Best Dentures Can Be Fun For Anyone Colby Kansas 67701
Most dentists take important charge cards and a few provide financing strategies that let sufferers buy main procedures, like tooth removal and dentures, as time passes with very low monthly payments.
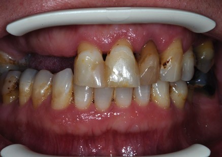
Essential maintenance for just about any denture solution. Relining a denture maintains patient comfort and ease and retention
An entire new environment has opened up with dental implants for both equally affected person and dentist. The aged compromise and limits are slowly but surely currently being worn away. We're getting into a fresh environment of dentistry and dental implants are major the best way!
Colby Anchored Dentures
She bought me outside of suffering in my price range so I could get household Safely and securely and see my dentist to finish the rootcanal. She took her time and described all the things. If I lived listed here, I'd in no way head to any person else. I can not reccomemd her extremely adequate. Completely place up with me getting an absolute child, too. Complete no judgment zone."
You'll want to connect with the Place of work ahead of time to question important inquiries. The receptionist or office assistant should really have the capacity to answer queries.
So you really need to examine into this feature to ensure that you are Checking out the dental ideas for seniors that can definitely gain you.
This specific dental school accepts Medicaid for a sort of payment. It ought to be famous that not all do…it depends on the condition you reside in…however , you can inquire if your neighborhood dental higher education does.
Best Dentures Colby Kansas
.jpg)
There, you'll find a listing of upcoming clinical trials with eligibility requirements. You can search by condition or by process to check out if you could possibly take pleasure in the no cost clinical trial.
Everlasting implants, also referred to as fixed dental implant bridges, are Bogus teeth that attach to metal screws implanted in the individual’s jaw bone. Dental implants are available to exchange only one tooth, some lacking teeth or a whole arch of enamel.
Considering the fact that our founding by Drs. Edwards and Henson in 1975, We now have served countless people which have sought credible dental treatment at charges they might afford to pay for.
According to your oral well being treatment desires, you may pick out partial dentures which can be detachable, but bridges are completely cemented into area. There are three main varieties of bridges to match a variety of dental restoration conditions:
After i was at my regional branch to get a ClearChoice tour (Test internet site, they provide guided tours on the facilites with no gross sales tension) that they had 9 people today there in numerous stages of partial and complete-mouth implant surgical procedures, it is a near human assembly-line of implant processes, However they treat you prefer royalty for that quick time you happen to be under the knife and bone drill (and they should for whatever they cost!)
There are plenty of explanations you may need an crisis repair for your dentures or partial dentures. Initially, it is vital to know that an improper in good shape can cause your dentures to grind against themselves unnecessarily when chewing.
Be warned, if one particular is coming towards your spot you superior there early mainly because folks have been regarded to look forward to several hours…And that i signify 8-10 hrs…to find out a dentist.
Jake And Amir Dentures Learning To Eat With Dentures
Other Locations:
Anchored Dentures Rhinelander WI 54501
Dentures Tappen ND 58487
Best Dentures Spencerville IN 46788
Low Cost Dentures Depew NY 14043
Cheap Dentures Scottsburg IN 47170