Isolated Lower Limb Weakness . The approach to the diagnosis and initial management of patients presenting to the ed with acute, nontraumatic neurologic and. Peripheral neuropathy, a common neurologic problem encountered by family physicians, can be classified clinically by the anatomic pattern of. Sudden weakness, numbness, and severe pain localized to a limb are more likely caused by local arterial occlusion and limb ischemia, which can. The differential diagnosis of muscle weakness in adults is extensive because it can occur when pathology affects any level of the neuromuscular pathway (upper or lower motor neurons,. Proximal myopathy presents as generalized muscle weakness commonly involving the muscles of upper and/or lower limbs. Isolated peripheral motor dysfunction due to lower motor neuron or peripheral nerve disorders presents an interesting challenge to clinicians because of the diverse differential diagnosis with a broad range. This article describes a case from the emergency department of left lower limb.
from www.osmosis.org
Sudden weakness, numbness, and severe pain localized to a limb are more likely caused by local arterial occlusion and limb ischemia, which can. The differential diagnosis of muscle weakness in adults is extensive because it can occur when pathology affects any level of the neuromuscular pathway (upper or lower motor neurons,. Proximal myopathy presents as generalized muscle weakness commonly involving the muscles of upper and/or lower limbs. Isolated peripheral motor dysfunction due to lower motor neuron or peripheral nerve disorders presents an interesting challenge to clinicians because of the diverse differential diagnosis with a broad range. This article describes a case from the emergency department of left lower limb. Peripheral neuropathy, a common neurologic problem encountered by family physicians, can be classified clinically by the anatomic pattern of. The approach to the diagnosis and initial management of patients presenting to the ed with acute, nontraumatic neurologic and.
Asthenia What Is It, Causes, Symptoms, Diagnosis, and More Osmosis
Isolated Lower Limb Weakness This article describes a case from the emergency department of left lower limb. Proximal myopathy presents as generalized muscle weakness commonly involving the muscles of upper and/or lower limbs. This article describes a case from the emergency department of left lower limb. Isolated peripheral motor dysfunction due to lower motor neuron or peripheral nerve disorders presents an interesting challenge to clinicians because of the diverse differential diagnosis with a broad range. The approach to the diagnosis and initial management of patients presenting to the ed with acute, nontraumatic neurologic and. Sudden weakness, numbness, and severe pain localized to a limb are more likely caused by local arterial occlusion and limb ischemia, which can. The differential diagnosis of muscle weakness in adults is extensive because it can occur when pathology affects any level of the neuromuscular pathway (upper or lower motor neurons,. Peripheral neuropathy, a common neurologic problem encountered by family physicians, can be classified clinically by the anatomic pattern of.
From casereports.bmj.com
Isolated lower limb hypoplasia secondary to congenital varicella Isolated Lower Limb Weakness This article describes a case from the emergency department of left lower limb. Sudden weakness, numbness, and severe pain localized to a limb are more likely caused by local arterial occlusion and limb ischemia, which can. Isolated peripheral motor dysfunction due to lower motor neuron or peripheral nerve disorders presents an interesting challenge to clinicians because of the diverse differential. Isolated Lower Limb Weakness.
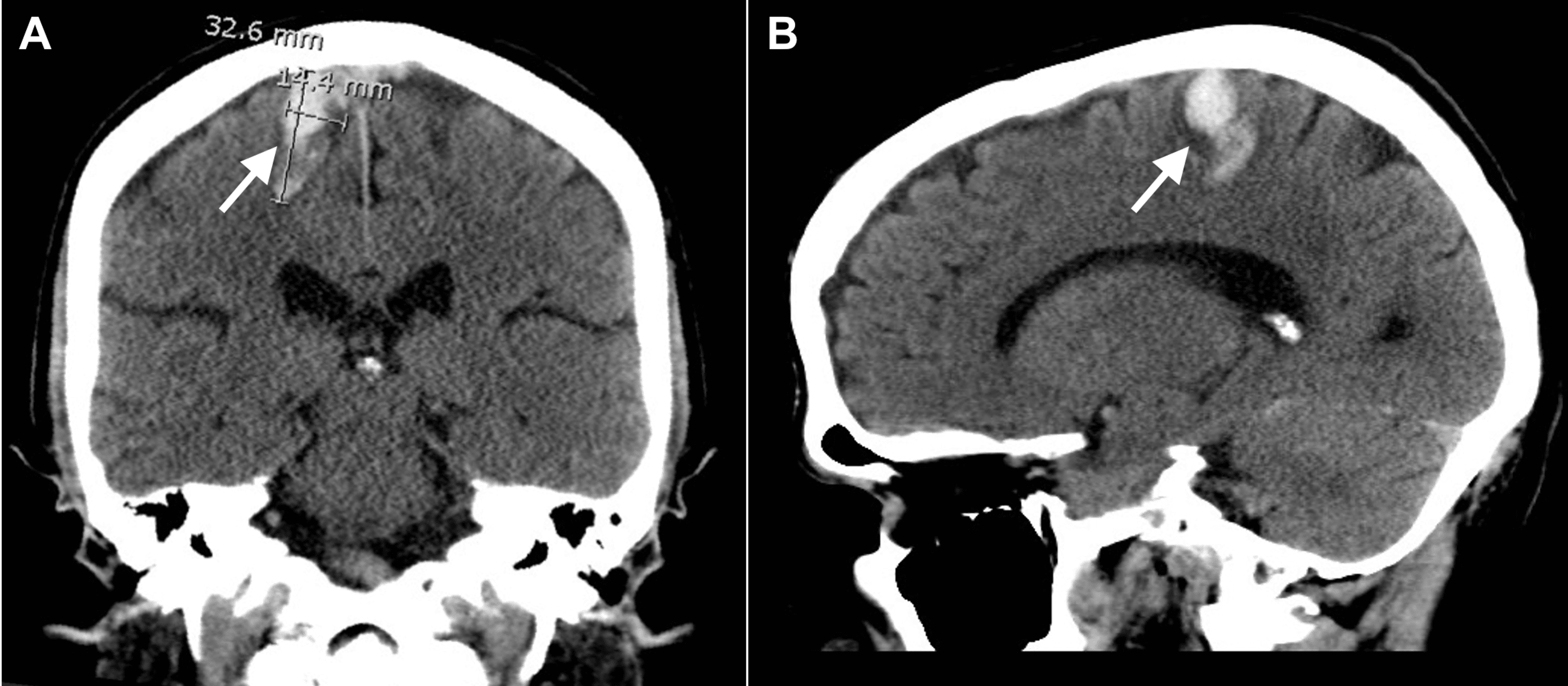
From www.diagnosticimaging.com
Progressive Lower Limb Weakness Diagnostic Imaging Isolated Lower Limb Weakness The approach to the diagnosis and initial management of patients presenting to the ed with acute, nontraumatic neurologic and. This article describes a case from the emergency department of left lower limb. Peripheral neuropathy, a common neurologic problem encountered by family physicians, can be classified clinically by the anatomic pattern of. The differential diagnosis of muscle weakness in adults is. Isolated Lower Limb Weakness.
From www.littletherapytips.com
THE IMPORTANCE OF LOWER LIMB DEVELOPMENT IN CHILDREN Little Therapy Tips Isolated Lower Limb Weakness The approach to the diagnosis and initial management of patients presenting to the ed with acute, nontraumatic neurologic and. Sudden weakness, numbness, and severe pain localized to a limb are more likely caused by local arterial occlusion and limb ischemia, which can. Proximal myopathy presents as generalized muscle weakness commonly involving the muscles of upper and/or lower limbs. The differential. Isolated Lower Limb Weakness.
From casereports.bmj.com
Isolated lower limb hypoplasia secondary to congenital varicella Isolated Lower Limb Weakness Sudden weakness, numbness, and severe pain localized to a limb are more likely caused by local arterial occlusion and limb ischemia, which can. Proximal myopathy presents as generalized muscle weakness commonly involving the muscles of upper and/or lower limbs. The differential diagnosis of muscle weakness in adults is extensive because it can occur when pathology affects any level of the. Isolated Lower Limb Weakness.
From quizlet.com
Basic movements of the lower limb Diagram Quizlet Isolated Lower Limb Weakness This article describes a case from the emergency department of left lower limb. The differential diagnosis of muscle weakness in adults is extensive because it can occur when pathology affects any level of the neuromuscular pathway (upper or lower motor neurons,. Isolated peripheral motor dysfunction due to lower motor neuron or peripheral nerve disorders presents an interesting challenge to clinicians. Isolated Lower Limb Weakness.
From www.researchgate.net
(PDF) Cutis marmorata telangiectatica congenita with isolated lower Isolated Lower Limb Weakness The approach to the diagnosis and initial management of patients presenting to the ed with acute, nontraumatic neurologic and. This article describes a case from the emergency department of left lower limb. Peripheral neuropathy, a common neurologic problem encountered by family physicians, can be classified clinically by the anatomic pattern of. Isolated peripheral motor dysfunction due to lower motor neuron. Isolated Lower Limb Weakness.
From www.diagnosticimaging.com
Progressive Lower Limb Weakness Isolated Lower Limb Weakness The differential diagnosis of muscle weakness in adults is extensive because it can occur when pathology affects any level of the neuromuscular pathway (upper or lower motor neurons,. Sudden weakness, numbness, and severe pain localized to a limb are more likely caused by local arterial occlusion and limb ischemia, which can. Proximal myopathy presents as generalized muscle weakness commonly involving. Isolated Lower Limb Weakness.
From www.osmosis.org
Asthenia What Is It, Causes, Symptoms, Diagnosis, and More Osmosis Isolated Lower Limb Weakness The approach to the diagnosis and initial management of patients presenting to the ed with acute, nontraumatic neurologic and. Isolated peripheral motor dysfunction due to lower motor neuron or peripheral nerve disorders presents an interesting challenge to clinicians because of the diverse differential diagnosis with a broad range. This article describes a case from the emergency department of left lower. Isolated Lower Limb Weakness.
From www.scribd.com
Lower Limb Weakness PDF Anemia Medicine Isolated Lower Limb Weakness This article describes a case from the emergency department of left lower limb. Isolated peripheral motor dysfunction due to lower motor neuron or peripheral nerve disorders presents an interesting challenge to clinicians because of the diverse differential diagnosis with a broad range. Peripheral neuropathy, a common neurologic problem encountered by family physicians, can be classified clinically by the anatomic pattern. Isolated Lower Limb Weakness.
From www.diagnosticimaging.com
Increasing Lower Limb Weakness Isolated Lower Limb Weakness Peripheral neuropathy, a common neurologic problem encountered by family physicians, can be classified clinically by the anatomic pattern of. Sudden weakness, numbness, and severe pain localized to a limb are more likely caused by local arterial occlusion and limb ischemia, which can. This article describes a case from the emergency department of left lower limb. Proximal myopathy presents as generalized. Isolated Lower Limb Weakness.
From www.diagnosticimaging.com
Progressive Lower Limb Weakness Isolated Lower Limb Weakness Proximal myopathy presents as generalized muscle weakness commonly involving the muscles of upper and/or lower limbs. The approach to the diagnosis and initial management of patients presenting to the ed with acute, nontraumatic neurologic and. This article describes a case from the emergency department of left lower limb. Isolated peripheral motor dysfunction due to lower motor neuron or peripheral nerve. Isolated Lower Limb Weakness.
From www.cureus.com
Isolated Lower Limb Weakness Following Hemorrhagic Stroke A Case Isolated Lower Limb Weakness This article describes a case from the emergency department of left lower limb. The differential diagnosis of muscle weakness in adults is extensive because it can occur when pathology affects any level of the neuromuscular pathway (upper or lower motor neurons,. Sudden weakness, numbness, and severe pain localized to a limb are more likely caused by local arterial occlusion and. Isolated Lower Limb Weakness.
From www.fever.pk
Bilateral lower limbs weakness in a young female Fever.pk Isolated Lower Limb Weakness This article describes a case from the emergency department of left lower limb. The approach to the diagnosis and initial management of patients presenting to the ed with acute, nontraumatic neurologic and. The differential diagnosis of muscle weakness in adults is extensive because it can occur when pathology affects any level of the neuromuscular pathway (upper or lower motor neurons,.. Isolated Lower Limb Weakness.
From www.studypool.com
SOLUTION Approach to a patient with lower limb weakness studypool Isolated Lower Limb Weakness Sudden weakness, numbness, and severe pain localized to a limb are more likely caused by local arterial occlusion and limb ischemia, which can. The differential diagnosis of muscle weakness in adults is extensive because it can occur when pathology affects any level of the neuromuscular pathway (upper or lower motor neurons,. The approach to the diagnosis and initial management of. Isolated Lower Limb Weakness.
From www.diagnosticimaging.com
Progressive Lower Limb Weakness Isolated Lower Limb Weakness This article describes a case from the emergency department of left lower limb. Sudden weakness, numbness, and severe pain localized to a limb are more likely caused by local arterial occlusion and limb ischemia, which can. The differential diagnosis of muscle weakness in adults is extensive because it can occur when pathology affects any level of the neuromuscular pathway (upper. Isolated Lower Limb Weakness.
From www.littlesparrows.com.au
Limb Weakness Physiotherapy Little Sparrows Therapy Isolated Lower Limb Weakness The differential diagnosis of muscle weakness in adults is extensive because it can occur when pathology affects any level of the neuromuscular pathway (upper or lower motor neurons,. This article describes a case from the emergency department of left lower limb. Peripheral neuropathy, a common neurologic problem encountered by family physicians, can be classified clinically by the anatomic pattern of.. Isolated Lower Limb Weakness.
From www.fever.pk
Bilateral lower limbs weakness in a young female Fever.pk Isolated Lower Limb Weakness This article describes a case from the emergency department of left lower limb. Isolated peripheral motor dysfunction due to lower motor neuron or peripheral nerve disorders presents an interesting challenge to clinicians because of the diverse differential diagnosis with a broad range. Sudden weakness, numbness, and severe pain localized to a limb are more likely caused by local arterial occlusion. Isolated Lower Limb Weakness.
From www.nfpt.com
Fun Functional Movement for Young Clients With Limb Weakness Isolated Lower Limb Weakness This article describes a case from the emergency department of left lower limb. The differential diagnosis of muscle weakness in adults is extensive because it can occur when pathology affects any level of the neuromuscular pathway (upper or lower motor neurons,. Proximal myopathy presents as generalized muscle weakness commonly involving the muscles of upper and/or lower limbs. Sudden weakness, numbness,. Isolated Lower Limb Weakness.
From casereports.bmj.com
Isolated lower limb hypoplasia secondary to congenital varicella Isolated Lower Limb Weakness Isolated peripheral motor dysfunction due to lower motor neuron or peripheral nerve disorders presents an interesting challenge to clinicians because of the diverse differential diagnosis with a broad range. Proximal myopathy presents as generalized muscle weakness commonly involving the muscles of upper and/or lower limbs. Peripheral neuropathy, a common neurologic problem encountered by family physicians, can be classified clinically by. Isolated Lower Limb Weakness.
From www.fever.pk
Bilateral lower limbs weakness in a young female Fever.pk Isolated Lower Limb Weakness The approach to the diagnosis and initial management of patients presenting to the ed with acute, nontraumatic neurologic and. This article describes a case from the emergency department of left lower limb. Proximal myopathy presents as generalized muscle weakness commonly involving the muscles of upper and/or lower limbs. Peripheral neuropathy, a common neurologic problem encountered by family physicians, can be. Isolated Lower Limb Weakness.
From emergencymedicinecases.com
Approach to Acute Motor Weakness Emergency Medicine Cases Isolated Lower Limb Weakness Peripheral neuropathy, a common neurologic problem encountered by family physicians, can be classified clinically by the anatomic pattern of. Isolated peripheral motor dysfunction due to lower motor neuron or peripheral nerve disorders presents an interesting challenge to clinicians because of the diverse differential diagnosis with a broad range. Proximal myopathy presents as generalized muscle weakness commonly involving the muscles of. Isolated Lower Limb Weakness.
From www.slideserve.com
PPT Caring for People Living With Motor Neurone Disease PowerPoint Isolated Lower Limb Weakness The differential diagnosis of muscle weakness in adults is extensive because it can occur when pathology affects any level of the neuromuscular pathway (upper or lower motor neurons,. Isolated peripheral motor dysfunction due to lower motor neuron or peripheral nerve disorders presents an interesting challenge to clinicians because of the diverse differential diagnosis with a broad range. Proximal myopathy presents. Isolated Lower Limb Weakness.
From consultationpt.com
Evaluation of Limb Weakness » Houston, TX Consultation Physical Isolated Lower Limb Weakness Proximal myopathy presents as generalized muscle weakness commonly involving the muscles of upper and/or lower limbs. The differential diagnosis of muscle weakness in adults is extensive because it can occur when pathology affects any level of the neuromuscular pathway (upper or lower motor neurons,. The approach to the diagnosis and initial management of patients presenting to the ed with acute,. Isolated Lower Limb Weakness.
From casereports.bmj.com
Isolated lower limb hypoplasia secondary to congenital varicella Isolated Lower Limb Weakness Proximal myopathy presents as generalized muscle weakness commonly involving the muscles of upper and/or lower limbs. Sudden weakness, numbness, and severe pain localized to a limb are more likely caused by local arterial occlusion and limb ischemia, which can. The approach to the diagnosis and initial management of patients presenting to the ed with acute, nontraumatic neurologic and. This article. Isolated Lower Limb Weakness.
From www.cureus.com
Isolated Lower Limb Weakness Following Hemorrhagic Stroke A Case Isolated Lower Limb Weakness Proximal myopathy presents as generalized muscle weakness commonly involving the muscles of upper and/or lower limbs. This article describes a case from the emergency department of left lower limb. Sudden weakness, numbness, and severe pain localized to a limb are more likely caused by local arterial occlusion and limb ischemia, which can. The approach to the diagnosis and initial management. Isolated Lower Limb Weakness.
From www.slideserve.com
PPT Falls PowerPoint Presentation, free download ID6078405 Isolated Lower Limb Weakness Sudden weakness, numbness, and severe pain localized to a limb are more likely caused by local arterial occlusion and limb ischemia, which can. The approach to the diagnosis and initial management of patients presenting to the ed with acute, nontraumatic neurologic and. Proximal myopathy presents as generalized muscle weakness commonly involving the muscles of upper and/or lower limbs. Isolated peripheral. Isolated Lower Limb Weakness.
From www.diagnosticimaging.com
Increasing Lower Limb Weakness Isolated Lower Limb Weakness The differential diagnosis of muscle weakness in adults is extensive because it can occur when pathology affects any level of the neuromuscular pathway (upper or lower motor neurons,. The approach to the diagnosis and initial management of patients presenting to the ed with acute, nontraumatic neurologic and. Sudden weakness, numbness, and severe pain localized to a limb are more likely. Isolated Lower Limb Weakness.
From www.studypool.com
SOLUTION Approach to a patient with lower limb weakness studypool Isolated Lower Limb Weakness Proximal myopathy presents as generalized muscle weakness commonly involving the muscles of upper and/or lower limbs. Peripheral neuropathy, a common neurologic problem encountered by family physicians, can be classified clinically by the anatomic pattern of. The approach to the diagnosis and initial management of patients presenting to the ed with acute, nontraumatic neurologic and. Isolated peripheral motor dysfunction due to. Isolated Lower Limb Weakness.
From www.idealhealthcentre.com
Physiotherapy & Rehabilitation IDEAL Health Centre Isolated Lower Limb Weakness Sudden weakness, numbness, and severe pain localized to a limb are more likely caused by local arterial occlusion and limb ischemia, which can. The differential diagnosis of muscle weakness in adults is extensive because it can occur when pathology affects any level of the neuromuscular pathway (upper or lower motor neurons,. Isolated peripheral motor dysfunction due to lower motor neuron. Isolated Lower Limb Weakness.
From www.neurosymptoms.org
Functional Limb Weakness Functional Neurological Disorder (FND) Isolated Lower Limb Weakness Proximal myopathy presents as generalized muscle weakness commonly involving the muscles of upper and/or lower limbs. The differential diagnosis of muscle weakness in adults is extensive because it can occur when pathology affects any level of the neuromuscular pathway (upper or lower motor neurons,. Isolated peripheral motor dysfunction due to lower motor neuron or peripheral nerve disorders presents an interesting. Isolated Lower Limb Weakness.
From www.diagnosticimaging.com
Increasing Lower Limb Weakness Isolated Lower Limb Weakness Isolated peripheral motor dysfunction due to lower motor neuron or peripheral nerve disorders presents an interesting challenge to clinicians because of the diverse differential diagnosis with a broad range. This article describes a case from the emergency department of left lower limb. Sudden weakness, numbness, and severe pain localized to a limb are more likely caused by local arterial occlusion. Isolated Lower Limb Weakness.
From casereports.bmj.com
Isolated lower limb hypoplasia secondary to congenital varicella Isolated Lower Limb Weakness Proximal myopathy presents as generalized muscle weakness commonly involving the muscles of upper and/or lower limbs. This article describes a case from the emergency department of left lower limb. The approach to the diagnosis and initial management of patients presenting to the ed with acute, nontraumatic neurologic and. The differential diagnosis of muscle weakness in adults is extensive because it. Isolated Lower Limb Weakness.
From www.semanticscholar.org
[PDF] Isolated Lower Limb Weakness Following Hemorrhagic Stroke A Case Isolated Lower Limb Weakness The approach to the diagnosis and initial management of patients presenting to the ed with acute, nontraumatic neurologic and. Peripheral neuropathy, a common neurologic problem encountered by family physicians, can be classified clinically by the anatomic pattern of. The differential diagnosis of muscle weakness in adults is extensive because it can occur when pathology affects any level of the neuromuscular. Isolated Lower Limb Weakness.
From www.hurstpodiatry.com.au
Hip Weakness and Lower Limb Health Hurst Podiatry Isolated Lower Limb Weakness Proximal myopathy presents as generalized muscle weakness commonly involving the muscles of upper and/or lower limbs. This article describes a case from the emergency department of left lower limb. Peripheral neuropathy, a common neurologic problem encountered by family physicians, can be classified clinically by the anatomic pattern of. The approach to the diagnosis and initial management of patients presenting to. Isolated Lower Limb Weakness.
From casereports.bmj.com
Isolated lower limb hypoplasia secondary to congenital varicella Isolated Lower Limb Weakness The differential diagnosis of muscle weakness in adults is extensive because it can occur when pathology affects any level of the neuromuscular pathway (upper or lower motor neurons,. Sudden weakness, numbness, and severe pain localized to a limb are more likely caused by local arterial occlusion and limb ischemia, which can. Proximal myopathy presents as generalized muscle weakness commonly involving. Isolated Lower Limb Weakness.