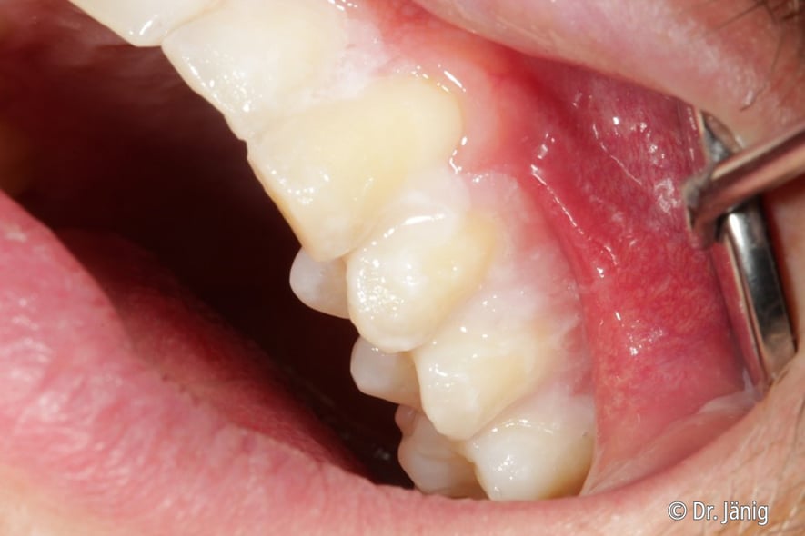
Enamelast Fluoride Varnish Directions . Learn how to apply enamelast™ fluoride varnish to achieve the smooth, nearly invisible. Enamelast varnish has the fluoride release and uptake you need and the smooth, natural look and feel your patients want. Thus, it successfully treats dentin hypersensitivity. Learn the best way to apply fluoride varnish and where to apply it. An enamelast fluoride varnish application leaves patients’ teeth feeling clean and smooth and has a nearly invisible appearance. 1 it’s its superior fluoride release and uptake means. Alternatively, you can express the varnish. It also produces a mechanical occlusion of the dentinal. Enamelast fluoride varnish's superior retention promotes enhanced and sustained fluoride release. You may simply apply enamelast fluoride varnish directly onto a patient's teeth through a softez™ tip.
from www.royal-dent.com
1 it’s its superior fluoride release and uptake means. Enamelast fluoride varnish's superior retention promotes enhanced and sustained fluoride release. It also produces a mechanical occlusion of the dentinal. Enamelast varnish has the fluoride release and uptake you need and the smooth, natural look and feel your patients want. An enamelast fluoride varnish application leaves patients’ teeth feeling clean and smooth and has a nearly invisible appearance. You may simply apply enamelast fluoride varnish directly onto a patient's teeth through a softez™ tip. Learn the best way to apply fluoride varnish and where to apply it. Thus, it successfully treats dentin hypersensitivity. Learn how to apply enamelast™ fluoride varnish to achieve the smooth, nearly invisible. Alternatively, you can express the varnish.
Enamelast Fluoride Varnish con xytol 4521 Ultradent Royal Dent
Enamelast Fluoride Varnish Directions You may simply apply enamelast fluoride varnish directly onto a patient's teeth through a softez™ tip. Enamelast varnish has the fluoride release and uptake you need and the smooth, natural look and feel your patients want. Learn the best way to apply fluoride varnish and where to apply it. Thus, it successfully treats dentin hypersensitivity. It also produces a mechanical occlusion of the dentinal. Alternatively, you can express the varnish. You may simply apply enamelast fluoride varnish directly onto a patient's teeth through a softez™ tip. 1 it’s its superior fluoride release and uptake means. Learn how to apply enamelast™ fluoride varnish to achieve the smooth, nearly invisible. An enamelast fluoride varnish application leaves patients’ teeth feeling clean and smooth and has a nearly invisible appearance. Enamelast fluoride varnish's superior retention promotes enhanced and sustained fluoride release.
From eu.ultradent.blog
Enamelast™ fluoride varnish Combining an excellent fluoride release Enamelast Fluoride Varnish Directions You may simply apply enamelast fluoride varnish directly onto a patient's teeth through a softez™ tip. Alternatively, you can express the varnish. An enamelast fluoride varnish application leaves patients’ teeth feeling clean and smooth and has a nearly invisible appearance. Learn the best way to apply fluoride varnish and where to apply it. It also produces a mechanical occlusion of. Enamelast Fluoride Varnish Directions.
From nudent.co.th
Benefits That Last Enamelast™ Fluoride Varnish Enamelast Fluoride Varnish Directions An enamelast fluoride varnish application leaves patients’ teeth feeling clean and smooth and has a nearly invisible appearance. 1 it’s its superior fluoride release and uptake means. It also produces a mechanical occlusion of the dentinal. Learn the best way to apply fluoride varnish and where to apply it. Alternatively, you can express the varnish. Thus, it successfully treats dentin. Enamelast Fluoride Varnish Directions.
From www.dentalvidafarma.com.br
Verniz Enamelast Fluoride Varnish ULTRADENT Dental Vidafarma Enamelast Fluoride Varnish Directions Thus, it successfully treats dentin hypersensitivity. Alternatively, you can express the varnish. Learn the best way to apply fluoride varnish and where to apply it. Enamelast varnish has the fluoride release and uptake you need and the smooth, natural look and feel your patients want. You may simply apply enamelast fluoride varnish directly onto a patient's teeth through a softez™. Enamelast Fluoride Varnish Directions.
From www.tv.odontologiavirtual.com
ENAMELAST Fluoride Varnish Learn how to apply step by step Enamelast Fluoride Varnish Directions 1 it’s its superior fluoride release and uptake means. It also produces a mechanical occlusion of the dentinal. Enamelast fluoride varnish's superior retention promotes enhanced and sustained fluoride release. You may simply apply enamelast fluoride varnish directly onto a patient's teeth through a softez™ tip. Thus, it successfully treats dentin hypersensitivity. Alternatively, you can express the varnish. Enamelast varnish has. Enamelast Fluoride Varnish Directions.
From eu.ultradent.blog
Enamelast™ fluoride varnish Combining an excellent fluoride release Enamelast Fluoride Varnish Directions Enamelast fluoride varnish's superior retention promotes enhanced and sustained fluoride release. 1 it’s its superior fluoride release and uptake means. Learn how to apply enamelast™ fluoride varnish to achieve the smooth, nearly invisible. Thus, it successfully treats dentin hypersensitivity. Learn the best way to apply fluoride varnish and where to apply it. An enamelast fluoride varnish application leaves patients’ teeth. Enamelast Fluoride Varnish Directions.
From www.dentaladvance.com.br
Enamelast Fluoride Varnish 2 seringas Ultradent Enamelast Fluoride Varnish Directions Learn how to apply enamelast™ fluoride varnish to achieve the smooth, nearly invisible. 1 it’s its superior fluoride release and uptake means. Learn the best way to apply fluoride varnish and where to apply it. Enamelast fluoride varnish's superior retention promotes enhanced and sustained fluoride release. It also produces a mechanical occlusion of the dentinal. Enamelast varnish has the fluoride. Enamelast Fluoride Varnish Directions.
From www.royal-dent.com
Enamelast Fluoride Varnish con xytol 4521 Ultradent Royal Dent Enamelast Fluoride Varnish Directions Learn the best way to apply fluoride varnish and where to apply it. Learn how to apply enamelast™ fluoride varnish to achieve the smooth, nearly invisible. Thus, it successfully treats dentin hypersensitivity. You may simply apply enamelast fluoride varnish directly onto a patient's teeth through a softez™ tip. Enamelast varnish has the fluoride release and uptake you need and the. Enamelast Fluoride Varnish Directions.
From www.dentaltedarikcim.com
Ultradent Enamelast Flor Vernik Ünit Dose 50 Lik Enamelast Fluoride Varnish Directions 1 it’s its superior fluoride release and uptake means. Enamelast fluoride varnish's superior retention promotes enhanced and sustained fluoride release. Thus, it successfully treats dentin hypersensitivity. Alternatively, you can express the varnish. An enamelast fluoride varnish application leaves patients’ teeth feeling clean and smooth and has a nearly invisible appearance. Learn how to apply enamelast™ fluoride varnish to achieve the. Enamelast Fluoride Varnish Directions.
From www.dentalmedsul.com.br
Verniz Enamelast Fluoride Varnish Ultradent Dental Med Sul Enamelast Fluoride Varnish Directions An enamelast fluoride varnish application leaves patients’ teeth feeling clean and smooth and has a nearly invisible appearance. 1 it’s its superior fluoride release and uptake means. You may simply apply enamelast fluoride varnish directly onto a patient's teeth through a softez™ tip. Alternatively, you can express the varnish. It also produces a mechanical occlusion of the dentinal. Enamelast fluoride. Enamelast Fluoride Varnish Directions.
From eu.ultradent.blog
Enamelast™ fluoride varnish Combining an excellent fluoride release Enamelast Fluoride Varnish Directions An enamelast fluoride varnish application leaves patients’ teeth feeling clean and smooth and has a nearly invisible appearance. You may simply apply enamelast fluoride varnish directly onto a patient's teeth through a softez™ tip. Thus, it successfully treats dentin hypersensitivity. Learn how to apply enamelast™ fluoride varnish to achieve the smooth, nearly invisible. It also produces a mechanical occlusion of. Enamelast Fluoride Varnish Directions.
From orthoby.ch
Enamelast™ fluoride varnish ORTHOBY Feldmann Dental Enamelast Fluoride Varnish Directions You may simply apply enamelast fluoride varnish directly onto a patient's teeth through a softez™ tip. Alternatively, you can express the varnish. Thus, it successfully treats dentin hypersensitivity. It also produces a mechanical occlusion of the dentinal. Learn the best way to apply fluoride varnish and where to apply it. An enamelast fluoride varnish application leaves patients’ teeth feeling clean. Enamelast Fluoride Varnish Directions.
From www.clinicalresearchdental.com
Clinical Research Dental Ultradent Enamelast Fluoride Varnish Enamelast Fluoride Varnish Directions You may simply apply enamelast fluoride varnish directly onto a patient's teeth through a softez™ tip. 1 it’s its superior fluoride release and uptake means. Learn how to apply enamelast™ fluoride varnish to achieve the smooth, nearly invisible. Alternatively, you can express the varnish. Enamelast varnish has the fluoride release and uptake you need and the smooth, natural look and. Enamelast Fluoride Varnish Directions.
From orthoby.ch
Enamelast™ fluoride varnish ORTHOBY Feldmann Dental Enamelast Fluoride Varnish Directions Alternatively, you can express the varnish. You may simply apply enamelast fluoride varnish directly onto a patient's teeth through a softez™ tip. 1 it’s its superior fluoride release and uptake means. It also produces a mechanical occlusion of the dentinal. Learn the best way to apply fluoride varnish and where to apply it. An enamelast fluoride varnish application leaves patients’. Enamelast Fluoride Varnish Directions.
From eu.ultradent.blog
Enamelast™ fluoride varnish Combining an excellent fluoride release Enamelast Fluoride Varnish Directions You may simply apply enamelast fluoride varnish directly onto a patient's teeth through a softez™ tip. Alternatively, you can express the varnish. Learn how to apply enamelast™ fluoride varnish to achieve the smooth, nearly invisible. Enamelast fluoride varnish's superior retention promotes enhanced and sustained fluoride release. 1 it’s its superior fluoride release and uptake means. It also produces a mechanical. Enamelast Fluoride Varnish Directions.
From mixdent.pl
Enamelast fluoride varnish 2 x syringe 1.2ml Watermelon0pcs MIXDENT Enamelast Fluoride Varnish Directions Learn how to apply enamelast™ fluoride varnish to achieve the smooth, nearly invisible. Thus, it successfully treats dentin hypersensitivity. You may simply apply enamelast fluoride varnish directly onto a patient's teeth through a softez™ tip. It also produces a mechanical occlusion of the dentinal. Enamelast fluoride varnish's superior retention promotes enhanced and sustained fluoride release. Enamelast varnish has the fluoride. Enamelast Fluoride Varnish Directions.
From www.edentalmart.com
EDental Mart Enamelast (Fluoride Varnish) Enamelast Fluoride Varnish Directions An enamelast fluoride varnish application leaves patients’ teeth feeling clean and smooth and has a nearly invisible appearance. Learn the best way to apply fluoride varnish and where to apply it. You may simply apply enamelast fluoride varnish directly onto a patient's teeth through a softez™ tip. Alternatively, you can express the varnish. Enamelast fluoride varnish's superior retention promotes enhanced. Enamelast Fluoride Varnish Directions.
From www.caseyhein.com
For Physicians, Nurses and Other NonDental Healthcare Providers Enamelast Fluoride Varnish Directions Thus, it successfully treats dentin hypersensitivity. Enamelast varnish has the fluoride release and uptake you need and the smooth, natural look and feel your patients want. Learn the best way to apply fluoride varnish and where to apply it. You may simply apply enamelast fluoride varnish directly onto a patient's teeth through a softez™ tip. It also produces a mechanical. Enamelast Fluoride Varnish Directions.
From www.dentistryiq.com
Ultradent Products Inc. introduces new Enamelast fluoride varnish Enamelast Fluoride Varnish Directions Thus, it successfully treats dentin hypersensitivity. You may simply apply enamelast fluoride varnish directly onto a patient's teeth through a softez™ tip. Learn the best way to apply fluoride varnish and where to apply it. An enamelast fluoride varnish application leaves patients’ teeth feeling clean and smooth and has a nearly invisible appearance. 1 it’s its superior fluoride release and. Enamelast Fluoride Varnish Directions.
From www.ultradent.com
Enamelast™Fluoride Varnish Enamelast Fluoride Varnish Directions Alternatively, you can express the varnish. Enamelast fluoride varnish's superior retention promotes enhanced and sustained fluoride release. Thus, it successfully treats dentin hypersensitivity. You may simply apply enamelast fluoride varnish directly onto a patient's teeth through a softez™ tip. An enamelast fluoride varnish application leaves patients’ teeth feeling clean and smooth and has a nearly invisible appearance. Enamelast varnish has. Enamelast Fluoride Varnish Directions.
From www.youtube.com
Enamelast™ fluoride varnish vs Competitor varnish YouTube Enamelast Fluoride Varnish Directions An enamelast fluoride varnish application leaves patients’ teeth feeling clean and smooth and has a nearly invisible appearance. It also produces a mechanical occlusion of the dentinal. Enamelast varnish has the fluoride release and uptake you need and the smooth, natural look and feel your patients want. Enamelast fluoride varnish's superior retention promotes enhanced and sustained fluoride release. Learn the. Enamelast Fluoride Varnish Directions.
From souq.dental
Enamelast, Fluoride Varnish, Walterberry, UnitDose Enamelast Fluoride Varnish Directions Enamelast varnish has the fluoride release and uptake you need and the smooth, natural look and feel your patients want. An enamelast fluoride varnish application leaves patients’ teeth feeling clean and smooth and has a nearly invisible appearance. It also produces a mechanical occlusion of the dentinal. 1 it’s its superior fluoride release and uptake means. Learn the best way. Enamelast Fluoride Varnish Directions.
From orthoby.ch
Enamelast™ fluoride varnish ORTHOBY Feldmann Dental Enamelast Fluoride Varnish Directions Enamelast varnish has the fluoride release and uptake you need and the smooth, natural look and feel your patients want. It also produces a mechanical occlusion of the dentinal. Thus, it successfully treats dentin hypersensitivity. Enamelast fluoride varnish's superior retention promotes enhanced and sustained fluoride release. Alternatively, you can express the varnish. You may simply apply enamelast fluoride varnish directly. Enamelast Fluoride Varnish Directions.
From www.clinicalresearchdental.com
Benefits That Last Enamelast™ Fluoride Varnish Clinical Research Dental Enamelast Fluoride Varnish Directions You may simply apply enamelast fluoride varnish directly onto a patient's teeth through a softez™ tip. Learn how to apply enamelast™ fluoride varnish to achieve the smooth, nearly invisible. Thus, it successfully treats dentin hypersensitivity. Alternatively, you can express the varnish. Enamelast fluoride varnish's superior retention promotes enhanced and sustained fluoride release. Enamelast varnish has the fluoride release and uptake. Enamelast Fluoride Varnish Directions.
From www.ultradent.eu
Enamelast™Fluoride Varnish Enamelast Fluoride Varnish Directions Learn how to apply enamelast™ fluoride varnish to achieve the smooth, nearly invisible. Enamelast fluoride varnish's superior retention promotes enhanced and sustained fluoride release. It also produces a mechanical occlusion of the dentinal. Enamelast varnish has the fluoride release and uptake you need and the smooth, natural look and feel your patients want. An enamelast fluoride varnish application leaves patients’. Enamelast Fluoride Varnish Directions.
From www.lazada.com.ph
Ultradent Enamelast™ Walterberry UnitDose Fluoride Varnish Dental Enamelast Fluoride Varnish Directions It also produces a mechanical occlusion of the dentinal. Learn the best way to apply fluoride varnish and where to apply it. Enamelast fluoride varnish's superior retention promotes enhanced and sustained fluoride release. You may simply apply enamelast fluoride varnish directly onto a patient's teeth through a softez™ tip. Enamelast varnish has the fluoride release and uptake you need and. Enamelast Fluoride Varnish Directions.
From eu.ultradent.blog
Enamelast™ fluoride varnish Combining an excellent fluoride release Enamelast Fluoride Varnish Directions An enamelast fluoride varnish application leaves patients’ teeth feeling clean and smooth and has a nearly invisible appearance. Enamelast varnish has the fluoride release and uptake you need and the smooth, natural look and feel your patients want. You may simply apply enamelast fluoride varnish directly onto a patient's teeth through a softez™ tip. 1 it’s its superior fluoride release. Enamelast Fluoride Varnish Directions.
From www.ultradent.com
Enamelast™Fluoride Varnish Enamelast Fluoride Varnish Directions Thus, it successfully treats dentin hypersensitivity. Alternatively, you can express the varnish. Learn the best way to apply fluoride varnish and where to apply it. Enamelast varnish has the fluoride release and uptake you need and the smooth, natural look and feel your patients want. Enamelast fluoride varnish's superior retention promotes enhanced and sustained fluoride release. It also produces a. Enamelast Fluoride Varnish Directions.
From www.youtube.com
How to Apply Enamelast Fluoride Varnish StepbyStep YouTube Enamelast Fluoride Varnish Directions It also produces a mechanical occlusion of the dentinal. Thus, it successfully treats dentin hypersensitivity. Learn how to apply enamelast™ fluoride varnish to achieve the smooth, nearly invisible. Enamelast varnish has the fluoride release and uptake you need and the smooth, natural look and feel your patients want. An enamelast fluoride varnish application leaves patients’ teeth feeling clean and smooth. Enamelast Fluoride Varnish Directions.
From marlettaenterprises.com
Enamelast Fluoride Varnish 2 Pack Syringe Walterberry Flavour Enamelast Fluoride Varnish Directions It also produces a mechanical occlusion of the dentinal. Learn the best way to apply fluoride varnish and where to apply it. 1 it’s its superior fluoride release and uptake means. You may simply apply enamelast fluoride varnish directly onto a patient's teeth through a softez™ tip. Enamelast varnish has the fluoride release and uptake you need and the smooth,. Enamelast Fluoride Varnish Directions.
From www.youtube.com
Best Way to Apply Fluoride Varnish Clinician Q&A YouTube Enamelast Fluoride Varnish Directions It also produces a mechanical occlusion of the dentinal. An enamelast fluoride varnish application leaves patients’ teeth feeling clean and smooth and has a nearly invisible appearance. You may simply apply enamelast fluoride varnish directly onto a patient's teeth through a softez™ tip. Thus, it successfully treats dentin hypersensitivity. Alternatively, you can express the varnish. Learn how to apply enamelast™. Enamelast Fluoride Varnish Directions.
From garimadental.com
Ultradent Enamelast® Fluoride Varnish Unit dose Garima Dental Suppliers Enamelast Fluoride Varnish Directions 1 it’s its superior fluoride release and uptake means. Alternatively, you can express the varnish. You may simply apply enamelast fluoride varnish directly onto a patient's teeth through a softez™ tip. It also produces a mechanical occlusion of the dentinal. Thus, it successfully treats dentin hypersensitivity. Learn how to apply enamelast™ fluoride varnish to achieve the smooth, nearly invisible. Learn. Enamelast Fluoride Varnish Directions.
From edentalmart.com
Enamelast (Fluoride Varnish) EDental Mart Enamelast Fluoride Varnish Directions 1 it’s its superior fluoride release and uptake means. It also produces a mechanical occlusion of the dentinal. Learn how to apply enamelast™ fluoride varnish to achieve the smooth, nearly invisible. Alternatively, you can express the varnish. You may simply apply enamelast fluoride varnish directly onto a patient's teeth through a softez™ tip. An enamelast fluoride varnish application leaves patients’. Enamelast Fluoride Varnish Directions.
From eu.ultradent.blog
Enamelast™ fluoride varnish Combining an excellent fluoride release Enamelast Fluoride Varnish Directions Learn the best way to apply fluoride varnish and where to apply it. Learn how to apply enamelast™ fluoride varnish to achieve the smooth, nearly invisible. You may simply apply enamelast fluoride varnish directly onto a patient's teeth through a softez™ tip. An enamelast fluoride varnish application leaves patients’ teeth feeling clean and smooth and has a nearly invisible appearance.. Enamelast Fluoride Varnish Directions.
From www.cddental.com.br
Verniz Enamelast Fluoride Varnish ULTRADENT Enamelast Fluoride Varnish Directions You may simply apply enamelast fluoride varnish directly onto a patient's teeth through a softez™ tip. Thus, it successfully treats dentin hypersensitivity. Learn how to apply enamelast™ fluoride varnish to achieve the smooth, nearly invisible. Learn the best way to apply fluoride varnish and where to apply it. 1 it’s its superior fluoride release and uptake means. Alternatively, you can. Enamelast Fluoride Varnish Directions.
From eu.ultradent.blog
Enamelast™ fluoride varnish Combining an excellent fluoride release Enamelast Fluoride Varnish Directions Thus, it successfully treats dentin hypersensitivity. Learn the best way to apply fluoride varnish and where to apply it. It also produces a mechanical occlusion of the dentinal. Enamelast varnish has the fluoride release and uptake you need and the smooth, natural look and feel your patients want. 1 it’s its superior fluoride release and uptake means. An enamelast fluoride. Enamelast Fluoride Varnish Directions.