Low Cost Dentures Secrets Roland Arkansas 72135
Check with with the dental care and insurance supplier to learn what your choices are in circumstances such as this.
They extra carefully signify your organic teeth and they're just the best Answer for lacking tooth. Obtain your smile again. Obtain your self esteem back. And alter your lifetime with implants.
The only real time you ought to do This can be if you propose to obtain a replacement denture manufactured at once. Normally the denture will probably be ruined with the glue and can't be repaired to suit the right way even by quite possibly the most competent technician.”
Roland Anchored Dentures
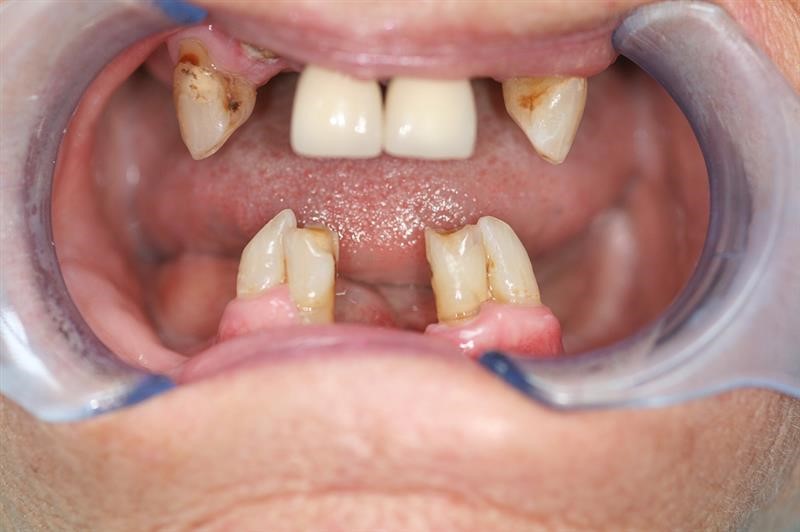
A dental implant supported denture is also referred to as an overdenture. A conventional detachable denture rests directly over the gums, and is not supported by dental implants. It's because the denture sits above the dental implants. The dental implants give assistance and stability towards the denture.
They did it all in about three several hours flat, you might be in-and-out prior to deciding to understand it. The sole downside to Obvious Preference implants is the fact that obvious cost, I necessarily mean a $one,000+ one hour shell out, who Are you aware of that earns a thousand bucks or maybe more for every hour?
He does have insurance coverage but it surely doesn’t deal with rarely anything at all. He lives in Illinois. If any individual justifies assist with this particular, its my Dad! He works tricky day-to-day and aids Every person he fulfills!
All-on-4 will not be an invention, but rather a remedy strategy which has progressed as time passes and has the next characteristics:
Cheap Dentures Roland Arkansas
.jpg)
Chelsey Farley states: July 28, 2018 at six:37 am I’m a 26 year aged mother of three. I have to get all my major tooth removed and the ones from the back on the bottom. I am so upset concerning this for the reason that there is no way I can pay for to have dentures for myself. But I really have to get my enamel removed. They harm so really terribly and they're packed with infection. I really need to get it performed so I’m healthy for my Youngsters. I’m an individual mom. My kids count on me.
The Office environment with the Ageing, which might go by another name close to you with the country, must be your 1st simply call once you, for a senior or even the caregiver of the senior, will need support.
Companies may possibly employ computer-guided know-how which will improve the surgical and restorative outcome with further cost, though the cost is always to improve the cure end result
It is best to, even so, make an appointment to comply with up along with your typical dentist to have your dentures examined. They will be able to assist you in preventative repairs or substitution in order that mishaps are not as likely to happen.
After i was at my neighborhood branch for the ClearChoice tour (Look at web-site, they provide guided excursions in the facilites with no revenue strain) they'd nine individuals there in numerous levels of partial and whole-mouth implant surgery, it's a near human assembly-line of implant techniques, However they address you want royalty to the quick time you are under the knife and bone drill (and they must for whatever they cost!)
Insurance: Dental coverage will very likely buy a percentage of your restorative dentistry needs. On the other hand, insurance policy may only pay for particular types of dentures.
Kipp Shives says: August 4, 2015 at two:45 pm Hey Bob, let me 1st inform you which the federal government lifted the poverty guidelines in January to $11,770 for a single specific and $fifteen,930 for a loved ones of two. I really don’t understand why that makes you ineligible for Medicaid because you’re effectively beneath that and most eligibility is ready to a little bit over Those people suggestions anyway. I did take a look at the Nebraska Medicaid website but I couldn’t obtain any rhyme or rationale to it. I’d absolutely Examine back with Medicaid in case you haven’t done so in 2015. I believe Individuals new recommendations from Uncle Sam would suggest you’re now qualified. OK, second thing: Nebraska Mission of Mercy seems to have been quite Energetic in your condition but their Web-site even now only advertises information from 2013. Most likely they’re just terrible at updating their Site but sad to say I question that.
Digital Dentures Upper Teeth Extraction For Dentures
Other Locations:
Implant Dentures Scott City MO 63780
Affordable Dentures Dundee OR 97115
Affordable Dentures North Apollo PA 15673
Dentures Atascadero CA 93423
Anchored Dentures Claiborne MD 21624