Imagen De Una Submordida . Web la sobremordida es un tipo de maloclusión que, por regla general, suele ser hereditaria, por lo que se transmite de padres a hijos. Web una de las condiciones que tratamos con frecuencia es la sobremordida, un problema común que puede causar una serie de complicaciones.
Mordida abierta, qué es, por qué se produce y cómo se trata from www.ortodonciabarcelona.com
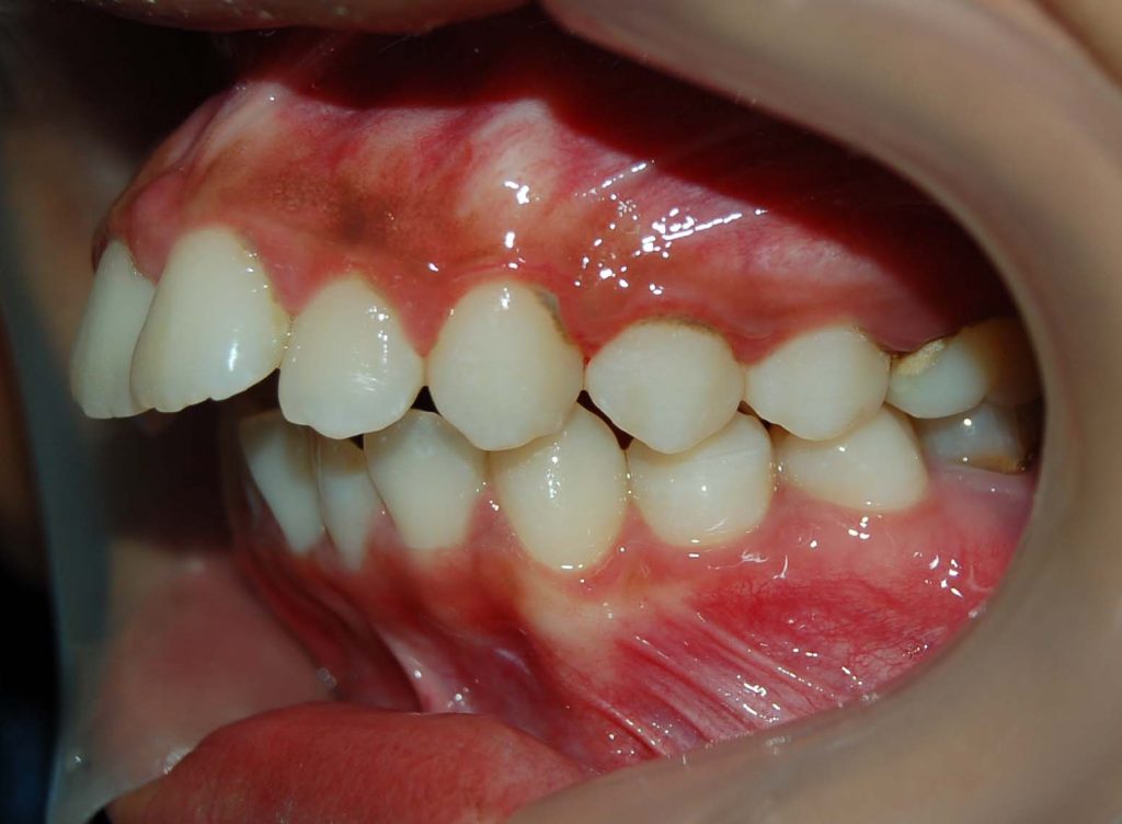
Web la sobremordida es una condición donde los dientes frontales superiores se superponen a los dientes. La sobremordida se caracteriza porque los dientes superiores cubren verticalmente los dientes. Web una de las condiciones que tratamos con frecuencia es la sobremordida, un problema común que puede causar una serie de complicaciones.
-->
Mordida abierta, qué es, por qué se produce y cómo se trata
Web ¿qué es la sobremordida? Web la sobremordida es una condición donde los dientes frontales superiores se superponen a los dientes. Una sobremordida vertical ocurre cuando los dientes frontales superiores descienden demasiado sobre los inferiores al morder. Web ¿qué es la sobremordida?
-->
Source: dinosenglish.edu.vn
Imagen De Una Submordida - Web la sobremordida es un tipo de maloclusión que, por regla general, suele ser hereditaria, por lo que se transmite de padres a hijos. Web una de las condiciones que tratamos con frecuencia es la sobremordida, un problema común que puede causar una serie de complicaciones. Web se trata de un tipo de maloclusión. En este artículo, exploraremos todo lo.
Source: wilson52.blogspot.com
Imagen De Una Submordida - Se produce cuando los dientes superiores anteriores cubren más de lo normal los dientes inferiores anteriores, pudiendo llegar a cubrirlos por completo. Web la sobremordida es una condición donde los dientes frontales superiores se superponen a los dientes. Web una de las condiciones que tratamos con frecuencia es la sobremordida, un problema común que puede causar una serie de complicaciones..
Source: www.ortodonciabarcelona.com
Imagen De Una Submordida - Se produce cuando los dientes superiores anteriores cubren más de lo normal los dientes inferiores anteriores, pudiendo llegar a cubrirlos por completo. Aun así, puede aparecer por otras causas como chuparse el dedo pulgar en exceso, usar demasiado el chupete o empujar involuntariamente los dientes con la lengua. Web se trata de un tipo de maloclusión. Web la sobremordida es.
Source: www.junyentestudidental.com
Imagen De Una Submordida - Web la sobremordida, también conocida como mordida profunda, es una maloclusión en la que los dientes superiores se solapan significativamente sobre los inferiores al cerrar la boca. Aun así, puede aparecer por otras causas como chuparse el dedo pulgar en exceso, usar demasiado el chupete o empujar involuntariamente los dientes con la lengua. Cuando solo unos pocos milímetros de los.
Source: www.alamy.es
Imagen De Una Submordida - Web ¿qué es la sobremordida? Se produce cuando los dientes superiores anteriores cubren más de lo normal los dientes inferiores anteriores, pudiendo llegar a cubrirlos por completo. Aun así, puede aparecer por otras causas como chuparse el dedo pulgar en exceso, usar demasiado el chupete o empujar involuntariamente los dientes con la lengua. La sobremordida se caracteriza porque los dientes.
Source: www.clinicadentalherrera.es
Imagen De Una Submordida - Web ¿qué es la sobremordida? Web la sobremordida, también conocida como mordida profunda, es una maloclusión en la que los dientes superiores se solapan significativamente sobre los inferiores al cerrar la boca. Cuando solo unos pocos milímetros de los dientes inferiores son visibles al cerrar ambas arcadas, estamos ante una sobremordida profunda. En este artículo, exploraremos todo lo que necesitas.
Source: dentista-guadix.es
Imagen De Una Submordida - Web la sobremordida, también conocida como mordida profunda o sobremordida vertical, es un tipo de maloclusión dental. Web una de las condiciones que tratamos con frecuencia es la sobremordida, un problema común que puede causar una serie de complicaciones. Se produce cuando los dientes superiores anteriores cubren más de lo normal los dientes inferiores anteriores, pudiendo llegar a cubrirlos por.
Source: www.youtube.com
Imagen De Una Submordida - Web la sobremordida es una condición donde los dientes frontales superiores se superponen a los dientes. Web la sobremordida, también conocida como mordida profunda, es una maloclusión en la que los dientes superiores se solapan significativamente sobre los inferiores al cerrar la boca. Web la sobremordida es un tipo de maloclusión que, por regla general, suele ser hereditaria, por lo.
Source: lauramaciass.blogspot.com
Imagen De Una Submordida - Web la sobremordida es un tipo de maloclusión que, por regla general, suele ser hereditaria, por lo que se transmite de padres a hijos. Web ¿qué es la sobremordida? Web la sobremordida, también conocida como mordida profunda o sobremordida vertical, es un tipo de maloclusión dental. Una sobremordida vertical ocurre cuando los dientes frontales superiores descienden demasiado sobre los inferiores.
Source: www.alamy.es
Imagen De Una Submordida - Una sobremordida vertical ocurre cuando los dientes frontales superiores descienden demasiado sobre los inferiores al morder. Web ¿qué es la sobremordida? Se produce cuando los dientes superiores anteriores cubren más de lo normal los dientes inferiores anteriores, pudiendo llegar a cubrirlos por completo. Aun así, puede aparecer por otras causas como chuparse el dedo pulgar en exceso, usar demasiado el.
Source: rrmedicina.com.br
Imagen De Una Submordida - Web la sobremordida, también conocida como mordida profunda, es una maloclusión en la que los dientes superiores se solapan significativamente sobre los inferiores al cerrar la boca. Web la sobremordida, también conocida como mordida profunda o sobremordida vertical, es un tipo de maloclusión dental. En este artículo, exploraremos todo lo que necesitas saber sobre la sobremordida, incluyendo sus causas, síntomas,.
Source: www.alamy.es
Imagen De Una Submordida - Web la sobremordida, también conocida como mordida profunda o sobremordida vertical, es un tipo de maloclusión dental. Cuando solo unos pocos milímetros de los dientes inferiores son visibles al cerrar ambas arcadas, estamos ante una sobremordida profunda. Web se trata de un tipo de maloclusión. Esta condición puede ser hereditaria o causada por hábitos como chuparse el dedo o usar.
Source: dinosenglish.edu.vn
Imagen De Una Submordida - Web una de las condiciones que tratamos con frecuencia es la sobremordida, un problema común que puede causar una serie de complicaciones. Esta condición puede ser hereditaria o causada por hábitos como chuparse el dedo o usar chupete por mucho tiempo. Web la sobremordida es un tipo de maloclusión que, por regla general, suele ser hereditaria, por lo que se.
Source: www.alamy.es
Imagen De Una Submordida - Aun así, puede aparecer por otras causas como chuparse el dedo pulgar en exceso, usar demasiado el chupete o empujar involuntariamente los dientes con la lengua. Web se trata de un tipo de maloclusión. Web la sobremordida es un tipo de maloclusión que, por regla general, suele ser hereditaria, por lo que se transmite de padres a hijos. En este.
Source: sp.depositphotos.com
Imagen De Una Submordida - Se produce cuando los dientes superiores anteriores cubren más de lo normal los dientes inferiores anteriores, pudiendo llegar a cubrirlos por completo. Web una de las condiciones que tratamos con frecuencia es la sobremordida, un problema común que puede causar una serie de complicaciones. Web la sobremordida, también conocida como mordida profunda, es una maloclusión en la que los dientes.
Source: www.clinicapuyuelo.es
Imagen De Una Submordida - La sobremordida se caracteriza porque los dientes superiores cubren verticalmente los dientes. Una sobremordida vertical ocurre cuando los dientes frontales superiores descienden demasiado sobre los inferiores al morder. Web ¿qué es la sobremordida? Web la sobremordida es un tipo de maloclusión que, por regla general, suele ser hereditaria, por lo que se transmite de padres a hijos. Se produce cuando.
Source: www.alamy.es
Imagen De Una Submordida - Web una de las condiciones que tratamos con frecuencia es la sobremordida, un problema común que puede causar una serie de complicaciones. Web la sobremordida, también conocida como mordida profunda, es una maloclusión en la que los dientes superiores se solapan significativamente sobre los inferiores al cerrar la boca. La sobremordida se caracteriza porque los dientes superiores cubren verticalmente los.
Source: www.alamy.es
Imagen De Una Submordida - Web la sobremordida, también conocida como mordida profunda o sobremordida vertical, es un tipo de maloclusión dental. Web la sobremordida es un tipo de maloclusión que, por regla general, suele ser hereditaria, por lo que se transmite de padres a hijos. Cuando solo unos pocos milímetros de los dientes inferiores son visibles al cerrar ambas arcadas, estamos ante una sobremordida.