Examine This Report on Affordable Dentures Portage Michigan 49024
“A common case in point why dentures can not be repaired is damage completed to them by animals. Puppies, specifically, like to chew on dentures that have been neglected on the table or bed.
When harm takes place in your dentures it’s essential to get it set as soon as possible. Not merely are damaged dentures not comfortable and uncomfortable, Nonetheless they can also cause more health problems or make present situations even worse.
The scholars had been accomplishing the tests And that i experienced the prospect to talk to their instructors regarding how the dental college may also help seniors.
Portage Best Dentures
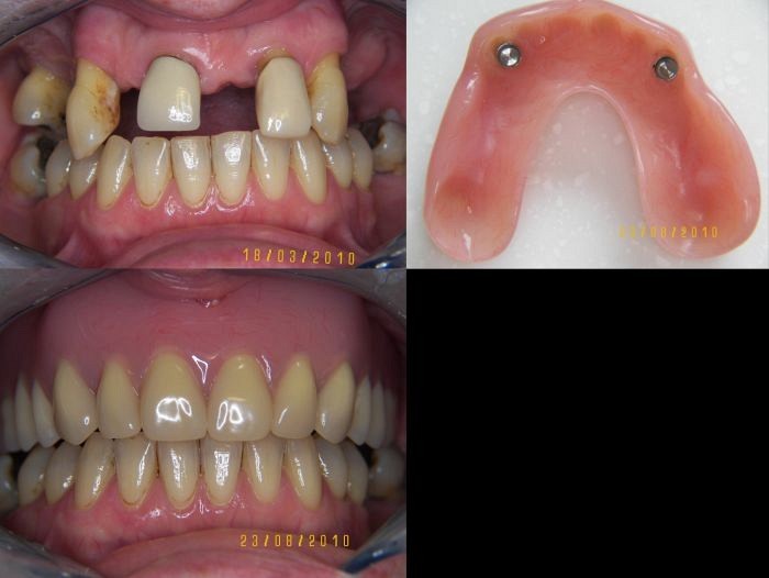
The procedure evolved when in an try to keep away from certain anatomical limits normally found in the back of the higher and decrease jaws have, clinicians effectively averted bone-deficient spots with the usage of angulated implants. Anatomical limits are more widespread in people with comprehensive dentures, and after the back implants are positioned at an angle There's usually only plenty of space left for 2 more implants within the entrance. This has resulted in the usage of only 4 fixtures to assist a full list of enamel.
Consider Information and facts below Company Facts/ClearChoice Dental Implants, on the net. They have a flaw when generating the implants mainly because I hold obtaining issues where by the teeth preserve coming out in the frame. They explained to me it had been time that I obtain a new set of implants (more money). I'm not rich and live to tell the tale Social Security. I am now thinking of having dentures and intending to Mexico. I can't pay for to go on a yearly basis and obtain new implants. I believe the sector for generating implants have to do a lot more exploration for greater good quality and layout. Zirconia Implant Bridge NEW
Certainly, the dentists in teaching require people to operate on. Therefore, area schools of dentistry offer cost-free treatments for people who volunteer to be individuals. Whilst this might not seem to be the best selection at the outset, be assured you have very little to bother with because the students are going to be assisted by a accredited dentist who will never go away their side.
by: Anonymous I'd implant two mini and they arrived out in one calendar year and two big implant and they're coming out I concur NEW
Affordable Dentures And Implants Portage Michigan
.jpg)
I used to be originally underneath the perception that implants had been additional of a beauty Remedy and so wouldn’t be lined by many of the resources I outlined over.
From time to time, Dad does have to pay for one, and Additionally he also must lay out of his pocket for your co-payment on his prescription medicines.
With out doubt, questions about absolutely free dentures and dental take care of seniors, or very low-cost dentures have been the #one question that I acquire below at Things Seniors Need to have. And The explanation is fairly clear. When seniors retire, they normally eliminate their dental insurance coverage that they received from perform.
So They could involve a lot more Repeated adjustments to get a great healthy. Consequently, they must only be viewed as A brief Option right up until the permanent dentures are Prepared.
If you qualify, you can be referred to a dentist who can carry out the procedure in your case without spending a dime. Otherwise at no cost, you may be able to get great savings and very affordable dental implants. three. Dental Insurance plan Coverage
Henderson Dentist Dr. Marielaina Perrone's advanced teaching and many years of encounter translate into increased confidence and comfort in your complete household. You’ll find entire dental experience, making use of the newest developments in dentistry, all here below just one roof.
Oral overall health: Dentures or dental implants can boost your oral wellbeing for the reason that every one of the decaying teeth will likely be faraway from your mouth in advance of your dentist provides dentures.
Jaw Registration For Partial Dentures Fixed Dentures
Other Locations:
Low Cost Dentures Hermitage MO 65668
Affordable Dentures Rochester NY 14608
Same Day Dentures Aurora CO 80016
Best Dentures Bluffton TX 78607
Affordable Dentures And Implants New Underwood SD 57761