Top latest Five Affordable Dentures And Implants Urban news Seattle Washington 98136
If your gum space beneath your dentures have altered as well as dentures not in good shape, you might have your dentures being fixed to fit Once more, a course of action several dentists phone “relining” or “basing” the denture.
To apply for assist, stop by the state DDS applications page to the DLN website. Click on your condition Found to the map at The underside on the web page to discover Speak to information in your condition plan coordinator. Just about every condition listing provides email and mobile phone for The purpose of Speak to for This system in your area and exhibits the general volume of donated products and services and variety of people assisted while in the prior year inside of Every single condition.
by: Anonymous What I paid out at Very clear Alternative I might have purchased an expensive car like a Cadillac or Lexus. Obvious Option is just not cheap. They do the operate in just a working day but not cheap. I guess they should be paid out for a complete week every time they only operate 4 days. Initially Once i inquired with regards to the implants, I used to be told the implants have been under a life time warrant and that the material was whatever they used around the Area ships at NASA. That adjusted just after I'd the technique finished and commenced owning tooth that popped out. They said the guarantee was only great for five yrs.
Seattle Cost Of Dentures
SmileCare is a group of comprehensive-company dental procedures in California. Fascinated sufferers can discover Distinctive discount rates mentioned on the business’s Web page. Coast Dental lately obtained the SmileCare team of procedures.
Like normal tooth, dentures are an integral component of one's everyday life—from aiding you in chewing to affecting just how you communicate, as well as generating you additional self-assured as part of your visual appeal.
!!! I was terrified and anxious and in discomfort and now I’m just a little sore but so relieved…I’m saving up so I am able to come back and possess another tooth taken care of before long! Thanks.” Melody
Since 2001, Affordable Dentures has supplied dental implant remedy at a price our individuals have arrive at expect. More people each year – including new and professional denture wearers and those with a number of lacking enamel – are turning to implants since the best Remedy for restoring their teeth, their smiles and their Standard of living.
Best Dentures Seattle Washington
.jpg)
Quite a few implant dentists also offer financing and payment choices for making dental implants even more affordable, so be sure to request what strategies your dentist offers.
But for the convenience of dental implantation these men make an if not extensive and exhausting ordeal, I'd probably go there once again knowing what I learn about The placement We have now listed here.
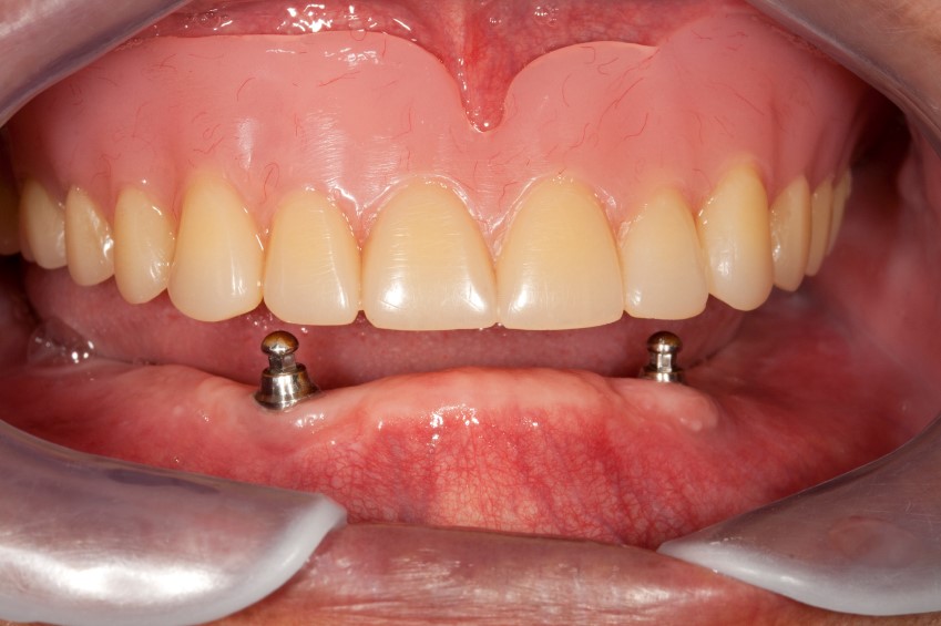
Implant-supported dentures are a type of snap-on denture that attaches to larger implants plus a metal bar that operates between the implants earlier mentioned the gum.
When you come upon a clinic or a dentist that gives absolutely free implants, be wary of any capture the freebie may possibly feature and ensure of the caliber of assistance you will end up receiving. The cost of dental implants is kind of substantial, and The rationale is that the materials useful for dental implants are typically highly-priced.
How that dental ideas for seniors do the job would be that the applying senior must pay back a annually charge…and This may be from $75 to $300 a yr, to get Element of the plan.
When this happens patients was pressured to grin and bear it working with numerous denture adhesives. Now with the development of dental implant supported dentures Individuals days might be a relic left in past times For lots of individuals.
Base: The base of dentures, which retains them set up, is usually product of many forms of fabric. Whether The bottom will likely be seen is A very powerful Consider the fabric decided on.
Old Lady Dentures Birthday Cake Vampire Dentures
Other Locations:
Cost Of Dentures Saint Petersburg FL 33713
Low Cost Dentures Brooksville FL 34614
Affordable Dentures And Implants Cinebar WA 98533
Low Cost Dentures Depew NY 14043
Anchored Dentures Pemberton MN 56078