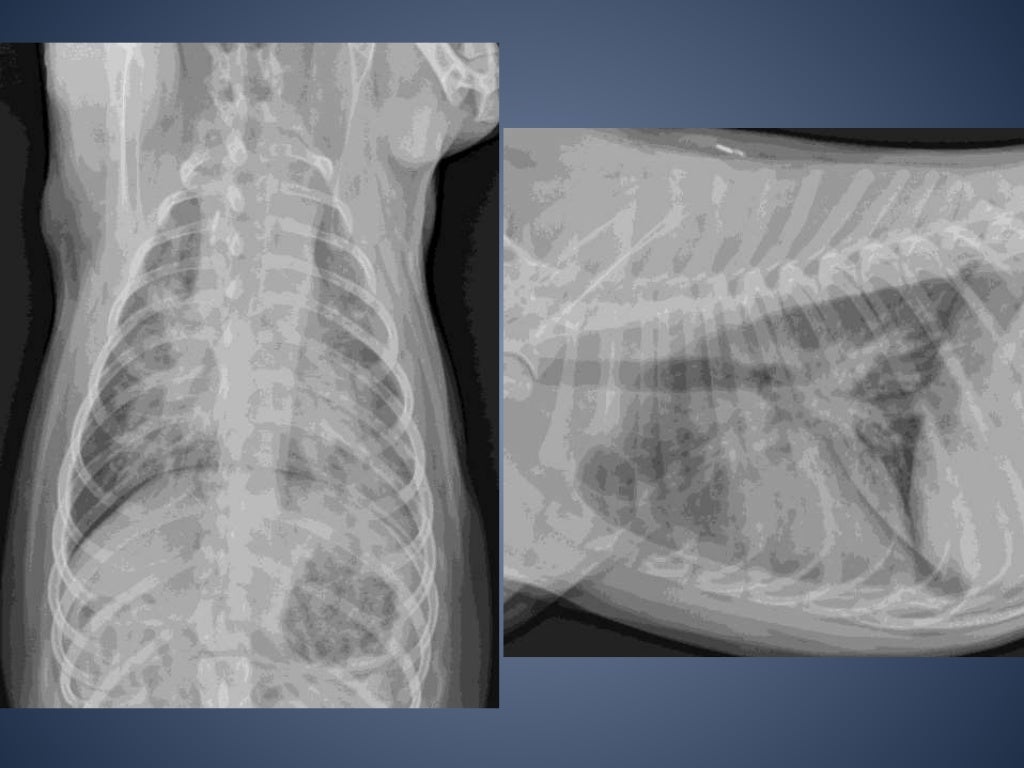
Kennel Cough Xray . Thoracic radiographs are recommended for any patient with: There’s a good chance they’re suffering from an upper respiratory infection. The prominent clinical sign of kennel cough is a cough that sounds like a goose honk that may be followed by retching and gagging. The classic symptom of kennel cough is a persistent, forceful cough. Signs of systemic illness (eg, lethargy, decreased appetite). Tracheobronchitis is usually suspected whenever a dog demonstrates the distinctive harsh cough and has a history of exposure to other susceptible or affected dogs. Are you noticing your dog has a runny nose and a sudden, harsh cough that sounds like a goose honking? In a coughing pet, the recommended screening tests could include a complete blood count, serum biochemistry profile, urinalysis, parasite tests,. Find specific details on this topic and related topics. Thoracic radiographs may support a diagnosis of b bronchiseptica or civ (table 2) but, more important, help to rule out other causes of acute cough. Learn about the veterinary topic of kennel cough (infectious tracheobronchitis) in dogs.
from 2010vets.blogspot.com
Find specific details on this topic and related topics. Tracheobronchitis is usually suspected whenever a dog demonstrates the distinctive harsh cough and has a history of exposure to other susceptible or affected dogs. There’s a good chance they’re suffering from an upper respiratory infection. Signs of systemic illness (eg, lethargy, decreased appetite). Learn about the veterinary topic of kennel cough (infectious tracheobronchitis) in dogs. In a coughing pet, the recommended screening tests could include a complete blood count, serum biochemistry profile, urinalysis, parasite tests,. Thoracic radiographs are recommended for any patient with: Thoracic radiographs may support a diagnosis of b bronchiseptica or civ (table 2) but, more important, help to rule out other causes of acute cough. The classic symptom of kennel cough is a persistent, forceful cough. The prominent clinical sign of kennel cough is a cough that sounds like a goose honk that may be followed by retching and gagging.
Veterinary, Photography and Travel Stories for vet students and pet
Kennel Cough Xray Signs of systemic illness (eg, lethargy, decreased appetite). Signs of systemic illness (eg, lethargy, decreased appetite). There’s a good chance they’re suffering from an upper respiratory infection. Tracheobronchitis is usually suspected whenever a dog demonstrates the distinctive harsh cough and has a history of exposure to other susceptible or affected dogs. Find specific details on this topic and related topics. The classic symptom of kennel cough is a persistent, forceful cough. Thoracic radiographs are recommended for any patient with: In a coughing pet, the recommended screening tests could include a complete blood count, serum biochemistry profile, urinalysis, parasite tests,. Thoracic radiographs may support a diagnosis of b bronchiseptica or civ (table 2) but, more important, help to rule out other causes of acute cough. Are you noticing your dog has a runny nose and a sudden, harsh cough that sounds like a goose honking? The prominent clinical sign of kennel cough is a cough that sounds like a goose honk that may be followed by retching and gagging. Learn about the veterinary topic of kennel cough (infectious tracheobronchitis) in dogs.
From www.pinterest.com
Chest xray of a child with a cough shows pneumonia. radiologist Kennel Cough Xray Signs of systemic illness (eg, lethargy, decreased appetite). The prominent clinical sign of kennel cough is a cough that sounds like a goose honk that may be followed by retching and gagging. Learn about the veterinary topic of kennel cough (infectious tracheobronchitis) in dogs. The classic symptom of kennel cough is a persistent, forceful cough. There’s a good chance they’re. Kennel Cough Xray.
From www.slideshare.net
The Radiographic Approach to the Coughing Dog Kennel Cough Xray Thoracic radiographs are recommended for any patient with: Tracheobronchitis is usually suspected whenever a dog demonstrates the distinctive harsh cough and has a history of exposure to other susceptible or affected dogs. In a coughing pet, the recommended screening tests could include a complete blood count, serum biochemistry profile, urinalysis, parasite tests,. The prominent clinical sign of kennel cough is. Kennel Cough Xray.
From www.slideshare.net
The Radiographic Approach to the Coughing Dog Kennel Cough Xray The classic symptom of kennel cough is a persistent, forceful cough. Tracheobronchitis is usually suspected whenever a dog demonstrates the distinctive harsh cough and has a history of exposure to other susceptible or affected dogs. There’s a good chance they’re suffering from an upper respiratory infection. Signs of systemic illness (eg, lethargy, decreased appetite). Are you noticing your dog has. Kennel Cough Xray.
From www.dunelmvetsdurham.co.uk
dogxray Dunelm Veterinary Group Kennel Cough Xray Are you noticing your dog has a runny nose and a sudden, harsh cough that sounds like a goose honking? Thoracic radiographs are recommended for any patient with: There’s a good chance they’re suffering from an upper respiratory infection. Thoracic radiographs may support a diagnosis of b bronchiseptica or civ (table 2) but, more important, help to rule out other. Kennel Cough Xray.
From pawsafe.com
How Long is a Dog with Kennel Cough Contagious? A Clear Answer PawSafe Kennel Cough Xray Learn about the veterinary topic of kennel cough (infectious tracheobronchitis) in dogs. Tracheobronchitis is usually suspected whenever a dog demonstrates the distinctive harsh cough and has a history of exposure to other susceptible or affected dogs. Thoracic radiographs are recommended for any patient with: In a coughing pet, the recommended screening tests could include a complete blood count, serum biochemistry. Kennel Cough Xray.
From www.slideshare.net
The Radiographic Approach to the Coughing Dog Kennel Cough Xray The prominent clinical sign of kennel cough is a cough that sounds like a goose honk that may be followed by retching and gagging. The classic symptom of kennel cough is a persistent, forceful cough. Learn about the veterinary topic of kennel cough (infectious tracheobronchitis) in dogs. Signs of systemic illness (eg, lethargy, decreased appetite). In a coughing pet, the. Kennel Cough Xray.
From www.patrickmahaney.com
What To Do For a Dog With Kennel Cough Kennel Cough Xray Tracheobronchitis is usually suspected whenever a dog demonstrates the distinctive harsh cough and has a history of exposure to other susceptible or affected dogs. Are you noticing your dog has a runny nose and a sudden, harsh cough that sounds like a goose honking? In a coughing pet, the recommended screening tests could include a complete blood count, serum biochemistry. Kennel Cough Xray.
From www.shutterstock.com
6,635 imágenes de Vertebrae xray Imágenes, fotos y vectores de stock Kennel Cough Xray In a coughing pet, the recommended screening tests could include a complete blood count, serum biochemistry profile, urinalysis, parasite tests,. The prominent clinical sign of kennel cough is a cough that sounds like a goose honk that may be followed by retching and gagging. Thoracic radiographs may support a diagnosis of b bronchiseptica or civ (table 2) but, more important,. Kennel Cough Xray.
From www.slideshare.net
The Radiographic Approach to the Coughing Dog Kennel Cough Xray The prominent clinical sign of kennel cough is a cough that sounds like a goose honk that may be followed by retching and gagging. Thoracic radiographs are recommended for any patient with: Find specific details on this topic and related topics. There’s a good chance they’re suffering from an upper respiratory infection. Signs of systemic illness (eg, lethargy, decreased appetite).. Kennel Cough Xray.
From www.cliniciansbrief.com
Canine Infectious Respiratory Disease Complex Clinician's Brief Kennel Cough Xray Thoracic radiographs are recommended for any patient with: Find specific details on this topic and related topics. The classic symptom of kennel cough is a persistent, forceful cough. Thoracic radiographs may support a diagnosis of b bronchiseptica or civ (table 2) but, more important, help to rule out other causes of acute cough. Signs of systemic illness (eg, lethargy, decreased. Kennel Cough Xray.
From iloveveterinary.com
Why is my cat coughing? I Love Veterinary Kennel Cough Xray In a coughing pet, the recommended screening tests could include a complete blood count, serum biochemistry profile, urinalysis, parasite tests,. Signs of systemic illness (eg, lethargy, decreased appetite). The prominent clinical sign of kennel cough is a cough that sounds like a goose honk that may be followed by retching and gagging. Learn about the veterinary topic of kennel cough. Kennel Cough Xray.
From landing.signalpet.com
Imaging the Coughing Dog Kennel Cough Xray Signs of systemic illness (eg, lethargy, decreased appetite). Thoracic radiographs may support a diagnosis of b bronchiseptica or civ (table 2) but, more important, help to rule out other causes of acute cough. The classic symptom of kennel cough is a persistent, forceful cough. There’s a good chance they’re suffering from an upper respiratory infection. Are you noticing your dog. Kennel Cough Xray.
From www.thesprucepets.com
Kennel Cough in Dogs Bordetella and Other Causes Kennel Cough Xray The classic symptom of kennel cough is a persistent, forceful cough. Thoracic radiographs are recommended for any patient with: The prominent clinical sign of kennel cough is a cough that sounds like a goose honk that may be followed by retching and gagging. There’s a good chance they’re suffering from an upper respiratory infection. Signs of systemic illness (eg, lethargy,. Kennel Cough Xray.
From www.slideshare.net
The Radiographic Approach to the Coughing Dog Kennel Cough Xray Signs of systemic illness (eg, lethargy, decreased appetite). The prominent clinical sign of kennel cough is a cough that sounds like a goose honk that may be followed by retching and gagging. The classic symptom of kennel cough is a persistent, forceful cough. Thoracic radiographs are recommended for any patient with: There’s a good chance they’re suffering from an upper. Kennel Cough Xray.
From www.cliniciansbrief.com
Chronic & Persistent Coughing in a Dog Clinician's Brief Kennel Cough Xray The prominent clinical sign of kennel cough is a cough that sounds like a goose honk that may be followed by retching and gagging. Thoracic radiographs may support a diagnosis of b bronchiseptica or civ (table 2) but, more important, help to rule out other causes of acute cough. There’s a good chance they’re suffering from an upper respiratory infection.. Kennel Cough Xray.
From www.slideshare.net
The Radiographic Approach to the Coughing Dog Kennel Cough Xray The classic symptom of kennel cough is a persistent, forceful cough. The prominent clinical sign of kennel cough is a cough that sounds like a goose honk that may be followed by retching and gagging. There’s a good chance they’re suffering from an upper respiratory infection. Learn about the veterinary topic of kennel cough (infectious tracheobronchitis) in dogs. Signs of. Kennel Cough Xray.
From www.slideshare.net
The Radiographic Approach to the Coughing Dog Kennel Cough Xray Learn about the veterinary topic of kennel cough (infectious tracheobronchitis) in dogs. Are you noticing your dog has a runny nose and a sudden, harsh cough that sounds like a goose honking? Thoracic radiographs may support a diagnosis of b bronchiseptica or civ (table 2) but, more important, help to rule out other causes of acute cough. There’s a good. Kennel Cough Xray.
From landing.signalpet.com
Imaging the Coughing Dog Kennel Cough Xray In a coughing pet, the recommended screening tests could include a complete blood count, serum biochemistry profile, urinalysis, parasite tests,. Signs of systemic illness (eg, lethargy, decreased appetite). There’s a good chance they’re suffering from an upper respiratory infection. Tracheobronchitis is usually suspected whenever a dog demonstrates the distinctive harsh cough and has a history of exposure to other susceptible. Kennel Cough Xray.
From www.mspca.org
Radiographic Approach to the Coughing Pet • MSPCAAngell Kennel Cough Xray The prominent clinical sign of kennel cough is a cough that sounds like a goose honk that may be followed by retching and gagging. Tracheobronchitis is usually suspected whenever a dog demonstrates the distinctive harsh cough and has a history of exposure to other susceptible or affected dogs. There’s a good chance they’re suffering from an upper respiratory infection. Find. Kennel Cough Xray.
From www.mspca.org
Radiographic Approach to the Coughing Pet • MSPCAAngell Kennel Cough Xray The prominent clinical sign of kennel cough is a cough that sounds like a goose honk that may be followed by retching and gagging. Signs of systemic illness (eg, lethargy, decreased appetite). In a coughing pet, the recommended screening tests could include a complete blood count, serum biochemistry profile, urinalysis, parasite tests,. Thoracic radiographs are recommended for any patient with:. Kennel Cough Xray.
From bahatiandfreys.com
The TRUTH Behind Kennel Cough Kennel Cough Xray Learn about the veterinary topic of kennel cough (infectious tracheobronchitis) in dogs. The classic symptom of kennel cough is a persistent, forceful cough. Thoracic radiographs may support a diagnosis of b bronchiseptica or civ (table 2) but, more important, help to rule out other causes of acute cough. Are you noticing your dog has a runny nose and a sudden,. Kennel Cough Xray.
From 2010vets.blogspot.com
Veterinary, Photography and Travel Stories for vet students and pet Kennel Cough Xray The classic symptom of kennel cough is a persistent, forceful cough. The prominent clinical sign of kennel cough is a cough that sounds like a goose honk that may be followed by retching and gagging. Find specific details on this topic and related topics. Thoracic radiographs may support a diagnosis of b bronchiseptica or civ (table 2) but, more important,. Kennel Cough Xray.
From todaysveterinarypractice.com
Evaluating and Managing Chronic Cough in Dogs Today's Veterinary Practice Kennel Cough Xray There’s a good chance they’re suffering from an upper respiratory infection. Thoracic radiographs are recommended for any patient with: The prominent clinical sign of kennel cough is a cough that sounds like a goose honk that may be followed by retching and gagging. Signs of systemic illness (eg, lethargy, decreased appetite). Find specific details on this topic and related topics.. Kennel Cough Xray.
From www.slideshare.net
The Radiographic Approach to the Coughing Dog Kennel Cough Xray Thoracic radiographs may support a diagnosis of b bronchiseptica or civ (table 2) but, more important, help to rule out other causes of acute cough. Learn about the veterinary topic of kennel cough (infectious tracheobronchitis) in dogs. Are you noticing your dog has a runny nose and a sudden, harsh cough that sounds like a goose honking? Signs of systemic. Kennel Cough Xray.
From www.slideshare.net
The Radiographic Approach to the Coughing Dog Kennel Cough Xray The prominent clinical sign of kennel cough is a cough that sounds like a goose honk that may be followed by retching and gagging. There’s a good chance they’re suffering from an upper respiratory infection. Thoracic radiographs are recommended for any patient with: In a coughing pet, the recommended screening tests could include a complete blood count, serum biochemistry profile,. Kennel Cough Xray.
From perthvetcare.com.au
Kennel Cough in Dogs (Canine Cough) Perth Vet Care Kennel Cough Xray Signs of systemic illness (eg, lethargy, decreased appetite). The prominent clinical sign of kennel cough is a cough that sounds like a goose honk that may be followed by retching and gagging. Are you noticing your dog has a runny nose and a sudden, harsh cough that sounds like a goose honking? Thoracic radiographs may support a diagnosis of b. Kennel Cough Xray.
From 2010vets.blogspot.com
Veterinary, Photography and Travel Stories for vet students and pet Kennel Cough Xray Tracheobronchitis is usually suspected whenever a dog demonstrates the distinctive harsh cough and has a history of exposure to other susceptible or affected dogs. There’s a good chance they’re suffering from an upper respiratory infection. In a coughing pet, the recommended screening tests could include a complete blood count, serum biochemistry profile, urinalysis, parasite tests,. The classic symptom of kennel. Kennel Cough Xray.
From 2010vets.blogspot.com
Veterinary, Photography and Travel Stories for vet students and pet Kennel Cough Xray Find specific details on this topic and related topics. Signs of systemic illness (eg, lethargy, decreased appetite). The prominent clinical sign of kennel cough is a cough that sounds like a goose honk that may be followed by retching and gagging. Learn about the veterinary topic of kennel cough (infectious tracheobronchitis) in dogs. Are you noticing your dog has a. Kennel Cough Xray.
From 2010vets.blogspot.com
Veterinary, Photography and Travel Stories for vet students and pet Kennel Cough Xray Tracheobronchitis is usually suspected whenever a dog demonstrates the distinctive harsh cough and has a history of exposure to other susceptible or affected dogs. Thoracic radiographs may support a diagnosis of b bronchiseptica or civ (table 2) but, more important, help to rule out other causes of acute cough. There’s a good chance they’re suffering from an upper respiratory infection.. Kennel Cough Xray.
From blog.vetbloom.com
Imaging diagnosis Coughing German Shepherd VetBloom blog Kennel Cough Xray Are you noticing your dog has a runny nose and a sudden, harsh cough that sounds like a goose honking? Learn about the veterinary topic of kennel cough (infectious tracheobronchitis) in dogs. Thoracic radiographs are recommended for any patient with: Thoracic radiographs may support a diagnosis of b bronchiseptica or civ (table 2) but, more important, help to rule out. Kennel Cough Xray.
From www.pinterest.com
Pneumonia Rad Dog coughing, Kennel, Cough Kennel Cough Xray The prominent clinical sign of kennel cough is a cough that sounds like a goose honk that may be followed by retching and gagging. The classic symptom of kennel cough is a persistent, forceful cough. Find specific details on this topic and related topics. Learn about the veterinary topic of kennel cough (infectious tracheobronchitis) in dogs. Tracheobronchitis is usually suspected. Kennel Cough Xray.
From www.pinterest.com
Coughing cats are NOT cardiac VETgirl Veterinary Continuing Education Kennel Cough Xray Signs of systemic illness (eg, lethargy, decreased appetite). Find specific details on this topic and related topics. The prominent clinical sign of kennel cough is a cough that sounds like a goose honk that may be followed by retching and gagging. Tracheobronchitis is usually suspected whenever a dog demonstrates the distinctive harsh cough and has a history of exposure to. Kennel Cough Xray.
From www.pdsa.org.uk
Kennel Cough PDSA Kennel Cough Xray The prominent clinical sign of kennel cough is a cough that sounds like a goose honk that may be followed by retching and gagging. Find specific details on this topic and related topics. Thoracic radiographs may support a diagnosis of b bronchiseptica or civ (table 2) but, more important, help to rule out other causes of acute cough. In a. Kennel Cough Xray.
From www.slideshare.net
The Radiographic Approach to the Coughing Dog Kennel Cough Xray The classic symptom of kennel cough is a persistent, forceful cough. Are you noticing your dog has a runny nose and a sudden, harsh cough that sounds like a goose honking? The prominent clinical sign of kennel cough is a cough that sounds like a goose honk that may be followed by retching and gagging. There’s a good chance they’re. Kennel Cough Xray.
From bergviewvet.co.za
Kennel Cough 6 things you should know Bergview Veterinary Hospital Kennel Cough Xray Find specific details on this topic and related topics. The classic symptom of kennel cough is a persistent, forceful cough. In a coughing pet, the recommended screening tests could include a complete blood count, serum biochemistry profile, urinalysis, parasite tests,. Thoracic radiographs are recommended for any patient with: Tracheobronchitis is usually suspected whenever a dog demonstrates the distinctive harsh cough. Kennel Cough Xray.