Bone Marrow Transplant For Hemolytic Anemia . autoimmune hemolytic anemia (aiha) is a greatly heterogeneous disease due to autoantibodies directed against erythrocytes, with or without complement activation. autoimmune haemolytic anaemia (aiha) is the most frequently reported autoimmune disease after stem. to understand that hemolytic anemia (ha) is frequent after hematopoietic stem cell transplantation (hsct) to. 1 aiha can be primary or. cwynarski k, goulding r, pocock c, et al. a utoimmune hemolytic anemia (aiha) occurs at an annual incidence of 1 per 100,000.
from oncohemakey.com
autoimmune haemolytic anaemia (aiha) is the most frequently reported autoimmune disease after stem. 1 aiha can be primary or. cwynarski k, goulding r, pocock c, et al. a utoimmune hemolytic anemia (aiha) occurs at an annual incidence of 1 per 100,000. autoimmune hemolytic anemia (aiha) is a greatly heterogeneous disease due to autoantibodies directed against erythrocytes, with or without complement activation. to understand that hemolytic anemia (ha) is frequent after hematopoietic stem cell transplantation (hsct) to.
Overview of Clinical Bone Marrow Transplantation Oncohema Key
Bone Marrow Transplant For Hemolytic Anemia 1 aiha can be primary or. autoimmune hemolytic anemia (aiha) is a greatly heterogeneous disease due to autoantibodies directed against erythrocytes, with or without complement activation. autoimmune haemolytic anaemia (aiha) is the most frequently reported autoimmune disease after stem. 1 aiha can be primary or. cwynarski k, goulding r, pocock c, et al. to understand that hemolytic anemia (ha) is frequent after hematopoietic stem cell transplantation (hsct) to. a utoimmune hemolytic anemia (aiha) occurs at an annual incidence of 1 per 100,000.
From www.onlymyhealth.com
Bone Marrow Transplant Types, Procedure and Success Rate OnlyMyHealth Bone Marrow Transplant For Hemolytic Anemia to understand that hemolytic anemia (ha) is frequent after hematopoietic stem cell transplantation (hsct) to. 1 aiha can be primary or. autoimmune haemolytic anaemia (aiha) is the most frequently reported autoimmune disease after stem. autoimmune hemolytic anemia (aiha) is a greatly heterogeneous disease due to autoantibodies directed against erythrocytes, with or without complement activation. cwynarski k,. Bone Marrow Transplant For Hemolytic Anemia.
From oncohemakey.com
Overview of Clinical Bone Marrow Transplantation Oncohema Key Bone Marrow Transplant For Hemolytic Anemia autoimmune hemolytic anemia (aiha) is a greatly heterogeneous disease due to autoantibodies directed against erythrocytes, with or without complement activation. 1 aiha can be primary or. autoimmune haemolytic anaemia (aiha) is the most frequently reported autoimmune disease after stem. a utoimmune hemolytic anemia (aiha) occurs at an annual incidence of 1 per 100,000. cwynarski k, goulding. Bone Marrow Transplant For Hemolytic Anemia.
From www.viezec.com
A Guide to Bone Marrow Transplants for Anemia in India Bone Marrow Transplant For Hemolytic Anemia to understand that hemolytic anemia (ha) is frequent after hematopoietic stem cell transplantation (hsct) to. autoimmune hemolytic anemia (aiha) is a greatly heterogeneous disease due to autoantibodies directed against erythrocytes, with or without complement activation. a utoimmune hemolytic anemia (aiha) occurs at an annual incidence of 1 per 100,000. cwynarski k, goulding r, pocock c, et. Bone Marrow Transplant For Hemolytic Anemia.
From www.astctjournal.org
T CellDepleted Peripheral Blood versus Unmanipulated Bone Marrow in Bone Marrow Transplant For Hemolytic Anemia autoimmune haemolytic anaemia (aiha) is the most frequently reported autoimmune disease after stem. autoimmune hemolytic anemia (aiha) is a greatly heterogeneous disease due to autoantibodies directed against erythrocytes, with or without complement activation. cwynarski k, goulding r, pocock c, et al. to understand that hemolytic anemia (ha) is frequent after hematopoietic stem cell transplantation (hsct) to.. Bone Marrow Transplant For Hemolytic Anemia.
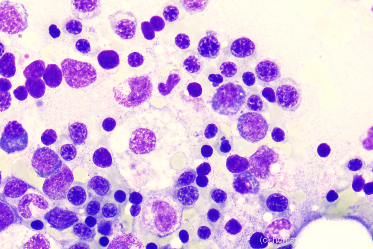
From www.hematomorphology.info
Hemolytic anemia Hematomorphology, a databank / imagebank for Bone Marrow Transplant For Hemolytic Anemia autoimmune haemolytic anaemia (aiha) is the most frequently reported autoimmune disease after stem. 1 aiha can be primary or. cwynarski k, goulding r, pocock c, et al. a utoimmune hemolytic anemia (aiha) occurs at an annual incidence of 1 per 100,000. to understand that hemolytic anemia (ha) is frequent after hematopoietic stem cell transplantation (hsct) to.. Bone Marrow Transplant For Hemolytic Anemia.
From www.aafp.org
Hemolytic Anemia Evaluation and Differential Diagnosis AAFP Bone Marrow Transplant For Hemolytic Anemia a utoimmune hemolytic anemia (aiha) occurs at an annual incidence of 1 per 100,000. to understand that hemolytic anemia (ha) is frequent after hematopoietic stem cell transplantation (hsct) to. autoimmune haemolytic anaemia (aiha) is the most frequently reported autoimmune disease after stem. 1 aiha can be primary or. autoimmune hemolytic anemia (aiha) is a greatly heterogeneous. Bone Marrow Transplant For Hemolytic Anemia.
From www.hemonc.theclinics.com
Haploidentical Donor Bone Marrow Transplantation for Severe Aplastic Bone Marrow Transplant For Hemolytic Anemia autoimmune haemolytic anaemia (aiha) is the most frequently reported autoimmune disease after stem. autoimmune hemolytic anemia (aiha) is a greatly heterogeneous disease due to autoantibodies directed against erythrocytes, with or without complement activation. cwynarski k, goulding r, pocock c, et al. to understand that hemolytic anemia (ha) is frequent after hematopoietic stem cell transplantation (hsct) to.. Bone Marrow Transplant For Hemolytic Anemia.
From www.hexahealth.com
What is Bone Marrow Transplant? Procedure, Success Rate Bone Marrow Transplant For Hemolytic Anemia autoimmune hemolytic anemia (aiha) is a greatly heterogeneous disease due to autoantibodies directed against erythrocytes, with or without complement activation. to understand that hemolytic anemia (ha) is frequent after hematopoietic stem cell transplantation (hsct) to. a utoimmune hemolytic anemia (aiha) occurs at an annual incidence of 1 per 100,000. cwynarski k, goulding r, pocock c, et. Bone Marrow Transplant For Hemolytic Anemia.
From www.viezec.com
A Guide to Bone Marrow Transplants for Anemia in India Bone Marrow Transplant For Hemolytic Anemia 1 aiha can be primary or. autoimmune hemolytic anemia (aiha) is a greatly heterogeneous disease due to autoantibodies directed against erythrocytes, with or without complement activation. to understand that hemolytic anemia (ha) is frequent after hematopoietic stem cell transplantation (hsct) to. cwynarski k, goulding r, pocock c, et al. autoimmune haemolytic anaemia (aiha) is the most. Bone Marrow Transplant For Hemolytic Anemia.
From ghealth121.com
Bone Marrow Transplant What it is, when and how it is done Bone Marrow Transplant For Hemolytic Anemia cwynarski k, goulding r, pocock c, et al. autoimmune hemolytic anemia (aiha) is a greatly heterogeneous disease due to autoantibodies directed against erythrocytes, with or without complement activation. 1 aiha can be primary or. a utoimmune hemolytic anemia (aiha) occurs at an annual incidence of 1 per 100,000. to understand that hemolytic anemia (ha) is frequent. Bone Marrow Transplant For Hemolytic Anemia.
From www.medindia.net
Hemolytic Anemia Causes, Symptoms, Diagnosis, Treatment Bone Marrow Transplant For Hemolytic Anemia to understand that hemolytic anemia (ha) is frequent after hematopoietic stem cell transplantation (hsct) to. autoimmune hemolytic anemia (aiha) is a greatly heterogeneous disease due to autoantibodies directed against erythrocytes, with or without complement activation. 1 aiha can be primary or. autoimmune haemolytic anaemia (aiha) is the most frequently reported autoimmune disease after stem. a utoimmune. Bone Marrow Transplant For Hemolytic Anemia.
From medsurgeindia.com
Fanconi Anemia Treatment Bone Marrow Transplant For Fanconi Anemia Bone Marrow Transplant For Hemolytic Anemia 1 aiha can be primary or. autoimmune hemolytic anemia (aiha) is a greatly heterogeneous disease due to autoantibodies directed against erythrocytes, with or without complement activation. to understand that hemolytic anemia (ha) is frequent after hematopoietic stem cell transplantation (hsct) to. a utoimmune hemolytic anemia (aiha) occurs at an annual incidence of 1 per 100,000. autoimmune. Bone Marrow Transplant For Hemolytic Anemia.
From www.shifa.com.pk
Types of Bone Marrow Transplant Shifa International Hospital Bone Marrow Transplant For Hemolytic Anemia a utoimmune hemolytic anemia (aiha) occurs at an annual incidence of 1 per 100,000. autoimmune haemolytic anaemia (aiha) is the most frequently reported autoimmune disease after stem. autoimmune hemolytic anemia (aiha) is a greatly heterogeneous disease due to autoantibodies directed against erythrocytes, with or without complement activation. cwynarski k, goulding r, pocock c, et al. . Bone Marrow Transplant For Hemolytic Anemia.
From ar.inspiredpencil.com
Bone Marrow Transplant For Sickle Cell Anemia Bone Marrow Transplant For Hemolytic Anemia to understand that hemolytic anemia (ha) is frequent after hematopoietic stem cell transplantation (hsct) to. a utoimmune hemolytic anemia (aiha) occurs at an annual incidence of 1 per 100,000. autoimmune hemolytic anemia (aiha) is a greatly heterogeneous disease due to autoantibodies directed against erythrocytes, with or without complement activation. cwynarski k, goulding r, pocock c, et. Bone Marrow Transplant For Hemolytic Anemia.
From www.youandmds.com
Slide Show Managing and Treating MDSrelated Anemia Bone Marrow Transplant For Hemolytic Anemia a utoimmune hemolytic anemia (aiha) occurs at an annual incidence of 1 per 100,000. cwynarski k, goulding r, pocock c, et al. to understand that hemolytic anemia (ha) is frequent after hematopoietic stem cell transplantation (hsct) to. autoimmune haemolytic anaemia (aiha) is the most frequently reported autoimmune disease after stem. 1 aiha can be primary or.. Bone Marrow Transplant For Hemolytic Anemia.
From straightanursingstudent.com
Bone Marrow Transplant Basics Straight A Nursing Bone Marrow Transplant For Hemolytic Anemia autoimmune haemolytic anaemia (aiha) is the most frequently reported autoimmune disease after stem. a utoimmune hemolytic anemia (aiha) occurs at an annual incidence of 1 per 100,000. to understand that hemolytic anemia (ha) is frequent after hematopoietic stem cell transplantation (hsct) to. cwynarski k, goulding r, pocock c, et al. 1 aiha can be primary or.. Bone Marrow Transplant For Hemolytic Anemia.
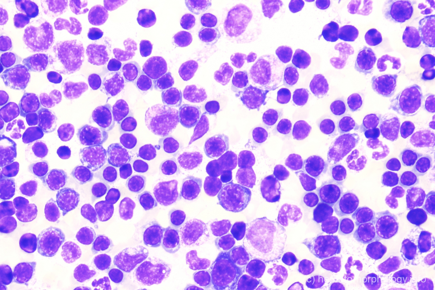
From www.hematomorphology.info
Hemolytic anemia Hematomorphology, a databank / imagebank for Bone Marrow Transplant For Hemolytic Anemia autoimmune haemolytic anaemia (aiha) is the most frequently reported autoimmune disease after stem. autoimmune hemolytic anemia (aiha) is a greatly heterogeneous disease due to autoantibodies directed against erythrocytes, with or without complement activation. to understand that hemolytic anemia (ha) is frequent after hematopoietic stem cell transplantation (hsct) to. 1 aiha can be primary or. cwynarski k,. Bone Marrow Transplant For Hemolytic Anemia.
From www.researchgate.net
Allogeneic stem cell transplantation. Hematopoietic stem cells are Bone Marrow Transplant For Hemolytic Anemia 1 aiha can be primary or. cwynarski k, goulding r, pocock c, et al. autoimmune haemolytic anaemia (aiha) is the most frequently reported autoimmune disease after stem. to understand that hemolytic anemia (ha) is frequent after hematopoietic stem cell transplantation (hsct) to. autoimmune hemolytic anemia (aiha) is a greatly heterogeneous disease due to autoantibodies directed against. Bone Marrow Transplant For Hemolytic Anemia.
From www.researchgate.net
(PDF) The Role of a Routine Bone Marrow Biopsy in Autoimmune Hemolytic Bone Marrow Transplant For Hemolytic Anemia cwynarski k, goulding r, pocock c, et al. autoimmune hemolytic anemia (aiha) is a greatly heterogeneous disease due to autoantibodies directed against erythrocytes, with or without complement activation. autoimmune haemolytic anaemia (aiha) is the most frequently reported autoimmune disease after stem. to understand that hemolytic anemia (ha) is frequent after hematopoietic stem cell transplantation (hsct) to.. Bone Marrow Transplant For Hemolytic Anemia.
From vocal.media
Bone Marrow Transplant Importance and Working? Bone Marrow Transplant For Hemolytic Anemia a utoimmune hemolytic anemia (aiha) occurs at an annual incidence of 1 per 100,000. cwynarski k, goulding r, pocock c, et al. 1 aiha can be primary or. to understand that hemolytic anemia (ha) is frequent after hematopoietic stem cell transplantation (hsct) to. autoimmune haemolytic anaemia (aiha) is the most frequently reported autoimmune disease after stem.. Bone Marrow Transplant For Hemolytic Anemia.
From hospitalsmagazine.com
Bone Marrow Transplant HOSPITALS MAGAZINE Bone Marrow Transplant For Hemolytic Anemia cwynarski k, goulding r, pocock c, et al. to understand that hemolytic anemia (ha) is frequent after hematopoietic stem cell transplantation (hsct) to. autoimmune haemolytic anaemia (aiha) is the most frequently reported autoimmune disease after stem. autoimmune hemolytic anemia (aiha) is a greatly heterogeneous disease due to autoantibodies directed against erythrocytes, with or without complement activation.. Bone Marrow Transplant For Hemolytic Anemia.
From www.slideserve.com
PPT Anemia3 Hemolytic acquired PowerPoint Presentation, free download Bone Marrow Transplant For Hemolytic Anemia 1 aiha can be primary or. cwynarski k, goulding r, pocock c, et al. to understand that hemolytic anemia (ha) is frequent after hematopoietic stem cell transplantation (hsct) to. autoimmune hemolytic anemia (aiha) is a greatly heterogeneous disease due to autoantibodies directed against erythrocytes, with or without complement activation. autoimmune haemolytic anaemia (aiha) is the most. Bone Marrow Transplant For Hemolytic Anemia.
From www.britannica.com
Autologous transplant bone marrow transplantation Britannica Bone Marrow Transplant For Hemolytic Anemia autoimmune hemolytic anemia (aiha) is a greatly heterogeneous disease due to autoantibodies directed against erythrocytes, with or without complement activation. cwynarski k, goulding r, pocock c, et al. a utoimmune hemolytic anemia (aiha) occurs at an annual incidence of 1 per 100,000. 1 aiha can be primary or. to understand that hemolytic anemia (ha) is frequent. Bone Marrow Transplant For Hemolytic Anemia.
From ar.inspiredpencil.com
Bone Marrow Transplant For Sickle Cell Anemia Bone Marrow Transplant For Hemolytic Anemia autoimmune haemolytic anaemia (aiha) is the most frequently reported autoimmune disease after stem. a utoimmune hemolytic anemia (aiha) occurs at an annual incidence of 1 per 100,000. to understand that hemolytic anemia (ha) is frequent after hematopoietic stem cell transplantation (hsct) to. 1 aiha can be primary or. autoimmune hemolytic anemia (aiha) is a greatly heterogeneous. Bone Marrow Transplant For Hemolytic Anemia.
From www.withpower.com
Haploidentical Bone Marrow Transplant for Aplastic Anemia Clinical Bone Marrow Transplant For Hemolytic Anemia a utoimmune hemolytic anemia (aiha) occurs at an annual incidence of 1 per 100,000. cwynarski k, goulding r, pocock c, et al. 1 aiha can be primary or. autoimmune haemolytic anaemia (aiha) is the most frequently reported autoimmune disease after stem. autoimmune hemolytic anemia (aiha) is a greatly heterogeneous disease due to autoantibodies directed against erythrocytes,. Bone Marrow Transplant For Hemolytic Anemia.
From fibohealth.com
Adult Bone Marrow Transplantation Fibo Health Bone Marrow Transplant For Hemolytic Anemia autoimmune hemolytic anemia (aiha) is a greatly heterogeneous disease due to autoantibodies directed against erythrocytes, with or without complement activation. 1 aiha can be primary or. a utoimmune hemolytic anemia (aiha) occurs at an annual incidence of 1 per 100,000. autoimmune haemolytic anaemia (aiha) is the most frequently reported autoimmune disease after stem. cwynarski k, goulding. Bone Marrow Transplant For Hemolytic Anemia.
From ar.inspiredpencil.com
Bone Marrow Transplant Procedure Bone Marrow Transplant For Hemolytic Anemia cwynarski k, goulding r, pocock c, et al. 1 aiha can be primary or. to understand that hemolytic anemia (ha) is frequent after hematopoietic stem cell transplantation (hsct) to. a utoimmune hemolytic anemia (aiha) occurs at an annual incidence of 1 per 100,000. autoimmune haemolytic anaemia (aiha) is the most frequently reported autoimmune disease after stem.. Bone Marrow Transplant For Hemolytic Anemia.
From ar.inspiredpencil.com
Sickle Cell Anemia Bone Marrow Transplant Bone Marrow Transplant For Hemolytic Anemia autoimmune hemolytic anemia (aiha) is a greatly heterogeneous disease due to autoantibodies directed against erythrocytes, with or without complement activation. autoimmune haemolytic anaemia (aiha) is the most frequently reported autoimmune disease after stem. cwynarski k, goulding r, pocock c, et al. to understand that hemolytic anemia (ha) is frequent after hematopoietic stem cell transplantation (hsct) to.. Bone Marrow Transplant For Hemolytic Anemia.
From www.moffitt.org
Blood & Bone Marrow Transplant, BMT Moffitt Bone Marrow Transplant For Hemolytic Anemia autoimmune haemolytic anaemia (aiha) is the most frequently reported autoimmune disease after stem. a utoimmune hemolytic anemia (aiha) occurs at an annual incidence of 1 per 100,000. 1 aiha can be primary or. cwynarski k, goulding r, pocock c, et al. autoimmune hemolytic anemia (aiha) is a greatly heterogeneous disease due to autoantibodies directed against erythrocytes,. Bone Marrow Transplant For Hemolytic Anemia.
From www.slideserve.com
PPT Hemolytic Anemia PowerPoint Presentation, free download ID774612 Bone Marrow Transplant For Hemolytic Anemia autoimmune haemolytic anaemia (aiha) is the most frequently reported autoimmune disease after stem. autoimmune hemolytic anemia (aiha) is a greatly heterogeneous disease due to autoantibodies directed against erythrocytes, with or without complement activation. cwynarski k, goulding r, pocock c, et al. to understand that hemolytic anemia (ha) is frequent after hematopoietic stem cell transplantation (hsct) to.. Bone Marrow Transplant For Hemolytic Anemia.
From www.medicalnewstoday.com
Bone marrow Function, diseases, transplants, and donation Bone Marrow Transplant For Hemolytic Anemia autoimmune hemolytic anemia (aiha) is a greatly heterogeneous disease due to autoantibodies directed against erythrocytes, with or without complement activation. 1 aiha can be primary or. autoimmune haemolytic anaemia (aiha) is the most frequently reported autoimmune disease after stem. to understand that hemolytic anemia (ha) is frequent after hematopoietic stem cell transplantation (hsct) to. a utoimmune. Bone Marrow Transplant For Hemolytic Anemia.
From www.youtube.com
How Sickle Cell Anemia Is Treated by Bone Marrow Transplant YouTube Bone Marrow Transplant For Hemolytic Anemia cwynarski k, goulding r, pocock c, et al. to understand that hemolytic anemia (ha) is frequent after hematopoietic stem cell transplantation (hsct) to. autoimmune haemolytic anaemia (aiha) is the most frequently reported autoimmune disease after stem. a utoimmune hemolytic anemia (aiha) occurs at an annual incidence of 1 per 100,000. autoimmune hemolytic anemia (aiha) is. Bone Marrow Transplant For Hemolytic Anemia.
From myfamilymedicinepractice.blogspot.com
My Family Medicine Practice Understanding Bone marrow Transplantation Bone Marrow Transplant For Hemolytic Anemia 1 aiha can be primary or. autoimmune haemolytic anaemia (aiha) is the most frequently reported autoimmune disease after stem. to understand that hemolytic anemia (ha) is frequent after hematopoietic stem cell transplantation (hsct) to. a utoimmune hemolytic anemia (aiha) occurs at an annual incidence of 1 per 100,000. autoimmune hemolytic anemia (aiha) is a greatly heterogeneous. Bone Marrow Transplant For Hemolytic Anemia.
From www.researchgate.net
(PDF) Peripheral blood stem cell transplantation vs. bone marrow Bone Marrow Transplant For Hemolytic Anemia a utoimmune hemolytic anemia (aiha) occurs at an annual incidence of 1 per 100,000. to understand that hemolytic anemia (ha) is frequent after hematopoietic stem cell transplantation (hsct) to. cwynarski k, goulding r, pocock c, et al. autoimmune hemolytic anemia (aiha) is a greatly heterogeneous disease due to autoantibodies directed against erythrocytes, with or without complement. Bone Marrow Transplant For Hemolytic Anemia.
From www.semanticscholar.org
Figure 1 from Acute hemolytic anemia in liver and bone marrow Bone Marrow Transplant For Hemolytic Anemia a utoimmune hemolytic anemia (aiha) occurs at an annual incidence of 1 per 100,000. autoimmune haemolytic anaemia (aiha) is the most frequently reported autoimmune disease after stem. autoimmune hemolytic anemia (aiha) is a greatly heterogeneous disease due to autoantibodies directed against erythrocytes, with or without complement activation. to understand that hemolytic anemia (ha) is frequent after. Bone Marrow Transplant For Hemolytic Anemia.