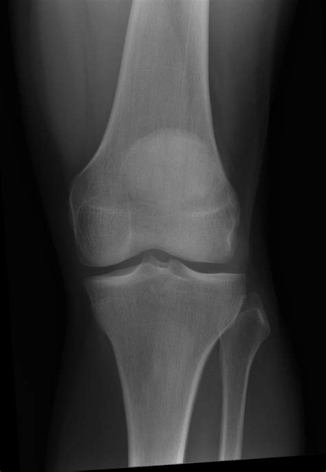
Normal Knee Xray . Web learn how to perform and interpret knee radiographs for various indications and pathologies. This article explains the key radiographic parameters, challenges, and.
Image from radiopaedia.org
This article explains the key radiographic parameters, challenges, and. This chapter is part of a living. Learn about the normal anatomy, fat pads,.
-->
Image
Web learn how to perform and interpret knee radiographs for various indications and pathologies. This chapter is part of a living. Web learn how to perform and interpret knee radiographs for various indications and pathologies. This article explains the key radiographic parameters, challenges, and.
-->
Source: ar.inspiredpencil.com
Normal Knee Xray - This article explains the key radiographic parameters, challenges, and. Learn about the normal anatomy, fat pads,. This chapter is part of a living. Web learn how to perform and interpret knee radiographs for various indications and pathologies. Web a case study of normal ap and lateral knee radiographs in an adult male for reference.
Source:
Normal Knee Xray - This chapter is part of a living. Web learn how to perform and interpret knee radiographs for various indications and pathologies. Learn about the normal anatomy, fat pads,. See normal anatomy, variants, and views for fracture, oa,. Learn how to prepare, what happens during the procedure and what the.
Source:
Normal Knee Xray - Learn how to interpret these images and see more examples of normal lower limb imaging. See normal anatomy, variants, and views for fracture, oa,. This chapter is part of a living. This article explains the key radiographic parameters, challenges, and. Web a case study of normal ap and lateral knee radiographs in an adult male for reference.
Source:
Normal Knee Xray - Learn how to prepare, what happens during the procedure and what the. Web a case study of normal ap and lateral knee radiographs in an adult male for reference. Learn about the normal anatomy, fat pads,. Learn how to interpret these images and see more examples of normal lower limb imaging. Web learn how to perform and interpret knee radiographs.
Source:
Normal Knee Xray - Web learn how to perform and interpret knee radiographs for various indications and pathologies. Learn about the normal anatomy, fat pads,. Learn how to interpret these images and see more examples of normal lower limb imaging. Learn how to prepare, what happens during the procedure and what the. Web a case study of normal ap and lateral knees radiographs in.
Source:
Normal Knee Xray - Learn how to interpret these images and see more examples of normal lower limb imaging. See normal anatomy, variants, and views for fracture, oa,. Learn how to prepare, what happens during the procedure and what the. This chapter is part of a living. Web learn how to perform and interpret knee radiographs for various indications and pathologies.
Source: www.bmj.com
Normal Knee Xray - Learn about the normal anatomy, fat pads,. See normal anatomy, variants, and views for fracture, oa,. This article explains the key radiographic parameters, challenges, and. Web a case study of normal ap and lateral knees radiographs in an adult female. Learn how to interpret these images and see more examples of normal lower limb imaging.
Source:
Normal Knee Xray - Web learn how to perform and interpret knee radiographs for various indications and pathologies. Learn how to interpret these images and see more examples of normal lower limb imaging. Web a case study of normal ap and lateral knee radiographs in an adult male for reference. This chapter is part of a living. Learn how to prepare, what happens during.
Source: bonexray.com
Normal Knee Xray - See normal anatomy, variants, and views for fracture, oa,. Learn how to interpret these images and see more examples of normal lower limb imaging. Learn about the normal anatomy, fat pads,. This article explains the key radiographic parameters, challenges, and. Learn how to prepare, what happens during the procedure and what the.
Source: exofttlev.blob.core.windows.net
Normal Knee Xray - Learn how to prepare, what happens during the procedure and what the. Web learn how to perform and interpret knee radiographs for various indications and pathologies. Web a case study of normal ap and lateral knee radiographs in an adult male for reference. This article explains the key radiographic parameters, challenges, and. See normal anatomy, variants, and views for fracture,.
Source:
Normal Knee Xray - Web learn how to perform and interpret knee radiographs for various indications and pathologies. Learn about the normal anatomy, fat pads,. Learn how to prepare, what happens during the procedure and what the. This chapter is part of a living. See normal anatomy, variants, and views for fracture, oa,.
Source: www.vrogue.co
Normal Knee Xray - Learn how to interpret these images and see more examples of normal lower limb imaging. This chapter is part of a living. Web a case study of normal ap and lateral knees radiographs in an adult female. Learn how to prepare, what happens during the procedure and what the. Web learn how to perform and interpret knee radiographs for various.
Source:
Normal Knee Xray - This chapter is part of a living. Web a case study of normal ap and lateral knee radiographs in an adult male for reference. Web learn how to perform and interpret knee radiographs for various indications and pathologies. Learn how to prepare, what happens during the procedure and what the. This article explains the key radiographic parameters, challenges, and.
Source: fity.club
Normal Knee Xray - This article explains the key radiographic parameters, challenges, and. Learn how to prepare, what happens during the procedure and what the. Web a case study of normal ap and lateral knees radiographs in an adult female. This chapter is part of a living. See normal anatomy, variants, and views for fracture, oa,.
Source:
Normal Knee Xray - Web a case study of normal ap and lateral knees radiographs in an adult female. Web learn how to perform and interpret knee radiographs for various indications and pathologies. This chapter is part of a living. Web a case study of normal ap and lateral knee radiographs in an adult male for reference. See normal anatomy, variants, and views for.
Source: healthproadvice.com
Normal Knee Xray - Web a case study of normal ap and lateral knees radiographs in an adult female. This article explains the key radiographic parameters, challenges, and. Web a case study of normal ap and lateral knee radiographs in an adult male for reference. Learn about the normal anatomy, fat pads,. Learn how to prepare, what happens during the procedure and what the.
Source:
Normal Knee Xray - Learn about the normal anatomy, fat pads,. See normal anatomy, variants, and views for fracture, oa,. Web a case study of normal ap and lateral knee radiographs in an adult male for reference. Learn how to interpret these images and see more examples of normal lower limb imaging. This article explains the key radiographic parameters, challenges, and.
Source: www.mskultrasoundinjections.co.uk
Normal Knee Xray - This chapter is part of a living. Web a case study of normal ap and lateral knees radiographs in an adult female. Learn about the normal anatomy, fat pads,. Web a case study of normal ap and lateral knee radiographs in an adult male for reference. This article explains the key radiographic parameters, challenges, and.