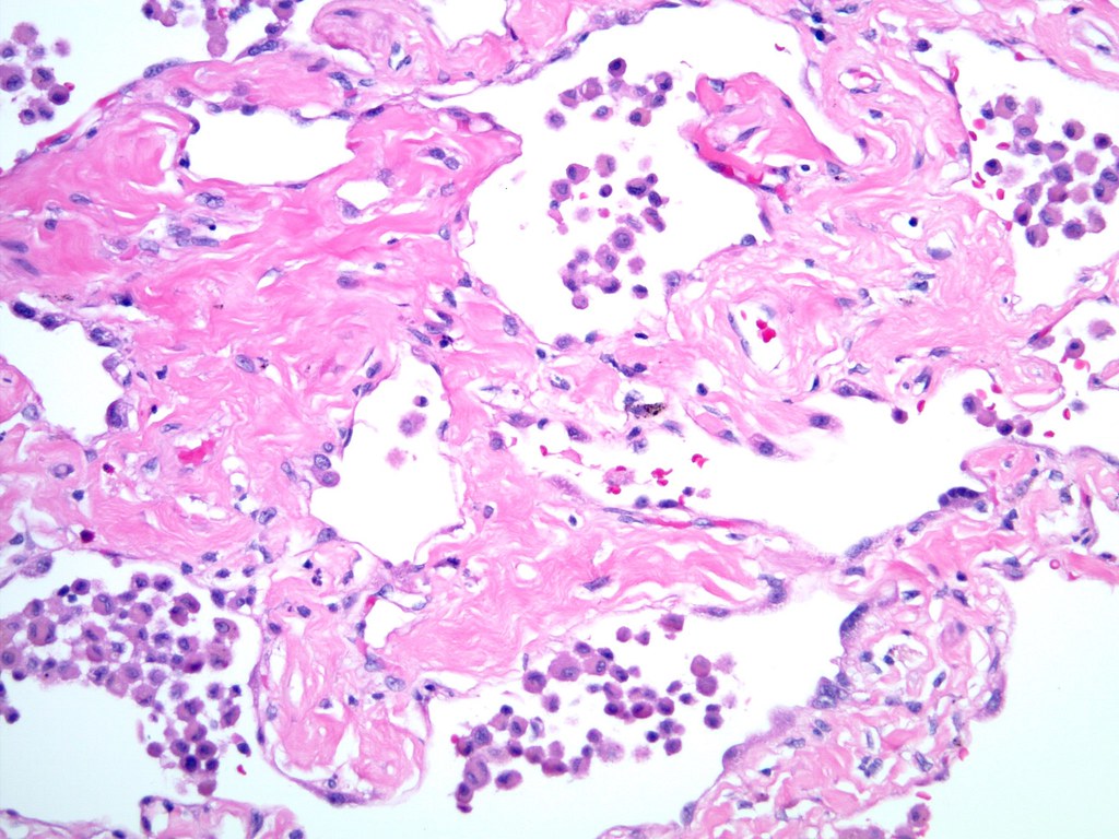
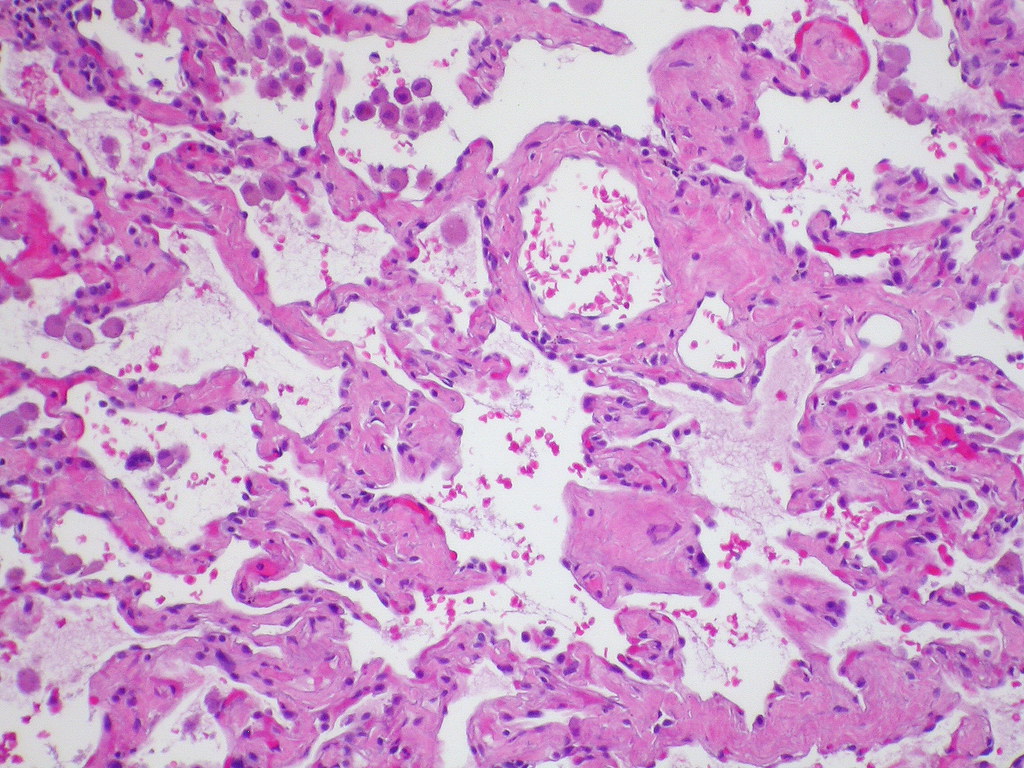
Smoking Related Interstitial Fibrosis Pathology Outlines . This review focuses on three selected topics of current interest that are related to chronic fibrosing lung disorders and are important for pathologists. This paper reviews the pathologic features of srif in detail, its differentiation from more ominous interstitial fibrosing processes, and the clinical implications of its diagnosis. Most patients are asymptomatic or only mildly symptomatic, and the clinical course is stable in most. A cystic space without epithelial lining, predictor of pneumothorax (am j surg pathol 2014;38:339) smoking related changes including. This paper reviews the pathologic.
from jcp.bmj.com
A cystic space without epithelial lining, predictor of pneumothorax (am j surg pathol 2014;38:339) smoking related changes including. This paper reviews the pathologic features of srif in detail, its differentiation from more ominous interstitial fibrosing processes, and the clinical implications of its diagnosis. Most patients are asymptomatic or only mildly symptomatic, and the clinical course is stable in most. This review focuses on three selected topics of current interest that are related to chronic fibrosing lung disorders and are important for pathologists. This paper reviews the pathologic.
Smokingrelated interstitial fibrosis (SRIF) pathologic findings and distinction from other
Smoking Related Interstitial Fibrosis Pathology Outlines This paper reviews the pathologic. This paper reviews the pathologic features of srif in detail, its differentiation from more ominous interstitial fibrosing processes, and the clinical implications of its diagnosis. This paper reviews the pathologic. A cystic space without epithelial lining, predictor of pneumothorax (am j surg pathol 2014;38:339) smoking related changes including. Most patients are asymptomatic or only mildly symptomatic, and the clinical course is stable in most. This review focuses on three selected topics of current interest that are related to chronic fibrosing lung disorders and are important for pathologists.
From www.surgpath.theclinics.com
SmokingRelated Interstitial Lung Disease Surgical Pathology Clinics Smoking Related Interstitial Fibrosis Pathology Outlines This review focuses on three selected topics of current interest that are related to chronic fibrosing lung disorders and are important for pathologists. Most patients are asymptomatic or only mildly symptomatic, and the clinical course is stable in most. This paper reviews the pathologic features of srif in detail, its differentiation from more ominous interstitial fibrosing processes, and the clinical. Smoking Related Interstitial Fibrosis Pathology Outlines.
From www.modernpathology.org
Smokingrelated interstitial fibrosis (SRIF), pathogenesis and treatment of usual interstitial Smoking Related Interstitial Fibrosis Pathology Outlines This review focuses on three selected topics of current interest that are related to chronic fibrosing lung disorders and are important for pathologists. Most patients are asymptomatic or only mildly symptomatic, and the clinical course is stable in most. This paper reviews the pathologic. A cystic space without epithelial lining, predictor of pneumothorax (am j surg pathol 2014;38:339) smoking related. Smoking Related Interstitial Fibrosis Pathology Outlines.
From jcp.bmj.com
Smokingrelated interstitial fibrosis (SRIF) pathologic findings and distinction from other Smoking Related Interstitial Fibrosis Pathology Outlines This paper reviews the pathologic features of srif in detail, its differentiation from more ominous interstitial fibrosing processes, and the clinical implications of its diagnosis. Most patients are asymptomatic or only mildly symptomatic, and the clinical course is stable in most. This paper reviews the pathologic. This review focuses on three selected topics of current interest that are related to. Smoking Related Interstitial Fibrosis Pathology Outlines.
From www.dovepress.com
Smokingrelated interstitial fibrosis combined with pulmonary emphysem COPD Smoking Related Interstitial Fibrosis Pathology Outlines A cystic space without epithelial lining, predictor of pneumothorax (am j surg pathol 2014;38:339) smoking related changes including. This paper reviews the pathologic features of srif in detail, its differentiation from more ominous interstitial fibrosing processes, and the clinical implications of its diagnosis. Most patients are asymptomatic or only mildly symptomatic, and the clinical course is stable in most. This. Smoking Related Interstitial Fibrosis Pathology Outlines.
From www.6patterns.org
Smoking Related Interstitial Fibrosis — 6 Patterns of Pulmonary Pathology Smoking Related Interstitial Fibrosis Pathology Outlines A cystic space without epithelial lining, predictor of pneumothorax (am j surg pathol 2014;38:339) smoking related changes including. This paper reviews the pathologic. This review focuses on three selected topics of current interest that are related to chronic fibrosing lung disorders and are important for pathologists. This paper reviews the pathologic features of srif in detail, its differentiation from more. Smoking Related Interstitial Fibrosis Pathology Outlines.
From jcp.bmj.com
Smokingrelated interstitial fibrosis (SRIF) pathologic findings and distinction from other Smoking Related Interstitial Fibrosis Pathology Outlines A cystic space without epithelial lining, predictor of pneumothorax (am j surg pathol 2014;38:339) smoking related changes including. This paper reviews the pathologic. Most patients are asymptomatic or only mildly symptomatic, and the clinical course is stable in most. This paper reviews the pathologic features of srif in detail, its differentiation from more ominous interstitial fibrosing processes, and the clinical. Smoking Related Interstitial Fibrosis Pathology Outlines.
From www.semanticscholar.org
Figure 3 from Differentiating SmokingRelated Interstitial Fibrosis (SRIF) from Usual Smoking Related Interstitial Fibrosis Pathology Outlines Most patients are asymptomatic or only mildly symptomatic, and the clinical course is stable in most. A cystic space without epithelial lining, predictor of pneumothorax (am j surg pathol 2014;38:339) smoking related changes including. This paper reviews the pathologic features of srif in detail, its differentiation from more ominous interstitial fibrosing processes, and the clinical implications of its diagnosis. This. Smoking Related Interstitial Fibrosis Pathology Outlines.
From www.6patterns.org
Smoking Related Interstitial Fibrosis — 6 Patterns of Pulmonary Pathology Smoking Related Interstitial Fibrosis Pathology Outlines A cystic space without epithelial lining, predictor of pneumothorax (am j surg pathol 2014;38:339) smoking related changes including. This paper reviews the pathologic. Most patients are asymptomatic or only mildly symptomatic, and the clinical course is stable in most. This review focuses on three selected topics of current interest that are related to chronic fibrosing lung disorders and are important. Smoking Related Interstitial Fibrosis Pathology Outlines.
From www.dovepress.com
Smokingrelated interstitial fibrosis combined with pulmonary emphysem COPD Smoking Related Interstitial Fibrosis Pathology Outlines This paper reviews the pathologic features of srif in detail, its differentiation from more ominous interstitial fibrosing processes, and the clinical implications of its diagnosis. This review focuses on three selected topics of current interest that are related to chronic fibrosing lung disorders and are important for pathologists. Most patients are asymptomatic or only mildly symptomatic, and the clinical course. Smoking Related Interstitial Fibrosis Pathology Outlines.
From jcp.bmj.com
Smokingrelated interstitial fibrosis (SRIF) pathologic findings and distinction from other Smoking Related Interstitial Fibrosis Pathology Outlines This paper reviews the pathologic features of srif in detail, its differentiation from more ominous interstitial fibrosing processes, and the clinical implications of its diagnosis. A cystic space without epithelial lining, predictor of pneumothorax (am j surg pathol 2014;38:339) smoking related changes including. Most patients are asymptomatic or only mildly symptomatic, and the clinical course is stable in most. This. Smoking Related Interstitial Fibrosis Pathology Outlines.
From www.semanticscholar.org
Figure 3 from Differentiating SmokingRelated Interstitial Fibrosis (SRIF) from Usual Smoking Related Interstitial Fibrosis Pathology Outlines This paper reviews the pathologic. A cystic space without epithelial lining, predictor of pneumothorax (am j surg pathol 2014;38:339) smoking related changes including. Most patients are asymptomatic or only mildly symptomatic, and the clinical course is stable in most. This review focuses on three selected topics of current interest that are related to chronic fibrosing lung disorders and are important. Smoking Related Interstitial Fibrosis Pathology Outlines.
From www.semanticscholar.org
Figure 1 from Differentiating SmokingRelated Interstitial Fibrosis (SRIF) from Usual Smoking Related Interstitial Fibrosis Pathology Outlines This paper reviews the pathologic. This paper reviews the pathologic features of srif in detail, its differentiation from more ominous interstitial fibrosing processes, and the clinical implications of its diagnosis. Most patients are asymptomatic or only mildly symptomatic, and the clinical course is stable in most. This review focuses on three selected topics of current interest that are related to. Smoking Related Interstitial Fibrosis Pathology Outlines.
From www.6patterns.org
Smoking Related Interstitial Fibrosis — 6 Patterns of Pulmonary Pathology Smoking Related Interstitial Fibrosis Pathology Outlines This review focuses on three selected topics of current interest that are related to chronic fibrosing lung disorders and are important for pathologists. This paper reviews the pathologic. Most patients are asymptomatic or only mildly symptomatic, and the clinical course is stable in most. A cystic space without epithelial lining, predictor of pneumothorax (am j surg pathol 2014;38:339) smoking related. Smoking Related Interstitial Fibrosis Pathology Outlines.
From www.6patterns.org
Smoking Related Interstitial Fibrosis — 6 Patterns of Pulmonary Pathology Smoking Related Interstitial Fibrosis Pathology Outlines This review focuses on three selected topics of current interest that are related to chronic fibrosing lung disorders and are important for pathologists. This paper reviews the pathologic features of srif in detail, its differentiation from more ominous interstitial fibrosing processes, and the clinical implications of its diagnosis. Most patients are asymptomatic or only mildly symptomatic, and the clinical course. Smoking Related Interstitial Fibrosis Pathology Outlines.
From www.dovepress.com
Smokingrelated interstitial fibrosis combined with pulmonary emphysem COPD Smoking Related Interstitial Fibrosis Pathology Outlines This review focuses on three selected topics of current interest that are related to chronic fibrosing lung disorders and are important for pathologists. This paper reviews the pathologic. This paper reviews the pathologic features of srif in detail, its differentiation from more ominous interstitial fibrosing processes, and the clinical implications of its diagnosis. Most patients are asymptomatic or only mildly. Smoking Related Interstitial Fibrosis Pathology Outlines.
From www.elsevier.es
Smokingrelated interstitial lung disease Radiología (English Edition) Smoking Related Interstitial Fibrosis Pathology Outlines This paper reviews the pathologic. This paper reviews the pathologic features of srif in detail, its differentiation from more ominous interstitial fibrosing processes, and the clinical implications of its diagnosis. This review focuses on three selected topics of current interest that are related to chronic fibrosing lung disorders and are important for pathologists. A cystic space without epithelial lining, predictor. Smoking Related Interstitial Fibrosis Pathology Outlines.
From www.6patterns.org
Smoking Related Interstitial Fibrosis — 6 Patterns of Pulmonary Pathology Smoking Related Interstitial Fibrosis Pathology Outlines This paper reviews the pathologic. A cystic space without epithelial lining, predictor of pneumothorax (am j surg pathol 2014;38:339) smoking related changes including. This paper reviews the pathologic features of srif in detail, its differentiation from more ominous interstitial fibrosing processes, and the clinical implications of its diagnosis. Most patients are asymptomatic or only mildly symptomatic, and the clinical course. Smoking Related Interstitial Fibrosis Pathology Outlines.
From www.resmedjournal.com
Usual interstitial pneumonia and smokingrelated interstitial fibrosis display epithelial to Smoking Related Interstitial Fibrosis Pathology Outlines This paper reviews the pathologic. This paper reviews the pathologic features of srif in detail, its differentiation from more ominous interstitial fibrosing processes, and the clinical implications of its diagnosis. A cystic space without epithelial lining, predictor of pneumothorax (am j surg pathol 2014;38:339) smoking related changes including. This review focuses on three selected topics of current interest that are. Smoking Related Interstitial Fibrosis Pathology Outlines.
From www.researchgate.net
(PDF) Smoking Related Interstitial Fibrosis (SRIF) a new entity Smoking Related Interstitial Fibrosis Pathology Outlines This paper reviews the pathologic. Most patients are asymptomatic or only mildly symptomatic, and the clinical course is stable in most. A cystic space without epithelial lining, predictor of pneumothorax (am j surg pathol 2014;38:339) smoking related changes including. This review focuses on three selected topics of current interest that are related to chronic fibrosing lung disorders and are important. Smoking Related Interstitial Fibrosis Pathology Outlines.
From www.researchgate.net
(PDF) SmokingRelated Interstitial Fibrosis (SRIF) in Patients Presenting With Diffuse Smoking Related Interstitial Fibrosis Pathology Outlines A cystic space without epithelial lining, predictor of pneumothorax (am j surg pathol 2014;38:339) smoking related changes including. Most patients are asymptomatic or only mildly symptomatic, and the clinical course is stable in most. This paper reviews the pathologic features of srif in detail, its differentiation from more ominous interstitial fibrosing processes, and the clinical implications of its diagnosis. This. Smoking Related Interstitial Fibrosis Pathology Outlines.
From www.6patterns.org
Smoking Related Interstitial Fibrosis — 6 Patterns of Pulmonary Pathology Smoking Related Interstitial Fibrosis Pathology Outlines This paper reviews the pathologic features of srif in detail, its differentiation from more ominous interstitial fibrosing processes, and the clinical implications of its diagnosis. Most patients are asymptomatic or only mildly symptomatic, and the clinical course is stable in most. This review focuses on three selected topics of current interest that are related to chronic fibrosing lung disorders and. Smoking Related Interstitial Fibrosis Pathology Outlines.
From flickriver.com
Smokingrelated interstitial fibrosis Case 268 a photo on Flickriver Smoking Related Interstitial Fibrosis Pathology Outlines This review focuses on three selected topics of current interest that are related to chronic fibrosing lung disorders and are important for pathologists. This paper reviews the pathologic. A cystic space without epithelial lining, predictor of pneumothorax (am j surg pathol 2014;38:339) smoking related changes including. Most patients are asymptomatic or only mildly symptomatic, and the clinical course is stable. Smoking Related Interstitial Fibrosis Pathology Outlines.
From www.flickr.com
Smokingrelated interstitial fibrosis Typical appearance o… Flickr Smoking Related Interstitial Fibrosis Pathology Outlines This review focuses on three selected topics of current interest that are related to chronic fibrosing lung disorders and are important for pathologists. Most patients are asymptomatic or only mildly symptomatic, and the clinical course is stable in most. This paper reviews the pathologic features of srif in detail, its differentiation from more ominous interstitial fibrosing processes, and the clinical. Smoking Related Interstitial Fibrosis Pathology Outlines.
From www.semanticscholar.org
Figure 4 from A Review of SmokingRelated Interstitial Fibrosis, Respiratory Bronchiolitis, and Smoking Related Interstitial Fibrosis Pathology Outlines This review focuses on three selected topics of current interest that are related to chronic fibrosing lung disorders and are important for pathologists. This paper reviews the pathologic features of srif in detail, its differentiation from more ominous interstitial fibrosing processes, and the clinical implications of its diagnosis. A cystic space without epithelial lining, predictor of pneumothorax (am j surg. Smoking Related Interstitial Fibrosis Pathology Outlines.
From jcp.bmj.com
Smokingrelated interstitial fibrosis (SRIF) pathologic findings and distinction from other Smoking Related Interstitial Fibrosis Pathology Outlines A cystic space without epithelial lining, predictor of pneumothorax (am j surg pathol 2014;38:339) smoking related changes including. Most patients are asymptomatic or only mildly symptomatic, and the clinical course is stable in most. This paper reviews the pathologic features of srif in detail, its differentiation from more ominous interstitial fibrosing processes, and the clinical implications of its diagnosis. This. Smoking Related Interstitial Fibrosis Pathology Outlines.
From www.flickriver.com
Smokingrelated interstitial fibrosis Case 268 a photo on Flickriver Smoking Related Interstitial Fibrosis Pathology Outlines This paper reviews the pathologic. Most patients are asymptomatic or only mildly symptomatic, and the clinical course is stable in most. This review focuses on three selected topics of current interest that are related to chronic fibrosing lung disorders and are important for pathologists. A cystic space without epithelial lining, predictor of pneumothorax (am j surg pathol 2014;38:339) smoking related. Smoking Related Interstitial Fibrosis Pathology Outlines.
From jcp.bmj.com
Smokingrelated interstitial fibrosis (SRIF) pathologic findings and distinction from other Smoking Related Interstitial Fibrosis Pathology Outlines This paper reviews the pathologic. This review focuses on three selected topics of current interest that are related to chronic fibrosing lung disorders and are important for pathologists. Most patients are asymptomatic or only mildly symptomatic, and the clinical course is stable in most. A cystic space without epithelial lining, predictor of pneumothorax (am j surg pathol 2014;38:339) smoking related. Smoking Related Interstitial Fibrosis Pathology Outlines.
From www.6patterns.org
Smoking Related Interstitial Fibrosis — 6 Patterns of Pulmonary Pathology Smoking Related Interstitial Fibrosis Pathology Outlines This review focuses on three selected topics of current interest that are related to chronic fibrosing lung disorders and are important for pathologists. Most patients are asymptomatic or only mildly symptomatic, and the clinical course is stable in most. This paper reviews the pathologic. A cystic space without epithelial lining, predictor of pneumothorax (am j surg pathol 2014;38:339) smoking related. Smoking Related Interstitial Fibrosis Pathology Outlines.
From www.modernpathology.org
Smokingrelated interstitial fibrosis (SRIF), pathogenesis and treatment of usual interstitial Smoking Related Interstitial Fibrosis Pathology Outlines This paper reviews the pathologic features of srif in detail, its differentiation from more ominous interstitial fibrosing processes, and the clinical implications of its diagnosis. This review focuses on three selected topics of current interest that are related to chronic fibrosing lung disorders and are important for pathologists. A cystic space without epithelial lining, predictor of pneumothorax (am j surg. Smoking Related Interstitial Fibrosis Pathology Outlines.
From www.semanticscholar.org
Figure 1 from Differentiating SmokingRelated Interstitial Fibrosis (SRIF) from Usual Smoking Related Interstitial Fibrosis Pathology Outlines This paper reviews the pathologic. A cystic space without epithelial lining, predictor of pneumothorax (am j surg pathol 2014;38:339) smoking related changes including. This paper reviews the pathologic features of srif in detail, its differentiation from more ominous interstitial fibrosing processes, and the clinical implications of its diagnosis. Most patients are asymptomatic or only mildly symptomatic, and the clinical course. Smoking Related Interstitial Fibrosis Pathology Outlines.
From jcp.bmj.com
Smokingrelated interstitial fibrosis (SRIF) pathologic findings and distinction from other Smoking Related Interstitial Fibrosis Pathology Outlines This paper reviews the pathologic features of srif in detail, its differentiation from more ominous interstitial fibrosing processes, and the clinical implications of its diagnosis. Most patients are asymptomatic or only mildly symptomatic, and the clinical course is stable in most. This review focuses on three selected topics of current interest that are related to chronic fibrosing lung disorders and. Smoking Related Interstitial Fibrosis Pathology Outlines.
From www.6patterns.org
Smoking Related Interstitial Fibrosis — 6 Patterns of Pulmonary Pathology Smoking Related Interstitial Fibrosis Pathology Outlines This paper reviews the pathologic. This review focuses on three selected topics of current interest that are related to chronic fibrosing lung disorders and are important for pathologists. This paper reviews the pathologic features of srif in detail, its differentiation from more ominous interstitial fibrosing processes, and the clinical implications of its diagnosis. Most patients are asymptomatic or only mildly. Smoking Related Interstitial Fibrosis Pathology Outlines.
From www.researchgate.net
AI, Imaging followup in smokingrelated interstitial fibrosis. All... Download Scientific Smoking Related Interstitial Fibrosis Pathology Outlines A cystic space without epithelial lining, predictor of pneumothorax (am j surg pathol 2014;38:339) smoking related changes including. This paper reviews the pathologic. Most patients are asymptomatic or only mildly symptomatic, and the clinical course is stable in most. This paper reviews the pathologic features of srif in detail, its differentiation from more ominous interstitial fibrosing processes, and the clinical. Smoking Related Interstitial Fibrosis Pathology Outlines.
From www.6patterns.org
Smoking Related Interstitial Fibrosis — 6 Patterns of Pulmonary Pathology Smoking Related Interstitial Fibrosis Pathology Outlines This paper reviews the pathologic. A cystic space without epithelial lining, predictor of pneumothorax (am j surg pathol 2014;38:339) smoking related changes including. This paper reviews the pathologic features of srif in detail, its differentiation from more ominous interstitial fibrosing processes, and the clinical implications of its diagnosis. Most patients are asymptomatic or only mildly symptomatic, and the clinical course. Smoking Related Interstitial Fibrosis Pathology Outlines.
From www.researchgate.net
Radiologic findings in smokingrelated interstitial fibrosis. A, B,... Download Scientific Diagram Smoking Related Interstitial Fibrosis Pathology Outlines Most patients are asymptomatic or only mildly symptomatic, and the clinical course is stable in most. This paper reviews the pathologic. A cystic space without epithelial lining, predictor of pneumothorax (am j surg pathol 2014;38:339) smoking related changes including. This review focuses on three selected topics of current interest that are related to chronic fibrosing lung disorders and are important. Smoking Related Interstitial Fibrosis Pathology Outlines.