Not known Facts About Affordable Dentures Baton Rouge Louisiana 70896
I am in many ache as a result of them. Residing on $875 a month for the two of us may be very challenging to make finishes meet up with not to mention get dental get the job done done. Make sure you recommend me of what I can do and where by I might get some support. I get Medicare although not Medicaid here in Neb as I make 1 dollar too much. Many thanks so much on your support to a great number of you have completed in this article on this Web-site. And thanks from me for what at any time you can counsel. Respectfully, Bob Hershgeer.
This may end up in your dentures breaking or chipping extra quickly whilst having meals. Also, dentures are certainly not intended to final endlessly. As dentures age, the material becomes slender and weakened, leaving your dentures susceptible to fractures and injury.
They are doing a lot more than dental implants, for example Lasik eye surgical procedure, but if you are in the bind and hunting for a payment approach selection for your medical solutions than you are able to absolutely consider Care Credit For more info.
Baton Rouge Cheap Dentures
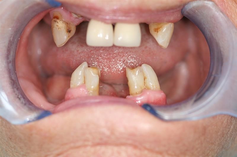
A dental implant supported denture is also called an overdenture. A standard detachable denture rests directly about the gums, and is not supported by dental implants. This is due to the denture sits over the dental implants. The dental implants give assist and steadiness towards the denture.
by: Justin I have insurance plan but I need 3 implants I feel my coverage pays $600 for every tooth but I ought to finance The remainder it I've negative credit score. I am from Oklahoma. Is there any suggestions. cheap dental implants NEW
The Nationwide Association of Cost-free Clinics is actually a nationwide team of Medical professionals and dentists that offer totally free dentures and dental look after all age groups, like seniors.
So while the brochure can be for just one specific dental faculty, and while you read through this you could be on Extended Island, the point of showing you this would be that the a lot of these products and services and savings are offered for you in your neighborhood throughout the nearby dental faculties that should provide you.
Affordable Dentures And Implants Baton Rouge Louisiana
.jpg)
They will also not be troubled that their denture may well slide out or come to be loose. Individuals report with the ability to consume foods they've got not been capable to take in in several years. A phrase of warning is to avoid sticky or really really hard foods as you could injury the denture with these sorts of meals.
Toll Free Do you need a same day appointment to check out an unexpected emergency dentist? We might get you into a dentist when not a soul else can! We are open up 24 hrs, 7 times a week, 365 times a 12 months, simply call currently It truly is free of charge!
The moment a Pet dog has damaged your dentures, denture repair service is generally not a possibility. Remember to normally preserve Command more than your dentures all of the time. Any time you’re not putting on them, retain them in the sealed container.” Dr. David Hudnall DMD
What I did eventually learn is that getting very low-cost or free of charge dental implants for very low revenue seniors shared most of the resources which i experienced currently uncovered when working with dentures.
When you have created or obtained a residing organ donation for surgical procedures for instance a kidney transplant and therefore are wanting free dentures, you most certainly qualify to acquire support from Mouthglove Dentures. This is not a program to help you the ones that have merely agreed to donate organs next a lethal accident, but rather operates with clients who have undergone lifesaving organ donation surgical procedures and therefore are looking for dentures.
Denture relining is normally a pretty quick and simple method so that you can be back to wearing your dentures very quickly.
High-quality dental treatment is furnished by pupils, people and sometimes faculty themselves but treatment method is offered in an tutorial natural environment and usually takes for a longer period to perform than by going to a normal dentist Business office. Due to the analysis environment obtainable at a school of dentistry, point out from the artwork tactics are likely for use on those trying to get care at a College clinic. Here are a few samples of educational institutions offering low-cost dental clinics:
Russell Klein Dentures Store Visiclear Partial Dentures
Other Locations:
Low Cost Dentures Mountain Ranch CA 95246
Anchored Dentures Jackson TN 38302
Affordable Dentures And Implants Quecreek PA 15555
Affordable Dentures And Implants Annemanie AL 36721
Low Cost Dentures Washington PA 15301