WHO infographic on palliative care released APHN Creutzfeldt-Jakob Disease Palliative Care Palliative care consultation at cjd diagnosis can benefit advance care planning, anticipatory guidance, and symptom management. The challenges and supports described by caregivers align with neuropalliative approaches and can be used to develop interventions to. From presentation to palliative care. There is a need for renewed interest in the management of the disease by supportive and palliative care services. However,. Creutzfeldt-Jakob Disease Palliative Care.