What Does Low Cost Dentures Mean Ripon Wisconsin 54971
You would possibly be surprised how affordable dental implants are as compared to other tooth substitute selections, specially when you consider very long-expression cost effectiveness and Standard of living.
by: connie shirley Have bone loss as a consequence of using tobacco, gums have drasticly moved faraway from tooth, also eager to know if I am able to go to a school to get implants @ very low cost, even free for turning out to be a review individual?
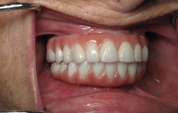
You could possibly learn that both equally momentary and permanent dentures consider some obtaining accustomed to. Don’t get worried In case the dentures really feel loose at the outset—your cheek and tongue muscles will need to adjust to them.
Ripon Affordable Dentures
Dr. Greg Grillo DDS has a lot more than 20 years of expertise to be a dental practitioner. His put together passion for dental marketing and advertising and understanding of dental software, will make him an invaluable asset to our team.
"Superb Dental Treatment. My relatives has actually been a affected individual of Dr P's for the final seven a long time. Particularly happy with our preference of dentists. Dr Perrone truly normally takes her time at Every single and each pay a visit to to go in excess of everything with all of us even my minimal types. Surely advise."
So you really want to examine into this element to be sure that you're Discovering the dental ideas for seniors that can really profit you.
There is certainly an added cost associated with fast dentures, but when you’re making an attempt to find out what dentures cost and the way to pay for them, bear in mind you've several alternatives.
Anchored Dentures Ripon Wisconsin
.jpg)
Direct funding: Some dental practices present funding directly to patients. These workplaces could possibly offer payment options or credit to people who couldn't qualify for classic charge cards.
The cost may perhaps range for every state or region, and normally it is split in two phases. The standard selling price in The usa is described under:
Devoid of doubt, questions on cost-free dentures and dental care for seniors, or reduced-cost dentures have already been the #1 issue which i acquire here at Stuff Seniors Require. And The explanation is fairly evident. When seniors retire, they normally reduce their dental insurance policy that they bought from work.
If you run into a clinic or perhaps a dentist that gives free of charge implants, be cautious of any capture the freebie may perhaps include and ensure of the quality of provider you're going to be receiving. The cost of dental implants is quite large, and the reason would be that the elements employed for dental implants are typically high-priced.
Restorative dentistry has numerous Rewards and dentures or dental implants can enhance Lots of people’s quality of life.
A damaged set of dentures can be simply awkward and will seriously effects your Standard of living. Not with the ability to chew accurately is a large challenge that can crop up from harmed dentures.
Are Tooth Implant Costs Included By Your Insurance policies? -Tooth implant costs will not be ordinarily coated by insurance policy. Having said that, some options present coverage to those procedures, though in other situations, the reason for the tooth loss may also make your insurance system include your dental implants costs.
Yes Man Dentures Rubber Dentures
Other Locations:
Anchored Dentures Cleveland OH 44115
Dentures Garden City IA 50102
Dentures Brimfield MA 1010
Cheap Dentures Berwick ME 3901
Cost Of Dentures Glendale CA 91225