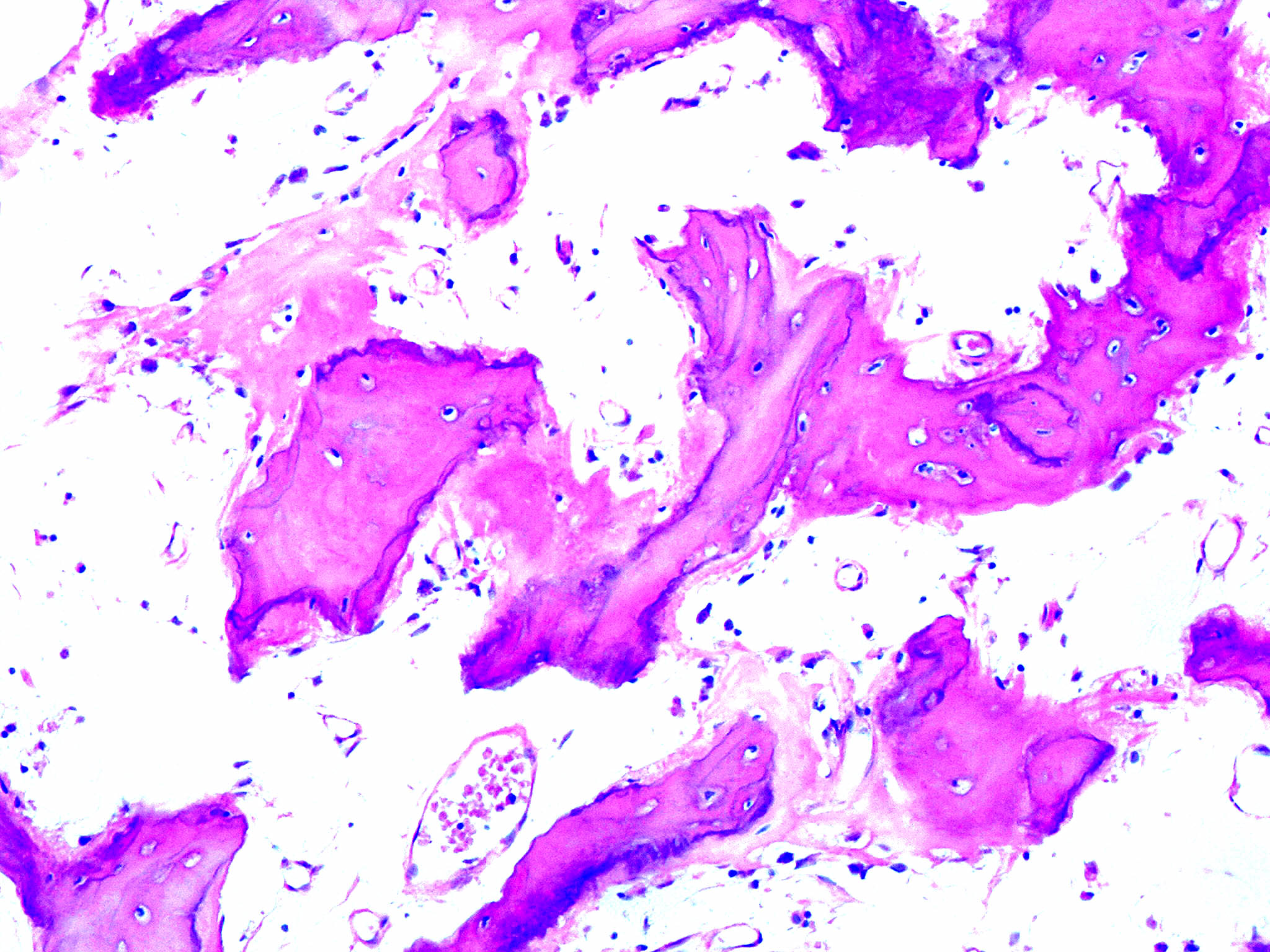
Paget's Disease Ribs . Paget disease is a disorder of increased bone resorption and formation in older persons that leads to thickening and fragility of the affected bones. Paget disease is the second most common bone disease after osteoporosis that affects elderly persons in the united states. We revisit paget disease of bone and present the gamut of imaging findings associated with this skeletal disorder, both uncomplicated and complicated. Paget's disease is an idiopathic condition of abnormal bone remodeling with normal bone being replaced through an active interplay between excessive bone resorption and abnormal new. When paget’s disease puts strain on joints it can lead to damage (osteoarthritis) and if pain and disability from this become severe, joint. Paget disease, right 6th rib. The symptoms of paget’s disease vary widely. In many cases, individuals are unaware that they. Many people who have paget’s disease do not have symptoms and never develop complications. The cortex is thickened (white arrows) but the medullary space remains intact (red arrow) with no evidence.
from 5minuteconsult.com
Paget disease, right 6th rib. When paget’s disease puts strain on joints it can lead to damage (osteoarthritis) and if pain and disability from this become severe, joint. The symptoms of paget’s disease vary widely. Paget disease is a disorder of increased bone resorption and formation in older persons that leads to thickening and fragility of the affected bones. We revisit paget disease of bone and present the gamut of imaging findings associated with this skeletal disorder, both uncomplicated and complicated. The cortex is thickened (white arrows) but the medullary space remains intact (red arrow) with no evidence. Paget disease is the second most common bone disease after osteoporosis that affects elderly persons in the united states. In many cases, individuals are unaware that they. Paget's disease is an idiopathic condition of abnormal bone remodeling with normal bone being replaced through an active interplay between excessive bone resorption and abnormal new. Many people who have paget’s disease do not have symptoms and never develop complications.
Paget Disease, Emergency Medicine Diseases & Conditions 5MinuteConsult
Paget's Disease Ribs Paget disease is a disorder of increased bone resorption and formation in older persons that leads to thickening and fragility of the affected bones. Paget disease, right 6th rib. In many cases, individuals are unaware that they. The cortex is thickened (white arrows) but the medullary space remains intact (red arrow) with no evidence. The symptoms of paget’s disease vary widely. Paget's disease is an idiopathic condition of abnormal bone remodeling with normal bone being replaced through an active interplay between excessive bone resorption and abnormal new. Paget disease is the second most common bone disease after osteoporosis that affects elderly persons in the united states. We revisit paget disease of bone and present the gamut of imaging findings associated with this skeletal disorder, both uncomplicated and complicated. Many people who have paget’s disease do not have symptoms and never develop complications. When paget’s disease puts strain on joints it can lead to damage (osteoarthritis) and if pain and disability from this become severe, joint. Paget disease is a disorder of increased bone resorption and formation in older persons that leads to thickening and fragility of the affected bones.
From pubs.rsna.org
Paget Disease of the Breast Mammographic, US, and MR Imaging Findings Paget's Disease Ribs The cortex is thickened (white arrows) but the medullary space remains intact (red arrow) with no evidence. The symptoms of paget’s disease vary widely. Paget's disease is an idiopathic condition of abnormal bone remodeling with normal bone being replaced through an active interplay between excessive bone resorption and abnormal new. In many cases, individuals are unaware that they. When paget’s. Paget's Disease Ribs.
From radiopaedia.org
Paget disease of a rib Image Paget's Disease Ribs Paget disease is the second most common bone disease after osteoporosis that affects elderly persons in the united states. When paget’s disease puts strain on joints it can lead to damage (osteoarthritis) and if pain and disability from this become severe, joint. The symptoms of paget’s disease vary widely. Paget disease, right 6th rib. In many cases, individuals are unaware. Paget's Disease Ribs.
From radiopaedia.org
Paget disease Image Paget's Disease Ribs In many cases, individuals are unaware that they. The symptoms of paget’s disease vary widely. The cortex is thickened (white arrows) but the medullary space remains intact (red arrow) with no evidence. Paget disease, right 6th rib. When paget’s disease puts strain on joints it can lead to damage (osteoarthritis) and if pain and disability from this become severe, joint.. Paget's Disease Ribs.
From pocketdentistry.com
Paget Disease Pocket Dentistry Paget's Disease Ribs We revisit paget disease of bone and present the gamut of imaging findings associated with this skeletal disorder, both uncomplicated and complicated. Paget disease is a disorder of increased bone resorption and formation in older persons that leads to thickening and fragility of the affected bones. Many people who have paget’s disease do not have symptoms and never develop complications.. Paget's Disease Ribs.
From www.learningradiology.com
Learning Radiology paget, disease, paget's, pelvis Paget's Disease Ribs The cortex is thickened (white arrows) but the medullary space remains intact (red arrow) with no evidence. When paget’s disease puts strain on joints it can lead to damage (osteoarthritis) and if pain and disability from this become severe, joint. Paget disease, right 6th rib. We revisit paget disease of bone and present the gamut of imaging findings associated with. Paget's Disease Ribs.
From www.homenaturalcures.com
Symptoms And Causes Of Paget's Disease Of Bones Paget's Disease Ribs We revisit paget disease of bone and present the gamut of imaging findings associated with this skeletal disorder, both uncomplicated and complicated. The cortex is thickened (white arrows) but the medullary space remains intact (red arrow) with no evidence. When paget’s disease puts strain on joints it can lead to damage (osteoarthritis) and if pain and disability from this become. Paget's Disease Ribs.
From center-for-senior-health.com
Paget's Disease of Bone Symptoms, Causes, and Treatments Center For Paget's Disease Ribs The cortex is thickened (white arrows) but the medullary space remains intact (red arrow) with no evidence. Paget disease, right 6th rib. The symptoms of paget’s disease vary widely. Paget disease is a disorder of increased bone resorption and formation in older persons that leads to thickening and fragility of the affected bones. Paget's disease is an idiopathic condition of. Paget's Disease Ribs.
From 5minuteconsult.com
Paget Disease, Emergency Medicine Diseases & Conditions 5MinuteConsult Paget's Disease Ribs The symptoms of paget’s disease vary widely. Paget disease is the second most common bone disease after osteoporosis that affects elderly persons in the united states. We revisit paget disease of bone and present the gamut of imaging findings associated with this skeletal disorder, both uncomplicated and complicated. Paget's disease is an idiopathic condition of abnormal bone remodeling with normal. Paget's Disease Ribs.
From blog.boneandjointclinic.org
Paget’s Disease The Bone and Joint Clinic Paget's Disease Ribs Paget's disease is an idiopathic condition of abnormal bone remodeling with normal bone being replaced through an active interplay between excessive bone resorption and abnormal new. We revisit paget disease of bone and present the gamut of imaging findings associated with this skeletal disorder, both uncomplicated and complicated. When paget’s disease puts strain on joints it can lead to damage. Paget's Disease Ribs.
From www.jvascsurg.org
A comprehensive review of PagetSchroetter syndrome Journal of Paget's Disease Ribs Paget's disease is an idiopathic condition of abnormal bone remodeling with normal bone being replaced through an active interplay between excessive bone resorption and abnormal new. When paget’s disease puts strain on joints it can lead to damage (osteoarthritis) and if pain and disability from this become severe, joint. The cortex is thickened (white arrows) but the medullary space remains. Paget's Disease Ribs.
From www.youtube.com
What is Paget's disease? YouTube Paget's Disease Ribs In many cases, individuals are unaware that they. Paget disease is the second most common bone disease after osteoporosis that affects elderly persons in the united states. The symptoms of paget’s disease vary widely. Paget disease is a disorder of increased bone resorption and formation in older persons that leads to thickening and fragility of the affected bones. Paget's disease. Paget's Disease Ribs.
From www.msdmanuals.com
Image XRay of the Pelvis in Paget Disease MSD Manual Professional Paget's Disease Ribs Paget disease is a disorder of increased bone resorption and formation in older persons that leads to thickening and fragility of the affected bones. Paget disease, right 6th rib. Paget disease is the second most common bone disease after osteoporosis that affects elderly persons in the united states. We revisit paget disease of bone and present the gamut of imaging. Paget's Disease Ribs.
From www.dermatologyadvisor.com
Paget's Disease of the Breast and Extramammary Paget's Disease Paget's Disease Ribs Paget's disease is an idiopathic condition of abnormal bone remodeling with normal bone being replaced through an active interplay between excessive bone resorption and abnormal new. The cortex is thickened (white arrows) but the medullary space remains intact (red arrow) with no evidence. Paget disease is a disorder of increased bone resorption and formation in older persons that leads to. Paget's Disease Ribs.
From 5minuteconsult.com
Paget Disease, Emergency Medicine Diseases & Conditions 5MinuteConsult Paget's Disease Ribs The cortex is thickened (white arrows) but the medullary space remains intact (red arrow) with no evidence. We revisit paget disease of bone and present the gamut of imaging findings associated with this skeletal disorder, both uncomplicated and complicated. The symptoms of paget’s disease vary widely. Paget disease is the second most common bone disease after osteoporosis that affects elderly. Paget's Disease Ribs.
From www.youtube.com
What is Paget’s Disease of Bone and how does bisphosphonate treatment Paget's Disease Ribs In many cases, individuals are unaware that they. We revisit paget disease of bone and present the gamut of imaging findings associated with this skeletal disorder, both uncomplicated and complicated. Paget disease is the second most common bone disease after osteoporosis that affects elderly persons in the united states. Paget disease, right 6th rib. When paget’s disease puts strain on. Paget's Disease Ribs.
From orthoinfo.aaos.org
Paget's Disease of Bone Symptoms and Treatment OrthoInfo AAOS Paget's Disease Ribs Many people who have paget’s disease do not have symptoms and never develop complications. The cortex is thickened (white arrows) but the medullary space remains intact (red arrow) with no evidence. Paget disease is the second most common bone disease after osteoporosis that affects elderly persons in the united states. In many cases, individuals are unaware that they. When paget’s. Paget's Disease Ribs.
From www.researchgate.net
Representation of Paget's disease of bone Download Scientific Diagram Paget's Disease Ribs Paget disease, right 6th rib. Paget disease is the second most common bone disease after osteoporosis that affects elderly persons in the united states. In many cases, individuals are unaware that they. When paget’s disease puts strain on joints it can lead to damage (osteoarthritis) and if pain and disability from this become severe, joint. We revisit paget disease of. Paget's Disease Ribs.
From learningradiology.com
Learning Radiology Paget Disease of the Rib Paget's Disease Ribs Many people who have paget’s disease do not have symptoms and never develop complications. The symptoms of paget’s disease vary widely. We revisit paget disease of bone and present the gamut of imaging findings associated with this skeletal disorder, both uncomplicated and complicated. Paget disease, right 6th rib. Paget's disease is an idiopathic condition of abnormal bone remodeling with normal. Paget's Disease Ribs.
From 5minuteconsult.com
Paget Disease, Emergency Medicine Diseases & Conditions 5MinuteConsult Paget's Disease Ribs In many cases, individuals are unaware that they. We revisit paget disease of bone and present the gamut of imaging findings associated with this skeletal disorder, both uncomplicated and complicated. When paget’s disease puts strain on joints it can lead to damage (osteoarthritis) and if pain and disability from this become severe, joint. The symptoms of paget’s disease vary widely.. Paget's Disease Ribs.
From www.pathologyoutlines.com
Pathology Outlines Paget disease Paget's Disease Ribs Paget disease, right 6th rib. When paget’s disease puts strain on joints it can lead to damage (osteoarthritis) and if pain and disability from this become severe, joint. We revisit paget disease of bone and present the gamut of imaging findings associated with this skeletal disorder, both uncomplicated and complicated. The symptoms of paget’s disease vary widely. Paget's disease is. Paget's Disease Ribs.
From 5minuteconsult.com
Paget Disease, Emergency Medicine Diseases & Conditions 5MinuteConsult Paget's Disease Ribs The symptoms of paget’s disease vary widely. Many people who have paget’s disease do not have symptoms and never develop complications. Paget disease is the second most common bone disease after osteoporosis that affects elderly persons in the united states. Paget disease, right 6th rib. The cortex is thickened (white arrows) but the medullary space remains intact (red arrow) with. Paget's Disease Ribs.
From www.ajronline.org
Imaging of Paget Disease of Bone and Its Musculoskeletal Complications Paget's Disease Ribs In many cases, individuals are unaware that they. We revisit paget disease of bone and present the gamut of imaging findings associated with this skeletal disorder, both uncomplicated and complicated. The symptoms of paget’s disease vary widely. Paget disease is the second most common bone disease after osteoporosis that affects elderly persons in the united states. Paget's disease is an. Paget's Disease Ribs.
From community.bulksupplements.com
Paget's Disease Symptoms, Causes & Treatment Paget's Disease Ribs The cortex is thickened (white arrows) but the medullary space remains intact (red arrow) with no evidence. We revisit paget disease of bone and present the gamut of imaging findings associated with this skeletal disorder, both uncomplicated and complicated. When paget’s disease puts strain on joints it can lead to damage (osteoarthritis) and if pain and disability from this become. Paget's Disease Ribs.
From 5minuteconsult.com
Paget Disease, Emergency Medicine Diseases & Conditions 5MinuteConsult Paget's Disease Ribs Paget disease is a disorder of increased bone resorption and formation in older persons that leads to thickening and fragility of the affected bones. In many cases, individuals are unaware that they. When paget’s disease puts strain on joints it can lead to damage (osteoarthritis) and if pain and disability from this become severe, joint. We revisit paget disease of. Paget's Disease Ribs.
From jcp.bmj.com
Proposed pathogenesis of PagetSchroetter disease impingement of the Paget's Disease Ribs Paget's disease is an idiopathic condition of abnormal bone remodeling with normal bone being replaced through an active interplay between excessive bone resorption and abnormal new. The symptoms of paget’s disease vary widely. Paget disease, right 6th rib. When paget’s disease puts strain on joints it can lead to damage (osteoarthritis) and if pain and disability from this become severe,. Paget's Disease Ribs.
From medicolearning.com
Paget’s disease MedicoLearning Paget's Disease Ribs Paget disease is the second most common bone disease after osteoporosis that affects elderly persons in the united states. We revisit paget disease of bone and present the gamut of imaging findings associated with this skeletal disorder, both uncomplicated and complicated. The symptoms of paget’s disease vary widely. Many people who have paget’s disease do not have symptoms and never. Paget's Disease Ribs.
From www.ncbi.nlm.nih.gov
Paget Bone Disease StatPearls NCBI Bookshelf Paget's Disease Ribs We revisit paget disease of bone and present the gamut of imaging findings associated with this skeletal disorder, both uncomplicated and complicated. Paget disease is the second most common bone disease after osteoporosis that affects elderly persons in the united states. When paget’s disease puts strain on joints it can lead to damage (osteoarthritis) and if pain and disability from. Paget's Disease Ribs.
From dxoljswgg.blob.core.windows.net
Paget's Disease Rheumatology at Christopher Olson blog Paget's Disease Ribs Many people who have paget’s disease do not have symptoms and never develop complications. Paget disease is the second most common bone disease after osteoporosis that affects elderly persons in the united states. Paget's disease is an idiopathic condition of abnormal bone remodeling with normal bone being replaced through an active interplay between excessive bone resorption and abnormal new. The. Paget's Disease Ribs.
From www.thelancet.com
Pathogenesis and management of Paget's disease of bone The Lancet Paget's Disease Ribs The symptoms of paget’s disease vary widely. When paget’s disease puts strain on joints it can lead to damage (osteoarthritis) and if pain and disability from this become severe, joint. Paget's disease is an idiopathic condition of abnormal bone remodeling with normal bone being replaced through an active interplay between excessive bone resorption and abnormal new. Paget disease is a. Paget's Disease Ribs.
From radiopaedia.org
Paget disease of a rib Image Paget's Disease Ribs Paget disease is the second most common bone disease after osteoporosis that affects elderly persons in the united states. Paget disease is a disorder of increased bone resorption and formation in older persons that leads to thickening and fragility of the affected bones. In many cases, individuals are unaware that they. Paget disease, right 6th rib. Many people who have. Paget's Disease Ribs.
From jcp.bmj.com
Proposed pathogenesis of PagetSchroetter disease impingement of the Paget's Disease Ribs Paget's disease is an idiopathic condition of abnormal bone remodeling with normal bone being replaced through an active interplay between excessive bone resorption and abnormal new. When paget’s disease puts strain on joints it can lead to damage (osteoarthritis) and if pain and disability from this become severe, joint. We revisit paget disease of bone and present the gamut of. Paget's Disease Ribs.
From pubs.rsna.org
Paget Disease of Bone RadioGraphics Paget's Disease Ribs Paget disease is the second most common bone disease after osteoporosis that affects elderly persons in the united states. Paget disease is a disorder of increased bone resorption and formation in older persons that leads to thickening and fragility of the affected bones. Paget's disease is an idiopathic condition of abnormal bone remodeling with normal bone being replaced through an. Paget's Disease Ribs.
From www.pinterest.com
Paget disease affecting rib Radiology Case Paget's Disease Ribs The cortex is thickened (white arrows) but the medullary space remains intact (red arrow) with no evidence. When paget’s disease puts strain on joints it can lead to damage (osteoarthritis) and if pain and disability from this become severe, joint. Paget disease is a disorder of increased bone resorption and formation in older persons that leads to thickening and fragility. Paget's Disease Ribs.
From www.nirujahealthtech.com
Paget's disease Signs & Symptoms Paget's Disease Ribs Paget's disease is an idiopathic condition of abnormal bone remodeling with normal bone being replaced through an active interplay between excessive bone resorption and abnormal new. In many cases, individuals are unaware that they. The symptoms of paget’s disease vary widely. The cortex is thickened (white arrows) but the medullary space remains intact (red arrow) with no evidence. Paget disease,. Paget's Disease Ribs.
From pubs.rsna.org
Traumatic Rib Injury Patterns, Imaging Pitfalls, Complications, and Paget's Disease Ribs Many people who have paget’s disease do not have symptoms and never develop complications. We revisit paget disease of bone and present the gamut of imaging findings associated with this skeletal disorder, both uncomplicated and complicated. When paget’s disease puts strain on joints it can lead to damage (osteoarthritis) and if pain and disability from this become severe, joint. The. Paget's Disease Ribs.