Metatarsal Fracture K-Wire Fixation . Our results demonstrate that k wire intramedullary nailing regardless of the specific technique (antegrade, retrograde, ante/retrograde) is associated with better outcomes compared to. Intramedullary implants can be inserted retrograde, either directly through the metatarsal head or from the tip of the phalanx. Metatarsal fractures pose significant challenges in orthopedic practice, necessitating effective treatment methods to ensure optimal. Standard open fracture management, with initial irrigation and debridement with appropriate antibiotic coverage, is indicated.
from www.cureus.com
Metatarsal fractures pose significant challenges in orthopedic practice, necessitating effective treatment methods to ensure optimal. Our results demonstrate that k wire intramedullary nailing regardless of the specific technique (antegrade, retrograde, ante/retrograde) is associated with better outcomes compared to. Intramedullary implants can be inserted retrograde, either directly through the metatarsal head or from the tip of the phalanx. Standard open fracture management, with initial irrigation and debridement with appropriate antibiotic coverage, is indicated.
Cureus Gradual Elastic Suture (Shoelace Technique) Approximation and
Metatarsal Fracture K-Wire Fixation Metatarsal fractures pose significant challenges in orthopedic practice, necessitating effective treatment methods to ensure optimal. Metatarsal fractures pose significant challenges in orthopedic practice, necessitating effective treatment methods to ensure optimal. Standard open fracture management, with initial irrigation and debridement with appropriate antibiotic coverage, is indicated. Our results demonstrate that k wire intramedullary nailing regardless of the specific technique (antegrade, retrograde, ante/retrograde) is associated with better outcomes compared to. Intramedullary implants can be inserted retrograde, either directly through the metatarsal head or from the tip of the phalanx.
From www.semanticscholar.org
Table I from Percutaneous Kwire fixation versus palmar plating with Metatarsal Fracture K-Wire Fixation Metatarsal fractures pose significant challenges in orthopedic practice, necessitating effective treatment methods to ensure optimal. Our results demonstrate that k wire intramedullary nailing regardless of the specific technique (antegrade, retrograde, ante/retrograde) is associated with better outcomes compared to. Intramedullary implants can be inserted retrograde, either directly through the metatarsal head or from the tip of the phalanx. Standard open fracture. Metatarsal Fracture K-Wire Fixation.
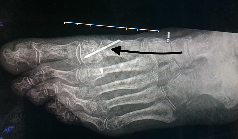
From crushinjury.blogspot.com
CRUSH INJURY FOOT MULTIPLE METATARSAL FRACTURE DEBRIDMENT , KWIRE Metatarsal Fracture K-Wire Fixation Metatarsal fractures pose significant challenges in orthopedic practice, necessitating effective treatment methods to ensure optimal. Intramedullary implants can be inserted retrograde, either directly through the metatarsal head or from the tip of the phalanx. Standard open fracture management, with initial irrigation and debridement with appropriate antibiotic coverage, is indicated. Our results demonstrate that k wire intramedullary nailing regardless of the. Metatarsal Fracture K-Wire Fixation.
From www.cureus.com
Comparison of Kirschner Wire Versus Screw Fixation in 1,2 Inter Metatarsal Fracture K-Wire Fixation Metatarsal fractures pose significant challenges in orthopedic practice, necessitating effective treatment methods to ensure optimal. Standard open fracture management, with initial irrigation and debridement with appropriate antibiotic coverage, is indicated. Our results demonstrate that k wire intramedullary nailing regardless of the specific technique (antegrade, retrograde, ante/retrograde) is associated with better outcomes compared to. Intramedullary implants can be inserted retrograde, either. Metatarsal Fracture K-Wire Fixation.
From www.cureus.com
Cureus Surgical Realignment of a Dorsiflexed Metatarsal Fracture Metatarsal Fracture K-Wire Fixation Metatarsal fractures pose significant challenges in orthopedic practice, necessitating effective treatment methods to ensure optimal. Standard open fracture management, with initial irrigation and debridement with appropriate antibiotic coverage, is indicated. Intramedullary implants can be inserted retrograde, either directly through the metatarsal head or from the tip of the phalanx. Our results demonstrate that k wire intramedullary nailing regardless of the. Metatarsal Fracture K-Wire Fixation.
From www.researchgate.net
Kwire fixation to metacarpal fractures. Download Scientific Diagram Metatarsal Fracture K-Wire Fixation Metatarsal fractures pose significant challenges in orthopedic practice, necessitating effective treatment methods to ensure optimal. Standard open fracture management, with initial irrigation and debridement with appropriate antibiotic coverage, is indicated. Intramedullary implants can be inserted retrograde, either directly through the metatarsal head or from the tip of the phalanx. Our results demonstrate that k wire intramedullary nailing regardless of the. Metatarsal Fracture K-Wire Fixation.
From www.jfas.org
Sliding Oblique Metatarsal Osteotomy Fixated With a KWire Without Metatarsal Fracture K-Wire Fixation Intramedullary implants can be inserted retrograde, either directly through the metatarsal head or from the tip of the phalanx. Metatarsal fractures pose significant challenges in orthopedic practice, necessitating effective treatment methods to ensure optimal. Our results demonstrate that k wire intramedullary nailing regardless of the specific technique (antegrade, retrograde, ante/retrograde) is associated with better outcomes compared to. Standard open fracture. Metatarsal Fracture K-Wire Fixation.
From medapparatus.com
Fracture Fixation a gallery Metatarsal Fracture K-Wire Fixation Standard open fracture management, with initial irrigation and debridement with appropriate antibiotic coverage, is indicated. Metatarsal fractures pose significant challenges in orthopedic practice, necessitating effective treatment methods to ensure optimal. Our results demonstrate that k wire intramedullary nailing regardless of the specific technique (antegrade, retrograde, ante/retrograde) is associated with better outcomes compared to. Intramedullary implants can be inserted retrograde, either. Metatarsal Fracture K-Wire Fixation.
From www.semanticscholar.org
Figure 1 from Closed Reduction and Fixation of Metatarsal Head and Neck Metatarsal Fracture K-Wire Fixation Standard open fracture management, with initial irrigation and debridement with appropriate antibiotic coverage, is indicated. Intramedullary implants can be inserted retrograde, either directly through the metatarsal head or from the tip of the phalanx. Metatarsal fractures pose significant challenges in orthopedic practice, necessitating effective treatment methods to ensure optimal. Our results demonstrate that k wire intramedullary nailing regardless of the. Metatarsal Fracture K-Wire Fixation.
From www.jfas.org
Treatment of Fractures of Metatarsal Shaft Using a Cemented Kwire Metatarsal Fracture K-Wire Fixation Our results demonstrate that k wire intramedullary nailing regardless of the specific technique (antegrade, retrograde, ante/retrograde) is associated with better outcomes compared to. Metatarsal fractures pose significant challenges in orthopedic practice, necessitating effective treatment methods to ensure optimal. Standard open fracture management, with initial irrigation and debridement with appropriate antibiotic coverage, is indicated. Intramedullary implants can be inserted retrograde, either. Metatarsal Fracture K-Wire Fixation.
From www.semanticscholar.org
Figure 1 from Treatment of Fifth Metatarsal Base Fracture Using Tension Metatarsal Fracture K-Wire Fixation Standard open fracture management, with initial irrigation and debridement with appropriate antibiotic coverage, is indicated. Intramedullary implants can be inserted retrograde, either directly through the metatarsal head or from the tip of the phalanx. Our results demonstrate that k wire intramedullary nailing regardless of the specific technique (antegrade, retrograde, ante/retrograde) is associated with better outcomes compared to. Metatarsal fractures pose. Metatarsal Fracture K-Wire Fixation.
From www.injuryjournal.com
Fractures of the fifth metatarsal; diagnosis and treatment Injury Metatarsal Fracture K-Wire Fixation Intramedullary implants can be inserted retrograde, either directly through the metatarsal head or from the tip of the phalanx. Metatarsal fractures pose significant challenges in orthopedic practice, necessitating effective treatment methods to ensure optimal. Our results demonstrate that k wire intramedullary nailing regardless of the specific technique (antegrade, retrograde, ante/retrograde) is associated with better outcomes compared to. Standard open fracture. Metatarsal Fracture K-Wire Fixation.
From www.trialexhibitsinc.com
Open Reduction and Internal Fixation of the Fifth Metatarsal Metatarsal Fracture K-Wire Fixation Metatarsal fractures pose significant challenges in orthopedic practice, necessitating effective treatment methods to ensure optimal. Our results demonstrate that k wire intramedullary nailing regardless of the specific technique (antegrade, retrograde, ante/retrograde) is associated with better outcomes compared to. Intramedullary implants can be inserted retrograde, either directly through the metatarsal head or from the tip of the phalanx. Standard open fracture. Metatarsal Fracture K-Wire Fixation.
From www.hmpgloballearningnetwork.com
Treating Foot Compartment Syndrome Secondary To Metatarsal Fractures Metatarsal Fracture K-Wire Fixation Standard open fracture management, with initial irrigation and debridement with appropriate antibiotic coverage, is indicated. Our results demonstrate that k wire intramedullary nailing regardless of the specific technique (antegrade, retrograde, ante/retrograde) is associated with better outcomes compared to. Metatarsal fractures pose significant challenges in orthopedic practice, necessitating effective treatment methods to ensure optimal. Intramedullary implants can be inserted retrograde, either. Metatarsal Fracture K-Wire Fixation.
From www.ncbi.nlm.nih.gov
Metatarsal Fractures StatPearls NCBI Bookshelf Metatarsal Fracture K-Wire Fixation Metatarsal fractures pose significant challenges in orthopedic practice, necessitating effective treatment methods to ensure optimal. Intramedullary implants can be inserted retrograde, either directly through the metatarsal head or from the tip of the phalanx. Standard open fracture management, with initial irrigation and debridement with appropriate antibiotic coverage, is indicated. Our results demonstrate that k wire intramedullary nailing regardless of the. Metatarsal Fracture K-Wire Fixation.
From journals.sagepub.com
Sliding Oblique Metatarsal Osteotomy Fixated With KWires Without Metatarsal Fracture K-Wire Fixation Metatarsal fractures pose significant challenges in orthopedic practice, necessitating effective treatment methods to ensure optimal. Our results demonstrate that k wire intramedullary nailing regardless of the specific technique (antegrade, retrograde, ante/retrograde) is associated with better outcomes compared to. Standard open fracture management, with initial irrigation and debridement with appropriate antibiotic coverage, is indicated. Intramedullary implants can be inserted retrograde, either. Metatarsal Fracture K-Wire Fixation.
From www.cureus.com
Cureus A Prospective Study of Distal Metatarsal Chevron Osteotomies Metatarsal Fracture K-Wire Fixation Metatarsal fractures pose significant challenges in orthopedic practice, necessitating effective treatment methods to ensure optimal. Our results demonstrate that k wire intramedullary nailing regardless of the specific technique (antegrade, retrograde, ante/retrograde) is associated with better outcomes compared to. Intramedullary implants can be inserted retrograde, either directly through the metatarsal head or from the tip of the phalanx. Standard open fracture. Metatarsal Fracture K-Wire Fixation.
From www.youtube.com
Open Reduction & Internal Fixation of a 5th Metatarsal Fracture YouTube Metatarsal Fracture K-Wire Fixation Metatarsal fractures pose significant challenges in orthopedic practice, necessitating effective treatment methods to ensure optimal. Intramedullary implants can be inserted retrograde, either directly through the metatarsal head or from the tip of the phalanx. Standard open fracture management, with initial irrigation and debridement with appropriate antibiotic coverage, is indicated. Our results demonstrate that k wire intramedullary nailing regardless of the. Metatarsal Fracture K-Wire Fixation.
From www.mdpi.com
Medicina Free FullText Various Flexible Fixation Techniques Using Metatarsal Fracture K-Wire Fixation Standard open fracture management, with initial irrigation and debridement with appropriate antibiotic coverage, is indicated. Our results demonstrate that k wire intramedullary nailing regardless of the specific technique (antegrade, retrograde, ante/retrograde) is associated with better outcomes compared to. Metatarsal fractures pose significant challenges in orthopedic practice, necessitating effective treatment methods to ensure optimal. Intramedullary implants can be inserted retrograde, either. Metatarsal Fracture K-Wire Fixation.
From www.semanticscholar.org
Figure 3 from TensionBand Wiring for Fractures of the Fifth Metatarsal Metatarsal Fracture K-Wire Fixation Standard open fracture management, with initial irrigation and debridement with appropriate antibiotic coverage, is indicated. Intramedullary implants can be inserted retrograde, either directly through the metatarsal head or from the tip of the phalanx. Metatarsal fractures pose significant challenges in orthopedic practice, necessitating effective treatment methods to ensure optimal. Our results demonstrate that k wire intramedullary nailing regardless of the. Metatarsal Fracture K-Wire Fixation.
From www.injuryjournal.com
A midterm followup retrospective evaluation of tarsometatarsal joint Metatarsal Fracture K-Wire Fixation Standard open fracture management, with initial irrigation and debridement with appropriate antibiotic coverage, is indicated. Intramedullary implants can be inserted retrograde, either directly through the metatarsal head or from the tip of the phalanx. Metatarsal fractures pose significant challenges in orthopedic practice, necessitating effective treatment methods to ensure optimal. Our results demonstrate that k wire intramedullary nailing regardless of the. Metatarsal Fracture K-Wire Fixation.
From jkoa.org
Treatment of Metacarpal Fractures using Transverse Kirschnerwire Fixation Metatarsal Fracture K-Wire Fixation Intramedullary implants can be inserted retrograde, either directly through the metatarsal head or from the tip of the phalanx. Our results demonstrate that k wire intramedullary nailing regardless of the specific technique (antegrade, retrograde, ante/retrograde) is associated with better outcomes compared to. Metatarsal fractures pose significant challenges in orthopedic practice, necessitating effective treatment methods to ensure optimal. Standard open fracture. Metatarsal Fracture K-Wire Fixation.
From www.cureus.com
Cureus Gradual Elastic Suture (Shoelace Technique) Approximation and Metatarsal Fracture K-Wire Fixation Metatarsal fractures pose significant challenges in orthopedic practice, necessitating effective treatment methods to ensure optimal. Standard open fracture management, with initial irrigation and debridement with appropriate antibiotic coverage, is indicated. Our results demonstrate that k wire intramedullary nailing regardless of the specific technique (antegrade, retrograde, ante/retrograde) is associated with better outcomes compared to. Intramedullary implants can be inserted retrograde, either. Metatarsal Fracture K-Wire Fixation.
From www.youtube.com
Kirschner wire fixation of metacarpal fracture YouTube Metatarsal Fracture K-Wire Fixation Standard open fracture management, with initial irrigation and debridement with appropriate antibiotic coverage, is indicated. Our results demonstrate that k wire intramedullary nailing regardless of the specific technique (antegrade, retrograde, ante/retrograde) is associated with better outcomes compared to. Intramedullary implants can be inserted retrograde, either directly through the metatarsal head or from the tip of the phalanx. Metatarsal fractures pose. Metatarsal Fracture K-Wire Fixation.
From journals.sagepub.com
Percutaneous Fixation of Metatarsals Fractures with Kirchner’s Wire Metatarsal Fracture K-Wire Fixation Our results demonstrate that k wire intramedullary nailing regardless of the specific technique (antegrade, retrograde, ante/retrograde) is associated with better outcomes compared to. Metatarsal fractures pose significant challenges in orthopedic practice, necessitating effective treatment methods to ensure optimal. Intramedullary implants can be inserted retrograde, either directly through the metatarsal head or from the tip of the phalanx. Standard open fracture. Metatarsal Fracture K-Wire Fixation.
From www.semanticscholar.org
Figure 1 from Metatarsal Fracture Reduction and Fixation by Kirschner Metatarsal Fracture K-Wire Fixation Standard open fracture management, with initial irrigation and debridement with appropriate antibiotic coverage, is indicated. Metatarsal fractures pose significant challenges in orthopedic practice, necessitating effective treatment methods to ensure optimal. Our results demonstrate that k wire intramedullary nailing regardless of the specific technique (antegrade, retrograde, ante/retrograde) is associated with better outcomes compared to. Intramedullary implants can be inserted retrograde, either. Metatarsal Fracture K-Wire Fixation.
From www.semanticscholar.org
Figure 1 from Union Rate and Rate of Hardware Removal Following Plate Metatarsal Fracture K-Wire Fixation Metatarsal fractures pose significant challenges in orthopedic practice, necessitating effective treatment methods to ensure optimal. Our results demonstrate that k wire intramedullary nailing regardless of the specific technique (antegrade, retrograde, ante/retrograde) is associated with better outcomes compared to. Standard open fracture management, with initial irrigation and debridement with appropriate antibiotic coverage, is indicated. Intramedullary implants can be inserted retrograde, either. Metatarsal Fracture K-Wire Fixation.
From www.researchgate.net
Percutaneous Kirschnerwire fixation, with one wire crossing the Metatarsal Fracture K-Wire Fixation Our results demonstrate that k wire intramedullary nailing regardless of the specific technique (antegrade, retrograde, ante/retrograde) is associated with better outcomes compared to. Intramedullary implants can be inserted retrograde, either directly through the metatarsal head or from the tip of the phalanx. Metatarsal fractures pose significant challenges in orthopedic practice, necessitating effective treatment methods to ensure optimal. Standard open fracture. Metatarsal Fracture K-Wire Fixation.
From www.orthopaedicsandtraumajournal.co.uk
Metatarsal fracture management Orthopaedics and Trauma Metatarsal Fracture K-Wire Fixation Metatarsal fractures pose significant challenges in orthopedic practice, necessitating effective treatment methods to ensure optimal. Intramedullary implants can be inserted retrograde, either directly through the metatarsal head or from the tip of the phalanx. Our results demonstrate that k wire intramedullary nailing regardless of the specific technique (antegrade, retrograde, ante/retrograde) is associated with better outcomes compared to. Standard open fracture. Metatarsal Fracture K-Wire Fixation.
From www.semanticscholar.org
Figure 3 from Comparison between Percutaneous Transverse Fixation and Metatarsal Fracture K-Wire Fixation Metatarsal fractures pose significant challenges in orthopedic practice, necessitating effective treatment methods to ensure optimal. Our results demonstrate that k wire intramedullary nailing regardless of the specific technique (antegrade, retrograde, ante/retrograde) is associated with better outcomes compared to. Standard open fracture management, with initial irrigation and debridement with appropriate antibiotic coverage, is indicated. Intramedullary implants can be inserted retrograde, either. Metatarsal Fracture K-Wire Fixation.
From www.slideserve.com
PPT Forefoot Fractures PowerPoint Presentation, free download ID Metatarsal Fracture K-Wire Fixation Our results demonstrate that k wire intramedullary nailing regardless of the specific technique (antegrade, retrograde, ante/retrograde) is associated with better outcomes compared to. Metatarsal fractures pose significant challenges in orthopedic practice, necessitating effective treatment methods to ensure optimal. Intramedullary implants can be inserted retrograde, either directly through the metatarsal head or from the tip of the phalanx. Standard open fracture. Metatarsal Fracture K-Wire Fixation.
From crushinjury.blogspot.com
CRUSH INJURY FOOT, LOWER LIMB INJURIES AND LIMB SALVAGE BILATERAL Metatarsal Fracture K-Wire Fixation Our results demonstrate that k wire intramedullary nailing regardless of the specific technique (antegrade, retrograde, ante/retrograde) is associated with better outcomes compared to. Intramedullary implants can be inserted retrograde, either directly through the metatarsal head or from the tip of the phalanx. Standard open fracture management, with initial irrigation and debridement with appropriate antibiotic coverage, is indicated. Metatarsal fractures pose. Metatarsal Fracture K-Wire Fixation.
From www.semanticscholar.org
Figure 2 from Treatment of 5th Metacarpal Neck Fracture Using Metatarsal Fracture K-Wire Fixation Standard open fracture management, with initial irrigation and debridement with appropriate antibiotic coverage, is indicated. Metatarsal fractures pose significant challenges in orthopedic practice, necessitating effective treatment methods to ensure optimal. Intramedullary implants can be inserted retrograde, either directly through the metatarsal head or from the tip of the phalanx. Our results demonstrate that k wire intramedullary nailing regardless of the. Metatarsal Fracture K-Wire Fixation.
From www.jfas.org
Treatment of Fractures of Metatarsal Shaft Using a Cemented Kwire Metatarsal Fracture K-Wire Fixation Metatarsal fractures pose significant challenges in orthopedic practice, necessitating effective treatment methods to ensure optimal. Standard open fracture management, with initial irrigation and debridement with appropriate antibiotic coverage, is indicated. Our results demonstrate that k wire intramedullary nailing regardless of the specific technique (antegrade, retrograde, ante/retrograde) is associated with better outcomes compared to. Intramedullary implants can be inserted retrograde, either. Metatarsal Fracture K-Wire Fixation.
From www.youtube.com
Video K wire removal from 4th toe surgery YouTube Metatarsal Fracture K-Wire Fixation Metatarsal fractures pose significant challenges in orthopedic practice, necessitating effective treatment methods to ensure optimal. Standard open fracture management, with initial irrigation and debridement with appropriate antibiotic coverage, is indicated. Intramedullary implants can be inserted retrograde, either directly through the metatarsal head or from the tip of the phalanx. Our results demonstrate that k wire intramedullary nailing regardless of the. Metatarsal Fracture K-Wire Fixation.
From www.researchgate.net
2 nd metacarpal fracture managed by K wire fixation. Download Metatarsal Fracture K-Wire Fixation Metatarsal fractures pose significant challenges in orthopedic practice, necessitating effective treatment methods to ensure optimal. Our results demonstrate that k wire intramedullary nailing regardless of the specific technique (antegrade, retrograde, ante/retrograde) is associated with better outcomes compared to. Standard open fracture management, with initial irrigation and debridement with appropriate antibiotic coverage, is indicated. Intramedullary implants can be inserted retrograde, either. Metatarsal Fracture K-Wire Fixation.