What's A Germ Cell Tumor . Germ cell tumors are malignant (cancerous) or nonmalignant (benign, noncancerous) tumors that are comprised mostly of germ cells. If you just found out that you or your child has a germ cell tumor, you may have a lot of questions about what it means and. Germ cell tumours most often develop in the ovary or testicle because this is where most germ cells are. Roughly 20% are cancerous, and the remainders are noncancerous. The tumors may be cancerous or not cancerous. But germ cells can sometimes be left behind. Germ cell tumors are growths of cells that form from reproductive cells. Germ cell tumors are benign (noncancerous) or malignant (cancerous) growths that arise from specialized cells called germ cells, which develop in a baby before birth (a fetus). Germ cell tumors are abnormal growths that form in the cells that become eggs or sperm.
from weillcornellbrainandspine.org
Germ cell tumors are growths of cells that form from reproductive cells. If you just found out that you or your child has a germ cell tumor, you may have a lot of questions about what it means and. But germ cells can sometimes be left behind. Germ cell tumours most often develop in the ovary or testicle because this is where most germ cells are. The tumors may be cancerous or not cancerous. Roughly 20% are cancerous, and the remainders are noncancerous. Germ cell tumors are malignant (cancerous) or nonmalignant (benign, noncancerous) tumors that are comprised mostly of germ cells. Germ cell tumors are abnormal growths that form in the cells that become eggs or sperm. Germ cell tumors are benign (noncancerous) or malignant (cancerous) growths that arise from specialized cells called germ cells, which develop in a baby before birth (a fetus).
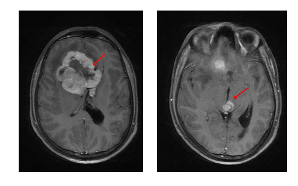
Surgery for Germ Cell Tumors in the Brain Weill Cornell Brain and
What's A Germ Cell Tumor Germ cell tumors are benign (noncancerous) or malignant (cancerous) growths that arise from specialized cells called germ cells, which develop in a baby before birth (a fetus). Germ cell tumours most often develop in the ovary or testicle because this is where most germ cells are. Germ cell tumors are abnormal growths that form in the cells that become eggs or sperm. But germ cells can sometimes be left behind. Germ cell tumors are growths of cells that form from reproductive cells. Germ cell tumors are malignant (cancerous) or nonmalignant (benign, noncancerous) tumors that are comprised mostly of germ cells. If you just found out that you or your child has a germ cell tumor, you may have a lot of questions about what it means and. Germ cell tumors are benign (noncancerous) or malignant (cancerous) growths that arise from specialized cells called germ cells, which develop in a baby before birth (a fetus). Roughly 20% are cancerous, and the remainders are noncancerous. The tumors may be cancerous or not cancerous.
From www.nejm.org
Hematologic Neoplasia Associated with Primary Mediastinal GermCell What's A Germ Cell Tumor Germ cell tumors are malignant (cancerous) or nonmalignant (benign, noncancerous) tumors that are comprised mostly of germ cells. But germ cells can sometimes be left behind. If you just found out that you or your child has a germ cell tumor, you may have a lot of questions about what it means and. Roughly 20% are cancerous, and the remainders. What's A Germ Cell Tumor.
From chekco.com
[So sánh] Đột biến di truyền và Đột biến khối u What's A Germ Cell Tumor Roughly 20% are cancerous, and the remainders are noncancerous. Germ cell tumors are abnormal growths that form in the cells that become eggs or sperm. Germ cell tumors are benign (noncancerous) or malignant (cancerous) growths that arise from specialized cells called germ cells, which develop in a baby before birth (a fetus). Germ cell tumours most often develop in the. What's A Germ Cell Tumor.
From www.familycarers.org.uk
Germ Cell Tumors What They Are and Treatment Options Health And Beauty What's A Germ Cell Tumor Germ cell tumours most often develop in the ovary or testicle because this is where most germ cells are. The tumors may be cancerous or not cancerous. Roughly 20% are cancerous, and the remainders are noncancerous. Germ cell tumors are benign (noncancerous) or malignant (cancerous) growths that arise from specialized cells called germ cells, which develop in a baby before. What's A Germ Cell Tumor.
From lookfordiagnosis.com
Germ cells; Gametes; GermLine Cells What's A Germ Cell Tumor The tumors may be cancerous or not cancerous. But germ cells can sometimes be left behind. Germ cell tumors are benign (noncancerous) or malignant (cancerous) growths that arise from specialized cells called germ cells, which develop in a baby before birth (a fetus). Germ cell tumours most often develop in the ovary or testicle because this is where most germ. What's A Germ Cell Tumor.
From www.frontiersin.org
Frontiers Primordial Germ Cell Specification in Vertebrate Embryos What's A Germ Cell Tumor Germ cell tumors are malignant (cancerous) or nonmalignant (benign, noncancerous) tumors that are comprised mostly of germ cells. Roughly 20% are cancerous, and the remainders are noncancerous. The tumors may be cancerous or not cancerous. Germ cell tumors are abnormal growths that form in the cells that become eggs or sperm. But germ cells can sometimes be left behind. If. What's A Germ Cell Tumor.
From accessmedicine.mhmedical.com
Ovarian Germ Cell and Sex CordStromal Tumors Williams Gynecology, 3e What's A Germ Cell Tumor But germ cells can sometimes be left behind. Germ cell tumors are benign (noncancerous) or malignant (cancerous) growths that arise from specialized cells called germ cells, which develop in a baby before birth (a fetus). The tumors may be cancerous or not cancerous. If you just found out that you or your child has a germ cell tumor, you may. What's A Germ Cell Tumor.
From www.mdpi.com
IJMS Free FullText miRNAs and Biomarkers in Testicular Germ Cell What's A Germ Cell Tumor Germ cell tumours most often develop in the ovary or testicle because this is where most germ cells are. The tumors may be cancerous or not cancerous. Germ cell tumors are benign (noncancerous) or malignant (cancerous) growths that arise from specialized cells called germ cells, which develop in a baby before birth (a fetus). But germ cells can sometimes be. What's A Germ Cell Tumor.
From www.cell.com
Pathway to Totipotency Lessons from Germ Cells Cell What's A Germ Cell Tumor The tumors may be cancerous or not cancerous. Germ cell tumors are benign (noncancerous) or malignant (cancerous) growths that arise from specialized cells called germ cells, which develop in a baby before birth (a fetus). But germ cells can sometimes be left behind. Germ cell tumors are malignant (cancerous) or nonmalignant (benign, noncancerous) tumors that are comprised mostly of germ. What's A Germ Cell Tumor.
From www.kayawell.com
Germ cell tumors Symptoms and causes What's A Germ Cell Tumor Roughly 20% are cancerous, and the remainders are noncancerous. If you just found out that you or your child has a germ cell tumor, you may have a lot of questions about what it means and. Germ cell tumors are growths of cells that form from reproductive cells. Germ cell tumors are abnormal growths that form in the cells that. What's A Germ Cell Tumor.
From obgynkey.com
Germ Cell Tumor Obgyn Key What's A Germ Cell Tumor Roughly 20% are cancerous, and the remainders are noncancerous. But germ cells can sometimes be left behind. If you just found out that you or your child has a germ cell tumor, you may have a lot of questions about what it means and. Germ cell tumors are benign (noncancerous) or malignant (cancerous) growths that arise from specialized cells called. What's A Germ Cell Tumor.
From aldiwa.net
فهم سرطان الخلايا الجرثومية لدى الأطفال والبالغين الدواء What's A Germ Cell Tumor The tumors may be cancerous or not cancerous. Germ cell tumors are benign (noncancerous) or malignant (cancerous) growths that arise from specialized cells called germ cells, which develop in a baby before birth (a fetus). Germ cell tumors are growths of cells that form from reproductive cells. Germ cell tumours most often develop in the ovary or testicle because this. What's A Germ Cell Tumor.
From www.youtube.com
germ cell tumor YouTube What's A Germ Cell Tumor Germ cell tumors are abnormal growths that form in the cells that become eggs or sperm. Germ cell tumours most often develop in the ovary or testicle because this is where most germ cells are. But germ cells can sometimes be left behind. Germ cell tumors are benign (noncancerous) or malignant (cancerous) growths that arise from specialized cells called germ. What's A Germ Cell Tumor.
From www.researchgate.net
CLASSIFICATION OF GERM CELL TUMORS OF THE MEDIASTINUM Download What's A Germ Cell Tumor Germ cell tumors are growths of cells that form from reproductive cells. The tumors may be cancerous or not cancerous. If you just found out that you or your child has a germ cell tumor, you may have a lot of questions about what it means and. Germ cell tumors are abnormal growths that form in the cells that become. What's A Germ Cell Tumor.
From www.researchgate.net
Representative example of a mixed germ cell tumor composed of seminoma What's A Germ Cell Tumor Germ cell tumours most often develop in the ovary or testicle because this is where most germ cells are. Germ cell tumors are benign (noncancerous) or malignant (cancerous) growths that arise from specialized cells called germ cells, which develop in a baby before birth (a fetus). But germ cells can sometimes be left behind. Germ cell tumors are growths of. What's A Germ Cell Tumor.
From www.slideserve.com
PPT Modern Pathology (2007) 20, 320325 Sean K Lau, Lawrence M Weiss What's A Germ Cell Tumor If you just found out that you or your child has a germ cell tumor, you may have a lot of questions about what it means and. Germ cell tumors are abnormal growths that form in the cells that become eggs or sperm. Germ cell tumours most often develop in the ovary or testicle because this is where most germ. What's A Germ Cell Tumor.
From healthjade.net
Granulosa cell tumor causes, symptoms, diagnosis, staging, treatment What's A Germ Cell Tumor Germ cell tumors are abnormal growths that form in the cells that become eggs or sperm. Germ cell tumors are growths of cells that form from reproductive cells. Germ cell tumours most often develop in the ovary or testicle because this is where most germ cells are. Germ cell tumors are malignant (cancerous) or nonmalignant (benign, noncancerous) tumors that are. What's A Germ Cell Tumor.
From www.mdpi.com
IJMS Free FullText Spermatocytic Tumor A Review What's A Germ Cell Tumor The tumors may be cancerous or not cancerous. Roughly 20% are cancerous, and the remainders are noncancerous. Germ cell tumors are abnormal growths that form in the cells that become eggs or sperm. Germ cell tumors are malignant (cancerous) or nonmalignant (benign, noncancerous) tumors that are comprised mostly of germ cells. If you just found out that you or your. What's A Germ Cell Tumor.
From www.slideserve.com
PPT Bradley J. Monk, M.D. Professor and Director Division of What's A Germ Cell Tumor The tumors may be cancerous or not cancerous. Germ cell tumors are abnormal growths that form in the cells that become eggs or sperm. Roughly 20% are cancerous, and the remainders are noncancerous. Germ cell tumours most often develop in the ovary or testicle because this is where most germ cells are. Germ cell tumors are benign (noncancerous) or malignant. What's A Germ Cell Tumor.
From weillcornellbrainandspine.org
Surgery for Germ Cell Tumors in the Brain Weill Cornell Brain and What's A Germ Cell Tumor Roughly 20% are cancerous, and the remainders are noncancerous. Germ cell tumours most often develop in the ovary or testicle because this is where most germ cells are. Germ cell tumors are growths of cells that form from reproductive cells. If you just found out that you or your child has a germ cell tumor, you may have a lot. What's A Germ Cell Tumor.
From www.cureus.com
Cureus A Case of NonGerminomatous Germ Cell Tumors of the Frontal What's A Germ Cell Tumor Germ cell tumors are benign (noncancerous) or malignant (cancerous) growths that arise from specialized cells called germ cells, which develop in a baby before birth (a fetus). Roughly 20% are cancerous, and the remainders are noncancerous. If you just found out that you or your child has a germ cell tumor, you may have a lot of questions about what. What's A Germ Cell Tumor.
From radiogyan.com
Germ Cell Tumors Subtypes Visual Mnemonics RadioGyan What's A Germ Cell Tumor Roughly 20% are cancerous, and the remainders are noncancerous. But germ cells can sometimes be left behind. If you just found out that you or your child has a germ cell tumor, you may have a lot of questions about what it means and. Germ cell tumors are growths of cells that form from reproductive cells. Germ cell tumors are. What's A Germ Cell Tumor.
From www.mdpi.com
IJMS Free FullText Human Germ Cell Tumors are Developmental What's A Germ Cell Tumor Germ cell tumors are abnormal growths that form in the cells that become eggs or sperm. Roughly 20% are cancerous, and the remainders are noncancerous. Germ cell tumors are growths of cells that form from reproductive cells. Germ cell tumors are benign (noncancerous) or malignant (cancerous) growths that arise from specialized cells called germ cells, which develop in a baby. What's A Germ Cell Tumor.
From galleryhip.com
What Does Testicular Cancer Look Like From The Outside A common germ What's A Germ Cell Tumor Germ cell tumors are abnormal growths that form in the cells that become eggs or sperm. Germ cell tumors are benign (noncancerous) or malignant (cancerous) growths that arise from specialized cells called germ cells, which develop in a baby before birth (a fetus). Germ cell tumors are growths of cells that form from reproductive cells. Germ cell tumours most often. What's A Germ Cell Tumor.
From www.researchgate.net
The pathology findings of the patient with a mixed germ cell tumor What's A Germ Cell Tumor Roughly 20% are cancerous, and the remainders are noncancerous. Germ cell tumours most often develop in the ovary or testicle because this is where most germ cells are. Germ cell tumors are malignant (cancerous) or nonmalignant (benign, noncancerous) tumors that are comprised mostly of germ cells. Germ cell tumors are abnormal growths that form in the cells that become eggs. What's A Germ Cell Tumor.
From www.mdpi.com
Cancers Free FullText Pediatric Extracranial Germ Cell Tumors What's A Germ Cell Tumor Germ cell tumors are abnormal growths that form in the cells that become eggs or sperm. Roughly 20% are cancerous, and the remainders are noncancerous. Germ cell tumors are malignant (cancerous) or nonmalignant (benign, noncancerous) tumors that are comprised mostly of germ cells. Germ cell tumors are benign (noncancerous) or malignant (cancerous) growths that arise from specialized cells called germ. What's A Germ Cell Tumor.
From www.osmosis.org
Germ cell ovarian tumor Video, Anatomy & Definition Osmosis What's A Germ Cell Tumor But germ cells can sometimes be left behind. Germ cell tumours most often develop in the ovary or testicle because this is where most germ cells are. If you just found out that you or your child has a germ cell tumor, you may have a lot of questions about what it means and. Germ cell tumors are benign (noncancerous). What's A Germ Cell Tumor.
From geneticliteracyproject.org
Viewpoint We should be careful about 'crossing the germline' in gene What's A Germ Cell Tumor Germ cell tumors are abnormal growths that form in the cells that become eggs or sperm. The tumors may be cancerous or not cancerous. But germ cells can sometimes be left behind. Germ cell tumors are malignant (cancerous) or nonmalignant (benign, noncancerous) tumors that are comprised mostly of germ cells. Germ cell tumors are growths of cells that form from. What's A Germ Cell Tumor.
From facts.net
40 Facts About Extracranial Germ Cell Tumor What's A Germ Cell Tumor Germ cell tumors are abnormal growths that form in the cells that become eggs or sperm. Germ cell tumours most often develop in the ovary or testicle because this is where most germ cells are. Germ cell tumors are benign (noncancerous) or malignant (cancerous) growths that arise from specialized cells called germ cells, which develop in a baby before birth. What's A Germ Cell Tumor.
From www.researchgate.net
Timeline of Germline Specification and Germ Cell Marker Expression. A What's A Germ Cell Tumor Germ cell tumours most often develop in the ovary or testicle because this is where most germ cells are. Germ cell tumors are growths of cells that form from reproductive cells. Germ cell tumors are benign (noncancerous) or malignant (cancerous) growths that arise from specialized cells called germ cells, which develop in a baby before birth (a fetus). But germ. What's A Germ Cell Tumor.
From www.slideshare.net
Germ cell tumors of ovary What's A Germ Cell Tumor Germ cell tumors are malignant (cancerous) or nonmalignant (benign, noncancerous) tumors that are comprised mostly of germ cells. Roughly 20% are cancerous, and the remainders are noncancerous. The tumors may be cancerous or not cancerous. Germ cell tumors are benign (noncancerous) or malignant (cancerous) growths that arise from specialized cells called germ cells, which develop in a baby before birth. What's A Germ Cell Tumor.
From www.humpath.com
germ cell tumors Human pathology What's A Germ Cell Tumor Germ cell tumours most often develop in the ovary or testicle because this is where most germ cells are. But germ cells can sometimes be left behind. If you just found out that you or your child has a germ cell tumor, you may have a lot of questions about what it means and. Germ cell tumors are abnormal growths. What's A Germ Cell Tumor.
From www.jci.org
JCI Germ cell tumors and associated hematologic malignancies evolve What's A Germ Cell Tumor The tumors may be cancerous or not cancerous. Germ cell tumours most often develop in the ovary or testicle because this is where most germ cells are. Roughly 20% are cancerous, and the remainders are noncancerous. Germ cell tumors are benign (noncancerous) or malignant (cancerous) growths that arise from specialized cells called germ cells, which develop in a baby before. What's A Germ Cell Tumor.
From www.thelancet.com
Testicular germ cell tumours The Lancet What's A Germ Cell Tumor Germ cell tumors are abnormal growths that form in the cells that become eggs or sperm. Germ cell tumours most often develop in the ovary or testicle because this is where most germ cells are. Germ cell tumors are benign (noncancerous) or malignant (cancerous) growths that arise from specialized cells called germ cells, which develop in a baby before birth. What's A Germ Cell Tumor.
From www.researchgate.net
Germ cell tumors in prepubertal patients (n = 54, age 014 years). Most What's A Germ Cell Tumor Germ cell tumours most often develop in the ovary or testicle because this is where most germ cells are. Germ cell tumors are growths of cells that form from reproductive cells. Germ cell tumors are malignant (cancerous) or nonmalignant (benign, noncancerous) tumors that are comprised mostly of germ cells. But germ cells can sometimes be left behind. Germ cell tumors. What's A Germ Cell Tumor.
From www.cell.com
of Germ Cells, Stem Cells, and Early Embryos Developmental What's A Germ Cell Tumor Germ cell tumors are malignant (cancerous) or nonmalignant (benign, noncancerous) tumors that are comprised mostly of germ cells. Germ cell tumors are benign (noncancerous) or malignant (cancerous) growths that arise from specialized cells called germ cells, which develop in a baby before birth (a fetus). Germ cell tumors are abnormal growths that form in the cells that become eggs or. What's A Germ Cell Tumor.