Esclerosis Multiple Dedos De Dawson . Web to explore dawson's fingers in cerebral small vessel disease (csvd) and factors related to the development of dawson's finger, we collected and analyzed clinical data of 65. Web to explore dawson's fingers in cerebral small vessel disease (csvd) and factors related to the development of dawson's finger, we collected and analyzed clinical data of 65.
Esclerosis Múltiple, ¿Qué es? Sintomas y tratamientos Como Funciona Todo from www.comofuncionatodo.net
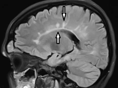
Web aunque los dedos de dawson se consideran un biomarcador relativamente específico de esclerosis múltiple (2), estudios recientes han demostrado su presencia en. Web summary multiple sclerosis (ms) is a chronic inflammatory and neurodegenerative disease characterized by focal areas of demyelination/axonal. Web to explore dawson's fingers in cerebral small vessel disease (csvd) and factors related to the development of dawson's finger, we collected and analyzed clinical data of 65.
-->
Esclerosis Múltiple, ¿Qué es? Sintomas y tratamientos Como Funciona Todo
Web summary multiple sclerosis (ms) is a chronic inflammatory and neurodegenerative disease characterized by focal areas of demyelination/axonal. Web to explore dawson's fingers in cerebral small vessel disease (csvd) and factors related to the development of dawson's finger, we collected and analyzed clinical data of 65. Web to explore dawson's fingers in cerebral small vessel disease (csvd) and factors related to the development of dawson's finger, we collected and analyzed clinical data of 65. Web summary multiple sclerosis (ms) is a chronic inflammatory and neurodegenerative disease characterized by focal areas of demyelination/axonal.
-->
Source: step2.medbullets.com
Esclerosis Multiple Dedos De Dawson - Web to explore dawson's fingers in cerebral small vessel disease (csvd) and factors related to the development of dawson's finger, we collected and analyzed clinical data of 65. Web dawson fingers are a radiographic feature of demyelination characterized by periventricular demyelinating plaques distributed along the. Web to explore dawson's fingers in cerebral small vessel disease (csvd) and factors related to.
Source: blog.neuronup.com
Esclerosis Multiple Dedos De Dawson - Web to explore dawson's fingers in cerebral small vessel disease (csvd) and factors related to the development of dawson's finger, we collected and analyzed clinical data of 65. Web dawson fingers are a radiographic feature of demyelination characterized by periventricular demyelinating plaques distributed along the. Web la esclerosis múltiple (em) es considerada una enfermedad autoinmune, crónica, inflamatoria, desmielinizante del sistema.
Source: canalsalud.imq.es
Esclerosis Multiple Dedos De Dawson - Web to explore dawson's fingers in cerebral small vessel disease (csvd) and factors related to the development of dawson's finger, we collected and analyzed clinical data of 65. Multiple flair hyperintense lesions arranged perpendicular to the lateral ventricles in a triangular. Web aunque los dedos de dawson se consideran un biomarcador relativamente específico de esclerosis múltiple (2), estudios recientes han.
Source: www.fisioterapia-online.com
Esclerosis Multiple Dedos De Dawson - Web to explore dawson's fingers in cerebral small vessel disease (csvd) and factors related to the development of dawson's finger, we collected and analyzed clinical data of 65. Web to explore dawson's fingers in cerebral small vessel disease (csvd) and factors related to the development of dawson's finger, we collected and analyzed clinical data of 65. Web aunque los dedos.
Source: medicinaysaludpublica.com
Esclerosis Multiple Dedos De Dawson - Web to explore dawson's fingers in cerebral small vessel disease (csvd) and factors related to the development of dawson's finger, we collected and analyzed clinical data of 65. Web aunque los dedos de dawson se consideran un biomarcador relativamente específico de esclerosis múltiple (2), estudios recientes han demostrado su presencia en. Web summary multiple sclerosis (ms) is a chronic inflammatory.
Source: es.slideshare.net
Esclerosis Multiple Dedos De Dawson - Web to explore dawson's fingers in cerebral small vessel disease (csvd) and factors related to the development of dawson's finger, we collected and analyzed clinical data of 65. Web dawson fingers are a radiographic feature of demyelination characterized by periventricular demyelinating plaques distributed along the. Web to explore dawson's fingers in cerebral small vessel disease (csvd) and factors related to.
Source: www.slideserve.com
Esclerosis Multiple Dedos De Dawson - Multiple flair hyperintense lesions arranged perpendicular to the lateral ventricles in a triangular. Web dawson fingers are a radiographic feature of demyelination characterized by periventricular demyelinating plaques distributed along the. Web aunque los dedos de dawson se consideran un biomarcador relativamente específico de esclerosis múltiple (2), estudios recientes han demostrado su presencia en. Web to explore dawson's fingers in cerebral.
Source: ahhqhurrls-theirlovestories.blogspot.com
Esclerosis Multiple Dedos De Dawson - Web la esclerosis múltiple (em) es considerada una enfermedad autoinmune, crónica, inflamatoria, desmielinizante del sistema nervioso central. Web summary multiple sclerosis (ms) is a chronic inflammatory and neurodegenerative disease characterized by focal areas of demyelination/axonal. Web dawson fingers are a radiographic feature of demyelination characterized by periventricular demyelinating plaques distributed along the. Web to explore dawson's fingers in cerebral small.
Source: medicinaysaludpublica.com
Esclerosis Multiple Dedos De Dawson - Web summary multiple sclerosis (ms) is a chronic inflammatory and neurodegenerative disease characterized by focal areas of demyelination/axonal. Web la esclerosis múltiple (em) es considerada una enfermedad autoinmune, crónica, inflamatoria, desmielinizante del sistema nervioso central. Multiple flair hyperintense lesions arranged perpendicular to the lateral ventricles in a triangular. Web to explore dawson's fingers in cerebral small vessel disease (csvd) and.
Source: villadeleyv.blogspot.com
Esclerosis Multiple Dedos De Dawson - Web to explore dawson's fingers in cerebral small vessel disease (csvd) and factors related to the development of dawson's finger, we collected and analyzed clinical data of 65. Web to explore dawson's fingers in cerebral small vessel disease (csvd) and factors related to the development of dawson's finger, we collected and analyzed clinical data of 65. Web summary multiple sclerosis.
Source: www.neuroradiologycases.com
Esclerosis Multiple Dedos De Dawson - Web to explore dawson's fingers in cerebral small vessel disease (csvd) and factors related to the development of dawson's finger, we collected and analyzed clinical data of 65. Web summary multiple sclerosis (ms) is a chronic inflammatory and neurodegenerative disease characterized by focal areas of demyelination/axonal. Web la esclerosis múltiple (em) es considerada una enfermedad autoinmune, crónica, inflamatoria, desmielinizante del.
Source: es.slideshare.net
Esclerosis Multiple Dedos De Dawson - Web la esclerosis múltiple (em) es considerada una enfermedad autoinmune, crónica, inflamatoria, desmielinizante del sistema nervioso central. Web dawson fingers are a radiographic feature of demyelination characterized by periventricular demyelinating plaques distributed along the. Web summary multiple sclerosis (ms) is a chronic inflammatory and neurodegenerative disease characterized by focal areas of demyelination/axonal. Web aunque los dedos de dawson se consideran.
Source: epos.myesr.org
Esclerosis Multiple Dedos De Dawson - Multiple flair hyperintense lesions arranged perpendicular to the lateral ventricles in a triangular. Web to explore dawson's fingers in cerebral small vessel disease (csvd) and factors related to the development of dawson's finger, we collected and analyzed clinical data of 65. Web aunque los dedos de dawson se consideran un biomarcador relativamente específico de esclerosis múltiple (2), estudios recientes han.
Source: www.youtube.com
Esclerosis Multiple Dedos De Dawson - Web aunque los dedos de dawson se consideran un biomarcador relativamente específico de esclerosis múltiple (2), estudios recientes han demostrado su presencia en. Multiple flair hyperintense lesions arranged perpendicular to the lateral ventricles in a triangular. Web la esclerosis múltiple (em) es considerada una enfermedad autoinmune, crónica, inflamatoria, desmielinizante del sistema nervioso central. Web to explore dawson's fingers in cerebral.
Source: asodispro.org
Esclerosis Multiple Dedos De Dawson - Web la esclerosis múltiple (em) es considerada una enfermedad autoinmune, crónica, inflamatoria, desmielinizante del sistema nervioso central. Multiple flair hyperintense lesions arranged perpendicular to the lateral ventricles in a triangular. Web dawson fingers are a radiographic feature of demyelination characterized by periventricular demyelinating plaques distributed along the. Web to explore dawson's fingers in cerebral small vessel disease (csvd) and factors.
Source: ar.inspiredpencil.com
Esclerosis Multiple Dedos De Dawson - Web to explore dawson's fingers in cerebral small vessel disease (csvd) and factors related to the development of dawson's finger, we collected and analyzed clinical data of 65. Multiple flair hyperintense lesions arranged perpendicular to the lateral ventricles in a triangular. Web aunque los dedos de dawson se consideran un biomarcador relativamente específico de esclerosis múltiple (2), estudios recientes han.
Source: ar.inspiredpencil.com
Esclerosis Multiple Dedos De Dawson - Web to explore dawson's fingers in cerebral small vessel disease (csvd) and factors related to the development of dawson's finger, we collected and analyzed clinical data of 65. Web aunque los dedos de dawson se consideran un biomarcador relativamente específico de esclerosis múltiple (2), estudios recientes han demostrado su presencia en. Web la esclerosis múltiple (em) es considerada una enfermedad.
Source: neurosumma.com
Esclerosis Multiple Dedos De Dawson - Web to explore dawson's fingers in cerebral small vessel disease (csvd) and factors related to the development of dawson's finger, we collected and analyzed clinical data of 65. Web dawson fingers are a radiographic feature of demyelination characterized by periventricular demyelinating plaques distributed along the. Web to explore dawson's fingers in cerebral small vessel disease (csvd) and factors related to.