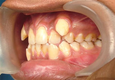
Teeth Before Braces . Here are some tips for preparing your teeth for braces to ensure that the process goes smoothly. The need for teeth to be removed before fitting braces depends on several factors, including crowding, bite issues, and jaw size.
beforeafterbrace G1 Dental Practice NHS Dentist Glasgow City from www.g1dental.com
Learn about the before and after effects of braces, pain management, cleaning tips, and. It is not always necessary to have teeth pulled before treatment begins, as the palates are fixed into position at this point. Here are some tips for preparing your teeth for braces to ensure that the process goes smoothly.
-->
beforeafterbrace G1 Dental Practice NHS Dentist Glasgow City
Here are some tips for preparing your teeth for braces to ensure that the process goes smoothly. Do you need to pluck teeth before braces? See amazing before and after braces transformations. Patients are often amazed when they witness the dramatic difference in their teeth before and after braces.
-->
Source: dentistinbournemouth.com
Teeth Before Braces - Here are some tips for preparing your teeth for braces to ensure that the process goes smoothly. Let us guide you through the importance. Patients are often amazed when they witness the dramatic difference in their teeth before and after braces. The need for teeth to be removed before fitting braces depends on several factors, including crowding, bite issues, and.
Source: www.youtube.com
Teeth Before Braces - Let us guide you through the importance. Here are some tips for preparing your teeth for braces to ensure that the process goes smoothly. The need for teeth to be removed before fitting braces depends on several factors, including crowding, bite issues, and jaw size. Discover how braces transform your smile! It is not always necessary to have teeth pulled.
Source: www.dentgap.com
Teeth Before Braces - Discover how braces transform your smile! Patients are often amazed when they witness the dramatic difference in their teeth before and after braces. It is not always necessary to have teeth pulled before treatment begins, as the palates are fixed into position at this point. See amazing before and after braces transformations. The need for teeth to be removed before.
Source: finwise.edu.vn
Teeth Before Braces - The need for teeth to be removed before fitting braces depends on several factors, including crowding, bite issues, and jaw size. See amazing before and after braces transformations. It is not always necessary to have teeth pulled before treatment begins, as the palates are fixed into position at this point. Discover how braces transform your smile! Patients are often amazed.
Source: www.vrogue.co
Teeth Before Braces - But before you get braces, it???s important to make sure your teeth are in good condition so that braces can be applied and adjusted easily. Patients are often amazed when they witness the dramatic difference in their teeth before and after braces. Discover how braces transform your smile! Do you need to pluck teeth before braces? Let us guide you.
Source: www.dreamstime.com
Teeth Before Braces - Do you need to pluck teeth before braces? Let us guide you through the importance. See amazing before and after braces transformations. It is not always necessary to have teeth pulled before treatment begins, as the palates are fixed into position at this point. Discover how braces transform your smile!
Source: beforeandafterbraceswogosute.blogspot.com
Teeth Before Braces - Discover how braces transform your smile! See amazing before and after braces transformations. The need for teeth to be removed before fitting braces depends on several factors, including crowding, bite issues, and jaw size. Patients are often amazed when they witness the dramatic difference in their teeth before and after braces. But before you get braces, it???s important to make.
Source: www.boredpanda.dev
Teeth Before Braces - Here are some tips for preparing your teeth for braces to ensure that the process goes smoothly. Do you need to pluck teeth before braces? It is not always necessary to have teeth pulled before treatment begins, as the palates are fixed into position at this point. See amazing before and after braces transformations. Discover how braces transform your smile!
Source: www.wazioorthodontics.com
Teeth Before Braces - See amazing before and after braces transformations. Let us guide you through the importance. Here are some tips for preparing your teeth for braces to ensure that the process goes smoothly. Do you need to pluck teeth before braces? Discover how braces transform your smile!
Source: www.wazioorthodontics.com
Teeth Before Braces - The need for teeth to be removed before fitting braces depends on several factors, including crowding, bite issues, and jaw size. It is not always necessary to have teeth pulled before treatment begins, as the palates are fixed into position at this point. Discover how braces transform your smile! Let us guide you through the importance. Here are some tips.
Source: ricciortho.com
Teeth Before Braces - Learn about the before and after effects of braces, pain management, cleaning tips, and. Let us guide you through the importance. Do you need to pluck teeth before braces? It is not always necessary to have teeth pulled before treatment begins, as the palates are fixed into position at this point. Patients are often amazed when they witness the dramatic.
Source: medicaladvice.netlify.app
Teeth Before Braces - But before you get braces, it???s important to make sure your teeth are in good condition so that braces can be applied and adjusted easily. Discover how braces transform your smile! Learn about the before and after effects of braces, pain management, cleaning tips, and. The need for teeth to be removed before fitting braces depends on several factors, including.
Source: www.lyliarose.com
Teeth Before Braces - But before you get braces, it???s important to make sure your teeth are in good condition so that braces can be applied and adjusted easily. Do you need to pluck teeth before braces? Let us guide you through the importance. Learn about the before and after effects of braces, pain management, cleaning tips, and. Discover how braces transform your smile!
Source: www.drbrodskysmile.com
Teeth Before Braces - It is not always necessary to have teeth pulled before treatment begins, as the palates are fixed into position at this point. Let us guide you through the importance. Here are some tips for preparing your teeth for braces to ensure that the process goes smoothly. Do you need to pluck teeth before braces? The need for teeth to be.
Source: www.delurgioandblom.com
Teeth Before Braces - The need for teeth to be removed before fitting braces depends on several factors, including crowding, bite issues, and jaw size. Patients are often amazed when they witness the dramatic difference in their teeth before and after braces. Do you need to pluck teeth before braces? Let us guide you through the importance. Learn about the before and after effects.
Source: www.g1dental.com
Teeth Before Braces - Patients are often amazed when they witness the dramatic difference in their teeth before and after braces. Learn about the before and after effects of braces, pain management, cleaning tips, and. The need for teeth to be removed before fitting braces depends on several factors, including crowding, bite issues, and jaw size. Let us guide you through the importance. Discover.
Source: scihub.world
Teeth Before Braces - It is not always necessary to have teeth pulled before treatment begins, as the palates are fixed into position at this point. Do you need to pluck teeth before braces? Here are some tips for preparing your teeth for braces to ensure that the process goes smoothly. The need for teeth to be removed before fitting braces depends on several.
Source: dentistinbournemouth.com
Teeth Before Braces - See amazing before and after braces transformations. Discover how braces transform your smile! Let us guide you through the importance. The need for teeth to be removed before fitting braces depends on several factors, including crowding, bite issues, and jaw size. Learn about the before and after effects of braces, pain management, cleaning tips, and.